Suplemento 1 - Año 2022

RESÚMENES

32º Congreso Argentino e Internacional de Terapia Intensiva

9 al 11 de noviembre de 2022

“Tiempo de reencuentro y gestión de cambios”

25º Congreso Argentino de Enfermería en Terapia Intensiva

24º Congreso Argentino de Kinesiología en Terapia Intensiva

23º Congreso Argentino de Terapia Intensiva Pediátrica

18º Jornada Nacional de Bioquímicos en Terapia Intensiva

15º Jornada del Comité de Neonatología Critica

9º Jornada de Farmacéuticos en Terapia Intensiva

9º Jornada de Lics. en Nutrición en Terapia Intensiva

9º Jornada de Veterinaria en Terapia Intensiva

 

SOCIEDAD ARGENTINA DE TERAPIA INTENSIVA

COMISIÓN DIRECTIVA (2021-2023)

Presidente

Guillermo Ricardo Chiappero

Vicepresidenta

María Cristina Orlandi

Secretario

Fernando Gabriel Ríos

Prosecretaria

Mónica Viviana Romero

Tesorera

Susana Beatriz Bauque

Protesorero

Marcelo Fabio Morales

Directora de Publicaciones

Analía Fernández

Directora de Departamento Docencia

Adelina Badolatti

Vocales Titulares

Cecilia Mariana Torre

Gustavo Adolfo Benavent

Daniela Olmos Kutscherauer

Natalia Llanos

Jorge Marcelo Prochasko

Alejandro Javier Siaba Serrate

Alejandro Miguel Risso Vázquez

Judith Isabel Sagardía

Vocales Suplentes

Carlos Stoltzing

Leandro Ismael Tumino

Carina Fernanda Tolosa

Héctor José María Alvarez

Mariela Alejandra Velásquez

Norberto Cristian Pozo

Graciela Elizabeth Aguilera

Mariela Allassia

Revisores de Cuentas Titulares

Cecilia Inés Loudet

Mónica Isabel Quinteros

Héctor Antonio Ferraro

Revisores de Cuentas Suplentes

Ernesto Fabián Rodríguez

Silvina Carina Balasini

 

EX-PRESIDENTES

1972-1973:

Aquiles Roncoroni

1973-1975:

Miguel Herrera

1975-1976:

Juan Carlos Figueroa Casas

1976-1977:

Ernesto Maña

1977-1979:

Héctor De Leone

1979-1980:

José Petrolito

1980-1982:

Roberto Apra

1982-1983:

Roberto Padrón

1983-1985:

Gustavo Marino Aguirre

1985-1987:

Antonio Gallesio

1987-1989:

Carlos Lovesio

1989-1991:

Juan Pacin

1991-1993:

Mario Santamarina

1993-1995:

Fernando Pálizas

1995-1997:

Roberto Bastianelli

1997-1999:

Jorge Neira

1999-2001:

José L. do Pico

2001-2003:

Daniel Ceraso

2003-2005:

Francisco José Criado

2005-2007:

Eduardo San Román

2008-2009:

Elisa Estenssoro

2009-2011:

Ignacio Previgliano

2011-2013:

Cayetano Guillermo Galletti

2013-2015:

Néstor Omar Raimondi

2015-2017:

Rolando Alfredo Gimbernat

2017-2019:

José Luis Golubicki

2019-2021:

Rosa Reina

 

COMITÉS CIENTÍFICOS

Asuntos Laborales

Viviana Romero

Bioética

Lic. Analía Occhiuzzi

Certificación y Revalidación

Alejandro Siaba Serrate

CODEACOM

Richard Montano Buitrón

Ecografía en el Paciente Crítico

Juan Manuel Pina

Emergentología y Respuesta Rápida Intrahospitalaria

Anatilde Díaz

Enfermería en Cuidados Críticos

Lic. Monica Dailoff

Ética en Investigación

Monica Capalbo

FCCS

Pablo Pardo

Género y Diversidad

Analía Occhiuzzi

Gestión, Control de Calidad y Datos

Nancy Boada

Infectología Crítica

Eleonora Cunto

Nefrología Crítica

Nahuel Rubatto Birri

Neonatología Crítica

Liliana Roldán

Neumonología Crítica

Sergio Giannasi

Neurointensivismo

Héctor Álvarez

Obstetricia Crítica

Mariana Kirschbaum

Oncología Crítica

Viviana Reyes

Reanimación Pediátrica

Marcela Cuartas

Patología Crítica Cardiovascular

Karina Lozano

Patología Digestiva en Pacientes Críticos

Elvis Salcedo Noriega

Pediátrico de Neumonología Crítica

Santiago Esquivel

PFCCS

Silvio Torres

Reanimación y Recuperación Cardio Cerebral

Cristina Orlandi

Recuperación Cardiovascular Pediátrica y Neonatal

Rafael Fraire

Sedación, Analgesia y Delirium

Sabrina Di Marco

Seguimiento y Rehabilitación

Lic. Carolina Foster

Shock Pediátrico

Adriana Bordogna

Shock y Sepsis

Luis Gatti

Soporte Nutricional y Metabolismo

Ezequiel Manrique

Soporte Vital Extracorpóreo  

Sonia Villarroel Mendoza

Trasplante y Procuración de Órganos y Tejidos

José Juri

Trauma

María Gabriela Vidal

Vía Aérea e Interfaces Respiratorias

Gustavo Benavent

 

CAPÍTULOS, CONSEJOS Y DEPARTAMENTOS

Capítulo Bioquímico

Fabián Rodríguez

Capítulo Enfermería

Marcelo Fabio Morales

Capítulo Enfermería en Neonatología

Gustavo Sergio Villalba

Capítulo Farmacéutico en Medicina Crítica

Agustina Luconi

Capítulo Kinesiología Intensivista

Gastón Murias

Capítulo Nutrición

Silvia Jereb

Capítulo Pediatría

Gustavo González

Capítulo Veterinario

M.V. María del Carmen La Valle

Consejo de Investigación

Elisa Estenssoro

Consejo Consultivo Asesor

Antonio Gallesio

Departamento Docencia

Adelina Badolati

 

 

 

32º Congreso Argentino e Internacional de Terapia Intensiva

PRESIDENTA DEL CONGRESO

Rosa Reina

TESORERA DEL CONGRESO

Susana Bauque

COMITÉ EJECUTIVO

Presidente

Daniel Duarte

Vicepresidente

Gustavo Benavent

Secretaria

Jorgelina Guyón

Prosecretaria

Marianela López Martínez

Vocales

Juan José Varela

Eduardo Perrault

COMITÉ CIENTÍFICO

Presidenta

Viviana Romero

Vicepresidenta

Mariel García

Secretaria

Natalia Fernández

Prosecretario

Gabriel Fernández

Coordinadora Nacional

Cristina Orlandi

Vocales

Juan San Emeterio

Silvana Svampa

Osvaldo Rubio

JURADO DE PREMIOS

Presidenta

María Cruz Martín

Cayetano Galletti

Elisa Estenssoro

Eduardo San Román

Fernando Pálizas

REVISIÓN DE TRABAJOS

Cecilia Loudet

Cecilia Pereyra

Fernando Ríos

Marcela Castro

25º Congreso Argentino de Enfermería en Terapia Intensiva

Presidente

José Lozano

Vicepresidenta

Mónica Dalloff

Coordinadora Nacional

Mariana Torres

Vocales

Karina Rohr

Verónica Curilen

24º Congreso Argentino de Kinesiología en Terapia Intensiva

Presidente

Néstor Vicente

Vicepresidenta

Vanesa Alonso

Coordinador Nacional

Mariano Setten

Vocales

Marcos Gil

Ayelén Bagueiro

23º Congreso Argentino de Terapia Intensiva Pediátrica

Presidenta

Mariela Subira

Vicepresidente

Roberto Tomassone

Coordinadora Nacional

Ana Calvo

Vocal

Sara Reginer

18º Jornada Nacional de Bioquímicos en Terapia Intensiva

Presidenta

Karina Andrieu

Vicepresidenta

Ruth Shocron

Coordinadora Nacional

María del Carmen Iñíguez

Vocal

Fabián Rodríguez

15º Jornada del Comité de Neonatología Critica

Presidente

Diego Acosta

Coordinadora Nacional

Liliana Roldán

9º Jornada de Farmacéuticos en Terapia Intensiva

Presidenta

Miriam Bettucci

Vicepresidenta

María Elisa Cánepa

9º Jornada de Lics. en Nutrición en Terapia Intensiva

Presidenta

Paula González

Vicepresidenta

Natalia Aparicio

Vocales

Marilia González

Natalia González

Guillermina Augustu

 

 

INVITADOS EXTRANJEROS

Gustavo Greco (Uruguay)

Daniel Brodie (Estados Unidos)

Michael Pinsky (Estados Unidos)

Jean Louis Teboul (Francia)

Manuel Jibaja (Ecuador)

Javier Urbano Villaescusa (España)

Dolores Escudero (España)

Silvia Pérez Protto (Uruguay)

José Luis Marco Garbayo (España)

Oscar Cabrera Avendaño (México)

Yuliet María Zabaleta Polo (Colombia)

Nexiele González de la Paz (México)

Renata Pietro Viana (Brasil)

Álvaro Fernández (Uruguay)

Eduardo Miñambres (España)

Luciano A. Sposato (Canadá)

Jesús Caballero (España)

Beatriz Domínguez Gil (España)

Monge García (España)

Manuela García (España)

Fernando Pereyra (Colombia)

Humberto Fonseca Cordero (Costa Rica)

Jaime Fernández-Sarmiento (Colombia)

Victoria Gil Navarro (España)

Daren Heyland (Canadá)

Fernando D. Goldenberg (Argentina)

Leo Heunks (Países Bajos)

Lara Pisani (Italia)

Agamenon Quintero Villarreal (España)

Paloma Oliver Sáez (España)

Stefanie Bailey (Estados Unidos)

Stephen Lapinksy (Estados Unidos)

Ramiro Gilardino (Argentina)

Martin Kneyber (Países Bajos)

Alexandre Toledo (Brasil)

Eduardo Lobatón (Estados Unidos)

María Bodi (España)

Claudio Flauzino de Oliveira (Brasil)

José M. Domínguez Roldán (España)

 

TRABAJOS ORALES

09/11/2022 - 08:00 a 09:00

TRABAJOS ORALES 01

Infectología

Atlántico A

 

0216    ASOCIACIÓN DEL USO DE ECOGRAFÍA EN LA COLOCACIÓN DE ACCESOS CENTRALES Y EL DESARROLLO DE INFECCIONES ASOCIADAS

            G Yossa

0312    EVOLUCIÓN DE LAS PERSONAS VIVIENDO CON VIH EN TERAPIA INTENSIVA: ANÁLISIS DE LOS ULTIMOS 20 AÑOS

            L De Vedia, N Lista, A Rodríguez, E Di Virgilio, M Peralta, M Flores Montes, G Piovano, I Prieto, D Dominguez, V Auteri, E Artigas, L Camargo, G Cabrera, M Cieslikowski, E Cunto

0383    INDICADORES DE UTILIZACIÓN DE ANTIMICROBIANOS EN UNA UNIDAD DE CUIDADOS INTENSIVOS DE ADULTOS DE UN HOSPITAL DE ALTA COMPLEJIDAD POST PANDEMIA.

            M Garcia Sarubbio, MA Mazzoleni, MJ Meschini, C Colavita, V Aramendi, A Barbieri, C Paez, V Pazos, MC Marchena, MG Sáenz, S Tal Benzecry, CI Loudet

0386    CONSUMO DE ANTIMICROBIANOS EN UNA UNIDAD DE CUIDADOS INTENSIVOS DE ADULTOS.

            M Garcia Sarubbio, MA Mazzoleni, MJ Meschini, C Colavita, V Aramendi, A Barbieri, CE Páez, V Pazos, MC Marchena, MG Sáenz, S Tal Benzecry, A Garroni, CI Loudet

 

 

 

09/11/2022 - 08:00 a 09:00

TRABAJOS ORALES 02

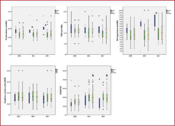
Covid 1

Atlántico B

 

0279    CARACTERISTICAS CLINICAS Y MORTALIDAD DE PACIENTES CON COVID-19 GRAVES Y CRITICOS

            E Cunto, V Chediack, P Saul, A Rodríguez, R Gregori-sabelli, C Dominguez, ME Artigas, Y Lamberto, M Flores Montes, I Prieto, JM Fernández, MI Calderón, N Chacón, E Lista, L De Vedia

0307    CARACTERÍSTICAS Y EVOLUCIÓN DE LA INFECCIÓN GRAVE POR SARS-COV-2 EN PERSONAS VIVIENDO CON VIH

            L De Vedia, V Chediack, S Cáceres, D Dominguez, L Gonzalez, N De Grazia, O Ortuño, V Auteri, P Velazquez, G Piovano, E Cortes, E Di Virgilio, E Artigas, E Cunto

0334    TERAPIA DE REEMPLAZO RENAL CONTINUA DE PACIENTES CRITICOS EN PANDEMIA

            R Gregori Sabelli, C Dominguez, Y Lamberto, P Saul, V Fernandez Abello, J Fernandez, A Bocassi, E Cortez, L Doldan, O Ortuño Cerezo, S Caceres, C Vargas, N Chacon, V Chediack, E Cunto

0346    EVOLUCIÓN DE PACIENTES TRAQUEOSTOMIZADOS COVID Y NO COVID

            F Amieva, G Ramos, V Picolla, R Fiorentino, N Arias, A Carusso, A Enrique, R Mattei, E Soler, M Ducassa, M Salazar, B Paula, B Melanie, C Carlos

0349    ANÁLISIS EPIDEMIOLÓGICO DE LOS PACIENTES INGRESADOS A LA TERAPIA INTENSIVA DEL COMPLEJO MEDICO POLICIAL CHURRUCA-VISCA POR NEUMONÍA POR COVID -19

            A Feldman, J Aguirre, C Lopez, D Varela, M Aliaga, S Tomez, B Daglio, M Lompinzano, S Fredes, N Tiribelli, D Quaranta

0350    TOCILIZUMAB EN EL TRATAMIENTO DE PACIENTES CON NEUMONÍA POR COVID-19 INGRESADOS A LA TERAPIA INTENSIVA DEL COMPLEJO MEDICO POLICIAL CHURRUCA-VISCA

            A Feldman, J Aguirre, C Lopez, D Varela, M Aliaga, S Tomez, B Daglio, M Lompinzano, S Fredes, N Tiribelli, C Benay, D Quaranta

 

 

 

09/11/2022 - 09:00 a 10:00

TRABAJOS ORALES 03

Covid 2

Atlántico B

 

0028    PACIENTES CRITICOS CON COVID-19 DURANTE EL AÑO 2021 EN UNA UNIDAD DE CUIDADOS INTENSIVOS EN ARGENTINA

            CE Maenza, NS Rocchetti, M Ramírez Colombres, M Latimori, FR Dipaolo, F Garavelli, SP Gattino, MD Ré, CJ Settecase, DH Bagilet

0139    FACTORES PREDICTORES DE MORTALIDAD EN PACIENTES CON NEUMONÍA POR COVID-19 EN ASISTENCIA RESPIRATORIA MECÁNICA

            G Genovese, MS Tomez, M Deguardia, RG Ochoa, VN Terrazas Cruz, AK Marquez, IF González Marquez, H Mamani Sánchez, MDLM Picos, A Antik, R Rodrigues La Moglie, B Spath, FM Dana, M Izus

0192    CARACTERÍSTICAS Y RESULTADOS DE LOS SUJETOS CON VENTILACIÓN MECÁNICA INVASIVA DURANTE LA PANDEMIA POR COVID-19: ESTUDIO COMPARATIVO ENTRE PRIMERA Y SEGUNDA OLA EN UN HOSPITAL PÚBLICO DE LA CIUDAD AUTÓNOMA DE BUENOS AIRES

            R Mattei, G Covello, S Gigena, EM Noli, M Bezzi, S Borello, G Jove, D Masuello, ML Laurens, M Mastandrea, G Rodriguez D´aversa, N Suarez, F Rodriguez, L Silvani

0198    CARACTERÍSTICAS Y FACTORES DE RIESGO ASOCIADOS A MORTALIDAD DURANTE EL PRIMER CICLO DE PRONO SECUNDARIO A POR SDRA POR NEUMONÍA POR SARS- COV-2

            C Gonzalez, G Musso, JR Louzan, G Appendino, C Gomez, D Latasa, A Lopipi, J Rango, S Calabrono, G Sterzer, L Finos, M Cavagnari, G Suarez, G Alessio, L Berloni, E Pizzo, A Abarca, L Clemente, M Manago, C Lovesio, E Estenssoro

0261    IMPLEMENTACION DE CANULA NASAL DE ALTO FLUJO EN PANDEMIA COVID-19

            A Gira, E Bellone, V Pousa, P Pratesi

0289    PREDICCIÓN DE MORTALIDAD EN NEUMONÍA GRAVE POR COVID 19 MEDIANTE ALGORITMO DE MACHINE LEARNING

            A Antik, G Genovese, MS Tomez, M Deguardia, R Ochoa, V Terrazas Cruz, AK Marquez, I González Marquez, H Mamani Sánchez, MDLM Picos, F Dana, M Izus

 

 

 

09/11/2022 - 08:00 a 09:00

TRABAJOS ORALES 04

Neumonología-Kinesiología Crítica 1

Courrier Atlántico

 

0041    TRAQUEOSTOMÍA EN PACIENTES CON COVID-19 ¿LA DISFAGIA CONDICIONA EL TIEMPO DE DECANULACIÓN?

            ME Catini, A Falduti, G Chiappero

0051    ESTUDIO RETROSPECTIVO. FALLA DE EXTUBACIÓN EN TERAPIA INTENSIVA DEL HOSPITAL DR JOSE MARIA CULLEN

            HA Armandola, S Izza, EN Diaz Rousseaux

0096    ANÁLISIS DE LA EXPERIENCIA DE USO DE CÁNULA NASAL DE ALTO FLUJO COMO TERAPÉUTICA EN NEUMONÍA POR SARSCOV 2

            E Picos, J Joaquin, I Castro, R Aranda, B Fradin, V Fiorentini, E Dutto, P Desousa, P Staffolani, G Frankenberger, S Alvarez

0190    CONFIABILIDAD DE LAS MANIOBRAS NO INVASIVAS PARA EVALUAR EL IMPULSO RESPIRATORIO Y EL ESFUERZO MUSCULAR EN LA FASE DE SOPORTE PARCIAL DE LA VENTILACIÓN MECÁNICA INVASIVA

            S Gigena, MG Covello, EM Noli, M Bezzi, S Borello, R Mattei, G Jove, D Masuello, ML Laurens, M Mastandrea, G Rodriguez D´aversa, N Suarez, F Rodriguez, F Gonzalez Piña

 

 

 

09/11/2022 - 08:00 a 09:00

TRABAJOS ORALES 05

Pediatría 1

Courrier Boulevard

 

0014    PARÁLISIS CEREBRAL INFANTIL: SOBRECARGA EN EL CUIDADOR PRIMARIO Y SU RELACIÓN CON EL TIPO DE ALIMENTACIÓN Y FUNCIÓN MOTORA DEL PACIENTE

            KM Manzur, MS Menghi

0197    EVOLUCIÓN DE LA MORTALIDAD POR INFECCIONES RESPIRATORIAS AGUDAS BAJAS (IRAB) EN  PACIENTES MENORES DE 2 AÑOS. ESTUDIO OBSERVACIONAL, RETROSPECTIVO, LONGITUDINAL. REPORTE PRELIMINAR.

            J Caridi, L Viterbo, E Monteverde, P Neira

0229    INCIDENCIA DE DELIRIUM EN UNA UNIDAD DE CUIDADOS INTENSIVOS

            C Garcia Laplaza, C Berrondo, E Monteverde

0278    LESIÓN RENAL AGUDA EN NIÑOS CURSANDO POSTOPERATORIO DE CIRUGÍA CARDIOVASCULAR

            M Sanz, P Reyes

0352    IMPACTO DE LA PANDEMIA SOBRE LAS INFECCIONES ASOCIADAS AL CUIDADO DE LA SALUD EN UNA UNIDAD DE CUIDADOS INTENSIVOS PEDIÁTRICOS

            A Bordogna, G Aparicio, P Castellani, C Lutkevicius, M Mendoza, M Rabino

0384    TRASPLANTE HEPÁTICO CON DONANTE VIVO: UNA OPORTUNIDAD CRECIENTE

            J Castro Méndez, P Reyes, I Malla, M Fauda, T Iolster, AJ Siaba Serrate, S Torres

 

 

 

09/11/2022 - 08:00 a 09:00

TRABAJOS ORALES 06

Trasplante-Neurointensivismo

Dauphine

 

0054    EXPERIENCIA DEL USO DE DUPPLEX TRANSCRANEAL EN UNA UNIDAD DE CUIDADOS CRITICOS INFECTOLOGICA

            Y Lamberto, P Saul, C Dominguez, R Gregori-sabelli, N Chacon, J Fernandez, S Caceres, L Gonzalez, P Velazquez Lopez, MDLM Nano, G Sandez, V Chediack, E Cunto

0083    TRASPLANTE DE PULMÓN, ¿PROBLEMA EN LA OFERTA O EN LA DEMANDA? DESCRIPCIÓN DE PACIENTES DONANTES REALES EN UN HOSPITAL PÚBLICO DE LA REPÚBLICA ARGENTINA

            DA Rodriguez, P Centeno, M Petre, F Puzzo, M Anchorena, J Aldana Diaz, D Ortega Rodriguez, L Sanabria, X Benavente

0084    PROCURACIÓN DE PULMÓN: INCLUSIÓN DE VARIABLES MODERNAS PARA VALORAR SU CALIDAD. ESTUDIO DESCRIPTIVO EN UN HOSPITAL PÚBLICO DE LA REPÚBLICA ARGENTINA

            DA Rodriguez, P Centeno, F Puzzo, L Sanabria, B Murguía, M Petre, M Domanico, E Duarte, M Anchorena

0306    FACTORES ASOCIADOS A RETRASO EN LA FUNCION DEL INJERTO EN TRASPLANTE RENAL CON DONANTE CADAVERICO

            FE Kulik, VR Giudicce, TC Navarro Toffaletti, VV Espindola, FN Falcon, ML Braccini, AE Piacenza

0335    DONACIÓN EN ASISTOLIA CONTROLADA EN UN HOSPITAL PÚBLICO DE ARGENTINA. SERIE DE CASOS

            MR Domanico, DA Rodriguez, E Duarte, P Centeno, M Anchorena, M Petre, X Benavente, J ángulo, R Canelon, D Ortega Rodriguez, E Montiel, G Duca, J Gelline Garcia, M Ramirez, NB Leales

 

 

 

09/11/2022 - 08:00 a 09:00

TRABAJOS ORALES 07

Nutrición-Gastrointensivismo

Nonna 1

 

0221    ADECUACIÓN AL REQUERIMIENTO CALÓRICO EN PACIENTES CRÍTICOS DURANTE LA TRANSICIÓN DE LA VÍA ENTERAL A LA VÍA ORAL POST EXTUBACIÓN OROTRAQUEAL

            D Carelli, M Antonini, R Lema

0284    LINFOPENIA  EN EL PACIENTE CRÍTICO CON Y SIN OBESIDAD

            R Gregori Sabelli, V Fernandez Abello, P Saul, C Dominguez, MB Della Paolera, Y Lamberto, M Abot, S Caceres, M Galindo, N Chacon, M Noceto, MDLM Nano, V Chediack, E Cunto

0301    CALORIMETRÍA INDIRECTA SEGÚN EL TIEMPO DE ESTADÍA EN TERAPIA INTENSIVA

            MJ Reberendo, F Gutierrez, AH Reque Panozo, ND Llobera, CA Navarro Pabon, SP Chapela

0302    CALORIMETRÍA INDIRECTA EN PACIENTES OBESOS EN VENTILACIÓN MECÁNICA

            ND Llobera, F Gutierrez, AH Reque Panozo, MJ Reberendo, CA Navarro Pabon, SP Chapela

0327    COMPARACIÓN DE CALORIMETRÍA INDIRECTA CON EL MÉTODO DE FICK PARA LA ESTIMACIÓN DEL GASTO CALÓRICO EN PACIENTES CRÍTICAMENTE ENFERMOS

            F Gutierrez, EJ Descotte, MJ Reberendo, ND Llobera, M Pozo, SP Chapela

 

 

 

09/11/2022 - 08:00 a 09:00

TRABAJOS ORALES 08

Gestión

Nonna 2

 

0040    COMPOSICIÓN DEL GASTO EN LA UTI DEL HOSPITAL ITALIANO DE ROSARIO, EN UN PERÍODO DE 6 MESES

            E Vera, R Pellini

0055    SAPS III: DESEMPEÑO EN UN SERVICIO DE CUIDADOS INTENSIVOS MIXTO EN ARGENTINA

            R Fernandez

0075    INTERVENCIONES FARMACÉUTICAS: IMPACTO EN LOS COSTOS Y LA EFECTIVIDAD DEL PASAJE DE VÍA ENDOVENOSA A VÍA ORAL

            G Vecchio, J Sanchez

0199    CAMBIOS PRE Y POST PANDEMIA EN LA UTI DEL HOSPITAL COMUNITARIO DE PINAMAR

            C Mendoza Hadad, VH Rogers, M Aquino, MR Ayala, L Bobone, A Colombani, D Curuchet, JA Chuquipoma Diaz, E Deza Chingel, GP Formica, A Gabrieloni, ME Garcia, ME Gonzalez, L Guzmán Cerezo, V Mandich, M Melia, G Perez, M Porco, J Pui, YM Pui, JA Rodriguez, WH Sommer, K Valdiviezo Acuña

0207    UTILIZACION DE RECURSOS PRE Y POST PANDEMIA EN LA UTI DEL HOSPITAL COMUNITARIO DE PINAMAR

            C Mendoza Hadad, VH Rogers, M Aquino, MR Ayala, L Bobone, A Colombani, D Curuchet, JA Chuquipoma Diaz, E Deza Chingel, GP Formica, A Gabrieloni, ME Garcia, ME Gonzalez, L Guzmán Cerezo, V Mandich, M Melia, G Pérez, M Porco, YM Pui, J Pui, JA Rodriguez, WH Sommer, K Valdiviezo Acuña

 

 

 

10/11/2022 - 08:00 a 09:00

TRABAJOS ORALES 09

Nefrología-Shock-Cardio

Nonna 1

 

0011    CARACTERÍSTICAS CLÍNICAS Y EVOLUCIÓN DE LOS PACIENTES QUE CONSULTAN POR FA A UN SERVICIO DE EMERGENCIAS HOSPITALARIO

            A Guzzetti, P Zielinksi, M Teheran Wilches, L Pulido Blanco, C Basañes, L Rocha Rivarola, F Allalla, A Savia

0024    IMPORTANCIA DE LA RESERVA FUNCIONAL PREOPERATORIA EN ESOFAGECTOMÍA. LA VISIÓN DEL ESPECIALISTA EN TERAPIA INTENSIVA

            FC Rosciani, VA Ruiz, I Carboni Bisso, S Di Stefano, SE Giannasi, FG Wright, MA Sian, FL Negri Rico, C Juana, G Galli, MJ Las Heras, I Fernández Ceballos

0176    VALOR PREDICTIVO DEL TIEMPO DE RELLENO CAPILAR BASAL PARA EL DESARROLLO DE SHOCK SÉPTICO EN PACIENTES CON SOSPECHA DE INFECCIÓN Y REQUERIMIENTOS DE INTERNACIÓN EN UTI

            DP Acosta, D Vazquez, N Fermin Paredes, W Rosales, C Bernal, S Eiguren, L Bucetta

0295    MORTALIDAD EN PACIENTES CON ENFERMEDAD RENAL CRÓNICA EN TERAPIA DIALÍTICA EN LA UNIDAD DE CUIDADOS INTENSIVOS DEL HOSPITAL DE CLINICAS - PARAGUAY

            C Gomez, A Peralta, A Urquhart, F Fretes, T Scholtz, N Galeano, P Rolon, H Bianco, F Ferreira, B Figueredo

 

 

 

10/11/2022 - 08:00 a 09:00

TRABAJOS ORALES 10

Covid 3

Atlántico A

 

0044    MORTALIDAD, DEPENDENCIA FUNCIONAL Y RESULTADOS COGNITIVOS DE PACIENTES ADULTOS CON COVID-19 QUE REQUIRIERON VENTILACION MECÁNICA INVASIVA DURANTE LA TERCERA OLA DE LA PANDEMIA: COHORTE PROSPECTIVA

            E Martinez, C Aguilera, D Marquez, V Sturzenegger, C Cimino, E Hidalgo, H Escobar, S Piombi Adanza, G Zielger, L Tschopp, C Cominotti, J Plumet, C Pereyra

0088    CALIDAD DE VIDA EN PACIENTES POST NAC GRAVE POR SARCOV2 CON PROGRESIÓN RADIOLÓGICA DE INFLAMACIÓN INTERSTICIAL QUE RECIBIERON METILPREDNISOLONA

            MV Saucedo, NC Rumbo, I Castro, SV Santarelli, CE Lopez, E Barimboin, E Zirulnik, SS Alvarez

0098    SOBREVIDA Y ESTADO FUNCIONAL AL AÑO EN PACIENTES VENTILADOS POR COVID 19

            G Echavarria, M Gutierrez, E Sobrino, G Badariotti, P Sabaté, A Manchado, P Lavorato, P Lopez, M Durlach, I Raguzzi, A Luconi, G Galego, B De Diego

0181    SEGUIMIENTO EN UN CENTRO DE REHABILITACIÓN DE UNA COHORTE DE SUJETOS CON COVID-19 CRÍTICO LUEGO DEL ALTA DE LA UNIDAD DE TERAPIA INTENSIVA

            S Sciuto, MM Santini, PR Peral, FE Villagra, EM Arocena, JN Martínez Nehin, I Zabert, GE Zabert

0242    CARACTERÍSTICAS Y EVOLUCIÓN DE PACIENTES OBSTÉTRICAS CRÍTICAS CON COVID-19 REQUIRIENDO SOPORTE VENTILATORIO AVANZADO: ESTUDIO DE COHORTE PROSPECTIVO MULTICÉNTRICO

            D Vasquez, R Giannoni, A Salvatierra, K Cisneros, D Lafosse, F Escobar, M Montenegro, P Juárez, L Visani, V Mandich, E Barrozo, M Kirschbaum, G Plotnikow, MF Valenti, MC Canseco, I Romero, P Macharé, A Marquez, E Rodriguez, C Palacio, L Rapela, J Amillategui Scenna, R Nuñez, S Torres, MA Gonzalez, L Franconieri, A Das Neves, D Nasner, P Okurzaty, AD Intile

0251    CARACTERÍSTICAS OBSTÉTRICAS Y EVOLUCIÓN FETAL-NEONATAL EN PACIENTES CON COVID-19 QUE REQUIRIERON INGRESO A UTI: ESTUDIO MULTICÉNTRICO DE COHORTE PROSPECTIVA

            D Vasquez, R Giannoni, A Salvatierra, K Cisneros, D Lafosse, F Escobar, M Montenegro, P Juárez, L Visani, V Mandich, E Barrozo, M Kirschbaum, A Das Neves, MF Valenti, MC Canseco, I Romero, P Macharé, A Marquez, E Rodriguez, C Palacio, L Rapela, J Amillategui Scenna, R Nuñez, MA Gonzalez, S Torres, L Franconieri, G Plotnikow, D Nasner, P Okurzaty, AD Intile

 

 

 

10/11/2022 - 08:00 a 09:00

TRABAJOS ORALES 11

Neumonología-Kinesiología Crítica 2

Courrier Atlántico

 

0006    EFICACIA Y COMPLICACIONES DE LA TRAQUEOTOMÍA PERCUTÁNEA GUIADA POR BRONCOSCOPIA EN PACIENTES CON COVID-19 Y SIN COVID-19

            V Ruiz, F Rosciani, I Carboni Bisso, I Fernandez Ceballos, M Las Heras, C Lockhart, J Cantos

0059    INTUBACIÓN POR LARINGOSCOPIA CONVENCIONAL VS VIDEOLARINGOSCOPIA EN OPERADORES INEXPERTOS

            MA Vargas, VV Espíndola, LP Marzoratti, TC Navarro Toffaletti, ÁE Piacenza

0069    ANALISIS DE LAS COMPLICACIONES Y MORTALIDAD DE PACIENTES TRAQUEOTOMIZADOS EN LA TERAPIA HIGA EVA PERON SAN MARTIN

            F Guzmán Tapia, JC Uribe Caballero, S Castro, ML Salazar Hernandez, A Fray, M Flores, M Morante

0156    INCIDENCIA DE COMPLICACIONES TARDÍAS EN TRAQUEOSTOMIAS PERCUTÁNEAS

            VI Reichert, N Carrizo, A Marozzi, M Filippi, L Morano, R Avila

 

 

 

10/11/2022 - 08:00 a 09:00

TRABAJOS ORALES 12

Covid 4

Courrier Boulevard

 

0023    DETECCIÓN ECOCARDIOGRÁFICA DEL TRÁNSITO DE BURBUJAS TRANSPULMONARES DURANTE LA ENFERMEDAD POR CORONAVIRUS-2019 (COVID-19)

            J González Anaya, I Carboni Bisso, V Ruiz, M Baglioni, E Villanueva, I Huespe, S Di Stefano, M Las Heras, M Falconi, J Sinner

0050    SERIE DE CASOS CON MEMBRANA DE OXIGENACIÓN EXTRACORPÓREA DURANTE MARZO 2020 - DICIEMBRE 2021. CLÍNICA PASTEUR-NEUQUÉN

            P Delgado, V Mercado, G Granado

0057    ¿CUÁLES FUERON LAS VARIABLES CLÍNICO EPIDEMIOLÓGICAS Y CAUSA REAL DE MUERTE EN PACIENTES CON COVID-19?

            E Arana Osorio

0082    PRUEBA DE EJERCICIO CARDIO-PULMONAR Y SPECT PULMONAR V/Q POSITIVO EN PACIENTES POST-COVID

            LG Duran, L Melatini, T Papucci, JM Via Alvarado, M Colucci

0131    MONITOREO DEL AGUA EXTRAVASCULAR PULMONAR EN COVID -19

            D Duarte, G Benavent, A Monson, Y Escobar, D Espinel, E Sanchez, J Roldan, R Sanabria

 

 

 

10/11/2022 - 08:00 a 09:00

TRABAJOS ORALES 13

Pediatría 2

Dauphine

 

0123    ERRORES ASOCIADOS A LA PRESCRIPCIÓN Y/O ADMINISTRACIÓN DE MEDICAMENTOS EN PACIENTES PEDIÁTRICOS CRÍTICOS

            V Bas, M Jofre

0151    VENTILACIÓN MECÁNICA NO INVASIVA COMO TERAPIA DE SOSTÉN EN PACIENTES CRÍTICOS PEDIÁTRICOS MENORES DE UN AÑO CON FALLA RESPIRATORIA AGUDA. ESTUDIO DE COHORTE

            JI Simonassi, MT Canzobre, M Ricciardelli

0162    IMPLEMENTACIÓN SISTEMÁTICA DE LA DETECCIÓN DE DELIRIUM EN UNA UCIP A TRAVÉS DE ESCALAS VALIDADAS

            C Berrondo, C Laplaza, J Caridi, R Martínez, L Viterbo, L Faure, J Salvatierra, R Pasmiño, E Barlassina, D Mujica

0183    IMPLEMENTACIÓN DE CHECK LIST DIARIO COMO MEJORA DE LA SEGURIDAD DEL PACIENTE EN UNA UCIP

            C Berrondo, E Monteverde, M Garea, P Neira

 

 

 

11/11/2022 - 08:00 a 09:00

TRABAJOS ORALES 14

Covid 5

Atlántico A

 

0010    SUPERVIVENCIA Y DECANULACIÓN A LOS 90 DÍAS LUEGO DE TRAQUEOSTOMIA POR DILATACIÓN  PERCUTANEA EN UNIDAD DE CUIDADOS INTENSIVOS  COVID-19

            G Musso, M Mangó, MC Gomez, G Appendino, L Friscione, C Gonzalez, C Capitaine Funes, F Piatti, C Lovesio

0025    MONITOREO REMOTO DE LA GLUCEMIA DURANTE LA PANDEMIA SARS-COV-2: SERIE DE CASOS

            L Bujan Molins, I Carboni Bisso, F Garelli, H De Battista, R Sánchez-peña, E San Román, L Grosembacher, M Las Heras

0072    INTERRUPCIÓN DE LA SEDACIÓN DIARIA POSTERIOR A LA PANDEMIA POR COVID-19 EN UNA UNIDAD DE TERAPIA INTENSIVA DE ADULTOS

            A Potenzoni, Y Benavente

0090    ASPERGILOSIS PULMONAR ASOCIADA A COVID-19: UNA MIRADA RETROSPECTIVA

            NI Zelaya De Leon, CJ Beroiza, M Cruz, LG Duran, NA Grassi, AV Millán, MG Montenegro Fernandez, M Petasny, P Zorzano Osinalde

0101    IMPACTO DEL SARS-COV-2 EN LA PREVALENCIA DE CARBAPENEMASAS DE BACILOS GRAM NEGATIVOS AISLADOS DE HEMOCULTIVOS DE UNA UNIDAD DE CUIDADOS INTENSIVOS

            ML Cazzola, MS Ocampo, MV Benito, MB Mijalski, A Cremona

 

 

DISCUSIÓN DE POSTERS ELECTRÓNICOS

09/11/2022 - 14:00 a 15:30

Discusión de Posters Electrónicos 01

Cardiología 1

Columnas del Boulevard

 

0206    SÍNDROME CORONARIO AGUDO SECUNDARIO A ROBO CORONARIO: A PROPÓSITO DE UN CASO

            N Grassi, CJ Beroiza, M Cruz, LG Durán, VA Millán, MG Montenegro Fernandez, M Petasny, NI Zelaya De León, P Zorzano Osinalde

0239    INSUFICIENCIA TRICUSPÍDEA TRAUMÁTICA

            A Ramirez Juncos, PB Pahnke

0263    PARO CARDIORRESPIRATORIO RECUPERADO SECUNDARIO A SÍNDROME DE TAKOTSUBO. PRESENTACIÓN DE CASO

            GM Garelli, SB Soli, JJ Storani, DS Diaz

0294    COMUNICACIÓN INTERVENTRICULAR MULTIPLE, COMPLICACION GRAVE Y POCO FRECUENTE POST INFARTO

            S Gasparotti, LM Rodriguez, FP Bertoletti

0317    SINDROME POSTPERICARDIOTOMIA TRAS CIRUGIA CARDIACA

            J Quiroz Cedeño, G Monti, F Perez, G Gaudenzi, P Verta, M Rolando, O Ferrufino, K Banzer, M Mansur, K Gamarra, A Canchila, D Parraga, A Fernandez, A Gonzalez, D Mingoni

0332    ATURDIMIENTO MIOCARDIACO NEUROGENICO EN UN PACIENTE CON SLPR. PRESENTACION DE UN CASO

            M Martinez, LC Avila, EC Rodriguez

0347    DISECCIÓN DE ARTERIA PULMONAR ASOCIADO A FIBROSIS PULMONAR IDIOPATICA

            M Singh, F Am, J Moreno, R Santillan, S Gerez, DA Mariana, N Orosco, F Enriquez, L Panozo, A Jove, J Salvadores

0385    NIVELES ELEVADOS PERSISTENTES DE TROPONINA T EN PACIENTE CON MELANOMA TRATADO CON NIVOLUMAB. A PROPÓSITO DE UN CASO

            P Melchiori, D Abila, E Guerrero, P Bucciarelli, C Santilli, H Rothe, P Brenzoni

0402    TROMBOEMBOLISMO PULMONAR SECUNDARIO A DISECCION DE LA ARTERIA PULMONAR: A PROPOSITO DE UN CASO

            MA Misa, A Brañez Toro Yasmani, DC Rodriguez, CL Landoni, A Brizuela, JP Soliz, J Vazquez, S Roldan Montaño, A Luzzi, J Lescano

 

 

 

09/11/2022 - 14:00 a 15:30

Discusión de Posters Electrónicos 02

Covid 1

Columnas del Boulevard

 

0009    VIABILIDAD DEL POSICIONAMIENTO EN DECÚBITO PRONO CON UN ÚNICO OPERADOR: DESCRIPCIÓN TÉCNICA

            A Masso, N Gemelli, G Sotera, C Barrios, D Pina, I Carboni Bisso, M Las Heras

0017    TROMBOCITOPENIA TROMBÓTICA INMUNITARIA INDUCIDA POR LA VACUNA  PRESENTACIÓN DE CASO Y REVISIÓN BREVE

            U Zaya, A Aliscioni, Y Saldivar, R Alvarez, F Irades, N Kessler, P Tejerina, C Firme, P Calcagno, E Minoldo, C Galletti

0153    MIASTENIA GRAVIS DE NUEVA APARICION POST VACUNACION CONTRAL EL SARS-COV-2. REPORTE DE CASO

            M Martinez, LC Avila, EC Rodriguez

0268    HALLAZGOS TOMOGRAFICOS ATÍPICOS EN PACIENTES COVID 19  Y SU ASOCIACIÓN CON TOCILIZUMAB

            DN Gauna, A Dubin, N Benassich, C Zapata, A Leporace, C Alquichire, R Bastidas, M Palmas, P De Leon, I Swoboda, A Guevara, S Gallego, L Sambrana, G Lopez, D Colosima, V Kanoore Edul, N Rubatto, M Mugno

0275    USO DE HELMET COMO HERRAMIENTA TERAPÉUTICA EN PACIENTES CON NEUMONÍA POR COVID-19

            JP Arduino, S Pulcinelli, D Souto, D Sanchez, D Cattalini

0324    COAGULOPATÍA INDUCIDA POR COVID. REPORTE DE CASO

            JJ Cáceres, FD Vasile, MA Vega, DA Sittoni, JR Bagnasco, NV Luna

0326    MIOCARDITIS POR SAR COV-2 EN PACIENTE INMUNOCOMPROMETIDA. REPORTE DE CASO

            G Fernandez, V Cuéllar, C Miglioranza, S Viera, P Dominguez, N Rizzo, P Zenón, P Artaza, A Bucci, H García, R López, MM Tártara, S Urbano, L Migliacci, P Verón

0364    TAKOTSUBO ASOCIADO A SINDROME DE DISTRES RESPIRATORIO AGUDO POR COVID-19

            M Singh, F Am, J Moreno, R Sanitllan, S Gerez, L Panozo, A Jove, N Orosco, F Enriquez, M Dell Aqcua, S Ramos, J Salvadores

0375    TROMBOCITOPENIA TROMBÓTICA INMUNE INDUCIDA POR LA VACUNA (VITT) ASTRAZENECA - REPORTE DE CASO

            E Viscarra, G Tajes, L Del Tiempo, M Magrini, E Choque, N Segura, A Santa Maria, M Berté, D Noval, S Ilutovich

0404    NEUMONÍA SEVERA POR SARS-COV-2 EN TRASPLANTADOS DE ÓRGANO SÓLIDO INTERNADOS EN TERAPIA INTENSIVA

            LC Perez Illidge, L Aguirre, G Tuhay, N Peña, ML Ojeda, S Finoli, M Acebo, E Giordanino, R Pantoja, F Klein

 

 

 

09/11/2022 - 14:00 a 15:30

Discusión de Posters Electrónicos 03

Gastroenterología y Nutrición 1

Columnas del Boulevard

 

0205    PROBIÓTICOS: ¿SON REALMENTE INOFENSIVOS?

            GL Capdevila Vicente, PB Pahnke, MC Vignetta, S Paván, A Lopez, I Herrero, MV Vignolo, I Ocampo, S Cabiedes

0223    NECROSIS ESOFÁGICA AGUDA EN PACIENTE CRÍTICAMENTE ENFERMO: REPORTE DE CASO

            CF Chavez, F Ferreira, L Soliz, J Cardozo, R Dominguez, MB Vazquez, JC Galarza, C Pozo, N Grubissich, D Pina

0256    REPORTE DE CASO: SÍNDROME DE ARTERIA MESENTÉRICA SUPERIOR O SINDROME DE WILKIE

            V Iglesia, L Peralta, N Tedone, F Villarejo, D Piezny, R Rotte, S Helguera, D Pezzola, C Arias, L Medina, L Magnifico

0274    CONSTIPACION EN LA UNIDAD DE TERAPIA INTENSIVA ADULTOS DEL HOSPITAL REGIONAL DE COMODORO RIVADAVIA DURANTE EL PERIODO DE ENERO A JUNIO 2022

            ML Morales, L Ruarte, M Garcia, P Taborda, J Ortega, A Quinteros, S Rojas, C Ferreyra, D Carranza, N Bonetto, S Carrizo, J Celia, M Ruiz, M Buemo

0300    EL MÚSCULO MEDIDO EN LA TOMOGRAFÍA DE TÓRAX NO PREDICE MORTALIDAD EN TERAPIA INTENSIVA

            SP Chapela, M Aquino, MJ Reberendo, L Carmona Diaz, ND Llobera, C Peñaranda, A Garcia

0400    PANCREATITIS AGUDA SECUNDARIA A HIPERTRIGLICERIDEMIA SEVERA. PRESENTACIÓN DE CASO

            G Garelli, GM Garelli, JJ Storani, SB Soli, DS Diaz

0403    VALORACION DEL ESTADO NUTRICIONAL DE LOS PACIENTES QUE INGRESAN A UTI  Y SU RELACIÓN CON LOS VALORES DE ALBUMINA SERICA

            M Ramon, M Singh, N Aguer, F Am, J Moreno, S Ramos

 

 

 

09/11/2022 - 14:00 a 15:30

Discusión de Posters Electrónicos 04

Infectología 1

Columnas del Boulevard

 

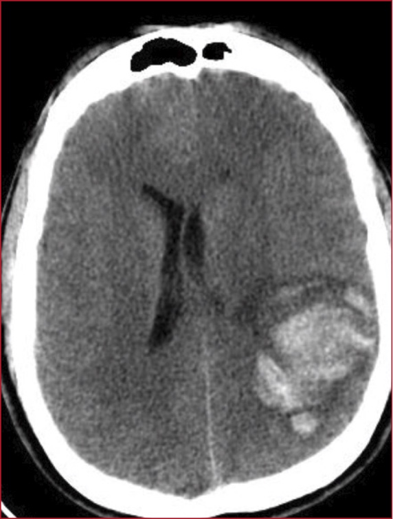
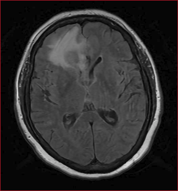
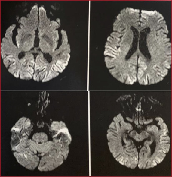
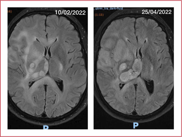
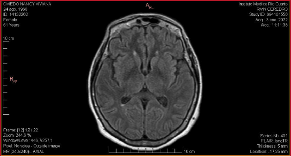
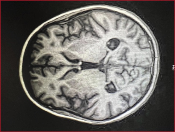
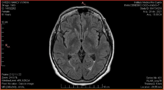
0288    ABSCESO CEREBRAL CON RUPTURA HACIA SISTEMA VENTRICULAR POR STREPTOCOCCUS INTERMEDIUS

            VD Toledo, M Montenegro, A Violo, AC Di Nuzzo, A Ojeda, R Lobo, J Sereno, M Centurion, F Alsina, E Mikulic

0293    PATOLOGÍA POR CONSUMO DE CONSERVAS: BOTULISMO EN EL NOA, REPORTE DE CASOS

            AM Sanchez, AN Vides, N Saragusti, N Llanes, R Retambay, MC Sotelo, M Corona, J Maidana, R Reinoso

0298    INFECCIONES FÚNGICAS PULMONARES EN PACIENTES CON COVID-19 EN UN HOSPITAL UNIVERSITARIO DEL PARAGUAY

            I Colman, J Figueredo, F Fretes, L Fontclara, J Cabral, R Paez, R Caballero, J Pereira, H Bianco, B Figueredo

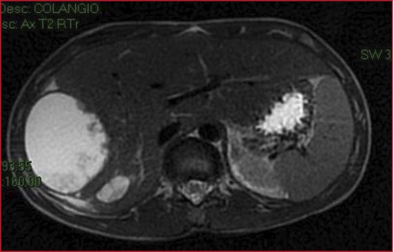
0299    REPORTE DE UN CASO: SÍNDROME DE ABSCESO HEPÁTICO INVASOR POR KLEBSIELLA PNEUMONIAE

            K Banzer, G Monti, G Gaudenzi, C Llerena, J Quiroz, O Ferrufino, M Rolando, M Mansur, F Perez, D Parraga, K Gamarra, A Canchila, A Fernandez, A Gonzalez, D Mingoni

0329    PERICARDITIS PURULENTA POR STREPTOCOCCUS PNEUMONIAE EN PACIENTE CON COINFECCION POR VIRUS DE INMUNODEFICIENCIA ADQUIRIDA Y SARS COV-2: REPORTE DE UN CASO

            M Galindo, P Saul, MDLM Nano, G Sandez, F Gil Zbiden, JM Fernandez, C Vargas, N Campagnucci, A Pacovich, ME Ibarra, E Cortez, P Velazquez, V Chediack, ER Cunto

0354    MENINGITIS POSQUIRURGICA POR ENTEROCOCO VANCOMICINA RESISTENTE EN POSTOPERATORIO DE HEMORRAGIA SUBARACNOIDEA POR MALFORMACION ARTERIOVENOSA

            J Salvadores, F Am, S Ramos, N Marquez, V Barrozo, M Singh, B Olocco

0365    INFECCIÓN NECROTIZANTE DE TEJIDOS BLANDOS POR ESTAFILOCOCO AUREUS MR DE LA COMUNIDAD DE EVOLUCIÓN FULMINANTE

            C Sotelo, A Vides, M Corona, J Maidana

0376    TROMBOSIS CEREBRAL RETARDADA COMO COMPICACION DE MENINGITIS POR S. PNEUMONIAE

            DF Párraga, G Monti, C Llerena, G Gaudenzi, M Rolando, J Quiroz, K Banzer, O Ferrufino, M Mansur, F Perez, K Gamarra, A Canchila, A Fernandez, A Gonzales, D Mingoni

0396    ASPERGILLOSIS ABDOMINAL

            A Jora, C Colque Espada, ME Boazzo, Y Juarachy, R Quisbert, Y Ramos Alcaraz, JC Garcia, C Farias

0397    NEUMONÍA ASOCIADA A VENTILACIÓN MECÁNICA BACTERÉMICA POR CHRYSEOBACTERIUM INDOLOGENES EN PACIENTE CON CÁNCER PULMONAR: REPORTE DE CASO

            AN Pérez Murúa, M Jaume, MF Piñeiro, MP Cordero, D Lafosse, A Tristaíno, L Pero, B Castro, D Dobricich, K Cisneros, E Porjolovsky, L Franconieri

 

 

 

09/11/2022 - 15:30 a 17:00

Discusión de Posters Electrónicos 05

Pediatría 1

Columnas del Boulevard

 

0165    REPORTE DE UN CASO DE MAL DE POTT EN UN LACTANTE

            L Menta, E Paz, A Coca Salazar, A Dalzotto, C Olivera, C Karina

0210    CARACTERÍSTICAS DE LOS PACIENTES CON ACCIDENTE CEREBROVASCULAR INGRESADOS EN UNA UNIDAD DE CUIDADOS INTENSIVOS  PEDIÁTRICOS

            S Magee Bahl, P Neira, E Monteverde, D Turina

0264    ESTADO EPILEPTICO SUPER REFRACTARIO EN LUPUS ERITEMATOSO SISTEMICO, EN UNIDAD DE CUIDADOS INTENSIVOS PEDIATRICOS. REPORTE DE UN CASO

            M Pazmino, R Alvarez, J Velez, C Fridman

0269    ORIGEN ANÓMALO DE LA ARTERIA CORONARIA IZQUIERDA COMO CAUSA DE INSUFICIENCIA CARDIACA Y SHOCK CARDIOGENICO

            G Gonzalez, F Pavone, A Lepore, PZ Vladimir, M Ludueña, A Guillermo, A Maria Fernanda, M Pablo, L Marta

0305    VEXUS: NUEVO SISTEMA DE VALORACION VENOSA CON POCUS

            AS Avila Vera, J Bleis

0323    POLITRAUMATISMO POR APLASTAMIENTO CON LESION HEPATOESPLÉNICA Y MANEJO CONSERVADOR. REPORTE DE UN CASO DONDE LA DISCUSIÓN CONTINUA

            PL Bureu, SM Romero Baldoni, MI Subira

0325    REPORTE DE CASO: FALLO RESPIRATORIO POR QUISTE DE VALÉCULA Y MANEJO EN LA URGENCIA

            M Enriquez Gentile, L Martinez, C Mena, A Bottaro, D Natta, P Medici, M Nogueira, J Gonzalez, D Jauregui

0377    TRANSPOSICIÓN DE GRANDES VASOS Y SWITCH ARTERIAL: NUEVOS DESAFÍOS EN CENTROS PRIVADO Y PÚBLICO DE TUCUMÁN

            G Fagalde, C Chavez, L Ramasco, S Gabriela, R Alejandra, J Paula, C Paula, P Hugo, T Rubén, PC Pablo, R Magdalena, C Ezequiel

0388    BILIOMA COMO COMPLICACION DE TRAUMATISMO HEPATICO EN LA TERAPIA INTENSIVA INFANTIL. REPORTE DE 2 CASOS

            M Pazmino, M Giampieri, M Gonzalez, C Lutkevicius, P Castellani, M Rabino

 

 

 

09/11/2022 - 15:30 a 17:00

Discusión de Posters Electrónicos 06

Nefrología y Medio Interno

Columnas del Boulevard

 

0038    TOXICIDAD Y FALLECIMIENTO DE 2 PACIENTES POR CONSUMO DE THEVETIA AHOUAI EN NORTE DE SANTANDER

            LA Dulcey Sarmiento, JS Theran Leon, R Caltagirone, IC Assaf Seguias, V Cabrera Peña, AL Ruge Serrano, JA Pineda Parada, JJ Barbosa Del Castillo, MJ Aguas Cantillo, RG Parales Strauch, A Quintero Romero

0124    SÍNDROME NEFRÓTICO SECUNDARIO A GLOMERULONEFRITIS MEMBRANOSA EN PACIENTE DIABÉTICA. REPORTE DE UN CASO CLÍNICO

            F Cometto, M Jaime, HA Trillard, M Binci Vayer, S Dipente, E Guzman, S Mattausch

0125    SÍNDROME RIÑÓN-PULMÓN EN PACIENTE CRÍTICO. REPORTE DE UN CASO CLÍNICO

            F Cometto, M Jaime, HA Trillard, M Binci Vayer, S Dipente, E Guzman, S Mattausch

0158    IMPACTO DE LA HIPONATREMIA AL INGRESO EN LOS PACIENTES INTERNADOS EN EL SERVICIO DE TERAPIA INTENSIVA: ANÁLISIS RETROSPECTIVO

            M Gonzalez, JE Alfonso, LJ Ojeda Flores, KV Velazco Velazquez, LF Solis, LB Costa, C Pisarello, MA Perez Scetti, C Mizdraji, LG Huespe, S Lazzeri, JC Garcia Roth, H Alvarez

0215    TOXICIDAD POR METFORMINA: PRESENTACIÓN DE UN CASO CLÍNICO

            MA Balauz, M Ducasa Torres, P Balmaceda, M Salazar, F Amieva, GE Ramos, V Picolla, CB Cozzani

0234    ACIDOSIS LACTICA SECUNDARIO A INTOXICACION POR METFORMINA

            P Zuleta Chambi, A Bonilla, E Polo, J Rivadeneira

0270    GLOMERULONEFRITIS: PRESENTACION ATIPICA

            A Gonzalez, G Tocalli, A Baez, M Lotorto, C Canteli, S Lujan

0318    CUANDO LA INTERPRETACION DEL ESTADO ACIDO-BASE ES LA CLAVE DEL DIAGNOSTICO. REPORTE DE UN CASO

            CM Dimarco, G Velazco, V Saucedo, C Lopez, S Saltarelli, G Fernandez, S Alvarez, S Saracco

0328    UTILIDAD DE LA VENA YUGULAR INTERNA PARA HEMODIÁLISIS DE URGENCIA EN PACIENTES ORTOPNEICOS

            R Karatanasopuloz, MM Barraza, SA Gimenez Pedemonte, JC Florez, A Serruya, G Levy, L Gossen, MF Mendieta, C Joachin

0330    INGESTA SUBREPTICIA DE FUROSEMIDA: MANIFESTACIONES HIDROELECTROLITICAS Y DERMATOLOGICAS

            DN Gauna, M Daniel, F Benavente, MP Etchemendi, A Dubin

0410    ACIDOSIS PIROGLUTÁMICA CON GAP ELEVADO ASOCIADO A CONSUMO DE PARACETAMOL

            MB Pollian, M Cuestas Rios, F Loiacono, J Sagardia, N Balderrama

 

 

 

09/11/2022 - 15:30 a 17:00

Discusión de Posters Electrónicos 07

Neumonología-Kinesiología 1

Columnas del Boulevard

 

0060    NEUMOMEDIASTINO, NEUMOTÓRAX BILATERAL Y NEUMORRAQUIS EN CRISIS ASMÁTICA SEVERA

            M Latimori, F Garavelli, F Dipaolo, M Ramirez Colombres, CE Maenza, MD Ré, SP Gattino, NS Rocchetti, CJ Settecase, DH Bagilet

0067    REPORTE DE CASO: OXIGENOTERAPIA DE ALTO FLUJO COMO MÉTODO DE WEANING EN PACIENTE TRAQUEOSTOMIZADO CON ASISTENCIA MECÁNICA VENTILATORIA PROLONGADA

            Z Carlos Matías Ezequiel, ML Braccini, DE Miño, TC Navarro Toffaletti, P Piacenza

0074    ANÁLISIS DE LAS CARACTERÍSTICAS DEMOGRÁFICAS Y CLÍNICAS DE UNA SERIE DE TRAQUEOTOMÍAS EN LA TERAPIA INTENSIVA DEL HIGA EVA PERÓN DE SAN MARTIN

            JC Uribe Caballero, F Guzman, S Castro, ML Salazar Hernandez, A Fray, M Flores, M Morante

0102    TIMING DE TRAQUEOSTOMÍA EN UNA TERAPIA POLIVALENTE DE LA CLÍNICA DEL VALLE DE COMODORO RIVADAVIA

            MA Sabbatini

0107    TERAPIA DE ALTO FLUJO EN TRAQUEOSTOMÍA COMO ESTRATEGIA EN DESTETE PROLONGADO: REPORTE DE CASO

            AE Gomez, JI Fernandez, O Reniero, ME Dure

0115    COLAPSO SUBGLÓTICO TRAQUEAL SUPRAOSTOMÍA COMO FALLA EN EL PROCESO DE DECANULACIÓN

            G Chiappero, A Falduti, ME Catini

0128    REHABILITACIÓN BASADA EN LA FAMILIA EN PACIENTES NEURO-CRÍTICOS. IMPACTO EN LA FUNCIONALIDAD

            R Gomez, E Pereyra Zamora, V Monrroy, D Valdivia, L Castro, M Prodi

0211    EXPERIENCIA DE TRAQUEOSTOMÍA PERCUTÁNEA REALIZADA POR TERAPISTAS:  TERAPIA INTENSIVA HOSPITAL HIGA PEDRO FIORITO

            AL Ramirez Ayala, M Gilli

 

 

 

09/11/2022 - 15:30 a 17:00

Discusión de Posters Electrónicos 08

Neurointensivismo 1

Columnas del Boulevard

 

0002    TROMBOSIS VENOSA CEREBRAL: VARON JOVEN

            E Simes

0015    DRENAJE MÍNIMAMENTE INVASIVO DE HEMORRAGIA INTRACEREBRAL: EXPERIENCIA SUDAMERICANA CON EL PROCEDIMIENTO MISTIE

            C Videla, P Plou, L Valencia Chicue, C Yampolsky, P Ajler, N Ciarrocchi

0027    ACCIDENTE CEREBROVASCULAR ISQUÉMICO Y SÍNDROME CORONARIO AGUDO DESENCADENADOS POR EL USO DE ERGOTAMINA, REPORTE DE UN CASO

            W Dávalos, S Torres, A Rivera, N Vergottini, A Massó, R Quiroga

0045    NORSE (NEW ONSET REFRACTORY STATUS EPILEPTICUS)  CAUSADA POR MICOSIS PROFUNDA (FEOHIFOMICOSIS)

            A Gira, A Figueroa, G Mast, R Andrade, P Pratesi

0062    CAVERNOMA EN TRONCO ENCEFÁLICO CON HEMORRAGIA RECURRENTE: REPORTE DE CASO

            AV Millán, CJ Beroiza, M Cruz, LG Duran, NA Grassi, MG Montenegro Fernández, M Petasny, NI Zelaya De Leon, P Zorzano Osinalde

0063    ENCEFALITIS AUTOINMUNE COMO CAUSA DE ESTATUS EPILEPTICO NO CONVULSIVO: REPORTE DE CASO

            J Voss, JI Moreno, R Segovia, N Muicela, A Ayarde, N Tanel, D Ullunque, L Rocha, F Freile, A Aliaga, G Jacob, L Alejandra, M Nahra

0078    HEMATOMA SUBDURAL AGUDO COMO MANIFESTACIÓN NEUROLÓGICA DEL LINFOMA DE CÉLULAS B: INFORME DE UN CASO DE UN PACIENTE MASCULINO DE 60 AÑOS INMUNOCOMPETENTE

            L Solis, JE Alfonso, L Ojeda Flores, K Velazquez, LB Costa, C Pisarello, Y Lesieux, MV Ivan, C Mizdraji, L Huespe, S Lazzeri, H Alvarez, JC Garcia Roth

0081    SINDROME FIRES

            FR Dipaolo, L Marcos, G Florencia, RC Maria, M Carolina, R Melisa, G Silvana, R Nicolas, S Claudio, B Daniel

0093    ENCEFALITIS DE BICKERSTAFF: A PROPÓSITO DE UN CASO

            F Delgado, C Ottaviani

0110    ENFERMEDAD NEUROMUSCULAR AGUDA: CRISIS MIASTÉNICA. REPORTE DE DOS CASOS

            MS Fachinat, V Leiva, M Franco, D Villani, L Leit, E Matijacevich, M Marino, C Lattanzio, R Rodriguez, M Fuente, R Visintin, J Lassaga, B Jimena

 

 

 

10/11/2022 - 14:00 a 15:30

Discusión de Posters Electrónicos 09

Cardiología 2

Columnas del Boulevard

 

0035    COMA MIXEDEMATOSO CON INSUFICIENCIA CARDÍACA AGUDA EN SU PRESENTACIÓN: REPORTE DE CASO

            J Montesinos, J Gutierrez, F Mejía

0112    SÍNDROME DE AORTA MEDIA, EXCEPCIONAL CAUSA DE EMERGENCIA HIPERTENSIVA EN ADULTOS

            S Gasparotti, LM Rodriguez, FP Bertoletti, S Calegaris

0121    LA INSUFICIENCIA CARDÍACA AGUDA COMO MANIFESTACIÓN DE LA TIROTOXICOSIS: A PROPÓSITO DE UN CASO

            MG Montenegro Fernandez, CJ Beroiza, MM Cruz, LG Duran, NA Grassi, AV Millàn, M Petasny, NI Zelaya De Leon, P Zorzano

0152    PERICARDITIS CONSTRICTIVA: A PROPÓSITO DE UN CASO

            I Bollati, N Buzzi, A Garcia, M Brizuela, E Asinari

0155    HEMATOMA INTRAMIOCARDIO DISCECANTE POST INFARTO AGUDO MIOCARDIO

            YS Talmas Hurtado, N Tello, L Del Rio, G Izzo, E Velasquez, J Angulo, E Rodriguez

0265    DISFUNCIÓN VENTRICULAR DERECHA AGUDA ASOCIADO A SANGRADO HEPÁTICO EN EL  POSTOPERATORIO INMEDIATO

            A Couso, S Benavides, A Canedo Bermudez, M Ortiz, S Pello, F Amieva, M Ducasa, V Picolla, G Ramos, CB Cozzani

0277    REPORTE DE UN CASO DE POLISEROSITIS CON TAPONAMIENTO CARDIACO POR INFLUENZA A EN PACIENTE PEDIÁTRICO

            LC Martinez Rigo, M Enriquez Gentile, C Mena, A Bottaro, P Medici, M Nogueira, JE Gonzalez Rapana, D Jauregui, D Natta, R Diaz, J Aranda, G Navarro, A Carrano

0380    REPORTE DE CASO: INSUFICIENCIA HEPÁTICA SECUNDARIA A AMIODARONA

            CM Mena, PL Medici, A Bottaro, M Enriquez Gentile, LC Martinez Rigo, MA Nogueira, JE Gonzalez Rapana, C Assali

0398    MEDIASTINITIS POST CINECORONARIOGRAFIA

            EM Choque Ortiz, G Tajes, E Viscarra, A Santa Maria, M Berté, N Segura, D Noval, S Ilutovich

0409    MONITOREO DE LA INTERACCIÓN CORAZÓN-PULMÓN  MEDIANTE  ULTRASONOGRAFÍA TRANSESOFÁGICA, DURANTE MANIOBRA DE RECLUTAMIENTO ALVEOLAR EN UNIDAD DE CUIDADOS INTENSIVOS

            M Isa

 

 

 

10/11/2022 - 14:00 a 15:30

Discusión de Posters Electrónicos 10

Covid 2

Columnas del Boulevard

 

0003    ENCEFALITIS DESMIELINIZANTE AGUDA (EDA)

            E Simes, N Llanos, C Fernandez

0042    REPORTE DE CASO: PLASMA RICO EN PLAQUETAS EN NECROLISIS EPIDÉRMICA TÓXICA ASOCIADA A COVID-19 Y MYCOPLASMA

            SI Ramos Elizagaray, F Asenatto, LH Llano Lopez

0053    NECROSIS AVASCULAR BILATERAL DE RODILLA COMO COMPLICACION DE INFECCION POR COVID19. REPORTE DE UN CASO

            E Asinari, A Garcia, N Buzzi, I Bolatti, L Pesce Brochero, A Furlotti, M Olave Avila

0100    MIOPATÍA DIAFRAGMÁTICA COMO CAUSA DE DISNEA PROGRESIVA EN UN PACIENTE POST COVID-19: REPORTE DE CASO

            K Velazquez, L Huespe, L Ojeda Flores, L Solis, M Gonzalez, LB Costa, C Pisarella, M Perez Scetti, C Mizdraji, S Lazzerri, JE Alfonso, H Alvarez, M Bovetti, L Rodriguez, CJ Segovia

0108    TEAM COVID EN PANDEMIA POR SARS-COV 2

            D Duarte, G Benavent, A Monson, D Espinel, Y Escobar, E Sanchez, M Maidana, R Sanabria, J Roldan, N Raimondi

0133    PACIENTES COVID-19 EN VENTILACION MECÁNICA DURANTE LA SEGUNDA OLA. EXPERIENCIA HOSPITAL DR. ARTURO OÑATIVIA

            NE Sanchez, MA Quijano

0141    OSIFICACIÓN HETEROTÓPICA EN COVID-19, ¿LA ASOCIACIÓN AÚN NO DOCUMENTADA? REPORTE DE DOS CASOS

            L Aren, GF Mayer, J Hernandez

0159    CÁNULA NASAL DE ALTO FLUJO Y DECÚBITO PRONO VIGIL PARA INSUFICIENCIA RESPIRATORIA GRAVE POR NEUMONÍA POST COVID EN PACIENTE ADULTO CON COMUNICACIÓN INTERVENTRICULAR

            AE Garrido, AE Piacenza, TC Navarro Toffaletti, CB Lopez, FN Falcon

0178    DECÚBITO PRONO PROLONGADO EN PACIENTES COVID-19 EN  VENTILACIÓN MECÁNICA. ESTUDIO RETROSPECTIVO

            MD Celano, JC Melero, EA Di Salvo, VS Acevedo, MP Loustau, I González, CB Dominguez, FJ Bianchini, MR Del Bono, I Brozzi, GD Garay, FJ Gutierrez, G Murias, GA Plotnikow

0182    ESTRATEGIAS DE AFRONTAMIENTO PARA PROTEGER LA SALUD MENTAL ANTE EL COVID-19 QUE UTILIZA EL PERSONAL DE ENFERMERÍA DE TERAPIA INTENSIVA DEL HOSPITAL PABLO SORIA

            MM Balceda, M Lamas, DS Crespo, GR Cruz, C Caceres, N Palacio, G Rodriguez, P Baez, O Lopez, V Gallardo, P Balceda, V Limon, C Tintilay, D Sajama

0321    EL USO DE SEDOANALGESIA EN PANDEMIA POR SARS-COV-2 Y SU IMPACTO EN UN HOSPITAL MONOVALENTE

            D Raggio, MJ Ochoa, E Cunto, M Quinteros, S Krugliansky

 

 

 

10/11/2022 - 14:00 a 15:30

Discusión de Posters Electrónicos 11

Gastroenterología y Nutrición 2

Columnas del Boulevard

 

0036    LESION ESPLENICA SECUNDARIA A VIDEOCOLONOSCOPIA

            A Gira, R Almanza, P Falvo, D Monardo, P Pratesi, M Ugarte

0048    SINDROME COMPARTIMENTAL ABDOMINAL POR SARCOMA  DEL ESTROMA ENDOMETRIAL

            JJ Madera, M Lanci, J Marchetti, C Hernandez, G Guerrero, N Grubissich, C Rollano, T Negreira, H Cacone, J Aguilar, M Steinhaus, P Boschini

0119    ESOFAGO NEGRO EN PACIENTE CON POLITRAUMA Y SHOCK HIPOVOLEMICO

            EJ Gironacci, A Bianchi, MN Göldy, N Ortiz, E Gonzalez, I Gustavo, L Talamonti, SI Sanchez, E Gonzalo

0149    PANCREATITIS AGUDA SEVERA POR HIPERTRIGLICERIDEMIA: PRESENTACIÓN DE UN CASO Y SU TRATAMIENTO

            M Agosta, DH Gonzalez, M Curone, J Roque, J Etcheverria Trigo, F Pecoraro, L De Bari, L Buira

0170    PLASMAFERESIS EN PANCREATITIS AGUDA SEVERA HIPERTRIGLICERIDEMICA. HOSPITAL JOSÉ MARÍA CULLEN, SANTA FE: REPORTE DE CASO

            MA Alzugaray, S Izza, M Filippi, N Carrizo, R Avila

0184    FACTORES QUE INFLUYEN EN EL INICIO DE LA NUTRICIÓN ENTERAL EN PACIENTES CRÍTICOS DE UCI DEL HOSPITAL PABLO SORIA DE LA PROVINCIA DE JUJUY

            G Cruz, C Caceres, M Balceda, M Lamas, V Gallardo, C Tintolay, D Sajama, P Balceda, N Palacios, G Rodriguez, D Crespo, P Baez, O Lopez, V Limon

0344    IMPACTO EN LA  IMPLEMENTACIÓN DE ESTRATEGIAS DE ENFERMERIA PARA OBTENER UN VOLUMEN CALÓRICO ADECUADO EN EL PACIENTE CRÍTICO

            G Rodriguez, N Palacios, M Lamas, P Balceda, V Gallardo, G Cruz, M Balceda, P Baez, O Lopez, V Limon, C Tintilay, D Sajama, D Crespo

 

 

 

10/11/2022 - 14:00 a 15:30

Discusión de Posters Electrónicos 12

Infectología 2

Columnas del Boulevard

 

0214    A PROPÓSITO DE UN CASO ENFERMEDAD DE WEIL CON COMPROMISO RESPIRATORIO: UTI  H.I.G.A PEDRO FIORITO

            AL Ramirez Ayala, J Ripoll

0220    CRIPTOCOCOSIS MENÍNGEA EN PACIENTE CON USO CRONICO DE CORTICOIDES: REPORTE DE CASO

            OF Ferreira Aban, CF Chavez, R Dominguez, J Cardozo, L Soliz, JC Galarza, MB Vazquez, C Pozo, N Grubissich, D Pina

0224    NEUMONÍA EOSINOFÍLICA SECUNDARIA A DAPTOMICINA

            SG Pello, ML Ortiz, A Couso, AB Canedo Bermudez, SS Benavides Mariño, P Balmaceda, MA Ducasa Torres, MF Amieva, V Picolla, GE Ramos, CB Cozzani

0235    REPORTE DE CASO DE PARACOCCIDIOIDOMICOSIS DISEMINADA

            E Cautures, V Torres, JI Ibarzabal, JC Pendino, FO Fiorilli, LR Bettini

0247    SHOCK SÉPTICO POR SÍNDROME DE LOEFFLER. REPORTE DE UN CASO

            G Gomez, ML Campassi, F Repetto, D Banegas, M Cuitiño, B Tiseyra, I Ramirez, L Flores Trusso, C Fauez

0280    ENCEFALITIS HERPETICA CON TRANSFORMACION HEMORRAGICA: UNA COMPLICACION MUY POCO FRECUENTE

            L Tumino, E Valgolio, MC Marchena, B Franco, I Zoilo, LE Baldaseroni, L Gatti, O Rolon, S Eiguren, P Lucero, G Rolandelli, A Veitia, M Quiroga, M Girves

0281    CRIPTOCOCOSIS MENINGEA POR CRYPTOCOCCUS NEOFORMANS EN PACIENTE INMUNOCOMPETENTE

            Y Lamberto, N Grecco, C Dominguez, R Gregori-sabelli, P Saul, N Chacon, C Susana, F Messina, L Gonzalez, MDLM Nano, P Velezquez Lopez, E Cortez, V Chediack, E Cunto

0283    EXPERIENCIA EN MALARIA GRAVE CON TERAPIAS CONTINUAS EXTRACORPOREAS. REPORTE DE UN CASO

            R Gregori Sabelli, JM Fernandez, CV Dominguez, P Saul, N Chacon, Y Lamberto, G Astudillo, A Bocassi, E Cortez, Y Huarachi, S Caceres, V Fernandez Arbelllo, V Chediack, ER Cunto

0286    ENDOCARDITIS CON HEMOCULTIVOS NEGATVOS, REPORTE DE UN CASO DE ENDOCARDITIS POR BARTONELLA SPP

            E Artigas, MA Flores Montes, C Molina, S Santillan, A Rodriguez, L De Vedia, E Cunto

0290    ENDOCARDITIS INFECCIOSA CON PRESENTACION MENINGEA. ROMPIENDO EL SESGO DIAGNOSTICO. VALOR DE LA RMN. REPORTE DE CASOS

            CA Cimino, CF Pereyra, E Martinez, J Kenny, V Aranda, M Willig

 

 

 

10/11/2022 - 15:30 a 17:00

Discusión de Posters Electrónicos 13

Infectología 3

Columnas del Boulevard

 

0127    ENDOCARDITIS BACTERIANA DE LA VALVULA DE EUSTAQUIO COMO COMPLICACION DE TROMBOSIS VENOSA EN PACIENTE SEPTICO. REPORTE DE CASO

            O Martinez, MC Palacio, JC Medina, M Chamadoira, G Francini, N Aguilar, V Murillo, J Camargo, F Avila, A Gutierrez, C Quintanilla, C Reyes, T Canabal, M Beck

0129    MUCORMICOSIS RINORBITARIA: REPORTE DE UN CASO CLÍNICO

            F Cometto, L Luque Aguada, N Leonardia, M Garcia Keim, S Dipente, C Salcedo, G Squaglia Acosta, RL Aguilera

0148    INFECCIONES FÚNGICAS EN PACIENTES DE TERAPIA INTENSIVA DEL HOSPITAL ESCUELA DE AGUDOS DR.  RAMÓN MADARIAGA DE  POSADAS PROVINCIA DE MISIONES

            I Cruz Muñoz, AE Carrera, SD Riback, R Ostrowski, C Correia Dasilva, N Barreto, M Arguello, M Pohlemann, AJ Alarcón Marinoni, D Acosta, L Santana, R Contreras, M Rodriguez, M Kaechele

0168    HANTAVIRUS: REPORTE DE UN CASO

            MM Palacio, CA Eckhard Morales, E Avila

0177    CARACTERÍSTICAS Y EVOLUCIÓN DE UNA POBLACIÓN DE PACIENTES CON SOSPECHA DE INFECCIÓN QUE REQUIEREN INGRESO A UTI

            DP Acosta, D Vazquez, N Fermin Paredes, W Rosales, C Bernal, S Eiguren, L Bucetta

0179    PERICARDITIS TUBERCULOSA

            M Baron, P Schoon, L Benito, N Montaño, N Carbajal, P Anave, P Carrasco

0200    MENINGITIS TUBERCULOSA EN PACIENTE CON ETILISMO CRÓNICO

            MN Göldy, A Bianchi, J Gironacci, N Ortiz, E Gonzalez, R Martinez Oveid, G Izaguirre, L Talamonti, S Sanchez, G Elías

0212    SINDROME CARDIOPULMONAR POR HANTAVIRUS. A PROPOSITO DE UN CASO

            M Paz, S Araoz, NB Pinello, NG Passo

0213    INSUFICIENCIA RESPIRATORIA EN PACIENTES CON TUBERCULOSIS PULMONAR DURANTE LA PANDEMIA POR COVID 19. SERIE DE CASOS

            N Montaño, P Carrasco, P Schoon, L Benito, N Carbajal, P Anave, M Baron

 

 

 

10/11/2022 - 15:30 a 17:00

Discusión de Posters Electrónicos 14

Obstetricia

Columnas del Boulevard

 

0030    ABDOMEN AGUDO DE ETIOLOGÍA POCO FRECUENTE EN EL PUERPERIO

            M Montenegro, P Okurzaty, MA Balauz, S Galceran

0049    SÍNDROME DE HELLP - SÍNDROME UREMICO HEMOLÍTICO ATÍPICO EN PUERPERIO INMEDIATO. PRESENTACIÓN DE CASO

            L Juarez Gastiazoro, C Nestor Ivan, R Nadia, F Anabella, R Tamara, B Maria Luz, C Leandro, H Marcos Emilio

0070    MANEJO MULTIDISCIPLINARIO EN GRAN QUEMADA EMBARAZADA

            A Regules Armiñana, E Ghisolfi, JM Pina, R Paffumi, A Chena, M Chocobar, L Fernandez

0154    CESÁREA DE URGENCIA POR CRISIS MIASTÉNICA COMPLICADA CON PREECLAMPSIA TARDÍA EN CONTEXTO DE INFECCIÓN POR COVID 19

            E Gonzalez, A Bianchi, N Göldy, N Ortiz, J Gironacci, A Borgherini, G Izaguirre, L Talamonti, S Sanchez, G Elias

0166    USO DE ACIDO TRANEXAMICO EN PACIENTE CON ENFERMEDAD DE VON WILLEBRAND CON SHOCK HEMORRAGICO

            A Gira, F Leveratto, V Pousa, A Riios, P Pratesi

0356    EVALUACIÓN DEL FLUJO UTERINO EN GESTANTE CON SHOCK CARDIOGÉNICO BAJO SOPORTE ECMO

            ML Ojeda, L Perez, L Haddad, M Acebo, F Molina, D Otalora, C Ballesteros, L Aguirre, F Klein

0362    MOTIVOS DE INGRESO OBSTETRICOS EN TERAPIA INTENSIVA

            MM Barraza, GA Levy, RA Karatanasopuloz, AR Serruya, LV Gossen, MF Mendieta, JC Flores, SA Gimenez Pedemonte, M Barrios D´ambra

0367    DIABETES INSIPIDA EN EL EMBARAZO

            E Hualpa Yucra, J Claros Ibañez, D Mariano Da Silva, N Navarro, A Salguero, G Miglioretti, PG Gil, S Kulling, V Peregrina, N Varrenti, AK Marquez, F Campero, A Alarcon, G Moreno

0407    SÍNDROME DE HIPERESTIMULACIÓN OVÁRICA, A PROPÓSITO DE UN CASO

            D Carpio, DI Carpio Celis, M Chavez, J Ortiz

 

 

 

10/11/2022 - 15:30 a 17:00

Discusión de Posters Electrónicos 15

Neumonología-Kinesiología 2

Columnas del Boulevard

 

0020    INJURIA POR INHALACIÓN: SERIE DE CASOS SOBRE MANEJO BRONCOSCÓPICO

            J González Anaya, I Carboni Bisso, V Ruiz, F Rosciani, I Fernández Ceballos, M Las Heras

0164    MONITOREO AVANZADO DURANTE LA DESVINCULACIÓN DE LA VENTILACIÓN MECÁNICA INVASIVA, EN TRASPLANTE UNIPULMONAR. REPORTE DE UN CASO

            JM Nuñez Silveira, VR Ruiz, LN Borrajo, EM Steinberg, I Ceballos, J Ems, N Roux

0180    EL NIVEL DE CONOCIMIENTOS Y PRÁCTICAS DE ENFERMERÍA EN LA VALORACIÓN DE ESCALAS EN  PACIENTES CON SEDOANALGESIA SOMETIDOS A VENTILACIÓN MECÁNICA, DE LA UNIDAD DE TERAPIA INTENSIVA, DEL HOSPITAL PABLO SORIA, JUJUY, DE MARZO A AGOSTO DEL 2022

            VA Gallardo, GV Limon, M Lamas, P Balceda, G Cruz, M Balceda, D Crespo, C Tintilay, D Sajama, C Caceres, G Rodriguez, N Palacios, O Lopez, P Baez

0232    PREVALENCIA DE VENTILACIÓN MECÁNICA PROLONGADA EN PACIENTES CON TEC GRAVE

            MD Bovetti Galván, DM Miqueri, LN Rodriguez, LM Ramirez, VA Medina, AM Caliva, FS Flores

0240    TRAQUEOBRONCOMALACIA SEVERA, SU MANEJO PRE Y POST QUIRÚRGICO EN UNIDAD DE CUIDADOS CRÍTICOS PEDIÁTRICA: REPORTE DE CASOS

            C Parellada, GV Claro, KE Jakobsen, MJ Arias, J Fain, S Pellegrini, M Truszkowski

0250    INJURIA PULMONAR INDUCIDA POR PARAQUAT

            VS Iglesias, S Iturri, F Villarejo, P Damian, R Romina, P Jose, R Vitello

0252    REPORTE DE CASO DE PACIENTE OBESO MORBIDO DE 250KG, TECNICA DE TRAQUEOSTOMIA HIBRIDA LA UNICA ALTERNATIVA

            M Carreño Mejia, V Reyes, A Flores, G Ponnefz, I Corgoglioni, M Manosperta., M Ortega

0282    DESCRIPCIÓN DE LESIONES DE VÍA AEREA IDENTIFICADAS POR FIBROBRONCOSCOPIA EN PACIENTES QUE REQUIRIERON VENTILACIÓN MECÁNICA INVASIVA PROLONGADA EN UN HOSPITAL UNIVERSITARIO DE LA PROVINCIA DE BUENOS AIRES

            J Vilca, T Juhasz, C Loudet, F Iglesias, L Tumino, G Saenz, T Sahar, A Ortiz, F Cornejo, F Alfonsin, ME Zmolnig

0285    TRAUMA LARÍNGEO EXTERNO SCHAEFER-FUHRMAN GRADO V: A PROPÓSITO DE UN CASO

            F Puzzo, S Cagide, J Gómez, L Diaz Ballve

0393    PREVALENCIA DE DISFAGIA EN PACIENTES INTERNADOS EN UNIDAD DE CUIDADOS INTENSIVOS

            J Soria, M Singh, F Am, J Moreno, S Ramos

 

 

 

10/11/2022 - 15:30 a 17:00

Discusión de Posters Electrónicos 16

Neurointensivismo 2

Columnas del Boulevard

 

0130    UTILIDAD DE LA ULTRASONOGRAFÍA CEREBRAL PARA EL MANEJO DE LA HIPERTENSIÓN INTRACRANEAL. REPORTE DE CASO

            LJ Ojeda Flores, K Velazquez, L Solis, M Gonzalez, LB Costa, C Pisarello, JE Alfonso, J Bernachea, S Gamarra, V Gimenez, J Martinez, C Mizdraji, L Huespe, S Lazzeri, H Alvarez

0132    FISTULA CAROTIDA-YUGULAR TRAUMÁTICA TARDIA. REPORTE DE CASO

            A Gutierrez, MC Palacio, JC Medina, M Chamadoira, G Francini, N Aguilar, V Murillo, O Martinez, J Camargo, F Avila, C Reyes, C Quintanilla, T Canabal, M Pataro

0157    SÍNDROME DE VASOCONSTRICCIÓN CEREBRAL REVERSIBLE: SERIE DE CASOS

            MV Gonzalez, CG Videla, NM Ciarrocchi, E San Román, JF Sinner

0169    VASOESPASMO POST CIRUGÍA DE RESECCIÓN DE ADENOMA HIPOFISARIO: PRESENTACIÓN DE UN CASO

            S Schverdfinger, C Videla, N Ciarrocchi, J Sinner

0228    EVOLUCIÓN EN PACIENTES CON HEMORRAGIA SUBARACNOIDEA NO TRAUMÁTICA EN UNIDAD DE TERAPIA INTENSIVA DEL HOSPITAL J.M. CULLEN, SANTA FE

            NA Issoglio, NI Carrizo, MM Filippi, MN Kinderknech, V Fugas

0231    PUNCIÓN TRANS-ORBITAL COMO MANIOBRA DE RESCATE

            L Flores Trusso, ML Campassi, F Repetto, D Banegas, G Gomez, B Tiseyra, I Ramírez, N Picard, C Fauez

0248    HEMORRAGIA SUBARACNOIDEA COMPLICADA CON SINDORME DEL CORAZON ROTO

            P Spina, P Amancay, G Gimenez, L Iglesias, A Peñaloza, S Enzo, G Scuaglia

0304    SINDROME DE ONDINA  ADQUIRIDO.  REPORTE DE UN CASO

            E Porjolovsky, EM Porjolovsky, P Cordero, L Pero, D Lafosse, A Tristaino, N Perez Murua, K Cisneros, B Castro, L Franconieri

0314    EXACERBACION DE SINDROME DE YAO EN UNA PACIENTE NEUROCRITICA. REPORTE DE UN CASO

            RA Ojeda, YM Lamberto, AC Dinuzzo, A Violo, DV Toledo, R Lobo Herrera, JA Sereno, ME Centurion, MA Montenegro, LJ Degregorio, MC Carruega, PJ Marconi, MF Alsina, EP Mikulic

0319    DIABETES ÍNSIPIDA CENTRAL EN HISTIOCITOSIS DE LANGERHANS

            J Quiroz Cedeño, G Monti, M Mansur, G Gaudenzi, M Rolando, K Banzer, O Ferrufino, F Perez, D Parraga, K Gamarra, A Canchila, A Fernandez, A Gonzalez, D Mingoni

 

 

 

11/11/2022 - 14:00 a 15:30

Discusión de Posters Electrónicos 17

Infectología 4

Columnas del Boulevard

 

0039    INCIDENCIA DE GERMENES MULTIDROGORESISTENTES EN NEUMONIA POR VENTILACION MECANICA SEGUIMIENTO A 1 AÑO

            LA Dulcey Sarmiento, JS Theran Leon, R Caltagirone, MJ Aguas Cantillo, F Rangel, RG Parales Strauch, V Cabrera Peña, A Quintero Romero

0061    REPORTE DE CASOS: PIELONEFRITIS ENFISEMATOSA DEL HOSPITAL SIMPLEMENTE EVITA

            EM Rodas Montero, G Izzo, M Flores, E Solarte, L Gonzales, A Vera, J Angulo, A Rodriguez, H Cabrera, A Robles, C Arellano, E Rodriguez, E Velasquez, D Choque

0064    ENCEFALOPATÍA ESPONGIFORME TRANSMISIBLE HUMANA: REPORTE DE UN CASO

            J Voss, A Aliaga, R Segovia, J Moreno, F Freile, L Rocha, N Muicela, N Tanel, D Ullunque, A Ayarde, J Guillermina, A Luquetti, A Orozco, N Melina

0077    REPORTE DE CASO: BOTULISMO ALIMENTARIO CON PERFORACIÓN INTESTINAL EN UNA ADOLESCENTE

            SI Ramos Elizagaray, ML Piovano

0080    BACTERIEMIA POR RHODOCOCCUS EN PACIENTE INMUNODEPRIMIDO

            FR Dipaolo, M Latimori, F Garavelli, M Ramirez Colombres, C Maenza, M Re, S Gattino, N Rocchetti, C Settecase, D Bagilet

0087    MENINGITIS POR FEOHIFOMICOSIS EN PACIENTE CON TRASPLANTE DE ORGANO SOLIDO

            A Gira, F Monsalve, D Czerwonko, P Falvo, D Monardo, P Pratesi

0089    PERICARDITIS TUBERCULOSA EN PACIENTE INMUNOCOMPETENTE. ¿UNA PATOLOGÍA INFRECUENTE O SUBDIAGNOSTICADA?

            S Gasparotti, LM Rodriguez, FP Bertoletti

0109    SEPSIS A SERRATIA MARCESCENS EN CIRUGIA PROGRAMADA (PRESENTACIÓN DE CASO CLÍNICO)

            ME Olobardi, N Moscillo, L Iwanczyna, A Fernandez, AM Mazzola

0116    NEUMONÍA AGUDA DE LA COMUNIDAD POR STENOTROPHOMONA MALTOPHILA. REPORTE DE UN CASO CLÍNICO

            F Cometto, M Jaime, O De Nardis, HA Trillard, M Binci Vayer, S Dipente, E Guzman, G Martinez, M Ciarlantini

 

 

 

11/11/2022 - 14:00 a 15:30

Discusión de Posters Electrónicos 18

Covid 3

Columnas del Boulevard

 

0118    COVID-19 Y ENCEFALITIS HERPÉTICA

            M Ramirez Colombres, CE Maenza, NS Rocchetti, SP Gattino, S Diodati, C Luchitta, M Re, CJ Settecase, DH Bagilet

0120    ENFERMEDAD POR ANTICUERPOS ANTIMEMBRANA BASAL GLOMERULAR EN PACIENTE CON COVID-19

            M Ramirez Colombres, CE Maenza, M Latimori, F Garavelli, F Dipaolo, M Re, SP Gattino, NS Rocchetti, CJ Settecase, DH Bagilet

0161    REPORTE DE CASO: ENCEFALOMIELITIS AGUDA DISEMINADA (EMAD) MONOFÁSICA DE  EVOLUCIÓN RÁPIDA Y FATAL RELACIONADA A COVID-19

            JA Murtula Ferreyra, S Bernthal, J Bartoli, M Heredia, F Alvarez, M Guereschi, A Muhlberger, G Martini, L Castillo, P Diaz, S Julia, D Morales, F Dominchin, A Barcelo

0218    SINDROME INFLAMATORIO MULTISISTÉMICO EN EL ADULTO ASOCIADO A COVID19

            P Boschero, M Acquafredda, G Tombolini, S Gonzalez

0241    ESTRIDOR TARDIO POST EXTUBACION ASOCIADO A PSEUDOMENBRANA TRAQUEAL FIBRINOSA: REPORTE DE UN CASO

            G Rolandelli, I Petel, F Larocca, E Barone, D Vera

0246    COVID MULTISISTEMICO DEL ADULTO

            M Gardeazabal Rospilloso, MR Gardeazabal Rospilloso, J Vilca, I Parodi, M Cordoba, A Cucci, F Morales, AL Piñas, L Tumino, C Loudet, A Toro

0320    REPORTE DE CASO: MENINGOENCEFALITIS ASOCIADA A COVID 19

            G Fernández, S Barrionuevo, V Cuéllar, H García, ME Giménez, R López, MM Tártara, S Urbano, S Viera, R Vargas Martínez, L Migliacci

0333    MANEJO DE ESTENOSIS TRAQUEAL EN PACIENTES COVID-19

            M Singh, F Am, J Moreno

0359    ¿SE PODRIA TOLERAR PRESIONES MESETA MAYORES A 30 CMHO2 EN PACIENTES CON OBESIDAD MORBIDA CON SDRA COVID-19?

            PG Insaurralde, J Leiria, I Garcia, M Abbate, V Thomas, N Etchechoury, F Gonzales

 

 

 

11/11/2022 - 14:00 a 15:30

Discusión de Posters Electrónicos 19

Pediatría 2

Columnas del Boulevard

 

0008    ROL DEL KINESIÓLOGO EN EL PROCESO DE DESVINCULACIÓN DE LA VENTILACIÓN MECÁNICA INVASIVA EN LAS TERAPIAS INTENSIVAS PEDIÁTRICAS DE ARGENTINA

            J Palmeiro, Y Nociti, V Laulhé, P Taffarel

0021    PRESENTACION INFRECUENTE DE ENFERMEDAD AUTOINMUNE POST INFECCIOSA SECUNDARIA A MYCOPLASMA PNEUMONIAE. REPORTE DE UN CASO PEDIÁTRICO

            C Hajdinjak, A Fernandez, A Avila, S Palletti

0097    REPORTE DE CASO. MUCORMICOSIS GASTROINTESTINAL PEDIÁTRICO

            NM Valenzuela, MG Lafuente, MA Acuña

0117    REPORTE DE CASO. MIELITIS TRANSVERSA VS TRAUMA MEDULAR

            NM Valenzuela, MG Lafuente, MA Acuña

0134    TUBERCULOSIS NEONATAL CONGÉNITA DISEMINADA. A PROPÓSITO DE UN CASO

            J Jonas, MM Reinares, J Manniello, MA Forchino, A Romagnoli, M Castilla, M Allassia

0136    REPORTE DE UN CASO CLÍNICO:  RABDOMIOLISIS SEVERA DE ORIGEN MULTICAUSAL EN PACIENTE PEDIÁTRICO CON COVID 19

            E Walter, PI Rossi

0138    REPORTE DE UN CASO DE UN PACIENTE PEDIÁTRICO CON DISECCIÓN DE AORTA SEVERA POR HTA SECUNDARIA PSEUDOHIPOALDOSTERONISMO AUTOSÓMICO RECESIVO.

            E Walter, PI Rossi

0174    TUBERCULOSIS EXTRAPULMONAR EN LA TERAPIA INTENSIVA INFANTIL. REPORTE DE CASO

            M Pazmino, M Gonzalez, P Castellani, C Lutkevicius, A Bordogna, M Rabino

0185    TERAPIA DE REEMPLAZO RENAL CONTINUO EN  PACIENTES PEDIÁTRICOS CRÍTICOS EN UNA UTIP PEDIÁTRICA POLIVALENTE EN SANTA FE

            M Helmfelt, M Picullo, J Maniello

 

 

 

11/11/2022 - 14:00 a 15:30

Discusión de Posters Electrónicos 20

Trauma-Toxicología-Reumatología 1

Columnas del Boulevard

 

0227    SÍNDROME HEPTO PULMONAR

            F Morales, M Córdova, A Cucci, M Gardeazabal, I Parodi, C Logiodice, J Villca, F Fernández Garcia, L Milanesio, F Iglesias, A Carrera, G Saenz, A Toro, L Tumino, CI Loudet

0237    SINDROME CATATONICO: UN DESAFIO PARA LAS UNIDADES CRITICAS. A PROPOSITO DE UN CASO

            I Petel, M Steinberg, M Cozzi, MA Barrientos, D Vera

0315    ALOGENOSIS IATROGÉNICA: MUERTE ENCEFÁLICA SECUNDARIA A EMBOLIA DE BIOPOLÍMERO INYECTABLE CLANDESTINO

            M Montenegro, MC Vignetta, P Pahnke, E Dantur, G Solla, AO Ohanian, M Crespo, A Fabre, A Storniolo Squintone, D Dib, A Lopez, I Herrero, I Ocampo, V Vignolo

0345    SÍNDROME NEUROLÉPTICO MALIGNO REPORTE DE CASO CLÍNICO

            L Ruarte, L Morales, M Garcia, P Taborda, J Ortega, A Quinteros, S Rojas, C Ferreyra, D Carranza, N Bonetto, S Carrizo, J Celia, M Ruiz, M Buemo

0363    HISTIOCITOSIS DE CÉLULAS DE LANGERHANS - VARIANTE MULTISISTÉMICA - CON COMPROMISO PULMONAR: DIAGNÓSTICO EN TERAPIA INTENSIVA Y DECISIÓN PUENTE A TRASPLANTE BIPULMONAR. REPORTE DE UN CASO

            DA Otálora Lozano, LC Pérez, MA Acebo Acha, LY Haddad, FA Molina Jiménez, L Ojeda, RA Noreña, S Finoli, L Aguirre, F Klein

0368    REPORTE DE UN CASO DE HEPATITIS AGUDA SECUNDARIA A INTOXICACIÓN POR SUSTANCIAS ILÍCITAS INGRESADOS EN LA UNIDAD DE TERAPIA INTENSIVA DEL HOSPITAL DR. R MADARIAGA EN EL 2022

            AJ Alarcon Marinoni, C Farqhuarson, S Ribak, AE , M Pohlemann, M Argüello, D Acosta, M Kaechele, N Barreto, R Otrowski, V Romina

0370    SOPORTE EXTRACORPOREO EN TANDEM. REPORTE DE CASO

            E Manrique, J Bernasconi, Y Lombi, R Avila

0372    INTOXICACIÓN CRÓNICA DE PLOMO POR HERIDA DE ARMA DE FUEGO

            BF Acosta Torres, JP Klein, F Condori

0374    RETIRO DE SOPORTE VITAL. EXTUBACIÒN TERMINAL EN PACIENTE CRÌTICO

            M Bezzati, A Martinez

0394    DISFUNCIÓN ORGÁNICA SECUNDARIA A CONSUMO DE MDMA

            I Peña Cecconi, Y Saad, R Arevillca Yugar, J Navia, LM Castiblanco, K Botana

 

 

 

11/11/2022 - 15:30 a 17:00

Discusión de Posters Electrónicos 21

Shock y Sepsis

Columnas del Boulevard

 

0065    SHOCK ANAFILACTICO CONFIRMADO POR MEDICION DE TRIPTASA SERICA SERIADA

            A Gira, M Cardonati, F Leveratto, J Alvarez, P Pratesi

0140    VALOR DEL CLEARANCE DE ACIDO LACTICO EN EL PRONÓSTICO DE LOS PACIENTES CON SEPSIS Y SHOCK SEPTICO EN TERAPIA INTENSIVA

            AB Rojas, S Chaile, M Dextre Primo, F Castro, D Reynoso, M Andreotti, JC Vergottini

0145    ESTIMACIÓN DEL VOLUMEN PLASMÁTICO Y MORTALIDAD POR SEPSIS EN UNIDAD DE CUIDADOS CRÍTICOS

            MC Pohlemann Tarnovski, S Ribak, E Carrera, A Villalba, C Farquharson, N Barreto, A Matías, R Villalba, M Kaechele, A Alarcón, D Acosta, C Correia

0186    LOXOSCELISMO SISTEMICO: REPORTE DE UN CASO CLINICO

            N Carbajal, P Carrasco, P Schoon, L Benito, N Montaño, M Baron, P Anave, D Suster

0189    SHOCK HEMORRÁGICO EN CONTEXTO DE TRATAMIENTO CON INHIBIDORES DEL RECEPTOR DEL FACTOR DE CRECIMIENTO ENDOTELIAL VASCULAR, A PROPÓSITO DE UN CASO

            S Bernthal, J Bartoli, M Guereschi, F álvarez, M Heredia, A Muhlberger, J Múrtula Ferreyra, G Martini

0226    SINDROME DE WUNDERLICH, UNA CAUSA POCO COMÚN DE SHOCK: REPORTE DE UN CASO

            L Soliz, J Cardozo, R Dominguez, MB Vazquez, C Chavez, F Ferreira, JC Galarza, C Pozo, N Grubissich, D Pina

0296    MIOCARDIOPATÍA SÉPTICA EN PACIENTE CON SHOCK SÉPTICO REFRACTARIO SECUNDARIO A NEUMONÍA ASOCIADA A LA VENTILACIÓN MECÁNICA POR SAMR

            J Quiroz Cedeño, G Monti, G Gaudenzi, P Verta, M Rolando, K Banzer, O Ferrufino, M Mansur, F Perez, D Parraga, K Gamarra, A Canchila, A Fernandez, A Gonzalez, D Mingoni

0336    COMPLICACION POCO FRECUENTE Y POTENCIALMENTE GRAVE EN PROCESOS INFLAMATORIOS INTRAABDOMINALES: PILEFLEBITIS. REPORTE DE CASO

            LC Avila, M Martinez, G Abrile, E Rodriguez

0342    APLICACIÓN DE POCUS EN LA REANIMACIÓN DEL PACIENTE CON INESTABILIDAD HEMODINÁMICA EN LA TERAPIA INTENSIVA. REPORTE DE CASO

            J Bernachea, V Giménez, L Gamarra, J Martinez, L Ojeda, C Mizdraji, S Lazzeri, E Alfonso, H álvarez, L Costa, C Pisarello, L Huespe, K Velazco, L Solis, M Gonzalez

0378    TIEMPO DE RELLENO CAPILAR: EVALUACIÓN DE CONCORDANCIA EN LAS MEDICIONES ENTRE RESIDENTES DE ENFERMERÍA EN CUIDADOS CRÍTICOS DEL ADULTO EN UN HOSPITAL ESCUELA

            R Ronchi, O Ortiz, MS Ríos, D Murillo, L Vargas Ruiz, K Tapia Alvarez, S Fernández, L Tumino, MG Sáenz, C Loudet

0408    FALLA MULTIORGANICA DE ETIOLOGIA POCO FRECUENTE

            MA Misa, DC Rodriguez, CL Landoni, A Brañez Toro Yasmani, A Luzzi, C Plaza, S Markevich, S Roldan Montaño, J Vazquez, A Brizuela, JP Soliz

 

 

 

11/11/2022 - 15:30 a 17:00

Discusión de Posters Electrónicos 22

Trasplante

Columnas del Boulevard

 

0032    OXIGENACIÓN POR MEMBRANA EXTRACORPÓREA (ECMO): CASO REPORTE DE LA UTILIDAD EN POSTOPERATORIO DEL TRASPLANTE DE PULMÓN

            L Bujan Molins, LS Maidana, JF Paucar Paucar, SD Villarroel Medonza, SE Giannasi

0079    ESTENOSIS BILIAR EN EL POSTOPERATORIO DE TRASPLANTE HEPÁTICO

            SS Benavides Mariño, MF Amieva, G Ramos, C Tonelli, M Ducasa, CB Cozzani, V Picolla, A Couso, AB Canedo Bermudez, ML Ortiz, SG Pello

0085    DECÚBITO PRONO: UNA MEDIDA DE PROTECCIÓN PULMONAR EN POTENCIAL DONANTE DE PULMÓN. REPORTE DE CASO

            DA Rodriguez, P Centeno, M Petre, R Canelon, L Boffino, L Sanabria, E Montiel, M Anchorena

0099    UTILIDAD DE LA TOMOGRAFÍA POR IMPEDANCIA ELÉCTRICA EN LA VALORACIÓN DE LA DISTRIBUCIÓN DE LA VENTILACIÓN EN EL TRASPLANTE UNIPULMONAR

            I Fernández Ceballos, E Steniberg, JM Nuñez Silveira, J Ems, M Madormo, I Carboni Bisso, MJ Las Heras, JF Sinner

0195    REPORTE DE CASO: SINDROME  DE OBSTRUCCIÓN SINUSOIDAL RETO DIAGNÓSTICO EN ADOLESCENTE  CON FALLA MULTIORGANICA

            N Fermin

0260    ACTIVIDAD EN PROCURACIÓN DE PULMONES PARA TRASPLANTE EN LA PROVINCIA DE CORRIENTES: ANÁLISIS DE LOS ÚLTIMOS 3 AÑOS

            C Pisarello, JE Alfonso, H Alvarez, EA Fernandez Da Veiga, MR Sanabria, R Garcia, V Lezcano, L Fernandez, M Dickau, LB Costa, S Doval, A Ramirez, A Ruiz Diaz

0339    TRASPLANTE HEPATICO (TXH) EN HÍGADO GRASO AGUDO DEL EMBARAZO (AFLP). REPORTE DE CASO.

            F Molina, L Perez, L Ojeda, L Haddad, M Acebo, D Otalora, G Tuhay, C Ballesteros, G Pantoja, F Klein

0353    DISFUNCIÓN PRIMARIA DE INJERTO HEPÁTICO: REPORTE DE UN CASO

            DG Sanchez

0358    TRASPLANTE HEPÁTICO COMO TRATAMIENTO DE ENFERMEDAD VENO OCLUSIVA HEPATICA GRAVE. REPORTE DE CASO Y REVISION DE LA LITERATURA

            M Acebo Acha

0360    TRASPLANTE HEPÁTICO PARA EL TRATAMIENTO DE LA INSUFICIENCIA HEPATICA AGUDA (IHA) EN PACIENTE CON HEPATITIS SIFILÍTICA. REPORTE DE UN CASO

            LY Haddad, L Perez, F Molina, M Acebo, L Ojeda, D Otálora, C Ballesteros, G Pantoja, L Aguirre, F Klein

0379    COMPLICACIONES ASOCIADAS AL TRASPLANTE HAPLOIDÉNTICO DE MÉDULA ÓSEA. ESTUDIO DE MORBILIDAD Y MORTALIDAD DURANTE LA INTERNACIÓN EN UNIDAD DE TRASPLANTE

            A Bárbara, P Reyes, MH Fernández Darritchon, P Longo, AJ Siaba Serrate, S Torres, T Iolster

 

 

 

11/11/2022 - 15:30 a 17:00

Discusión de Posters Electrónicos 23

Neurointensivismo 3

Columnas del Boulevard

 

0331    ASOCIACIÓN ENTRE HIPOCALCEMIA Y PROGRESIÓN DE LESIONES HEMORRÁGICAS EN PACIENTES CON TRAUMATISMO DE CRÁNEO

            L Corbalan, C Vignetta

0338    TROMBOSIS VENOSA CEREBRAL UN RETO DIAGNÓSTICO Y TERAPÉUTICO. REPORTE DE CASO

            CSA Cieri, C Lopez, M Vera, D Aldunate, G Chiarolla, S Santarelli, G Fernandez, H Vitale, A Ontiveros, A Sabrina

0340    SINDROME DE HIPERVISCOSIDAD EN PACIENTE CON  MACROGLOBULINEMIA DE WALDESTROM

            A Gira, F Monsalve, R Almanza, A Perez De Andes, C Steer, P Pratesi, G Mast

0351    INDICACIÓN DE BIOPSIA ESTEREOTÁXICA EN DIAGNÓSTICO DE HEMORRAGIA INTRACEREBRAL ESPONTÁNEA

            M Villalobos, E Quispe, Á Vélez, R Méndez, A Guarachi, M Altamirano, S Pérez, M Mendoza, J Campos, J Condori, A Pedrazas, J Quispe, P Villalobos

0381    HEMORRAGIA SUBARACNOIDEA EN PACIENTES ONCOHEMATOLÓGICOS. REPORTE DE CASO

            R Arevillca, P Gomez

0389    REPORTE DE CASO. SÍNDROME DE GUILLAIN-BARRÉ VARIANTE NEUROPATÍA MOTORA AXONAL AGUDA, PRESENTACIÓN ATÍPICA

            AS Piga, TE Lujan, CS Senger

0391    ACV ISQUÉMICO EN PACIENTE JOVEN, LA IMPORTANCIA DEL TRATAMIENTO COMBINADO PRECOZ. REPORTE DE CASO

            R Retambay, RR Reinoso, NS Llanes

0392    TROMBOSIS VENOSA CEREBRAL CON TRANSFORMACION HEMORRAGICA EN ENFERMEDAD DE WILSON

            L Castiblanco

0395    ENCEFALOPATIA DE WERNICKE EN PACIENTE CON PANCREATITIS AGUDA CON NUTRICION PARENTERAL PROLONGADA

            R Arevillca

0401    PRESENTACIÓN ATÍPICA DE UN CASO DE GUILLAIN BARRE POSVACUNACIÓN

            M Teherán, G Rodrigues, D Santos, S Toledo, J García

 

 

 

11/11/2022 - 15:30 a 17:00

Discusión de Posters Electrónicos 24

Trauma-Toxicología-Reumatología 2

Columnas del Boulevard

 

0046    CATETERISMO VENOSO CENTRAL GUIADO POR ULTRASONOGRAFÍA: ESTUDIO OBSERVACIONAL EN SALA DE  CUIDADOS CRÍTICOS

            VP Lobo, M Isa, JE Perez Romero, RA Dilaccio

0094    A PROPOSITO DE UN CASO INFRECUENTE DE SINDROME SEROTONINERGICO

            S Quintana, D Barrientos, J Cardozo, F Arancibia, A Rodriguez, N Montaño, D Romero, R Altamirano, G Rodriguez, W Videtta, A Tamayo, T Huanca, A Barra Montes De Oca

0103    SINDROME ANTIFOSFOLIPIDICO CATASTROFICO. A PROPOSITO DE UN CASO

            M Cordoba, A Cucci, F Morales, M Gardeazabal, I Parodi, C Logiodice, J Vilca Becerra, F Fernandez, ML Gutiérrez, A Paglia, L Tumino, F Iglesias, C Loudet, A Testi

0105    MOTIVO DE INGRESO Y PROBABILIDAD DE MUERTE EN PACIENTES INGRESADOS EN LA UNIDAD DE TERAPIA INTENSIVA DEL HOSPITAL DR. RAMON MADARIAGA

            MM Kaechele, M Arguello, R Villalba, M Pohlemann, D Acosta, A Alarcon, R Ostrowski, A Carrera, S Ribak, C Farquharson, N Barreto

0135    PRESENTACION ATIPICA DE HIPERTIROIDISMO EN PACIENTE CRITICO: PRESENTACION DE UN CASO

            L Doldan, M Galindo, C Vargas, C Dominguez, R Gregori, Y Lamberto, P Saul, N Chacon, V Chediack, E Cunto

0144    INTOXICACIÓN CON ÁCIDO VALPROICO: REPORTE DE CASOS

            L Morales, P Pahnke, A Vilkelis

0188    FALLA MULTIORGÁNICA DEBIDA A MORDEDURAS MÚLTIPLES DE ARACNIDOS

            S Ruiz Laos, J Morales Corvacho

0217    ENFERMEDAD DE POMPE, ENFERMEDAD RARA DEL ALMACENAMIENTO DE GLUCOGENO

            P Zuleta  Chambi, A Bonilla, E Polo, J Rivadeneira

0249    PACIENTE JOVEN CON MICROAGIOPATIA TROMBÓTICA INDUCIDA POR SEPSIS

            F Garavelli, M Re, N Rocchetti, F Di Paolo, M Latimori, M Ramirez Colombres, C Maenza, S Gattino, C Settecase, D Bagilet

 

 

PREMIOS

09/11/2022 - 08:00 a 09:00

Orales Premios 01

Premio 1

Las Américas

 

0034    LA GRAVEDAD DEL SDRA INTERFIERE CON EL VALOR CLÍNICO DE LA POTENCIA MECÁNICA

            N Pistillo, P Castelluccio, I Suzuki

0163    IMPACTO DE LA IMPLEMENTACIÓN DE OXIGENOTERAPIA A ALTO FLUJO SOBRE LA FRACCIÓN DE ACORTAMIENTO DIAFRAGMÁTICO EN VOLUNTARIOS SANOS. ESTUDIO DE COHORTE PROSPECTIVO

            G Plotnikow, FJ Bianchini, RS Moracci, FJ Gutierrez, JA Santana Mackinlay, F Melgarejo, MP Loustau, V Acevedo, E Di Salvo, J Mariani

0171    COMPORTAMIENTO DE LA PRESIÓN DEL BALÓN DE NEUMOTAPONAMIENTO DEL TUBO ENDOTRAQUEAL DURANTE UNA MANIOBRA DE CONTROL HABITUAL CON DISTINTOS MANOVACUÓMETROS. ESTUDIO DE LABORATORIO

            I González, CB Dominguez, EA Di Salvo, MP Loustau, VS Acevedo, JC Melero, MD Celano, FJ Bianchini, FJ Gutierrez, J Mariani, G Murias, GA Plotnikow

0259    RENDIMIENTO DEL MODO INVASIVO EN DIFERENTES SISTEMAS DE HUMIDIFICACIÓN ACTIVA CON OXIGENOTERAPIA DE ALTO FLUJO

            GA Plotnikow, DS Villalba, E Perez Calvo, C Quiroga, E Navarro, E Gogniat

0276    ¿PUEDE EL DECÚBITO PRONO DISMINUIR EL MECHANICAL POWER APLICADO AL SISTEMA RESPIRATORIO? UN ESTUDIO DE COHORTE PROSPECTIVO

            M Accoce, J Pérez, J Dorado, D Gilgado, G Cardoso, M Bertozzi, A Vitale, C Papazian, M Calvo Delfino, C Snaider, R Bragagnolo

 

 

 

09/11/2022 - 13:00 a 14:00

Orales Premios 02

Premio 2

Las Américas

 

0026    DECÚBITO PRONO PROTOCOLIZADO FRENTE A ESTRATEGIA DE PRONO ESTÁNDAR EN PACIENTES VENTILADOS CON COVID-19: ESTUDIO CUASI-EXPERIMENTAL

            I Carboni Bisso, D ávila Poletti, A Massó, E Prado, JM Nuñez Silveira, E Sosa, P Buchanan, R Aimé, V Richter, M Buscaglia, MR Risk, J Sinner, M Las Heras, I Huespe

0230    COMPARACIÓN DE TRES ESCORES PARA DETERMINAR EL RIESGO NUTRICIONAL EN PACIENTES CRÍTICOS VENTILADOS CON COVID-19

            D Moretti, CA Luchitta, DH Bagilet, NS Rocchetti, SP Gattino, MD Ré, S Diodati, CJ Settecase

0272    EVALUACIÓN DE LA VALIDEZ PREDICTIVA DE LA DEFINICIÓN DE BERLÍN EN PACIENTES CON INSUFICIENCIA RESPIRATORIA POR COVID-19 Y REQUERIMIENTO DE CÁNULA NASAL DE ALTO FLUJO. ESTUDIO MULTICÉNTRICO DE COHORTE PROSPECTIVO

            M Busico, NA Fuentes, A Gallardo, A Vitali, J Quintana, M Olmos, M Esperatti

0297    EVALUACIÓN DE LA NUTRICIÓN ENTERAL DE PACIENTES VENTILADOS EN DECÚBITO PRONO POR INFECCIÓN DE SARS COV- 2 EN CUIDADOS CRÍTICOS DE UN  HOSPITAL DEL PARAGUAY

            I Gavilan, J Figueredo, C Figueredo, L Fontclara, AM Ferreira, N Crosta, LM Pederzani, H Bianco, F Ferreira, B Figueredo

0311    EFECTO DE LA POSICIÓN PRONA VIGIL EN PACIENTES CON INSUFICIENCIA RESPIRATORIA AGUDA RELACIONADA CON COVID-19 TRATADOS CON CÁNULA NASAL DE ALTO FLUJO: EVALUACIÓN DE DESENLACES CLÍNICOS EN DIFERENTES OLAS

            M Esperatti, NA Fuentes, M Busico, M Olmos, A Gallardo, A Vitali, H Kakisu, J Quintana, A Lagazio, S Saavedra, A Miranda, ME Gonzalez, M Mogadouro, ACG High Flow And Prone Positioning

0355    INCIDENCIA, PREDICTORES E IMPACTO CLÍNICO DEL FALLO EN LA TRANSICIÓN A VENTILACIÓN ESPONTÁNEA EN  PRESIÓN SOPORTE EN SUJETOS CON COVID-19. ESTUDIO DE COHORTE RETROSPECTIVO

            J Pérez, JH Dorado, E Navarro, DI Gilgado, GP Cardoso, I Telias, PO Rodriguez, M Accoce, L Brochard

 

 

 

10/11/2022 - 08:00 a 09:00

Orales Premios 03

Premio 3

Atlántico B

 

0012    COVID-19: ACTITUDES ANTE LA MUERTE Y CREENCIAS SOBRE EL PACIENTE TERMINAL EN ENFERMEROS DE TERAPIA INTENSIVA Y CLÍNICA MÉDICA

            KM Manzur, ADLM Manzur

0031    EVALUACIÓN DE LA DISCRIMINACIÓN Y CALIBRACIÓN DE SCORES PREDICTIVOS DE MORTALIDAD PARA PACIENTES CON COVID-19 EN ECMO

            I Lockhart, I Huespe, C Lockhart, F Pálizas Jr, M Colombo, MDP Romero, E Prado, C Casabella García, M Las Heras, I Carboni Bisso

0047    EVALUACIÓN HEMODINÁMICA POR ECOCARDIOGRAFÍA TRANSESOFÁGICA A PACIENTES EN DECÚBITO PRONO CON DISTRESS RESPIRATORIO SEVERO DEBIDO A INFECCIÓN POR SARS COV 2

            M Castillo Ortega, FA Sosa, J Weight, A Matarrese, JJ Ruiz, G Paz, J Osatnik, M Kleinert, G Cesar, D Ivulich, P Merlo

0071    EPIDEMIOLOGÍA DE PACIENTES ADULTOS TRAQUEOSTOMIZADOS POST FASE AGUDA DE COVID-19 INGRESADOS EN CENTROS DE DESVINCULACIÓN DE LA VENTILACIÓN MECÁNICA Y REHABILITACIÓN EN ARGENTINA: UN ESTUDIO MULTICÉNTRICO PROSPECTIVO

            D Villalba, E Navarro, A Matesa, A Brusco, V Morales, GG Morel Vulliez, E Rositi, L Prieto, M Bosso, S De Paoli, A Cotero, J Nadur, M Santini, M Alonso, F Larroca, C Duarte, V Garcia, R Campodónico, G Musso, M Leingruber, A Morales, A Segura, ME Vallory, S Pieruzzi, P Pascal, EL De Vito

0073    PREVALENCIA DE LESIONES LARINGOTRAQUEALES EN PACIENTES ADULTOS TRAQUEOSTOMIZADOS POST-COVID-19 EN UN CENTRO DE DESVINCULACIÓN DE LA VENTILACIÓN MECÁNICA. COMPARACIÓN CON CONTROL HISTÓRICO SIN COVID-19

            A Vicente, D Villalba, L Diaz Ballvé, P Pedace, E Perez Calvo, P Tocalini, JM Carballo, K Torres, G Petraroia, J Collins, A Matesa, G Gil Rossetti, N Golfarini, P Pini, L áreas, A Del Valle, M Scrigna, E Distefano, F Planells

0225    PARÁMETROS RESPIRATORIOS E IMPACTO DE LA FINALIZACIÓN DEL EMBARAZO SOBRE LA MECÁNICA PULMONAR Y EVOLUCIÓN MATERNO-FETAL-NEONATAL EN PACIENTES OBSTÉTRICAS CON COVID-19: ESTUDIO DE COHORTE PROSPECTIVO MULTICÉNTRICO

            D Vasquez, R Giannoni, A Salvatierra, K Cisneros, D Lafosse, F Escobar, M Montenegro, P Juárez, L Visani, V Mandich, E Barrozo, M Kirschbaum, A Das Neves, MF Valenti, MC Canseco, I Romero, P Macharé, A Marquez, E Rodriguez, C Palacio, L Rapela, J Amillategui Scenna, R Nuñez, S Torres, G Plotnikow, MA Gonzalez, L Franconieri, D Nasner, P Okurzaty, AD Intile

 

 

 

10/11/2022 - 13:00 a 14:00

Orales Premios 04

Premio 4

Atlántico B

 

0018    ÁCIDO TRANEXÁMICO EN TRAUMATISMO DE CRÁNEO LEVE Y MODERADO CON LESIÓN TOMOGRÁFICA

            ME Blessio, PB Pahnke, I Puig

0019    TRAUMATISMO DE PELVIS GRAVE: ANGIOEMBOLIZACIÓN Y APLICACIÓN DE PROTOCOLO DE TRANSFUSIÓN MASIVA HOSPITALARIO

            AD Bujedo, MC Vignetta, PB Pahnke

0052    EVALUACIÓN DE LA DISFUNCIÓN VENTRICULAR DERECHA EN PACIENTES SÉPTICOS

            L Bertorello Andrade, A Sosa, A Matarrese, F Daldoss, G Yossa

0187    ESFUERZO TERAPÉUTICO DE ENFERMERÍA MEDIDO POR TISS 28 EN EL SERVICIO DE CUIDADOS CORONARIOS DEL ADULTO

            R Talma, T Robetto

0202    MIOCARDIOPATÍA SÉPTICA: UTILIDAD DIAGNÓSTICA DEL STRAIN LONGITUDINAL GLOBAL

            F Daldoss, A Sosa, A Matarrese, BA Lucía, Y Giuliano

0405    PROGRAMA DE OPTIMIZACIÓN DE USO DE ANTIMICROBIANOS: APROPIABILIDAD EN TERAPIA INTENSIVA DE UN HOSPITAL DE ALTA COMPLEJIDAD

            F Scarselletta, L González, C Rios, S Lucini, C Sfara, N Díaz, L Zubeldía Brenner, G Vinicoff, J Farina, S Esposto, F Gil

 

 

 

11/11/2022 - 08:00 a 09:00

Orales Premios 05

Premio 5

Las Américas

 

0001    ADULTOS MAYORES Y CUIDADOS INTENSIVOS EN ARGENTINA: CARACTERÍSTICAS, INTENSIDAD DE TRATAMIENTO Y EVOLUCIÓN

            R Fernandez, F Alvarez

0029    INTERLEUCINA 6, PROTEINA C REACTIVA Y PROCALCITONINA SÉRICAS COMO BIOMARCADORES PREDICTIVOS DE MORTALIDAD EN PACIENTES CRITICOS CON COVID-19

            CE Maenza, NS Rocchetti, M Ramírez Colombres, M Latimori, FR Dipaolo, F Garavelli, SP Gattino, MD Ré, CJ Settecase, DH Bagilet

0058    EFECTOS DEL RECALENTAMIENTO SOBRE LA MICROCIRCULACIÓN EN LA HIPOTERMIA DEL SHOCK HEMORRÁGICO EXPERIMENTAL

            JF Caminos Eguillor, G Ferrara, MG Buscetti, VS Kanoore Edul, HS Canales, B Lattanzio, L Gatti, FJ Gutierrez, A Dubin

0113    MANEJO Y RESULTADOS DE MUJERES EMBARAZADAS Y PUÉRPERAS CON CORONAVIRUS DENTRO DE LA UNIDAD DE TERAPIA INTENSIVA OBSTÉTRICA (UTIO) ENERO-DICIEMBRE 2021, DE LA CIUDAD DE POSADAS MISIONES

            A Senger, R Benitez, S Amelia, S Altemburger

0266    ESTUDIO MULTICÉNTRICO SOBRE INJURIA RENAL AGUDA EN LA UTI EN ARGENTINA: EPIDEMIOLOGÍA, RESULTADOS Y PRONÓSTICO. GRUPO EPIRA (GRUPO EPIDEMIOLÓGICO DE INSUFICIENCIA RENAL AGUDA)

            PN Rubatto Birri, R Giannoni, M Furche, M Nahra, MG Arce Gallardo, G Segui, G Tuhay, P Birri, M Romano, M Humacata, V Petrochelli, L Huespe, D Banegas, A Gomez, G Zakalik, F Lipovesky, P Montefiore, C Galleti, J Pendino, M Vera, S Mare, L Bergallo, G Fernandez, ML Campassi, F Rios

0369    CARACTERÍSTICAS DE LA INSUFICIENCIA RENAL AGUDA EN LOS TRASTORNOS HIPERTENSIVOS DEL EMBARAZO GRAVES

            AM Antón, R Giannoni, MG Arce, IS Gonzalez Pompilio, V Jozami, FF Giannoni, RO Marañon

 

 

 

11/11/2022 - 13:00 a 14:00

Orales Premios 06

Premio 6

Las Américas

 

0076    BOTULISMO DEL LACTANTE: ESTUDIO DESCRIPTIVO EN UNA UNIDAD DE CUIDADOS INTENSIVOS PEDIÁTRICOS

            C Avila, G Kaltenbach, MM Cardenas

0104    COMPLEJIDAD DE PRESIÓN INTRACRANEANA COMO SUBROGANTE DE COMPLACENCIA CEREBRAL

            N Ciarrocchi, C Videla, S Hem, MDC Garcia, F Goldenberg, A Mansour, C Lazaridis, F Pose, F Redelico

0111    ELECTROENCEFALOGRAMA CUANTITATIVO DURANTE EVENTOS DE HIPERTENSIÓN INTRACRANEANA EN MODELO PORCINO

            N Ciarrocchi, C Videla, F Pose, S Hem, MDC Garcia, F Goldenberg, A Mansour, N Issa, C Lazaridis, F Redelico

0245    CRANIECTOMÍA DESCOMPRESIVA PRIMARIA EN TRAUMATISMO CRANEOENCEFÁLICO GRAVE

            F Garavelli, M Re, N Rocchetti, F Di Paolo, M Latimori, M Ramirez Colombres, C Maenza, S Gattino, C Settecase, D Bagilet, J Meoli

 

 

RESÚMENES

0001   Adultos mayores y Cuidados Intensivos en Argentina: Características, intensidad de tratamiento y evolución

R Fernandez(1), F Alvarez(1)

(1) Español De Mendoza.

 

Introducción: En Argentina, según censo 2010, la población ≥ 65 años constituía el 10,2%, ubicando a nuestro país entre los más envejecidos de la región.Es probable que los sistemas de salud, no se ajusten a las demandas impuestas por la atención creciente de adultos mayores; no existiendo según nuestro conocimientos, datos publicados que describan esta población, características y evolución en relación a los Cuidados Intensivos.

Objetivo: Determinar prevalencia de pacientes añosos y muy añosos admitidos en UCI y describir sus características y evolución.

Materiales y método: Estudio observacional, retrospectivo con análisis secundario de base de datos SATI-Q entre 2011 y 2019. Se definió según O.M.S. pacientes añosos entre 75 y 90 años y muy añosos a los >90 años. Se extrajeron variables demográficas, clínicas, uso de dispositivos, complicaciones y evolución.

Las variables cuantitativas se expresan como mediana y RIC y se analizaron con U de Mann Whitney; las cualitativas se expresan en frecuencias, porcentajes y OR. Fueron analizadas mediante test de chi2 o chi2 para tendencias

En análisis post hoc se construyó un modelo de regresión logística tomando como variable dependiente “Resultado (Fallecido)”.

Se consideró significación estadística P ≥0,05.

Resultados: Entre 2011 y 2019 se registraron, 28.625 casos (19,8%) de ≥ 75 años y 2.037 (1,4%) > de 90. El porcentaje de pacientes añosos se eleva de 15,7% en 2011 a 21,9% en 2019 y el de muy añosos, de 1,3% en 2011 a 2,2% en 2019; p = 0,0001. Las características generales se resumen en tabla1.

Las tasas de uso de dispositivos fueron de 43% para CVC 73,4% para SV y 41,9% ARM.

La tabla 2 muestra las características de los pacientes sobrevivientes y fallecidos.

El análisis multivariado, mostró como factores independientes de mortalidad edad, APACHE II, TISS 28 durante la internación, uso de ARM, patología médica o trauma y dependencia de atención pública.

Conclusiones: El porcentaje de pacientes añosos y muy añosos asistidos en UCI aumentó en los últimos años de manera sostenida, registrándose un uso importante de medidas de soporte vital, complicaciones derivadas de las mismas y estadías prolongadas; esto podría generar a futuro un fuerte impacto sobre el sistema de salud.

  

 

 

 

 

0002   TROMBOSIS VENOSA CEREBRAL: VARON JOVEN

E Simes(1)

(1) Instituto Medico Quirurgico Mercado Luna.

 

Introducción: La trombosis venosa cerebral (TVC), es una enfermedad cerebro vascular, muy poco frecuente, que se incluye dentro del grupo de trombosis en sitios infrecuentes, afecta fundamentalmente a niños y mujeres en edad fértil.

Caso clínico: Varon de 40 años de edad que presenta de forma subita cefalea y afasia de expresión acompañado de paresia braquio-crural. Evoluvionando con depresion del sensorio , trastorno deglutorio. Se realizo anticoagulacion con heparinas de bajo peso molecular, las primeras 24 horas , presentando hematoma intracerebral, por lo cual se suspende . Luego de 15 dias de evolucion en UTI se otorga el pase a sala con posterior antigoagulacion por presentar Trombosis en RM de control.

Laboratorios: colagenograma, complemento, proteinas C y S normales, continauando control por hematologia.

TC sin contraste: signo del seno hiperdenso y de la cuerda, hematoma. Los hallazgos descritos sugieren infarto venoso cerebral con transformación hemorrágica. RM: vacio de flujo.

Conclusión: La TVP es una entidad poco frecuente pero grave, que afecta sobre todo a gente joven. Es indispensable un diagnóstico precoz TVC como las alteraciones parenquimatosas derivadas de ella son potencialmente reversibles. La TVC tiene una presentación inespecífica y por lo tanto es importante sospecharla ante resultados sutiles de imágenes y signos indirectos que puedan indicarnos la presencia de trombosis.

 

 

 

 

0003   ENCEFALITIS DESMIELINIZANTE AGUDA (EDA)

E Simes(1), N Llanos(1), C Fernandez(1)

(1) Instituto Medico Quirurgico Mercado Luna.

 

Las enfermedades desmielinizantes son aquellas en las que el proceso patogénico principal está dirigido contra la mielina . Produciéndose una inflamación y/o destrucción selectiva de la misma.

El origen de las vainas de mielina que envuelven los axones, provienen de distintos tipos de células gliales según se localicen en el sistema nervioso central (S.N.C) o periférico (S.N.P).

Caso clínico: varon 37 años ingresa por paresia de los 4 miembros a predominio distal, vomitos, vertigo y trastornos deglutorios que rapidamente evoluciona con insuficiencia respiratoria requiere ARM, con antecedentes de 25 dias anteriores fue vacunado contra covid 19, se relaiza PL , anticuerpos ACRA, vitamina B12 , colagenograma completo , anticuerpos para covid, todo con resultados normales, anticuerpos para vacuna covid positivos. RMN alteración de intensidad de señal en ambos pedúnculos cerebelosos, protuberancia, tronco cerebral con mayor afectación de su margen lateral derecho, pedúnculo cerebral derecho y áreas con cambio de intensidad de señal vecinos a la región subfalcina derecha y la región subependimaria y peritalámica izquierda, alteración se interpretan secundarios a un trastorno de mielinización.

Se inicio tratamiento con corticoides e inmunoglobulinas , presentando intercurrencias infecciosas por ARM prolongado , traqueotomia percutanea , luego de 55 dias de internacion se logra pase a clinica , con recuperacion de furza muscular, vigil , sin trastornos de la conciencia . Se controla al mes , donde presenta buena evolucion con esuperacion de deglucion y fuerza muscular .

Conclusión: La EDA se caracteriza por una respuesta autoinmune, que aparecerá tras una infección; reacción alérgica o post-inmunización.Se considera que existe una sensibilización de linfocitos contra el tejido encefálico debido a una reacción cruzada entre antígenos infecciosos o agentes de inmunización y antígenos cerebrales, esto produce una repuesta inflamatoria directa que compromete la sustancia blanca del SNC.

 

 

 

 

0006   Eficacia y complicaciones de la traqueotomía percutánea guiada por broncoscopia en pacientes con COVID-19 y sin COVID-19

V Ruiz(1), F Rosciani(1), I Carboni Bisso(1), I Fernandez Ceballos(1), M Las Heras(1), C Lockhart(1), J Cantos(1)

(1) Hospital Italiano De Buenos Aires.

 

Objetivo: Evaluación de la eficacia y las complicaciones asociadas con la realización de una traqueotomía percutánea (TP) guiada por broncoscopia en pacientes con COVID-19.

Métodos: Estudio observacional, prospectivo, realizado entre marzo de 2020 y febrero de 2022. Se incluyeron todos los pacientes adultos a los que se les realizó TP guiada por broncoscopia electiva.

La eficacia del procedimiento se evaluó en función de la tasa de éxito en la ejecución o en la necesidad de conversión a técnica abierta. Además, se registraron las complicaciones tempranas y tardías. Se compararon los resultados de pacientes con COVID-19 vs los pacientes sin COVID-19.

Resultados: Durante el período de estudio se analizaron 312 TP guiadas por broncoscopia. 183 se realizaron en pacientes con COVID-19 y 129 en pacientes sin COVID-19. En general, el 64,1% (200) de los pacientes eran del sexo masculino, con una mediana de edad de 66 (RIC 54 - 74) y el 65% (205) presentaba al menos una comorbilidad.

En general, la desaturación fue la principal complicación observada (20,8% [65]), siendo más frecuente en el grupo COVID-19 en un 27,3% (50) con una diferencia estadísticamente significativa vs el grupo de pacientes no COVID-19 (11,6 % [25]); p<0,01).

Las complicaciones mayores como hipotensión, arritmias y neumotórax también se observaron con mayor frecuencia entre los pacientes con COVID-19, pero sin diferencias significativas. La TP se pudo realizar de forma rápida y satisfactoria en todos los pacientes sin necesidad de conversión a la técnica abierta. Asimismo, no se requirió en ningún caso la suspensión del procedimiento.

Conclusión: La TP guiada por broncoscopia puede considerarse un procedimiento eficaz y seguro en pacientes con COVID-19. Sin embargo, es destacable que en la serie en estudio, un gran número de pacientes con COVID-19 presentaron desaturación durante el procedimiento.

 

 

 

0008   ROL DEL KINESIÓLOGO EN EL PROCESO DE DESVINCULACIÓN DE LA VENTILACIÓN MECÁNICA INVASIVA EN LAS TERAPIAS INTENSIVAS PEDIÁTRICAS DE ARGENTINA

J Palmeiro(1), Y Nociti(1), V Laulhé(1), P Taffarel(1)

(1) Elizalde.

 

Introducción: La práctica del kinesiólogo en la unidad de cuidados intensivos pediátricos (UCIP) tiene un amplio campo de acción. Dentro de sus incumbencias se encuentra la participación en el proceso de desvinculación de la ventilación mecánica (VM). La implementación de un protocolo para este proceso, evita la variabilidad en el abordaje y mejora los indicadores en salud.

Objetivos: Determinar la práctica habitual del kinesiólogo en el proceso de desvinculación de la VM invasiva (VMI) en las UCIPs de Argentina.

Mensurar la utilización de protocolos para la desvinculación de la VM y describir el tipo de prueba predominante.

Material y métodos: Estudio descriptivo, transversal, multicéntrico, realizado a través de encuestas.

Resultados: Se contactaron 82 UCIPs de diversas áreas geográficas del territorio Argentino, dos de las cuales manifestaron no contar con kinesiología en la unidad. Se enviaron encuestas a través de Google Form a 80 UCIPs, las que respondieron en su totalidad. El 32,5% (N=26) utilizan un protocolo para el proceso de desvinculación de la VMI. El 75% (N=60) de los kinesiólogos encuestados manifiesta participar siempre o casi siempre de las decisiones y acciones que se ejecutan en el proceso de desvinculación de la VM. Se pesquisó asimismo las prácticas y mediciones que realiza el kinesiólogo, la cantidad de camas por unidad y la relación camas/kinesiólogo, observándose en esta última que un 35% de las unidades excede la recomendación que surge de la Resolución 747/2014 del Ministerio de Salud de la Nación.

El 57,5% (N=46) de las UCIPs utiliza como principal prueba de ventilación espontánea (PVE) la presión positiva continúa con presión de soporte (CPAP/PS).

Conclusión: Existe un bajo porcentaje de protocolización en la práctica habitual del proceso de desvinculación de la VM en pediatría. Con alta participación del kinesiólogo, siendo la CPAP/PS el método de primera elección para la PVE.

Palabras clave:

Kinesiología crítica pediátrica, destete de ventilación mecánica, protocolización.

 

 

0009   Viabilidad del posicionamiento en decúbito prono con un único operador: descripción técnica

A Masso(1), N Gemelli(1), G Sotera(2), C Barrios(1), D Pina(2), I Carboni Bisso(1), M Las Heras(1)

(1) Hospital Italiano. (2) Sanatorio Franchin.

 

Objetivo: Determinar la viabilidad de la maniobra de prono con un solo operador en pacientes síndrome de distrés respiratorio agudo (SDRA) por COVID-19.

Métodos: Estudio retrospectivo, observacional y unicéntrico, realizado entre marzo de 2020 y 2021. Se incluyeron aquellos pacientes COVID-19 con SDRA en los que el posicionamiento en decúbito prono se realizó con un solo operador.

La maniobra aplicada consta de 3 etapas:

Preparación:

Asegurar identificación del paciente e indicación de ventilación en decúbito prono.

Realizar higiene general y oral.

Aspiran secreciones.

Corroborar la correcta fijación del tubo orotraqueal.

Corroborar la correcta insuflación del balón de neumotaponamiento.

Suspender la alimentación enteral.

Asegurar medidas de seguridad correspondientes al cuidado de sondas y catéteres.

Movilización:

Ubicar al paciente hacia un extremo de la cama, movilizando en primer lugar los miembros inferiores y posteriormente pelvis, torso, hombros y cabeza, respectivamente.

Cruzar las piernas.

El brazo opuesto al operador debe ser colocado por debajo del paciente.

Colocar una almohada debajo del hombro del paciente.

Retirar los elementos de monitoreo.

Rotar al paciente 90° hacia el lado libre de la cama.

Jalar suavemente de la almohada debajo del hombro, acompañando el movimiento de rotación.

Prestar especial atención a la vía central y al tubo orotraqueal.

Cuidados post-movilización:

Recolocar los elementos de monitoreo y chequear los signos vitales.

Aplicar silicona en zonas de apoyo para evitar lesiones por presión.

Realizar una nueva maniobra de aspiración de secreciones.

Resultados: Se analizaron los resultados 19 pacientes, 14 de sexo masculino, con una mediana de edad de 59 años y un índice de masa corporal de 29. Cada paciente requirió entre 2 y 3 ciclos de prono, registrando un total de 41 movilizaciones.

Un paciente presentó desplazamiento de sonda nasogástrica, y en 2 casos se requirió más de un operador para completar la movilización. No se registraron complicaciones tales como extubación, o retiro accidental de accesos venosos.

Conclusión: Describimos la viabilidad del posicionamiento en decúbito prono con un solo operador. A pesar de no registrar complicaciones mayores tales como extubación o retiro accidental de accesos, se necesitan más estudios para determinar la seguridad y utilidad de esta maniobra.

 

 

 

0010   Supervivencia y decanulación a los 90 días luego de traqueostomia por dilatación percutanea en unidad de cuidados intensivos COVID-19

G Musso(1), M Mangó(1), MC Gomez(1), G Appendino(1), L Friscione(2), C Gonzalez(1), C Capitaine Funes(1), F Piatti(1), C Lovesio(1)

(1) Sanatorio Parque. (2) Instituto Cardiovascular De Rosario.

 

Introducción: La traqueostomía (TQT) es el procedimiento quirúrgico más frecuentemente realizado en pacientes COVID-19. La tasa de supervivencia y decanulación en Argentina se desconoce. El objetivo principal de este estudio fue evaluar la mortalidad y la tasa de decanulación al día 90 de realizada la TQT percutánea. Secundariamente se evaluó la tasa de lesión en la vía aérea, días de ventilación mecánica invasiva (VMI) y días de internación en unidad de cuidados intensivos (UCI).

Métodos: Estudio observacional analítico de cohorte prospectiva que incluyó pacientes mayores de 18 años infectados por SARS-CoV-2 ingresados de forma consecutiva a la UCI con requerimiento de VMI y TQT percutánea en el periodo comprendido entre 1 de febrero al 31 de julio del 2021.

Resultados: La mortalidad fue del 66.3%. De los supervivientes se logró decanular al 67%. Los supervivientes fueron más jóvenes [media 50.6 (DE 10.2) años versus media 58.9 (DE 13.4) años; p=0.001] y presentaron puntajes más bajos de índice de Charlson [mediana 1 (RIQ 0-2) versus 2 (1-3) puntos; p = 0.007]. Los pacientes TQT antes del día 10 desde el inicio de VMI tuvieron menos días de VMI y menor estadía en UCI, p<0.01 y p=0.01 respectivamente. El índice de Charlson se identificó como factor independiente de mortalidad a los 90 días y de decanulación a los 90 días.

Discusión: En nuestra cohorte de pacientes fueron los más jóvenes y con menos comorbilidades los que se beneficiaron con la TQT. El índice de Charlson podría utilizarse como marcador pronóstico en esta población de pacientes.

 

 

0011   Características Clínicas y Evolución de los Pacientes que Consultan por FA a un Servicio de Emergencias Hospitalario

A Guzzetti(1), P Zielinksi(1), M Teheran Wilches(1), L Pulido Blanco(1), C Basañes(1), L Rocha Rivarola(1), F Allalla(1), A Savia(1)

(1) San Juan De Dios.

 

Introducció: La Fibrilación Auricular(FA) es un motivo de consulta cada vez más frecuente a los departamentos de emergencia (DE) también suele ser un epifenómeno en otras patologías agudas.

Objetivo: Describir las características de los pacientes que consultan por FA como causa primaria a un departamento de emergencias hospitalario.

Material y Método: Estudio descriptivo, retrospectivo de corte transversal. Criterios de inclusión: Edad >16años, FA constatada en ECG de guardia que consultaron al DE del Hospital San Juan de Dios Ramos Mejía entre el 1/1/2019 y el 1/1/2022 por palpitaciones, taquicardia, arritmia, FA o diagnóstico de egreso FA. Los datos se obtuvieron del sistema de HC. Se transfirieron a Excel y se analizaron con Medcalc.

Resultados: Se identificaron 138 consultas. 70 femenino(51%) y 68 masculinos(49%). Promedio de edad 66 años [30-99]. FA conocida en 77(56%) y detectada en guardia en 61(44%). Frecuencia ventricular promedio fue de 118lpm [44-205]. Presentaron Falla hemodinámica – Insuficiencia Cardiaca descompensada – Dolor Precordial – Deterioro del sensorio 22 pacientes(16%); 116 pacientes(84%) presentaron síntomas leves/moderados. 101(73%) presentaban patología concomitante(PC), 37 (27%) no presentaban PC. Detalle PC: 46%,infecciosa, 19% vascular, sangrado 11%, otras 24%. Disposición: 68 pacientes(49%) egresaron desde guardia. 43 pacientes(32%) Ingresaron a UCO/UTI. 27 pacientes(19%) Ingresaron a sala general. Mortalidad: 1.4%(2 pacientes). Anticoagulación en altas de guardia: 9%. CHA2DS2-VASc promedio altas guardia: 2.

Discusión y Conclusiones: Se describen las características de la población que consulta con FA al DE un Hospital Privado de la Provincia de Buenos Aires. Existe una alta proporción de detección de FA en guardia. La mayoría de los pacientes tuvo síntomas leves/moderados. La mortalidad hospitalaria es comparable con otras series. En el período analizado se registraron en total 141915 consultas clínicas, los 138 casos incluidos representan aproximadamente el 0.1% de las consultas; entendemos que existe un subregistro de la patología. La creciente accesibilidad a los Anticoagulantes Orales Directos (DOAC) ayudará a aumentar, en los casos que está indicado, la baja tasa de anticoagulación al alta de guardia observada. Se requiere protocolización para facilitar la toma de decisiones en la urgencia (control de ritmo, cardioversión, anticoagulación, etc.) optimizando el flujo de pacientes, brindando resolución rápida y segura y disminuyendo los costos.

Referencias: NEJM.2019 Apr18;380(16):1578-1579.doi:10.1056/NEJMe1902341.

WJEM.2013 Feb;14(1):55-7. doi:10.5811/westjem.2012.1.6893.

 

 

0012   Covid-19: Actitudes ante la muerte y creencias sobre el paciente terminal en enfermeros de terapia intensiva y clínica médica.

KM Manzur(1), KM Manzur, ADLM Manzur(2)

(1) -. (2) Sanatorio Mayo.

 

Introducción: La muerte es un proceso biológico, psicológico y social. Este estudio analizó la relación entre las actitudes ante la muerte y las creencias sobre el paciente terminal en una muestra de enfermeros y posteriormente las comparó según el tipo de servicio en el que se desempañaron durante la pandemia Covid-19 en el año 2020.

Metodología: Estudio transversal, correlacional y comparativo. La unidad de análisis fueron enfermeros que trabajaban en terapia intensiva y clínica médica. El instrumento que mide actitudes ante la muerte está formado por 33 reactivos y las clasifica en evitación, aceptación, temor, pasaje/tránsito, salida/solución y perspectiva profesional, el grado de acuerdo se expresa de 1 a 5. El instrumento que mide creencias sobre el paciente terminal está conformado por 15 ítems, el grado de acuerdo se expresa de 1 a 7. Los datos fueron analizados con el software SPSS.

Resultados: La muestra estuvo integrada por 78 enfermeros, el 57.7% de Terapia Intensiva y el 42.3% de Clínica Médica. No se expresaron actitudes polarizadas ante la muerte (Tabla 1), sin embargo, la que obtuvo mayor puntaje fue aceptación. Se encontró una correlación positiva y estadísticamente significativa entre la actitud de aceptación y las creencias de que tanto para el familiar y para el enfermo lo mejor es que muera en su casa (p=0.001) y la importancia de que reciba apoyo psicológico y espiritual (p=0.003) (Tabla 2). A pesar de que la creencia con mayor desacuerdo (Media 2.23; DS1.78; Me 1) corresponde a que enfermería puede intervenir muy poco en el proceso de morir de un enfermo terminal, obtuvo una correlación positiva y estadísticamente significativa con la actitud de temor ante la muerte. En el análisis comparativo por servicio, los enfermeros de UTI expresaron mayor acuerdo (Media 5.36) que los de clínica médica (Media 4.42) sobre la creencia de que tanto para el familiar como para el enfermo, lo mejor es que muera en su casa (p=0.034). No se encontraron diferencias significativas entre las actitudes ante la muerte y el tipo de servicio.

Conclusiones: Las actitudes ante la muerte y las creencias sobre el paciente terminal están relacionadas.

 

 

 

 

0014   Parálisis Cerebral Infantil: Sobrecarga en el cuidador primario y su relación con el tipo de alimentación y función motora del paciente

KM Manzur(1), MS Menghi(1)

(1) Universidad Católica Argentina - Facultad Teresa De ávila.

 

Introducción: Los padres de niños con parálisis cerebral se enfrentan a las alteraciones motoras, sensoriales, cognitivas y emocionales de sus hijos. La sobrecarga es el conjunto de problemas físicos, psicológicos o emocionales, sociales y económicos que pueden ser experimentados por una persona que realiza tareas de cuidado. El objetivo de este estudio fue investigar la relación entre la sobrecarga del cuidador y el tipo de alimentación y función motora del paciente.

Metodología: Estudio cuantitativo, transversal, comparativo. La unidad de análisis fueron cuidadores primarios de pacientes con parálisis cerebral infantil. El instrumento que mide Sobrecarga en el Cuidador está formado por 22 ítems y 5 dimensiones: sobrecarga en la relación, bienestar emocional, vida social y familiar, finanzas, pérdida de control sobre la vida de cada uno. El grado de acuerdo se expresa de 0 a 4. La sobrecarga total se obtiene sumando los puntajes y las categorías son: sin sobrecarga (≤46), sobrecarga leve (47-55), sobrecarga intensa (≥56). El tipo de alimentación se categorizó en: boca, sonda nasogástrica, botón gástrico y combinado. La función motora gruesa se clasifica en niveles de 1 a 5, a mayor nivel aumentan las limitaciones. Los datos fueron analizados con el software SPSS.

Resultados: La muestra estuvo integrada por 90 cuidadores, el 98,9% de género femenino y en el 92,2% de los casos el rol era cumplido por la madre. El 85,55% no presentó sobrecarga, el 5.55% tuvo una sobrecarga leve y el 8.89% intensa. Las dimensiones con mayor puntaje fueron finanzas, sobrecarga en la relación y pérdida de control sobre la vida de cada uno. El tipo de alimentación por boca (Figura 1) y el nivel 5 de la función motora gruesa (Figura 2) fueron predominantes. Por último, la sobrecarga del cuidador fue independiente del tipo de alimentación y función motora del paciente.

Conclusiones: La sobrecarga como constructo multidimensional expresa necesidades que deben ser atendidas porque el cuidador es el receptor de las indicaciones terapéuticas de cada disciplina que aborda al paciente pediátrico.

 

 

 

 

0015   Drenaje mínimamente invasivo de hemorragia intracerebral: experiencia sudamericana con el procedimiento MISTIE

C Videla(1), P Plou(1), L Valencia Chicue(1), C Yampolsky(1), P Ajler(1), N Ciarrocchi(1)

(1) Hospital Italiano De Buenos Aires.

 

Introducción: La hemorragia intracerebral (HIC) es el segundo subtipo más común de accidente cerebrovascular y está asociada con tasas elevadas de discapacidad o mortalidad, siendo uno de los factores de mal pronóstico el volumen del hematoma. El ensayo Mistie III, con objetivo de disminuir el tamaño del hematoma, demostró que a mayor reducción de la HIC, menor mortalidad, sin un aumento neto en la proporción de pacientes con discapacidad grave. En este trabajo se describe la experiencia de cuatro años de un hospital universitario de Argentina con el tratamiento de pacientes seleccionados con HIC según el protocolo Mistie.

Métodos: Se realizó un análisis retrospectivo de casos consecutivos con HIC tratados con el protocolo Mistie en un solo centro universitario de tercer nivel de atención desde 2017 hasta 2021.

Resultados: Se implementó este procedimiento en 7 pacientes con HIC con una mediana de edad de 61 años, una mediana de NIHSS de 14, un volumen de 35 ml y una mediana de puntuación de ICH score de 2. Cinco de 7 pacientes lograron el objetivo de reducción del hematoma, cuatro de los pacientes tenían un nivel de independencia total y uno necesitaba ayuda mínima a los 12 meses del alta. Cinco pacientes tuvieron un buen resultado funcional (mRS 0-3 y eGOS 4-8) y dos pacientes fallecieron pero ninguno a causa de las consecuencias de la trombolisis de la hemorragia intracerebral. No se presentaron complicaciones hemorrágicas durante la colocación del catéter, infusión de alteplasa o posterior al retiro del catéter.

Conclusión: El tratamiento quirúrgico con craneotomía y evacuación del hematoma en pacientes con HIC sigue siendo motivo de debate. La técnica mínimamente invasiva puede ser útil para reducir la mortalidad y mejorar los resultados neurológicos en pacientes seleccionados. Se presentan los primeros datos obtenidos de una cohorte en Sudamérica con resultados similares a los obtenidos en el ensayo MISTIE y en cohortes posteriores, brindando al procedimiento de validación en nuestro medio.

 

 

 

0017   TROMBOCITOPENIA TROMBÓTICA INMUNITARIA INDUCIDA POR LA VACUNA  PRESENTACIÓN DE CASO Y REVISIÓN BREVE

U Zaya(1), A Aliscioni(1), Y Saldivar(1), R Alvarez(1), F Irades(1), N Kessler(1), P Tejerina(1), C Firme(1), P Calcagno(1), E Minoldo(1), C Galletti(1)

(1) Sanatorio Allende.

 

Introducción: Se describió un síndrome protrombótico en personas vacunadas con AstraZeneca, denominado trombocitopenia trombótica inmunitaria inducida por vacunas -TTIV- (VITT por sus siglas en inglés). Se expone la presentación clínica, evolución y los estudios que lo ilustran, contrastándolo con la bibliografía disponible.

Caso Clínico: Paciente masculino de 34 años, sano previo. Tuvo COVID-19 en julio de 2021. Se aplicó tercera dosis de vacuna con AstraZeneca el 14 de marzo de 2022. El 18 de abril consulta por epigastralgia de 7 días de evolución asociado a vómitos alimenticios y diarrea y signos clínicos de irritación peritoneal. Se interna en UCI. Se realizó tomografía de abdomen: trombosis venosa de porta, mesentérica superior, y esplénica, edema de asas yeyunales e infarto esplénico. En laboratorio trombocitopenia y Dímero D elevado. Evoluciona con empeoramiento clínico, letargo y foco motor, se presume trombosis cerebral. Angio RMN de cerebro: focos de hemorragia corticosubcortical frontal bilateral y trombosis del seno longitudinal superior y de venas corticales en la convexidad frontoparietal bilateral. Se sospecha TTIV. Se inicia anticoagulación con enoxaparina e inmunoglobulina (IG). Se solicita anticuerpo anti factor plaquetario 4 (AcPF4). Se descartan otras patologías. Evoluciona con FMO y coagulación intravascular con hemorragia digestiva. 36 horas luego, midriasis bilateral con reflejos de tronco abolidos, TC de cerebro: extensa área de hemorragia en lóbulo frontal derecho y ventrículo lateral, desplazamiento la línea media y hernia central con compresión mecensefálica. Signos de muerte encefálica clínicos y en doppler transcraneal.

Discusión y conclusiones: La TTIV es inusual. Se desconoce la incidencia exacta. Los Ac PF4 sobreestimulan el sistema de coagulación y causan complicaciones tromboembólicas significativas en sitios venosos típicos, no obstante, una característica distintiva es la trombosis en sitios inusuales. La ventana es variable después de la vacunación, entre 5 a 30 días después. La TVC parece ser el sitio más común. El Ac PF4 positivo es confirmatoria. La anticoagulación es mandatoria. Se asocia altas dosis de IG para contrarrestar la activación plaquetaria inducida por anticuerpos. El pronóstico es difícil de establecer. Los factores de riesgo de muerte incluyen TVC y anomalías hemostáticas pronunciadas tal como ocurrió en el caso que se presenta.

 

 

 

 

0018   ÁCIDO TRANEXÁMICO EN TRAUMATISMO DE CRÁNEO LEVE Y MODERADO CON LESIÓN TOMOGRÁFICA

ME Blessio(1), PB Pahnke(1), I Puig(2)

(1) Hospital Municipal De Urgencias. (2) Ospital Municipal De Urgencias.

 

Introducción: El traumatismo de cráneo (TEC) encabeza la lista de discapacidad neurológica en adultos jóvenes, y es considerado un problema prevalente en Salud Publica, incrementando los costos y morbi-mortalidad del sistema. Para tratar esta problemática la utilización de Ácido Tranexámico (ATX) en los últimos años ha adquirido importancia radical, comprobándose a través de grandes estudios que reduce considerablemente la mortalidad en pacientes con traumatismo de cráneo leve-moderado.

Metodología: Estudio de cohortes ambispectivo. En la fase prospectiva se incluyeron pacientes que tenían entre 15-80 años, que se encontraban dentro de las primeras 3 hs posterior al trauma y que además tenían un TEC leve o moderado por Escala de coma de Glasgow (GCS) y lesión tomográfica de tipo hemorrágica a nivel cerebral. A este grupo se les administró ATX. En la fase retrospectiva se analizaron datos de una cohorte similar al grupo anterior, pero que no recibieron ATX. Se evaluó el comportamiento de las lesiones hemorrágicas a través del análisis de imágenes tomográficas seriadas, su relación con el volumen del hematoma inicial y con la mortalidad asociada.

Resultados: El incremento de volumen total hemorrágico en el grupo de los que no se les administro ATX, fue estadísticamente significativo (p=0,05) (Gráfico 1) principalmente en aquellos que tenían un volumen hemorrágico inicial de entre 10 – 24,99 cc (Gráfico 2). En cuanto al análisis de lesiones hemorrágicas por separado, ocurrió mayor aumento de lesiones hemorrágicas significativas (>25%) y aparición de nuevas lesiones cerebrales focales en el grupo de los que no estuvieron expuestos al fármaco. Además se encontró un leve beneficio asociado a la utilización de ATX en TEC leves que en los moderados.

Conclusiones: Este ensayo demuestra el papel fundamental que cumple el ATX en el TEC, al disminuir la probabilidad de aumento de las lesiones hemorrágicas dentro de las primeras horas desde el traumatismo, principalmente en aquellos con volumen lesional inicial de entre 10 a 25 cc. Pudiendo ser el tamaño del hematoma un parámetro más certero que el puntaje en la GCS a la hora de indicar la administración del fármaco.

 

 

 

 

0019   TRAUMATISMO DE PELVIS GRAVE: ANGIOEMBOLIZACIÓN Y APLICACIÓN DE PROTOCOLO DE TRANSFUSIÓN MASIVA HOSPITALARIO

AD Bujedo(1), MC Vignetta(1), PB Pahnke(1)

(1) Hospital Municipal De Urgencias.

 

En pacientes con traumatismo pélvico cerrado, la hemorragia es la principal causa de muerte prematura. La angioembolización (AE) es el método de elección para esta patología. Los trastornos de coagulación asociados al trauma son una entidad frecuente y ampliamente estudiada. En el Hospital Municipal de Urgencias se aplica un protocolo de atención en pacientes con sangrado activo y coagulopatía inducida por trauma (SATIC) desde el año 2015. El acceso a la AE no siempre se encuentra disponible; es por ello que se plantea el interrogante de si ésta es una herramienta indispensable para el tratamiento.

Se estudiaron 39 pacientes, la mayoría masculinos, de 37.6 años en promedio. El motivo de ingreso más frecuente fue el de colisiones vehiculares y el mecanismo lesional por compresión antero-posterior, en su mayoría WSES grado IV. Según la clasificación de Tile, predominaron las fracturas tipo B. Cinco fueron AE, a pesar de que más de la mitad de la muestra cumplía con los criterios establecidos para su realización. El tiempo puerta-balón, fue mayor al recomendado. Al ingreso, la mayoría presentó un Grado de Hemorragia II (según valor de lactato). A pesar de que la reanimación con hemoderivados se realizó en gran parte por fuera de los parámetros protocolares establecidos, la evolución hemodinámica fue favorable. El tiempo promedio de internación fue de 18.4 días, y fue aún mayor en los pacientes embolizados. Del total de pacientes, solo 2 fallecieron.

En la actualidad, existe una amplia gama de tratamientos para este tipo de patología. En nuestra experiencia, hemos detectado falta de unificación en los criterios a la hora de abordar a estos pacientes.

 

 

0020   Injuria por inhalación: serie de casos sobre manejo broncoscópico

J González Anaya(1), I Carboni Bisso(1), V Ruiz(1), F Rosciani(1), I Fernández Ceballos(1), M Las Heras(1)

(1) Hospital Italiano De Buenos Aires.

 

Introducción: La injuria pulmonar por inhalación constituye una entidad aumenta la mortalidad de las víctimas de incendios. Puede afectar a la vía aérea tanto a nivel supra como infraglótico, con compromiso sistémico mediado por la respuesta inflamatoria secundaria a la injuria local y a la toxicidad de los componentes de combustión.

Presentamos una serie de casos que reflejan la experiencia de nuestra institución en el manejo broncoscópico y tratamiento de estos pacientes.

Serie de casos: Reportamos los resultados de 8 pacientes que cursaron internación en unidad de cuidados intensivos (UCI) de un centro de alta complejidad de la Ciudad de Buenos Aires entre enero de 2018 y julio de 2022.

6 de los 8 pacientes fueron de sexo femenino, con una mediana de edad de 52 años (rango interquartilo [RIC] 35-74), y una mediana de score APACHE II 9 (RIC 6-15).

Todos los pacientes fueron evaluados por broncoscopia para visualización de la vía aérea (VA) y toilette bronquial. Un paciente presentó lesión supraglótica de la VA, 2/8 lesión infraglótica, 4/8 tanto infraglótica como supraglótica, y un paciente no presentó lesiones de la VA (la figura 1 ilustra las diferentes lesiones de la VA). Todos los pacientes recibieron n-acetilcisteína nebulizada y 6/8 heparina sódica nebulizada. 7 pacientes requirieron ventilación mecánica invasiva y 5 traqueostomía como método de weaning. La mediana de días de UCI fue 30 (RIC 10-48). La mortalidad de la serie fue 0/8 aunque dos pacientes continúan internadas a la fecha. La tabla 1 ilustra las características clínicas y los resultados de los pacientes.

Discusión: La detección precoz de la injuria por inhalación y su compromiso infraglótico es de suma importancia para instaurar medidas específicas como la broncoscopia seriada para remoción de los restos carbonáceos, así como también para la iniciar medidas como acetilcisteína y heparina nebulizada. Asimismo, el conocimiento de la fisiopatología de la intoxicación por cianuro y monóxido de carbono, y otros compuestos alquitranados, permiten tomar medidas en la reanimación inicial con el objetivo de prevenir lesiones en órganos blanco (generalmente corazón y cerebro).

 

 

 

 

0021   PRESENTACION INFRECUENTE DE ENFERMEDAD AUTOINMUNE POST INFECCIOSA SECUNDARIA A MYCOPLASMA PNEUMONIAE. REPORTE DE UN CASO PEDIÁTRICO.

C Hajdinjak(1), A Fernandez(1), A Avila(1), S Palletti(1)

(1) Durand.

 

Introducción: Las complicaciones autoinmunes postinfecciosas puede asociarse a infeccion por mycoplasma. Hasta un 25% de ls complicaciones son extrapulmonares, siendo los trastornos neurológicos los más frecuentes. Las manifestaciones cardíacas son raras. No existen reportes de presentacion simultanea de estas complicaciones.

Presentacion de caso: Paciente de 8 años previamente sano ingresa a UCI con distress respiratorio agudo, virus sincitial respiratorio positivo, para ventilación mecánica (AVM). Durante el plan de destete, presenta miocarditis aguda e hipertensión pulmonar (HP), tratadas con vasopresores, sildenafil y gammaglobulina (día +14). Se tomaron cultivos (negativos) y se amplió la búsqueda a mycoplasma (IgM positivo) y otros virus (negativo). El ecocardiograma evidenció inicialmente HP moderada, que se normalizó en el día +21. Se realizó traqueostomía luego de dos extubaciones fallidas, en los días 26 y 32, debido a polineuropatía, con progresion bulbar. En este contexto, se consideraron diagnósticos adicionales. El electromiograma confirmó Guillain Barré, a pesar de que la punción lumbar no mostró disociación albúmina citológica. Se administró gammaglobulina intravenosa. El día +55, presentó encefalopatía aguda y signos de extrapiramidalismo, inicialmente sospechado como hipóxico-isquémico. La resonancia magnética fue normal y el electroencefalograma mostró onda Delta Brush. Asumiendo encefalitis inmunomediada (posteriormente confirmada con anticuerpos NMDA positivos en plasma), se trató con pulso de metilprednisolona. Día +70 se desvinculó de AVM. Se dio de alta recuperado

Discusión: La secuencia de miocarditis, polineuropatia y encefalitis autoimnune secundaria a mycoplasma no ha sido no reportada .Las manifestaciones extrapulmonares mas frecuentes son los desórdenes neurologicos: encefalitis y meningoencefalitis principalmente, tambien meningitis aseptica, Sindrome Guillain Barre (SGB), sindrome cerebeloso, mielitis transversa, epilepsia, sintomas psiquiatricos y neuritis optica. La asociacion de SGB y Encefalitis no es frecuente y la segunda suele preceder a las manifestaciones perifericas. Las manifestaciones cardiacas son raras (1-8.5%) y en UTIP es mas frecuente el compromiso secundario a sepsis y a infecciones virales.

Conclusión: Debido a la frecuencia y al cuadro clínico, la primera sospecha diagnóstica fue la polineuropatía del paciente crítico y la encefalopatía hipóxica isquémica. Sin embargo, este caso clínico nos muestra la importancia de considerar otras patologías menos frecuentes que, tratadas adecuadamente, permitan una recuperación completa.

 

 

 

 

0023   Detección ecocardiográfica del tránsito de burbujas transpulmonares durante la enfermedad por Coronavirus-2019 (COVID-19)

J González Anaya(1), I Carboni Bisso(1), V Ruiz(1), M Baglioni(1), E Villanueva(1), I Huespe(1), S Di Stefano(1), M Las Heras(1), M Falconi(1), J Sinner(1)

(1) Hospital Italiano De Buenos Aires.

 

Introducción: El tránsito de burbujas transpulmonares (TBTP) detectado con ecocardiografía de contraste se reporta como un signo de shunt arteriovenoso intrapulmonar (Figura 1). Sin embargo, su significado patológico en el síndrome de distrés respiratorio agudo (SDRA) relacionado con la enfermedad por coronavirus-2019 (COVID-19) no está claro. Nuestro objetivo fue determinar la prevalencia y la significancia clínica de la detección de TBTP durante el SDRA relacionado con COVID-19.

Métodos: Realizamos un estudio observacional prospectivo, en una unidad de cuidados intensivos de alta complejidad de Buenos Aires, durante la primera ola de la pandemia en Argentina. Los pacientes con SDRA relacionado con COVID-19 se sometieron a una ecocardiografía transtorácica con contraste salino. El TBTP moderado a severo se definió como el paso de derecha a izquierda de al menos doce burbujas a las cavidades izquierdas, después de al menos tres ciclos cardíacos, con opacificación completa de la aurícula derecha (ver Figura 2).

Resultados: Se analizaron los resultados de 28 pacientes (24 hombres y 4 mujeres). El setenta y cinco por ciento de los pacientes recibieron ventilación mecánica invasiva. Se detectó TBTP de moderado a severo en 1 paciente (3,5%). Entre los 27 pacientes sin TBTP significativo, 23 no tenían TBTP y 4 tenían un TBTP leve. El TBTP no se asoció con la necesidad de ventilación mecánica invasiva (p = 0,5737) ni con la mortalidad hospitalaria (p = 1).

Conclusiones: El TBTP no se asoció con hipoxemia grave o necesidad de ventilación mecánica invasiva, aunque se necesitan más estudios para aclarar si tiene un papel contribuyente en la hipoxemia por COVID-19.

 

 

 

 

0024   Importancia de la reserva funcional preoperatoria en esofagectomía. La visión del especialista en terapia intensiva

FC Rosciani(1), VA Ruiz(1), I Carboni Bisso(1), S Di Stefano(1), SE Giannasi(1), FG Wright(1), MA Sian(1), FL Negri Rico(1), C Juana(1), G Galli(1), MJ Las Heras(1), I Fernández Ceballos(1)

(1) Hospital Italiano De Buenos Aires.

 

Objetivo: Evaluar la evolución clínica en pacientes sometidos a esofagectomía según la reserva funcional (RF) preoperatoria.

Métodos: Estudio observacional de cohorte retrospectivo de pacientes sometidos a esofagectomía. Se estimó el riesgo postoperatorio según test cardiopulmonar (TCP) y comorbilidades.

Resultados: Desde el 2011 al 2022 se incluyeron 174 pacientes, 135 (78%) de sexo masculino, mediana de edad 62 años. Charlson, Apache II y SOFA fueron 5, 7 y 1 respectivamente.

Las comorbilidades más frecuentes fueron: enfermedad oncológica (98%), HTA (45%), tabaquismo (41%) e insuficiencia cardiaca (18%). Al ingreso el 60% presentó desnutrición. Solo el 15% recibió soporte nutricional preoperatorio. El 71% realizó quimioterapia y el 54% radioterapia.

32% fueron categorizados de alto riesgo (AR). El origen del deterioro de la RF fue: desacondicionamiento (44,5%), cardíaco (40,7%) y respiratorio (14,8%).

El 30% de los pacientes con estudios funcionales respiratorios (EFR) alterados presentaron una RF normal. El 44% con EFR normales tuvieron un RF alterada.

La tasa global de complicaciones fue 44,3%, siendo graves (requerimiento de AVM) el 13,8%. La mortalidad global fue 4%.

El 37% de los que requirieron AVM fueron de AR, con mortalidad de 40%, vs 21% en pacientes de bajo riesgo.

Discusión: El TCP valora la RF mediante la estimación de la tolerancia al estrés postoperatorio, y su alteración pone en evidencia el riesgo de no tolerar complicaciones graves, y por ende mala evolución clínica.

Este estudio demostró alta prevalencia de desnutrición, bajo soporte nutricional preoperatorio y mayor mortalidad en pacientes de AR en AVM.

El TCP detectó pacientes de AR con EFR normales, y pacientes con RF conservada y EFR alterados.

Tanto la desnutrición como la RF alterada son factores modificables preoperatorio, por lo que su detección preoperatoria y su tratamiento podría mejorar la evolución clínica.

Conclusión: La valoración de la RF y el estado nutricional preoperatorio brinda información sobre la tolerancia a complicaciones postoperatorias graves de la esofagectomía, por lo que su detección permite implementar un plan nutricional y de rehabilitación preoperatoria con el objetivo de minimizar los riesgos postoperatorios y así mejorar la evolución posoperatoria.

 

 

0025   MONITOREO REMOTO DE LA GLUCEMIA DURANTE LA PANDEMIA SARS-CoV-2: SERIE DE CASOS

L Bujan Molins(1), I Carboni Bisso(1), F Garelli(2), H De Battista(2), R Sánchez-peña(3), E San Román(1), L Grosembacher(1), M Las Heras(1)

(1) Hospital Italiano De Buenos Aires. (2) Universidad Nacional De La Plata. (3) Instituto Tecnológico De Buenos Aires.

 

Introducción: Dentro de las complicaciones generadas por la enfermedad por coronavirus 2019 “COVID-19”, el manejo de la glucemia suscitó un problema severo. A continuación presentamos una serie de casos en los que se aplicó nuevos sistemas de monitoreo de glucemia remoto con el objetivo de reducir la exposición del personal de salud. La monitorización consiste en una conexión inalámbrica con sensores subcutáneos de glucosa y bombas de insulina que permite acceder a información simultánea e instantánea desde computadoras o teléfonos celulares.

Métodos: Estudio prospectivo, observacional, realizado en unidad de cuidados intensivos (UCI) de la Ciudad Autónoma de Buenos Aires durante la primera ola de la pandemia en Argentina. Se realizó monitoreo de glucemia continuo (MGC) utilizando el dispositivo DexcomG6 y la plataforma de monitorización InsuMate, disponible online (www.insumate.com.ar). En cuanto al protocolo de insulinoterapia objetivo los niveles de glucemia propuestos fueron de 140-180mg/dl, con una infusión continua de insulina cercana a 0,7-1.4UI/kg.

Resultados: Los resultados de 3 pacientes con COVID-19 severo en UCI con MGC fueron evaluados. La figura 1 demuestra la interfaz de la plataforma y los resultados principales de la monitorización donde puede observarse de manera detallada los últimos 8 días la evolución y controles de glucemia.

Discusión y conclusión: En contexto de paciente crítico COVID (con requerimiento de ventilación invasiva, uso de glucocorticoides y diversas comorbilidades como trasplantados renales, obesidad, hipertensión, etc) se ha requerido valores de insulina mucho mayores a los propuestos en consecuencia de un manejo desafiante de glucemia para el logro de los objetivos establecidos.

Sin embargo no debe pasar desapercibido 2 resultados de relevancia ante la implementación de este método. Por un lado es interesante el casi nulo registro de eventos de hipoglucemia en contraposición con los normalmente esperables en el tratamiento basado en mediciones de glucemia convencionales. Por otro lado, se logró un porcentaje cercano al 50% de valores de glucosa normales (Figura 2).

Estos beneficios sumados a la menor exposición del personal de salud son de relevancia para la mejora del control de glucemia y seguridad de los los integrante de la UCI.

 

 

 

 

0026   Decúbito prono protocolizado frente a estrategia de prono estándar en pacientes ventilados con COVID-19: estudio cuasi-experimental

I Carboni Bisso(1), D ávila Poletti(1), A Massó(1), E Prado(1), JM Nuñez Silveira(1), E Sosa(1), P Buchanan(1), R Aimé(1), V Richter(1), M Buscaglia(1), MR Risk(1), J Sinner(1), M Las Heras(1), I Huespe(1)

(1) Hospital Italiano De Buenos Aires.

 

Introducción: El síndrome de distrés respiratorio agudo (SDRA) relacionado a COVID-19 aumentó drásticamente el número de pacientes que requirieron ventilación en decúbito prono (VDP). Cada ciclo completo de VDP insume al menos 17 horas en prono y requiere aproximadamente una hora de trabajo, con un mínimo de tres operadores para posicionar al paciente. Durante el desarrollo de la pandemia, Douglas y colaboradores propusieron una estrategia de VDP protocolizada en las que el reposicionamiento a supino sólo se efectivizaba cuando se alcanzaban parámetros específicos de oxigenación. El objetivo de este estudio fue evaluar si la VDP protocolizada en pacientes críticos ventilados por SDRA COVID-19, reduce el número de ciclos de pronación / supinación.

Métodos: Realizamos un estudio prospectivo cuasi-experimental de antes y después. Entre el 1 de octubre de 2020 y el 30 de abril de 2021, se incluyeron pacientes hospitalizados en la unidad de cuidados intensivos (UCI) de un hospital universitario de alta complejidad de Buenos Aires, que estuvieron expuestos a la VDP estándar. El grupo de comparación estuvo formado por pacientes hospitalizados entre el 1 de mayo de 2021 y el 1 de octubre de 2021 que fueron tratados con la estrategia de VDP protocolizada.

Resultados: Se incluyeron 64 pacientes con la estrategia VDP estándar y 16 pacientes con VDP protocolizada. No se encontraron diferencias significativas entre el grupo de VDP estándar vs VDP protocolizada (pacientes con más de un ciclo: 42,2% [n=27] vs. 62,5% [n=10]; p=0,18). Además, no se encontraron diferencias estadísticas en los días libres de ventilación mecánica a los 90 días, estadía en UCI, estadía hospitalaria, ni en la mortalidad hospitalaria.

En cuanto a las úlceras por presión (UPP), la estrategia de VDP protocolizada se asoció con un aumento en el desarrollo de lesiones torácicas y abdominales. Respecto a las complicaciones asociadas a la maniobra de pronación/supinación, ambas estrategias presentaron resultados de seguridad similares.

Conclusión: La VDP protocolizada frente a la estrategia estándar de VDP para el SDRA grave por COVID-19 no dio como resultado una reducción en los ciclos totales de VDP, pero aumentó la frecuencia de UPP asociadas a la VDP.

 

 

0027   Accidente cerebrovascular isquémico y síndrome coronario agudo desencadenados por el uso de ergotamina, reporte de un caso

W Dávalos(1), S Torres(1), A Rivera(1), N Vergottini(1), A Massó(1), R Quiroga(1)

(1) Sanatorio Anchorena San Martín.

 

Introducción: La ergotamina es un fármaco antimigrañoso, puede presentar efectos adversos debido a sus propiedades vasoconstrictoras. Reportamos el caso de una paciente con accidente cerebrovascular isquémico y síndrome coronario agudo por intoxicación con ergotamina, con múltiples áreas de isquemia cerebral con transformación hemorrágica y secuelas que motivaron su derivación a un centro de rehabilitación.

Presentación del caso: Paciente de 41 años de sexo femenino con antecedentes de cefalea crónica, asma, tabaquismo y uso de descongestivo nasal. Consulta por cuatro días de evolución de deterioro del sensorio y déficit motor focal derecho. Presentó incremento en el uso de ergotamina en la última semana (3 a 4 comprimidos por día).

Del examen físico se destacan el sensorio alternante y plejía braquiocrural derecha y del laboratorio troponina de alta sensibilidad de 9104 pg/ml. Con tomografía y resonancia de cerebro con áreas de isquemia corticosubcorticales con transformación hemorrágica.

Ecocardiograma Bidimensional con hipokinesia anterolateral medio y apical. Fey de 41%, sin elevación del ST en el electrocardiograma.

En la cine coronariografía se informó descendente anterior con déficit de relleno a nivel apical.

Fue tratada con apirina 100 mg/día, atorvastatina 80 mg/día

y suspensión de ergotamina

Fue derivada a un centro de rehabilitación. A su egreso la paciente se encontraba vigil, obedeciendo órdenes, bradipsíquica, con hemiparesia derecha moderada a predominio braquial.

Discusión: La acción vasoconstrictora de la ergotamina se debe que actúa a nivel de los receptores de aminas biogénicas.

La presentación de dos efectos adversos graves en el mismo paciente es muy infrecuente y se encuentran pocos reportes de casos que los describan.

Conclusión: Si bien los triptanos son más eficaces y seguros para el tratamiento de la migraña se sigue empleando ergotamina debido al fácil acceso a la misma, pudiendo obtenerse en algunas farmacias sin receta, lo que facilita la aparición de efectos adversos graves.

 

 

 

0028   PACIENTES CRITICOS CON COVID-19 DURANTE EL AÑO 2021 EN UNA UNIDAD DE CUIDADOS INTENSIVOS EN ARGENTINA

CE Maenza(1), NS Rocchetti(1), M Ramírez Colombres(1), M Latimori(1), FR Dipaolo(1), F Garavelli(1), SP Gattino(1), MD Ré(1), CJ Settecase(1), DH Bagilet(1)

(1) Hospital Escuela Eva Perón.

 

Introducción: El virus SARS-Cov-2, perteneciente a la familia Coronaviridae y causante de la pandemia por COVID-19 (Coronavirus Disease), generó una crisis sanitaria sin precedentes.

Objetivo: Describir características clínicas, analíticas y evolutivas de una cohorte de pacientes críticos con enfermedad por COVID-19 ingresados en una Unidad de Cuidados Intensivos (UCI) durante el año 2021 en Argentina.

Métodos: Estudio observacional, descriptivo, retrospectivo y de corte transversal. Realizado en una UCI polivalente, incluyendo ≥18 años, con diagnóstico de SARS-CoV-2 y enfermedad grave por COVID-19, durante un período de 12 meses (01/01/2021 - 31/12/2021). Variables: demográficas, comorbilidades, escalas de gravedad, requerimiento de ventilación mecánica (VM), analíticas, shock, SDRA y adyuvantes, fracaso renal, estancia en UCI y en VM, y resultado.

Resultados: 314 pacientes con COVID-19 grave y requerimiento de UCI. Mediana de edad: 53 años (RI 40-60); 56,2% eran varones, 38,4% presentó HTA, 32,7%% DBT y 33,7% obesidad. 32 pacientes vacunados contra SARS-CoV-2. Mortalidad: 67,9%. Aquellos con evolución desfavorable presentaron mayor APACHE II (Acute Physiology and Chronic Health Evaluation), SOFA (Sequential Organ Failure Assessment), requerimiento de VM, SDRA grave, decúbito prono, presencia de shock, insuficiencia renal aguda (IRA) con vinculación a hemodiálisis, días de estancia en UCI y VM, mortalidad y aumento de biomarcadores (lactato deshidrogenasa, leucocitosis, Proteína C reactiva, interleucina 6 (IL-6), procalcitonina, ácido láctico, troponina T, pro péptido natriurético B), fracción inspirada de oxígeno (FIO2) y el índice PaO2/FiO2 al ingreso y al alta de la UCI (Tabla 1). A través del análisis de regresión logística multivariante se identificó al APACHE (OR 1,070; IC 95% 1,008– 1,136), requerimiento de VM (OR 4,916; IC 95% 1,801 – 13,419), presencia de shock (OR 2,084; IC 95% 1,056 – 4,113), SDRA (OR 2,563; IC 95% 1,154- 5,694), IRA (OR 4,540; IC 95% 2,069- 9,964) e IL-6 > 18,45 pg/ml (categórica) (OR 3,308; IC 95% 1,614 -6,783) como predictores independientes de mortalidad.

Conclusiones: Variables como APACHE, VM, shock, SDRA, IRA o IL > 18,45 pg/ml fueron predictores independientes de mortalidad en una población de adultos críticos con COVID-19 de la Argentina. Estos datos tendrían valor para mejorar el manejo en UCI de pacientes graves con esta enfermedad.

 

 

0029   INTERLEUCINA 6, PROTEINA C REACTIVA Y PROCALCITONINA SÉRICAS COMO BIOMARCADORES PREDICTIVOS DE MORTALIDAD EN PACIENTES CRITICOS CON COVID-19

CE Maenza(1), NS Rocchetti(1), M Ramírez Colombres(1), M Latimori(1), FR Dipaolo(1), F Garavelli(1), SP Gattino(1), MD Ré(1), CJ Settecase(1), DH Bagilet(1)

(1) Hospital Escuela Eva Perón.

 

Objetivo: Estudiar la capacidad predictiva de los biomarcadores séricos IL-6, PCR y PCT, medidos al momento del ingreso a UCI, sobre la mortalidad en la misma, en pacientes críticos con COVID-19.

Diseño: Estudio analítico, observacional, de corte transversa y retrospectivo.

Ámbito: Unidad de Cuidados Intensivos polivalente.

Pacientes: ≥18 años, con diagnóstico de SARS-CoV-2 y enfermedad grave por COVID-19.

Intervenciones: Ninguna.

Variables de interés: Edad, sexo, APACHE II (Acute Physiology and Cronic Health Evaluation), SOFA (Sequential Organ Failure Assessment), comorbilidades, necesidad de oxigenoterapia a través ventilación mecánica (VM) y días de esta última. IL-6 (pg/ml), PCR (mg/dl) y PCT (ng/ml). Fracción inspirada de oxígeno (FIO2) y el índice PaFiO2 (PaO2/FiO2) al ingreso y al alta de la UCI, presencia de shock, tipo de SDRA, requerimiento de decúbito prono, falla renal aguda y requerimiento de hemodiálisis, resultado en UCI (favorable o muerte) y días de internación en la misma.

Resultados: Se incluyeron 314 pacientes; mediana de edad 53 años (40-60); varones 56,2%; necesidad de oxígeno a través de VM 86,3% y mortalidad 67,9%. La IL-6, PCR y PCT fueron más elevadas en el grupo de evolución desfavorable 16,70; RI 8,05 – 45,55 versus 51,20; RI 109,40 – 20,50, p= <0,001; 8,55; RI 3,9 – 13,55 versus 11,95; RI 5,1 – 19,80, p= 0,012 y 0,13; RI 0,08 – 0,35 versus 0,24; RI 0,24 RI 0,10 – 0,75, p= 0,001 respectivamente). El valor del AUC obtenido para la IL-6 fue de 0,691 (IC 95: 0,629 – 0,754, p= <0,001), mientras que para la PCR fue de 0,588 (IC 95: 0,523 – 0,653, p= 0,012) y en el caso de la PCT de 0,612 (IC 95: 0,547 – 0,677, p= 0,001).Al análisis multivariado, la IL-6 >18,45 pg/ml, requerimiento de VM y presencia de shock se mantuvieron como factores de riesgo independiente de mortalidad.

Conclusiones: La determinación de IL-6 presento una mayor significancia estadística, en relación a PCR y PCT, para evaluar la capacidad predictiva de mortalidad en pacientes críticos con COVID-19.

 

 

0030   Abdomen agudo de etiología poco frecuente en el puerperio

M Montenegro(1), P Okurzaty(1), MA Balauz(1), S Galceran(1)

(1) Hospital Mi Ramón Sardá.

 

Introducción: El abdomen agudo en la paciente obstétrica representa un desafío que a menudo implica retraso diagnóstico y terapéutico resultando en una mayor morbimortalidad.

Presentación: Paciente de 36 años cursando embarazo de término ingresa por Ruptura Prematura de Membranas de 1,5 horas de evolución.

Se realiza parto forcipal por bradicardia fetal, con desgarro de 3° grado y sutura sin complicaciones.

Intercurre a las 24 horas con dolor abdominal y defensa, con radiografía de abdomen que evidencia niveles hidroaéreos y neumoperitoneo (Foto1). Se realiza ecografía abdominal en dos oportunidades separadas por 12hs, que informa líquido libre en espacio esplenorrenal e interasas como únicos datos positivos. Ante persistencia del cuadro se realiza laparotomía exploradora observándose peritonitis biliopurulenta de cuatro cuadrantes secundaria a ulcera gástrica antropilórica de cara anterior de 6 cm. Se realiza rafia, toma de biopsias y lavado de cavidad.

Ingresa a UTI en POP inmediato con estabilidad HD y ventilación espontanea. Se indica transfusión de 2 UGRD en contexto de acidosis metabólica y anemia. Se coloca acceso venoso central para nutrición parenteral por proyección de ayuno prolongado, se inicia terapia antimicrobiana empírica con Ceftriaxona y Metronidazol para cobertura de foco abdominal.

Muestra buena evolución, reiniciando alimentación oral al 5to día POP con parenteral complementaria por 72 horas. Alta desde la UTI al 10° día POP.

Conclusiones:  La úlcera péptica perforada en la paciente obstétrica es de presentación infrecuente, siendo reportados entre 1 a 6 eventos cada 23.000 embarazos. La presentación clínica resulta similar a la paciente no gestante, aunque los diagnósticos diferenciales y asociados plantean un desafío al equipo médico.

 

 

 

0031   Evaluación de la discriminación y calibración de scores predictivos de mortalidad para pacientes con COVID-19 en ECMO

I Lockhart(1), I Huespe(1), C Lockhart(1), F Pálizas Jr(2), M Colombo(3), MDP Romero(3), E Prado(1), C Casabella García(2), M Las Heras(1), I Carboni Bisso(1)

(1) Hospital Italiano De Buenos Aires. (2) Clínica Bazterrica. (3) Instituto Universitario Del Hospital Italiano.

 

Introducción: Los criterios para la selección de los pacientes con COVID-19 que más se benefician de la terapia con ECMO aún no se encuentran definidos. Evaluamos el rendimiento de los scores predictivos de mortalidad de los pacientes con COVID-19 en tratamiento con ECMO.

Métodos: En este estudio prospectivo se evaluaron 38 pacientes adultos con COVID-19 que recibieron tratamiento con ECMO en dos hospitales entre marzo de 2020 y diciembre de 2021. Evaluamos la discriminación y calibración de los scores Prediction of Death due to Severe ARDS in V-V ECMO (PRESERVE), Respiratory Extracorporeal Membrane Oxygenation Survival (RESP), Prediction of Survival on ECMO Therapy-Score (PRESET), Sequential Organ Failure Assessment (SOFA) y Acute Physiology and Chronic Health disease Classification System II (APACHE II). Además, se realizó un análisis de costo-beneficio en función de la probabilidad de mortalidad prevista.

Resultados: El score PRESET tuvo la discriminación más alta (AUROCs 0.81 [IC95% 0.67-0.94]) y la mejor calibración. El umbral óptimo para esta puntuación fue 7 (sensibilidad 67 %, especificidad 89 %, accuracy 78 %). El costo por QALY en USA, ajustado a la esperanza de vida, fue superior a UDS 100.000 en pacientes mayores de 45 años con un PRESET>10.

Conclusión: El score PRESET tuvo el rendimiento predictivo más alto y podría ayudar en la selección del paciente que más se beneficiaría de esta terapia altamente invasiva y que demanda gran cantidad de recursos.

 

 

0032   OXIGENACIÓN POR MEMBRANA EXTRACORPÓREA (ECMO): CASO REPORTE DE LA UTILIDAD EN POSTOPERATORIO DEL TRASPLANTE DE PULMÓN

L Bujan Molins(1), LS Maidana(1), JF Paucar Paucar(1), SD Villarroel Medonza(1), SE Giannasi(1)

(1) Hospital Italiano De Buenos Aires.

 

Introducción: El incremento del número de operativos y apertura de nuevos centros con mayores recursos, permiten la posibilidad de receptores más añosos y comórbidos que; en contrapartida, ha dado lugar a mayores complicaciones inmediatas. El caso a continuación consta de un paciente en postoperatorio de trasplante unipulmonar con disfunción primaria del graft (DPG) grado 3 con requerimiento de ECMO.

Caso clínico: Masculino 67 años con antecedente de enfermedad coronaria, ex tabaquista (90 paq/year), fibrosis pulmonar 2ª asbestosis con O2 domiciliario en evaluación de trasplante pulmonar. Se realiza trasplante unipulmonar izquierdo de donante fememino 19 años. Tiempo de isquemia 6 hs.

Durante las primeras 24 hs evoluciona con cuadro de hipoxemia severa con PAFI < 150 refractaria a ventilación ultraprotectiva, uso de Bloqueantes neuromusculares y administración de óxido nítrico inhalado; se evidencia progresión de infiltrados bilaterales en radiografía de tórax (Figura 1). Se interpreta como DPG grado 3 por lo que se decide colocación de ECMO Veno-Venoso Femoral/Yugular.

Discusión: La DPG está presente entre el 20-30% de los pacientes, presenta su clasificación a partir de la escala de International Society for Heart and Lung Transplantation que permite establecer grado de severidad y predicción de la morbi-mortalidad a corto plazo.

La ventilación protectiva ajustada al peso predicho del donante, weaning y extubación temprana serían ideales para minimizar la injuria inducida por la ventilación mecánica invasiva (VILI) y son la base del manejo postoperatorio.

La tabla 1 resume de manera esquemática el manejo inicial y plan terapéutico ante hipoxemia progresiva como es el caso DPG. Ante refractariedad el uso de bloqueante neuromusculares, maniobra de prono, Óxido nítrico inhalado y colocación de ECMO serán indicados según corresponda.

No cabe duda que ante DPG severa refractaria con progresión de hipoxemia la indicación de ECMO es acertada para prevenir mayor VILI y toxicidad por oxígeno en un pulmón trasplantado ya injuriado.

Conclusión: Entre las complicaciones del trasplante de pulmón la DPG presenta impacto en la morbi-mortalidad y sobrevida del paciente trasplantado. En caso de progresión a hipoxemia refractaria la utilización de ECMO como soporte pareciera ser la última herramienta eficiente ante tal situación crítica.

 

 

 

 

0034   LA GRAVEDAD DEL SDRA INTERFIERE CON EL VALOR CLÍ­NICO DE LA POTENCIA MECÁNICA

N Pistillo(1), P Castelluccio(1), I Suzuki(1)

(1) El Cruce.

 

Objetivo: Evaluar cuanto influye la gravedad del SDRA sobre el riesgo de VILI, en pacientes ventilados bajo similar carga del sistema respiratorio.

Materiales y Método: El trabajo fue aprobado por la institución y se solicitó consentimiento informado a los familiares. ClinicalTrials.gov: NCT05410262.

Procedimiento: Se evaluaron prospectivamente y de manera consecutiva pacientes con SDRA. Se excluyeron: EPOC, pacientes severamente inestables, obesos mórbidos, moribundos y embarazadas. Los pacientes fueron ventilados transitoriamente en VCV, con similar Vt (6 mL/kg/PBW), PPlat (30 cmH

2O) y frecuencia respiratoria (15 ciclos/min). La PEEP se ajustó para obtener la PPlat objetivo. Se midieron variables de mecánica ventilatoria incluyendo presiones transpulmonares. Simultáneamente se realizó una TAC de tórax en inspiración y espiración. Se analizaron densidades y volúmenes pulmonares con un software específico.

Se calculó la potencia mecánica del sistema respiratorio (PMSR) según la siguiente ecuación:

PM=0.098 x RR x {Vt2 x [1/2 x Ers+RR x ((1+I:E))/(6 x I:E) x Raw ]+ Vt x PEEP}. También se calculó la potencia mecánica transferida al pulmón (PML) sustituyendo presiones sistémicas por equivalentes transpulmonares. La PML se normalizó al volumen del pulmón ventilable (PM Normalizada= PML/EELV).

Se definió strain a la proporción entre Vt y el EELV, aceptando que el volumen PEEP transfiere carga a los alvéolos (energía potencial). Consideramos atelectrauma a la diferencia de pulmón no aireado entre ambos tiempos ventilatorios.

Resultados: Se estudiaron 18 pacientes (Femenino: 5), edad: 34 (29-47 años), APACHE II: 20.5 (19-22 puntos), PaO2/FiO2: 158 (124-202), CSR: 24 (21-27 mL/cmH2O), Vt: 385 (350-420 mL), PEEP: 14 (12-16 cmH2O), ΔP: 16 (14-18 cmH2O), mortalidad: 28%. Aunque la PMSR fue similar entre los pacientes 23.7 (23.3 – 24.5 J/min/L), la carga aplicada sobre el pulmón ventilable aumentó proporcionalmente con la gravedad del SDRA, de manera tal que los pacientes con SDRA severo recibieron casi el triple de potencia que aquellos con compromiso leve (Panel: A). Este aumento relativo de la carga por “unidad alveolar”, se relacionó con niveles más altos de estrés, strain y atelectrauma (Paneles: B, C y D). Conclusiones: Similar PM

SR puede tener consecuencias diferentes a nivel pulmonar dependiendo de la gravedad del SDRA.

 

 

 

0035   Coma Mixedematoso con insuficiencia cardíaca aguda en su presentación: Reporte de caso

J Montesinos(1), J Gutierrez(2), F Mejía(2)

(1) Sanatorio Güemes. (2) Sanatorio Güemes / Uba.

 

Introducción: El término coma mixedematoso (CM) resulta engañoso. Se presenta como alteración del estado mental, hasta el coma, puede no encontrarse edema con fóvea. En Argentina, una serie de 27 pacientes solo 29% tenía Glasgow 3/15, la incidencia (2017) fue de 0.22/millón. La mortalidad histórica mundial era del 60-80% con descenso progresivo hasta el 20%-25%.

Los pilares del tratamiento: Soporte vital, repleción de hormonas tiroideas y corticoides (Asociación con insuficiencia suprarrenal) disminuyen la mortalidad. Este caso ilustra la importancia del diagnóstico adecuado.

Presentación: Paciente masculino de 44 años. Antecedentes (Datos posteriores): Vitíligo, hipotiroidismo (Sin tratamiento) Insuficiencia suprarrenal (2016).

Ingreso: GCS 3/15, taquicardia e hipotensión. Presunción diagnóstica: Shock séptico, vasoactivos a altas dosis. Se realiza IOT/ARM. Inicia corticoides. Estudios: TC: Encéfalo, tórax y abdomen: Sin patología.

Mayor requerimiento de vasoactivos. Sospecha de Shock mixto vs cardiogénico: ECOTT: Trastorno de motilidad anteroseptal, medial y basal, FSVI Moderado, VTI 9.6 TSVI 6,7 FC 90, GC 3.02, EAB PH 7.49 PCO2 27.4 HCO3 20 DCO2 11 Cooximetría 41% Lactato 3.2, ProBnp >35.000, ECG: Normal. Inicia Dobutamina, Levotiroxina 200mcg vía oral, posteriormente endovenosa, T3 20mcg/kg/min e Hidrocortisona 100mg c/8 horas.

Al control, ECOTT: VTI 12 TSVI 5 FC 110 GC 6.6, EAB: PH 7.43 PCO2 30 HCO3 20 DCO2 7 Cooximetría 64% Lactato 2,3. TSH > 100 T4T 1.1 T4L 0.12 T3 47.5 Cortisol >63. Diagnóstico: Coma mixedematoso con compromiso cardíaco. Control T4L: 0.9 T3: 1.9. Evoluciona favorablemente: Sin vasoactivos, weaning exitoso, asintomático, se da su pase a sala general y posterior alta.

Discusión: El coma y shock como presentación inicial representa un reto diagnóstico. Una adecuada anamnesis (Fuente confiable) cambia el desenlace. La pobre adherencia al sistema de salud y medicación, condiciona mayor morbimortalidad, afectación cardíaca: Bajo gasto cardíaco, menor contractilidad, volumen minuto, arritmias e incluso derrame pericárdico. Este caso demuestra cómo el tratamiento oportuno, revierte esta afectación y mejora el pronóstico.

Conclusión: Se demuestra la importancia de reconocer el hipotiroidismo severo o el coma mixedematoso como un causa de shock y alteración de la conciencia, incluso en pacientes jóvenes. Dada la mortalidad y complicaciones hemodinámicas. El tratamiento apropiado, reduce el tiempo de soporte vital, la estadía en terapia intensiva y mejora el pronóstico.

 

 

0036   LESION ESPLENICA SECUNDARIA A VIDEOCOLONOS­COPIA

A Gira(1), R Almanza(1), P Falvo(1), D Monardo(1), P Pratesi(1), M Ugarte(1)

(1) Universitario Austral.

 

Introducción: La incidencia del trauma esplénico es del 30-45%, del iatrogénico secundario a Videocolonoscopia es del 0,5% y mortalidad del 5%.

El mecanismo del trauma incluye, tracción excesiva en los ligamentos esplenocolico por endoscopio, escasa movilidad del bazo por adherencias al colon, maniobras de avance en sigma .

Diagnostico por: Lavado peritoneal , Eco FAST: no predice origen del sangrado, TC abdominal con contraste EV: Identifica pseudoaneurismas, sangrado activo , Hematoma S:99%.

El bazo conserva su funcion con una masa critica >50%

Presentación del caso: Paciente de sexo femenino de 59 años, con antecedentes de Obesidad, HTA

Se realiza VCC para screening de Cancer de colon, se resecan 2 pólipos y alta medica

A las 48 hs ingresa por guardia con dolor abominal, hemodinamicamente estable, tomografia de abdomen evidencia hematoma subcapsular esplénico (>50%) y laceración del parénquima de 18 mm e hiperdensidad en polo superior sugestivo de sangrado activo (Lesion grado IV según Asociacion Americana de cirugía del trauma).

Ingresa a UCI hemodinamicamente estable, a las 24 hs tomografía de abdomen evidencia disminución de hematoma sin sangrado activo, a las 72 hs pasa a clínica medica .

Discusión: Se podría realizar tratamiento conservador no operatorio, en el traumatismo no penetrante, estabilidad hemodinámica, lesión esplénica única, transfusión <2 UGRS , La embolizacion es beneficiosa con lesiones Grados : III,IV,V, la cirugía se indica en inestabilidad hemodinamica

Conclusiones: La incidencia de trauma esplénico iatrogénico esta subestimada debidoquizas a escaso registro

Considerar tratamiento no operatorio en centros con monitorización continua, evaluación clínica seriada y disponibilidad de equipo quirúrgico.

 

 

0038   TOXICIDAD Y FALLECIMIENTO DE 2 PACIENTES POR CONSUMO DE THEVETIA AHOUAI EN NORTE DE SANTANDER

LA Dulcey Sarmiento(1), JS Theran Leon(2), R Caltagirone(3), IC Assaf Seguias(3), V Cabrera Peña(1), AL Ruge Serrano(4), JA Pineda Parada(3), JJ Barbosa Del Castillo(1), MJ Aguas Cantillo(2), RG Parales Strauch(1), A Quintero Romero(4)

(1) Universidad Autonoma De Bucaramanga. (2) Universidad De Santander. (3) Universidad De Los Andes. (4) Universidad Metropolitana.

 

Introduccion: La planta catape roja, Familia Apocynaceae, Nombre científico Thevetia ahouai es de uso ornamental, sin embargo sus efectos tóxicos son poco conocidos. Esta planta tiene entre sus principales activos los glucósidos cardíacos y las semillas tienen el mayor porcentaje de estos. Otro de sus efectos es el diurético, que puede ser excesivo y provocar graves alteraciones hidroelectrolíticas. Las semillas mantienen su toxicidad al estar deshidratadas y el riesgo de intoxicación es mayor cuanto menos maduro está el fruto. Las alteraciones ácido-base también son frecuentes.

Objetivos: Describir 2 casos de intoxicación con mortalidad asociada al consumo de estas bayas en Norte de Santander.

Presentacion del caso: Se revisaron las historias clínicas de 2 pacientes pediátricos sin ninguna enfermedad previa atendidos en 2021 que consumieron bayas rojas silvestres de catape. A las 12 horas presenta alteración de la conciencia, acidemia, insuficiencia renal, insuficiencia hepática y requerimiento de terapia de reemplazo renal. Los gases arteriales mostraron pH menor de 7,1 en ambos casos. El nivel de conciencia era inferior a 8 puntos según la escala de Glasgow en los 2 pacientes. La enfermedad en los 2 pacientes fue rápidamente progresiva con mortalidad en las primeras 48 horas.

Discusion: Existen pocas descripciones en la literatura de intoxicaciones por las plantas de la familia Apocynaceae o Thevetia ahouai, en las bibliotecas de literatura científica solo aparecen 59 artículos en el buscador pubmed a la fecha de envío de esta comunicación. No existe un antídoto específico y las medidas están dirigidas al apoyo general. Se ha informado que el carbón activado aumenta la eliminación de estos cardenólidos. Las bradiarritmias se pueden tratar con atropina, isoprenalina o marcapasos temporal.

Conclusiones: Hay muchas toxinas no descritas que se encuentran en las plantas hasta el momento, y se debe fomentar la investigación en esta área toxicologica.

 

 

 

0039   INCIDENCIA DE GERMENES MULTIDROGORESISTENTES EN NEUMONIA POR VENTILACION MECANICA SEGUIMIENTO A 1 AÑO

LA Dulcey Sarmiento(3), LA Dulcey Sarmiento(1), JS Theran Leon(2), R Caltagirone(3), MJ Aguas Cantillo(2), F Rangel(4), RG Parales Strauch(1), V Cabrera Peña(1), A Quintero Romero(5)

(1) Universidad Autonoma De Bucaramanga. (2) Universidad De Santander. (3) Universitario De Los Andes. (4) Universidad Industrial De Santander. (5) Universidad Metropolitana.

 

Introducción: La neumonía asociada a la ventilación mecánica acarrea una gran morbimortalidad en presencia de gérmenes con resistencia extendida por mecanismos moleculares y genéticos.

Objetivo: Determinar el perfil microbiológico de las neumonías asociadas a la ventilación mecánica en pacientes de un hospital de IV nivel y caracterizar microbiológica y genéticamente las cepas de resistentes a los β-lactámicos y carbapenémicos aisladas en pacientes con esta patología.

Materiales y métodos: Se obtuvieron 73 muestras de secreción bronquial de pacientes con neumonia durante el período enero a diciembre de 2016. Las cepas aisladas fueron identificadas con el sistema VITEK 2 y las pruebas de susceptibilidad fueron determinadas por concentración inhibitoria mínima. El análisis molecular de los genes codificantes para B-lactamasas de espectro extendido y carbapenemasas se realizaron por amplificación de PCR.

Resultados: Los patógenos más frecuentes en neumonia asociada a la ventilación mecánica fueron las enterobacterias. Estas últimas agruparon diferentes tipos de BLEEs y carbapenemasas.

Discusion: El análisis de las relaciones genéticas de las cepas de E. coli y K. pneumoniae reveló que en ambos grupos bacterianos se concentraron mayoritariamente en el área de emergencia adultos. Este hallazgo indica que esta área se comporta como el principal nicho para el intercambio y recombinación de genes codificantes para BLEE y carbapenemasas en bacterias Gram-negativas y representa el área de mayor riesgo y distribución de clonas multirresistentes.

Conclusión: Las neumonías asociadas a la ventilación mecánica son un problema bastante frecuente en las unidades de cuidado intensivo más aun aquellas que incluyen gérmenes con factores de virulencia como lo son aquellas productoras de Betalactamasas y Carbapenemasas. Se evidencia la necesidad urgente de implementar programas para prevenir y controlar la diseminación de clonas bacterianas multirresistentes, así como establecer estrategias efectivas que permitan racionalizar el uso de los antimicrobianos.

 

 

 

0040   Composición del gasto en la UTI del Hospital Italiano de Rosario, en un período de 6 meses

E Vera(1), R Pellini(1)

(1) Hospital Italiano Rosario.

 

Se analizó la composición del gasto económico que se generó en la Unidad de Terapia Intensiva del Hospital Italiano de Rosario, expresándola en términos porcentuales, entre los meses de Noviembre de 2021 y Abril de 2022, y clasificándola en tres Rubros principales: Medicamentos; Descartables e Insumos; y Alimentación. Además se determinó el perfil de la sala en esos meses tomando como indicadores: la ocupación, los días de Ventilación Invasiva, el tipo de patología al ingreso (Clínica, Quirúrgica y Cardiológica). Se excluyeron en el análisis gastos administrativos (sueldos y jornales del personal médico y no médico, consumo de oxígeno, material protésico).

Los resultados fueron los siguientes: Hubo 2165 días de ocupación (66%) en 6 meses. De esos días el 66% fueron pacientes Clínicos, el 28% Quirúrgicos y el 6% Cardiológicos (camas prestadas a la Unidad Coronaria ante saturación de la misma). De la totalidad de días, el 47% fueron días de Ventilación Invasiva. La composición del gasto fue: 74% en el rubro Medicamentos; 23% Descartables e Insumos y 3% Alimentación. Del total del gasto en el Rubro Medicamentos, los tres subrubros de mayor gasto fueron: 18% en Medicamentos de Alto Costo (Gammaglobulina Humana, Anfotericina B liposomal y Ceftazidima/Avibactám); 16% en Heparinas; y 15% en Sueros. Del total del gasto en el Rubro Descartables e Insumos los tres subrubros de mayor gasto fueron: 34% Elementos de Higiene, Asepsia y Antisepsia; 24% Anexos de arterio y venopunción; y 14% Catéteres (vasculares y no vasculares); Del total del gasto en el Rubro Alimentación, la composición de los subrubros fue: 71% en Alimentación enteral y 29% parenteral.

 

 

 

 

0041   Traqueostomía en pacientes con COVID-19 ¿la disfagia condiciona el tiempo de decanulación?

ME Catini(1), A Falduti(1), G Chiappero(1)

(1) Juan A Fernandez.

 

Introducción: la disfagia orofaríngea es un síntoma frecuente en pacientes con cánula de traqueostomía (TQT). En nuestro país, alrededor de un cuarto de los pacientes con COVID- 19 requirieron TQT por ventilación mecánica prolongada.

Objetivo: describir la frecuencia de disfagia orofaríngea en una serie de pacientes críticos con COVID 19, su asociación con variables clínico-demográficas y días de TQT.

Material y métodos: estudio observacional, longitudinal y retrospectivo, realizado en el Hospital Juan A. Fernández, entre Mayo de 2020 y Diciembre de 2021. Se incluyeron de manera consecutiva pacientes traqueostomizados con diagnóstico de COVID-19. La presencia de disfagia orofaríngea se valoró mediante estudio endoscópico de la deglución (FEES) al momento de la decanulación. Se considero disfagia a un puntaje mayor o igual a 2 puntos de la Escala de Penetración Aspiración para la consistencia semisólida y/o líquidos.

Resultados: Se realizó FEES a 65 pacientes, de los cuales 50 (76,9 %) presentaron disfagia para la consistencia semisólida y/o líquidos. (Figura 1) La mediana de edad en pacientes sin disfagia fue de 51 (RIQ 43 - 60) años; en los que presentaron disfagia fue de 62 (RIQ 51.5 - 70.25) años, observándose una diferencia significativa entre grupos (p:0,045%). (tabla 1). La mediana de días de TQT fue de 32 (RIQ 21 - 60.5). Al comparar los días de TQT entre el grupo sin disfagia y con disfagia se observó diferencia estadísticamente significativa entre ambos grupos (p=0.015); mediana 21 (RIQ 17 - 33) días vs mediana 36 (RIQ 21 - 63.75) días. La mediana de días del proceso de decanulación fue de 7 (RIQ 3.5 - 30) días. En pacientes sin disfagia la mediana de días hasta la decanulación fue de 4.5 (RIQ 3 - 7) días en comparación a 11 (RIQ 4 - 34) días en el grupo con disfagia, encontrándose una diferencia estadísticamente significativa (p=0.017).

Conclusión: La disfagia orofaríngea fue prevalente en nuestra serie de pacientes, prolongando la cantidad de días de TQT hasta la decanulación. La utilización de un método instrumental de evaluación nos ha permitido detectar precozmente la disfagia y planificar un tratamiento oportuno.

 

 

 

 

0042   REPORTE DE CASO: PLASMA RICO EN PLAQUETAS EN NECROLISIS EPIDÉRMICA TÓXICA ASOCIADA A COVID-19 Y MYCOPLASMA

SI Ramos Elizagaray(1), F Asenatto(1), LH Llano Lopez(1)

(1) Notti.

 

Introducción: La necrólisis epidérmica tóxica es un cuadro sistémico caracterizado por destrucción y desprendimiento agudo de la piel de causa inmunológica, frecuentemente asociado a fármacos, con respuesta variable al tratamiento con corticoides, inmunoglobulinas y/o plasmaféresis.

Presentación de caso: Paciente de 10 años de edad, sexo femenino, que se internó por vómitos, diarrea, fiebre y erupción cutánea de 48 hs de evolución. Se constató exantema exfoliativo ampollar generalizado con compromiso de genitales, signo de Nicolsky+, inyección conjuntival con secreción purulenta y queilitis. Evolucionó desfavorablemente las siguientes 24 horas, decidiendose su ingreso a terapia intensiva (UTIP) por shock distributivo. Requirió 8 días en AVM y 5 días de inotrópicos. No se obtuvo identificación de germen por cultivos, detectando IgM e IgG positivas para Mycoplasma pneumoniae y Anticuerpos Anti SARS COV-2 positivos. Las lesiones epidérmicas progresaron hasta afectar un 65% de superficie corporal, por lo que recibió tratamiento con gammaglobulina 1 gr/kg/día por 3 días (1º, 2º y 4º día), metilprednisolona 1 mg/kg/día (desde día 3 hasta día 14) y ciclosporina 3 mg/kg/dia (del 4º al 47º día). El tratamiento tópico se realizó con plasma de convaleciente rico en plaquetas (PRP) aplicado mediante goteo en 4 sesiones (días 4, 6, 8 y 10), manteniendo durante ese tiempo un halo de acrílico para mantener la humedad de la piel, apósitos parafinados y vendajes estériles. Egresó de UTIP luego de 14 días de internación y externación hospitalaria a los 20 días con reepitelización de un 80% de la superficie corporal.

Discusión: La aplicación tópica de PRP ha demostrado ser útil en medicina regenerativa, otorgando beneficios en la cicatrización de heridas. La técnica de preparación y administración aún está en discusión. En nuestro caso, se administró plasma de donante tratado con gluconato de calcio al 10% (a fin de estimular la liberación de factores de crecimiento), almacenado a 20º.

Conclusión: La necrolisis epidérmica tóxica es una rara patología en niños. En nuestro caso, la aplicación de plasma rico en plaquetas resultó en una significativa reducción del tiempo de regeneración de la piel, sin complicaciones ni secuelas y con breve estancia hospitalaria.

 

 

 

0044   MORTALIDAD, DEPENDENCIA FUNCIONAL Y RESULTADOS COGNITIVOS DE PACIENTES ADULTOS CON COVID-19 QUE REQUIRIERON VENTILACION MECÁNICA INVASIVA DURANTE LA TERCERA OLA DE LA PANDEMIA: COHORTE PROSPECTIVA

E Martinez(1), C Aguilera(2), D Marquez(2), V Sturzenegger(3), C Cimino(3), E Hidalgo(2), H Escobar(3), S Piombi Adanza(2), G Zielger(3), L Tschopp(3), C Cominotti(3), J Plumet(3), C Pereyra(3)

(1) Trinidad Ramos Mejía. (2) Juan A. Fernández. (3) Sanatorio Trinidad Ramos Mejía.

 

Introducción: Hay escasa información sobre los resultados de pacientes con COVID-19 que requirieron ventilación mecánica invasiva (VMI) durante la tercera ola.

Objetivos: Determinar la mortalidad hospitalaria y explorar los resultados funcionales y cognitivos a 30 días del alta hospitalaria de pacientes con COVID-19 que requirieron VMI en dos centros del AMBA.

Métodos: Estudio de cohorte prospectiva. Se incluyeron pacientes >18 años con COVID-19 que requirieron VMI. Evento primario: mortalidad hospitalaria. Eventos secundarios: Dependencia física (Barthel<100) y deterioro cognitivo (MOCA<26) a 30 días del alta hospitalaria.

Resultados: Entre 1/12/2021 y 30/05/2022 se incluyeron 33 pacientes con COVID-19. La mediana de edad 69 años (59–74). 24(72%) hombres; 23(70%) obesos, 11(33%) diabéticos, 19(57.5%) hipertensos, y 24(72%) fueron vacunados. La mediana de Apache II 19(16–24) y SOFA 8(6–8). Utilizaron vasopresores 31(94%) y 20(60.6%) recibieron decúbito prono. La mortalidad intrahospitalaria y en UCI fue 36.36%(11/33 pacientes). La regresión de Cox identificó a la diabetes (HR: 6.97 (1.8-26.3)) y el Apache II (HR: 1.18 (1.07–1.30)) como predictores independientes de mortalidad (discriminaciön:Harrell’s C:0.83).

Sobrevivieron 19 pacientes sin afección cognitiva y física previa. La mediana de días de internación en UCI y el hospital fue de 48 días (40-58) y 60 días (50-63) respectivamente. 15 pacientes (79%) requirieron traqueostomia y 9(47 %) fueron a centro de rehabilitación. A 30 días del alta 13 pacientes (68 %) presentaron dependencia en actividades de la vida diaria con una mediana del Barthel: 30(20-100) y 7 (39 %) presentaron deterioro cognitivo con una mediana de MOCA: 26(21-18). Los pacientes dependientes fueron más obesos (84% vs 33%, p: 0.04) tuvieron más días de VMI (42 días (38-54) vs 30 días (7-37), p: 0.012), mayor Apache II (20(18-24) vs 13(13-16), p: 0.013) y más días de vasopresores (12 días (8-19) vs 4 días (1-6), p: 0.02).

Conclusiones: En nuestro estudio la mortalidad fue menor que la reportada en las primera ola. Podría deberse a la vacunación con la disminución de casos y menor carga de trabajo. La diabetes y el Apache II se asociaron independientemente a la mortalidad. Un 68 % de los sobrevivientes presentaron dependencia funcional. Estos datos permiten empezar a conocer el impacto post COVID-19 en la salud de los pacientes en nuestro país.

 

 

 

 

0045   NORSE (New onset refractory Status Epilepticus)  causada por micosis profunda (Feohifomicosis)

A Gira(1), A Figueroa(1), G Mast(1), R Andrade(1), P Pratesi(1)

(1) Universitario Austral.

 

Introducción: El Status super refractario definido por persistencia de actividad electroencefalografica a pesar del uso de tercera línea de tratamiento. La etiología frecuente es estructural e infecciosa neurológica.

En 2018 se define NORSE (New Once Refractory Status Epilepticus) estado epiléptico refractario sin epilepsia activa o patología neurológica preexistente y sin un cuadro agudo estructural, toxico o metabólico. El 50% es criptogenica y el resto por encefalitis autoinmune e infecciones sistémicas virales y micoticas.

Las feohifomicosis son causadas por hongos negros con alto neurotropismo pero no se aislan en LCR

Caso clínico: Mujer de 54 años, trasplantada renal, medicada con inmunosupresores.

Ingresa por guardia con fiebre, diarrea y convulsiones, se realiza Tc cerebro sin lesión y Tc tórax con infiltrados bilaterales, Punción Lumbar (Leucocitos 63, Monómeros 80%) inicia Antimicrobianos, requiere ARM bajo sedoanalgesia y anticomiciales, se realiza BAL y EEG sin descarga.

Al tercer dia Status convulsivo se aumenta dosis de sedación y 4 anticomiciales, presenta status por 7 dias, con cultivo de LCR negativo.

A los 10 días del BAL se aísla Feohifomicosis e inicia Voriconazol y a las 48hs EEG sin descargas. RMN de cerebro con hiperintensidad frontal derecha. A los 45 días pasa a clínica medica.

Discusión: Ante la sospecha de NORSE solicitar en LCR: cultivos bacteriano, viral, Mycoplasma, LCR y suero: AntiNMDA, AntiVGKC, antiAMPA, antiGABA y en suero: ANA, ANCA, AntiRo, AntiLa, Antitiroideos, AntiScl70 .

Conclusión: En status convulsivo el diagnostico se centraliza en estudios del cerebro que en este caso fueron no concluyentes y la búsqueda de focos alternativos nos permitió identificar la etiología y considerarlo NORSE.

 

 

0046   Cateterismo venoso central guiado por ultrasonografía: Estudio observacional en sala de  cuidados críticos

VP Lobo(1), M Isa(1), JE Perez Romero(1), RA Dilaccio(1)

(1) Clínica Regional Del Sud.

 

Introducción: La colocación de acceso venoso central es un procedimiento invasivo que contempla posibles complicaciones que deben de ser explicadas al paciente mediante consentimiento informado al paciente y familiares.

La técnica a utilizar puede ser la convencional con Técnica de Seldinger que recurre a la anatomía del acceso venoso central a utilizar; como ser de acceso venoso central yugular o acceso venoso central subclavio versus la utilización de técnica de inserción guiada por ecografía en los accesos antes mencionados.

Materiales y Métodos: Se realizó un estudio descriptivo, prospectivo desde mayo del 2022 hasta junio del 2022 del Servicio de Terapia Intensiva de la Clínica Regional del Sud, Río Cuarto, Córdoba, Argentina de donde se recolectaron datos de los ingresos a dicha unidad que requirieron colocación de catéter venoso central.

Resultados: Diferenciamos las complicaciones agudas más frecuentes en relación a la técnica utilizada durante el procedimiento invasivo englobando a los 21 pacientes que requirieron dicho procedimiento dentro de nuestra institución obteniendo resultados de: Técnica convencional de colocación de acceso venoso central con n=6; presencia de sangrado en 1/6 que equivale al 17% (p0.03); Hematoma en 1/6 siendo el 17% (p0.03); Neumotórax 1/6 siendo el 17% (p0.03) e Infección 1/6 con el 17 % (p0.03). Técnica realizada bajo seguimiento ecográfico representó una n=15, en donde se objetivo sin presencia de sangrado relacionado al procedimiento; Hematoma 2/15 con el 13%.

Conclusión: El estudio si bien no marca relevancia en cuanto a la bibliografía descrita en relación al tema, es de mucha ayuda a nivel institucional, ya que nos encontramos con la limitante de que no todos los profesionales que ejercen su actividad en la misma se encuentran debidamente entrenados para utilización del método guiado por ecografía o se sienten cómodos por su formación en la colocación de este tipo de procedimientos invasivos de forma convencional. Por lo que nos brinda punto de apoyo para reivindicar el método de colocación de vía endovenosa con acceso central guiado por ecografía. Siento este, aunque no exento de complicaciones, el mejor método para realizar este tipo de procedimiento.

 

 

0047   EVALUACIÓN HEMODINÁMICA POR ECOCARDIOGRAFÍA TRANSESOFÁGICA A PACIENTES EN DECÚBITO PRONO CON DISTRESS RESPIRATORIO SEVERO DEBIDO A INFECCIÓN POR SARS COV 2

M Castillo Ortega(1), FA Sosa(1), J Weight(1), A Matarrese(1), JJ Ruiz(1), G Paz(1), J Osatnik(1), M Kleinert(1), G Cesar(1), D Ivulich(1), P Merlo(1)

(1) Aleman.

 

Introducción: Durante la pandemia de COVID-19, muchos pacientes con distress respiratorio del adulto (SDRA) se presentaron con severa alteración del intercambios gaseoso, requiriendo además de estrategias ventilatorias protectivas y titulación de PEEP, decúbito prono por tiempos prolongados. Estos pacientes pueden presentar disfunción ventricular aguda con alteraciones hemodinámicas y más aún cuando requieren terapia vasopresora a altas dosis. La valoración por medio de la ecocardiografía transesofágica (ETE) es una herramienta considerada por muchos como gold standard para valorar la hemodinamia en pacientes ventilados en decúbito prono.

Materiales y método: Cohorte prospectiva de pacientes admitidos a la UCI con SDRA, desde el 20 de junio de 2020 hasta el 20 de septiembre de 2021. Se incluyeron pacientes > de 18 años de edad, con AVM, en decúbito prono, con PAFI < 150. Se realizó un ETE dentro de las 24 horas de la colocación en decúbito prono (DP). Pacientes con RASS -4, con analgosedación y relajantes musculares. Se analizaron variables clínicas como edad, sexo, comorbilidades, gravedad al ingreso por APACHE II, días en UCI y hospital y mortalidad en UCI.

Resultados: 355 pacientes ingresaron a UCI con diagnóstico de covid-19 por PCR, 202 (57%) requirieron AVM. 92 (46%) requirieron DP.

Encontramos baja prevalencia de disfunción ventricular izquierda severa (1%) medido por método de Simpson biplano. Disfunción ventricular derecha valorada a través del CFA (anormal < 35%) en 21 casos (24%), cor pulmonar agudo (VD/VI > 1 y presencia de aplanamiento septal) en 36 ( 41%) pacientes. No hubo complicaciones asociadas para el paciente, ni contagios en el personal médico.

Conclusión: El COVID-19 ha colocado a las UTI ante un cambiante desafío. La importancia de la valoración hemodinámica durante la AVM en DP a puesto a la valoración transesofágica como una herramienta de indispensable valor.

Sin bien la inestabilidad hemodinámica presentada por los pacientes con cor pulmonar agudo en nuestra serie fue notoria y nos permitió realizar cambios para aliviar las presiones en el corazón derecho, todavía faltan estudios con significancia estadística que nos respondan sobre su verdadero valor pronóstico en el escenario del distress respiratorio.

 

 

0048   SINDROME COMPARTIMENTAL ABDOMINAL POR SARCOMA  DEL ESTROMA ENDOMETRIAL

JJ Madera(1), M Lanci(1), J Marchetti(1), C Hernandez(1), G Guerrero(1), N Grubissich(1), C Rollano(1), T Negreira(1), H Cacone(1), J Aguilar(1), M Steinhaus(1), P Boschini(1)

(1) Hospital Angel H Roffo.

 

Introducción: El sarcoma de estroma endometrial comprende el 1% de los tumores malignos ginecológicos y es causa poco frecuente de sindrome compartimental abdominal.

Presentación del caso: Femenina, 32 años con dolor en hipogastrio mas metrorragia. Legrado endocervical y Cepillado: Sarcoma del Estroma endometrial de alto grado, tratamiento oncoespecífico: Epidoxorubicina+Ifosfamida y posteriormente Gemcitabina+Docetaxel. 22/05/2022 Internación en Instituto Roffo en plan quirúrgico de citorreducción, presentando tos y fiebre al segundo día de internación, PCR COVID 19 negativo. Se diagnostica Neumonía adquirida en la comunidad. Inicia ampicilina sulbactam y oseltamivir , evolución desfavorable , ingreso a terapia intensiva el 26/05/2022 por insuficiencia ventilatoria en contexto de presión intraabdominal inicial de 20mmhg, requiriendo asistencia ventilatoria mecánica . Posteriormente progresa a sindrome compartimental abdominal por presión de 30mmhg mas falla hemodinámica, requerimiento soporte vasoactivo con Noradrenalina. Tomografía computada de abdomen y pelvis evidencia componente quístico septado ocupando toda la cavidad abdominal. Se realizó drenaje percutaneo ecoguiado con descenso progresivo de la presión intraabdominal, resolución de sus fallas orgánicas con extubacion a los 11 días.

07/06/2022 Anexohisterectomia + Omentectomia , recuperación en Unidad de Terapia intensiva bajo asistencia respiratoria mecánica hasta extubacion el 12/06 ,egreso el 24/06/2022

Discusión: La hipertensión intraabdominal producida por el componente quístico gigante , produjo el desplazamiento hacia cefálico del diafragma provocando la disfunción respiratoria caracterizada por aumento de las presión intratoracicas, mientras que a nivel cardiovascular la disminución del gasto cardiaco y contractibilidad ventricular llevan a la falla hemodinamica. La disminución de la presión intraabdominal provoco la mejoria de la compliance pulmonar y la mejoría de la función sistolica.

Conclusión: El sarcoma de estroma endrometrial de comportamiento agresivo asociado al marcador inmuohistoquimico Ciclina D1 , puede presentarse con un componente quístico gigante , favoreciendo el desarrollo del sindrome compartimental abdominal. La resolución de esta complicación mejora las posibilidades de alcanzar un tratamiento quirúrgico que ofrece un indice de supervivencia a los 3 y 5 años de 49.8% y 31.1%, obligando a replantearnos nuestra conducta frente a determinados pacientes oncologicos.

 

 

 

 

0049   SÍNDROME DE HELLP - SÍNDROME UREMICO HEMOLÍTICO ATÍPICO EN PUERPERIO INMEDIATO. PRESENTACIÓN DE CASO

L Juarez Gastiazoro(1), C Nestor Ivan(1), R Nadia(1), F Anabella(1), R Tamara(1), B Maria Luz(1), C Leandro(1), H Marcos Emilio(1)

(1) Sanatorio Diagnostico.

 

Introducción: Las microangiopatías trombóticas (MAT) se definen por trombocitopenia, anemia hemolítica microangiopática y disfunción de órganos; las entidades más frecuentes de este grupo son el síndrome urémico hemolítico (SUH), la púrpura trombocitopénica trombótica (PTT) y el síndrome de HELLP.

El síndrome urémico hemolítico atípico (SUHa) se asocia al embarazo, como factor desencadenante. Muchas veces en concomitancia con síndrome de HELLP; dada la mayor frecuencia de este último, resulta desafiante su diagnóstico diferencial.

Presentación del caso: Paciente femenina de 31 años, cursando embarazo de 34 semanas. Ingresó a UTI en el postoperatorio de cesárea por síndrome de HELLP; hipertensa (220/130 mmHg), creatinina 1,9 mg/dL, plaquetas 45.000/mm3, bilirrubina indirecta 2,14 mg/dL y LDH 4267 UI/L.

Evolucionó en anasarca, falla renal (AKIN III), orina completa sin proteínas, frotis de sangre periférica con 2% esquistocitos, sin alteraciones neurológicas. Se inició hemodiálisis.

Sin mejoría, se realizó biopsia renal y se solicitó ADAMTS 13 y Anti-ADAMTS 13.

El duodécimo día presentó anemia hemolítica severa (Hb 4 mg/dl), TP y KPTT normales, insuficiencia respiratoria y shock refractario, se descartó hemorragia activa. A pesar de la reanimación falleció.

Discusión: En nuestro caso, se sospechó inicialmente HELLP por presentar los pilares diagnósticos básicos de esta entidad. Sin mejoría del cuadro hematológico y persistiendo la necesidad de hemodiálisis, planteamos nuevos diagnósticos. Se solicitó medición de ADAMTS 13 y anti-ADAMTS 13, y biopsia renal.

Luego de un periodo de estabilidad, la paciente presenta empeoramiento brusco de su anemia hemolítica, SDRA, shock refractario y sin posibilidad de realizar plasmaféresis, por el compromiso hemodinámico fallece.

Post mortem, la anatomía patológica informó lesiones glomerulares compatibles con MAT y depósito de fibrinógeno en arteriolas aferentes; ésto, sumado a anemia hemolítica, trombocitopenia y falla renal progresiva, en paciente con HELLP que ingresa con creatininemia superior a 1.9 mg/dL y LDH mayor a 1832 U/L son característicos del SUHa.

Conclusión: Las pacientes con síndrome de HELLP, sin mejoría una vez interrumpido el embarazo, progresión de la anemia hemolítica microangiopática, disfunción de órganos y umbrales de laboratorios característicos (creatinina ≥1.9 mg/dl, LDH ≥1832 U/L) debemos sospechar SUHa, para realizar, tempranamente, medidas diagnóstico-terapéuticas adecuadas y evitar un desenlace fatal.

 

 

0050   SERIE DE CASOS CON MEMBRANA DE OXIGENACIÓN EXTRACORPÓREA DURANTE MARZO 2020 - DICIEMBRE 2021. CLÍNICA PASTEUR-NEUQUÉN

P Delgado(1), V Mercado(1), G Granado(1)

(1) Clinica Pasteur.

 

Fue en el año 1971 la primera publicación en el NEJM por el Dr. JD Hill con uso de lo que hoy conocemos como membrana de oxigenación extracorpórea (ECMO) VV y en 1972 por Dr. Robert H. Bartlett ECMO VA. Es desde allí que se ha ido perfeccionando técnica y equipamiento y extendiéndose a lo largo del mundo. Varios centros médicos introdujeron este tipo de tratamiento invasivo para pacientes con SDRA severo, cobrando especial relevancia durante la pandemia de SARS-CoV-2, o patologías cardiovasculares críticas como puente a trasplante con éxito.

Nuestra clínica no es ajena a la mencionada modalidad de soporte vital, siendo en 2018 primer año en utilizarlo. Durante la curva de aprendizaje con sus éxitos y errores, nos incentivó a un mayor compromiso y dedicación para mejorar los estándares de atención logrando entre marzo 2020 y diciembre 2021 la colocación de 9 dispositivos ECMO, 3 VA (33%) y 6 VV (66%), discriminando según sexo femenino 2 (22%) y 7 masculinos (78%). Con una media de edad 43 años. Presentando en todos los casos como dato relevante el antecedente de obesidad tipo I y II. La duración promedio de la terapéutica fue de 10 días. Presentando complicaciones leves como sangrado menor y mayores como shock séptico, fallo multiorgánico y Óbito.

Teniendo en cuenta nuestra experiencia se llevaron a cabo cursos de actualización en el manejo y destreza para el personal en pos de perfeccionar el desarrollo de habilidades.

Nuestro objetivo con esta serie de casos es comentar nuestra experiencia, dificultades y el aprendizaje durante los años de pandemia por SARS-CoV-2 con esta modalidad de tratamiento en pacientes con SDRA severo.

 

 

 

 

0051   Estudio retrospectivo. Falla de extubación en Terapia Intensiva del Hospital Dr Jose Maria Cullen

HA Armandola(1), S Izza(1), EN Diaz Rousseaux(1)

(1) Dr. Jose Maria Cullen.

 

Introducción: El retiro de la Ventilación Mecánica continúa siendo un problema importante en las unidades de cuidados intensivos, incrementa las complicaciones, la morbimortalidad y los costos hospitalarios. La tasa reportada de falla de extubaciones planeadas es del 2% al 25%.

Objetivo: Conocer la tasa de Fallo de Extubación (FE) y las características de los pacientes de UTI del Hospital Dr Jose Maria Cullen.

Materiales y Métodos: criterios de inclusión: pacientes ≥18 años que ingresaron a UTI, entre 1 de Enero y el 31 de Diciembre del 2021, que requirieron VM invasiva extubados con posibilidad de seguimiento.

Resultados: Se analizaron 109 pacientes. La tasa de FE fue del 16,51%. Asociaciones significativas: Sexo masculino (0.017), Sin antecedentes patologicos (<0,001), Politraumatismo (0.044) y Coma (0.049) . El tiempo de internación tuvo una mediana 20,00 días en el grupo falló (<0,001) y 5,00 días en el grupo que no. El odd ratio con los días de internación 1,29-Valor p 0,0000. Asociación estadísticamente significativa entre mortalidad y fallo de extubación, 8,1 más probable de fallecer (OR: 8,10 valor p: 0,0032).

Conclusiones: En nuestro hospital la tasa de FE fue similar a lo reportado en la bibliografía, debiéndose esto a más de un factor de riesgo, el politraumatismo y el com se asociaron a mayor tasa FE.

 

 

 

 

0052   EVALUACIÓN DE LA DISFUNCIÓN VENTRICULAR DERECHA EN PACIENTES SÉPTICOS

L Bertorello Andrade(1), A Sosa(1), A Matarrese(1), F Daldoss(1), G Yossa(1)

(1) Aleman.

 

Introducción: La miocardiopatía séptica implica una disfunción orgánica relevante no siempre bien valorada y con impacto en la morbimortalidad del paciente crítico. Durante mucho tiempo el foco estuvo puesto en la disfunción ventricular izquierda, y en años recientes el estudio del corazón derecho ha mostrado también ser un actor fundamental de la hemodinamia cardiovascular del paciente crítico y del shock séptico en particular.

En consecuencia nos propusimos evaluar la prevalencia de disfunción sistólica del ventrículo derecho (DSVD) evaluada por diferentes métodos y su asociación con la mortalidad

Materiales y método: Se analizó una cohorte prospectiva de pacientes adultos admitidos a la UCI con diagnóstico de Sepsis desde el 1 de noviembre de 2021 hasta el 31 de mayo de 2022. La evaluación ecocardiográfica se realizó dentro de las 24 hs del ingreso, luego de la resucitación inicial. Para evaluar la función ventricular derecha se utilizó el TAPSE (excursión sistólica del plano del anillo tricuspídeo), el cambio fraccional del área (CFA VD) y el strain longitudinal global (SLG.VD). Se analizaron variables clínicas como edad, sexo, comorbilidades, gravedad al ingreso por APACHE II, días en UCI y hospital y mortalidad en UCI.

Resultados: Se analizaron un total de 52 pacientes, con una mortalidad en UCI de 34.6% (n = 18). Las características demográficas se muestran en la tabla 1. La prevalencia de DSVD mostró diferencias de acuerdo al método empleado con sus respectivos valores de corte, variando desde un 25% medido por TAPSE o CFA.VD hasta 87% por SLG.VD (Tabla 2).

Al evaluar mortalidad en pacientes con DSVD, solo se encontró asociación significativa con la medición por TAPSE (OR 12,7 IC95% 2,5 - 63,7; p= 0,003). Dicha asociación se mantuvo en el modelo multivariado ajustado por edad y sitio de infección (OR 16,2 IC95% 2,9 - 137; p= 0,003)..

Conclusión: La prevalencia de disfunción sistólica del VD fue diferente según el método empleado y considerando los valores de corte de normalidad reportados, el mejor método para discriminar pacientes con mayor riesgo de mortalidad en UCI parecería ser el TAPSE.

 

 

 

 

0053   NECROSIS AVASCULAR BILATERAL DE RODILLA COMO COMPLICACION DE INFECCION POR COVID19. REPORTE DE UN CASO

E Asinari(1), A Garcia(1), N Buzzi(1), I Bolatti(1), L Pesce Brochero(1), A Furlotti(1), M Olave Avila(1)

(1) Nuestra Señora De La Misericordia.

 

Introducción: La infección por COVID19 puede afectar diferentes aparatos y sistemas. La Necrosis Avascular Ósea (NAV) como complicación no está bien determinada. El uso de altas dosis de corticoides podría favorecerla. Trombofilias e hiperfibrinolisis también fueron asociadas con esta complicación. Afecta la cadera en el 90% de los casos y la rodilla el 10 % restante.

La NAV ha sido reportada en pacientes con infección por SARSCov1. Pocos casos fueron descriptos luego de infección por COVID19.

Presentación del caso: Mujer de 51 años con neumonía bilateral por COVID19. Internación en UTI durante 10 días. Oxigeno suplementario. Recibe dexametasona, antibióticos y anticoagulación. Evoluciona con intenso dolor en ambas rodillas que no cede con morfina. Se realiza IRM con importante cambio en la intensidad de señal a nivel del fémur distal y tibia proximal bilateral, compatibles con infartos óseos /NAV. Centellograma óseo: intensas anomalías de captación de ambas rodillas. Se sospecha estado protrombótico asociado. MTHFR y POLIMORFISMO PAI-1 Heterocigotos. Recibe pamidronato mensual con excelente evolución, mejoría del dolor, y delimitación del área de infarto óseo.

Discusión: La NAV no ha sido frecuentemente reportada luego de COVID 19. Existe el riesgo de detectar un aumento de los casos debido a la hipercoagulabilidad relacionada con la infección viral, el aumento de la reabsorción ósea y el uso de corticoides. Esto puede ocurrir hasta un año después de la infección. La pandemia actual tiene una historia corta y muchas complicaciones no han sido descriptas. Se sugiere una dosis de 2000 mg de metilprednisolona o equivalente para desarrollar NAV, pero en infecciones por COVID19 la sensibilidad a desarrollarla es mayor y puede ocurrir con dosis menores como en nuestro caso, que recibió 450 mg de equivalente de metilprednisolona. Las mutaciones trombofílicas encontradas podrían haber jugado un papel potenciador en el desarrollo de la NAV.

Conclusión: Consideramos este caso de interés por la afectación bilateral, articulación no típica y haber recibido corticoides en dosis de bajo riesgo para el desarrollo de NAV, lo que explicaría su etiología multifactorial.

Debemos tener presente esta complicación debido a la gran cantidad de pacientes tratados con corticoides por COVID 19, lo que elevaría su incidencia futura.

 

 

 

 

0054   EXPERIENCIA DEL USO DE DUPPLEX TRANSCRANEAL EN UNA UNIDAD DE CUIDADOS CRITICOS INFECTOLOGICA

Y Lamberto(1), P Saul(1), C Dominguez(1), R Gregori-sabelli(1), N Chacon(1), J Fernandez(1), S Caceres(1), L Gonzalez(1), P Velazquez Lopez(1), MDLM Nano(1), G Sandez(1), V Chediack(1), E Cunto(1)

(1) Muñiz.

 

Introducción: Son bien conocidas las complicaciones neurológicas de las patologías infecciosas pudiendo cursar con hipertensión endocraneana, hidrocefalia, complicaciones embolicas, entre otras. El uso de dupplex transcraneal se ha extendido en las unidades de terapia intensiva, por resultar un método no invasivo, bed side y con buena sensibilidad para el monitoreo de pacientes neurocriticos. No existen muchas referencias bibliográficas de su uso en pacientes neurocriticos infectológicos.

Objetivos: -Describir las alteraciones del patrón de flujo cerebral mediante dupplex trasncraneal en el paciente infeccioso neurocritico.

Materiales y método: Se realizo dupplex transcraneal color codificado modalidad POCUS con traductor sectorial por ventana transtemporal y occipital en la unidad de terapia intensiva de un hospital monovalente especialista en Enfermedades Infecciosas de la Ciudad de Buenos Aires a los pacientes con alteración del sensorio en contexto de patología infecciosa durante el periodo enero–julio 2022. Se utilizo estadística descriptiva.

Resultados: Se incluyeron 33 pacientes, hombres 70%. Rango de edad 20 a 78 años, media de 47. 15 pacientes eran VIH positivos. 11 pacientes presentaron tuberculosis meníngea, 3 criptococosis meníngea, 5 lesión ocupante de espacio, 5 deterioro del sensorio a foco no meníngeo, 4 con sospecha de paro circulatorio cerebral, 2 síndromes convulsivos, 1 encefalitis, 1 encefalopatía hepática, 1 paciente con antecedentes de ACV y 1 con COVID-19.

25 pacientes presentaron buena ventana ultrasonografica. En 4 pacientes se objetivo patrón compatible con vasoespasmo (VM mayor a 120 cm/seg e índice de Lindergar mayor a 3). 2 pacientes presentaron patrón de hiperemia (VM mayor a 120 cm/seg e índice de Lindergar menor a 3), 2 signos de hipoflujo con IP mayor a 1.4 y 2 Notch protodiastólico. 2 pacientes presentaron patrón de paro circulatorio cerebral.

Conclusiones: 12 pacientes (36%) presentaron alteraciones en el patrón del flujo de cerebral. Estas alteraciones guiaron la toma de decisiones terapéuticas, optimización de PPC, realización de imágenes control, punciones lumbares control, entre otros. Resulta importante capacitar al intensivista en esta técnica, dado que es una herramienta útil en el paciente neurocrítico. Así mismo es interesante estudiar las alteraciones que se pueden encontrar en los pacientes infecciosos y utilizar los resultados como una herramienta más para la toma de decisiones.

 

 

 

 

0055   SAPS III: desempeño en un servicio de Cuidados Intensivos mixto en Argentina

R Fernandez(1)

(1) Español De Mendoza.

 

Introducción: En 2005 fue publicado el Simplified Acute Phisiologic Score III (SAPS III) recopilando datos de una gran muestra de unidades de cuidados intensivos (UCI) en todo el mundo y utilizando ecuaciones regionales. Esto facilita la generalización de los resultados. Argentina participó de la base de datos para el desarrollo del puntaje con 13 UCIs que aportaron un total de 440 pacientes.

Objetivo: Evaluar el desempeño en cuanto a calibración y discriminación del SAPS III en una UCI mixta de Argentina.

Material y métodos: Estudio observacional con análisis secundario de una base de datos prospectiva, (SATI Q), Se tomaron datos registrados en dicha base para calcular el puntaje SAPS III a partir de una calculadora en línea de Rapid Critical Care Consult (https://www.rccc.eu/ppc/indicadores/saps3.html)

Se incluyeron aleatoriamente registros de pacientes egresados entre 2014 y 2020. Se extrajeron de los registros del SATIQ datos demográficos y epidemiológicos requeridos para el cálculo del ”score”. Para cada paciente se obtuvo el puntaje SAPS III, probabilidad de morir calculada y probabilidad de morir ajustada regional.

Análisis estadístico: Las variables cualitativas se expresan como frecuencia y porcentajes, con Intervalos de Confianza 95%, (IC

95%), si corresponde. Las cuantitativas se expresan como mediana y rango intercuartil (RIC).

Se construyeron curvas ROC para la probabilidad de morir calculada, determinando las AUC, La calibración del modelo se obtuvo mediante test de Hosmer Lemeshow. Se consideró significativa estadísticamente p ≤ 0,05.

Resultados: Fueron analizados 1379 pacientes. En la tabla 1 se muestran las características de la población.

El AUC para probabilidad de morir fue 0,847 (IC95% 0,8181 – 0,876), para ecuación general y 0,849 (IC95% 0,820 – 0,878), para regional.

El test de Hosmer-Lemeshow, mostró un estadístico C = 18,8; p = 0,016 para el modelo general y de 12,5; p = 0,128 para el modelo regional.

Conclusión: El SAPS III mostró discriminación adecuada para ambas ecuaciones, similares a las del trabajo original. La calibración fue mejor para la ecuación regional.

Podría sugerirse un estudio prospectivo multicéntrico de validación local, con un mayor número de pacientes.

 

 

 

 

0057   ¿Cuáles fueron las variables clínico epidemiológicas y causa real de muerte en pacientes con covid-19?

E Arana Osorio(1)

(1) Clinica Cmic.

 

Introducción: Los pacientes con COVID-19 mostraron una tasa de mortalidad entre el 30-50%,

en aquellos que presentaron sus formas más severas de enfermedad y requirieron cuidados intensivos. Esta alta tasa de mortalidad se asoció al desarrollo de disfunción multiorgánica (DMO) en el curso de la enfermedad. La DMO podría relacionarse a evolución del SDRA en sus formas más graves, a lesión directa viral o a sobreinfecciones asociadas.

Objetivos: conocer las variables clínico-epidemiologicas involucradas y analizar las causas de muerte en nuestra serie de pacientes con neumonía grave por Sars-Cov 2.

Métodos: Estudio retrospectivo, observacional, en pacientes ingresados a UTI de la clínica CMIC de Neuquén con neumonía grave por COVID-19 que requirieron ventilación mecánica entre Abril de 2021 a Enero de 2022

Resultados: Se analizaron un total de 74 pacientes, de los cuales 56,75% (n=42) fallecieron en la UCI durante el período de estudio. De los pacientes que fallecieron 88.1% (ver tabla 1) tenían 1 o más comorbilidades, 59.4%(n=22) hipertensión arterial (HTA), 56.7% obesidad (n=21), 24,3% diabetes mellitus (DM) (n=9), 10.8% enfermedad renal crónica (ERC) (n=4) entre otras. Encontramos que el shock séptico fue la principal causa de muerte 59% (n=25), seguida del SDRA grave 38% (n=16), TEP 2,3% (n=1), shock cardiogenico 2,3% (n=1). (Ver figura 1)

Conclusión: Los pacientes con neumonía grave por COVID-19 presentaron en su mayoría como causa principal de muerte Sepsis (59%), seguido de hipoxemia (38%). Su principal factor de riesgo fue la HTA, aunque la sepsis como causa de muerte se asocio mas a la obesidad y la DM.

 

 

 

 

0058   EFECTOS DEL RECALENTAMIENTO SOBRE LA MICROCIRCULACIÓN EN LA HIPOTERMIA DEL SHOCK HEMORRÁGICO EXPERIMENTAL

JF Caminos Eguillor(1), Facultad De Ciencias Médicas, Unlp, G Ferrara(1), Facultad De Ciencias Médicas,   Unlp, MG Buscetti(1), Facultad De Ciencias Médicas,   Unlp, VS Kanoore Edul(1), Facultad De Ciencias Médicas, Unlp, HS Canales(1), Facultad De Ciencias Médicas, Unlp, B Lattanzio(1), Facultad De Ciencias Médicas, Unlp, L Gatti(1), Facultad De Ciencias Médicas,   Unlp, FJ Gutierrez(1), Facultad De Ciencias Médicas,   Unlp, A Dubin(1), Facultad De Ciencias Médicas, Unlp

(1) Farmacología Aplicada Y Terapia Intensiva. (2)  Facultad De Ciencias Médicas. (3)  Unlp.

 

Introducción: El desarrollo de hipotermia luego del shock hemorrágico en el trauma es un marcador de gravedad de la injuria y de mal pronóstico. Sin embargo, los efectos del recalentamiento son controvertidos. Además, los efectos microcirculatorios del recalentamiento son poco conocidos. Nuestro objetivo fue estudiar los efectos del aumento de la temperatura central (T°) sobre diferentes lechos microvasculares. Nuestra hipótesis fue que el recalentamiento podría deteriorar el flujo microcirculatorio.

Materiales y método: Se estudiaron 24 ovejas de 24 [22-27] kg, anestesiadas y ventiladas mecánicamente. Se realizaron mediciones de hemodinamia sistémica, intestinal y renal, consumo de oxígeno (VO

2) y cociente respiratorio (CR) por análisis de gases espirados, y microcirculación sublingual, mucosa intestinal y peritubular renal por videomicroscopía. Luego de mediciones basales, se indujo un sangrado de magnitud suficiente para reducir la presión arterial y el VO

2, y aumentar el cociente respiratorio (CR). Simultáneamente se redujo la T° hasta 33° C por recirculación gástrica de agua fría. Después de 1 hora de shock, se retransfundió la sangre extraída. En el grupo control (n=12) la T° no se modificó, mientras que en el grupo recalentamiento, se elevó 3° C. Se infundió solución de Ringer lactato para evitar la hipotensión arterial, hasta un máximo de 40 ml/kg. Las mediciones se repitieron luego de una hora de reanimación.

Los resultados se analizaron con GEE, utilizando pruebas de Mann-Whitney y Wilcoxon con ajuste de Bonferroni para identificar diferencias inter e intragrupo.

Resultados: Los datos más relevantes se muestran en la tabla 1. Se alcanzaron los objetivos de T°, VO

2, y CR durante el shock. En la resucitación, el VO

2 permaneció disminuido comparado con el basal y fue menor en el grupo control. El transporte de oxígeno sistémico también continuó reducido en ambos grupos. Las alteraciones microcirculatorias fueron similares en ambos grupos y sólo fueron parcialmente corregidas a nivel sublingual (Figura 1).

Conclusiones: En el shock hemorrágico, un aumento de la T° de 3° C no afecta la microcirculación sublingual, intestinal y renal en comparación con controles hipotérmicos. Durante la reperfusión, el compromiso microvascular fue mayor en las vellosidades intestinales y la corteza renal que en la mucosa sublingual.

 

 

 

 

0059   Intubación por laringoscopia convencional vs videolaringoscopia en operadores inexpertos

MA Vargas(1), VV Espíndola(1), LP Marzoratti(1), TC Navarro Toffaletti(1), ÁE Piacenza(1)

(1) Instituto De Cardiología De Corrientes Juana Francisca Cabral.

 

Introducción: La intubación traqueal es uno de los procedimientos más frecuentes en la Unidad de Terapia Intensiva (UTI), que en el contexto de las residencias médicas tiende a ser realizada por aprendices sin experiencia, involucrando a pacientes fisiológicamente inestables. En consecuencia, la intubación exitosa en el primer intento es esencial.

Objetivos: Investigar qué tipo de laringoscopia se asocia con mayor éxito de intubación en el primer intento en una UTI que entrena residentes médicos, planteándose la asociación a mayor tasa de éxito a la intubación traqueal con un videolaringoscopio cuando la realizan operadores inexpertos.

Material y métodos: Los laringoscopios directos consistían en dispositivos Macintosh curvos con hoja metálica reutilizable. El videolaringoscopio consistió en una rama Macintosh curva confeccionado por impresión 3D FFF con material ABS, con altura de capa de 0.1mm, 100% de relleno, peso de 180 g, y cámara tipo boroscopio de 5.5 mm de diámetro, 1m de longitud, IP67 con luz LED, resolución 640x480, conectada a un celular Samsung J2 Core con tecnología USB OTG. La intubación fue realizada por residentes médicos de 1º y 2º año, supervisados por un operador experimentado (médico intensivista o residentes de años superiores). La colocación correcta del tubo orotraqueal se evaluó mediante auscultación, análisis de las curvas respiratorias y radiografía de tórax.

Resultados: Se incluyeron 79 pacientes que fueron intubados en la UTI durante octubre 2021 a junio 2022 que fueron aleatorizados en dos grupos. El grupo laringoscopio convencional constó en un total de 40 pacientes (50.6%) versus videolaringoscopio 39 pacientes (49.4%). Se intubaron de forma exitosa en el primer intento 33 pacientes (42%). Con laringoscopio convencional fueron intubados de manera exitosa en el primer intento 9 pacientes (22.5%); en el grupo videolaringoscopio fueron intubados de manera exitosa en el primer intento 24 pacientes (61.5%). Se observaron complicaciones secundarias a la intubación en 39 pacientes (49.4%), perteneciendo al grupo convencional un 71.8% (28 pacientes), y 28.2% al grupo videolaringoscopio (21 pacientes).

Conclusiones: Se apreció una mayor tasa de éxito en el primer intento en la intubación y menor tasa de complicaciones con videolaringoscopia que con laringoscopia directa cuando era realizada por operadores inexpertos.

 

 

 

 

0060   NEUMOMEDIASTINO, NEUMOTÓRAX BILATERAL Y NEUMORRAQUIS EN CRISIS ASMÁTICA SEVERA.

M Latimori(1), F Garavelli(2), Hospital Escuela Eva Perón, F Dipaolo(2), Hospital Escuela Eva Perón, M Ramirez Colombres(2), Hospital Escuela Eva Perón, CE Maenza(2), Hospital Escuela Eva Perón, MD Ré(2),   Hospital Escuela Eva Perón, SP Gattino(2), Hospital Escuela Eva Perón, NS Rocchetti(2), Hospital Escuela Eva Perón, CJ Settecase(2), Hospital Escuela Eva Perón, DH Bagilet(2), Hospital Escuela Eva Perón

(1) Hospital Escuela Eva Peron. (2) Servicio De Terapia Intensiva. (3)  Hospital Escuela Eva Perón.

 

Introducción: El neumomediastino, neumotórax y neumorraquis ocurren generalmente como consecuencia de un evento traumático, y son escasos los reportes en la literatura que hablen de su aparición espontánea y coexistente. Presentamos el hallazgo de estas tres condiciones en forma simultánea, como complicación de una crisis asmática.

Caso clínico: Mujer de 27 años, con asma mal controlada, ingresa a guardia externa por tos seca, dolor precordial de moderada intensidad y disnea progresiva que no responde a broncodilatadores. Examen físico: afebril, TA 140/90 mmHg, FR 26 c/min, FC 110 l/min. Sibilancias generalizadas, sin uso de musculatura accesoria. Radiografía de tórax y ECG: sin alteraciones. Laboratorio: leucocitos 16500 /mm3, Hb 12,7 g/dl, plaquetas 383000/mm3, VES 10mm/1ra hora., PCR: 3,4 mg/dl, dimero D 0,19 ug/ml, pH 7,46, pO252, pCO230, bicarbonato 21 mEq/l, EB -1,3, SO2 89,2%, PCR SARS CoV2 negativa.

Se realiza tratamiento médico, sin mejoría. Se solicita TAC de tórax: neumomediastino, neumotórax laminar bilateral a predominio derecho, aire en conducto medular, enfisema subcutáneo en pared torácica. Se coloca untubo de avenamiento pleural derecho e ingresa a Unidad de Cuidados Intensivos, hemodinámicamente estable, saturando 92% con oxigenoterapia a 15 l/min, mala mecánica respiratoria. Se decide intubación orotraqueal y asistencia ventilatoria mecánica (AVM). Intercurre con neumonía asociada a la AVM con buena respuesta al tratamiento. Se extuba luego de 8 días de AVM y se traslada a sala general.

Discusión: La incidencia de neumomediastino espontáneo se estima en un 0,2-0,3 %. Se origina en un aumento de la presión intraalveolar, rotura alveolar y migración del aire que diseca las vainas peribronquiales y perivasculares del hilio pulmonar, y se extiende al mediastino, pudiendo propagarse al tejido subcutáneo, endotorácico, y canal raquídeo. Los factores precipitantes se relacionan a maniobras de Valsalva, siendo el asma el factor predisponente más frecuente. Generalmente tiene un curso benigno, pero la coexistencia de neumotórax se asocia a mayor morbilidad y riesgo de evolución tórpida.

Conclusión: Creemos importante considerar estos diagnósticos cuando estamos ante pacientes con crisis asmáticas refractarias, aun cuando la radiografía de tórax no muestre anomalías, debiendo recurrir a otros estudios complementarios para documentarlos.

 

 

0061   REPORTE DE CASOS: PIELONEFRITIS ENFISEMATOSA DEL HOSPITAL SIMPLEMENTE EVITA

EM Rodas Montero, G Izzo(1), M Flores(1), E Solarte(1), L Gonzales(1), A Vera(1), J Angulo(1), A Rodriguez(1), H Cabrera(1), A Robles(1), C Arellano(1), E Rodriguez(1), E Velasquez(1), D Choque(1)

(1) Simplemente Evita Gonzalez Catan.

 

Introducción: Pielonefritis Enfisematosa, infección necrotizante aguda y grave del riñón, los factores de riegos son: sexo femenino, Diabetes Mellitus, litiasis renal y uropatía obstructiva. Con características clínicas: fiebre, dolor en flanco, piuria y taquicardia. Los organismos frecuentemente E. Coli, Klebsiella pneumoniae, Proteus. Para diagnóstico se utiliza Tomografía Computarizada. El tratamiento va desde manejo mínimamente invasivo, hasta Nefrectomía.

CASOS

1°: Diabetico descompensado, secundaria a ITU, respondiendo con fluidos y antibiótico amplio; realizan TC por alta sospecha el cual nos da el diagnóstico definitivo de pielonefritis enfisematosa, realizan drenaje percutáneo con colocación catéter doble J, llevando a resolución del cuadro.

2°: paciente monorreno, septico, ingresa con criterios de diálisis de urgencia, administran antibiótico amplio según filtrado glomerular, no teniendo evolución favorable realizan TC observándose gas perirenal izquierdo, realizan drenaje percutáneo por ser un paciente monorreno, evolución favorable llegando a no requerir diálisis posterior.

3°: Diabético descompensado, con factores de riesgo, realizan TC observando gas en parénquima renal, realizan manejo para Clase II, no teniendo evolución favorable y presentando factores de mal pronóstico deciden realizar nefrectomía, obteniendo evolución favorable.

4°: Diabético, reingresa en shock y falla renal, TC con aire en riñón derecho y dilatación pielocalicial, Ingresa a quirófano para colocación de catéter doble J, evidencian estenosis ureteral en unión tercio medio a distal, no pudiendo progresar, terminando procedimiento sin éxito e inicia hemodiálisis. Reingresando a quirófano para Nefrectomía. Al día 17 de internación con noradrenalina en ascenso, presenta paro cardiaco, se realiza maniobras de reanimación, sin éxito, se constata óbito.

Discusión: Presentación clínica con síntomas inespecíficos que pueden llevar a muerte. Su diagnóstico requiere de tomografía computarizada, para clasificación y manejo. El tratamiento debe ser individualizado en cada paciente; iniciar manejo conservador con antibióticos de amplio espectro, medidas de soporte y según imagen, tomar decisiones terapéuticas más agresivas que incluyen nefrectomía.

Conclusiones: Emergencia urológica, se presenta en diabéticos no controlados, sexo femenino, uropatia obstructiva, y anomalía renal congénita; su diagnóstico debe ser precoz sospechando con los factores de riesgo y TC para clasificación y manejo temprano para plantear alternativa terapéutica y disminuir mortalidad.

 

 

0062   CAVERNOMA EN TRONCO ENCEFÁLICO CON HEMORRAGIA RECURRENTE: REPORTE DE CASO

AV Millán(1), CJ Beroiza(1), M Cruz(1), LG Duran(1), NA Grassi(1), MG Montenegro Fernández(1), M Petasny(1), NI Zelaya De Leon(1), P Zorzano Osinalde(1)

(1) Hospital Municipal De Agudos Leónidas Lucero.

 

Introducción: Las malformaciones vasculares cerebrales tienen una prevalencia de 0.1 a 4%. De ellas, 0.4-0.7% corresponden a cavernomas. Suelen ser asintomáticos, excepto en caso de sangrado o efecto de masa.

Hay pocos informes de manejo no quirúrgico de cavernomas en tronco encefálico; nuestro objetivo es reportar la evolución clínica de una paciente con dicha lesión, bajo tratamiento médico y rehabilitación kinesio-motora.

Presentación del caso: Paciente femenina de 18 años, sin antecedentes conocidos, que consultó por hemiparesia derecha de 48hs de evolución.

Se solicitó tomografía de encéfalo, que mostró imagen hiperdensa heterogénea en protuberancia y mesencéfalo izquierdo que alcanzaba al tálamo ipsilateral, con edema hasta cápsula interna.

Se interconsultó con Neurocirugía, que solicitó Angio-resonancia cerebral e internación en UTI.

El estudio informó imagen polilobulada en mesencéfalo izquierdo, hiperintensa en T1, hipointensa en T2, con edema perilesional, que comprimía III ventrículo y tálamo homolateral. Se interpretó como cavernoma.

Mejoró espontáneamente el foco neurológico, persistiendo con parálisis facial. Neurocirugía descartó conducta quirúrgica por buena evolución clínica y localización.

Permaneció 11 días internada y se otorgó el alta con resolución completa de foco.

Reconsulta a las 12hs con clínica de hipertensión endocraneana y requerimiento de intubación orotraqueal por mala mecánica ventilatoria. En tomografía control, se evidencia resangrado. Se descartó conducta quirúrgica por parte de centro de mayor complejidad.

Tras 16 días en UTI, pasa a sala general y se externa a los 60 días, persistiendo con parálisis facial derecha.

Discusión: Los cavernomas son un subtipo de angioma caracterizados por presentar una estructura trabeculada con espacios vasculares con un flujo sanguíneo lento, que genera estasis y trombosis. El riesgo de hemorragia está relacionado principalmente con la localización, siendo el tronco encefálico la de mayor riesgo. Sin embargo, en el caso relatado, se consideró que los riesgos del abordaje quirúrgico eran inaceptables, por lo que se realizó tratamiento de sostén y rehabilitación kinesio-motora, logrando mejoría de síntomas neurológicos.

Conclusión: Si bien el único tratamiento que permite controlar definitivamente los cavernomas, es la resección quirúrgica, ésta se encuentra raramente disponible para aquellos de localización infratentorial.

Sin embargo, el trabajo multidisciplinario entre intensivistas, neurocirujanos, kinesiólogos, permite el sostén del paciente y la mejoría de su focalidad neurológica.

 

 

 

 

0063   ENCEFALITIS AUTOINMUNE COMO CAUSA DE ESTATUS EPILEPTICO NO CONVULSIVO: REPORTE DE CASO

J Voss(1), JI Moreno(1), R Segovia(1), N Muicela(1), A Ayarde(1), N Tanel(1), D Ullunque(1), L Rocha(1), F Freile(1), A Aliaga(1), G Jacob(1), L Alejandra(1), M Nahra(1)

(1) Español.

 

Introducción: La encefalitis autoinmune (EA) comprende un grupo de trastornos inflamatorios del parénquima cerebral no infecciosos mediados por el sistema inmunitario. Dentro de las causas de meningoencefalitis es la segunda en frecuencia (21%) luego de las infecciones. La encefalomielitis aguda diseminada es la causa autoinmune más frecuente, seguida por la causada por anticuerpos anti R-NMDA.

Presentación del caso: Paciente femenina de 77 años con antecedente de cáncer de mama con tratamiento quirúrgico y quimioterapia hace 3 años, actualmente medicada con tamoxifeno.

Ingresa por deterioro sensorio GCS 11/15 (M5O3V3) e hipotonía generalizada y simétrica (escala Daniels 3 ⁄ 5) de una semana de evolución. Presenta tomografía de encéfalo sin alteración aguda, LCR no patológico con muestras para neurovirus negativas y electroencefalograma que evidencia ondas epileptiformes por lo que se trata con levetiracetam. Evoluciona con deterioro del sensorio: GCS 8/15 (M5O2V1), se realiza intubación orotraqueal. Por sospecha de status no convulsivo se inicia sedación con midazolam, electroencefalograma control sin descargas. Intercurre con hemorragia digestiva baja con hallazgo de tumor colónico. Se interpreta como probable EA por lo que se realiza tratamiento con metilprednisolona con mejoría franca del sensorio. Intercurre con shock séptico y muerte. Se recibe postmortem reporte de proteinograma electroforético confirmando encefalitis (AMPA y NMDA-C positivos).

Discusión: Las EA deben considerarse entre los diagnósticos diferenciales de los estatus epilépticos sin causas evidentes. Es una patología subdiagnosticada en las unidades de terapia intensiva, aunque se observa un aumento del reporte de casos en los últimos 10 años, asociado al avance en la detección de anticuerpos.

Las EA, al tener una causa predominantemente de tipo humoral, presentan buena evolución con el tratamiento inmunosupresor: corticoides, inmunoglobulinas, plasmaféresis o anticuerpos monoclonales, por lo que son importantes el diagnóstico y tratamiento precoces.

Conclusiones: El estudio de causas poco frecuentes de estatus epileptico no convulsivo es complejo por el alto costo y difícil acceso a los estudios específicos, pero consideramos que dado el aumento de la incidencia de EA en especial en pacientes gerontes y oncológicos, es una patología que debe ser considerada y estudiada.

 

 

 

0064   Encefalopatía espongiforme transmisible humana: reporte de un caso

J Voss(1), A Aliaga(1), R Segovia(1), J Moreno(1), F Freile(1), L Rocha(1), N Muicela(1), N Tanel(1), D Ullunque(1), A Ayarde(1), J Guillermina(1), A Luquetti(1), A Orozco(1), N Melina(1)

(1) Español.

 

Introducción: Las prionopatías son patologías neurodegenerativas, consecuencia de acúmulos de una iso-forma anormal de la proteína priónica celular (PrPc),. La acumulación residual de priones, produce una alteración de la homeostasis neuronal propiciando el desarrollo de la encefalopatía espongiforme mortal de la Enfermedad de Creutzfeldt-Jakob (ECJ). Esta enfermedad es transmisible tanto en humanos como en animales.

Resumen: Masculino de 82 años, con antecedentes de HTA, por desorientación temporo-espacial, asociado a trastornos en la marcha y miocolonias. RMN de encéfalo que informa proceso infeccioso/inflamatorio temporal bilateral compatible con encefalitis. AngioRMN que informa vacío de flujo conservado.

Se interna con diagnóstico de encefalitis en estudio, realizándose laboratorios específicos en sangre y LCR para las diferentes encefalitis siendo negativos. EEG sin grafoelementos epileptiformes, ni signos de encefalopatía inflamatoria/infecciosa.

Por mala evolución neurológica se interpreta cuadro como probable encefalopatía autoinmune vs paraneoplásica, se realizan pulsos de metilprednisolona por 4 días sin cambios del cuadro clínico, evolucionando a status epiléptico e ingresando a UTI, por lenta evolución en su aspecto neurológico requiere TQT y se realiza nueva punción lumbar para toma de muestra de LCR para biología molecular de proteína 14.3.3 por sospecha elevada de encefalopatía espongiforme falleciendo antes de recibir el resultado de proteína 14.3.3 positivo para encefalopatía espongiforme, confirmando sospecha diagnóstica

Conclusión: Presentamos el caso como causa poco frecuente de encefalitis, siendo importante como diagnóstico diferencial entre las etiologías virales y autoinmunes, la bibliografía revisada reporta un elevado subdiagnóstico de esta enfermedad, que puede ser por su elevada complejidad diagnóstica requiriendo exámenes específicos ( Proteína 14-3-3, EEG etc.) o por su bajo índice de sospecha, quedando enmascarada entre las encefalitis idiopáticas.

Otro aspecto importante de la enfermedad es la ausencia de tratamiento y su posible transmisión hereditaria lo cual nos obliga agotar todos los medios para llegar al diagnóstico.

 

 

 

 

0065   SHOCK ANAFILACTICO CONFIRMADO POR MEDICION DE TRIPTASA SERICA SERIADA

A Gira(1), M Cardonati(1), F Leveratto(1), J Alvarez(1), P Pratesi(1)

(1) Universitario Austral.

 

Introducción: En la Anafilaxia, el segundo contacto del Antígeno a las Ig E de mastocitos liberan: Histamina, Prostaglandinas, Leucotrienos y proteasas como la Triptasa en la fase aguda que dura minutos.

La triptasa posee Sensibilidad 73% y Especificidad 98%, Valor normal 3,8 a 11,4 ug/L, pueden haber valores elevados en Leucemia, IRC, Falla hepática crónica.

Otras determinaciones de laboratorio: Histamina, PAF, Quimasa, Basogranulina, ensayo de mutacion KIT.

Presentación del caso: Mujer de 47 años, colecistecomia laparoscópica 14 dias previo a ingreso a clínica por sepsis a foco biliar, se realiza TC de abdomen con contraste EV constata lesión de vía biliar, en segunda TC tras contraste EV presenta: disnea, Glasgow 3/15, FC 140 lat./m, TA 40/20 mmHg, Sat 68%, rash, convulsiones, midriasis, se administra Adrenalina, ingresa a UCI, se toman muestras para triptasa a los 25 minutos (3, 7 ug/L), a las 2 hs (74,8 ug/L) y a las 20 hs (14,6 ug/L).

Se realiza hepaticoyeyunoanastomosis y a los 14 dias pasa a clínica medica.

Discusión: La cinética de Triptasa comprende: injuria, pico 75 min, meseta 2 hs, caída 12 hs, valor basal 24 hs Se estandariza tres tomas de muestras séricas: inmediata, 90 -120 minutos y 24 hs. En nuestro caso pudimos relacionar la curva de tripas con Anafilaxia y descartar shock séptico.

La curva puede seguir 3 caminos: niveles altos y luego bajan en Anafilaxia, valores siempre altos Mastocitosis sistémica y valores siempre bajos Mastocitosis de piel.

Conclusión: Realizar la curva de triptasa para el diagnóstico definitivo para diferenciarlo de otras patologías

 

 

0067   Reporte de caso: Oxigenoterapia de alto flujo como método de weaning en paciente traqueostomizado con asistencia mecánica ventilatoria prolongada

Z Carlos Matías Ezequiel(1), ML Braccini(1), DE Miño(1), TC Navarro Toffaletti(1), P Piacenza(1)

(1) Instituto De Cardiología De Corrientes Juana Francisca Cabral.

 

Introducción: La terapia de oxígeno de alto flujo administrada mediante cánulas nasales (CNAF) mejora la oxigenación y disminuye el trabajo respiratorio en pacientes críticos. Los efectos fisiológicos aplicados en pacientes traqueostomizados con weaning dificultoso como paso previo a la ventilación espontánea son poco conocidos. Utilizamos OTAF en una paciente con la hipótesis que el método reduciría el esfuerzo inspiratorio, mejoraría el patrón ventilatorio y optimizaría el confort, favoreciéndose así la desvinculación de la AMVP.

Presentación del caso: Paciente de 49 años, portadora de estenosis aortica, miocardiopatía dilatada, hipertensión pulmonar, insuficiencia cardiaca crónica con marcapasos definitivo. El 21/4/22 es admitida debido a insuficiencia cardiaca descompensada. El 12/05/22 se realiza reemplazo valvular aórtico con prótesis mecánica. Presenta múltiples complicaciones: bajo gasto cardíaco, neumonía asociada a los cuidados de la salud, mediastinitis, hidroneumotorax que requirió de videotoracoscopia y AMV prolongado (57 días). Traqueostomía quirúrgica desde el día 02/06/22.

El 07/07/2022 se inicia weaning en modo Presión Soporte y desconexiones periódicas con T/T no lográndose una adecuada progresión. El 19/07/22 se comienza a utilizar OTAF, adaptando la cánula de traqueostomía con conector con whisper. Se utilizó el AirVo2 con FIO2 21%, flujo 35 l/min, temperatura 36ºC. La paciente presentó buena tolerancia y confort. Este método fue utilizado por periodos de duración creciente durante 2 semanas. El 26/7/22 se logra desvinculación definitiva de la AMV y posteriormente decanulación exitosa. Alta el 04/08/22.

Discusión: El weaning dificultoso en pacientes con AMVP y Traqueostomía resulta desafiante para cualquier servicio de cuidados intensivos, pudiendo requerir durante el proceso estrategias no convencionales de soporte respiratorio. El uso de la OTAF es una opción válida poco utilizada.

Conclusión: El empleo de la OTAF como soporte respiratorio en pacientes traqueostomizados con AMVP, puede ser considerado un método alternativo y eficaz en el proceso de weaning. Los efectos fisiológicos ya conocidos por la aplicación de CNAF, pueden extrapolarse a este tipo de pacientes utilizando la técnica correcta de aplicación.

 

 

 

 

0069   Analisis de las complicaciones y mortalidad de pacientes traqueotomizados en la terapia HIGA Eva Peron San Martin

F Guzmán Tapia(1), JC Uribe Caballero(1), S Castro(1), ML Salazar Hernandez(1), A Fray(1), M Flores, M Morante(1)

(1) Higa Eva Peron San Martin.

 

Introducción: las complicaciones relacionadas con la traqueotomía perioperatoria se describen en un 2-6 % de los casos y las post-operatorias entre un 9-17%.. La traqueotomía percutánea se comenzó a implementar en nuestra terapia en el año 2001.

Objetivo: analizar la frecuencia y tipo de complicaciones relacionadas a dicho procedimiento y la mortalidad dentro de la terapia intensiva.

Material y método: estudio descriptivo y retrospectivo. Se incluyeron pacientes ingresados entre enero de 2021 y mayo de 2022. Se consignaron las complicaciones del procedimiento quirúrgico o percutáneo. La mortalidad global en la Terapia.

Resultados: sobre un total de 84 procedimientos, se realizaron 36 traqueotomías quirúrgicas y 48 percutáneas. En el grupo de traqueotomía percutánea se observo mayor proporción de pacientes de sexo masculino (73 %) e hipertensos, así como predominio de motivos neurológicos/neuroquirurgicos de ingreso a la Unidad. Las complicaciones de ambos procedimientos fueron entre otras las siguientes: infección de sitio quirúrgico (10), sangrado local (7), desplazamiento de la cánula (8), estenosis de la vía aérea (3), granuloma de cuerda vocal (1); ningún fallecido durante el procedimiento. La mortalidad global en terapia fue 35/84 (41.6%) y en este grupo los pacientes eran más añosos, obesos y requirieron mayor abordaje quirúrgico con respecto a los que sobrevivieron.

Conclusiones: En nuestra población, comparando la traqueotomía percutánea con la quirúrgica, no hay diferencias significativas en cuanto a la edad o los días de traqueotomía; si se evidencia menor mortalidad en el primer grupo. La infección de sitio quirúrgico fue la complicación más importante de ambas técnicas. En cuanto a los fallecidos, probablemente la elevada mortalidad se vea vinculada a la gravedad de la patología de base e intercurrencias agregadas durante su estancia en la Unidad.

 

 

 

0070   Manejo multidisciplinario en gran quemada embarazada

A Regules Armiñana(1), E Ghisolfi(1), JM Pina(1), R Paffumi(1), A Chena(1), M Chocobar(1), L Fernandez(1)

(1) Luis Lagomaggiore.

 

Introducción: Las quemaduras extensas y el lugar de estas generan gran morbilidad y mortalidad asociada a las lesiones mismas y a la calidad de la reanimacion inicial. Debido a los cambios fisiologicos del embarazo, en una paciente gran quemada, se presenta el desafio de una reanimacion mas controlada con metas ajustadas a la condicion de la paciente.

Descripción: Paciente 39 años sin antecedentes, cursando embarazo de 25 semanas, que presenta, en intento de autolisis, quemaduras del 30% de la superficie corporal de tipo AB/B, en torax, abdomen, rostro, cuello y miembros superiores. Derivada de nosocomio de la provincia de Neuquen donde recibio atencion inicial las primeras 48 horas. Al ingreso se conecta a asistencia respiratoria mecanica, se realiza via venosa central, par gasometrico, control de temperatura central y periferica, cateter arterial en piel sana, monitoreo multiparametrico y plataforma de monitoreo hemodinamico minimamente invasivo (EV 1000), analitica de control, limpieza quirurgica de quemaduras, momitoreo fetal y maduracion pulmonar fetal completa, vacuna y gammaglobulina antitetanica, manta termica y toma de cultivos.

Evolución: Se realiza fluidoterapia guiada por dispositivos minimamente invasivos y ultrasonografia. Antibioticoterapia dirigida, bacteriemia por SAMS y candida no albicans. Terapia transfusional postquirurgica guiada por Rotem. Ventilacion mecanica protectiva y desvinculacion de la misma 10 dias posteriores al ingreso. (CUADRO 1). Por monitoreo fetal diario se detecta ecografia fetal doppler patologica por lo que se realiza cesarea con feto vivo de 27,4 semanas.

Conclusión: Podemos determinar que el abordaje multidisciplinario, la reanimacion con fluidos dirigidas por medio de dispositivos minimamente invasivos y ultrasonografia a las necesidades temporales de la paciente combinados con una intervencion quirurgica temprana nos permiten disminuir las complicaciones de una fluidoterapia excesiva, aumentando el exito de las intervenciones quirurgicas, disminuyendo los dias de ventilacion mecanica, generando menor morbi-mortalidad. A considerar en estas pacientes la intoxicacion por monoxido de carbono, ya que este gas atraviesa libremente la placenta.

 

 

 

 

0071   EPIDEMIOLOGÍA DE PACIENTES ADULTOS TRAQUEOSTOMIZADOS POST FASE AGUDA DE COVID-19 INGRESADOS EN CENTROS DE DESVINCULACIÓN DE LA VENTILACIÓN MECÁNICA Y REHABILITACIÓN EN ARGENTINA: UN ESTUDIO MULTICÉNTRICO PROSPECTIVO

D Villalba(2), E Navarro(1), A Matesa(2), A Brusco(3), V Morales(3), GG Morel Vulliez(1), E Rositi(1), L Prieto(4), M Bosso(4), S De Paoli(5), A Cotero(5), J Nadur(5), M Santini(6), M Alonso(6), F Larroca(4), C Duarte(7), V Garcia(7), R Campodónico(7), G Musso(8), M Leingruber(8), A Morales(9), A Segura(10), ME Vallory(10), S Pieruzzi(11), P Pascal(11), EL De Vito(1)

(1) Centro Del Parque. (2) Clínica Basilea. (3) Alcla. (4) Santa Catalina - Neurorehabilitación Clínica. (5) Ciarec. (6) Clínica Pasteur. (7) Ulme. (8) Aprepa. (9) Centro Médico Amenabar. (10) Caice. (11) Clínica Semed.

 

Introducción: Los datos epidemiológicos y clínicos de pacientes con COVID-19 que sobrevivieron al evento agudo y fueron derivados a centros de desvinculación de la ventilación mecánica y rehabilitación (CDVMR) son escasos, particularmente en países de ingresos bajos y medios. Nuestro objetivo fue describir las características clínicas, la epidemiología y los resultados de los pacientes con enfermedad por COVID-19 traqueostomizados en Argentina que fueron dados de alta de la unidad de cuidados intensivos (UCI) e ingresados ​​en los CDVMR.

Métodos: Estudio prospectivo, multicéntrico, observacional (Consorcio Grupo Re.Des.) desarrollado entre julio de 2020 y diciembre de 2021, en 12 CDVMR de Argentina. Se registraron características demográficas, datos de laboratorio, función pulmonar y dependencia de ventilación mecánica (VM) al ingreso a los CDVMR. También se registraron desvinculación de la VM, decanulación y el estado al alta. Se construyó un modelo de regresión logística múltiple para predecir el alta domiciliaria.

Resultados: Inscribimos a 568 pacientes adultos traqueostomizados luego de la fase aguda de COVID-19 transferidos a los CDVMR participantes del estudio. La mediana de estadía en la UCI fue de 42 días; la mediana de edad fue de 62 años, el 70,0% eran hombres y la mediana del índice de comorbilidad de Charlson (ICC) fue de 2. De los 315 pacientes ingresados ​​con ventilación mecánica, se logró la desvinculación en 228 pacientes (72,4%) y se decanularon 427 (75,2%). La mediana de estadía en los CDVMR fue de 60 días; 366 pacientes (64,5%) fueron dados de alta a domicilio y la tasa de mortalidad fue del 6,0%. En el análisis multivariado, la edad, el ICC, la duración de la VM en la UCI, la insuficiencia renal y la debilidad de los músculos espiratorios se asociaron de forma independiente con el alta domiciliaria.

Conclusiones: La mayoría de los pacientes con COVID-19 transferidos de las UCI a los CDVMR se desvincularon con éxito de la VM, lograron la decanulación y el alta domiciliaria. Nuestros datos podrían ayudar a identificar áreas de mejora en el manejo de pacientes en países de bajos y medianos ingresos y en otros países.

 

 

0072   Interrupción de la sedación diaria posterior a la pandemia por Covid-19 en una Unidad de Terapia Intensiva de Adultos

A Potenzoni(1), Y Benavente(1)

(1) Hospital Italiano.

 

Introducción: La vacación de sedación diaria (VSD) involucra el cese de la medicación sedante con el fin de poder determinar la mínima dosis requerida por el paciente e identificar oportunidades para la extubación o progresión en el weaning.

Actualmente, la Unidad de Terapia Intensiva de Adultos (UTIA) de un Hospital de alta complejidad en Buenos Aires, cuenta con un protocolo de VSD el cual involucra enfermeros, médicos y kinesiólogos.

Durante la pandemia por el Covid-19,debido a la situación epidemiológica, la aplicación de la VSD se vió obstaculizada.

Por este motivo, volvimos a medir la interrupción de la VSD para observar el cumplimiento, comparándolos con los datos del año 2019.

Objetivo primario

Evaluar el cumplimiento de la interrupción de VSD por parte del plantel de enfermería entre los meses de Marzo - Abril 2022 frente a los meses Marzo - Abril 2019 en una unidad de terapia intensiva de adultos de un Hospital de alta complejidad en Buenos Aires.

Objetivos secundarios

Analizar el resultado de la VSD diaria de la UTIA en el periodo Marzo - Abril 2022.

Materiales y método:  Estudio observacional, descriptivo, transversal. Se recabaron datos de la Historia Clínica Electrónica (HCE) y mediante observación directa, sin intervención. Entre los meses de Marzo 2022 - Abril 2022. Los datos obtenidos se compararon con los recabados en los meses de Marzo - Abril 2019.

Resultados: Se realizaron 277 observaciones. El 55% estaban contraindicadas y el 45% estaban en condiciones de realizar la VSD.

En el 62% de las observaciones se realizaron la VSD de forma correcta y en el 38% no.

Conclusión: A pesar de que durante la pandemia se produjo una disminución de la VSD, al comparar el periodo Marzo - Abril 2019 contra Marzo - Abril 2022 se observa un aumento significativo del cumplimiento de la interrupción de la VSD, dando al personal de enfermería la autonomía que tienen en la realización de VSD.

 

 

 

 

0073   PREVALENCIA DE LESIONES LARINGOTRAQUEALES EN PACIENTES ADULTOS TRAQUEOSTOMIZADOS POST-COVID-19 EN UN CENTRO DE DESVINCULACIÓN DE LA VENTILACIÓN MECÁNICA. COMPARACIÓN CON CONTROL HISTÓRICO SIN COVID-19

A Vicente(1), D Villalba(2), L Diaz Ballvé(3), P Pedace(2), E Perez Calvo(2), P Tocalini(2), JM Carballo(2), K Torres(2), G Petraroia(2), J Collins(2), A Matesa(2), G Gil Rossetti(2), N Golfarini(2), P Pini(2), L áreas(2), A Del Valle(2), M Scrigna(2), E Distefano(2), F Planells(2)

(1) Basilea. (2) Clínica Basilea. (3) Hospital Posadas.

 

Introducción: En Argentina, el 24,3% de los pacientes adultos con diagnóstico de COVID-19 requirieron la realización de una traqueostomía para facilitar el proceso de desvinculación de la ventilación mecánica. Durante la pandemia aumentó el número de pacientes con intubación prolongada y traqueostomía tardías, lo cual podría predisponer al aumento de lesiones laringotraqueales. Sin embargo, hasta el momento se desconocen estudios que evalúen dicha hipótesis.

Objetivo: evaluar si los pacientes adultos traqueostomizados post-COVID-19 tuvieron mayor prevalencia de lesiones laringotraqueales en comparación con un control histórico sin COVID-19.

Materiales y método: se realizó un estudio analítico, observacional y transversal en un centro de desvinculación de la ventilación mecánica y rehabilitación. Se incluyeron pacientes adultos con traqueostomía y que se les haya realizado una fibrobroncoscopía al ingreso a la institución. Se realizó un análisis por puntaje de propensión donde se seleccionaron mediante un emparejamiento 1:1 los pacientes post-COVID-19 versus un control histórico de pacientes sin COVID-19. El análisis se emparejó por edad, días de intubación orotraqueal previo a la realización de la traqueostomía, días de vía aérea artificial hasta la realización de la fibrobroncoscopía y días de ventilación mecánica en la unidad de cuidados intensivos.

Resultados: ingresaron al estudio 50 pacientes traqueostomizados post-COVID-19, de los cuales uno debió eliminarse del análisis por imposibilidad de realizar un emparejamiento adecuado. Se analizaron finalmente 49 pacientes en cada grupo. La prevalencia de lesiones en la vía aérea en pacientes post-COVID-19 versus un control histórico sin COVID-19 fue del 53,1% y del 73,5%, respectivamente (p= 0.059). En el grupo post-COVID-19, el 23,1% presentaron lesiones severas y en el control histórico sin COVID-19 el 27,8%. La lesión más frecuente en ambos grupos fue el granuloma, mientras que el sitio predominante de presencia de lesión fue a nivel subglótico.

Conclusiones: no se hallaron diferencias en la prevalencia de lesiones de vía aérea en pacientes traqueostomizados post-COVID-19 en comparación con un control histórico emparejado sin dicha condición.

 

 

0074   Análisis de las características demográficas y clínicas de una serie de traqueotomías en la Terapia Intensiva del HIGA Eva Perón de San Martin

JC Uribe Caballero(1), F Guzman(1), S Castro(1), ML Salazar Hernandez(1), A Fray(1), M Flores, M Morante(1)

(1) Higa Eva Peron San Martin.

 

Introducción: La traqueotomía es un procedimiento indicado en terapia intensiva, que permite la protección y acceso a la vía aérea disminuyendo las lesiones traqueales asociadas a la intubación prolongada. En nuestro servicio el procedimiento quirúrgico es realizado por cirujanos y la técnica percutánea por los terapistas.

Objetivo: analizar que patología de base es la que más requiere este procedimiento y a cuanto tiempo de la intubación se realiza el mismo.

Material y método: estudio descriptivo y retrospectivo. Se analizaron pacientes entre enero de 2021 y mayo de 2022. Se tomo en cuenta la edad, sexo, motivo de ingreso, comorbilidades principales, procedimiento quirúrgico o percutáneo, tiempo de intubación endotraqueal entre otros. Mortalidad global.

Resultados: se incluyeron en el análisis 84 pacientes en total. La mediana de edad fue de 57 años y de internación 33 días en el periodo de estudio. Las comorbilidades más

frecuentemente encontradas: HTA en primer lugar; seguido por DBT y obesidad en igual número. Los motivos de ingreso principales fueron la causa neurológica/neuroquirurgica (53.5%) , seguida por neumonía por covid, de la comunidad e intrahospitalaria (26.1%).Traqueotomía realizada en primera semana (1-7) : 3 pacientes, 2º semana (8-14) : 22 pacientes, 3º semana (15-21) : 40 pacientes, 4º semana (22-28) : 15 pacientes, 5º semana ( 29- 35) : 4 pacientes.

Conclusiones: en nuestra población, predomino el sexo masculino y el paciente neurológico o neuroquirurgico fue más frecuentemente sometido al procedimiento, debido a bajo score neurológico y/o mal manejo de secreciones. La técnica percutánea fue la más empleada en nuestro Servicio. La mayoría de las traqueotomías fueron tardías.

 

 

 

0075   INTERVENCIONES FARMACÉUTICAS: IMPACTO EN LOS COSTOS Y LA EFECTIVIDAD DEL PASAJE DE VÍA ENDOVENOSA A VÍA ORAL

G Vecchio(1), J Sanchez(1)

(1) Hospital Italiano De Buenos Aires.

 

Introducción: La mayoría de los pacientes internados en la Unidad de Cuidados Intensivos (UCI) reciben fármacos por vía endovenosa (VE). Existen criterios del paciente y del medicamento que permiten definir el momento oportuno para rotar a vía oral o enteral (VO). En muchos casos, aunque ya se pueda realizar el cambio, se mantiene la prescripción endovenosa aumentando los riesgos para el paciente (infecciones asociadas a catéter, efectos adversos, etc) y costos de internación (presentación inyectable, trabajo de enfermería, insumos descartables.)

Objetivos: Cuantificar el impacto en costos y efectividad del cambio de indicaciones endovenosas a VO sugeridas por un farmacéutico clínico en la UCI.

Materiales y métodos: Estudio retrospectivo observacional. Se relevaron las intervenciones farmacéuticas realizadas en el mes de enero del año 2022, en los pacientes de la UCI de un hospital privado, en las que se sugería cambio de VE a VO. Se calculó la disminución en los costos de aquellas que fueron aceptadas: diferencia de precio para igual dosis de medicación en 24 horas entre la presentación endovenosa y la presentación oral.

Se verificó si luego de pasar paracetamol endovenoso a vía oral los pacientes requirieron rescates para controlar el dolor.

Resultados: Durante el mes de enero de 2022 se realizaron 46 intervenciones farmacéuticas sugiriendo pasaje de VE a VO, de las cuales se aceptaron 31, generando una reducción del 98 % (38770.64 $AR) en los costos directos de las indicaciones analizadas.

El medicamento con mayor impacto económico es el paracetamol, pero el 16.1% de las intervenciones hechas sobre este fármaco no fueron aceptadas sin criterios que contraindiquen la vía oral.

De los 20 pacientes con indicación endovenosa de paracetamol que fueron rotados a vía oral, solo 1 requirió rescates para controlar el dolor: el 95% de los pacientes presentó igual efectividad analgésica al cambiar la vía de administración.

Conclusiones: El pasaje a vía oral o enteral en el momento apropiado en pacientes críticos genera una disminución significativa en los costos de medicamentos.

Para el paracetamol el cambio en la vía de administración no representa una disminución en el efecto analgésico.

La intervención del farmacéutico contribuye a implementar estos cambios.

 

 

 

 

0076   Botulismo del lactante: Estudio descriptivo en una Unidad de Cuidados Intensivos Pediátricos

C Avila(1), G Kaltenbach(1), MM Cardenas(1)

(1) Hospital Provincial Neuquén.

 

Introducción: El botulismo del lactante (BL) es la forma más frecuente de botulismo humano en Argentina. El objetivo es describir aspectos esenciales del diagnóstico y manejo durante la internación de pacientes con BL internados en el Servicio de Terapia Intensiva Pediátrica (STIP).

Métodos: Estudio observacional, descriptivo y retrospectivo. Se utilizó la base de datos del STIP con diagnóstico de BL en el periodo 2005-2020. Se registraron variables demográficas, métodos de diagnóstico, días de asistencia respiratoria mecánica convencional (ARMc), de ventilación no invasiva (VNI), estadía en STIP, mortalidad al alta hospitalaria.

Resultados: Se registraron 21 pacientes con BL, 66.7 % fueron varones, con una mediana de edad de 5 meses (RIC 2-6 m). El diagnóstico fue mediante técnica de bioensayo, detectándose toxina en suero en 57.1 %. Uno solo no requirió ARMc, un paciente fue traqueotomizado, el 85 % recibieron ATB, 24 % recibieron VNI. Ningún paciente recibió antitoxina y no hubo fallecidos. La mediana de estadía hospitalaria fue 66 días (RI: 42-76); de internación en STIP 48 días (RI: 29-78); y de ARMc 37 días (RI: 26-64). La demora en la confirmación diagnóstica fue 15.8 +/- 4.8 días.

Conclusiones: La totalidad de los pacientes fueron diagnosticados con la técnica de bioensayo, que genera un tiempo de demora diagnóstica que exceden los lapsos recomendados para la administración del tratamiento específico. Ningún paciente recibió tratamiento específico. El BL presentó baja mortalidad, pero tiempos de ARM e internación prolongados, que se asocian a uso frecuente de antibióticos.

 

 

0077   REPORTE DE CASO: BOTULISMO ALIMENTARIO CON PERFORACIÓN INTESTINAL EN UNA ADOLESCENTE

SI Ramos Elizagaray(1), ML Piovano(1)

(1) Notti.

 

Introducción: El botulismo alimentario es una intoxicación paralizante poco frecuente, adquirida por la ingesta de neurotoxinas producidas por C. botulinum. En Mendoza se reportó 1 caso en los últimos 4 años, no existiendo reportes en menores de 18 años desde el 2015. A nivel nacional, se reportan alrededor de 1 caso/año desde el 2015.

Presentación de caso: Una adolescente de 13 años consultó por vómitos incoercibles y deposiciones líquidas con sangre 12 horas después de ingerir una conserva casera. Fue internada con clínica de abdomen agudo, evolucionando las siguientes 24 hs con ptosis palpebral, diplopía, disfonía y dificultad respiratoria. Ingresó a terapia intensiva con sospecha de botulismo alimentario a las 32 horas de la ingesta, donde se administró antitoxina botulínica equina y permaneció 35 días en soporte ventilatorio, requiriendo traqueostomía a los 27 días de internación. Presentó además íleo paralítico desde su ingreso, con requerimientos de nutrición parenteral y múltiples perforaciones en yeyuno e íleon por las que requirió 3 intervenciones quirúrgicas. Paralelamente asoció depresión y rechazo al tratamiento, por la que fue abordada por salud mental y medicada con antidepresivos. Egresó con requerimientos de soporte ventilatorio y nutrición por sonda transpilórica a los 72 días de internación.

Discusión: El botulismo es una enfermedad de difícil diagnóstico en pediatría, frecuentemente confundida con patologías neuroparalizantes más frecuentes como el síndrome de Guillain-Barre, miastenia e infecciones del sistema nervioso central, entre otras. El diagnóstico de certeza depende de la inoculación de muestras de suero o materia fecal del paciente en ratones y puede tardar más de 48 horas. Existen otras técnicas por PCR cuantitativa y microgota con capacidad de detectar toxinas A y B en plasma con una sensibilidad del 100% hasta 0.84 copias/μl, las cuales no están disponibles en nuestro país.

Conclusión: Actualmente el diagnóstico del botulismo alimentario en pediatría depende de la alta sospecha clínica, y en la mayoría de los casos el tratamiento con inmunoglobulinas específicas se administra empíricamente por las dificultades en la confirmación a través del bioensayo. La asociación con comorbilidad psiquiátrica y gastrointestinal está descripta en poblaciones adultas. El abordaje interdisciplinario precoz resulta relevante en niños.

 

 

0078   Hematoma Subdural Agudo como Manifestación Neurológica del Linfoma de células B: Informe de un caso de un paciente masculino de 60 años inmunocompetente

L Solis(1), JE Alfonso(1), L Ojeda Flores(1), K Velazquez(1), LB Costa(1), C Pisarello(1), Y Lesieux(1), MV Ivan(1), C Mizdraji(1), L Huespe(1), S Lazzeri(1), H Alvarez(1), JC Garcia Roth(1)

(1) Hospital Escuela Gral. San Martin.

 

Introducción: Las manifestaciones neurologicas del Linfoma de celulas B son raras en pacientes inmunocompetentes. En tales casos, estas lesiones pueden simular hemorragias o tumores intracraneales.

Presentación del caso: Masculino de 60 años, ex tabaquista. Se presenta con dolor lumbar y cefalea de dos semanas de evolución recibiendo tratamiento sintomático con analgésicos. Se realiza RNM de cerebro sin hallazgos significativos. El 28/06/2022 evoluciona con trastorno del sensorio (GSC 5/15) ingresando al servicio de emergencias. Se realiza TC de Cerebro que evidencia hematoma subdural agudo con desplazamiento de línea media e imagen nodular densidad partes blandas de 16mm en orbita derecha. Laboratorio: Hb 12.8, GB 29.650, Plaquetas 24.000. El 29/06/2022 se certifica la muerte encefálica por Duplex Transcraneal. Ecografía abdominal evidencia parénquima hepático heterogéneo con múltiples imágenes redondeadas hipoecogénicas y esplenomegalia. En frotis sanguíneo se observan blastos linfoides vacuolados. Se solicita citometría de flujo que informa Linfoma de estirpe linfoide B. CMV (IGM /IGG) y EPSTEIN BARR (IGM /IGG) no reactivo. Estudio Citogenético de sangre periférica que informa cariotipo normal 46,XY [20].

Discusión: El Linfoma de células B, rara vez se manifiesta en pacientes inmunocompetentes, pudiendo simular hemorragias o tumores intracraneales. Nuestra revisión de la literatura destaca la rareza de estos casos y la importancia de distinguir hemorragias intracraneales como manifestación del Linfoma de células B.

Conclusión: Las manifestaciones neurológicas del linfoma de células B es poco común en inmunocompetentes, por lo que presentamos un caso raro de hematoma subdural agudo no traumático de rápida evolución a la muerte encefálica.

 

 

 

 

0079   ESTENOSIS BILIAR EN EL POSTOPERATORIO DE TRASPLANTE HEPÁTICO

SS Benavides Mariño(1), MF Amieva(2), G Ramos(2), C Tonelli(2), M Ducasa(2), CB Cozzani(2), V Picolla(2), A Couso(2), AB Canedo Bermudez(2), ML Ortiz(2), SG Pello(2)

(1) General De Agudos Dr.cosme Argerich. (2) General De Agudos Dr. Cosme Argerich.

 

Introducción: El TH es la opción terapéutica curativa para la enfermedad hepática terminal. Dentro de complicaciones post-trasplante, la afección de la vía biliar(VB), es una de las más frecuentes, y de mayor morbimortalidad (10-15%).

Presentacion de Casos Clínicos: Se describen tres pacientes masculinos en POP de TH de donante cadavérico, usando la Técnica de reconstrucción de la VB por colédoco-colédocoanastomosis.

Caso 1 (55 años) antecedentes de HBV, Child C, Meld 28, Tiempo de isquemia fría(TIF) 228 minutos. Presenta débito bilioso por drenajes y falla multiorgánica, sin evidencia de dilatación de VB por ecografía y CPRE fallida. Se coloca drenaje por vía percutánea, evoluciona con shock séptico refractario secundario a colangitis, se produce el óbito en día 11.

Caso 2 (54 años) antecedentes de HCV, Child C, TIF 400 minutos. Evoluciona con encefalopatía, síndrome colestásico y abundante débito por drenajes, asociado a líquido libre perihepático y VB dilatada por ecografía. Se realiza CPRE con evidencia de estenosis y fístula biliar, se coloca drenaje interno/externo con evolución favorable.

Caso 3 (53 años) antecedentes de HCV, Hepatocarcinoma, Child A y MELD por vía de excepción. TIF 346 minutos. Presenta síndrome colestásico con VB dilatada por ecografía, y CPRE con evidencia de estenosis biliar(EB). Se coloca stent a la anastomosis, y evoluciona favorable.

Discusión: Los factores de riesgo para las EB incluyen la trombosis de la arteria hepática(AH), la colangitis esclerosante primaria, los donantes añosos, así como el uso de vasopresores. La EB pueden ser anastomótica, de origen quirúrgico;o no anastomótica, generalmente secundario a la lesión isquémica del conducto. Clínicamente se presenta como un síndrome colangítico(C1) o, colestásico(C2/C3). El diagnóstico se realiza por ecografía, el cual evalúa la alteración del flujo de la AH (indemne C1/C2/C3), o la dilatación de la VB, proximal a la anastomosis (C1/ C2) o distal (C3). El tratamiento se limita al drenaje de la VB, por vía percutánea o por CPRE.

Conclusión: A pesar de la alta incidencia de complicaciones de la VB, el drenaje (Kher) preventivo no está indicado. El reconocimiento y el tratamiento oportuno reducen el riesgo de morbimortalidad postoperatoria.

 

 

 

 

0080   BACTERIEMIA POR RHODOCOCCUS EN PACIENTE INMUNODEPRIMIDO

FR Dipaolo(1), Granadero Baigorria, Santa Fe, Argentina, M Latimori(1), Granadero Baigorria, Santa Fe, Argentina, F Garavelli(1), Granadero Baigorria, Santa Fe, Argentina, M Ramirez Colombres(1), Granadero Baigorria, Santa Fe, Argentina, C Maenza(1), Granadero Baigorria, Santa Fe, Argentina, M Re(1), Granadero Baigorria, Santa Fe, Argentina, S Gattino(1), Granadero Baigorria, Santa Fe, Argentina, N Rocchetti(1), Granadero Baigorria, Santa Fe, Argentina, C Settecase(1), Granadero Baigorria, Santa Fe, Argentina, D Bagilet(1), Granadero Baigorria,   Santa Fe, Argentina

(1) Hospital Escuela Eva Perón. (2)  Granadero Baigorria. (3)  Santa Fe. (4)  Argentina.

 

Introducción: El Rhodococcus equi (coco de color rojo), es un cocobacilo Gram positivo pleomórfico, aerobio estricto y ácido alcohol resistente, que produce un pigmento rojo en los cultivos, de ahí su nombre. Ha sido reconocido como un patógeno animal, causante de bronconeumonía subaguda o crónica. La mayoría de las infecciones humanas se han asociado con disfunción del sistema inmunitario.

Caso clínico: Varón de 56 años, con diagnóstico reciente de VIH y hepatitis B, ingresa por cuadro clínico interpretado como infarto agudo de miocardio sin lesiones coronarias obstructivas (myocardial infarction with non-obstructed coronary arteries, M.I.N.O.C.A). Además, el paciente refiere tos con expectoración purulenta, fiebre y pérdida de peso de 3 meses de evolución. Examen físico: Hemodinámicamente estable, febril, SaO2 98% (0,21%). Murmullo vesicular conservado, sin ruidos agregados, no utiliza musculatura accesoria. Laboratorio: Hemoglobina 9,2 gr/dl, leucocitos 7900 /mm3, VES 26 mm/1ra hora, PCR 2,7 mg/dl, procalcitonina 0,18ng/ml, urea 61 mg/dl, creatinina 1,25 mg/dl, GOT 106 mUI/l, LDH 245 U/l, CPK 178 mUI/l, troponina T 0,369 ug/l, ProBNP 3738 pg/ml, PCR para SARS CoV2 positiva. Radiografía de tórax: imagen cavitada en campo medio pulmonar izquierdo. Inicia tratamiento con diltiazem y enoxaparina para M.I.N.O.C.A. Se toman hemocultivos y muestra respiratoria positivos a Rhodococcus sp., BAAR negativo. Tomografía de tórax, abdomen y pelvis con contraste: nódulo pulmonar derecho de 15mm y otras dos imágenes de similares características en campo pulmonar izquierdo, una de ellas cavitada, de 17mm y otra de 5mm. Ecocardiograma: sin vegetaciones. Inicia tratamiento dirigido con imipenem y levofloxacina por 14 días, asociado a tratamiento anti-retroviral, con buena evolución.

Discusión: La infección por R equi es una complicación oportunista poco frecuente de la infección por el VIH y se presenta en estadios avanzados de inmunodepresión. La manifestación clínica más frecuente en pacientes inmunodeprimidos es la neumonía cavitada asociada a bacteriemia en un 80% de los casos y sus síntomas principales son fiebre, pérdida de peso, tos con expectoración mucopurulenta.

Conclusiones: El diagnóstico precoz, el tratamiento antimicrobiano adecuado y el inicio del tratamiento anti-retroviral en forma temprana pueden mejorar la evolución y el pronóstico de esta enfermedad con alta mortalidad.

 

 

0081   SINDROME FIRES

FR Dipaolo(1), Granadero Baigorria, Santa Fe, Argentina, L Marcos(1), Granadero Baigorria, Santa Fe, Argentina, G Florencia(1), Granadero Baigorria,   Santa Fe, Argentina, RC Maria(1), Granadero Baigorria, Santa Fe, Argentina, M Carolina(1), Granadero Baigorria, Santa Fe, Argentina, R Melisa(1), Granadero Baigorria, Santa Fe, Argentina, G Silvana(1),   Granadero Baigorria, Santa Fe, Argentina, R Nicolas(1), Granadero Baigorria, Santa Fe, Argentina, S Claudio(1), Granadero Baigorria, Santa Fe, Argentina, B Daniel(1), Granadero Baigorria, Santa Fe,   Argentina

(1) Hospital Escuela Eva Perón. (2)  Granadero Baigorria. (3)  Santa Fe. (4)  Argentina.

 

Introducción: El status epiléptico refractario de reciente comienzo (NORSE New-onset refractory status epilepticus) se caracteriza por su inicio “de novo” sin una causa estructural, tóxica o metabólica específica. El síndrome epiléptico relacionado con infección febril (FIRES Febrile infection related epilepsy syndrome) es una subcategoría de éste que requiere una infección febril previa entre dos semanas y 24 horas antes del inicio del status, pudiendo o no constatarse fiebre al inicio del mismo.

Caso clínico: Mujer de 21 años, asmática y obesa, ingresa a la UCI por deterioro de la conciencia y convulsiones tónico-clónicas generalizadas asociadas a fiebre, diarrea, vómitos y cefalea de 1 semana de evolución. Examen físico: Hemodinámicamente estable, febril, SatO2 98% (0.21%), GCS 12/15, sin signos meníngeos. Laboratorio: hemoglobina 9,9 gr/dl, leucocitos 10100 /mm3, procalcitonina 0,06 ng/ml, glucemia 104 mg/dl, urea 30 mg/dl, creatinina 0,93 mg/dl, sodio 144 mEq/l, potasio 3,9 mEq/l, cloro 107, calcio 8,3 mg%, fosforo 4,2 mg%, magnesio 2,5 mg, TSH 0,66 uUl/ml, FAN y factor reumatoideo negativos, C3 y C4 normales. Líquido cefalorraquídeo: Leucocitos: 3, glucosa 0,72 g/l, proteínas 0,5g/l, lactato 2,2, VDRL negativa. Hemocultivos y cultivo de líquido cefalorraquídeo: negativos. Tomografía y RMI de encéfalo sin contraste: sin alteraciones. EEG: Actividad basal theta con usos de sueños simétricos, foco de espigas central izquierdo de escasa recurrencia en todo el registro, patente epileptógena focal. Inicia aciclovir y ceftriaxona, que se suspenden al obtener resultados de estudios complementarios. A pesar del tratamiento con fenitoína (fenitoínemia normal) persisten convulsiones, por lo que se vincula a VM e inicia benzodiazepinas y levetiracetam, sin respuesta. Se solicitan anticuerpos anti MDA (negativos) e inicia pulsos de metilprednisola más tiopental, con disminución de las crisis. Luego de 30 días complica con shock séptico y fallece.

Comentario: El FIRES se caracteriza por convulsiones refractarias a los antiepilépticos. Algunas ceden temporalmente con coma de supresión inducido por fármacos. Otras terapias tienen un beneficio limitado.

Conclusiones: El FIRES tiene una baja incidencia, con una mortalidad del 30% y secuelas neurológicas graves. Si bien su mayor prevalencia es en edad pediátrica, es un diagnóstico por considerar cuando el status es refractario al tratamiento.

 

 

0082   PRUEBA DE EJERCICIO CARDIO-PULMONAR Y SPECT PULMONAR V/Q POSITIVO EN PACIENTES POST-COVID

LG Duran(1), L Melatini(2), Bahía Blanca (ineus), T Papucci(2), Bahía Blanca (ineus), JM Via Alvarado(2),   Bahía Blanca (ineus), M Colucci(2), Bahía Blanca (ineus)

(1) Hospital Municipal De Agudos Dr. Leónidas Lucero - Departamento De Ciencias De La Salud (uns). (2) Instituto Neumonológico Del Sur. (3)  Bahía Blanca (ineus).

 

Introducción: La práctica médica durante la pandemia COVID-19 se ha visto fuertemente demanda por sintomatología asociada a dicha enfermedad. En muchos de los casos estos síntomas no se correlacionaron con anormalidades evidentes en estudios diagnósticos habituales. Es ampliamente conocida la predilección del daño pulmonar asociado a esta infección viral, reconociéndose la lesión vascular pulmonar (que incluye fenómenos como lesión endotelial, desregulación del tono vascular pulmonar y microtrombosis in situ) como una entidad a considerar. El objetivo del presente estudio es describir las características de la prueba de ejercicio cardiopulmonar y el spect pulmonar v/q patológico en pacientes post COVID.

Población y métodos: Análisis retrospectivo de una cohorte de pacientes post COVID con centellograma positivo estudiados en el Instituto Neumonológico del Sur de Bahía Blanca. Criterios de inclusión: Pacientes mayores a 18 años, COVID documentado por PCR/antígeno, con disnea en cualquier clase funcional, que se realizó PECP y SPect V/Q pulmonar positivo para MisMach (Alteración de perfusión con ventilación conservada).

Resultados:  Se incluyeron 32 pacientes postCOVID con centellograma positivo. De esos 32 pacientes, el 87.5% (28/32) fueron del sexo femenino. La media de edad fue de 42.66 años (DS:12.48). El peso promedio es 68.78kg (DS 12.48). Analizando se encontró que la media de VE.VCO2 Slope es de 33.09 (IC 32.42 - 33.76). Al comparar las medias de esta variable según el sexo se obtiene un valor p de 0.848.

Discusión: La causa de este MisMach-V/Q está en debate. Basados en la bibliografía podría corresponder a un trastorno en vasos pulmonares de pequeño diámetro con daño endotelial y microtrombosis como efecto directo de la infección por COVID. Estos pacientes tuvieron una disminución de la capacidad funcional demostrada por VO2 pico menor al valor predicho normal. Se evidencio escasa disminución del espacio muerto estimado en VO2 max. Se evidencio ineficiencia ventilatoria por Ve/VeCO2 elevados

Conclusión: La prueba de ejercicio cardiopulmonar podría ser un estudio predictor y no invasivo de alteraciones en la circulación pulmonar. La limitación del estudio radica en que no se realizó estudios de centellografía pulmonar a pacientes postCOVID asintomáticos y /o con PECP dentro de parámetros normales.

 

 

0083   Trasplante de pulmón, ¿problema en la oferta o en la demanda? Descripción de pacientes donantes reales en un Hospital Público de la República Argentina

DA Rodriguez(1), P Centeno(1), M Petre(1), F Puzzo(1), M Anchorena(1), J Aldana Diaz(1), D Ortega Rodriguez(1), L Sanabria(1), X Benavente(1)

(1) Hospital De Alta Complejidad Del Bicentenario De Esteban Echeverría.

 

Introducción: Los pulmones son los órganos que mayor dificultad presentan para ser trasplantados. Los criterios de selección son estrictos ya que su posterior implantación es dificultosa.1-3 En Argentina, durante 2021 se realizaron 23 trasplantes bipulmonares y 12 trasplantes unipulmonares. Al 16 de febrero de 2022 se encuentran 286 sujetos en lista de espera de trasplante de pulmón en nuestro país, lo que refleja una acentuada diferencia entre receptores y donantes.4 El objetivo del presente estudio es describir las características clínico-demográficas de los pacientes donantes reales y evaluar la relación entre los potenciales donantes de pulmón respecto a los donantes reales efectivos de pulmón en un Hospital público de la República Argentina.

Material y método: Estudio de diseño descriptivo. Los datos se obtuvieron de la historia clínica electrónica. Se incluyeron pacientes donantes reales de nuestra institución entre el 1ro de enero y el 31 de diciembre de 2021. Se realizó un análisis de todas las variables demográficas necesarias para poder clasificarlos como potenciales donantes de pulmón según los criterios de la Sociedad Española de Trasplante. Se realizó un análisis estadístico de tipo descriptivo.

Resultados: Se incluyeron 42 pacientes donantes reales, de los cuales 29 (69%) fueron efectivos. En la tabla 1 se encuentran las características clínico-demográficas. Aplicando los criterios de elegibilidad se identificaron 15 sujetos potenciales donantes de pulmón, de los cuales 9 cumplían criterios ideales y 6 criterios como donantes marginales. La tabla 2 compara aquellos pacientes que cumplen criterios como potenciales donantes de pulmón respecto a los que no los cumplen. De los pacientes identificados como potenciales donantes y presentados como candidatos a ablación de pulmones solamente 2 (13%) fueron aceptados e implantados.

Conclusión: En el Hospital del Bicentenario de Esteban Echeverría durante el año 2021 fueron aceptados e implantados el 13% de todos los pulmones que cumplían criterios de ablación, un porcentaje extremadamente bajo teniendo en consideración la dificultad que presentan los pulmones para ser aptos de ablación. Esto nos lleva a cuestionar cuál es el motivo por el cual se rechazan los pulmones ofrecidos y que medidas deben adoptarse para aumentar la cantidad de órganos ablacionados.

 

 

 

 

0084   Procuración de pulmón: Inclusión de variables modernas para valorar su calidad. Estudio Descriptivo en un Hospital Público de la República Argentina

DA Rodriguez(1), P Centeno(1), F Puzzo(1), L Sanabria(1), B Murguía(1), M Petre(1), M Domanico(1), E Duarte(1), M Anchorena(1)

(1) Hospital De Alta Complejidad Del Bicentenario De Esteban Echeverría.

 

Introducción: Con el pasar del tiempo se han ido modificando los criterios de selección de pulmones aptos para procuración e incluso se han determinado criterios marginales con el fin de aumentar la cantidad de potenciales donantes de pulmón. Esta flexibilización en los criterios de selección no ha mostrado diferencias significativas en la mortalidad a largo plazo de los pacientes en los que se implantaron dichos órganos.1-3 A pesar de las modificaciones, el índice PaO2/FiO2 continúa siendo la única herramienta de valoración del estado del pulmón junto a la radiografía de tórax. El objetivo de este estudio es describir variables modernas que permitan identificar el estado del pulmón en un grupo de pacientes potenciales donantes de pulmón en un Hospital Público de la República Argentina.

Materiales y Métodos: Estudio de diseño descriptivo. Los datos se obtuvieron de la historia clínica electrónica. Se incluyeron pacientes con diagnóstico de muerte encefálica que hayan cumplido criterios de potenciales donantes de pulmón según los criterios de la Sociedad Española de Trasplante; y que hayan sido internados en nuestra institución entre el 1ro de enero y el 31 de diciembre de 2021. Se realizó el análisis de las siguientes variables: Índice PaO2/FiO2, Complacencia del Sistema Respiratorio, Ratio Ventilatorio e Índice a/A.

Resultados: Se incluyeron 15 pacientes de los cuales 9 (60%) cumplían criterios ideales y 6 (40%) criterios marginales como donantes de pulmón. En la tabla 1 se observan las características clínico demográficas. De los 6 que cumplían criterios marginales, cuatro fueron por tiempo mayor a 72 hs de de VM, uno por PaO2/FiO2 < 300 y otro por ser tabaquista < a 20 p/year. En la Tabla 2 se describen las variables de resultado y el setting ventilatorio de los pacientes incluidos.

Conclusiones: Se describieron los resultados y se observó que a pesar de tener una buena relación PaO2/FiO2 existe una gran variabilidad en las demás variables. Lo que lleva a plantear los siguientes interrogantes: ¿La variable PaO2/FiO2 en forma independiente puede definir la calidad de un pulmón?; ¿Habría que incorporar nuevas variables a la hora de elegir un potencial donante de pulmón?

 

 

 

 

0085   Decúbito prono: una medida de protección pulmonar en potencial donante de pulmón. Reporte de caso

DA Rodriguez(1), P Centeno(1), M Petre(1), R Canelon(1), L Boffino(1), L Sanabria(1), E Montiel(1), M Anchorena(1)

(1) Hospital De Alta Complejidad Del Bicentenario De Esteban Echeverría.

 

Introducción: La parada circulatoria cerebral inicia una cascada proinflamatoria que deteriora la función de los órganos. A nivel respiratorio el aumento de la presión intravascular daña las células alveolares y aumenta la permeabilidad vascular. La ventilación mecánica (VM) genera stress y aumenta la circulación de mediadores inflamatorios. La inactividad muscular y el supino predisponen a atelectasias, alteración de la mecánica ventilatoria y del intercambio gaseoso. La inflamación, la caída de la oxigenación y las alteraciones hemodinámicas afectarán al resto de los órganos, disminuyendo su calidad o incluso haciéndolos inviables para el trasplante. La ventilación del donante busca preservar el pulmón y disminuir el daño generado por la VM. Existe evidencia que demuestra los beneficios del decúbito prono en pacientes con Síndrome de Distrés Respiratorio Agudo: Mejoría del intercambio gaseoso, aumento de la capacidad residual funcional, optimización de la perfusión, disminución del stress pulmonar y de la compresión del mediastino. Considerando la dificultad para obtener pulmones para trasplante, el uso del decúbito prono en potenciales donantes revertiría los efectos deletéreos descriptos aumentando la disponibilidad de pulmones aptos para donación. El objetivo de este trabajo es reportar el caso de un paciente al que se le aplicó decúbito prono desde el diagnóstico de la ME.

Material y Método: Estudio de tipo reporte de caso.

Presentación del caso: Masculino, 25 años, sin antecedentes relevantes, cursando otitis crónica (45 días). Admitido por convulsiones tónico-clónicas, sin recuperación posterior. Glasgow score 3/15. Se identificó absceso cerebral contigüo a oído interno y edema generalizado. Se diagnosticó cese irreversible de las funciones encefálicas dentro de las 24 horas de internación. Recibió desde el ingreso tratamiento antibiótico. Al día 1 de VM presentaba PaO2/FiO2 287 y Csr 46ml/cmH2O. Se instauró el decúbito prono. Al día 2 de VM presentaba PaO2/FiO2 509 y Csr 63,7 ml/cmH2O (Figura 1). No requirió vasopresores ni presentó disfunciones orgánicas. Cumplidas 48 horas de tratamiento antibiótico se distribuyeron los pulmones.

Conclusión: El decúbito prono mejoró la mecánica del sistema respiratorio como el intercambio gaseoso. El paciente pasó de cumplir criterios marginales a criterios ideales para donar pulmones y fue aceptado para distribución de sus órganos.

 

 

 

0087   MENINGITIS POR FEOHIFOMICOSIS EN PACIENTE CON TRASPLANTE DE ORGANO SOLIDO

A Gira(1), F Monsalve(1), D Czerwonko(1), P Falvo(1), D Monardo(1), P Pratesi(1)

(1) Universitario Austral.

 

Introducción: La Feohifomicosis, enfermedad emergente, su factor de virulencia esta dada por melanina en la pared celular, en Trasplante de Órganos sólidos (TOS) la incidencia es de 0,7%, aumenta con el uso de tacrolimus al 2,6% y la mortalidad es del 27-65%.

La forma de presentación cutánea es del 50%.

La presentación neurológica: absceso, meningitis, encefalitis, mielitis, posee una mortalidad del 64%, se asocian Cladosporium, curvularia, verruconis, exophiala, fonsecaea.

Presentación del caso: Mujer de 54 años, trasplantada renal donante cadavérico en 2018 (GNRP ANCA P+), inmunosuprimida con micofenolato, tacrolimus, meprednisona.

Ingresa por guardia con fiebre, diarrea y convulsiones, se realiza Tc cerebro sin lesión y Tc tórax con neumonía, LCR (incoloro, Leucocitos 63, proteínas 183, hipoglucorraquia) y cultivo negativo inicia Vancomicina, Cefepime, Ampicilina y Ganciclovir), requiere ARM, se realiza BAL. EEG de ingreso sin descargas y a las 72 has Status convulsivo.

A los 10 días del BAL se aísla Cladosporium spp inicia Voriconazol y a las 48hs se constata EEG sin descargas.

Biopsia de lesiones de piel: inespecífica y cultivo negativo. A los 45 días pasa a clínica medica

Discusión: Los test serológicos de galactomananos no son utiles ya que no son producidos por estos hongos , las pruebas de B y D glucano en sangre y LCR si poseen alta sensibilidad y especificidad. En nuestro caso se realizó diagnostico por el BAL.

Conclusiones: Aunque posee alto neurotropismo no se aisla fácilmente, realizar pruebas de B y D glucano es una buena opción que ayuda al diagnostico.

 

 

0088   Calidad de vida en pacientes post NAC grave por SARCOV2 con progresión radiológica de inflamación intersticial que recibieron metilprednisolona.

MV Saucedo(1), NC Rumbo(1), I Castro(1), SV Santarelli(1), CE Lopez(1), E Barimboin(1), E Zirulnik(2), SS Alvarez(1)

(1) Central De Mendoza. (2) Fundación Escuela Medicina Nuclear.

 

Objetivos: Evaluar calidad de vida (encuesta EUROQOL-5D) en pacientes que presentaron afectación intersticial en el contexto de NAC por COVID 19.

Métodos: Sobre 15 pacientes internados en UTI entre julio 2021 y enero 2022, con diagnóstico de NAC por SARCOV 2 con imágenes sugestivas de enfermedad inflamatoria intersticial, que recibieron 3 dosis de metilprednisolona EV, (entre los 15-30 días de su FIS), se siguieron a los 7 sobrevivientes y se les realizó EUROQOL-5D con el Termómetro EUROQOL del Estado de Salud (instrumento genérico de medición, en el que el propio individuo valora su estado de salud por dimensiones y escala visual), clínica y nueva TC de tórax revisadas por experto radiólogo.

Resultados: 10 pacientes son mayores de 50 años. 11 varones, 14 tenían comorbilidades. Sólo 5 pacientes estaban vacunados, de los cuales 1 sobrevivió.

En cuanto a los patrones radiológicos (entre 6 meses-1 año) de los sobrevivientes: 4 pacientes con patrón fibrótico e inflamatorio, 2 patrón inflamatorio, 1 con grave secuela fibrótica. De los 7 pacientes que sobrevivieron, 4 realizaron rehabilitación por lo menos 2 meses.

En EQ-5D, el máximo nivel de calidad de vida se expresa con un valor absoluto de 1 con un mínimo de 0, equivalente a el peor estado de salud imaginable. Incluye 5 dimensiones: movilidad, cuidado personal, actividades cotidianas, dolor/malestar, ansiedad/depresión. 2 pacientes, tuvieron un valor de 1 con un termómetro que oscilaba entre 90-100 puntos. 3 entre 0.9 a 0.7, con un termómetro entre 50-90; 2 menor a 0.12 con un termómetro de 50.

Conclusiones: Ésta encuesta es una herramienta fácil de aplicar (por vía presencial, telefónica o email), para la evaluación de calidad de vida en los pacientes post UCI con esta condición clínica.

 

 

 

 

0089   Pericarditis Tuberculosa en paciente inmunocompetente. ¿Una patología infrecuente o subdiagnosticada?

S Gasparotti(1), LM Rodriguez(1), FP Bertoletti(1)

(1) Clinica San Jorge.

 

Introducción: La tuberculosis (TB) es una enfermedad infecciosa inflamatoria granulomatosa. En Argentina en 2020 se notificaron 10.896 casos, el 76,9% fueron pulmonares y el 23.1% extra pulmonares.

El 10% de las pericarditis son tuberculosas y representan entre el 1% y el 4% de las formas de TB, con alta mortalidad sin un diagnóstico y tratamiento correcto. La clínica incluye fiebre, disnea, dolor torácico, palpitaciones, pérdida de peso, pulso paradójico, ingurgitación yugular, signo de Kussmaul y frote pericárdico.

El diagnóstico de PT se realiza al identificar el bacilo de Koch en el líquido o tejido pericárdico siendo la biopsia de mayor rédito diagnóstico.

Presentación del caso: Paciente masculino de 25 años, consulta por síncope.

Refiere tos de 4 meses de evolución, sudoración nocturna y pérdida de peso. Se realizó Rx, Tac de tórax ecocardiograma con derrame pericárdico severo y pericardiocentesis con toma de muestra y biopsia.

En nuevo ecocardiocardiograma se constata derrame pericárdico tabicado. Se decide iniciar tratamiento empírico antituberculoso por alta sospecha clínica. Se realiza drenaje pericárdico trans-diafragmatico quirúrgico. Evolución favorable.

Se recibe informe de biopsia y líquido compatible con PT.

Discusión: La pericarditis tuberculosa es de difícil diagnóstico, requiere de pericardiocentesis o biopsia, dado su bajo rédito de los cultivos. El 75% de las PT tiene diagnóstico confirmado y el 25% se considera subdiagnosticado (diagnóstico respaldado por respuesta al tratamiento antifímico empírico).

El tratamiento recomendado es la administración combinada de Rifampicina, Isoniacida, Piracinamida y etambutol.

La adición de corticoesteroides es controversial.

La pericardiectomía solo se reserva en la pericarditis constrictiva o taponamiento cardíaco recurrente.

En nuestro caso se decidió iniciar tratamiento antifímico por alta sospecha clínica, y reproducción del derrame. No se realizó corticoterapia. Se realizó drenaje quirúrgico del pericardio.

Conclusión: La TB es una enfermedad frecuente en Argentina. En el diagnóstico diferencial de pericarditis debe sospecharse la TB por su frecuencia y su alta tasa de mortalidad en ausencia de tratamiento y ante su sospecha clínica debe iniciarse su tratamiento empírico.

 

 

 

0090   Aspergilosis pulmonar asociada a COVID-19: una mirada retrospectiva

NI Zelaya De Leon(1), CJ Beroiza(1), M Cruz(1), LG Duran(1), NA Grassi(1), AV Millán(1), MG Montenegro Fernandez(1), M Petasny(1), P Zorzano Osinalde(1)

(1) Hospital Municipal De Agudos Dr Leonidas Lucero.

 

Introducción: La aspergilosis pulmonar invasiva es una infección fúngica oportunista, desarrollada principalmente en pacientes inmunocomprometidos. Durante la pandemia por SARS-CoV-2, la incidencia de aspergilosis pulmonar se vio aumentada, dando origen a una nueva entidad, denominada “aspergilosis pulmonar asociada a COVID-19”, aunque su diagnóstico está limitado por la falta de criterios estandarizados. Se estima una incidencia global del 10% y una mortalidad mayor al 50%. La presencia de aspergilosis pulmonar invasiva podría tener un impacto negativo en la evolución de los pacientes con COVID-19.

Objetivo: Describir las características clínicas de pacientes con aspergilosis pulmonar asociada a COVID-19 internados en la unidad de terapia intensiva del Hospital Municipal de Agudos de Bahía Blanca.

Métodos: Estudio de cohorte retrospectivo. Se incluyeron pacientes ingresados en unidad de terapia intensiva con diagnóstico de COVID-19, que requirieron ventilación mecánica invasiva durante 2020-2021. Se definió aspergilosis pulmonar asociada a COVID-19 según los criterios del Centro Europeo de Excelencia en Micología Médica. Los datos fueron recolectados de historias clínicas digitalizadas. Se realizó un análisis multivariado para estimar los porcentajes y medias de las variables de interés. Se utilizó la prueba de chi-cuadrado para medir asociación entre mortalidad y recuento de CD4, con aspergilosis pulmonar asociada a COVID-19. Para el análisis de medias se utilizó la prueba U de Mann-Whitney. Se consideró estadísticamente significativo un p valor menor a 0.05. Para el análisis estadístico se utilizó el software SPSS-23.

Resultados: Se incluyeron 131 pacientes. El 11,5% (15/131) de los pacientes tuvieron aspergilosis pulmonar asociada a COVID-19. Para pacientes sin y con aspergilosis pulmonar asociada a COVID-19, la media de APACHE-II fue de 15 y 13 (p=0.036), la media de LIS-Murray fue 2.8 y 2.5 (p=0.036), la media de días de asistencia ventilatoria mecánica fue 19.9 y 27.6 (p=0.008), la media de días en terapia intensiva fue 19.9 y 27.9 (p=0.012) y la media de días de estancia hospitalaria fue 27.4 y 34.4 (p=0.045), respectivamente.

Discusión y conclusión: A pesar de presentar predictores de gravedad más bajos, los pacientes con aspergilosis pulmonar asociada a COVID-19 podrían tener mayor probabilidad de requerir ventilación mecánica prolongada, más días en terapia intensiva y mayor estancia hospitalaria.

 

 

0093   Encefalitis de Bickerstaff: a propósito de un caso

F Delgado(1), C Ottaviani(2)

(1) Santa Isabel De Hungria. (2) Hospital Santa Isabel De Hungria.

 

Introducción: La encefalitis de Bickerstaff es una enfermedad neurológica aguda poco frecuente, perteneciente al espectro patológico del síndrome de Guillain-Barré y del síndrome de Miller-Fisher. Se caracteriza clínicamente por oftalmoplejia, ataxia, alteración de conciencia y arreflexia.

Presentación del caso: Paciente femenina de 82 años con antecedentes de hipertensión arterial, hipotiroidismo y ACV isquémico no secuelar, que consulta por cefalea occipital y mareos, agrega posteriormente ptosis palpebral izquierda, disartria, ataxia, paresia de miembro superior izquierdo y reflejo plantar extensor bilateral. Se realiza TC de cerebro sin signos de sangrado ni isquemia. RMN sin

lesiones agudas. PL con disociación albúmino-citológica significativa. Progresa con disfagia, mal manejo de secreciones, tos inefectiva y trastorno de conciencia.

Requiere soporte ventilatorio. Por sospecha de encefalitis de Bickerstaff se inicia tratamiento con gammaglobulina por 5 días, pendiente GQ1b.

Discusión: La encefalitis de Bickerstaff es una enfermedad con una baja incidencia anual (0.078 cada 100.000 hab con predominio masculino 1.3:1) de causa autoinmune, con anticuerpos anti-GQ1b positivos. Se considera dentro del espectro del síndrome de Guillain- Barré y se lo ha asociado a patógenos como C. jejuni y H. influenzae (y en menor medida a Salmonella typhi y paratyphi, M. pneumoniae,

CMV, EBV, HSV, VZV) por mimetismo de gangliósidos de lipo-oligosacáridos.

Conclusión: Si bien es una enfermedad considerada poco frecuente, se sospecha encefalitis de Bickerstaff en nuestro caso por la presentación clínica característica (ataxia, oftalmoplejia, arreflexia, reflejo plantar extensor bilateral) asociado a disociación albumino-citológica con TC y RMN de cerebro negativas. Cómo controversia, es importante destacar las diferencias con el síndrome de Miller Fisher

y síndrome de Guillain-Barré, si bien estan consideradas dentro del mismo espectro, la patología acá expuesta suele manifestarse clinicamente de forma descendente y con alteración del estado de conciencia de forma temprana, con proteinorraquia elevada por mayor daño a la barrera hematoencefálica.

 

 

0094   A PROPOSITO DE UN CASO INFRECUENTE DE SINDROME SEROTONINERGICO

S Quintana(1), D Barrientos(1), J Cardozo(1), F Arancibia(1), A Rodriguez(1), N Montaño(1), D Romero(1), R Altamirano(1), G Rodriguez(1), W Videtta(1), A Tamayo(1), T Huanca(1), A Barra Montes De Oca(1)

(1) Eva Peron De Merlo.

 

Introducción: El síndrome serotoninérgico se caracteriza por la presencia de disfunción autonómica, deterioro neuromuscular y alteraciones en el estado mental.

Presentación del caso: masculino de 32 años con antecedentes de trastorno obsesivo compulsivo y esquizofrenia, ingresa por guardia por presentar deterioro del estado de conciencia secundario a intoxicación medicamentosa con risperidona 330 mg y fluvoxamina 6 gr de 6 horas de evolución, al examen físico Glasgow 8/15, pupilas moticas hiporeactivas se procede a IOT-ARM, es extubado a las 6 hs y posterior traslado a UTI donde se evidencia a paciente con excitación psicomotriz pupilas mioticas bilaterales, febril, temblores, clonus, hiperreflexia, diaforesis, taquicárdico, mal manejo de secreciones, mala mecánica ventilatoria, desaturación e hipotensión que no responde a cristaloides que requiere de doble esquema vasopresor por lo que se decide IOT-ARM.

Parámetros laboratoriales, cpk 28850, troponinas 717, EAB con acidosis metabólica severa, lactico elevado, disfunción renal que requirió de terapia de remplazo renal.

toxicología del hospital posadas indica tratamiento con benzodiazepinas, analgesicos, y la ciproheptadina, con evolución favorable, se inicia weanning en fecha 19/03, y es extubado 26/03.

Conclusión: El síndrome serotoninérgico secundario a inhibidores de recaptura de serotonina se presenta en algunos casos debido al empleo indiscriminado de estos medicamentos y sus múltiples interacciones medicamentosas. Por este motivo debe de tenerse en mente dentro de los diagnósticos diferenciales en aquellos pacientes que son tratados con estos e ingresan al hospital con disfunción autonómica, sintomatología neuromuscular y deterioro neurológico.

 

 

0096   Análisis de la experiencia de uso de cánula nasal de alto flujo como terapéutica en neumonía por SARSCOV 2

E Picos(1), J Joaquin(2), I Castro(2), R Aranda(2), B Fradin(2), V Fiorentini(2), E Dutto(2), P Desousa(2), P Staffolani(2), G Frankenberger(2), S Alvarez

(1) Hospital Central. (2) Central.

 

Introducción: Durante la pandemia por SARSCOV2, la cánula nasal de alto flujo (CNAF) se usó como soporte en espera de UTI (unidad de terapia intensiva) o como alternativa a la ventilación invasiva. Su uso fue controversial por bioseguridad y temor a intubación tardía. El objetivo de este trabajo es la descripción y análisis del uso de CNAF en nuestra población.

Materiales y métodos: Estudio observacional descriptivo retrospectivo. 154 pacientes utilizaron cnaf entre octubre de 2020 y marzo 2021; se incluyeron 72 (16 a 88 años), SARSCOV2 positivos, atendidos en Guardia y UTI.

Los datos fueron analizados por un profesional externo.

Resultados: *20 mujeres y 52 hombres; comórbidas principales: Hipertensos (32), obesos (24) y diabéticos (21), sin comórbidas (9).

*50% de éxito y 50% de fracaso.

Variables analizadas

*Comparación Irox inicio grupo “éxito” vs grupo “fracaso” p: 0.006 (Test U Mann–Whitney)

*Comparación Irox.12hs grupo “éxito” vs grupo “fracaso” p < 0.001(Test U Mann– Whitney)

*Comparación “Tiempo desde ingreso a inicio de CNAF” grupo “éxito” vs grupo “fracaso” p 0.133

*Comparación “Delta IROX” grupo “éxito” vs grupo “fracaso” p 0.092 (Test U de Mann – Whitney)

Discusión y Conclusión: Predomina sexo masculino, similar a otras series revisadas.

Principales comórbidas: obesidad, Diabetes, hipertensión arterial.

50% de los pacientes no requirió ventilación invasiva.

Las variables “irox de inicio” e “irox a las 12hs” se relacionaron al grupo “éxito” de manera significativa.

Ante la presunción que el inicio precoz se asociaba a mayor éxito se correlacionaron las variables: “tiempo de ingreso a inicio de CNAF “/ éxito o fracaso. La diferencia encontrada no fue estadísticamente significativa.

Ante la presunción de que mejoría del irox se asociaba a éxito se correlacionaron las variables: “delta irox/éxito o fracaso”. La diferencia encontrada no fue estadísticamente significativa.

Nos parece interesante en un futuro validar estos datos en otras patologías a fin de afianzar el manejo de la CNAF.

 

 

0097   REPORTE DE CASO, MUCORMICOSIS GASTROINTESTINAL PEDIÁTRICO

NM Valenzuela(1), MG Lafuente(1), MA Acuña(1)

(1) Hospital De Pediatría Dr Fernando Barreyro.

 

Introducción: La mucormicosis es una micosis oportunista rara, pero fatal, que afecta a pacientes inmunocomprometidos. Se presenta de forma rinocerebral, pulmonar, gastrointestinal y diseminada. Debido a su baja incidencia, difícil diagnóstico y alta mortalidad reportamos el caso de un paciente, sin inmunodeficiencia que desarrolló la patología.

Presentación del caso: Paciente femenino de 6 meses, etnia guaraní, que ingresa en esta oportunidad por tos e hipertermia de 24 horas. Al examen físico constatamos desnutrición y deshidratación severa, sensorio alternante, taquicardia, taquipnea, saturando 88% con oxígeno por mascara simple, abdomen sin tumoraciones. Deposiciones abundantes, con múltiples fisuras en región anal. Por deterioro general ingresa a TIP donde se vincula a ARM, se expande con cristaloides, se toman cultivos y laboratorio básico: Leucocitosis con desviación a la izquierda, acidosis metabólica grave, hipokalemia, hipocalcemia, hipoalbuminemia. ECOGRAFIA ABDOMINAL: asas intestinales dilatadas, edema de pared, liquido libre abdominal. Se recibe filmarray de materia fecal positivo para CampylobacterJejuni y Shigella entero invasiva, evolucionando al shock séptico a foco enteral.

A los pocos días inicia tolerancia oral, presentando distensión abdominal, con abundante debito bilioso por SNG. Se repiten imágenes, donde se evidencian neumoperitoneo, líquido libre particulado, asas distendidas, ingresando a quirófano de urgencia constatándose perforación en íleon a 20 cm de la válvula ileocecal. Se confecciona ileostomía. Continuó crítica con requerimiento de inotrópicos por 13 días, ARM por 20 días y antibioticoterapia dirigida. Al mes, ya en sala general, se obtienen resultados de anatomía patológica concluyendo en Ileítis granulomatosa vinculable a micosis profunda (Mucormicosis). Recibió Anfotericina liposomal durante 21 días. A los 60 días se cierra ileostomía con reconstrucción del tránsito intestinal. Continuando en seguimiento nutricional.

Discusión: La forma gastrointestinal se da en pacientes desnutridos e inmunocomprometidos, sin embargo solo se documento linfopenia en una oportunidad y neutropenia leve durante el periodo de shock séptico. En la bibliografía se describe como un abdomen agudo de inicio insidioso, que en nuestro caso fue agudo y súbito, además de perforación intestinal con peritonitis secundaria.

Conclusión: Debido a la infrecuencia de esta patología, consideramos importante reportarla para contribuir a la literatura actual.

 

 

0098   Sobrevida y estado funcional al año en pacientes ventilados por COVID 19

G Echavarria(1), M Gutierrez(1), E Sobrino(1), G Badariotti(1), P Sabaté(1), A Manchado(1), P Lavorato(1), P Lopez(1), M Durlach(1), I Raguzzi(1), A Luconi(1), G Galego(1), B De Diego(1)

(1) Mater Dei.

 

La pandemia de COVID-19 llevó a insuficiencia respiratoria a millones de personas. Son escasos hasta el momento los datos publicados sobre la mortalidad y calidad de vida luego de un año de los pacientes que han estado en asistencia ventilatoria mecánica (AVM) por COVID-19.

Se realizó un estudio ambispectivo unicéntrico que incluyó a los pacientes internados en la terapia intensiva con AVM invasiva por insuficiencia respiratoria secundaria a SARS-CoV2 entre el 01/03/2020 y el 31/08/2021. Se registró: variables demográficas, score de Charlson, SOFA y APACHE II, soporte ventilatorio previo, tratamientos recibidos, coinfecciones y complicaciones para calcular la mortalidad hospitalaria y las variables asociadas y realizar seguimiento al año de los pacientes dados de alta vía entrevista telefónica a fin de determinar mortalidad, estado funcional mediante índice de Barthel y sensación de disnea con escala de mMRC.

Un total de 110 pacientes fueron incluidos (edad 64 años [29–88]; 71% masculinos). SOFA y APACHE II al ingreso fueron de 3.86 (DS 1.28) y 13.53 (DS 4.88) respectivamente. El 55% recibió soporte no invasivo previamente a la internación, el 36.6 % con cánula nasal de alto flujo. La mortalidad intrahospitalaria fue de 35.45%. En el análisis multivariado los factores predictores de mortalidad fueron: edad [Odds Ratio [OR] per 1-year aumentaba 1.04, 95% CI 1.005–1.09), el desarrollo de insuficiencia renal [OR 2.96, 95%CI 1.48 -2.17] y la ventilación en prono como expresión de gravedad [OR 3.96, 95% CI 1.33-11.76]. Luego del alta hospitalaria, 4 pacientes fallecieron (mortalidad al año de 39%).

El 91% de los sobrevivientes respondió la entrivista a los 12 meses. El 95,08% al año no tenían ninguna incapacidad o esta era ligera al ser evaluados por la escala de Barthel, y la valoración de disnea en este grupo según la escala mMRC era de menor a 2 (en esfuerzos moderados o intensos) en el 80,6%.

La mortalidad intrahospitalaria se halló asociada a la edad, a falla renal aguda, y al requerimiento de ventilación en prono. Al año la sobrevida disminuyó en forma modesta y la mayoría de los pacientes tienen vida independiente y con escasa sintomatología de disnea.

 

 

 

 

0099   UTILIDAD DE LA TOMOGRAFÍA POR IMPEDANCIA ELÉCTRICA EN LA VALORACIÓN DE LA DISTRIBUCIÓN DE LA VENTILACIÓN EN EL TRASPLANTE UNIPULMONAR

I Fernández Ceballos(1), E Steniberg(1), JM Nuñez Silveira(1), J Ems(1), M Madormo(1), I Carboni Bisso(1), MJ Las Heras(1), JF Sinner(1)

(1) Hospital Italiano De Buenos Aires.

 

Introducción: El Trasplante bipulmonar es el tratamiento de elección en pacientes EPOC en etapa terminal. Ante escasez de órganos, se recurre al trasplante unipulmonar (TUP). El soporte ventilatorio es un desafío, dado que el sistema respiratorio contiene pulmones con diferente elastancia. La tomografía por impedancia eléctrica (TIE) valora la distribución global y regional del aire pulmonar. Se presentan 2 situaciones clínicas.

Caso clínico: Paciente EPOC, que cursa posoperatorio de TUP. A las 24 hs intercurre con disfunción del graft.

Postoperatorio inmediato: Monitoreo ventilatorio convencional VT 6 ml/kg, PEEPt 11, Pplat 18, Driving pressure (DP) 7. La TIE evidenció distribución heterogénea de la impedancia tidal (Tz), correspondiendo el 87,3% al pulmón nativo (PN). La complacencia regional fué: PN 44,9 vs PT 6,5 ml/CmH20. El incremento del VT y PEEP, aumentaron el índice de inhomogeneidad (Iindex) (0.57 y 0.58 respectivamente). En decúbito lateral, con el PN más declive,, el Iindex mejoró (0.4), el VT del pulmón trasplantado (PT) aumentó un 204 % (+ 92 ml) y aumentó 243% la complacencia regional del PT (22.3 vs 6,5%).

Destete: Se aplicó alto flujo por vía nasal (AFCN) y traqueal (AFT), evidenciando en el PN un aumento de la impedancia de fin de espiración (EELI) regional (+15,1% y +23.3%), disminución del Tz (-7,6% y -17,8%), y un aumento de espacios silentes ( +48.3% y +25,5%), reflejando hiperinsuflación dinámica y atrapamiento aéreo regional. El PT presentó disminución del Tz (-18,9%), aumento de los espacios silentes (+ 53.6%), sin cambios en la EELI, traduciendo hipoventilación.

Discusión: La distribución del volumen pulmonar fue heterogénea y el monitoreo ventilatorio convencional no reflejó los cambios regionales. Las estrategias ventilatorias protectoras convencionales promovieron el atrapamiento aéreo en el PN sin beneficios en el PT. La aplicación AFCN y AFT promueve la hiperinsuflación dinámica provocando atrapamiento aéreo en el PN e hipoventilación del PT.

Conclusión: En el TUP, la TIE brinda información de la distribución regional del volumen pulmonar, pudiendo evaluar en cada pulmón por separado el impacto de la estrategia ventilatoria y la oxigenoterapia.

 

 

0100   Miopatía Diafragmática como causa de disnea progresiva en un paciente post COVID-19: Reporte de Caso

K Velazquez(1), L Huespe(1), L Ojeda Flores(1), L Solis(1), M Gonzalez(1), LB Costa(1), C Pisarella(1), M Perez Scetti(1), C Mizdraji(1), S Lazzerri(1), JE Alfonso(1), H Alvarez(1), M Bovetti(1), L Rodriguez(1), CJ Segovia(1)

(1) Hospital Escuela Gral. San Martin.

 

Introducción: La miopatía diafragmática es una de las complicaciones frecuentes en paciente con infección severa por COVID-19.

Presentación de caso: Paciente de 42 años. Antecedente de internación por COVID-19. Evoluciona el 08/01/2021 con disnea CF II, mialgias y dolor abdominal. Se realiza TC de tórax que evidencia infiltrado alveolar bilateral, derrame pleural y pericárdico leve. El 20/01/2021 por presentar disnea CF III es internado en sala general. Por progresar a disnea CF IV se interna en Terapia Intensiva. Gasometría pH: 7.10; PCO2: 115mmHg, PO2 138 mmHg. Se asume como Insuficiencia respiratoria aguda hipercápnica. Se decide su intubación. Tras 48 hs de ventilación mecánica se inicia el destete de la ventilación mecánica. Evoluciona con destete dificultoso por lo que se realiza traqueostomía precoz. Se realiza ecografía que informa excursión diafragmática de 0.9 mm del lado izquierdo y 0.5mm del lado derecho. Se coloca balón esofágico con las siguientes mediciones P 0.1: 4, pEs de 8, Vt 6.3 lts/min, F.R de 14. Se asume como miopatía diafragmática. Tras 6 meses de internación en UTI, se decide su alta. Despúes de 7 meses de soporte ventilatorio, el 20/12/2021 se desvincula de la ventilación mecánica y el 20/01/2022 se efectua su decanulación exitosa.

Discusión: Los pacientes con ventilación mecánica desarrollan con frecuencia debilidad diafragmática. Estudios científicos han demostrado que los pacientes con COVID-19 presentan distintos cambios miopáticos en el diafragma.

Conclusión: Nuestro caso tiene la importancia de destacar a la miopatía diafragmática como causa de disnea progresiva en paciente post COVID-19.

 

 

0101   Impacto del SARS-CoV-2 en la prevalencia de carbapenemasas de bacilos gram negativos aislados de hemocultivos de una unidad de cuidados intensivos

ML Cazzola(1), MS Ocampo(1), MV Benito(1), MB Mijalski(1), A Cremona(1)

(1) Hospital Italiano De La Plata.

 

Introducción: La pandemia (P) de SARS-CoV2 ha agravado la resistencia bacteriana y la producción de carbapenemasas a nivel mundial. El Instituto INEI Malbran emitió un alerta epidemiológico a cerca de la emergencia de enterobacterias dobles productores de carbapenemasas (EDPC).

Objetivo: Evaluar la presencia de EDPC y la prevalencia de C detectadas en bacilos gram negativos (BGN) de hemocultivos (H) tomados en la unidad de cuidados intensivos (UCI) del 1 de enero (E) de 2018 al 30 de junio (J) de 2022.

Materiales y métodos: Estudio retrospectivo observacional descriptivo donde se estudiaron las C de 798 BGN provenientes de los H tomados entre el 1 de E de 2018 y el 30 de J de 2022 en la UCI del hospital. La clasificación del tipo de C se realizó mediante pruebas de inhibición (sinergia) con monodiscos de ácido borónico y EDTA, colocación estratégica de discos combinados de meropenem DCMBrit y método inmunocromatográfico RESIST- 3 O.O.K. K-SeT Britania.

Resultados: Distribución de C en BGN de H de UCI.

 

 

Conclusión: El % de BGN aislados de H de UCI que presentaron algún tipo de C aumentó de 0% en Jl_D2018 a 39% en E_J2021. En el período post-pandemia el % de C se mantuvo en 31-34%. En el período previo a la P por SARS-CoV2 la C más aislada fue Oxa 163. Durante la P el aumento de C se dió a expensas del aumento de KPC y MBL, situación que se mantuvo pasada la segunda ola, sumado al aislamiento de EDPC.

 

 

0102   Timing de traqueostomía en una terapia polivalente de la Clínica del Valle de Comodoro Rivadavia

MA Sabbatini(1)

(1) Clinica Del Valle.

 

Introducción: La traqueostomía es frecuentemente utilizada en las terapias intensivas, fundamentalmente debido a la prolongación de la ventilación mecánica.

El momento preciso de realización y la indicación, son motivos de controversia, llevando a una decisión individualizada.

Objetivos: Determinar el timing de traqueostomía en nuestra terapia, timing respecto pacientes covid o no covid.

Analizar si hubo significación estadística respecto al tipo de patología que requirió temprana o tardía.

Materiales y métodos: Diseño: Estudios de Corte Transversal

Se revisaron las historias clínicas electrónicas de 100 pacientes traqueostomizados, en forma percutánea o quirúrgica, en el periodo enero 2020 a julio 2022 en la unidad de terapia intensiva de Clinica del Valle. Variables: APACHE, sexo, edad, antecedentes personales, peso, dias de Ventilación mecánica hasta la realización de traqueostomía, motivo de ingreso a ARM.

Se definió traqueostomía precoz la realizada en las primeras 48hs, temprana desde las 48 hs hasta el día 10 y tardía después de los 10 días de ventilación mecánica.

Las percutáneas fueron realizadas por un médico intensivista con 1 residente, y las quirúrgicas, por un cirujano.

Análisis estadístico: descriptivo de las variables cualitativas, frecuencias y porcentajes; las variables cuantitativas en medias. Se realizó asociación de variables para corroboración de hipótesis nula.

Resultados: La media de edad fue 63, mayor frecuencia en hombres 63% vs 37%. APACHE promedio 22. Los antecedentes fueron HTA, DBT y Obesidad. Las causas de ingreso a ARM fueron: Respiratorias 65 (Covid 28, No covid 37), Neurológicas 27, Shock 8.

Del total de traqueostomías 3 definieron como precoces, 21 tempranas y 76 tardías. (Gráfico 1)

En pacientes covid, 27 (96%) fueron tardías, y no covid, 28 (75%). Respecto a variables relacionadas “Timing de traqueostomía” y “patología”: en las enfermedades neurológicas predominan las traqueostomías precoces y tempranas y en las respiratorias, las Tardías. Resultados en las Pruebas de corroboración de la Hipótesis Nula: 4.2<OR<1.48, CHI7.88, p=0,004995 (IC: 95%) , p=0,004995 (IC: 95%) (Gráfico 2)

Conclusión: Los resultados del análisis en comparación con otros estudios entre traqueostomía temprana y tardía son heterogéneos. Actualmente solo se puede afirmar que el momento más adecuado debe individualizarse y observar las tendencias a futuro.

 

 

 

 

0103   Sindrome Antifosfolipidico Catastrofico, a proposito de un caso

M Cordoba(1), A Cucci(1), F Morales(1), M Gardeazabal(1), I Parodi(1), C Logiodice(1), J Vilca Becerra(1), F Fernandez(1), ML Gutiérrez(1), A Paglia(1), L Tumino(1), F Iglesias(1), C Loudet(1), A Testi(1)

(1) San Martin De La Plata.

 

Introducción: El síndrome antifosfolipídico catastrófico es una entidad de muy baja incidencia; 600 casos descriptos al día de la fecha. El SAF catastrófico es una variante potencialmente mortal que se caracteriza por múltiples trombosis en corto periodo de tiempo.

Presentación del caso: Paciente de 38 años cursando en el 15° día de puerperio de su tercera gesta; presenta evento isquémico cerebral con paresia facio braquio crural derecha, afasia de expresión además ascitis. En la tomografía computada TC se evidencia infartos pulmonares bilaterales, trombosis isquémica hepática, trombosis esplénica, isquemia renal izquierda, isquemia de hemisferio cerebral izquierdo. En el ecodoppler se evidencia: trombosis portal, esplénica, mesentérica y suprahepática además por TVP infra patelar y trombosis arterial en MMI.

Se solicitan anticuerpos reumatológicos y antifosfolipídicos; por alta sospecha de SAF se indicaron tres pulsos de metilprednisolona, inmunoglobulina IV 400 mg/kg por 5 días, Enoxaparina 60 mg cada 12 hrs.

Evoluciona con deterioro neurológico Glasgow 11/15 (M6 O4 V1) y áreas hipodensas múltiples en la TC de encéfalo, sugestivas de infarto subagudo, los ANA y AAF fueron negativos en dos determinaciones durante el episodio agudo (Inhibidor lúpico, anticardiolipinas IgG e IgM y anti- β2 GP1 IgG e IgM). Se solicita derivación a nuestro nosocomio por requerimiento de plasmaféresis.

24 horas posteriores a su ingreso evoluciona con deterioro del sensorio GCS 7/15 con requerimiento de ARM, en la TC donde se evidencia áreas de isquemia en territorio de arteria cerebral media con compresión de ventrículos laterales, desviación de línea media > a 5mm por lo que se decide craniectomía descompresiva.

Al 8° día de internación evoluciona con altos requerimientos de vasopresores, pupilas midriáticas arreactivas, shock refractario a tratamiento, falla multiorgánica y muerte

Discusión: La negatividad a los anticuerpos clásicos no excluye a otros anticuerpos; por lo tanto, el diagnostico de SAF seronegativo es de exclusión, siendo esencial la sospecha para iniciar un plan terapéutico temprano y así reducir recurrencias trombóticas y mortalidad.

Conclusión: La sospecha diagnóstica de SAF catastrófico seronegativo frente a otros tipos de microangiopatías presenta un reto; y más aún por la evolución rápida y potencialmente mortal.

 

 

0104   Complejidad de Presión Intracraneana como subrogante de Complacencia Cerebral

N Ciarrocchi(1), C Videla(1), S Hem(1), MDC Garcia(1), F Goldenberg(2), A Mansour(2), C Lazaridis(2), F Pose(1), F Redelico(1)

(1) Hospital Italiano De Buenos Aires. (2) Universidad De Chicago.

 

Introducción: El monitoreo de la presión intracraneana (PIC) es el principal neuromonitoreo utilizado actualmente, sin embargo su uso no ha mostrado diferencias significativas en pacientes con trauma de cráneo y su valores umbrales para el tratamiento siguen siendo tema de debate. El análisis de complejidad estadística de la onda de PIC, ha mostrado que los eventos de hipertensión intracraneana (HI) están relacionados con pérdida de complejidad estadística. Se propone estudiar los cambios en la complejidad estadística de la onda PIC y su correlación con la complacencia cerebral (CC) en un modelo experimental de HI.

Métodos: Se desarrolló un modelo porcino de HI reversible mediante la inserción de una sonda Foley intraparenquimatoso que fue insuflada con solución salina mediante una bomba de infusión continua. Se realizo monitoreo de diferentes variables fisiológicas incluyendo la presión intracreberal (PIC), la presión tisular de oxigeno y el Electoencefalograma Se descargaron los datos para su análisis posterior.

La complejidad estadística se determinó mediante la Entropia Wavelet (WE). La CC se definió como el cambio del volumen intracraneal dividido por el cambio en la PIC. Se contabilizaron los tiempos entre el inflado del balón y cambio de la WE (Delta Balón) y el ascenso de la PIC a 20 mmHg (Delta PIC).

Resultados: Se analizaron un total de 15 eventos de HI, derivados de 4 experimentos. En la tabla 1 se pueden observar la correlación entre la WE y la CC, asi como también el tiempo Delta Balón (DB) y Delta PIC (DP) de cada evento. Se observó una correlación promedio de 0,84 entre la WE y la CC, con una correlación máxima de 0,93 y una mínima de 0,63. Por otra parte se observó que los cambios de la WE precedían los cambios en la PIC. EL DB promedio fue de 46,03 segundos, con un DP promedio de 200,67 segundos.

Conclusión: La WE presenta una muy buena correlación con la CC y sus cambios preceden a los cambios significativos de la PIC, por lo que de confirmarse estos datos, la WE tiene un gran potencial en el neuromonitoreo como subrogante de la complacencia cerebral y como predictor de eventos de HI.

 

 

 

 

0105   MOTIVO DE INGRESO Y PROBABILIDAD DE MUERTE EN PACIENTES INGRESADOS EN LA UNIDAD DE TERAPIA INTENSIVA DEL HOSPITAL DR. RAMON MADARIAGA

MM Kaechele(1), M Arguello(1), R Villalba(1), M Pohlemann(1), D Acosta(1), A Alarcon(1), R Ostrowski(1), A Carrera(1), S Ribak(1), C Farquharson(1), N Barreto(1)

(1) Madariaga.

 

Introducción: En las últimas décadas, se ha producido un incremento de la demanda de camas en las UTI; debido a la creciente poblacional asociado a la mayor expectativa de vida. Por esta razón nos planteamos analizar, las características de los pacientes que ingresan a la UTI del Hospital Madariaga, en cuanto a motivo de ingreso y pronóstico. Utilizando el score de APACHE II (Acute Physilogy And Chronic Health Evaluation) para determinar la probabilidad de muerte de los pacientes ingresados. Analizar los motivos de ingreso de los pacientes internados en la UTI del Hospital Madariaga y determinar la probabilidad de muerte de acuerdo al APACHE II.

Materiales y Métodos: El diseño es retrospectivo en base a datos estadísticos. Se incluyeron todos los pacientes adultos mayores de 18 años, ingresados a la UTI, durante el 2021. Se utilizó el APACHE II que estima la severidad de la enfermedad aguda y la probabilidad de muerte de los pacientes admitidos a la UTI. Para el cálculo se utilizó la página http://www.somiama.org/APACHE2SOMIAMA/.

Resultados: Se ingresaron un total de 437 pacientes, 274 eran de sexo masculino (62.7%) y 163 de sexo femenino (37,3%). El motivo de ingreso más frecuente fue la Insuficiencia Respiratoria Aguda (42%), Postoperatorios (13%), Síndrome Neurológico Agudo (12%), Shock (9%), otros (17%). El 66% de los pacientes tuvieron una probabilidad de muerte entre 10 y 50%, el 26% tuvo una probabilidad de muerte de más del 50%, y en el 8% la probabilidad de muerte fue menor al 10%. Los pacientes menores de 30 años tuvieron una probabilidad de muerte menor del 50%, con un aumento progresivo de la misma a mayor edad, con predominio en el sexo masculinos

Discusión: Durante el período analizado se observó que el motivo de ingreso más frecuente a la UTI del Hospital Madariaga fue la insuficiencia respiratoria. La probabilidad de muerte, calculada con el APACHE II fue, entre el 10 y el 50% , con un mayor riesgo en el sexo masculinos con un incremento progresivo en función de la edad.

 

 

 

 

0107   TERAPIA DE ALTO FLUJO EN TRAQUEOSTOMÍA COMO ESTRATEGIA EN DESTETE PROLONGADO: REPORTE DE CASO

AE Gomez, JI Fernandez(1), O Reniero(1), ME Dure(1)

(1) Instituto De Cardiologia De Corrientes.

 

Introducción: La asistencia ventilatoria mecánica (AVM) prolongada afronta la búsqueda de nuevas estrategias que permitan acortar su tiempo de uso en pos de disminuir la estancia hospitalaria y la aparición de complicaciones que comprometan aún más el estado funcional del paciente 1. El efecto de la terapia de alto flujo en traqueostomizados ha demostrado mejoría de la oxigenación, sin favorecer trabajo respiratorio 2,3,4.5.

Caso clínico: Paciente femenina, 49 años, IMC de 16.88, desnutrición severa, insuficiencia cardíaca avanzada con reemplazo valvular aórtico, complicaciones cardíacas y respiratorias, AMV prolongada, traqueostomía quirúrgica a los 21 días. Luego de intentos fallidos de destete por taquipnea y disnea, al mes se realizó la primera desconexión sin progresión en tiempo durante las dos semanas siguientes. Se observaba ansiedad y dependencia al soporte ventilatorio. Durante ocho días se utilizó terapia de alto flujo a través del sistema Airvo Fisher & Paikel empleando el conector swivel (figura 1), incrementando el tiempo de uso con reconexiones en ventilación controlada por presión, hasta alcanzar 24 horas diarias (tabla 1). En 72 horas posteriores, se logró la desvinculación exitosa al séptimo día respirando a través de vía aérea natural después de más de dos meses en AMV, con la consiguiente decanulación. Se continuó con entrenamiento muscular y respiratorio.

Discusión: El presente caso destaca la terapia de alto flujo traqueal como estrategia durante el destete prolongado 6. Sólo se realizaron reportes de casos en pacientes con patologías restrictivas y con Covid 7.8. Se conoce el efecto de esta terapia por vía nasal, en comparación a la aplicada a través de una traqueostomía que no es capaz de generar el mismo nivel de presión en la vía aérea pero con un flujo inspiratorio administrado que podría disminuir la presión negativa que se debe generar durante la inspiración 3. Además, permite una humidificación superior al oxígeno convencional, pudiendo proveer un adecuado soporte respiratorio y como una alternativa de mejor tolerancia 5,9.

Conclusión: La administración de terapia de alto flujo a través de traqueostomía fue beneficiosa como estrategia durante el destete de la ventilación mecánica prolongada.

 

 

 

 

0108   TEAM Covid en pandemia por Sars-Cov 2

D Duarte(1), G Benavent(1), A Monson(1), D Espinel(1), Y Escobar(1), E Sanchez(1), M Maidana(1), R Sanabria(1), J Roldan(1), N Raimondi(1)

(1) Cemep.

 

Objetivo: Determinar la epidemiolgia y mortalidad en pacientes con covid en una institución privada no Covid.

Materiales y métodos: Estudio retrospectivo observacional, descriptivo y analitico. Fueron incluidos todos los pacientes admitidos AC según la definicion del Ministerio de Salud de la Provincia ( casos sospechoso, diagnostico clinico, PCR), desde el periodo comprendido entre 27 de Julio 2020 al 27 diciembre 2020, se realizo TAC Torax, gasometria arterial, LDH, Ac lactico. Se registraron las siguientes variables: Edad, sexo, conmorbolidades (C), días de comienzo de sintomas(CS) ,SAPS II, APACHE II, Indice de gravedad covid (IGC) (Relac N/L x dimero D x PCR / 10.000), PAM, Frecuencia cardiaca (FC),Relleno capilar (RC), dosis de noradrenalina (NADR), dobutamina (DB), balance de liquidos 24 hs. (BL), lactato (L),SvcO2, Intubacion orotraqueal ( IOT), Canula de Alto Flujo de O2 ( CAFO), Ventilacion Prono (VP), Delta Presion (DP), PAFI,PEEP,Germenes prevalentes intrahospitalario (GPI), Reemplazo renal, mortalidad. El team de covid valoraba los 10 signos de vitalidad y el IGC luego implementaba el protocolo de actuacion con objetivos en 1 hora. Se realizó análisis estadístico utilizando la media, el desvío estándar y el test Fischer para las variables cuantitativas y el Chi cuadrado para las variables dicotómicas, considerando como significativo una probabilidad de error menor de 5% (*p< 0.05). Se realizo analisis bivariado y multivariado de regresion logistica.

Resultados: Se evaluaron 176 pacientes (p) que ingrearon AC, la edad promedio 53+/- 16 años, la media de SAPS II 54, la media de APACHEII 12, las C mas prevalentes (DBT 37.5%, obesidad 35%),la media de CS 8 días (3-16 días) . Los dias de ventilacion mecanica invasiva fueron 17 dias (5-29), la media de estancia en el STI fue de 22 (6-45), requirieron 17 % de reemplazo renal, la mortalidad global fue del 16.4 (29 p) %.GPI ( Ps panresistente, Kleb BLEE, Acinetobacter sp,Stafilo sp, Clostridium Sp) En el analisis bivariado de supervivencia se encontraron diferencias estadisticamente significativa entre sobrevivientes(S) y no sobrevivientes ( NS) en las variables Edad,CS,PAFI,FC,RC.

Conclusión: Los pacientes con Sars - Cov 2, la mortalidad estuvo relacionado con la edad, dias de evolucion de la enfermedad y relleno capilar deficiente.

 

 

0109   SEPSIS A SERRATIA MARCESCENS EN CIRUGIA PROGRAMADA (presentación de caso clínico)

ME Olobardi(1), N Moscillo(1), L Iwanczyna(1), A Fernandez(1), AM Mazzola(1)

(1) San Felipe.

 

Introducción: La S. marcescens es un bacilo Gram negativo de la Familia Enterobacteriaceae que puede encontrarse en la flora intestinal del hombre y animales, en el ambiente, reservorios pobres en nutrientes como el agua potable, cañerías, llaves; así como también en insumos hospitalarios como jabones, antisépticos, etc. Su adquisición es mayoritariamente nosocomial, especialmente en unidades de cuidados intensivos, siendo secreciones respiratorias, heridas y orina, sitios frecuentes de colonización.. La mortalidad asociada a este agente oscila entre 25 y 30%.

Presentación del caso: paciente de 41 años de edad, se realiza cirugía programada de hemitiroidectomia por nódulo tiroideo bethesda II, complicada con hemorragia realizándose hemostasia intraquirugica. Evoluciona a las 48 horas con disnea, taquicardia , oliguria e ictericia; laboratorio con disfunción orgánica múltiple (con trastorno de la coagulación, renal y hepática). Requiere soporte médico en unidad de cuidados críticos y hemodiálisis. Se aísla en cultivo de herida quirúrgica Serratia Marcenses. Se realiza tratamiento antibiótico efectivo con buena evolución, logra externarse al mes de su ingreso.

Discusión: Infección por S. marcescens . Sepsis Severa de rápida evolución. Brote intranosocomial.

Conclusión: Existen reportes de brotes epidémicos de S. marcescens que señalan como potenciales fuentes de transmisión los equipos de ventilación mecánica, desinfectantes, jabones y manos, otorgándose un rol fundamental en su origen al quiebre de la técnica aséptica, la reducción en la frecuencia en el lavado de manos y el incumplimiento de las normas destinadas al control de infecciones nosocomiales. Se logro detectar un brote intranosocomial por S. marcescens a raíz de un caso clínico de sepsis severa en cirugía programada. Luego de este caso clínico ingresaron pacientes con similar presentación clínica y mismo aislamiento bacteriológico. Es importante realizar una detección temprana para intervenir oportunamente y evitar la propagación de casos.

 

 

0110   ENFERMEDAD NEUROMUSCULAR AGUDA: CRISIS MIASTÉNICA. REPORTE DE DOS CASOS

MS Fachinat(1), V Leiva(1), M Franco(1), D Villani(1), L Leit(1), E Matijacevich(1), M Marino(1), C Lattanzio(1), R Rodriguez(1), M Fuente(1), R Visintin(1), J Lassaga(1), B Jimena(1)

(1) Higa San Jose Pergamino.

 

Introducción: La Miastenia Gravis es una enfermedad neuromuscular autoinmune con una incidencia de 10/1.000.000. Se presenta con debilidad general o localizada de proximal a distal que incrementa con el ejercicio y el día. Puede desencadenarse por infecciones o el uso de fármacos. El diagnóstico se basa en la clínica, y la presencia de los anticuerpos, que son sensibles y específicos. Sin embargo, existe un subgrupo 15% negativo.

Caso 1: Femenina de 23 años. Presenta debilidad progresiva céfalo caudal de 24 hs, agrega disfagia, sialorrea, perdida del sostén cefálico y abolición de los reflejos tendinosos. Evoluciona con insuficiencia ventilatoria y requerimiento de ARM. Se toman muestras para serologías, búsqueda de anticuerpos, cultivos, inicia empírico Ceftriaxona y Aciclovir. TAC y RMN. Inmunoglobulina EV y bromuro de piridostigmina con mejoría clínica.

Caso 2: Femenina de 15 años con ptosis palpebral, estrabismo convergente, disfagia, sialorrea, y fatiga generalizada más hiporreflexia tendinosa de 72 hs, con requerimiento de ARM por insuficiencia respiratoria. Se toman muestras para serologías, y búsqueda de anticuerpos. TAC y RMN. Inicia inmunoglobulina EV y bromuro de piridostigmina, con mejoría clínica.

Discusión: diagnósticos diferenciales con botulismo, síndrome de Guillain-Barré, Lambert-Eaton, ELA, Esclerosis múltiple, y timoma. En ambos casos las RMN, los anticuerpos y los cultivos fueron negativos, sin embargo, evolucionaron favorablemente posterior al inicio del tratamiento con inmunoglobulina EV y de bromuro de piridostigmina, recuperando movilidad y fuerza de forma gradual, permitiendo, la progresión del weaning y pase a sala.

Conclusión: El 20% de pacientes sin diagnóstico, debuta con crisis miasténica. La sospecha clínica, el examen neurológico, y el monitoreo respiratorio son importantes, ya que el ingreso a UTI es por falla respiratoria, la estadía promedio es de tres semanas, y la mortalidad del 5-19%. Las crisis son reversibles con fármacos inhibidores de la acetilcolinesterasa e inmunoterapia.

 

 

 

0111   Electroencefalograma Cuantitativo durante eventos de Hipertensión Intracraneana en Modelo Porcino

N Ciarrocchi(1), C Videla(1), F Pose(1), S Hem(1), MDC Garcia(1), F Goldenberg(2), A Mansour(2), N Issa(2), C Lazaridis(2), F Redelico(1)

(1) Hospital Italiano De Buenos Aires. (2) Universidad De Chicago.

 

Introducción: El Electroencefalograma (EEG) es método no invasivo de monitoreo de la actividad eléctrica cerebral. Se conoce que el EEG presenta cambios dinámicos secundarios flujo sanguíneo (FSC) cerebral. Por lo tanto, es plausible considerar que el EEG presenta cambios característicos de isquemia cerebral secundaria a alteraciones en el FSC en el contexto de hipertensión intracraneal (HI). Se propone estudiar dicha relación en un modelo porcino.

Métodos: Se desarrolló un modelo porcino de hipertensión intracraneana (HI) mediante la inserción de una sonda Foley dentro del parénquima cerebral que fue insuflada con solución salina mediante una bomba de infusión continua. Durante el experimento se realizó monitoreo de diferentes variables fisiológicas incluyendo la presión intracerebral (PIC), la presión tisular de oxigeno (pTo2) y el EEG.

El EEG se descompuso en 5 sub-bandas según su frecuencia, es decir, alfa (8-13 Hz), beta (14-30 Hz), delta (<4 Hz), gamma (>30 Hz) y theta (4-7 Hz). Hz) y todas las estadísticas se estimaron sobre cada una de las sub-bandas filtradas utilizando ventanas rectangulares deslizantes de 3 segundos (900 muestras) y un desplazamiento de 1 segundo (300 muestras) entre un par de ellas.

Resultados: Se analizaron 12 eventos de IH, correspondientes a 3 experimentos de los realizados. En la figura 1, se observan 4 eventos de unos de los experimentos analizados. Se observó una diferencia significativa en la potencial total del EEG durante los eventos de HI (24040.41 ± 5060 vs. 14369.61 ± 5169.04, p 0.0014). En el análisis de sub bandas se observaron cambios estadísticamente significativos en sub-banda delta durante los eventos de HI (16702.80 ± 3031 vs 10023.28 ± 3572.98, p 0,0005) y en la sub-banda theta (4456.59 ± 2185.38 vs 2290.39 ± 1328.78). Se observo durante todo el experimento la potencia relativa del EEG de la banda delta fue la principal con un promedio de 69.21% seguida de la sub-banda Theta con promedio de 19.04%, sin diferencias significativas durante los eventos de IH.

Conclusión: El EEG muestra cambios significativos durante los eventos de IH que pueden ser cuantificados. El EEG es una herramienta con potencial utilidad para el neuromonitoreo de pacientes con riesgo de HI.

 

 

 

0112   Síndrome de aorta media, excepcional causa de emergencia hipertensiva en adultos

S Gasparotti(1), LM Rodriguez(1), FP Bertoletti(1), S Calegaris

(1) Clinica San Jorge.

 

Introducción: El síndrome de aorta media (SAM) se define como un estrechamiento segmentario de la porción toraco-abdominal de dicha arteria y de las ramas que de ella derivan, con predominio de afección renal.

Es una entidad clínica infrecuente (0,5-2% de la población general) y excepcional en la población adulta.

La presentación clínica es la hipertensión arterial de difícil manejo, generalmente renovascular e injuria renal.

Presentación del caso: Paciente femenina de 69 años con antecedentes de HTA. Medicada con losartán 100 mg e hidroclorotiazida 12.5 mg.

Ingresa por emergencia hipertensiva asociada a edema agudo de pulmón e injuria renal aguda. Se destaca diferente valor de tensión arterial entre miembros superiores e inferiores. Requiere tratamiento antihipertensivo escalonado, hemodiálisis y soporte ventilatorio.

Se realizó angiotomografía que evidencia stop en aorta abdominal suprarrenal con ausencia de flujo distal y gran desarrollo de circulación colateral periférica; y arteriografía renal con oclusión total de arteria renal derecha y relleno por colaterales de arteria renal izquierda.

Evoluciona tórpidamente, con HTA refractaria por lo que se realizó nefrectomía izquierda asumiendo riñón hiperreninémico. y posteriormente bypass extra anatómico subclavio-bifemoral con lo que se logra mejoría clínica.

Discusión: El SAM se vincula principalmente con la enfermedad de Takayasu, afecta a mujeres en edad temprana. La HTA ocurre en el 70% de los pacientes, asociada generalmente a estenosis en la arteria renal o arteriosclerosis. Su tratamiento es médico y eventualmente quirúrgico, el bypass extra anatómico puede ser beneficioso en aquellos pacientes que no son candidatos a resolución endovascular.

La causa renovascular hay que sospecharla en HTA refractaria asociada a edema agudo de pulmón, rubicundez e injuria renal aguda. En este caso, la nefrectomía es la última instancia terapéutica.

Conclusión:  En la emergencia hipertensiva refractaria es crucial el diagnóstico etiológico, dentro de estos la patología renovascular. Se debe evaluar mediante estudios complementarios que evidencien el hipoflujo renal como etiología y entre ellos el SAM. El tratamiento habitual de la estenosis renal es endovascular, el cual no fue viable en nuestra paciente dada su malformación congénita.

 

 

 

0113   MANEJO Y RESULTADOS DE MUJERES EMBARAZADAS Y PUÉRPERAS CON CORONAVIRUS DENTRO DE LA UNIDAD DE TERAPIA INTENSIVA OBSTÉTRICA (UTIO) ENERO-DICIEMBRE 2021, DE LA CIUDAD DE POSADAS MISIONES

A Senger(1), R Benitez(1), S Amelia(1), S Altemburger(1)

(1) Materno Neonatal.

 

El objetivo fue describir el manejo y resultados de mujeres embarazadas y puérperas con coronavirus dentro de la unidad de terapia obstétrica.

Material y métodos: Estudio retrospectivo y observacional en el que se incluyeron todas las usuarias con PCR positiva para sars-cov 2 ingresadas a la Unidad de Cuidados Críticos Obstétricos en un Hospital Público Materno Neonatal de la Provincia de Misiones desde el 01/01/2021 al 31/12/2021.

Resultados: Se identificaron 35 usuarias, la media de edad fue de 30 años. El 60% (21) ingresaron embarazadas, con una media de edad gestacional de 26 semanas. El 40% (14) fueron postoperatorios de urgencia, con edad de nacimiento de 33 semanas. El 100% de las mujeres tuvieron un esquema de tratamiento de: corticoides, enoxaparina, ceftriaxona, azitromicina; el 45% recibió ivermectina y el 16% ibuprofenato de sodio. El promedio de la estancia de internación fue: 14 días. El 16% (5) decúbito prono, de las cuales 4 estaban embarazadas. El 51% (18) AVM, con una duración media de 12 días . El 23% (8) CPAP y el 26% (9) utilizaron otros dispositivos. El 11% (4) no sobrevivieron al tratamiento, 2 eran embarazadas pretérminos de 35 semanas de gestación que dieron a luz durante la instancia en la UTIO, 1 embarazada de 22 semanas y 1 aborto de 12 semanas. Las mujeres tenían una puntuación mediana de evaluación secuencial de Falla Orgánica (SOFA) de 5 puntos y una mediana de Evaluación Fisiológica Aguda y Evaluación de Salud Crónica II ( APACHE II) de 17 puntos al ingreso. 2 mujeres se encontraban vacunadas con una dosis. Durante la internación todos los partos ocurrieron prematuros con una media de 33 semanas de edad gestacional.

Conclusión: Como resultado una buena supervivencia materna en la UTIO y un parto pretérmino moderado. Ciertamente se puede intentar la continuación del embarazo durante la ventilación mecánica y la posición prona con un buen monitoreo fetal. Las mujeres que fueron postoperatorias presentaron un mayor deterioro respiratorio en la ventilación mecánica, que las usuarias embarazadas.

 

 

0115   COLAPSO SUBGLÓTICO TRAQUEAL SUPRAOSTOMÍA COMO FALLA EN EL PROCESO DE DECANULACIÓN

G Chiappero(1), A Falduti(1), ME Catini(1)

(1) Fernández.

 

Introducción: El colapso supraostomía (CSO) es una complicación descripta en pediatría en pacientes con traqueostomía de larga duración, que de acuerdo con la magnitud del colapso puede interferir con la decanulación.

Objetivos: Reportar el CSO como hallazgo infrecuente en adultos, describir sus características diferenciales y las estrategias diagnósticas y terapéuticas implementadas.

Material y métodos: Serie de casos retrospectiva de pacientes traqueostomizados, con CSO y falla en el proceso de decanulación.

En nuestra unidad se realiza de forma rutinaria la evaluación endoscópica de la deglución y de la vía aérea antes de la decanulación, con el objeto de valorar la presencia de disfagia y para descartar otras patologías relacionadas con la traqueostomía.

Para describir el CSO adoptamos el sistema de clasificación propuesto por Antón-Pacheco, que lo clasifica de acuerdo con el porcentaje de obstrucción observado: moderado entre 50-75% y severo >75% de obstrucción de la luz traqueal

Resultados: Cinco pacientes mostraron CSO, durante ese mismo período (marzo 2020 - diciembre 2021) fueron evaluados 83 pacientes. Los datos recopilados se muestran en la tabla 1.

Se observó colapso moderado en 2 y severo en 3 pacientes

En cuatro pacientes se implementó ventilación a fuga como estrategia terapéutica, en uno fue necesario colocar un Montgomery y uno requirió cánula de Biesalsky por su condición clínica. La decanulación definitiva se logó en todos los pacientes.

Discusión: El CSO se refiere al colapso anormal de la pared traqueal por encima de la ostomía que conduce a una obstrucción dinámica de las vías respiratorias durante la espiración.

Aunque endoscópicamente se puede observar como una obstrucción de la luz traqueal casi completa, generalmente no es una estenosis fija. El colapso dinámico de las estructuras traqueales se manifiesta como un contacto entre las paredes anterior y posterior (figura). A diferencia de lo reportado en pediatría la obstrucción observada fue a expensas de la pared posterior.

Conclusión: El examen endoscópico es fundamental para el diagnóstico de CSO.

La ventilación a fuga como método de estabilización neumática de la tráquea y rehabilitación de la vía aérea superior, permitió completar el proceso de decanulación en cuatro pacientes.

 

 

 

 

0116   NEUMONÍA AGUDA DE LA COMUNIDAD POR STENOTROPHOMONA MALTOPHILA. REPORTE DE UN CASO CLÍNICO

F Cometto, M Jaime(1), O De Nardis(1), HA Trillard(1), M Binci Vayer(2), S Dipente(2), E Guzman(1), G Martinez(1), M Ciarlantini(2)

(1) Sanatorio Aconcagua. (2) Hospital Militar Regional Córdoba.

 

La Stenotrophomona maltophilia es un bacilo gramnegativo multirresistente, se comporta como patógeno oportunista, particularmente entre los pacientes hospitalizados. Está asociado con una alta morbimortalidad en individuos gravemente inmunocomprometidos y debilitados. Los factores de riesgo incluyen enfermedades respiratorias crónicas, neoplasias hematológicas, neutropenia inducida por quimioterapia, trasplante de órganos, infección por el virus de la inmunodeficiencia humana y pacientes en hemodiálisis.

Paciente de sexo femenino de 69 años con antecedentes de obesidad mórbida, EPOC y tabaquismo consulta por tos con expectoración purulenta y hemoptisis de una semana de evolución acompañado de disnea y fiebre. Progresa con desaturación de 75% a aire ambiente, mala mecánica ventilatoria e hipotensión arterial requiriendo ingreso a Terapia Intensiva, se intuba y conecta a asistencia respiratoria mecánica. Ante sospecha de neumonía grave de la comunidad se cultiva, con muestra de aspirado traqueal para gérmenes comunes y BAAR e inicia tratamiento empírico con ampicilina-sulbactam.

Laboratorio de ingreso (tabla 1). Persiste con fiebre y altos requerimiento de oxígeno, se solicita perfil reumatológico, serología viral y marcadores tumorales con resultado negativos. Se recibe informe de aspirado traqueal con desarrollo de Staphylococcus aureus MS y Stenotrophomona maltophila sensible a trimetoprima sulfametoxazol. Se rota antibioticoterapia según sensibilidad. con buena respuesta. Persiste con miopatía y destete dificultoso, requiriendo traqueostomía quirúrgica al día 15 de ARM. Posteriormente progresa con buena respuesta y mejor tolerancia a pruebas de ventilación espontánea logrando destete el día 29° de internación. El dia 40° es externada, decanulada y con aporte de oxígeno en domicilio.

Es crucial diferenciar entre la colonización no invasiva de muestras no estériles y una infección real que amerita tratamiento. Es preciso tener en cuenta la S. maltophilia en neumonías severas. Los tratamientos de combinación antibiótica en los pacientes inmunocomprometidos no cubren rutinariamente a esta bacteria, por lo que es importante hacer un esfuerzo para identificarla en esa población, así como en los pacientes con fibrosis quística, pulmonares crónicos y en los todavía esporádicos casos de infecciones comunitarias.

 

 

 

0117   REPORTE DE CASO, MIELITIS TRANSVERSA VS TRAUMA MEDULAR

NM Valenzuela(1), MG Lafuente(1), MA Acuña(1)

(1) Hospital De Pediatría Dr Fernando Barreyro.

 

Introducción: La mielitis transversa (MT) es una patología medular inflamatoria caracterizada por disfunción aguda o subaguda motora, sensitiva y autonómica. La incidencia es baja, habiéndose comunicado la mayoría, en pacientes inmunocomprometidos. Presentamos un caso de un paciente inmunocompetente con antecedente solapado de trauma medular.

Presentación del caso: Paciente masculino de 3 años, con diagnostico de mastocitosis, en tratamiento. Actualmente consulta por 24hs de traumatismo al caer de una cama elástica mientras jugaba, presentando inmediatamente alteración en la marcha que pasa desapercibida. Horas posteriores por registro subfebril recibe paracetamol y notan inmovilidad de miembros inferiores, e inestabilidad a la sedestación por lo que consultan y solicitan su derivación. Al examen físico se encuentra con Glasgow máximo, lesiones pigmentadas por patología de base, hemiparesia de miembros inferiores, hiperreflexia patelar, tendencia al equino bilateral, babinski positivo bilateral y edema en ambos pies con godet +, miembros superiores sin afectación sensitiva o motora evidente, resto del examen físico normal. Ante la sospecha de Lesión Medular Traumática (SCIWORA) se difiere realización de Punción Lumbar (PL) y pasa a UCI.

Se indica Corticoide evolucionando en horas con deterioro hemodinámica y del sensorio ingresando a TIP. Se realiza RNM (Figura 1) de columna vertebral presentando amplia lesión desmielinizante tóraco-cervical, sin relación con el antecedente del traumatismo, reasumiéndose como probable MT. Completa 5 días de corticoide EV, con buena respuesta. Se Repite RNM (Figura 2), mejorada con respecto a la previa. Esto permite realizar PL que descarta etiología infecciosa y autoinmune, con serologías virales y cultivos negativos. Evoluciona favorablemente recibiendo kinesioterapia neurorehabilitadora.

Discusión: Según literatura revisada, las causas de MT se limitan a procesos autoinmunes o infecciosos, pero en gran medida no se logra determinar el origen como ocurrió en este paciente. Tampoco pudimos encontrar relación a vacunación previa, ni tampoco alteraciones en LCR que justifique un origen autoinmune. En este caso para el diagnostico las Neuroimágenes fueron importantes, sin embargo no se pudo determinar etiología.

Conclusión: Consideramos importante este caso clínico ya que elementos del interrogatorio pudieron sesgar la sospecha diagnostica, recurriendo ante la duda y evolución a exámenes complementarios que permitieron definir terapias oportunas.

 

 

 

 

0118   COVID-19 Y ENCEFALITIS HERPÉTICA

M Ramirez Colombres, CE Maenza(1), NS Rocchetti, SP Gattino, S Diodati, C Luchitta, M Re, CJ Settecase, DH Bagilet

(1) Hospital “Eva Peron”.

 

Introducción: El virus SARS-CoV-2 perteneciente a la familia Coronaviridae, causante de la COVID-19, puede en función de lo observado hasta el momento y por extrapolación del compromiso neurológico de otros virus de esta familia, generar lesiones a nivel del sistema nervioso. Son múltiples los estudios en relación a esto, aunque, escasos los asociados a encefalitis. A la vez, se desconoce el efecto del SARS-CoV-2 sobre la expresión clínica de otros virus neurotropos, como los pertenecientes a la familia Herpesviridae.

Casos clínicos: Se describen dos casos de varones jóvenes (39 y 18 años), con detección de SARS-CoV-2 mediante RT-PCR en muestra nasofaríngea, con diagnóstico clínico y análisis de LCR (líquido cefalorraquídeo) compatibles con encefalitis, en los que se obtuvo PCR positivas para virus varicela zoster y herpes simple tipo 1 y 2, respectivamente. El primer paciente presentó, fiebre, cefalea, vómitos, tos, conductas inapropiadas y convulsiones, mientras que el segundo fiebre, cefalea, mialgias y exantema. Ambos presentaron linfopenia y elevación de IL-6. En LCR se observó pleocitosis con predominio de monomorfonucleares, asociado a hiperproteinorraquia y glucorraquia normal. La tomografía computarizada de cráneo evidenció edema cerebral difuso leve en el primer caso, sin alteraciones en el segundo. En los dos casos se realizó tratamiento con corticoides, antibióticos y aciclovir. El primero presento mala evolución, mientras que el segundo fue favorable.

Discusión: Si bien se conoce poco en cuanto a la asociación de encefalitis y COVID-19, los casos reportados muestran mayor probabilidad de desarrollo en pacientes gravemente enfermos, de edad avanzada y con comorbilidades y peor pronóstico en ellos. Aún se desconoce su fisiopatogenia, pero se considera que podría deberse a lesión viral directa, inmunomediada o sobreinfección por microorganismos neurotropos, como los virus de la familia Herpesviridae. Como posibles tratamientos se han propuesto el uso de corticoides, plasmaféresis, anticuerpos monoclonales y el tratamiento dirigido a los agentescoinfectantes, sin embargo, se requieren mayores estudios.

Conclusión: Es importante considerar la encefalitis como forma de presentación de la COVID-19 y la posible coinfección con Herpesvirus,a fin de realizar un diagnóstico precoz y tratamiento oportuno que mejore el pronóstico.

 

 

0119   ESOFAGO NEGRO EN PACIENTE CON POLITRAUMA Y SHOCK HIPOVOLEMICO

EJ Gironacci(1), A Bianchi(1), MN Göldy(1), N Ortiz(1), E Gonzalez(2), I Gustavo(1), L Talamonti(1), SI Sanchez(1), E Gonzalo(1)

(1) Hospital Provincial De Rosario. (2) Hospital Provincial De Rosario.

 

Introducción: Es una rara entidad que se diagnostica por endoscopia y se reconoce por el aspecto negro difuso. Su origen es multicausal, el compromiso isquémico es el factor fisiopatológico fundamental. Puede extenderse a lo largo de todo el esófago. Presentamos el caso de un paciente con dicho diagnóstico interpretado en el contexto de hipoperfusión por shock hipovolémico con evolución favorable y reepitelización ad integrum.

Presentación del caso: Masculino de 51 años, obeso, diabético tipo II, hipertenso,dislipémico que ingresa a cuidados criticos en post operatorio inmediato de esplenectomia con abdomen abierto y contenido por hematoma esplénico secundario a politrauma, evoluciona con shock hipovolemico y requerimiento de vasoactivos. Intercurre con esofago negro que se presenta con hematemesis resolviendo ad integrum. También presenta múltiples complicaciones: infecciones intrahospitalarias, evisceración y ARM prolongado que requiere traqueostomía. Evoluciona favorablemente y se da de alta.

Discusión: El hallazgo de necrosis esofágica aguda es muy raro, como también sus diagnósticos diferenciales incluyendo el melanoma maligno, acantosis nigricans, pseudomelanosis, ingesta de cáusticos y melanocitosis del esófago . El tratamiento se basa en la reanimación y corrección de las patologías de base

La frecuencia encontrada en necropsias es entre 0 y 10,3% en contraste con los reportes endoscópicos que oscila entre 0,01% y 0,2%. Por lo cual se estima que esta patología es subdiagnosticada.

La mortalidad reportada oscila entre el 33 y el 50%, la mayoría de las muertes fueron causadas por enfermedad de base y no son atribuibles a la enfermedad en sí. Dentro de las complicaciones, la principal es la estenosis del esófago que puede ocurrir en aproximadamente el 15% de pacientes y la perforación que oscila en un 7%.

Conclusión: Si bien el esófago negro no es diagnosticado frencuentemente, representa una causa potencialmente mortal en los pacientes con shock, de alli la importancia de sospecharlo en pacientes críticos con signos de hipoperfusión.

 

 

 

 

0120   ENFERMEDAD POR ANTICUERPOS ANTIMEMBRANA BASAL GLOMERULAR EN PACIENTE CON COVID-19

M Ramirez Colombres, CE Maenza(1), M Latimori, F Garavelli, F Dipaolo, M Re, SP Gattino, NS Rocchetti, CJ Settecase, DH Bagilet

(1) Hospital “Eva Peron”.

 

Introducción: La enfermedad por anticuerpos antimembrana basal glomerular (anti-MBG) es un trastorno autoinmune poco frecuente, caracterizado por hemorragia alveolar difusa (HAD) y glomerulonefritis rápidamente progresiva (GNRP) en relación a anticuerpos contra la cadena alfa-3 del colágeno de tipo IV. La COVID-19 ha sido señalada como desencadenante de este trastorno.

Caso clínico: Mujer de 27 años con antecedente de epilepsia, sin vacunas para COVID-19, consulta por cuadro de dos semanas de disnea progresiva, vómitos alimentarios y diarrea acuosa. Ingresa a Unidad de Cuidados Intensivos por insuficiencia respiratoria. Al examen físico: FC 120 lpm, FR 38 rpm, TA 180/110 mmHg, Tº38°C, SatO2 88% (mascara reservorio), PVC 12 cmH2O. Somnolienta, sin focalidad neurológica; rales crepitantes mediobasales bilaterales; edema infrapatelar. APACHE 22; SOFA 9. Laboratorio: Hto 18%, Hb 6,1 g/dl (VCM 83fl, HCM 28,2pg, CHCM 34,1 g/dl, ADE 12,9%, ferremia 41µg%, ferritina 178µg/l, saturación de transferrina 16%, TIBC 184µg/dl, haptoglobina 50 mg%), leucocitos 12700/mm3, linfocitos 930/mm3, urea 207mg%, creatinina 16,35mg%, potasio 6,5mEq/l, calcio 4,6 mg/dl, fosforo 8 mg/dl, proteínas 5,8 g/dl, albumina 2,6 g/dl.pH 7,33, pO2 102mmHg, pCO2 22mmHg, HCO3 11,3mEq/L, EB 13,4, Sat 97,9%. Orina: hematíes y hemoglobina tres cruces, cilindros hemáticos, hematíes dismórficos 25%, relación proteinuria/creatininuria 1920 mg/g, FeNa 3,43%. Serologías para VIH, VHB, VHC, VDRL, dengue, leptospirosis y hantavirus negativas; proteinograma por electroforesis, IgM, IgG, IgA, IgE, FAN, FR, C3, C4, ANCA C y P normales. Anticuerpos anti-MBG positivos. ECG: T amplitud aumentada. Radiografía de tórax: infiltrados heterogéneos en cuatro cuadrantes. Ecografía abdominal y transvaginal sin alteraciones. Hemocultivos y urocultivo negativos. Requirió AVM con parámetros de SDRA (PaFiO2102). Realizó ciclofosfamida, pulso de corticoides y plasmaféresis. Presentó mala evolución y falleció a las 24 Hs.

Discusión: Se considera que la COVID-19 podría generar lesión endotelial pulmonar, exposición de epítopes de la membrana basal alveolar y generación de anticuerpos contra los mismos, manifestándose como HAD y GNRP. Presenta un pronóstico desfavorable y alta morbimortalidad.

Conclusión: La COVID-19 y las alteraciones inmunológicas que conlleva, contribuiría a la presentación de estas patologías inmunomediadas menos frecuentes, haciendo indispensable una alta sospecha y tratamiento precoz a fin de mejorar la morbimortalidad.

 

 

0121   LA INSUFICIENCIA CARDÍACA AGUDA COMO MANIFESTACIÓN DE LA TIROTOXICOSIS: A PROPÓSITO DE UN CASO

MG Montenegro Fernandez(1), CJ Beroiza(1), MM Cruz(1), LG Duran(1), NA Grassi(1), AV Millàn(1), M Petasny(1), NI Zelaya De Leon(1), P Zorzano(1)

(1) Municipal Dr. Leónidas Lucero.

 

Introducción: La tormenta tiroidea o tirotoxicosis se considera una emergencia endocrinológica; suele ser la complicación más grave y menos frecuente de una patología relativamente frecuente como es el hipertiroidismo. Tiene afectación a nivel sistémico, con especial hincapié en el sistema cardiovascular, por lo que una de las manifestaciones más prevalentes y a considerar en este trabajo, es la insuficiencia cardiaca aguda.

Desarrollo del caso clínico: Paciente femenina de 40 años con antecedente de tabaquismo e hipertiroidismo diagnosticado hace 10 años, con abandono de medicación (metimazol) y de controles en contexto de pandemia. Refirió haber consultado en reiteradas ocasiones en otro centro asistencial por evento sincopal asociado a palpitaciones, agregando en esta última consulta episodio de tos con expectoración hemoptoica y nauseas. Laboratorio con TSH < 0.01mU/L y T4 7.77 pmol/L.Troponinas 19.3 ng/L. Evolucionó con hipotensión sin respuesta a cristaloides y mayor disnea, por lo que se realizó intubación orotraqueal. Se realizó ecocardiograma que informaba función sistólica con deterioro severo (FEY 30%). Realizó tratamiento con metimazol y solución de Lugol con mejoría de los parámetros de laboratorio. A los diez intercurre con abdomen agudo perforado que evoluciona shock séptico refractario y fallece.

Discusión: Luego de examinar la bibliografía disponible, y contrastarla de forma retrospectiva con la evolución de la paciente, se puede demostrar la relación entre hipertiroidismo y los cambios hemodinámicos.

Conclusión: En el caso presentado, la paciente tuvo como antecedente el diagnóstico de hipertiroidismo, y se consideró que el factor desencadenante fue la suspensión del metimazol; a su vez, la insuficiencia cardíaca aguda que presentó durante los primeros días de internación fue consecuencia del efecto cardiovascular directo de las hormonas tiroideas, como son la tiroxina (T4) y la triyodotironina (T3), esta última teniendo mayor relevancia.

 

 

0123   Errores asociados a la prescripción y/o administración de medicamentos en pacientes pediátricos críticos.

V Bas(1), M Jofre(1)

(1) Hospital Italiano.

 

Introducción: Los pacientes ingresados en unidades de cuidados intensivos pediátricos (UCIP) tienen mayor probabilidad de verse afectados por errores a medicamentos, los cuales pueden ser prevenibles. Estos pueden deberse a diversos factores: mayor carga de trabajo del personal, características de los medicamentos que se utilizan, funciones fisiológicas alteradas, complejidad y gravedad.

Objetivo: Determinar la prevalencia de errores asociados a la prescripción y/o administración de medicamentos en pacientes admitidos en UCIP.

Determinar el tipo de error, el grupo de fármacos que estuvo asociado y la severidad de daño.

Materiales y métodos: Estudio prospectivo observacional. Se incluyeron todos los pacientes internados en UCIP entre junio de 2021 y junio 2022 en un hospital privado.

La recolección de los datos se realizó mediante observación directa, monitoreo informatizado y reporte voluntario. Las variables registradas fueron: edad, sexo, medicamento intervenido, tipo de error, severidad de daño. Se consideraron errores de prescripción, validación, preparación, dispensación y administración.

Resultados: Se admitieron a UCIP 921 pacientes. En un total de 299 pacientes se detectaron 1148 errores, de los cuales 37,12% eran lactantes y menores de 1 año; 34,78% niños de 1 a 11 años y 28,09% de 11 a 18 años. 55,66% eran de sexo masculino.

Los errores más frecuentes fueron: dosis o frecuencia incorrecta (57,14%), indicación inapropiada de la dilución (11,50%), indicación duplicada (5,05%), entre otros.

El 21,61% de errores alcanzó al paciente. Uno solo produjo daño temporal y precisó tratamiento de intervención del equipo médico.

Los daños evidenciados fueron: categoría B con una frecuencia de 802 (69,86%), categoría C (21,52%), categoría D (0,52%) y un único error de la categoría E (ketamina). No se registraron errores de Categoría F, G, H o I.

Los fármacos que con mayor frecuencia fueron Antiinfecciosos (16,46%), sedoanalgesia (8,32%), inmunosupresores y quimioterápicos con 2,40%, entre otros.

Conclusiones: Los datos obtenidos dejan en evidencia que los errores de medicación siguen siendo motivo de gran preocupación, especialmente cuando se trata de la población pediátrica.

El proceso de validación farmacéutica integrado a la prescripción electrónica resulta ser una herramienta eficaz para evitar que el error alcance al paciente.

 

 

 

 

0124   SÍNDROME NEFRÓTICO SECUNDARIO A GLOMERULONEFRITIS MEMBRANOSA EN PACIENTE DIABÉTICA. REPORTE DE UN CASO CLÍNICO

F Cometto, M Jaime(1), HA Trillard(1), M Binci Vayer(2), S Dipente(2), E Guzman(1), S Mattausch(1)

(1) Sanatorio Aconcagua. (2) Hospital Militar Regional Córdoba.

 

El síndrome nefrótico en pacientes diabéticos es debido en la mayor parte de los casos a la nefropatía diabética. Un subgrupo de pacientes (15 a 50%) desarrolla insuficiencia renal progresiva, casi siempre asociada con proteinurias masivas.

Paciente femenina de 62 años con antecedentes de diabetes tipo II insulinorrequiriente, artrosis y reemplazo de cadera derecha ingresa por insuficiencia respiratoria. Al examen disnea clase funcional IV, ortopnea, edemas generalizados, hipertensión arterial (173/90) y desaturación (88%aa). ECG: sinusal, ondas T negativas en V2 y V3. Laboratorio de ingreso (tabla 1). Consultó previamente por síntomas similares, con hallazgo de proteinuria aislada de 8049 mg/dl. Es valorada por nefrología, indicando bloqueo tubular, reposición de albúmina, dosaje de marcadores inmunológicos y biopsia renal. Al 3° día evoluciona con descenso de hemoglobina sin descompensación hemodinámica, se transfunde 1 UGRS. Al 4° día, buena evolución clínica pasa a sala. Tras 72 horas reingresa por disnea secundaria a progresión de derrame pleural derecho, el cual es drenado obteniéndose líquido claro tipo trasudado. Evoluciona febril, hipertensa, se pancultiva e inicia tratamiento con piperacilina-tazobactam y vancomicina.

El día 13° de internación se realiza punción biopsia renal guiada por tomografía, ingresando a Terapia intensiva con depresión del sensorio y mala mecánica ventilatoria, se intuba y conecta a ARM. Evoluciona con oligoanuria, sin respuesta a diuréticos, se inicia terapia de reemplazo renal. En los hemocultivos desarrolla cocos gram positivos, se suspende piperacilina tazobactam. El día 20° de internación es extubada, y por fallo de extubación, reintubada a las 24 horas. A los 15 días de ARM se realiza traqueotomía quirúrgica sin complicaciones. El informe de anatomía patológica reveló glomerulonefritis membranosa (GNM). A los 30 días de internación, evoluciona con inestabilidad hemodinámica, mayor requerimiento de drogas vasoactivas y paro cardiorrespiratorio, sin respuesta a maniobras de reanimación, obita.

La nefropatía diabética afecta la microvasculatura renal causando hiperfiltración. Esto lleva a hipertrofia glomerular, aumento de la superficie del capilar glomerular y alteraciones hemodinámicas que contribuyen al desarrollo y/o progresión de esta enfermedad El tratamiento incluye diuréticos, tromboprofilaxis, inhibidores del sistema renina angiotensina aldosterona y terapia inmunomoduladora en casos más graves.

 

 

 

 

0125   SÍNDROME RIÑÓN-PULMÓN EN PACIENTE CRÍTICO. REPORTE DE UN CASO CLÍNICO

F Cometto, M Jaime(1), HA Trillard(1), M Binci Vayer(2), S Dipente(1), E Guzman(1), S Mattausch(1)

(1) Sanatorio Aconcagua. (2) Hospital Militar Regional Córdoba.

 

El síndrome riñón-pulmón (SRP) se define como la combinación de hemorragia alveolar difusa (HAD) y glomerulonefritis, mediado inmunológicamente, caracterizada por inflamación y necrosis vascular. La mayoría de los pacientes ingresan a Terapia Intensiva por fallo respiratorio agudo secundario a HAD y fallo renal.

Paciente femenina de 72 años, diabética insulinorrequiriente, hipertensa, ingresa a sala con diagnóstico de neumopatía infecciosa de 1 semana de evolución en tratamiento antibiótico con amoxicilina clavulánico. Refiere fiebre y tos con expectoración hematopurulenta de 24 horas de evolución. Al examen físico, rales crepitantes e hipoventilación en ambos campos pulmonares a predominio izquierdo. Laboratorio de ingreso (tabla 1). La tomografía de tórax reveló leve enfisema centrolobulillar bilateral a predominio de lóbulos superiores, pequeños focos de consolidación alveolar confluentes, bilaterales a predominio de lóbulos inferiores, micronódulos agrupados con patrón de árbol en gemación y adenomegalias mediastinales pretraqueales e infracarinales de 10 y 14 mm respectivamente. Cumple tratamiento con piperacilina tazobactam y vancomicina por 7 días. A los 10 días persiste febril y disneica, infectología indica repetir hemocultivos y tomar muestras para BAAR, resultando ambos negativos. Intercurre con síndrome anémico secundario a melena requiriendo múltiples transfusiones de glóbulos rojos, y fallo renal agudo oligúrico, valorada por nefrología, solicitando serología autoinmune (tabla 2). El día 19° de internación ingresa a UTI por insuficiencia respiratoria, con signos de sobrecarga hídrica por ecografía pulmonar bedside, se intuba y conecta a ARM. Evoluciona oligúrica, sin respuesta a infusión de furosemida, requiriendo hemodiálisis. Ante sospecha de SRP se inician pulsos de metilprednisolona por 5 días seguido de ciclofosfamida. Intercurre con fibrilación auricular sin descompensación hemodinámica, responde a cardioversión farmacológica. Evoluciona hemodinámicamente inestable, poca tolerancia a hemodiálisis y aumento de drogas vasoactivas, el 7° de internación en UTI fallece.

La detección de anticuerpos anti-MBG, ANA y/o ANCA es clave para el diagnóstico. La biopsia renal y pulmonar provee el diagnóstico definitivo. El éxito del tratamiento depende de un rápido reconocimiento, exclusión de infecciones y tratamiento específico que incluye pulsos de metilprednisolona durante 3-5 días, seguido prednisona oral asociado a ciclofosfamida. La edad y la creatinina sérica al ingreso son fuertes predictores de supervivencia.

 

 

 

 

0127   ENDOCARDITIS BACTERIANA DE LA VALVULA DE EUSTAQUIO COMO COMPLICACION DE TROMBOSIS VENOSA EN PACIENTE SEPTICO. Reporte de caso

O Martinez(1), MC Palacio(1), JC Medina(1), M Chamadoira(1), G Francini(1), N Aguilar(1), V Murillo(1), J Camargo(1), F Avila(1), A Gutierrez(1), C Quintanilla(1), C Reyes(1), T Canabal(1), M Beck(1)

(1) Sanatorio Anchorena Itoiz.

 

Introducción: La Endocarditis bacteriana derecha ubicada en la Valvula de Eustaquio es una entidad rara. La valvula de Eustaquio es un pliegue remanente embrionario situado entre la unión de la VCI y la auricula derecha, nido para vegetaciones o trombos procedentes de extremidades, migran y quedan atrapados en la Valvula ocasionando tromboembolismo pulmonar o embolia paradójica.

Caso clínico: Paciente de sexo femenino de 83 años con antecedentes de demencia y postrada e internación reciente en otra institución. Acude a Guardia por fiebre, disnea e inestabilidad hemodinámica. Ingresa a Cuidados Intensivos por shock séptico con requerimientos de reanimación de fluidos, vasopresores y asistencia ventilatoria mecánica. Se realizan pancultivos y se inicia esquema antibiótico de amplio espectro con Piperacilina tazobactam y vancomicina. Se constata al examen físico flogosis en miembro superior izquierdo, presentando trombosis superficial de MSI, múltiples opacidades nodulares pulmonares bilaterales compatible con embolias sépticas. Se realiza ecocardiograma transesofagico observando en aurícula derecha en la desembocadura de la vena cava inferior, masa móvil heterogénea de 11 x 6 mm que corresponde a Endocarditis de la Valvula de Eustaquio. Hemocultivos Estafilococo meticilino resistente. Evoluciona con disfunción orgánica múltiple, shock séptico refractario y fallece.

Discusión: La persistencia de la Valvula de Eustaquio puede presentarse como una estructura móvil y elongada que se proyecta varios cm en la aurícula derecha y puede ser confundida con un tumor, vegetación o trombo. Puede predisponer a la persistencia de foramen oval permeable y actuar como nido para vegetaciones endocardicas especialmente en pacientes adictos endovenosos o portadores de dispositivos cardiacos. La Endocarditis bacteriana derecha ubicada en la Valvula de Eustaquio es una entidad rara que presenta embolias sépticas pulmonares como en el caso de nuestro paciente, por tromboflebitis venosa en paciente añosa con comorbilidades, aunque el diagnóstico fue precoz, la evolución fue desfavorable.

Conclusión: La Endocarditis bacteriana derecha de la Valvula de Eustaquio es una entidad infrecuente por tal motivo existe poca evidencia en la literatura.

 

 

0128   Rehabilitación Basada en la Familia en pacientes Neuro-críticos. Impacto en la funcionalidad

R Gomez(1), E Pereyra Zamora(1), V Monrroy(1), D Valdivia(1), L Castro(1), M Prodi(1)

(1) Enrique Vera Barros.

 

Los pacientes externados de UTI que padecen secuelas neurológicas deben enfrentar situaciones complejas para acceder a centros públicos especializados para continuar recuperando las funciones perdidas. Es por ello que desde la unidad de cuidados críticos se implementó un programa de RBF resaltando la importancia de la educación de la misma como pilar de recuperación del paciente, realizando un plan terapéutico personalizado implementado por un familiar entrenado durante la estadía en UTI del paciente y así lograr disminuir las complicaciones que la falta de acceso a la rehabilitación pudiesen ocasionarle; siendo el lugar de residencia y los ingresos económicos determinantes para ello.

Se incluyeron 33 pacientes desde el 1 de septiembre de 2021 al 30 de Abril 2022 cuyo motivo de ingreso en UTI fue la injuria cerebral adquirida. A familiares de los mismos se los instó a participar de la Rehabilitación y del manejo del paciente dentro de la unidad planteando objetivos conjuntos del plan terapéutico, con el fin de personalizar la asistencia. Un kinesiólogo asignado se encargaba de evaluar y educar a la familia diariamente. Aquellas familias con mayor compromiso y con dificultad al acceso a centros de rehabilitación públicos, ya sea por las distancias o por su situación socioeconómica para acceder a los mismos fueron incluidos en el programa RBF, quedando excluidos aquellos pacientes cuyas familias no mostraron compromiso ni comprensión con la propuesta, pasando a ser el grupo control.

Se evaluó el grado de discapacidad al momento del alta con la Glasgow Outcome scale (GOS) y con la Disability Rating Scale (DRS) se realizó la evaluación de la funcionalidad siendo el punto de partida para realizar el seguimiento a 30, 60 y 90 días.

El plan terapéutico incluía manejo de la vía aérea artificial, movilizaciones activas, sedestación, bipedestación, organización del ciclo sueño-vigilia, cuidados posturales, entre otros.

Destacamos que los 20 pacientes que adhirieron al plan de RBF propuesta presentaron mejorías de la recuperación de las funciones a los 30, 60, y 90 días comparados con el grupo control.

 

 

 

 

0129   MUCORMICOSIS RINORBITARIA: REPORTE DE UN CASO CLÍNICO

F Cometto, L Luque Aguada(1), N Leonardia(2), Facultad De Ciencias De La Salud, Universidad Católica De Córdoba, M Garcia Keim(5), S Dipente(5), C Salcedo(5), G Squaglia Acosta(5), RL Aguilera(6)

(1) Clinica Universitaria Reina Fabiola. (2) Escuela De Odontología. (3)  Facultad De Ciencias De La Salud. (4)  Universidad Católica De Córdoba. (5) Hospital Militar Regional Córdoba. (6) Hsspital Militar Regional Córdoba.

 

La mucormicosis es una infección oportunista grave con elevada morbimortalidad que afecta frecuentemente a pacientes inmunodeprimidos y diabéticos descompensados. Es producida por hongos saprofitos aeróbicos de la familia de los Mucorales aislados de fuentes ambientales. Penetran en el organismo por vía aérea, gastrointestinal o cutánea. El diagnóstico se realiza mediante la demostración de hifas hialinas gruesas no septadas, angioinvasion, y necrosis tisular.

Paciente femenina de 71 años con antecedentes de diabetes tipo 2 insulinorrequiriente, hipertensión arterial, dislipemia, obesidad y cardiopatía isquémica que ingresa a Terapia Intensiva por cetoacidosis diabética, estupor y mala mecánica ventilatoria, requiere intubación y conexión a ARM. Laboratorio de ingreso (tabla 1)

Evoluciona hemodinámicamente inestable, requiriendo noradrenalina a dosis variables, anúrica sin respuesta a expansión con cristaloides e infusión de diuréticos, al 3° día de internación se inicia hemodiálisis.

El 6° día se objetiva lesión ulcerada en región perianal. La ecografía mostró en tejido celular subcutáneo una imagen hiperecogénica con sombra acústica posterior de 5 mm, probable calcificación, sin evidencia de colecciones, responde a clindamicina. El 14° día se objetiva lesión eritematosa, indurada en región malar izquierda, extendida al cuello. La TAC de macizo facial y cuello reveló signos de pansinusitis, otomastoiditis y tumefacción de partes blandas, se inicia tratamiento con cefazolina más claritromicina. El 15° día evoluciona con destete fallido, siendo reintubada el mismo día. La lesión en región malar izquierda, de aspecto necrótico y extendida a paladar duro es biopsiada . Ante sospecha de mucormicosis se inicia anfotericina B. El 20° día de internación presenta paro cardiorrespiratorio sin respuesta a maniobras de reanimación.

La biopsia mostró hifas hialinas cenocíticas, anchas, ramificadas con contornos irregulares y paredes gruesas (tabla 2). El estudio de las características fenotípicas macroscópicas y microscópicas identificó la cepa como Rhizopus sp, y por secuenciación parcial del ITS como Rhizopus arrhizus.

La mucormicosis es una enfermedad grave con pronóstico desfavorable y alta mortalidad cuya incidencia ha aumentado en los últimos años. Debe evaluarse teniendo en cuenta la presentación clínica, estudios de imágenes, exámenes directos positivos, desarrollo en cultivo puro y anatomía patológica. Es fundamental la sospecha clínica precoz y el diagnóstico temprano para instaurar un tratamiento oportuno y eficaz.

 

 

 

 

0130   Utilidad de la Ultrasonografía cerebral para el manejo de la hipertensión intracraneal : Reporte de Caso

LJ Ojeda Flores(1), K Velazquez(1), L Solis(1), M Gonzalez(1), LB Costa(1), C Pisarello(1), JE Alfonso(1), J Bernachea(1), S Gamarra(1), V Gimenez(1), J Martinez(1), C Mizdraji(1), L Huespe(1), S Lazzeri(1), H Alvarez(1)

(1) Hospital Escuela Gral. San Martin.

 

Introducción: En los últimos años se ha extendido ampliamente ultrasonografía cerebral para detectar la presencia de aumento de la presión intracraneal, para orientar el diagnóstico y el tratamiento.

Presentación de caso: Femenina de 58 años, hipertensa, Diabética tipo II. El 23/07/2022 evoluciona con cefalea consultando en su localidad, quedando internada. TC de cerebro que evidencia hematoma parenquimatoso temporal derecho. Se decide su derivación. Ingresa al servicio de emergencias ingresando vigil, con GSC 15/15. El 27/07/2022 evoluciona con deterioro neurologico (GSC 9/15). TC de cerebro que evidencia edema cerebral sin cambios en el volumen del hematoma. Score ICH 2 puntos. Se decide evacuación de hematoma intracerebral, sin monitoreo invasivo de PIC. El 28/07/2022, se realiza medición de ONSD que evidencia 5.4 mm en ojo derecho y 6.2 mm en ojo izquierdo. Doppler transcraneal que informa hipoflujo a nivel de ACM-L e IP 2.9. TC de cerebro que evidencia sangrado en sitio quirúrgico con efecto de masa. Se decide evacuación de hematoma + craniectomia descompresiva, con colocación de cateter de PIC subdural (umbral PIC de 15 -18 mmHg). Se realiza traqueostomía percutánea. El 04/08/2022 se cierra sedación presentando GSC 10/10. El 08/08/2020, se decide derivación a centro de menor complejidad para neurorehabilitación.

Discusión: La importancia de la ecografía cerebral para la evaluación, progresión y manejo de la hipertensión intracraneal en las UCI ha sido ampliamente demostrada.

Conclusión: Nuestro caso permite destacar la importancia en la medición de ONSD en conjunto con el doppler transcraneal para el monitoreo no invasivo de la PIC.

 

 

 

 

0131   Monitoreo del Agua Extravascular Pulmonar en COVID-19

D Duarte(1), G Benavent(1), A Monson(1), Y Escobar(1), D Espinel(1), E Sanchez(1), J Roldan(1), R Sanabria(1)

(1) Cemep.

 

Objetivo: Determinar el agua extravascular pulmonar (AEVP) y el índice de permeabilidad (IP) en los pacientes con síndromes de distres respiratorios del adulto (SDRA) secundario a infección por COVID 19 para predecir mortalidad.

Metodos: Estudio retrospectivo observacional, descriptivo y analítico. Fueron incluidos todos los pacientes admitidos al Servicio de Terapia Intensiva (STI) polivalente de adultos con diagnóstico de insuficiencia respiratoria aguda (IRA) secundario a infección por Covid 19 desde el periodo comprendido entre julio de 2020 y julio 2021. Se dividido en 3 grupos de acuerdo a la severidad del SDRA: Grupo 1: SDRA Grave ( PAFI <100 ), Grupo 2: SDRA Moderado ( PAFI 100-200), Grupo 3: SDRA Leve ( PAFI 200-300).Se registraron las siguientes variables: Sexo, edad, APACHE II, SOFA al ingreso en el STI, presion arterial media (PAM),Frecuencia cardiaca (FC), PAFI ingreso, dosis de noradrenalina (NADR), dobutamina (DB), Volumen Tidal (VT),Frecuencia respiratoria (FR), Presión Plateau (PP) , Delta Presión (DP), Fracción inspirada de oxígeno (FiO2), Balance de líquidos (BL), AEVP, IP, estadía en el STI y mortalidad.

Resultados: Se evaluaron 192 pacientes (ptes), la edad promedio 56+/- 16 años, la media de SAPS II 63 Los dias de ventilacion mecanica fueron 19 dias (9-32), la media de estancia en el STI fue de 17 (12-43), requirieron 19 % de reemplazo renal, la mortalidad global fue del 15.6 %(30 ptes). En el analisis bivariado no se encontraron diferencias estadisticamente significativa entre sobrevivientes(S) y no sobrevivientes (NS) en las variables edad, genero, SAPS II, IS,PAM, FC, BL,NADR y DBT. La diferencia estadisticamente significativa se observó entre el grupo S y NS en las variables. AEVP > 20 (70%)21 ptes versus AEVP < 20: 9 ptes (30%)p=0.005; IP < 4 22 ptes (73.3%)versus IP>4 :8 ptes( 26.6%) p=0.003

Conclusion: Los pacientes con SDRA secundario a COVID 19 que presentaron AEVP >20 y IP < 4 tenian mayor mortalidad a 30 dias.

 

 

0132   FISTULA CAROTIDA-YUGULAR TRAUMÁTICA TARDIA Reporte de caso

A Gutierrez(1), MC Palacio(1), JC Medina(1), M Chamadoira(1), G Francini(1), N Aguilar(1), V Murillo(1), O Martinez(1), J Camargo(1), F Avila(1), C Reyes(1), C Quintanilla(1), T Canabal(1), M Pataro(1)

(1) Sanatorio Anchorena Itoiz.

 

Introducción: Las injurias carotídeas ocurren en el 22% de las lesiones del cuello. En el 4 a 10% pueden producirse fístulas entre la arteria carótida y vena yugular interna. El flujo venoso se incrementado, pudiendo aparecer edema y/o isquemia cerebral. Las opciones terapéuticas incluyen reparación quirúrgica, ligadura de la arteria carótida interna, tratamiento endovascular con balón de oclusión, embolizacion con coils o stent recubiertos.

Caso clínico: Paciente masculino de 42 años de edad con antecedente de herida por arma de fuego a los 17 años de edad con proyectil alojado en región cervical lateral izquierda zona II. Comienza hace 1 año y 5 meses con alteración de la memoria y atención, irritabilidad e hipersomnia. Consulta a la guardia por deterioro cognitivo, desorientación temporoespacial, lenguaje inapropiado y alteración en la marcha. Ingresa a Cuidados críticos constatando al examen físico paciente desorientado con déficit cognitivo, abulia, sin déficit motor. Se palpa en región cervical lateral izquierda masa pulsátil y no dolorosa.

Se realiza tomografía de cerebro: Imagen hipodensa en brazo posterior de cápsula interna izquierda de aspecto isquémico. Angiotomografía de vasos del cuello y cerebro: Esquirla metálica en región lateral izquierda del axis. Dilatación marcada de vena yugular izquierda y arteria carótida común con dilatación varicosa de estructuras venosas alcanzando los senos venosos, se observa fistula carótida-yugular izquierda. Se realiza angiografía que reporta: arteria carótida interna izquierda extracraneana a 2 cm de su origen, fístula arteriovenosa a vena yugular interna izquierda. Evaluado por cirugía vascular, se realiza embolización de carótida externa con amplatzer, y se colocan dos stents en carótida interna izquierda distal. Evoluciona favorable.

Discusión: En nuestro caso el paciente presentaba una fístula carótida-yugular de larga data (25 años) con hipoflujo arterial del hemisferio cerebral izquierdo, compensado con circulación colateral y se observó hipertensión venosa cerebral con dilatación de los senos venosos cerebrales de larga data hasta la claudicación de los mecanismos de compensación.

Conclusión: Es una patología de escasa frecuencia, más aún fistula carótida-yugular de tardía ya que en la bibliografía se describen casos agudos con tratamientos precoces y alta morbimortalidad. En nuestro caso la entidad era de larga data y el tratamiento fue individualizado y consensuado.

 

 

0133   Pacientes COVID-19 en ventilacion mecánica durante la segunda ola. Experiencia Hospital Dr. Arturo Oñativia

NE Sanchez(1), MA Quijano(1)

(1) Dr. Arturo Oñativia.

 

Introducción: El noroeste argentino no escapo a los efectos devastadores de la pandemia de COVID-19. Tampoco avanzo en sincronía a las grandes ciudades del País. El Hospital Dr Arturo Oñativia recibió el primer caso a fines de Julio de 2020. En la Provincia de Salta, los hospitales públicos sesgaron su abordaje de acuerdo a la población objetivo. Nuestra institución apunta al perfil de enfermedades endocrinometabólicas, siendo el principal responsable de la atención a pacientes obesos.

Objetivo: Examinar las características y los resultados de la ventilación mecánica invasiva (VMI) en pacientes con COVID-19 durante el año 2021 en Unidad de Terapia Intensiva (UTI).

Método: Se describe la población y los resultados de la experiencia de VMI de 1 año.

Resultados: 77 pacientes COVID-19 requirieron internación en UTI. 49 (63%) emplearon VMI. La edad promedio fue de 50. El sexo masculino constituyo el 68, 83% de la población. Los pacientes obesos representaron el 76,34%, con Indice de Masa Corporal (IMC) promedio de 42,53. La media de días de VMI fue 23 (min 5 max 109), el porcentaje de liberación de VM 63,26%, la mortalidad en VMI 36,73%, mientras que la mortalidad general fue de 23,37%.

 

 

Conclusiones: En comparación al estudio SATICOVID Argentina nuestra población es en edad menor, la prevalencia por sexo presenta similitudes. Se registró mayor porcentaje de obesidad. Los días de VMI fueron mayores a los consignados, no obstante supone mayor porcentaje de liberación y menor mortalidad a la reportada.

 

 

0134   TUBERCULOSIS NEONATAL CONGÉNITA DISEMINADA. A PROPÓSITO DE UN CASO

J Jonas(1), MM Reinares(1), J Manniello(1), MA Forchino(1), A Romagnoli(1), M Castilla(1), M Allassia(1)

(1) Hospital De Niños Orlando Alassia.

 

Introducción: La tuberculosis neonatal es infrecuente, se asocia a alta mortalidad y requiere de alto grado de sospecha para su diagnóstico. Se diferencia en: forma congénita o adquirida postnatal.

La TBC congénita se presenta en RN hijos de madres con enfermedad activa durante el embarazo o que presentan TBC genital. Las madres con TBC diseminada o sin tratamiento, tienen mayor riesgo de transmisión de la enfermedad.

La tasa de transmisión oscila entre 0-16%. En 2019 se notificaron al Sistema Nacional de Vigilancia de Salud 12.499 casos, y los menores de 20 años representaron el 16,6%.

Presentación del caso: Paciente de 4 meses, con antecedente de madre con tuberculosis pulmonar con baciloscopías positivas sin tratamiento, sintomática en el tercer trimestre del embarazo, que presenta detención pondoestatural al segundo mes de vida. Se realiza al neonato PPD negativa y Rx tórax patológica, por lo que inicia tratamiento con antituberculostáticos de primera línea. Por dificultades en la toma de medicación, CVAS y desnutrición se decide su internación. Se realiza PCR en materia fecal positiva a Mycobacterium Tuberculosis. Evolución desfavorable, presenta hepatitis medicamentosa y fallo respiratorio por lo que ingresa a UCIP de nuestro hospital.

Presenta imágenes compatibles con lesiones por TBC en bazo e hígado, con diagnóstico evolutivo de TBC miliar. Ventilada desde su ingreso. Por SDRA con hipoxemia refractaria se realizan medidas adyuvantes como titulación de PEEP, decúbito prono y VAFO. Actualmente en ARM con estabilidad clínica y gasométrica, realizando tratamiento antituberculostático de 3era línea con mejoría de función hepática.

Conclusión: La tuberculosis continúa ocasionando enfermedad y muerte en la población pediátrica. En la infancia hay mayor probabilidad de progresión de la infección y mayor diseminación de esta que, junto a la inespecificidad de la clínica, la menor capacidad de diagnóstico por pruebas microbiológicas y las barreras terapéuticas, complican el manejo óptimo. Cuanto menor es el niño, mayor riesgo de formas diseminadas y, si no se tratan, mayor riesgo de complicaciones.

 

 

 

 

0135   PRESENTACION ATIPICA DE HIPERTIROIDISMO EN PACIENTE CRITICO: PRESENTACION DE UN CASO

L Doldan(1), M Galindo(1), C Vargas(1), C Dominguez(1), R Gregori(1), Y Lamberto(1), P Saul(1), N Chacon(1), V Chediack(1), E Cunto(1)

(1) Muñiz.

 

Introducción: El diagnóstico de hipertiroidismo suele ser evidente en pacientes con manifestaciones clínicas típicas. Sin embargo, se plantea un desafío en pacientes críticos cuando no presentan clínica clásica asociados a parámetros de laboratorio poco concluyentes.

Presentación del caso: Paciente femenina, 43 años. Antecedente de convivencia con hermana con tuberculosis. Consultó por disnea progresiva de 48 horas de inicio, tos y expectoración hemoptoica.

Examen: taquicardia sinusal, hipertensión, bradipsiquia, ictericia, piel seca, cabello ralo, edemas duros en miembros inferiores con mixedema pretibial. Radiografía de tórax: infiltrados bilaterales. Evolucionó con insuficiencia respiratoria, requerimiento de asistencia ventiladora mecánica.

Laboratorio: anemia, plaquetopenia, leucocitosis e hiperbilirrubinemia. Primer perfil tiroideo: Tirotrofina indetectable, tiroxina normal.

Posteriormente, la paciente presentó episodios de taquiarritmia supraventricular, que revirtieron con amiodarona. Registros febriles, sin rescates microbiológicos en estudios reiterados.

Ecografía tiroidea: aumento de tamaño difuso e hipervascularizacion. Segundo dosaje de Tirotrofina indetectable, tiroxina elevada y anticuerpos anti receptor de tirotrofina positivos.

Se interpretó como crisis hipertiroidea.

Se inició tratamiento con betabloqueantes, hidrocortisona y metimazol. Se derivò a otro centro para seguimiento por Endocrinologìa.

Discusión: Los trastornos tiroideos pueden ser de difícil diagnóstico en pacientes críticos, más aun con presentación clínica atípica. La tirotrofina sérica es la mejor prueba inicial a solicitar. Sin embargo, no se descarta con tirotrofina suprimida y tiroxina normal.

La tormenta tiroidea es una complicación que se presenta solo en el 1% de los pacientes hipertiroideos; siendo la taquicardia, fiebre y diarrea las manifestaciones cardinales. Con menor frecuencia, pueden presentar signos de falla cardiaca y alteraciones hematológicas como plaquetopenia mediada por anticuerpos.

Conclusión: En primer término, se interpretó el caso como tuberculosis pulmonar dados los antecedentes de la paciente y las manifestaciones clínicas. Sin rescate microbiológico en estudios repetidos sumado a la persistencia de taquicardia y registros febriles con aumento del metabolismo basal, llevaron a sospechar disfunción tiroidea. Si bien en este caso la clínica era más compatible con hipotiroidismo, al realizar los dosajes hormonales, se obtuvo el diagnostico de hiperfunción con criterios de tormenta tiroidea presentando signos y síntomas de muy baja frecuencia.

 

 

0136   REPORTE DE UN CASO CLÍNICO:  RABDOMIOLISIS SEVERA DE ORIGEN MULTICAUSAL EN PACIENTE PEDIÁTRICO CON COVID 19.

E Walter(1), PI Rossi(1)

(1) Hospital Provincial Neuquen.

 

Introducción: La rabdomiólisis es una enfermedad poco frecuente en pediatría. El objetivo es presentar un paciente en el que se desarrolló en contexto de shock séptico por COVID asociado a status convulsivo febril e hipernatremia severa con acidosis metabólica.

Caso clínico: Niña de 2 años y 10 meses de edad con antecedente de displasia septo-óptica, epilepsia e insuficiencia corticosuprarrenal, que ingresa a la UTIP por status convulsivo refractario a fármacos con requerimiento de ARM, en contexto de infección por COVID-19. Ingresa con acidosis metabólica grave, hipernatremia e insuficiencia renal.

Al tercer día se constata elevación de creatín fosfokinasa con un valor máximo de 59739 UI/l, es interpretado como rabdomiólisis de origen multicausal. Se inició hiperhidratación y se fuerza diuresis con furosemida. Presenta buena respuesta al tratamiento con descenso de los parámetros de laboratorio. La niña obita por hipoxia refractaria al tratamiento con SDRA secundario a COVID 19

Discusión: La rabdomiolisis es un síndrome que se produce de forma secundaria al daño y la degradación muscular, poco frecuente en pediatría y las principales causas se encuentran en las infecciones. La injuria renal aguda por rabdomiolisis está presente en 7-10% de los casos y se ha relacionado con tasas más altas de morbimortalidad. Por su infrecuencia en la población infantil, por no tener una clínica clara y en situaciones donde el estado de conciencia no puede valorarse adecuadamente es necesario tenerla en cuenta y realizar un monitoreo de la misma de forma rutinaria.

Conclusión: El status convulsivo, y la hipernatremia grave estan descritos como causa rara de rabdomiólisis e insuficiencia renal. Actualmente también se puede describir la infección por COVID-19. En pacientes críticos es importante un alto índice de sospecha de rabdomiólisis y determinación seriada de la creatín fosfokinasa para su detección y tratamiento precoz.

 

 

 

0138   REPORTE DE UN CASO DE UN PACIENTE PEDIÁTRICO CON DISECCIÓN DE AORTA SEVERA POR HTA SECUNDARIA PSEUDOHIPOALDOSTERONISMO AUTOSÓMICO RECESIVO

E Walter(1), PI Rossi(1)

(1) Hospital Provincial Neuquen.

 

Introducción: El déficit de 11-beta-hidroxiesteroide-deshidrogenasa genera una HTA dependiente de mineralocorticoides. A nivel renal, la aldosterona reabsorbe sodio y agua aumentando el volumen intravascular y la presión arterial, sin diagnóstico ni tratamiento puede llevar a complicaciones graves.

Caso clínico: Paciente de 12 años con antecedente ACV hemorrágico (hematoma intraparenquimatoso a nivel cápsulo putaminal izquierdo) con HTA de muy difícil manejo, no estudiada durante la infancia, con nefrocalcinosis, hipernatremia e hipokalemia. TAC de vasos renales: doble arteria renal derecha. Ecocardiograma con engrosamiento de pared libre de VI. Regular seguimiento al alta.

Ingresa por 1 semana de evolución de disnea funcional grado 2, y agrega dolor precordial agudo en reposo, no irradiado, intensidad 10/10, crisis hipertensiva (208/150) hipernatremia e hipokalemia. Enzimas cardiacas aumentadas. Soplo diastólico rudo.

Se realiza angioTAC: Aneurisma de aorta disecante de inicio en coronaria izquierda hasta femoral derecha.

Se realiza cirugía de Benthal-Bono.

Postoperatorio: bloqueo AV completo, Bajo gasto cardiaco severo e Hipertensión arterial de difícil manejo. Anticoagulación profiláctica por válvula protésica.

A los 8 días presenta taponamiento cardíaco, y Obito.

Diagnóstico postmortem: Deficiencia de 11-beta-hidroxiesteroide-deshidrogenasa.

Discusión: La disección aórtica presenta muy baja incidencia en pediatría, debe sospecharse en presencia de dolor intenso, torácico-abdominal, hipertensión y patología predisponente. Los métodos por imágenes permiten el diagnóstico definitivo.

Conclusión: En las evaluaciones periódicas de los niños es necesario el registro de la tensión arterial y el estudio de la hipertensión de ser necesario. Hay múltiples causas y aun siendo infrecuentes las alteraciones genéticas deben sospecharse para un diagnóstico y abordaje precoz para evitar complicaciones potencialmente mortales.

 

 

 

 

0139   FACTORES PREDICTORES DE MORTALIDAD EN PACIENTES CON NEUMONÍA POR COVID-19 EN ASISTENCIA RESPIRATORIA MECÁNICA

G Genovese(1), MS Tomez(1), M Deguardia(1), RG Ochoa(1), VN Terrazas Cruz(1), AK Marquez(1), IF González Marquez(1), H Mamani Sánchez(1), MDLM Picos(1), A Antik(1), R Rodrigues La Moglie(1), B Spath(1), FM Dana(1), M Izus(1)

(1) Durand.

 

Introducción: La OMS en febrero de 2020 designó la enfermedad por SARS-CoV-2 como COVID-19. El espectro de la enfermedad puede variar desde formas asintomáticas hasta neumonía grave y muerte. En Argentina la mortalidad en UTI fue 57%. La edad, necesidad de ARM, PAFI, shock, dímero D y falla renal son factores asociados a mal pronóstico.

Objetivo: Determinar los factores predictores de mortalidad en pacientes con COVID-19 grave en ARM invasiva.

Material y métodos: Estudio observacional, analítico, retrospectivo. Se incluyeron pacientes con resultado positivo confirmado para COVID-19 con neumonía en ARM invasiva. Periodo: 31/3/20- 31/12/2021. UTI 2 - Hospital C. G. Durand -CABA. Variable de resultado: mortalidad hospitalaria. Como predictores se incluyeron: edad, sexo, PAFI ingreso, APACHE II, SOFA, DBT, HTA, IRC, EPOC, oncológico, dimero D, ferritina, PCR, pronación, neumonía ARM, neumotórax, diálisis, traqueostomía. Como medida de resumen se utilizó para variables cuantitativas mediana e intervalo interquartilar, para variables cualitativas frecuencia y porcentaje. Para evaluar la mortalidad y sus factores pronósticos se realizó un análisis univariado y multivariado mediante regresión logística modelando la mortalidad mediante odd ratio e IC 95%. Se consideró significativa p < 0.05.

Resultados: de 404 pacientes ingresados a la unidad se excluyeron: 121 pacientes que no requirieron ARM y 71 por datos incompletos. Se analizaron 212 pacientes. La mediana de edad fue 62 (51-71), varones 71%, PAFI ingreso 132 (96-170). Resto de las características basales ver tabla 1.

El análisis univariado identificó como variables asociadas a mortalidad: edad (OR 1.06 IC95 1.03-1.084 p<0.001), DBT (OR 2.89 IC95 1.27-6.57 p 0.011), HTA (OR 3.56 IC95 1.66-7.57 p 0.001), EPOC (OR 5.64 IC95 1.02-9.97 p 0.020), APACHE II (OR 1.057 IC95 0.01-1.1 p 0.010), SOFA (OR 1.17 IC95 1.05-1.32 p 0.04), traqueostomía (OR 0.32 IC95 0.16-0.67 p 0.002).

En el análisis multivariado se observó que se relacionaban con mortalidad: edad (OR 1.04 IC95 1.01-1.07 p 0.008), SOFA (OR 1.23 IC95 1.01-1.49 p 0.04), traqueostomía (OR 0.41 IC950.018-0.94 p 0.04). Tabla 2.

Conclusiones: En nuestro grupo de pacientes los factores predictores de mortalidad identificados fueron parámetros clínicos como edad, SOFA y traqueostomía. Las variables de laboratorio no mostraron asociación.

 

 

 

 

0140   VALOR DEL CLEARANCE DE ACIDO LACTICO EN EL PRONÓSTICO DE LOS PACIENTES CON SEPSIS Y SHOCK SEPTICO EN TERAPIA INTENSIVA

AB Rojas(1), S Chaile(1), M Dextre Primo(1), F Castro(1), D Reynoso(1), M Andreotti(1), JC Vergottini(1)

(1) Hospital Nacional De Clinicas.

 

Introducción: La sepsis y shock séptico (SS) son verdaderas emergencias médicas con necesidad de diagnóstico y tratamiento oportunos. El lactato es un biomarcador de disfunción orgánica inducida por sepsis. En la sepsis, el aumento del consumo de oxígeno promuevera el metabolismo anaerobio generando hiperlactacidemia. El aclaramiento del ácido láctico se define como la diferencia de sus niveles luego de las 6 horas. La falta de este aclaramiento aumentara la mortalidad hospitalaria.

Objetivo: Determinar el valor del clearance del ácido láctico en el pronóstico de los pacientes con sepsis y shock séptico en la Unidad de Terapia Intensiva del Hospital Nacional de Clínicas.

Materiales y métodos: Estudio observacional, descriptivo y de corte longitudinal que incluyó a 40 pacientes con diagnóstico de Sepsis y Shock Séptico, a los cuales se les realizó mediciones seriadas de: Ácido láctico, al momento del ingreso a UTI, a las 6, 12, 18 y 24 hs. Dichos pacientes fueron clasificados en fallecidos y no fallecidos a los 30 días del ingreso.

Resultados: Se incluyeron 40 pacientes, con un promedio de edad de 68 ± 10 años y de los cuales el 53% (n=21) fueron de sexo femenino. Al ingreso a UTI, los pacientes fallecidos presentaron valores de ácido láctico promedios de 4,5 mmol/L, sin embargo, en los sobrevivientes, dichos valores descendieron desde los 3,80 ± 2,24 mmol/L iniciales, hasta 2,34 ± 1,74 mmol/L a las 24 hs. Estas diferencias fueron estadísticamente significativas (p-valor <0,0001). Al analizar los valores de aclaramiento de ácido láctico en el grupo de fallecidos y sobrevivientes, se observó que en los primeros los valores de aclaramiento fueron menores que los segundos (12,5 ± 10 mmol/L vs 34 ±25 mmol/L). Las diferencias fueron estadísticamente significativas (p-valor: 0,0141).

Conclusión: En los pacientes con sepsis y shock séptico el descenso del ácido láctico, así como su aclaramiento se asociaron a una mayor supervivencia y mejor pronóstico a los 30 días.

 

 

 

 

0141   Osificación Heterotópica en COVID-19, ¿La asociación aún no documentada? Reporte de dos casos

L Aren(1), GF Mayer(1), J Hernandez(1)

(1) Madre Catalina Rodriguez.

 

Se define como osificación heterotópica (OH) a la formación de tejido óseo en zonas de tejido blando en donde habitualmente no hay hueso. Se trata de una patología rara/subdiagnosticada habitualmente relacionada con parálisis e inmovilización durante el curso crítico de traumatismos, lesiones neurológicas, síndrome de dificultad respiratoria aguda (SDRA), cirugías o grandes quemados. En el transcurso de la pandemia por SARS-CoV2 se reportaron casos de pacientes críticos con OH interpretándose que la magnitud de la reacción inflamatoria, posible efecto propio del virus, y largos periodos de inmovilización mientras transcurría la etapa crítica podrían ser los determinantes de esta entidad clínica.

Durante el período de internación de los casos que describiremos a continuación, el porcentaje ocupacional fue de 166 % y 200 % y la carga laboral del personal de enfermería, medida por TISS-28, fue de 72 puntos, excediéndose casi al doble de las posibilidades laborales. Al mismo tiempo la rehabilitación motora, por parte del equipo de kinesiología, se vio postergada ante la necesidad de atender circunstancias urgentes como la optimización del soporte ventilatorio y la participación en maniobras de cambios de decúbito. De este modo interpretamos que la gran sobrecarga laboral acontecida durante la pandemia condicionó una inadecuada provisión de movilización temprana dando como resultado una mayor prevalencia de OH en pacientes post COVID grave cuando se la compara con SDRA por otras causas.

Presentamos dos casos de OH en pacientes que cursaron SDRA por SARS-CoV2 en momentos de alta carga laboral.

 

 

 

 

0144   Intoxicación con Ácido Valproico: reporte de casos

L Morales(1), P Pahnke(1), A Vilkelis(1)

(1) Hospital Municipal De Urgencias.

 

Introducción: El Ácido Valproico, usado para epilepsia, patologías psiquiátricas, dolor neuropático y migrañas, puede provocar intoxicaciones en altas dosis, aunque también en rango terapéutico, consecuencia de sus metabolitos activos. Principalmente son alteraciones neurológicas, cardiovasculares y digestivas; especialmente coma e inestabilidad hemodinámica. El tratamiento se basa en medidas de soporte; aumentar el metabolismo, usando L-carnitina para mejorar la disfunción mitocondrial; o la eliminación extracorpórea por su bajo peso molecular y unión a proteínas saturable.

Presentación de casos: Caso 1: Femenina, 17 años, traída por servicio prehospitalario con depresión del sensorio al ingerir Divalproato de Sodio 25000 mg, Sertralina 100 mg y Clotiapina 80 mg, en intento autolítico. Ingresa hipotensa, taquicárdica, GCS 9/15. Requiere intubación orotraqueal y vasopresores. Evoluciona con coagulopatía, hipoglucemia, injuria renal aguda, hipernatremia, acidosis metabólica, extrasístoles ventriculares y trombocitopenia. Se realiza medidas de desintoxicación, L-carnitina y diálisis precoz. Complica con rabdomiólisis y neumonía intrahospitalaria. Se otorga alta al 11º día.

Caso 2: Masculino, 22 años, que consume Divalproato de Sodio, Olanzapina y Clonazepam en dosis desconocidas, en intento autolítico. Somnoliento, GCS 10/15, que evoluciona con requerimiento de intubación orotraqueal. Dosajes séricos de Ácido Valproico dentro del rango terapéutico pero con amonio sérico elevado. Se otorga alta al día 13.

Caso 3, 4 y 5: Pacientes que en intento autolítico consumen medicación psiquiátrica, con dosis de Ácido Valproico 1750 mg, 250 mg y 14500 mg. Ingresan asintomáticos o con síntomas leves, por lo que se realizan medidas de desintoxicación generales.

Discusión: Se describen numerosas manifestaciones clínicas por intoxicación con Ácido Valproico, que se vieron reflejadas en su mayoría en el caso 1. Estas manifestaciones pueden presentarse aún con dosajes en rango terapéutico, tal como en el caso 2, debido a los metabolitos. Sin embargo, al igual que lo establece la literatura, son más frecuentes las intoxicaciones leves, que solo requieren monitoreo, desintoxicación y medidas de sostén.

Conclusión: Es extenso el uso de Ácido Valproico para el manejo de múltiples patologías y su intoxicación, potencialmente mortal, tiene diversas manifestaciones clínicas, lo que hace difícil su diagnóstico si no existe un alto índice de sospecha. Sin embargo, el óptimo tratamiento tiene buenos resultados.

 

 

0145   ESTIMACIÓN DEL VOLUMEN PLASMÁTICO Y MORTALIDAD POR SEPSIS EN UNIDAD DE CUIDADOS CRÍTICOS

MC Pohlemann Tarnovski, S Ribak(1), E Carrera(1), A Villalba(1), C Farquharson(1), N Barreto(1), A Matías(1), R Villalba(1), M Kaechele(1), A Alarcón(1), D Acosta(1), C Correia(1)

(1) Hospital Escuela De Agudos Dr Ramón Madariaga.

 

Introducción: La mortalidad por sepsis ronda el 22%, con un pico de 40% en el shock séptico. Sólo una minoría de los pacientes tiene una presentación clínica clara antes de su admisión en la Unidad de Cuidados Críticos (UCI). El reconocimiento rápido del deterioro microvascular, que podría conducir a una falla sistémica, es crucial para la terapia temprana y para la supervivencia. La estimación de volumen Plasmático (ePVS) y su elevación sería un marcador pronóstico útil en pacientes que aún no han tenido repercusión macrohemodinámica. Nuestro objetivo es determinar la sensibilidad del ePVS en pacientes con sepsis y shock séptico para predecir mortalidad comparando con scores validados como el SOFA.

Métodos: Se incluyeron 96 pacientes internados en UCI del Hospital de Agudos Dr Ramón Madariaga, Misiones, durante el período de Enero a Diciembre 2021 que ingresaron por Sepsis o shock séptico. Se registraron datos demográficos, calculando SOFA. El valor de la ePVS se obtuvo con hematocrito y hemoglobina de ingreso a UCI, como punto de corte un valor > 4,52 dl/g; empleando la fórmula: 100 – Hto (%) / Hb (g/dl).

Resultados: Fueron incluidos 96 pacientes (67% Masculinos y 33% femeninas), edad media 63 ± 12 años, de los cuales el 79% presentaban valores de ePVS mayor a 4,52dl/g al ingreso a UTI, de ellos un 70% presentó un valor de SOFA mayor a 8. El 75% de pacientes con ePVS elevado fallecieron durante la internación. De los pacientes que presentó SOFA > 8, el 93% falleció.

Conclusión: El valor de ePVS para predecir mortalidad en pacientes con sepsis y shock séptico internados en UCI es una herramienta útil comparando con otros scores como el SOFA, siendo el primero más rápido y sencillo de calcular. Resta confirmar estos hallazgos en mayor número de pacientes y con otros scores pronósticos de UTI como el APACHE II y el SAPS.

 

 

 

 

0148   INFECCIONES FÚNGICAS EN PACIENTES DE TERAPIA INTENSIVA DEL HOSPITAL ESCUELA DE AGUDOS DR.  RAMÓN MADARIAGA DE  POSADAS PROVINCIA DE MISIONES

I Cruz Muñoz(1), AE Carrera(2), SD Riback(2), R Ostrowski(2), C Correia Dasilva(2), N Barreto(2), M Arguello(2), M Pohlemann(2), AJ Alarcón Marinoni(2), D Acosta(2), L Santana(2), R Contreras(2), M Rodriguez(2), M Kaechele(2)

(1) Hospital Escuela Dr Ramón Madariaga. (2) Hospital Madariaga.

 

Introducción: La incidencia de infección y/o colonización fúngica en pacientes gravemente enfermos ha aumentado en las últimas décadas; aproximadamente un tercio de ellas que se diagnostican en un hospital tienen lugar en pacientes ingresados en las unidades de cuidados intensivos (UCI). Nuestro objetivo es conocer las infecciones fúngicas en pacientes de UTI del Hospital Escuela de Agudos Dr. Ramón Madariaga de Posadas Misiones.

Materiales y métodos: Estudio retrospectivo en el que se incluyó pacientes internados en la UCI con sospecha o probabilidad de infección fúngica utilizando el candida score; desde enero 2021 a enero 2022, para determinar la presencia de hongos en alguna muestra biológica durante su estadía. La obtención de los datos se realizó a través de la transcripción de los resultados de cultivos y antifungigrama de las diferentes muestras procesadas que incluyeron sangre, secreción traqueal, orina, punta de catéter central. Los aislamientos fueron cultivados en agar y se incubaron por siete días a 28°C. Se realizó revisión diaria de las placas por el servicio de bacteriología y micología.

Resultados: Se analizaron 288 muestras biológicas que correspondian a 72 pacientes internados en UCI, de estos en 31 (43.06%) pacientes con total de 49 muestras biológicas se obtuvo aislamiento de hongos, de los cuales el 40 % (20) fueron en hemocultivos, seguidos en frecuencia en secreción traqueal con 30% (15), secreción abdominal con 14% (7), en catéter venoso central 12%; y sólo 4% en orina. Los géneros más comunes causantes de infecciones por hongos es la Cándida, siendo la más frecuente la C. albicans que fue aislado en el 66.6 % de las muestras. (Tabla N° 1- Gráfico 2)

Conclusión: Demostramos que el 43.06 % de los pacientes ingresados en la Unidad de Cuidados Intensivos del Hospital HEDADRM se aíslan hongos con mayor porcentaje desarrollado en hemocultivos, y que existe una alta incidencia de desarrollo de esta infección más que en otras series revisadas. Candida albicans resultó la especie mayormente identificada en las muestras, lo cual si es similar. Nos faltaría un análisis más exhaustivo para determinar esta diferencia encontrada.

 

 

 

0149   Pancreatitis aguda severa por hipertrigliceridemia: presentación de un caso y su tratamiento

M Agosta(1), DH Gonzalez(1), M Curone(1), J Roque(1), J Etcheverria Trigo(1), F Pecoraro(1), L De Bari(1), L Buira(1)

(1) Clinica Y Maternidad Suizo Argentina.

 

Introducción: La hipertrigliceridemia es la tercera causa más frecuente de pancreatitis aguda, considerándose de alto riesgo para su desarrollo los valores superiores a 1000mg/dL. Estos pacientes tienen peor pronóstico que aquellos que cursan la enfermedad por cualquier otra etiología.

Presentación del caso: Paciente femenina de 39 años de edad con antecedentes de obesidad, hipertrigliceridemia familiar, colecistectomizada y pancreatitis a repetición desde los 17 años de edad. Medicada con fenofibratos. Cursaba internación en sala general por pancreatitis secundaria a hipertrigliceridemia con triglicéridos de 15000mg/dL y lipasa de 2694mg/dL. Empeora con disnea, falla renal aguda e hipotensión arterial. Tomografía computada contrastada que reportó pancreatitis aguda balthazar D con trigliceridemia en aumento. Finalmente, admitida en Terapia Intensiva para reanimación, monitoreo, medicion de presion intraabdominal e inicio de plasmaféresis. Con dos sesiones de aféresis mejora el valor de triglicéridos a 2000mg/dL, con franca mejoría clínica y alta hospitalaria a la semana.

Discusión: Se recomienda medir los valores de triglicéridos en los cuadros de pancreatitis aguda, dado que la hiperlipemia se presenta como causa de esta enfermedad, pudiendo empeorar el manejo de la patología de base.

Conclusión: La pancreatitis aguda es una complicación temida en la hipertrigliceridemia. Debido a mayor riesgo de desarrollar forma grave de la enfermedad, es de importancia un diagnóstico temprano para iniciar un enfoque terapéutico.

 

 

 

0151   VENTILACIÓN MECÁNICA NO INVASIVA COMO TERAPIA DE SOSTÉN EN PACIENTES CRÍTICOS PEDIÁTRICOS MENORES DE UN AÑO CON FALLA RESPIRATORIA AGUDA. ESTUDIO DE COHORTE

JI Simonassi(1), MT Canzobre(1), M Ricciardelli

(1) Garrahan.

 

Introducción: La falla respiratoria aguda (FRA) es la principal causa de ingreso a unidad de cuidados intensivos pediátricos (UCIP) en los pacientes menores de 1 año. En las últimas décadas la ventilación mecánica no invasiva (VMNI) surge como una estrategia de sostén frente a la FRA, pudiendo reducir la necesidad de intubación.

Objetivo: Identificar factores de riesgo de fracaso de la VMNI en pacientes menores de 1 año con diagnóstico de FRA. Secundariamente describir las características de esta población y comparar la evolución entre quienes tuvieron éxito y aquellos que fracasaron.

Métodos: Se realizó un estudio de cohorte observacional retrospectivo, durante enero de 2018 y diciembre de 2021, en una UCIP polivalente. Se incluyeron todos los pacientes menores de 1 año con diagnóstico de FRA que requirieron VMNI con el fin de evitar la intubación.

Resultados: Se analizaron 176 sujetos con una mediana de edad de 4 (RIQ 2-7) meses y 6 (RIQ 5-7,7) kilos, de los cuales 77 (37%) tenían una condición crónica compleja y 16 (9%) síndrome genético. Se diagnosticó bronquiolitis a 163 (93%) y al resto neumonía. Murieron 4 niños (2%). Las características generales de la población, su evolución y comparación se desarrollan en la tabla 1. La VMNI se inició en la UCIP en 136 (77,3%) sujetos y el resto en el departamento de emergencia, con una mediana de 2 (1-4) días, evitando la intubación en 102 (58%). Más de la mitad de los fracasos se produjeron dentro de las primeras 12 horas (59,5%), siendo la fatiga muscular la causa más frecuente (76%). Hubo 6 (3,4%) complicaciones asociadas a la VMNI. En la tabla 2 se desarrolla el análisis de regresión logística.

Conclusión: El inicio de síntomas mayor a 2 días al momento de iniciar la VMNI, tener un score de Tal mayor a 10 e ingresar con un PIM 3 igual o mayor a 0.6 mostraron ser factores de riesgo independientes de fracaso de la VMNI. Los pacientes que respondieron exitosamente a la VMNI tuvieron una estadía más corta tanto en UCIP como hospitalaria.

 

 

 

 

0152   PERICARDITIS CONSTRICTIVA: A PROPÓSITO DE UN CASO

I Bollati(1), N Buzzi(1), A Garcia(1), M Brizuela(1), E Asinari(1)

(1) Misericordia Nuevo Siglo.

 

Introducción: La pericarditis constrictiva, representa una forma de falla cardiaca diastólica severa, secundaria a un pericardio no complaciente. Se trata de una entidad nosológica de presentación poco frecuente de incidencia no establecida en la literatura. Su etiología puede ser postcardiocirugía, actínica, idiopática o tuberculosa entre otras. Las técnicas de imágenes no invasivas al pie de cama aportan

información clínica que acelera el proceso diagnóstico. Presentamos el siguiente caso clínico, de un paciente con pericarditis constrictiva.

Caso clínico: Hombre de 67 años de edad, sin antecedentes patológicos conocidos, que consulta por disnea de esfuerzo progresiva que llega a clase funcional IV y se asocia a edema escrotal y en miembros inferiores. Al examen presenta pulsos disminuidos, R1 y R2 hipofonéticos e irregulares, ingurgitación yugular, anasarca, cianosis periférica, frialdad acral y oliguria. Electrocardiograma con

fibrilación auricular de alta respuesta ventricular. Inicia infusión de furosemida, anticoagulación, y oxigenoterapia con buena respuesta clínica.

Evoluciona con hipotensión y anuria, inicia infusión de dobutamina y noradrenalina con regular respuesta. Horas después sufre deterioro hemodinámico y parada cardiaca reanimada con exito.

Al ecocardiograma se visualiza pericardio hiperecogénico y engrosado, movimiento paradojal delseptum ventricular. En la radiografía directa de tórax se visualiza silueta cardiaca con densidad cálcica, con lo que se diagnostica pericarditis constrictiva por pericardio calcificado.

El paciente es derivado a una institución de mayor complejidad para tratamiento y fallece.

Discusión: La pericarditis constrictiva es una causa de falla cardiaca diastólica infrecuente, curable, y de variadas etiologías, que debido a sus implicancias pronósticas debe ser tenida en cuenta como diagnóstico diferencial junto con valvulopatías y miocardiopatia restrictiva.

Sus características ecocardiográficas son consecuencia de su patrón hemodinámico, con elevación de presiones de llenado ventriculares, ecualización de presiones telediastólicas, disociación de presiones cardiotorácicas y discordancia biventricular, generando el bamboleo septal y el desplazamiento respirofásico del septum. La calcificación pericárdica se da en el 25-30% de los casos.

Conclusión: La pericarditis constrictiva es una causa poco frecuente e infradiagnosticada de insuficiencia cardiaca, que requiere una alta sospecha clínica y manejo en centros especializados. La ecografía

al pie de cama representa una herramienta que puede agilizar el diagnóstico de esta entidad.

 

 

 

 

0153   MIASTENIA GRAVIS DE NUEVA APARICION POST VACUNACION CONTRAL EL SARS-COV-2. REPORTE DE CASO

M Martinez, LC Avila(1), EC Rodriguez(1)

(1) Instituto Medico Rio Cuarto.

 

Introducción: La MG es una enfermedad de la unión neuromuscular que afecta los músculos esqueléticos bulbares, respiratorios y de las extremidades, presentando ACRA e impidiendo la transmisión de la cascada excitatoria durante la contracción muscular.

La MG se controla con inhibidores de la aChR, esteroides, inmunosupresores y/o timectomías. Las exacerbaciones pueden ser inducidas por multiples causas. Reportamos un caso de una crisis de MG inducida por la vacuna AstraZeneca.

Presentación del caso: Mujer de 61 años de edad, que presenta disfonía y faringitis 11 días post 2° dosis de vacuna AstraZeneca.

Ingresa por parestesias y debilidad generalizada. A las 24 hs evolución tórpida, ingresa a UTI, por incremento de cuadriparesia, hiporeflexia, disfagia, disfonía, disartria, reflejo tusígeno presente, pimax -15 pemax +10, ptosis palpebral bilateral, diplopía. Episodios de disautonomia. IOT y ARM.

Laboratorio: serologías virales negativas, LCR: sin particularidades, colagenograma ACRA + 13523.

Tratamiento con piridostigmina, Inmunoglobulina humana y pulsos de Metil-Prednisolona.

Dia 3 se realiza traqueostomia precoz y suspencion de sedación.

Dia 7 sin respuesta a estímulos y reflejos bulbares abolidos, EEG: normal.

Dia 10-13 respuesta al dolor y movilización parcial de extremidades. Nueva PL: aumento de proteínas.

Dia 15-20 movilización de tronco. Apertura ocular y bucal.

Dia 40 PSV, moviliza hombros.

Dia 51 traqueo en T/PSV

Dia 70 moviliza cabeza y cuello.

Dia 77-98 weaning ARM, cánula fonatoria.

Dia 102 Deglución apropiada, pase a sala general.

Dia 110 alta.

1mes al alta: score de rankin modificado: 0

Discusión: Se publicaron diversos trabajos de paciente que padecían MG y sus complicaciones en la infección por SARS-COV-2, hasta el momento en la literatura hay pocos casos de MG de nueva aparición post vacunación contra SARS-CoV-2. La tormenta de citoquinas presentada en COVID-19 exacerba los síntomas de MG.

Conclusión: Los trastornos inmunomediados de nueva aparición después de la vacunación son infrecuentes. Esta serie de casos destaca la importancia de reconocer los trastornos inmunomediados relacionados con la vacunación contra el SARS-CoV-2. No está claro si la vacuna está causalmente relacionada con el desarrollo de MG o si se trata de una ocurrencia aleatoria y las evidencias que respaldan una relación causal son escasas.

 

 

 

 

0154   CESÁREA DE URGENCIA POR CRISIS MIASTÉNICA COMPLICADA CON PREECLAMPSIA TARDÍA EN CONTEXTO DE INFECCIÓN POR COVID 19

E Gonzalez(1), A Bianchi(1), N Göldy(1), N Ortiz(1), J Gironacci(1), A Borgherini(1), G Izaguirre(1), L Talamonti(1), S Sanchez(1), G Elias(1)

(1) Hospital Provincial Rosario.

 

Introducción: La crisis miasténica se caracteriza por debilidad severa de los músculos respiratorios y bulbares, puede requerir soporte ventilatorio mecánico. Puede desencadenarse por factores ambientales, infecciones, medicamentos, embarazo, etc.

El tratamiento consta de soporte ventilatorio, inmunoterapia con plasmaféresis o inmunoglobulina y soporte vital en cuidados críticos, pudiendo presentar complicaciones como infecciones pulmonares, alteraciones hemodinámicas y dificultad para el destete.

Presentación del caso: Mujer de 19 años con diagnóstico previo de miastenia gravis, timoma en plan quirúrgico, tabaquista y cursando su primer embarazo, que ingresa a UTI por post operatorio de cesárea de urgencia por crisis miasténica asociada a Sars Cov2 y preeclamsia severa tardia complicada con PRES que requirió ARM y tratamiento con inmunoglobulina.

Discusión: El embarazo es uno de los factores que pueden desencadenar una crisis miasténica por lo cual el tratamiento es la finalización del mismo y tratamiento con piridostigmina. La complicación con preeclamsia severa tardia es rara y en este contexto se torna dificultoso el tratamiento ya que está contraindicado el sulfato de magnesio por la miastenia, si bien el alumbramiento es el tratamiento de base.

La prevalencia de COVID 19 en miastenia gravis no difiere con respecto a la población en general y no se correlaciona con la gravedad.

La preeclampsia severa tardía se asocia a PRES que resulta ser reversible con el control de la tensión arterial.

La administración de inmunoglobulina es eficaz en las crisis que no revierten con anticolinesterásicos.

Se recomienda el uso de VNI así como la intubación orotraqueal preventiva.

Conclusión: En nuestro caso se realizó cesárea, tratamiento antihipertensivo, ARM e inmunoglobulina endovenosa con buena evolución. Al presentar esta superposición de patologías que complican su embarazo: crisis miasténica, preeclampsia tardía asociada a PRES más las limitaciones del uso de fármacos que están contraindicados en las miastenia gravis planteamos la presentación del caso por el desafío terapéutico que implica.

 

 

0155   HEMATOMA INTRAMIOCARDIO DISCECANTE POST INFARTO AGUDO MIOCARDIO

YS Talmas Hurtado(1), N Tello(1), L Del Rio(1), G Izzo(1), E Velasquez(1), J Angulo(1), E Rodriguez(1)

(1) Hzga Simplemente Evita.

 

Introducción: El hematoma disecante intramiocardio es una complicación mecánica del infarto agudo de miocardio (IAM), una neocavitación causada por la disección hemorrágica entre las fibras espirales miocárdicas. En algunos casos se asocia a daño por reperfusión posterior a trombólisis o revascularización percutánea. El 54% de los casos su diagnóstico es postmortem, el 9% se evidencio ruptura del hematoma.

Varón de 54 años, antecedentes de tabaquismo, hipertensión, diabetes, infarto de cara inferior (2016). Ingresa por SCACEST de cara antero septal, en periodo de ventana, recibe terapia trombolítica con estreptoquinasa, sin criterio de reperfusión, evolucionando a shock cardiogénico, IOT/ARM, requerimiento de vasopresor/inotrópico, ecocardiograma: FEVI 29% Simpson, VI: HVI a predominio septo basal dilatación leve con hipocinesia global, AI: dilatación leve, FDVI patrón Bifásico restrictivo, hallazgo en región lateral basal medial y apical, imagen compatible con hematoma organizado, Doppler sin flujo (fig 1). Evoluciona con falla renal aguda requiriendo diálisis. Shock refractario se plantea tratamiento conservador, monitoreo ecocardiográfico con hematoma estable. 3ra semana Cinecoronariografia: lesión severa de art. descendente anterior, angioplastia con implante de un stent convencional, Art. Circunfleja ocluida. 4ta semana, ecocardiograma con disminución de tamaño de hematoma.

Se trata de un hematoma disecante intramiocardio (HDI) diagnosticado mediante ecocardiografía, manifestándose con shock cardiogénico. Mayor frecuencia en SCACEST cara anteroposterior. Relacionado principalmente con trombólisis y angioplastia coronaria transluminal percutánea (ACTP) en tejido isquémico. En la mayoría de los casos su diagnóstico es postmortem. Se debe sospechar ante la persistencia de elevación ST más de 72 h. Diagnóstico diferencial trombos/aneurismas VI. Siendo el ecocardiograma la herramienta más útil para su diagnóstico, monitoreo y decisiones terapéuticas

Su tratamiento es controvertido, incluyen manejo conservador esperando reabsorción del hematoma Vs evacuación quirúrgica y reparación del VI. La decisión de tratamiento se puede tomar en función de la estabilidad hemodinámica, extensión del hematoma y disfunción del VI.

En resumen, la HDI es una complicación mecánica rara IAM con alta mortalidad. Dada la falta de protocolos de tratamiento, el manejo debe ser individualizado.

 

 

 

0156   INCIDENCIA DE COMPLICACIONES TARDÍAS EN TRAQUEOSTOMIAS PERCUTÁNEAS

VI Reichert(1), N Carrizo(1), A Marozzi(1), M Filippi(1), L Morano(1), R Avila(1)

(1) Jose Maria Cullen.

 

Introducción: La traqueostomía percutánea, representa en la actualidad, un procedimiento invasivo habitual para el manejo de pacientes con asistencia respiratoria mecánica (ARM) prolongada. Las complicaciones inmediatas al procedimiento han sido bien documentadas por numerosas series, pero aquellas tardías, como estenosis, granulomas o fístulas, son difíciles de registrar debido a la alta mortalidad de este grupo de pacientes, problemas médicos persistentes, renuencia a los controles ambulatorios y ausencia de síntomas.

Objetivo: Describir la incidencia de complicaciones tardías, mediante controles ambulatorios con fibroscopio, de pacientes que requirieron traqueostomía percutánea durante su estadía en terapia intensiva.

Método: Estudio descriptivo y retrospectivo utilizando la base de datos de la Unidad de Terapia Intensiva y del Servicio de Cirugía de Cabeza y Cuello del Hospital Provincial José M. Cullen.

Resultados: Desde octubre 2016 hasta agosto 2018 se realizaron en nuestra terapia intensiva 227 traqueostomías percutáneas. La edad promedio fue de 37 años y el score Apache de 18,6. Motivos de ingreso: Politraumatismo 148 pacientes (65,19%), patologías médicas 69 (30,39%) y quirúrgicas 10 (4,4%). Técnica de traqueostomía: Griggs 58% y Ciaglia 42%; 78 de los 227 procedimientos fueron guiados endoscópicamente. La mortalidad fue del 23,34% (53 pacientes); de los 174 sobrevivientes, solo 70 (40,2%) se presentaron en forma ambulatoria para el control endoscópico. Se diagnosticaron 22 complicaciones (13 estenosis, 3 granulomas, 2 retrotraqueítis, 1 fístula traqueoesofágica, 1 fístula traqueocutánea persitente, 1 parálisis de cuerda vocal y 1 papiloma). De los 70 pacientes, el promedio de estadía en UTI fue de 27,47 días; el tiempo promedio desde inicio de ARM a traqueostomía fue de 12,11 días; los días totales en ARM de los pacientes sin complicaciones tardías fue de 23,28 y en aquellos con complicaciones fue de 25,5 días.

Conclusión: A diferencia de otras publicaciones, en nuestra serie, se presentaron a control de la vía aérea un 40% de los sobrevivientes; se encontraron 22 lesiones laringotraqueales en 16 pacientes (incidencia de 22,85%), las más frecuentes fueron estenosis (59%) y granulomas (13.6%). De los 13 pacientes con estenosis traqueal, 10 fueron severas y necesitaron tratamiento quirúrgico, dilatación o stent.

 

 

 

 

0157   SÍNDROME DE VASOCONSTRICCIÓN CEREBRAL REVERSIBLE: SERIE DE CASOS

MV Gonzalez(1), CG Videla(1), NM Ciarrocchi(1), E San Román(1), JF Sinner(1)

(1) Hospital Italiano De Buenos Aires.

 

Introducción: El síndrome de vasoconstricción cerebral reversible (SVCR) es una entidad caracterizada por cefalea severa “en estallido” que puede presentarse con un déficit neurológico asociado y vasoconstricción multifocal segmentaria difusa cerebral con resolución espontánea en 3 meses, atribuible a alteración en la regulación del tono arterial cerebral. Se comentará una serie de 3 pacientes con diagnóstico de SVCR en nuestro hospital.

Serie de casos: Femenina de 46 años, ingresa por cefalea occipital de 7 días de evolución asociado a desorientación temporo-espacial, refractaria a sumatriptán. Agrega a las 48 hs HIP izquierdo, HSA frontoparietotemporal izquierda con angiografía con reducción de calibre de ambas arterias cerebrales posteriores y del segmento M1 derecho (Imagen 1).

Masculino de 47 años, ingresa por afasia de 5 horas de evolución. Resonancia con HSA focal temporal izquierda + área de restricción cortical adyacente (Tabla 1). En nueva RMN por cefalea aparición de múltiples nuevos focos bilaterales con predominio izquierdo.

Paciente Femenina de 71 años, ingresa por convulsión tónica clónica generalizada, con TC y RMN con HSA focal de la convexidad (Tabla 1). Presenta nuevo evento comicial tónico clónico generalizado con restitución ad integrum.

Discusión: El SVCR está caracterizado por cefalea en estallido que puede estar asociado o no a síntomas neurológicos o convulsiones en menor frecuencia, generalmente desencadenado por un gatillo, como presentaron nuestros pacientes

En los 3 casos los hallazgos imagenológicos fueron compatibles con SVCR, aunque no en todos se encontró evidencias de vasoconstricción en el estudio vascular. Sin embargo, es importante tener presente que la angiografía puede presentar resultados negativos en fases iniciales o muy tardías.

Respecto al tratamiento, hasta la fecha no se han realizado ensayos randomizados al respecto. Actualmente consiste en retirar los desencadenante, manejo analgesico, de presión arterial y nimodipina hasta cese de la cefalea.

Conclusión: El SVCR es una entidad que requiere una evaluación cuidadosa de la clínica e imágenes ya que presenta superposición con otras patologías, pero es caracterizada por ser autolimitada con un buen pronóstico a largo plazo. Es importante establecer el diagnóstico de SVCR desde las fases tempranas, ya que el tratamiento puede modificar el curso de estas enfermedades.

 

 

 

 

0158   Impacto de la Hiponatremia al Ingreso en los pacientes internados en el Servicio de Terapia Intensiva: Análisis retrospectivo

M Gonzalez(1), JE Alfonso(1), LJ Ojeda Flores(1), KV Velazco Velazquez(1), LF Solis(1), LB Costa(1), C Pisarello(1), MA Perez Scetti(1), C Mizdraji(1), LG Huespe(1), S Lazzeri(1), JC Garcia Roth(1), H Alvarez(1)

(1) Hospital Escuela Jose Francisco De San Martin.

 

Introducción: La hiponatremia es la alteración electrolítica más comúnmente evidenciada entre los pacientes de cuidados intensivos, con un impacto en la mortalidad.

Materiales y métodos: Estudio observacional, retrospectivo y analítico, llevado a cabo durante el período comprendido desde el 01 mayo al 30 junio del 2022. Se incluyeron pacientes > 18 años. El análisis estadístico se llevó a cabo con el programa SPSS. Se determinó un valor alfa ≤ 0.05 para significancia estadística.

Resultados: En el período de estudio ingresaron 88 pacientes, de los cuales se incluyeron 66. El sexo masculino representó el 65,15% de los ingresos. La media de edad fue de 46 ± 17 años, APACHE II 16 ± 7. El 68% de los pacientes ingresaron desde el servicio de Emergencias. La incidencia de hiponatremia (NA 125 mEq/L), 18,7% presentaron hiponatremia moderada (124 – 120 mEq/L), y el 18,7% hiponatremia severa (5 días) (p=,154). La mortalidad general fue del 42,4%. La presencia de hiponatremia leve al ingreso, se asoció con un aumento de la mortalidad (OR 3.89 IC95% 0.9-16.6) (p=,055).

Discusión: Nuestro estudio evidenció que un tercio de los ingresos en terapia presentaron hiponatremia con un impacto en la mortalidad.

Conclusión: Durante el período de estudio el 24,2% presentó hiponatremia a su ingreso, asociándose la misma con un aumento del riesgo en la mortalidad.

 

 

0159   Cánula nasal de alto flujo y decúbito prono vigil para Insuficiencia respiratoria grave por neumonía post COVID en paciente adulto con comunicación interventricular

AE Garrido(1), AE Piacenza(1), TC Navarro Toffaletti(1), CB Lopez(1), FN Falcon(1)

(1) Instituto De Cardiología De Corrientes Juana Francisca Cabral.

 

Introducción: Los adultos con cardiopatías congénitas (CCA), constituyen un grupo de alto riesgo de evolución desfavorable ante la infección por Covid-19.

Objetivo: Reporte de caso clínico de Insuficiencia respiratoria grave por neumonía por COVID-19 en un paciente con CIV, tratado con estrategias no invasivas.

Presentación del caso: Paciente de 43 años, portador de CIV. Refiere iniciar el 13/04/2021 con fiebre, tos y disnea CFII. El día 17/04/2021 test rápido SARS-CoV-2 positivo, por lo que realiza aislamiento domiciliario. Progresa a disnea clase funcional III consultando y siendo derivado al servicio de clínica del Hospital de Campaña. El día 24/04/2021 PCR NO DETECTABLE. El 26/04/2021 Evoluciona con desaturación de 86% con aumentos de requerimientos de oxígeno (15 l/m).

El 27/04/2021 ingresa al instituto de cardiología por neumonía por COVID-19 y CIV. Al ingreso Glasgow 15/15, franca dificultad respiratoria e hipoxemia. En tomografía de tórax infiltrados alveolares y áreas de consolidación en lóbulo superior, inferior y segmento de la língula. Se considera la necesidad de IOT. Sin embargo, se decide iniciar soporte respiratorio con cánula de alto flujo a 50Lts, FiO2 40%, 37°C; obteniéndose mejoría gasométrica (saturación 93 a 95%). Se alterna con periodos de VNI (PSV) de 1hs de duración.

El 28/04/21 se inician sesiones de decúbito prono por presentar PAFI < 150. Ecografía Doppler cardiaca evidencia a nivel del septum interventricular jet de comunicación restrictivo con QP/QS DE 1. El paciente continuo con sesiones de decúbito prono y CNAF durante una semana, evidenciándose mejoría clínica y gasométrica (PAFI 224) por lo que el día 5/5/2021 pasa a sala general.

Conclusión: el uso de alternativas no invasivas de soporte respiratorio represento una estrategia útil y efectiva en el manejo de la insuficiencia respiratoria grave por Covid-19.

Discusión: Entre la oxigenoterapia convencional y la ventilacion invasiva existe un espectro de opciones para el manejo del fallo respiratorio, que combinadas, pueden resultar útiles y efectivas. El uso de CNAF y VNI han demostrado disminuir sensiblemente la necesidad de IOT y por ende la mortalidad.

 

 

 

0161   REPORTE DE CASO: ENCEFALOMIELITIS AGUDA DISEMINADA (EMAD) MONOFÁSICA DE  EVOLUCIÓN RÁPIDA Y FATAL RELACIONADA A COVID-19

JA Murtula Ferreyra(1), S Bernthal(1), J Bartoli(1), M Heredia(1), F Alvarez(1), M Guereschi(1), A Muhlberger(1), G Martini(1), L Castillo(1), P Diaz(1), S Julia(1), D Morales(1), F Dominchin(1), A Barcelo(1)

(1) Clinica Universitaria Reina Fabiola.

 

Introducción: EMAD es una enfermedad inflamatoria, desmielinizante, focal o multifocal, de sustancia blanca del encéfalo y médula espinal, de curso agudo/subagudo, usual resolución gradual y base autoinmune. Generalmente monofásica y etiología poco clara. Aparece tras procesos infecciosos, colagenopatías o vacunas, más usual en la infancia. Su diagnóstico es clínico-imagenológico / anatomopatológico y por exclusión.

El objetivo es presentar un paciente adulto con curso letal asociado a inmunización e infección por SARS-CoV-2.

Presentación del caso: Hombre de 51 años, médico, sin APP relevantes, que tras la vacunación contra COVID19 presenta síntomas inespecíficos: astenia marcada y cefalea. Un mes más tarde presentó enfermedad COVID-19 leve. Al mes tras el alta comienza con disartria y paresia del hemicuerpo izquierdo. Una IRM-cerebral muestra lesiones de sustancia blanca con edema y múltiples nódulos con realce de gadolinio; sospecha de EMAD.

Resultados negativos de: panel inmunológico, serologías, Filmarray-LCR, Ac. antimog, AQP4, pancultivos.

Se realiza pulso de Metilprednisolona 1gx5 sin respuesta. Tres semanas después empeora su foco. Se repiten pulsos de MP 1gx3 + Inmunoglobulinas dosis total 170 g + Rituximab 1gx2 + Plasmaféresis. Un mes más tarde reingresa por bilateralización de los síntomas. Una biopsia cerebral revela hallazgos compatibles con EMAD necrohemorrágica. Recibe nuevo pulso de corticoides y Ciclofosfamida. Presenta mala evolución, cuadriplejia flácida hiperreflectica, disfagia, disartria, con conservación de la conciencia. Falleció a tres meses del inicio de los síntomas.

Discusión: Más del 80% de víctimas de EMAD son menores de diez años y raramente ataca adultos, por lo que debieron descartarse tumores, enfermedades metabólicas, tóxicas, vasculitis, Enf. desmielinizantes. El tratamiento dirigido a detener la respuesta autoinmune no detuvo el avance de la enfermedad. Conocer los mecanismo inmuno-moleculares de esta afección podría conducir a nuevos tratamientos.

Conclusión: Presentamos un caso de EMAD, refractaria a tratamien­to, con evolución rápidamente progresiva y fatal, que fue un desafío para el equipo médico. Las lesiones en IRM, la evolución clínica y la biopsia de cerebro son compatibles con el diagnóstico.

El antecedente vacunal y de enfermedad COVID-19 orientan a la aso­­ciación con EMAD.

 

 

 

 

0162   IMPLEMENTACIÓN SISTEMÁTICA DE LA DETECCIÓN DE DELIRIUM EN UNA UCIP A TRAVÉS DE ESCALAS VALIDADAS

C Berrondo(1), C Laplaza(1), J Caridi(1), R Martínez(1), L Viterbo(1), L Faure(1), J Salvatierra(1), R Pasmiño(1), E Barlassina(1), D Mujica(1)

(1) De Niños R. Gutiérrez.

 

Introducción: El delirium es una disfunción cerebral frecuente en las Unidades de Cuidados Intensivos y asociado a más tiempo en asistencia ventilatoria mecánica (AVM), de estadía en UCI y hospitalaria, mayor mortalidad, aumento de los costos, stress post traumático y deterioro cognitivo a largo plazo. El diagnóstico se realiza por escalas al lado de la cama del paciente. En esta implementación se utilizaron las escalas psCAM-ICU, pCAM-ICU y CAPD para detectar sistemáticamente el delirium en los pacientes internados en una Unidad de Cuidados Intensivos Pediátricos (UCIP).

Objetivo: Describir la implementación de la detección sistemática de delirium en los pacientes internados en UCIP a través de escalas validadas.

Materiales y métodos: Diseño: estudio observacional prospectivo descriptivo de una cohorte.

Ámbito: UCIP polivalente de 18 camas de un hospital pediátrico de alta complejidad.

Población: todos los pacientes admitidos a la UCIP por más de 24 hs.

Instrumento: escalas psCAM-ICU, pCAM-ICU y CAPD. Una evaluación diaria.

Recolección de datos: se registraron prospectivamente: edad, peso, RASS, soporte ventilatorio, presencia de delirium, tipo, drogas sedantes, analgésicas, bloqueantes neuromusculares.

Análisis estadístico: Indicadores de proceso: % Promedio de Pacientes evaluados diariamente: pacientes evaluados / pacientes totales x 100.

% Promedio de pacientes perdidos: pacientes no evaluados / pacientes internados x 100.

% Promedio pacientes no evaluables (NE): pacientes NE / pacientes evaluados x 100.

Indicador de resultado: % Pacientes con delirium: pacientes con escala positiva / pacientes evaluados x 100.

Resultados: Se internaron 340 pacientes en 7 meses de estudio. Se evaluaron 298 pacientes (42 pacientes perdidos). Se observó disminución de la pérdida de pacientes con el tiempo (28% inicial – 11% final). Las evaluaciones diarias fueron en aumento (62% inicial – 87% final) lo que mostró una adherencia creciente, con un 80% en los últimos 3 meses.

Se observó delirium en 22 pacientes (7.3%), 23% hiperactivos, 36% hipoactivos y 41% mixtos. 77% de los pacientes con delirium tuvieron menos de 5 años (65% <2 años). 40% no se pudieron evaluar por RASS profundo o deterioro neurológico severo. 54% presentaron delirium inmediatamente después del despertar. 45% tenían infusión endovenosa de opioides y benzodiacepinas.

Conclusiones: La implementación de detección sistemática del delirium en UCIP es factible. Permite también cuestionarse las prácticas de analgosedación y el exceso de sedación profunda. La detección sistemática disminuye el subdiagnóstico y puede mejorar el pronóstico de los pacientes.

 

 

 

 

0163   IMPACTO DE LA IMPLEMENTACIÓN DE OXIGENOTERAPIA A ALTO FLUJO SOBRE LA FRACCIÓN DE ACORTAMIENTO DIAFRAGMÁTICO EN VOLUNTARIOS SANOS. ESTUDIO DE COHORTE PROSPECTIVO

G Plotnikow(1), FJ Bianchini(1), RS Moracci(2), FJ Gutierrez(1), JA Santana Mackinlay(1), F Melgarejo(1), MP Loustau(1), V Acevedo(1), E Di Salvo(1), J Mariani(1)

(1) Hospital Británico De Bs As. (2) Sanatorio Anchorena Recoleta.

 

Introducción: La terapia con oxígeno a alto flujo a través de cánulas nasales (CNAFO2) consiste en la entrega oxígeno (O2) humidificado y calentado a alto flujo (hasta 100 Lts/m) controlando la fracción inspirada de O2 (FiO2). La fracción de acortamiento diafragmática se correlaciona con el esfuerzo inspiratorio, y la ultrasonografía demostró ser una herramienta válida y no invasiva para medirla. Por lo tanto, nuestro objetivo fue evaluar el impacto de la implementación de CNAFO2 sobre la fracción de acortamiento diafragmático mensurada a través de la ultrasonografía muscular en sujetos sanos ventilando espontáneamente.

Métodos: Estudio de cohorte, prospectivo, descriptivo que se realizó en un hospital de la Ciudad Autónoma de Bs As, en el periodo de tiempo comprendido entre el 1º de marzo al 30 de junio del 2022. Se incluyeron 13 voluntarios sanos, a los cuales se les implementó CNAFO2 y se les midió la función diafragmática a través de ultrasonografía muscular.

Resultados: La mediana de fracción de acortamiento del diafragma disminuyó significativamente a medida que el flujo aumentaba (p<0.05). La medición basal fue de 21.4 (RIQ 17.4-30) % sin CNAFO2, de 18.3 (RIQ 13-23.1) % con CNAFO2 a 20 L/m y de 16.4 (RIQ 11.7-27.5) % con CNAFO2 a 40 L/m (Figura 1). Observamos también una disminución significativa de la frecuencia respiratoria (FR) a medida que aumentaba el flujo en la CNAFO2 (p<0.05), a razón de 1 ciclo cada 4 L/m administrados. La mediana de FR basal fue de 16 rpm (RIQ 14-18), con 20 l/m tenían una mediana de 10 rpm (RIQ 8-12) y a 40 l/m de flujo los pacientes tenían una mediana de 6 rpm (RIQ 6-7) (Figura 2).

Conclusiones: La utilización de oxigenoterapia de alto flujo en sujetos sanos disminuye la fracción de acortamiento diafragmático y la frecuencia respiratoria conforme aumenta el flujo utilizado. Esto podría fundamentar el uso de flujos elevados aun en situaciones de normoxemia.

 

 

 

 

0164   Monitoreo avanzado durante la desvinculación de la ventilación mecánica invasiva, en trasplante unipulmonar. Reporte de un caso

JM Nuñez Silveira(1), VR Ruiz(2), LN Borrajo(2), EM Steinberg(2), I Ceballos(2), J Ems(2), N Roux(2)

(1) Hospita Italiano. (2) Hospital Italiano De Buenos Aires.

 

Introducción: El trasplante pulmonar es el tratamiento de elección en la etapa terminal de enfermedades pulmonares. A través de TIE se logra ver la distribución de los volúmenes pulmonares, constantes de tiempo, índices de inhomogeneidad y espacios silentes de manera no invasiva. De igual manera con el uso de ultrasonografía es posible observar directamente la capacidad de contracción del diafragma y el trofismo.

Presentación del caso: Ingresa a UTI en postoperatorio de trasplante unipulmonar, se observa a través de TC, una menor expansión del hemitórax izquierdo e hiperinsuflación aguda (HA) del pulmón nativo. Se programó traqueostomía, al día 6. Día 9 se conecta a ECMO V-V. Día 18 se retira el ECMO. Día 20 comienza PVE en tubo en T con oxígeno. Luego de intentos fallidos de PVE se realiza mediciones avanzadas.

T0 en PC-CSV 7 cmH2O, PEEP de 5 cmH2O, FiO2 de 30%, 15 minutos. Se toma 10 minutos de vuelta a la situación basal. T1, 15 minutos en CPAP 5 cmH2O, FiO2 30%. T2, 15 minutos en tubo en T oxígeno de 3 l/m.

Discusión: En el caso presentado, se observa a través de la ultrasonografía una función asimétrica del diafragma, al igual que en el trabajo del grupo de Troyer et, al.

La medición del TIE arrojó un índice de inhomogeneidad elevado, lo que manifiesta las diferencias en la distribución del volumen, que a su vez provoca constantes de tiempo sumamente diferentes. Además, se observa un atrapamiento aéreo en las curvas donde se discriminan los cambios de impedancia de cada pulmón durante los ciclos sucesivos

Las mediciones de P.01 y Pocc reflejaron valores que no se asocian con aumento significativo de la presión muscular o el drive central, lo que no fue concluyente a la hora de identificar la causa de falla de la desvinculación en el paciente.

Conclusión: Las herramientas de monitoreo avanzado podrían orientar el diagnóstico de la causas del fracaso en el destete de la ventilación mecánica en pacientes con trasplante unipulmonar. Se requieren más estudios para determinar la utilidad clínica de estas herramientas en el destete de la ventilación mecánica invasiva.

 

 

0165   Reporte de un caso de Mal de Pott en un lactante

L Menta(1), E Paz(1), A Coca Salazar(1), A Dalzotto(1), C Olivera(1), C Karina(1)

(1) Hospital El Cruce.

 

Introducción: La tuberculosis (TB) continúa siendo un grave problema de salud pública, siendo una de las principales causas infecciosas de muerte.

Las manifestaciones extrapulmonares se presentan entre el 10 al 15 % y el compromiso músculo esquelético en 10 al 20% . La localización más común musculoesquelética es en columna 50 % (enfermedad de Pott).

Caso clínico: Varón de 2 meses previamente sano ingresa con diagnóstico de invaginacion intestinal y sepsis. Evoluciona con cuadro de dificultad respiratoria que requiere asistencia ventilatoria mecánica (AVM). La radiografía de tórax evidencia derrame pleural izquierdo y lesión vertebral. En líquido pleural aisló Stafilococo Aureus meticilino sensible(SAMS). La evolución fue tórpida requiriendo estudios complementarios.

La Resonancia magnética nuclear (RMN) de columna muestra acuñamiento anterior de vértebras D6 y D8 con desplazamiento posterior de D7 e irregularidad de los contornos de los cuerpos vertebrales y compromiso de discos intervertebrales con cambios en las partes blandas contiguas, colección líquida epidural antero-posterior que realza el anillo tras la administración de gadolinio compatible con proceso infeccioso (figura 1).

Debido a que los hallazgos en las imágenes sugieren Enfermedad de Pott se inició tratamiento con Tuberculostáticos y continuó con cefalotina.

Se realizó aspirado gástrico y traqueal para BAAR que fueron negativos, se tomó muestra por punción-aspiración de zona vertebral guiada donde rescata Mycobacterium Marselliense.

Discusión: Dada la complejidad del caso, compromiso óseo con destrucción de varios cuerpos vertebrales, posibilidad de complicaciones motoras graves y edad del niño, se realizó Ateneo multidisciplinario decidiendose descompresión quirúrgica del canal medular y fijación de la columna con homoinjerto óseo e inmovilización con corsé tipo Minerva. En un segundo tiempo se realizará evaluación y se determinará la necesidad de nueva cirugía.

Un distractor que generó duda en el caso fue el aislamiento del SAMS ya que se describen lesiones compatibles por dicho germen similares a las halladas.

Conclusiones: El diagnóstico de tuberculosis extrapulmonar representa un desafío debido a que las muestras son paucibacilares por lo que se requiere un alto índice de sospecha y una exhaustiva historia clínica. Las complicaciones de la enfermedad son devastadoras e incluyen destrucción ósea, deformidad de la columna y disfunción neurológica severa.

 

 

 

0166   USO DE ACIDO TRANEXAMICO EN PACIENTE CON ENFERMEDAD DE VON WILLEBRAND CON SHOCK HEMORRAGICO

A Gira(1), F Leveratto(1), V Pousa(1), A Riios(1), P Pratesi(1)

(1) Universitario Austral.

 

Introducción: Enfermedad de Von Willebrand (EVW) es la coagulopatia hereditaria más frecuente, el factor de Von Willebrand (FVW) media la adhesión plaquetaria al factor VIII para formar el coagulo de fibrina.

Existe mayor prevalencia de hemorragia en EVW vs personas sanas, en Metrorragia 90% vs 25%, en hemorragia 45% vs 20%.

El tratamiento incluye Desmopresina: aumenta 3 -5 veces los valores de FVIII Y FVW 0,2 ug /K , Hemate P: concentrados inactivados de FVIII y FVW , Acido tranexamico: 15 mg/k cada 8 hs, antifibrinolitico, inhibidor del plasminogeno y plasmina, usado para tratamiento y profilaxis de sangrado en hiperfibrinolisis.

Reporte de caso: Mujer de 39 años, antendecentes de EVW , Gesta 10, P7, A3.

Ingresa por guardia por metrorragia posterior a ingesta de Misoprostol por embarazo detenido y retenido de 11 semanas. Al ingreso taquiardica y taquipneica, Hemoglobina baja, coagulograma y Tromboelastograma normal, Hematologia indica Desmopresina 18 mcg, crioprecipitados y 1 gr de ácido tramexamico, se realiza legrado requiere 2 UGRS, vasopresores, continua con acido tranexamico 1 gr cada 8 hs por 72 hs. Posterior a 5 dias en UCI pasa a clínica médica.

Discusión: La hiperfibrinolisis es frecuente en trauma y hemorragia ginecobstericas severa. Se recomienda Acido tranexamico como profilaxis en EVW en situaciones con riesgo de hiperfibrinolisis como cirugías programadas odontológicas y ginecoobstericas. En nuestro caso no se usó como profilaxis solo como tratamiento.

Conclusión: Considerar el uso de drogas antifibrinoliticas como el acido tranexamico en Enfermedad de Von Wllibrand ya que reduce el riesgo de hemorragia y muerte materna

 

 

0168   Hantavirus: reporte de un caso

MM Palacio(1), CA Eckhard Morales(2), E Avila(3)

(1) Kirchner. (2) Angel C.padilla. (3) Maternidad.

 

Introducción: La infección por hantavirus produce enfermedades zoonóticas con una tasa de mortalidad de hasta un 60%, no existiendo un tratamiento específico y cuyo diagnóstico temprano puede reducir la mortalidad a la mitad. El reservorio del virus que pertenece a la familia Bunyaviridae y del cual se conocen aproximadamente 50 tipos diferentes, se encuentra en roedores cola larga o del campo, y al parecer cada tipo de virus se relaciona con determinado roedor. Causan dos tipos diferentes de enfermedad una con repercusión pulmonar que es la que prevalece en América y otra fiebre hemorrágica y síndrome renal endémica en Europa y Asia. En la provincia de Tucumán no existen casos frecuentes, ni es considerada zona endémica si bien el roedor reservorio está presente.

Caso clínico: Paciente de sexo masculino de 39 años, trabajador rural, que ingresa a terapia intensiva con síndrome febril artralgias y mialgias de 1 semana de evolución, dolor abdominal, náuseas y vómitos, oliguria y deshidratación, evoluciona en 48 horas con insuficiencia respiratoria, tac de tórax con infiltrado de aspecto alveolar de localización hiliar y parahiliar bilateral, gasométria de síndrome de distress respiratorio grave, requiere de asistencia respiratoria mecánica. Evoluciona con Shock hipovolémico monitorizado por ultrasonografia de la vena cava inferior. hemoconcentración por laboratorio, intercurre con fracaso renal agudo anuria requiriendo hemodiálisis. Se toman muestras para serologías hanta-virus, leptospira, influenza, sarscov2, Informándose Elisa positivo hantavirus. Evolución clínica favorable, desvinculada de ARM al quinto día, y suspensión de hemodiálisis al dia 9.

Conclusión: La provincia de Tucumán no reporta casos frecuentes de Hanta Virus, el cuadro clínico puede ser subestimado por su similitud con otros procesos febriles respiratorios. El diagnóstico temprano y tratamiento dirigido disminuye la mortalidad.

 

 

 

 

 

 

0169   VASOESPASMO POST CIRUGÍA DE RESECCIÓN DE ADENOMA HIPOFISARIO: PRESENTACIÓN DE UN CASO.

S Schverdfinger(1), C Videla(1), N Ciarrocchi(2), J Sinner(1)

(1) Hospital Italiano De Buenos Aires. (2) Hospital Itailano De Buenos Aires.

 

Introducción: El vasoespasmo postquirúrgico es un hallazgo poco frecuente (1,9%) pero con una morbimortalidad elevada, en parte por la falta de reconocimiento de dicha entidad a tiempo. Principalmente se visualiza en postoperatorios de tumores hipofisarios y de meningiomas, presentándose entre el 4 y 7mo día de la cirugía a predominio de la circulación anterior.

Presentamos un caso de vasoespasmo temprano post resección de adenoma hipofisario con mala evolución clínica.

Presentación del caso: Paciente masculino de 47 años, sin antecedentes relevantes, que se interna de forma programada para resección de adenoma hipofisario cuya clínica era alteración del campo visual.

En las 24 horas posteriores al procedimiento comienza con somnolencia por lo que se realiza tomografía de cerebro evidenciándose HSA supra e infratentorial asociada a volcado ventricular (Imagen 1). Evoluciona con paresia facio-braquio-crural derecha por lo que se realiza angiotomografía de cerebro evidenciándose disminución del calibre difuso de los vasos intracraneanos a predominio del circuito anterior, interpretándose como vasoespasmo moderado/severo (imagen 2). Se realiza tratamiento médico con nimodipina e hipertensión arterial con evolución desfavorable por lo que se realiza angiografía para tratamiento farmacológico y endovascular del vasoespasmo.

A pesar del tratamiento instaurado intercurre con edema cerebral difuso secundario a isquemias difusas en tomografías sucesivas, con hipertensión endocraneana refractaria al tratamiento médico realizando en última instancia una craniectomía descompresiva. Intercurre con elevación sostenida de la presión intracraneana con cuadro clínico compatible con muerte encefálica.

Discusión: El vasoespasmo postquirúrgico es una complicación poco frecuente pero con elevada morbimortalidad. Dentro de los factores predisponentes se encuentra la localización de tumor, la invasión tumoral de la vasculatura, la estirpe tumoral y su vascularización, la HSA postquirúrgica, la disfunción hipotalámica y meningitis postoperatorio, entre otros. El tratamiento consiste en el uso de nimodipina, hipertensión arterial y como última instancia tratamiento endovascular farmacológico o angioplastia, sin una clara evidencia.

Presentamos un paciente con vasoespasmo severo postoperatorio refractario al tratamiento instaurado, tanto médico como quirúrgico, con evolución a muerte encefálica.

Conclusión: El vasoespasmo postoperatorio sin bien es poco frecuente, genera una alta morbimortalidad por lo que consideramos fundamental su diagnóstico precoz para efectuar el monitoreo y tratamiento adecuado.

 

 

 

 

0170   PLASMAFERESIS EN PANCREATITIS AGUDA SEVERA HIPERTRIGLICERIDEMICA. HOSPITAL JOSÉ MARÍA CULLEN, SANTA FE: REPORTE DE CASO

MA Alzugaray, S Izza(1), M Filippi(1), N Carrizo(1), R Avila(1)

(1) Hospital José Maria Cullen.

 

Introducción: La hipertrigliceridemia (HTG) es la tercer causa de pancreatitis aguda (PA). Con un valor de corte de triglicéridos (TG) superior a 1000 mg/dl. Representa el 4–10% de los casos, con una morbimortalidad mayor al 30%. El tratamiento incluye restricción dietética, administración de hipolipemiantes, insulina y heparina. La plasmaféresis se ha propuesto como otra alternativa terapéutica, aunque disponible en pocos centros.

Caso clínico: Paciente masculino de 28 años, con antecedente de obesidad mórbida y diabetes mellitus, consulta por dolor abdominal y vómitos. Laboratorio: TG 11.200 mg/dl, amilasemia 470 U/L, glucemia 2,6 g/l, acidosis metabólica, cetonemia positiva. Tac de abdomen: Baltazar B. Se interpreta como Pancreatitis aguda grave secundaria a hipertrigliceridemia, asociada a cetoacidosis diabética. A pesar de la reanimación inicial y el tratamiento estándar, persiste con dislipemia severa y SOFA elevado, por lo que se decide iniciar plasmaféresis (recambio plasmático por filtración, maquina Amplya). Se realizaron tres sesiones con buena evolución y descenso de los triglicéridos (luego de la primera sesión descendió a 500 mg/dl). Continuó con tratamiento médico e hipolipemiantes hasta el alta.

Discusión: La plasmaféresis extrae lipoproteínas de baja densidad con sustitución de un coloide (albumina y/o plasma), reduce los niveles de TG y de citoquinas inflamatorias; de esta manera lograría un rápido descenso de triglicéridos desde la primera sesión.

La evidencia muestra que son suficientes de 1 a 3 sesiones para mejorar la condición clínica y reducir el riesgo de recurrencia. Grado de recomendación de la ASFA (1C).

Ante la falta de respuesta con la terapéutica estándar en cuanto a complicaciones sistémicas, locales y mortalidad, algunos autores recomiendan el empleo de este método de depuración extracorpórea.

Conclusión: En nuestro caso, la plasmaféresis redujo rápida y significativamente el valor de triglicéridos y llevó a la mejoría clínica.

Este procedimiento extracorpóreo no está disponible en muchos centros, y su reporte para el tratamiento de pancreatitis hipertrigliceridémica es muy bajo en nuestro país.

 

 

0171   COMPORTAMIENTO DE LA PRESIÓN DEL BALÓN DE NEUMOTAPONAMIENTO DEL TUBO ENDOTRAQUEAL DURANTE UNA MANIOBRA DE CONTROL HABITUAL CON DISTINTOS MANOVACUÓMETROS. ESTUDIO DE LABORATORIO

I González(1), CB Dominguez(1), EA Di Salvo(1), MP Loustau(1), VS Acevedo(1), JC Melero(1), MD Celano(1), FJ Bianchini(1), FJ Gutierrez(1), J Mariani(1), G Murias(1), GA Plotnikow(1)

(1) Hospital Británico De Bs As.

 

Introducción: Las principales funciones del balón de neumotaponamiento del tubo endotraqueal (TET) son evitar la macroaspiración y permitir la presurización del sistema respiratorio. Para esto es fundamental mantener una adecuada presión dentro del balón disminuyendo así los riesgos para el paciente. Su control rutinario con el manovacuómetro se considera la mejor alternativa.

Objetivo: Evaluar el comportamiento de la presión del balón de neumotaponamiento de diferentes TET durante la simulación de una maniobra de insuflado y control de la misma con diferentes manovacuómetros.

Materiales y Métodos: Se realizó un estudio analítico, de cohorte y transversal. Se emplearon 4 marcas de TET de un lumen tipo Murphy de 8 mm de diámetro interno con balón y 3 modelos de manovacuómetros. Además, se utilizó un monitor de mecánica respiratoria (Fluxmed® MBMed) conectado al interior de balón a través del cuerpo del extremo distal del TET. La secuencia de medición incluyó cinco presiones (Figura 1).

Resultados: Se realizaron un total de 528 mediciones sobre los 4 TET. Durante el procedimiento completo (conexión y desconexión) se observó una caída significativa de la presión de 6,98 ± 1,39 cmH

2O con respecto a la presión inicial (P INICIAL) (p<0,05). De la cual, 6,01 ± 1,36 cmH2O se perdieron durante la conexión (diferencia entre P INICIAL y P CONEXION). El valor de P RECONEXIÓN fue de 19,1 ± 1,64 cmH2O, lo cual evidencia una caída total significativa de la presión de 10,9 ± 1,64 cmH2O (diferencia entre P INICIAL y P

RECONEXION) (p<0,05). Por último, la media de PFINAL fue 29,6 ± 1,34 cmH2O.

Los distintos manovacuómetros mostraron diferencias significativas entre sí, de acuerdo al momento de medición considerado (p<0,05). Un fenómeno similar se evidencio al analizar los diferentes TET (p<0,05) (Figura 2).

Conclusión: Como consecuencia de la práctica habitual de medición de la presión del balón de neumotaponamiento se producen modificaciones importantes, que pueden influir en la seguridad del paciente.

 

 

 

 

0174   TUBERCULOSIS EXTRAPULMONAR EN LA TERAPIA INTENSIVA INFANTIL. REPORTE DE CASOS

M Pazmino(1), M Gonzalez(1), P Castellani(1), C Lutkevicius(1), A Bordogna(1), M Rabino(1)

(1) Especializado En Pediatría Sor María Ludovica De La Plata.

 

Introducción: La tuberculosis (TBc) es un problema de salud pública con mayor incidencia en los últimos años, la morbimortalidad ocasionada puede generar importantes complicaciones y potenciales secuelas. Su magnitud de epidemia está subestimada sin manifestaciones clínicas específicas, lo que retrasa el tratamiento y eleva el riesgo de infección diseminada. La mayoría de los casos son de localización pulmonar, cercanas al 20% son extrapulmonar.

Objetivos: Describir las características clínicas y secuelas de una serie de pacientes con Tbc extrapulmonar que requirieron Unidad de Cuidados Intensivos Pediátricos (UCIP) durante el período 2020 a 2022.

Descripción: Se reportan cuatro casos de pacientes con promedio de edad de 20 meses, sin predominio por el sexo, con promedio de 5 días desde el inicio de los síntomas hasta el ingreso a UCIP, la causa de ingreso fue deterioro del sensorio, requirieron ARM alrededor 20 días, todos tenían la vacuna BCG. Las variantes clínicas dependen del sistema comprometido, Meningitis en 3 casos debutaron con rigidez cervical y deterioro neurológico, otro con compromiso intestinal presentó inicialmente síntomas gastrointestinales.

No se tuvo rescate microbiológico en 2 de los 4 pacientes, se trataron por la presentación clínica y epidemiología positiva en catastro familiar; un solo paciente el Genexpert positivo, y un solo caso tuvo infección diseminada. Todos recibieron levofloxacina adicional a las drogas de primera línea Isoniacida, pirazinamida, etambutol y rifampicina durante la fase de inducción debido a llegada dificultosa a SNC, y aquel con compromiso intestinal Amikacina, Meropenem y Rifampicina hasta la rehabilitación enteral. Las secuelas neurológicas fueron síndrome pierde sal cerebral, cuadriparesia espástica, hidrocefalia con requerimiento de VDVP, dos fallecieron por otras causas; y se visualizó perforaciones intestinales y abscesos interasas que condicionó yeyunostomía y nutrición parenteral durante 6 meses, hasta rehabilitación enteral.

Conclusiones: La causa de ingreso a UCIP de pacientes con TBc son SDRA, falla multiorgánica, estatus convulsivo, deterioro neurológico. La sospecha clínica es un reto para llegar al diagnóstico debido a la baja especificidad de los síntomas, la dificultad para obtener muestras adecuadas y bajo reporte epidemiológico lo que conlleva al retraso en el diagnóstico y tratamiento, incrementado el riesgo de infección diseminada grave.

 

 

 

 

0176   Valor predictivo del Tiempo de Relleno Capilar basal para el desarrollo de shock séptico en pacientes con sospecha de infección y requerimientos de internación en UTI

DP Acosta(1), D Vazquez(1), N Fermin Paredes(1), W Rosales(1), C Bernal(1), S Eiguren(1), L Bucetta(1)

(1) Sanatorio Anchorena.

 

Objetivo: Evaluar el valor predictivo de parámetros de shock oculto como exceso de base (EB) <-2, Tiempo de Relleno Capilar (TRC)>3 segundos y Lactato >20 mg/dL, para predecir el desarrollo de shock séptico en pacientes ingresados a UTI con sospecha de infección.

Materiales y métodos: Estudio de cohorte prospectiva. Población: adultos que ingresan a UTI con sospecha de infección definida por toma de hemocultivos y/o inicio de antibióticos entre 02/06/2022 al 06/08/2022.

Resultados: Ingresaron 40 pacientes de los cuales, 20(50%) evolucionaron a shock séptico.

Al ingreso (0 h), 28 pacientes (70%) presentaron EB<-2, con un valor de –4,6[-1.45- -7,6], 18(45%) un TRC >3s y 17(42,5%) lactato de 16,8[12-31] mg/dl. Los controles a las 6h fueron: 27(67%) con EB –5[-0,8- -8,3], TRC > 3s 15(37,5%) y 19 pacientes (47%) con lactato de 19,7[13,6-35,8]. A las 12 hs, 26(65%) presentaron EB de –4,7[-1,2- -7,6], TRC >3s 12(30%) y 13(32%) lactato de 19,3[14-23,3]. A las 24 hs, 23(57%) pacientes EB –5[-1,2- -7,8], TRC > 3s 7(17,5%) y 13(32%) con lactato de 18.9 [13,9-30.3].

Recibieron resucitación con cristaloides (1,5 [0,5-2,75]), vasoactivos 10(44%), ARM 18(45%) y hemodiálisis de urgencia 5(12,5%). El tiempo de estadía en UTI fue de 7[3-16] días. La mortalidad fue del 25% (10).

En el análisis multivariado, el TRC al ingreso se relacionó independientemente con el desarrollo de shock séptico (OR 10,1 [1,67- 61,4] p 0.012) mientras que el valor de lactato a las 6 hs, no lo fue (OR 2,19, [0,43-11,05] p 0.34).

Conclusiones: De los tres parámetros de shock oculto evaluados en pacientes con sospecha de infección al ingreso a UTI, el TRC fue el único predictor independiente de desarrollo de shock séptico. Los pacientes con sospecha de infección que fallecieron presentaron más frecuentemente un TRC alterado a las 6h y peores valores de lactato y déficit de base a las 12 horas. En conclusión, el TRC fue el primer valor en alterarse y el único con valor predictivo.

 

 

 

 

0177   Características y Evolución de una Población de Pacientes con sospecha de infección que requieren ingreso a UTI

DP Acosta(1), D Vazquez(1), N Fermin Paredes(1), W Rosales(1), C Bernal(1), S Eiguren(1), L Bucetta(1)

(1) Sanatorio Anchorena.

 

Objetivo: Evaluar las características y evolución de pacientes con sospecha de infección que requieren ingreso a UTI.

Materiales y métodos: Estudio de cohorte prospectiva. Población: adultos que ingresan a UTI con sospecha de infección definida por toma de hemocultivos y/o inicio de antibióticos entre 02/06/2022 al 06/08/2022.

Resultados: Ingresaron 40 pacientes. 20 (50%) evolucionaron a shock séptico, de los cuales fallecieron 8 (40%). Sus características y evolución se detallan en Tabla 1. El tiempo promedio de inicio de antibióticos fue de 2±1 hs, 18 (45%) requirieron ARM, de los cuales 7 (38%) fallecieron. El tiempo de estadía en UTI fue de 7 [3-16] días. La mortalidad fue del 25% (10).

Conclusiones: Se trató de una población de pacientes añosos, la mayoría varones, que ingresaron a UTI por causas médicas, la mayoría evolucionaron a sepsis y la mitad a shock séptico, requiriendo ARM. La mortalidad del shock séptico fue menor a la media nacional (SATI Sepsis).

 

 

 

 

0178   DECÚBITO PRONO PROLONGADO EN PACIENTES COVID-19 EN  VENTILACIÓN MECÁNICA. ESTUDIO RETROSPECTIVO

MD Celano(1), JC Melero(1), EA Di Salvo(1), VS Acevedo(1), MP Loustau(1), I González(1), CB Dominguez(1), FJ Bianchini(1), MR Del Bono(1), I Brozzi(1), GD Garay(1), FJ Gutierrez(1), G Murias(1), GA Plotnikow(1)

(1) Hospital Británico De Bs As.

 

Introducción: Existe evidencia a favor del uso del decúbito prono (DP) en ventilación mecánica (VM) y de los beneficios en relación a la mortalidad en pacientes con SDRA. Además, algunos reportes afirman que hacerlo de manera prolongada por periodos mayores a 24 horas es seguro, pero no está exento de complicaciones. Durante la pandemia por COVID-19 un elevado número de pacientes requirió DP durante la VM. En Argentina se desconoce las características de esta población y la prevalencia de lesiones asociadas al mismo. Por lo tanto, nuestro objetivo principal en este estudio fue describir la población que requirió DP prolongado durante la VM por falla respiratoria aguda por COVID-19. Además, describir la presencia de lesiones asociadas al mismo y determinar los factores de riesgo para el desarrollo de estas.

Materiales y métodos: Se realizó un estudio observacional, retrospectivo, descriptivo que incluyó pacientes internados en la UCI por COVID-19, que requirieron VM y DP por un periodo de tiempo ≥ 24 horas de manera continua. El DP se utilizó en ciclos de 72 horas ininterrumpidas.

Resultados: Ingresaron 155 pacientes, de los cuales, se analizaron 94 (60,3%) que requirieron DP. La mayoría de género masculino (64%) con una mediana de edad de 67 [61-74] años, con un APACHE II de 13,4 y en su mayoría inmunocomprometidos (29%). La estadía en UCI fue significativamente mayor en los pacientes que requirieron DP (26 [17-38] vs 18 [11-33] días; p<0.05) como así también los días de VM (22 [14-31] vs 10 [5-24] días; p<0.05). Los 94 pacientes tuvieron lesión grado I, y 39 (41%) pacientes tuvieron lesiones graves ≥II. En lo que respecta a las complicaciones, la suspensión de la alimentación por

desplazamiento de sonda nasogástrica fue el evento más reportado. (Figura 1). La obesidad y la cantidad de ciclos en DP se asociaron a la presencia de lesiones graves (p<0.05) (Tabla 1).

Conclusión: Las características de los pacientes COVID-19 en VM que requieren DP no distan mucho de aquellas descriptas para los pacientes críticos COVID-19 ventilados internados en las UCIs. En estos, la presencia de úlceras por presión graves fue un evento relativamente frecuente, en donde la cantidad de ciclos de DP de manera prolongada y la obesidad aparecieron como factores de riesgo para su desarrollo.

 

 

 

 

0179   PERICARDITIS TUBERCULOSA

M Baron(1), P Schoon(1), L Benito(1), N Montaño(1), N Carbajal(1), P Anave(1), P Carrasco(1)

(1) Higa Guemes Haedo.

 

La tuberculosis es una de las principales causas de morbi-mortalidad a nivel mundial. Un 20 % tienen presentación extra pulmonar. El compromiso pericardio en esta enfermedad representa hasta un 4 %. Sin diagnostico y tratamiento la mortalidad es cercana al 90 %.

Objetivo: Presentación de un caso y revisión de la literatura.

Presentación del caso: Paciente de 62 años, hipertensa, ingresa con precordalgia y disnea progresiva de 3 semanas de evolución, al examen físico se evidencia ruidos cardíacos hipofonéticos, ingurgitación yugular, edema de miembros inferiores e hipoventilación pulmonar izquierda. Electrocardiograma: Ritmo sinusal, hipovoltaje QRS en todas las derivaciones. Ecocardiograma: Derrame pericardio severo con colapso diastólico de cavidades derechas. Ecopleura: Derrame pleural izquierdo moderado. Toracocentesis: Trasudado. Cultivo negativo.

Se interna por derrame pleuro-perdicárdico en estudio, con sospecha de enfermedad oncológica, reumatológica o tuberculosis extrapulmonar. Perfil reumatológico normal, prueba ELISA para HIV negativa. Se realiza Ventana pleuro-pericárdica por VATS con toma de biopsias de pleura y pericardio. Intercurre con FAARV, se realizó cardioversión farmacológica. Biopsia pleural: Infiltrados inflamatorios crónicos, sin evidencia de B.A.A.R. Biopsia de pericardio: Infiltrados inflamatorios crónicos, RT-PCR: Mycobacterium tuberculosis. Se inició tratamiento con drogas de primera línea y corticoterapia. Mejoría clínica, estable hemodinámicamente, pasa a sala general. Luego de 1 semana de tratamiento, se evidenció resolución de derrame pleural y derrame pericárdico. Con buena tolerancia al tratamiento, egreso hospitalario previo control de Ecografía pleural, sin evidencia de derrame y Ecocardiograma: Pericardio libre.

Discusión: La presentación clínica de la tuberculosis pericardica conlleva diagnósticos diferenciales oncológicos y reumatológicos. La biopsia pericárdica hizo posible un diagnóstico oportuno, a pesar de que la sospecha inicial apuntaba a patología oncológica. Y se pudo iniciar tratamiento oportuno. Pacientes con riesgo de exposición en países endémicos que presenten derrame pericárdico debe sospecharse la etiología tuberculosa.

Conclusión: La pericarditis tuberculosa, manifestación infrecuente, tiene morbi-mortalidad elevada; con un diagnóstico oportuno y tratamiento temprano podría obtenerse la resolución del cuadro. Sin embargo, su diagnóstico es un desafío, dado que la presentación clínica es inespecífica. Deben combinarse estudios de imagen y microbiológicos asociados a factores epidemiológicos para su confirmación.

 

 

 

0180   El nivel de conocimientos y prácticas de enfermería en la valoración de escalas en  pacientes con sedoanalgesia sometidos a ventilación mecánica, de la Unidad de Terapia Intensiva, del Hospital Pablo Soria, Jujuy, de Marzo a Agosto del 2022

VA Gallardo(1), GV Limon(1), M Lamas(1), P Balceda(1), G Cruz(1), M Balceda(1), D Crespo(1), C Tintilay(1), D Sajama(1), C Caceres(1), G Rodriguez(1), N Palacios(1), O Lopez(1), P Baez(1)

(1) Pablo Soria.

 

Introducción: La sedación y la analgesia son una práctica habitual en las Unidad de Terapia Intensiva (UTI) y constituyen parte del tratamiento del paciente crítico y su uso no está exento de complicaciones, derivadas en su mayoría de su baja o sobre utilización, que pueden prolongar la Ventilación Mecánica (VM), complicar la evolución y pronóstico del paciente crítico e incrementando el coste sanitario. De ahí la importancia del trabajo de investigación tener como OBJETIVO determinar el nivel de conocimientos y prácticas de enfermería en la valoración de escalas en pacientes con sedoanalgesia (SA) sometidos a VM de la UTI, del Hospital Pablo Soria (HPS), de la provincia de Jujuy.

Materiales y método: Fue observacional, descriptivo de corte transversal cuantitativo, la muestra estuvo constituida por 40 profesionales de enfermería, exclusión a jefe de la unidad, instructores, jefa y residentes de enfermería. El instrumento para recolectar datos un cuestionario cerrado para determinar el nivel de conocimiento de SA y una planilla observacional de práctica.

Resultados: En el periodo de 4 meses, se demostró que el personal de enfermería tiene un nivel de conocimiento en la valoración de escalas en pacientes con SA sometidos a VM, solo un 5% es alto, un 75% es medio y un 20% es bajo y en la práctica el 20% tiene práctica adecuada, el 35,5% aceptable y el 47,5% inadecuada. CONCLUSION se determinó que el conocimiento del profesional de enfermería es un Conocimiento Medio y práctica inadecuada.

 

 

 

 

0181   Seguimiento en un centro de rehabilitación de una cohorte de sujetos con COVID-19 crítico luego del alta de la Unidad de Terapia Intensiva

S Sciuto(1), MM Santini(1), PR Peral(1), FE Villagra(1), EM Arocena(1), JN Martínez Nehin(1), I Zabert(1), GE Zabert(1)

(1) Clínica Pasteur.

 

Introducción y objetivos: La internación en una Unidad de Terapia Intensiva (UTI) genera en hasta la mitad de los pacientes, alteraciones físicas, cognitivas y psiquiátricas denominadas Síndrome Post Cuidados Intensivos (SPCI) cuyas secuelas pueden durar hasta un año como se ha reportado en el SPCI asociado a COVID-19. Objetivo: Describir la evolución dentro de un centro de rehabilitación (CR) de los sujetos con diagnóstico de SPCI asociado a la COVID-19 en términos de funcionalidad respiratoria, alteración cognitiva, independencia en actividades de la vida diaria (AVD) y mortalidad.

Material y métodos: estudio de cohorte retrospectivo que incluyó adultos con diagnóstico de SPCI asociado a COVID-19 asistidos en un CR interdisciplinario. Se registraron características clínico-demográficas, requerimiento de ventilación mecánica (VM) y decúbito prono en UTI, VM y traqueostomía (TQT) al ingreso y al egreso del CR, fuerza muscular con la escala Medical Research Council (MRC), capacidad funcional con el Test de Marcha de 6 minutos (TM6), valoración cognitiva con la escala de Pfeiffer, nivel de independencia en AVD con el Índice de Barthel (IB), destino al alta y mortalidad.

Resultados: Se evaluaron 130 sujetos, todos recibieron VM en centro de agudos. El 66,1% fueron hombres con edad media de 54 años. El 90% tenía antecedentes patológicos. Al ingreso, 21,5% requerían VM y 74,6% TQT. Permanecieron una mediana de 37 días en el CR. Al 90,8% se le otorgó el alta domiciliaria sin VM y 2 con TQT. 5 fallecieron manteniendo la VM y 4 con TQT. 7 fueron derivados, 2 a otro CR y 5 a cuidados agudos por complicaciones, de los cuales, 2 con TQT, 1 óbito y 4 altas domiciliarias.

La comparación al ingreso y al egreso del MRC,Pfeiffer e IB resultó estadísticamente significativa (p<0.001). El TM6 al ingreso fue no evaluable y al egreso caminaron una mediana de 355 metros (IC95% 145-480).

Conclusiones: La internación en un CR para sujetos con SPCI asociado a COVID19 resultó segura y generó mejoras significativas en fuerza muscular, capacidad funcional, alteración cognitiva e independencia en las AVD, logrando 90% alta domiciliaria y 3,85% de mortalidad.

 

 

 

 

0182   ESTRATEGIAS DE AFRONTAMIENTO PARA PROTEGER LA SALUD MENTAL ANTE EL COVID-19 QUE UTILIZA EL PERSONAL DE ENFERMERÍA DE TERAPIA INTENSIVA DEL HOSPITAL PABLO SORIA

MM Balceda(1), M Lamas(1), DS Crespo(1), GR Cruz(1), C Caceres(1), N Palacio(1), G Rodriguez(1), P Baez(1), O Lopez(1), V Gallardo(1), P Balceda(1), V Limon(1), C Tintilay(1), D Sajama(1)

(1) Pablo Soria.

 

Introducción: Como todo servicio de Cuidados intensivos, el personal enfermería de terapia intensiva está expuesto a diferentes factores de riesgos durante la atención, y en el contexto de pandemia, éstos riesgos no sólo son físicos sino mentales y ponen a prueba los conocimientos, habilidades, valores y actitudes de los enfermeros frente a situaciones de elevado estrés llevando a utilizar distintas estrategias de afrontamiento de protección mental.

Objetivo: La presente investigación tuvo como objetivo general Determinar las estrategias de afrontamiento para proteger la salud mental ante el Covid-19 que utiliza el personal de enfermería de la terapia intensiva del Hospital Pablo Soria, de la Ciudad de San Salvador de Jujuy, durante el 3er trimestre del 2021, se tomó como referentes teóricos a Frydenberg y Lewis (1993 en Canessa, 2002), quienes presentan tres estilos de afrontamiento: Resolución de problemas, Referencia a otros y Afrontamiento no productivo. Este estudio fue de utilidad para detectar o prevenir signos o síntomas que llevan a desequilibrios psicológicos, emocionales o mentales que ineludiblemente interfieren o influyen en la calidad de atención brindada a las personas que están en riesgo de perder su integridad física o en última instancia, su propia vida.

Materiales y método: Tipo de estudio descriptivo y transversal. Variable: Estrategias de afrontamiento. Dimensiones: Resolución de problemas, Referencia a otros y Afrontamiento no productivo. Universo: 40 profesionales enfermeros. Tiempo: 3er trimestre del 2021. Fuente: primaria. Técnica de recolección de datos: encuesta. Instrumento: cuestionario auto administrado.

Resultados: Se comprobó que el 52% de los enfermeros no utiliza estrategias de Resolución de problemas por lo que no encuentran en la recreación maneras de proteger la salud mental. El 52% no utiliza estrategias de Referencia a otros o no socializan sus problemas y el 81% no utiliza estrategias de Afrontamiento no productivo.

Conclusión: En conclusión, el 52% del personal de enfermería mantiene la estabilidad mental en general, y el 81% no recurre a estrategias de afrontamiento no productivo, por lo que no manifiestan conductas autodestructivas. El contexto de Covid- 19 tuvo efecto negativo en el 48% del personal de enfermería.

Palabras claves: Estrategias de afrontamiento; Salud mental; Covid -19.

 

 

0183   IMPLEMENTACIÓN DE CHECK LIST DIARIO COMO MEJORA DE LA SEGURIDAD DEL PACIENTE EN UNA UCIP

C Berrondo(1), E Monteverde(1), M Garea(1), P Neira(1)

(1) De Niños R. Gutiérrez.

 

Introducción: Los checklists son listados de acciones para utilizarse en distintas situaciones y garantizar no saltear pasos claves. Los listados de verificación (LV) o checklists se basan en ingeniería de factores humanos y tienen un rol central en la seguridad del paciente.

Se han utilizado exitosamente en diferentes áreas de la medicina: reducción de mortalidad y complicaciones asociadas a las cirugías, con la utilización del checklist quirúrgico; mejora de la comunicación del equipo de salud; disminución de infecciones asociadas al cuidado de la salud (IACS); mejora de los cuidados postoperatorios, prescripción segura de medicación, mejora del traspaso de información de pacientes, entre otras.

En nuestra unidad de cuidados intensivos pediátricos (UCIP) se decidió realizar la implementación de una LV al pie de la cama para no olvidar los aspectos a evaluar en cada paciente ni las condiciones de su seguridad.

Objetivo: Describir la implementación y desarrollo de una LV en una UCIP polivalente.

Métodos: Desde enero de 2021 se implementó una LV de aplicación diaria durante la recorrida de sala matinal. Se implementó en el software KoBo Toolbox, que permite guardar los datos en el dispositivo móvil y enviarlos con posterioridad. La LV incluyó 31 ítems en 9 categorías (tabla): respiratorio (n=10), analgesia y sedación (n=4), nutricional (n=3), hemodinamia (n=3), piel y mucosas (n=3), dispositivos (n=2), neurológico (n=2), hidroelectrolítico (n=2) e infectológico (n=2).

Resultados: Entre el 1º de enero de 2021 y el 31 de julio de 2022 se registró la realización de 3289 listas de verificación y 6470 días-paciente (tasa 50.8%). El promedio de los primeros 11 meses fue 33% y el de los segundos 8 meses, 87.1% (gráfico). Las estrategias para mejorar la adherencia fueron mantener una comunicación activa con los referentes de los sectores, comunicar los hallazgos en forma regular (ateneos de servicio, información de resultados semanal a todo el equipo). El grado de completitud fue: hidroelectrolítico (99.1%), infectológico (98.8%), neurológico (98.2%), nutricional (98.1%), dispositivos (97.4%), piel y mucosas (96.1%), hemodinamia (93.9%), analgesia (90.0%) y respiratorio (64.2%).

Conclusión: La implementación de una LV en una UCIP polivalente del sistema público es factible siendo una herramienta valiosa para mejorar la seguridad del paciente.

 

 

0184   Factores que influyen en el inicio de la Nutrición Enteral en Pacientes críticos de UCI del Hospital Pablo Soria de la provincia de Jujuy

G Cruz(1), C Caceres(1), M Balceda(1), M Lamas(1), V Gallardo(1), C Tintolay(1), D Sajama(1), P Balceda(1), N Palacios(1), G Rodriguez(1), D Crespo(1), P Baez(1), O Lopez(1), V Limon(1)

(1) Pablo Soria.

 

Introducción: Durante la internación del paciente crítico, se pudo observar que el inicio de la nutrición enteral (NE) determina el estado de desnutrición, repercutiendo en la morbimortalidad y días de hospitalización del mismo. Por ello es importante valorar los factores que influyen en el inicio de la NE en este paciente.

Objetivo: Identificar los factores que influyen en el inicio de la NE durante el período abril- junio 2022, en la UTI-HPS. Analizar, clasificar, predecir y describir los factores y las complicaciones que surgen a partir de la postergación del inicio de la NE.

Materiales y método: Se realizo un estudio estadístico mixto, transversal y prospectivo, en el Hospital Pablo Soria de la ciudad de San Salvador de Jujuy, Argentina. La población estuvo constituida por pacientes hospitalizados desde abril a junio de 2022. La muestra está conformada por pacientes críticos que Ingresaron al servicio de UTI durante el periodo de abril a junio de 2022. Las variables de estudio fueron edad, sexo, días de internación, inicio de la NE, motivos por los que no inicia la NE.

Resultados: En el periodo de tres meses ingresaron en total 62 pacientes, 24 (39%) son < 30 años, 16 (%) tienen entre 31 a 50 años y 22 (35%) son > 51 años. Del total 25 (40%) son mujeres y 37 (70%) son varones. 12 (20%) iniciaron la NE en tiempo optimo, 14 (24%) iniciaron en un tiempo temprano y 33 (56%) inicia tardíamente. Motivos por los que no inicia NE: 3 (8%) no está indicado, 10 (26%) por patologías digestivas y 26 (67%) por HD inestable.

Conclusión: El estudio ha servido para conocer las características de nuestra población de referencia, como así también afirmar que el inicio de la NE se va a ver reflejado en la estadía, evolución y mejoría del paciente critico en nuestra UCI , por tanto, afirmamos que cuanto más temprano se inicie la NE mayores serán los beneficios para el paciente crítico.

 

 

 

0185   Terapia de reemplazo renal continuo en  pacientes pediátricos críticos en una Utip Pediátrica polivalente en Santa Fe

M Helmfelt(1), M Picullo(1), J Maniello(1)

(1) Orlando Alassia.

 

Introducción: Nos situamos en una UCI pediátrica polivalente de 12 camas, donde, se ha incorporado recientemente el manejo postquirúrgico de Cirugia Cardiovascular. El Fallo Renal y por consiguiente, las terapias de Reemplazo renal son una de las principales estrategias que disponemos en UCIP para el tratamiento de los pacientes críticamente enfermos. Históricamente la inestabilidad hemodinámica y el tamaño de los pacientes ha sido una limitante para las técnicas de depuración extra renal. El advenimiento de TRRC ha permitido tratar esta población, se ha gestionado la incorporación al servicio de 2 equipos de TRRC : Carpediem para pacientes de 2,5 a 10 kg y Amplya para pacientes mayores de 15 kg. Asimismo se incorporó un protocolo de ingreso a TRRC así como un equipo interdisciplinario para el manejo continuo , conformado por Médicos intensivistas del staff, Nefrólogos, Consultores, y técnicos de diálisis. Durante el período de agosto de 2021 a julio de 2022 se realizaron 7 procedimientos en 6 pacientes, con iguales cantidades de Femeninos y masculinos, la edad de los pacientes fue de 2 meses a 14 años. Todos los pacientes presentaban Fallo renal, disturbios metabólicos, acidosis metabólica e inestabilidad hemodinámica moderada a intensa. Los diagnósticos principales fueron: shock séptico 5 pacientes. SUH 2 pacientes. Cardiopatía congénita descompensada 1 paciente La metodología utilizada principalmente fue HDVVC Se describen las características de los pacientes , la evolución de parámetros de medio interno y hemodinámicos, así como los resultados mas relevantes de morbimortalidad en UTI.

 

 

0186   LOXOSCELISMO SISTEMICO: REPORTE DE UN CASO CLINICO

N Carbajal(1), P Carrasco(1), P Schoon(1), L Benito(1), N Montaño(1), M Baron(1), P Anave(1), D Suster(1)

(1) Higa Guemes Haedo.

 

La mortalidad por picaduras de animales ponzoñosos tiene una letalidad del 15%. El 85% de los casos se reportan en domicilio, las picaduras por Loxosceles Laeta representan un 4% y ocupan el segundo lugar entre los producidos por picaduras de arañas. Solo el 10% de estos casos evolucionan hacia una forma severa con compromiso sistémico y un desenlace fatal.

Objetivo: Presentación del caso y revisión de la literatura.

Presentación del caso: Paciente de 46 años, ingresa por dolor en cara interna de muslo derecho, asociado a lesión eritematosa indurada más flictenas, astenia, adinamia, hiporexia de 48 hs de evolución, cuadro posterior a sensación de picadura de insecto no confirmado en domicilio 24 hs antes de inicio de síntomas con progresión rápida de las lesiones. Al examen físico somnolienta, muslo derecho tumefacto con dos flictenas de 2 cm sobre placa violácea que ocupa 2/3 de muslo en su cara interna, oligoanuria.

Por sospecha de loxoscelismo sistémico vs infección de piel y partes blandas, se administra suero anti veneno, e inicia tratamiento antibiótico empírico.

Ingresa a UTI somnolienta, empeoramiento de la lesión asociado a disfunciones orgánicas, se realiza toilette quirúrgica. Evoluciona con inestabilidad hemodinamica, se amplia esquema antibiótico, inicia hemodialisis.

Evolución favorable, mejoría de fallas orgánicas, buena evolución de la lesión. Pasa a sala general y posteriormente es dada de alta.

Discusión - Conclusión: La identificación del agente causal en patologías causadas por picaduras de arácnidos es necesaria para brindar un tratamiento oportuno. El loxoscelismo es una enfermedad de difícil diagnostico, más aun si no se identifica al agente causal.

En la forma viscero-cutanea, la gran similitud que comparte con un cuadro séptico de piel y partes blandas puede llegar a confundir el diagnostico. Por lo tanto, la evaluación primaria el diagnostico debe estar basado en un profundo y sistemático uso de la anamnesis y de los datos epidemiológicos que se puedan recabar del paciente o el entorno,asi sumar datos suficientes que aporten en el diagnóstico la posibilidad de loxoscelismo sistémico en pacientes con patologías cutáneas asociadas a disfunciones sistémicas.

 

 

 

 

0187   Esfuerzo terapéutico de Enfermería medido por TISS 28 en el servicio de Cuidados Coronarios del Adulto

R Talma(1), T Robetto(1)

(1) Higa Dr Alende.

 

Como refieren Romero-Maza et.al. (2011), determinar las cargas de trabajo, calcular el personal y la asignación de pacientes constituye una herramienta imprescindible para la gestión del cuidado. El TISS-28 es un método para medir la intensidad del tratamiento cuantificado de las intervenciones que sirven para vigilar la carga de trabajo y establecer una adecuada asignación enfermera-paciente.

Se plantea así como objetivo conocer el esfuerzo terapéutico en el servicio de Cuidados Coronarios requerido por el personal de Enfermería, mediante un estudio cuali-cuantitativo, descriptivo y transversal. Muestreo no probabilístico, integrado por todos los pacientes que se encuentren internados en el servicio de cuidados coronarios durante los meses mayo a julio 2022; y todo el personal asistencial de enfermería vinculado al servicio en igual período de tiempo. Se utilizó la escala Tiss 28 y encuesta autoadministrada para enfermería como instrumento de recolección de datos.

Se lograron recolectar datos durante 25 días con un total de 226 muestras Tiss 28, observándose una media de esfuerzo terapéutico de 15, 9 puntos, correspondiendo a un grado II de complejidad del paciente. Esto requiere una relación de 1 enfermera cada 4 pacientes.

El valor máximo de esfuerzo terapéutico fue de 39 puntos, y el mínimo de 8 (anexo I).

Como resultados del análisis sociodemográfico de un total de 19 enfermeros, todos son de sexo femenino, exceptuando uno. En cuanto al Grado alcanzado, más de la mitad del personal es Técnico Enfermero (63%), existiendo 1 solo Licenciado en Enfermería, sin contar con personal con título de posgrado.

Se midió la antigüedad en el servicio, donde se evidencia que casi la mitad del personal (47%) lleva menos de 1 año (anexo II), lo que refleja una alta necesidad en capacitación.

Se puede observar una distribución casi igualitaria de 6 a 4 enfermeros por turno, alcanzando la correspondiente relación enfermera/paciente según grado de complejidad arrojado (promedio 9 pacientes internados/dia).

El porcentaje de ocupación de camas en el servicio fue del 75%, ajustándose a las normas de organización y funcionamiento de los servicios de cuidados intensivos.

Por último, podemos afirmar que la presencia de un paciente sometido a cirugía cardiovascular aumenta la carga de Tiss 28.

 

 

 

 

0188   FALLA MULTIORGÁNICA DEBIDA A MORDEDURAS MÚLTIPLES DE ARACNIDOS

S Ruiz Laos(1), J Morales Corvacho(2)

(1) Regional. (2) Clinica Montefiori.

 

Introducción: Las mordeduras de arañas son eventos frecuentes y usualmente no graves, pero pueden revestir mucha gravedad, requerir medidas de soporte vital extraordinario y comprometer la vida.

Caso clínico: Se presenta el caso de un varón, de 34 años, agricultor, previamente sano, que presenta en pocas horas grave compromiso multisistémico, debido, probablemente a mordedura múltiple de arácnidos, ocurrido en una estancia, al quedarse dormido en un ambiente poco higiénico, después de haber ingerido licor. Se le encontró confuso, hipotenso, con múltiples lesiones en manos, pies, tórax, abdomen y cara, sugestivas de mordedura de arácnidos, y que presenta a su ingreso a Emergencia, cuadro convulsivo refractario, dificultad respiratoria, hipotensión arterial, disfunción renal y alteraciones hematológicas, de instalación rápida, por lo que fue admitido a Terapia intensiva y requirió medidas de soporte vital extraordinario. Su evolución fue favorable en UCI saliendo de alta al séptimo día.

Discusión: Se presenta el caso, por ser una complicación rara por su gravedad y compromiso multisistémico causado, aparentemente, por mordeduras múltiples de arácnidos. Es probable que, por haberse producido en un ambiente cerrado y de campo estén involucradas varias especies de arácnidos, principalmente Latrodectus y Loxoceles; El hecho de que el paciente haya ingerido licor también puede haber influido en los reflejos de defensa. La gravedad del cuadro producido por toxinas está en relación directa con la magnitud del inóculo y la susceptibilidad del paciente, por lo que las múltiples mordeduras, nos hace suponer una magnitud de inóculo muy grande, lo que explicaría la severidad del cuadro. Las especies de Latrodectus producen neurotoxinas y las Loxoceles toxinas con importantes efectos locales, que pueden llegar a la necrosis dérmica, hemolisis, daño renal e incluso necrosis visceral. Por la magnitud y diversidad de los sistemas comprometidos, es probable la participación de más de una especia de arácnido. El manejo se centró en medidas de soporte vital, medicación anticonvulsivante, corticoides y antibióticos.

Conclusión: Las mordeduras múltiples de arácnidos pueden desencadenar cuadros tan graves como una falla multiorgánica que ponga en peligro la vida.

 

 

 

 

0189   SHOCK HEMORRÁGICO EN CONTEXTO DE TRATAMIENTO CON INHIBIDORES DEL RECEPTOR DEL FACTOR DE CRECIMIENTO ENDOTELIAL VASCULAR, A PROPÓSITO DE UN CASO

S Bernthal, J Bartoli(1), M Guereschi(1), F álvarez(1), M Heredia(1), A Muhlberger(1), J Múrtula Ferreyra(1), G Martini(1)

(1) Clínica Universitaria Reina Fabiola.

 

Introducción: Bevacizumab es un anticuerpo monoclonal recombinante que se dirige al factor de crecimiento endotelial vascular, un mediador de la angiogénesis y la permeabilidad vascular. Ha demostrado actividad antitumoral cuando se combina con varios agentes quimioterapéuticos citotóxicos y se han realizado ensayos para evaluar la eficacia en diferentes tumores. Los eventos adversos descritos son numerosos, siendo la hemorragia grave uno de ellos.

Presentación del caso: Paciente masculino de 82 años, con antecedentes de tumor fibroso solitario de pleura recidivante, con requerimiento de tres intervenciones quirúrgicas y quimioterapia con temozolomida, bevacizumab y pazopanib, por progresión de la enfermedad. Cursa internación por Neumonía adquirida de la comunidad. Intercurre con shock hemorrágico y requerimiento de transfusión de hemoderivados. Por angiotomografía se diagnostica hematoma retroperitoneal izquierdo infrarrenal con signos de sangrado activo de arterias lumbares izquierdas L2 y L3 con requerimiento de embolización y colocación de 5 coils por hemodinamia. Falleció posterior a estadía prolongada en UTI.

Discusión: El presente reporte de caso, plantea la hipótesis de que la aparición de hematoma retroperitoneal espontáneo podría estar asociado con el tratamiento con bevacizumab. Es un evento raro, pero descripto en la bibliografía. Según estudios farmacocinéticos, la vida media de bevacizumab es de hasta 50 días. El paciente recibió además tratamiento con pazopanib, otro antiangiogénico inhibidor de la tirosina cinasa de los receptores del factor de crecimiento endotelial vascular, del que se describieron también eventos hemorrágicos.

El efecto tóxico más frecuente a corto plazo es la mielosupresión. No existen estudios en los que se analicen eventos adversos posteriores al tiempo de vida media del fármaco.

Conclusión: A partir del presente caso, destacamos la necesidad de sospechar que la hemorragia retroperitoneal espontánea severa podría ser consecuencia del tratamiento antiangiogénico, independientemente del tiempo de exposición a inhibidores del receptor del factor de crecimiento endotelial vascular.

 

 

 

 

0190   Confiabilidad de las maniobras no invasivas para evaluar el impulso respiratorio y el esfuerzo muscular en la fase de soporte parcial de la ventilación mecánica invasiva

S Gigena(1), MG Covello(1), EM Noli(1), M Bezzi(1), S Borello(1), R Mattei(1), G Jove(1), D Masuello(1), ML Laurens(1), M Mastandrea(1), G Rodriguez D´aversa(1), N Suarez(1), F Rodriguez(1), F Gonzalez Piña(1)

(1) Santojanni.

 

Introducción: Durante la fase de soporte parcial de la ventilación mecánica invasiva (VMI), la actividad muscular excesiva podría favorecer la lesión pulmonar auto infligida por el paciente por lo que sería beneficioso evitar valores excesivos de presión plateau (PP) y driving pressure. La manometría esofágica es el patrón de oro para identificar el nivel de esfuerzo muscular, aunque es poco utilizado. Dicha técnica podría compararse con maniobras no invasivas más sencillas de utilizar, como la presión de oclusión en los primeros 100 milisegundos (P0.1) y la presión de oclusión (Pocc). Sin embargo, actualmente no se ha evaluado su confiabilidad.

Objetivos: Determinar la confiabilidad intra e inter-evaluador para medir el impulso respiratorio, el esfuerzo muscular y la mecánica respiratoria a través de P0.1, Pocc y PP. Por otro lado, analizar la correlación entre P0.1 y Pocc.

Materiales y Método: El estudio se realizó en la Unidad de cuidados intensivos del Hospital Donación Francisco Santojanni, entre marzo y junio de 2021. Se realizó un análisis de concordancia mediante el método de correlación intraclase, la viabilidad de la evaluación y la correlación entre la P0.1 y Pocc. Las mediciones fueron realizadas por un evaluador experto (EE) y otro inexperto (EI).

Resultados: Se realizaron 49 mediciones en 19 sujetos. La media de edad fue de 55 años (14,2) y de los días de VMI 19 (8). Se identificó una correlación intra-evaluador excelente (EE) y buena (EI) para P0.1, y excelente para Pocc y PP de ambos evaluadores. La confiabilidad inter-evaluador fue excelente para P0.1 y Pocc, y buena para PP. La presencia de esfuerzo espiratorio al momento de la medición de PP se evidenció en el 41% de las evaluaciones. La P0.1 y la Pocc se correlacionaron de forma moderada (0,69). (Ver tablas 1 y 2)

Conclusión: Los valores de confiabilidad intra e inter-evaluador fueron buenos a excelentes en las maniobras no invasivas durante la fase de soporte parcial. La P0.1 y la Pocc se correlacionaron de forma moderada.

 

 

 

 

0192   Características y resultados de los sujetos con ventilación mecánica invasiva durante la pandemia por covid-19: estudio comparativo entre primera y segunda ola en un hospital público de la Ciudad Autónoma de Buenos Aires

R Mattei(1), G Covello(1), S Gigena(1), EM Noli(1), M Bezzi(1), S Borello(1), G Jove(1), D Masuello(1), ML Laurens(1), M Mastandrea(1), G Rodriguez D´aversa(1), N Suarez(1), F Rodriguez(1), L Silvani(1)

(1) Santojanni.

 

Introducción: Durante la pandemia del SARS-CoV-2, un alto porcentaje de sujetos desarrollaron neumonía por COVID-19. En varios países, hubo dos olas y se informó que la tasa de mortalidad fue más baja durante la segunda. En Argentina se han descripto características epidemiológicas y ventilatorias de los sujetos que requirieron cuidados críticos durante la primera ola, sin embargo, se desconocen datos que hagan una comparación con la segunda.

Objetivo: Describir las características clínicas, parámetros ventilatorios y de mecánica respiratoria con variables de desenlace, comparando a los sujetos de ambas olas.

Materiales y método: Estudio observacional, descriptivo y prospectivo. Se incluyeron a los sujetos de dos Unidades de Cuidados Intensivos del Hospital Donación Francisco Santojanni, con diagnóstico de neumonía por COVID-19, que requirieron ventilación mecánica invasiva (VMI) por al menos 24 horas. Se consideró primera ola desde abril hasta septiembre de 2020 y segunda ola desde abril hasta agosto de 2021. El análisis estadístico se realizó mediante la prueba de χ2, t de Student o U de Mann-Whitney. Se estableció un valor de p≤0,05 como estadísticamente significativo.

Resultados: Se incluyeron 81 sujetos en la primera ola y 112 en la segunda. Los puntajes de severidad de ingreso fueron significativamente mayores en la primera ola: SAPS II (58 (40-67) vs. 49 (26-60); p=0,002), APACHE II (23 (17-27) vs. 20 (15-24); p=0,040) y SOFA (8 (6-11) vs. 7 (3-8); p=0,001). Durante la segunda ola, en los días 1, 3 y 7 de VMI, se encontraron mayores valores de PEEP y presión meseta y al día 1 la compliance fue menor y el poder mecánico mayor, con significancia estadística. La utilización del decúbito prono fue significativamente menor en la primera ola (41 (50,6) vs. 79 (70,5); p=0,000) y la mortalidad significativamente mayor (62 (76,5) vs. 75 (67); p=0,020) (ver tablas 1 y 2).

Conclusión: En las dos olas se observaron parámetros ventilatorios dentro de los valores protectores. Durante la segunda ola la mortalidad disminuyó, los sujetos eran más jóvenes y presentaban menor gravedad al ingreso.

 

 

 

 

0195   REPORTE DE CASO: SINDROME  DE OBSTRUCCIÓN SINUSOIDAL RETO DIAGNÓSTICO EN ADOLESCENTE  CON FALLA MULTIORGANICA

N Fermin(1)

(1) Sanatorio Anchorena.

 

Introducción: El Síndrome de Obstrucción sinusoidal es una complicación asociada con el trasplante de medúla osea .La incidencia media es del 13,7 % en general, presentado disfunción multiorganica en un tercio de los pacientes con una tasa de mortalidad > 80%, el diagnostico se basa en criterios clínicos.

Presentación del caso: Se describe el caso de un paciente masculino de 19 años de edad con, diagnóstico de Leucemia Linfoblástica Aguda B en febrero de 2019 refractaria en cuarta línea de tratamiento con Inotuzumab- ozogamicin por un ciclo con posterior EMR 0.02, se consilida con TPH.

Ingresa a Internación General en febrero de 2021 en plan de trasplante haploidentico de donante geneticamente relacionado, realiza régimen condicionante con TBI Y Etoposido presentado en las primeras 24 horas Neutropenia febril , aumento de peso de 5 kilogramos en 72 horas sin respuesta a diurético , ascenso de valor de bilirrubina a triple de valor de ingreso 1.12 mg/dl . Evolucionando con falla hepática BT:23 mg/dl asociado a progresión exponencial de falla renal , respiratoria , hemodinámica que requiere terapia de soporte . Ante factores de riesgo a quimioterapia y trasplante se sospecha de Sindrome de Obstrucción Sinusoidal con limitación de confirmación diagnóstica por plaquetopenia severa y falta tratamiento especifico , falleciendo en marzo 2021.

Discusión: Tradicionalmente el diagnóstico se ha basado en los criterios de Baltimore sin embargo el curso y la entre adolescentes y adultos jóvenes pueden ser difíciles de predecir por lo que se propuso nuevas pautas de diagnóstico (Tabla 2).

Varios análisis han mostrado una asociación entre el diagnóstico utilizando los criterios de Seattle modificados y mejores resultados versus resultados en pacientes diagnosticados con los criterios de Baltimore más estrictos , demostrando que la intervención temprana se asocia con una mejor supervivencia general. En consecuencia, se ha puesto un énfasis renovado en un diagnóstico basado en la sospecha clínica relacionada a factores de riesgo .

Conclusión: Esta patología se presenta en población pediátrica con criterios diagnósticos mas sutiles , con rápida progresión ; por lo tanto es importante la alta sospecha clínica para inicio de tratamiento temprano .

 

 

 

 

0197   EVOLUCIÓN DE LA MORTALIDAD POR INFECCIONES RESPIRATORIAS AGUDAS BAJAS (IRAB) EN  PACIENTES MENORES DE 2 AÑOS. ESTUDIO OBSERVACIONAL, RETROSPECTIVO, LONGITUDINAL. REPORTE PRELIMINAR

J Caridi(1), L Viterbo(1), E Monteverde(1), P Neira(1)

(1) Hospital De Niños Dr. Ricardo Gutiérrez.

 

Introducción: Las infecciones respiratorias agudas bajas (IRAB) representan una importante causa de morbimortalidad alrededor del mundo. En Argentina los menores de 2 años constituyen el grupo etario más vulnerable y con mayor mortalidad.

Objetivo: Describir la evolución de la mortalidad en la unidad de cuidados intensivos pediátricos (UCIP) en los menores de 2 años con IRAB. Adicionalmente, describir las características clínicas de los pacientes e identificar factores asociados a los cambios en la tendencia de mortalidad.

Métodos: Se realizó un estudio observacional, retrospectivo y longitudinal en la UCIP de un hospital pediátrico de referencia. En este reporte parcial se incluyeron aquellos pacientes que ingresaron con diagnóstico de IRAB durante el período de abril de 2017 a diciembre del 2020.

Resultados: Se analizó una muestra de 185 pacientes obteniéndose un total de 4 fallecidos (2.2%) y una tasa de mortalidad estandarizada (TME) de 0.435 (IC 95% 0.134-0.778). En 2017-2019 se encontró una letalidad por debajo de la esperada. Para 2017: 0.0 (IC 0-0.769), para 2018: 0.4 (IC 0.01-0.953) y para 2019: 0.6 (IC 0.084-0.978). Durante 2020 se observó un incremento en la letalidad: 7.1% vs. 1.8% (promedio 2017-2019) y en la TME: 1.17 (IC no calculable).

La mediana de edad fue de 7 meses (rango intercuartil 4-12) y el 59.5% tuvo al menos una condición crónica compleja. Las más prevalentes fueron: respiratorias, cardiovasculares y congénitas o genéticas. En el 72.4% de los casos se aisló un germen de las secreciones respiratorias; el virus sincicial respiratorio constituyó casi un 30%, seguido por Metapneumovirus, Parainfluenza y Adenovirus. Un 82% de los pacientes requirió asistencia respiratoria mecánica (mediana de 9 días). La prevalencia de complicaciones asociadas a los cuidados de la salud fue 41.2%.

Conclusiones: Los incrementos observados en 2020 en la letalidad y la TME posiblemente se asocien con factores relacionados con los pacientes (tabla 1) y con factores externos relacionados con la pandemia de COVID-19 (menor cantidad de pacientes, cambios en la circulación habitual de patógenos, consulta tardía y alteración de los procesos asistenciales).

 

 

 

 

0198   Características y factores de riesgo asociados a mortalidad durante el primer ciclo de prono secundario a por SDRA por neumonía por SARS- CoV-2

C Gonzalez(1), G Musso(1), JR Louzan(1), G Appendino(1), C Gomez(2), D Latasa(1), A Lopipi(1), J Rango(1), S Calabrono(1), G Sterzer(1), L Finos(1), M Cavagnari(1), G Suarez(1), G Alessio(1), L Berloni(1), E Pizzo(1), A Abarca(1), L Clemente(1), M Manago(1), C Lovesio(1), E Estenssoro(3)

(1) Sanatorio Parque. (2) Sanatorio Parque”. (3) Hospital Intrzonal De Agudos San Martin De La Plata.

 

Introducción: La identificación temprana de los pacientes con falta de respuesta a la posición prona permite otros tratamientos que podrían disminuir la mortalidad. El objetivo de nuestro estudio fue: describir las características, comportamiento de la oxigenación y mecánica pulmonar en pacientes con SDRA con ventilación mecánica por SARS-CoV-2 tratados con posición prona. Los objetivos secundarios fueron identificar determinantes independientes de la mortalidad; en particular, el número de ciclos asociados con mayor mortalidad.

Métodos: Fue un estudio prospectivo. Todos los pacientes con paO2/FiO2 < 150mmHg fueron incluidos y se clasificaron según el comportamiento de la paO2/FiO 2. También se registró el número de ciclos pronos. Las características basales, las scores de gravedad, mecánica respiratoria y el comportamiento de la relación PaO 2/FiO2 se compararon entre sobrevivientes y no sobrevivientes.

El análisis estadístico se realizó mediante las pruebas de Mann Whitney, Chi² Test y Wilcoxon range test. Los factores independientes asociados con la mortalidad hospitalaria se identificaron mediante regresión de Cox.

Resultados: 273 fueron tratados con posición prona durante 18 meses. La PaO2/FiO2 basal fue de 116 [97-135] mmHg (115 [94-136] en supervivientes versus 117 [98-134] en no supervivientes; p=0,50). Después de la posición prona, 22 pacientes (8%) tuvieron el mismo valor en la relación PaO2/FiO2; 46 pacientes (16%) mostraron un aumento igual o igual al 25%; en 55 pacientes (21%) hubo un aumento entre el 25 y el 50% sobre el valor basal; y en 150 pacientes (55%) el aumento fue superior al 50%. La mortalidad fue del 86%, 87%, 72%, 50% respectivamente. (pág<0.001). Haber debutado con PaO2/FiO2 < 100 mmHg no implicó que el paciente fuera refractario a la posición prona.

De los 273 pacientes, 127 (46%) requirieron 1 ciclo prono, 57 (20%) 2 ciclos, 50 (17%) 3 ciclos, 17 (6%) tuvieron 4 ciclos y 19 (7%) 5 o más ciclos. La mortalidad fue de 55%, 70%, 70%, 82% y 70% respectivamente (p<0,001). Los factores asociados independientemente con la mortalidad fueron el porcentaje de aumento de PaO2 / FiO2 después de 24 horas en prono, edad y el número de ciclos propensos.

Conclusiones: Después de las primeras 24 horas en la posición prona, el porcentaje de aumento de PaO2 / FiO2 sobre el valor basal, más allá de su valor inicial, se asoció de forma independiente con una mayor mortalidad.

Los pacientes mayores, que no pudieron mejorar la PaO2/FiO2 después de 24 horas en prono y que requieren más de 1 ciclo propenso, pueden ser candidatos para otros tratamientos para la hipoxemia refractaria.

 

 

0199   CAMBIOS PRE Y POST PANDEMIA EN LA UTI DEL HOSPITAL COMUNITARIO DE PINAMAR

C Mendoza Hadad(1), VH Rogers(1), M Aquino(1), MR Ayala(1), L Bobone(1), A Colombani(1), D Curuchet(1), JA Chuquipoma Diaz(1), E Deza Chingel(1), GP Formica(1), A Gabrieloni(1), ME Garcia(1), ME Gonzalez(1), L Guzmán Cerezo(1), V Mandich(1), M Melia(1), G Perez(1), M Porco(1), J Pui(1), YM Pui(1), J Rodriguez

(1) Hospital Comunitario De Pinamar.

 

Introducción: En la literatura no existe evidencia al respecto de los cambios demográficos provocados en las Unidades de Terapia Intensiva (UTI) secundarios a aumentos poblacionales intra y post pandemia registrados en centros urbanos del interior del país, como el caso de la ciudad de Pinamar en la Provincia de Buenos Aires.

Objetivos: Comparar aspectos demográficos pre y post pandemia en la UTI del Hospital de Pinamar

Materiales y método: Estudio observacional de cohorte retrospectivo en adultos, en una UTI polivalente. Las variables se expresaron como media, desviación estándar, mediana, rango intercuartílico, frecuencia absoluta y porcentaje. La comparación se realizó mediante Chi-Cuadrado, prueba de Fisher, Test de la mediana y t de Student según correspondiera. Nivel de significancia: p <0.05.

Resultados: Reclutados 96 pacientes durante el primer semestre del año 2019, y 105 en el primer semestre de 2022, no se observaron diferencias significativas en: número de pacientes, aunque se incremento un 9,4% en el 2° periodo, edad (61 vs 59 [IC 95%: 2(-3.08;7.19)]; p= 0,43), sexo masculino (74% vs 63.8%; p: 0,12), días de internación (3 [IC 95%: 0 (0; -1)]; p= 0,46), requerimientos de ventilación mecánica (43% vs 39%; p=20), mortalidad (30% vs 29%; p= 0,54), uso de antibióticos (36% vs 42% p= 0,71), diagnósticos (p=0,59), derivaciones (19% vs 23%; p=0,49). Se han encontrado diferencias estadisticamente significativas en la aparición de complicaciones (18% vs 7%, p< 0,05) y en los procedimientos quirúrgicos (2% vs9%, p=0,02).

Conclusiones: Durante el primer semestre del 2022 se evidenció un aumento del 9,4% en los pacientes ingresados en la UTI del Hospital Comunitario de Pinamar, en coincidencia con un aumento poblacional de aproximadamente el 20%, según datos estimados por la municipalidad de dicha ciudad . Aunque este aumento no es significativo estadísticamente por el momento, marca una tendencia que merece ser atendida. Por otro lado, se mantienen las características demográficas de los pacientes; siendo destacable el mantenimiento del uso y tipo de antibióticos, la disminución de las complicaciones registradas y el aumento de prácticas quirúrgicas.

 

 

 

 

0200   Meningitis tuberculosa en paciente con etilismo crónico

MN Göldy(1), A Bianchi(1), J Gironacci(1), N Ortiz(1), E Gonzalez(1), R Martinez Oveid(1), G Izaguirre(1), L Talamonti(1), S Sanchez(1), G Elías(1)

(1) Hospital Provincial De Rosario.

 

Introducción: La meningitis tuberculosa representa el 1% anual de todos los casos de Tuberculosis y es la forma de presentación más letal, con una mortalidad de hasta el 30%.

Presentación del caso: Varón de 56 años, etilista (6 litros de cerveza por día) ingresa por cuadro de 5 días de desorientación, fiebre, cefalea y conducta agresiva. Laboratorio: anemia, hiponatremia, reactantes de fase aguda elevados, HIV negativo.

TAC de cráneo normal. RX tórax sin particularidades. LCR: pleocitosis leve, hiperproteinorraquia e hipoglucorraquia, directo y cultivo para gérmenes comunes negativos, Filmarray negativo. Comienza con antibióticos y antivirales empíricamente y por falta de respuesta, con progresión de foco neurológico, se agregan antituberculostáticos. Se realiza 2º PL con PCR positiva para TBC.

Luego de 72 horas de tratamiento, mejoró su estado general y neurológico, con posterior alta hospitalaria continuando con antibacilares ambulatoriamente.

Discusión: Debido al cuadro clínico mencionado se sospecha meningoencefalitis aguda.

La realización de TAC de cráneo y punción lumbar diagnóstica es mandatoria.

Se obtiene un LCR con pleocitosis leve, hipoglucorraquia e hiperproteinorraquia con filmarray negativo y directo y cultivo para gérmenes comunes negativos.

Debido a la progresión del cuadro neurológico se interpreta como falta de respuesta al tratamiento inicial, por lo cual se realiza nueva punción lumbar con PCR positiva para TBC.

La evolución clínica sin respuesta al tratamiento, sumado a la inmunosupresión y las características del LCR obliga la sospecha de TBC meníngea con el consiguiente tratamiento empírico y la realización de métodos diagnósticos para su confirmación.

Conclusión: La TBC meníngea es una entidad clínica infrecuente con alta mortalidad debido al retraso en el diagnóstico, recomendándose el tratamiento empírico precoz. Se debe tener una alta sospecha en cuadros que no responden al tratamiento y en especial en inmunodeprimidos. Sin embargo se está registrando un aumento en la incidencia de tuberculosis meníngea en los últimos años incluso en personas inmunocompetentes.

 

 

0202   Miocardiopatía séptica: utilidad diagnóstica del strain longitudinal global

F Daldoss(1), A Sosa(1), A Matarrese(1), BA Lucía(1), Y Giuliano(1)

(1) Hospital Alemán.

 

Introducción: La miocardiopatía séptica (MS) es una entidad frecuente aunque su incidencia e implicancia pronóstica no están completamente definidas.

Dado que no existen criterios diagnósticos unificados de MS, diferentes parámetros ecocardiográficos se han utilizado para su definición tales como la fracción de eyección (FEY) y el strain longitudinal global (SLG).

Múltiples estudios han explorado la asociación entre el SLG del ventrículo izquierdo (VI) y mortalidad en pacientes sépticos, aunque sus resultados aún no son concluyentes.

Proponemos establecer la prevalencia de MS según diferentes mediciones ecocardiográficas y su asociación con mortalidad en pacientes internados en UCI por sepsis o shock séptico.

Materiales y métodos: Se analizó en una cohorte prospectiva de 52 pacientes admitidos a la UCI con diagnóstico de Sepsis según definición de Sepsis 3 desde el 1 de noviembre de 2021 hasta el 31 de mayo de 2022. Durante las primeras 24 horas se evaluó disfunción VI según FEY, excursión sistólica del anillo mitral (MAPSE), SLG VI calculado según MAPSE y longitud del VI (STRAIN-VI) y SLG por speckle-tracking (SLG-VI). Se analizaron variables como edad, sexo, APACHE II, SOFA, días de internación y mortalidad en unidad de cuidados críticos (UCI).

Resultados: Se analizaron 52 pacientes. Mortalidad global 34.6% (n = 18). La prevalencia de miocardiopatía séptica varió según el método utilizado entre 39% (FEY) y 96% (SLG.VI).

Al evaluar la asociación entre la miocardiopatía séptica definida por diferentes métodos y la mortalidad en UCI cruda, la medición asociada significativamente fue MAPSE promedio (OR = 3.66, 95%CI: 1.01 - 13.5; P=0.046). Realizando el modelo multivariado ajustado por edad y sitio de infección la variable asociada significativamente con mortalidad fue STRAIN-VI (OR = 9.01, 95%CI: 1.11 - 160.5; P=0.047).

Conclusión: La prevalencia de MS varía dependiendo del método ecocardiográfico utilizado. Teniendo en cuenta los valores de corte reportados en la literatura, la única medición asociada a mortalidad independientemente de la edad y sitio de infección fue STRAIN-VI. Se necesitan estudios para determinar el mejor método y valores de corte para definir miocardiopatía séptica con el mejor desempeño diagnóstico/pronóstico.

 

 

 

 

0205   Probióticos: ¿Son realmente inofensivos?

GL Capdevila Vicente(1), PB Pahnke(1), MC Vignetta(1), S Paván(1), A Lopez(1), I Herrero(1), MV Vignolo(1), I Ocampo(1), S Cabiedes(1)

(1) Hospital Municipal De Urgencias.

 

Introducción: Los probióticos son “microorganismos vivos no patógenos, que, administrados en cantidades adecuadas, confieren un beneficio a la salud”, reduciendo las infecciones. Las esporas de Bacillus clausii, están indicadas para tratamiento y profilaxis de las alteraciones de la flora intestinal que provocan diarrea y para recuperar el desequilibrio secundario a tratamiento con antibióticos. Si bien los resultados son prometedores no hay evidencias para una recomendación sólida.

Presentación del caso: Femenina, 51 años sin inmunocompromiso, ingresa al Shock Room del HMU, Córdoba por degloving de miembro inferior derecho TSCHERNE III secundario a colisión moto vs camión. Con 31 intervenciones quirúrgicas entre toilettes y autoinjerto de piel. Cursa internación en UTI con antibióticos prolongados por múltiples gérmenes en tejido del injerto. Nutrición enteral por sonda nasogástrica. Complicada con úlceras en unión gastroesofágica, gastrostomía con intolerancia alimentaria y finalmente yeyunostomía. Presenta diarrea crónica descartándose enteroinvasivas y citotóxicas, y se administra B. clausii 21 días. Pasadas 48 horas del tratamiento, hemocultivos positivos para Bacilo Gram + sin tipificación con tratamiento empírico (piperacilina-tazobactam + amikacina + colistin), a los 12 días cultivos diferidos positivos para B. clausii. Levofloxacina + vancomicina 21 días. Ecocardiograma transtorácico y transesofágico sin vegetaciones. Alta hospitalaria con levofloxacina + minociclina por 6 semanas. Hemocultivos control negativos.

Discusión: Existe escasa bibliografía sobre uso y complicaciones por B. clausii. Se identificaron 3 casos de bacteriemia por este germen. Halvorsen et al emitieron una advertencia contra el uso de probióticos en pacientes con diarrea por antibióticos. Kothari et al indicaron que la sepsis está relacionada con translocación bacteriana a través de pared intestinal deteriorada. Las revisiones sugieren más estudios para abordar dosis, cepas, duración, vía de administración y poblaciones para tratamiento con probióticos.

Conclusión: Bacillus clausii es una promisoria modalidad terapéutica, pero usarla en pacientes inmunocomprometidos y críticos es cuestionable por su capacidad de translocar al torrente sanguíneo. Si bien la tendencia de uso es positiva, la evidencia aún no la recomienda.

 

 

 

 

0206   SÍNDROME CORONARIO AGUDO SECUNDARIO A ROBO CORONARIO: A PROPÓSITO DE UN CASO

N Grassi(1), CJ Beroiza(1), M Cruz(1), LG Durán(1), VA Millán(1), MG Montenegro Fernandez(1), M Petasny(1), NI Zelaya De León(1), P Zorzano Osinalde(1)

(1) Hospital Municipal De Agudos Leonidas Lucero.

 

Introducción: Las fístulas coronarias entendidas como una comunicación entre una de las arterias coronarias y una vena o cavidad cardíaca constituyen la anomalía congénita coronaria más frecuente. Su localización más habitual es en la arteria coronaria derecha (55% de los pacientes) y en la arteria coronaria izquierda (35% de los casos).

Presentación del caso: Paciente femenina de 39 años con antecedentes de miocardiopatía dilatada diagnosticada en la infancia, con seguimiento errático, ambigüedad genital (realizó tratamiento quirúrgico con anexo histerectomía y reemplazo hormonal que discontinúa por disponibilidad), que es traída por el sistema prehospitalario en paro cardiorrespiratorio desde el domicilio, donde constatan ritmo de fibrilación ventricular y taquicardia ventricular, con reanimación exitosa posterior a 2 desfibrilaciones, ingresa inestable hemodinámicamente con requerimiento de noradrenalina, se intuba y pasa a terapia intensiva. Se realiza electrocardiograma que muestra supradesnivel del ST en V3-V4, y ondas T negativas en V5-V6. Se realiza cinecoronariografía que informa arteria coronaria izquierda sin obstrucciones angiográficas, con múltiples fístulas que drenan hacia la arteria pulmonar y al seno coronario.

Se interpreta como un síndrome coronario agudo secundario a “robo coronario”. Se instaura tratamiento con amiodarona. Evoluciona con mal despertar, sin contenido de conciencia, secundario a encefalopatía hipóxica. Se realiza electroencefalograma que descarta status epiléptico. Permanece diez días en terapia intensiva, buena evolución, extubación exitosa. Luego de veintiséis días se otorga el alta hospitalaria.

Discusión: El cuadro clínico de la mayoría de los pacientes es asintomático, siendo los diagnósticos hallazgos imagenológicos. Las complicaciones más frecuentes son hipertensión arterial pulmonar junto a la insuficiencia cardiaca congestiva, endocarditis bacteriana, rotura o trombosis de la fístula, isquemia miocárdica distal a la fístula como consecuencia de un “robo miocárdico”, entre otros. La presentación sintomática de este evento es mandatorio de resolución quirúrgica o endovascular. La paciente presentaba de base miocardiopatía dilatada, la cual probablemente enmascaró la anomalía vascular. En vista de asociación de patologías congénitas considerar en este tipo de pacientes la importancia en la pesquisa de comorbilidades.

Conclusión: Las fístulas pequeñas se asocian a un buen pronóstico a largo plazo, la presentación referida en el presente caso supone un desafío en el diagnóstico de dicha entidad.

 

 

0207   UTILIZACION DE RECURSOS PRE Y POST PANDEMIA EN LA UTI DEL HOSPITAL COMUNITARIO DE PINAMAR

C Mendoza Hadad(1), VH Rogers(1), M Aquino(1), MR Ayala(1), L Bobone(1), A Colombani(1), D Curuchet(1), JA Chuquipoma Diaz(1), E Deza Chingel(1), GP Formica(1), A Gabrieloni(1), ME Garcia(1), ME Gonzalez(1), L Guzmán Cerezo(1), V Mandich(1), M Melia(1), G Pérez(1), M Porco(1), YM Pui(1), J Pui(1), J Rodriguez

(1) Hospital Comunitario De Pinamar.

 

Introducción: En la literatura no existe evidencia al respecto de los cambios provocados en las Unidades de Terapia Intensiva (UTI) secundarios a los aumentos poblacionales intra y post pandemia registrados en centros urbanos del interior del país, como el caso de la ciudad de Pinamar en la Provincia de Buenos Aires

Objetivos: Comparación pre y post pandemia de la utilización de recursos en la UTI del Hospital Comunitario de Pinamar.

Materiales y métodos: Estudio observacional, retrospectivo. Se incluyeron los registros de pacientes mayores de 18 años ingresados a UTI durante el primer semestre del año 2019 y primer semestre del año 2022. Las variables numéricas se expresaron como media, desviación estándar, mediana, rango intercuartílico; las variables categóricas frecuencia absoluta y porcentaje. La comparación de variables categoricas se realizó mediante Chi-Cuadrado, prueba de Fisher, y las numéricas Test parametricos y no parametricos según correspondiera. Nivel de significancia: p <0.05.

Resultados: Reclutados 96 pacientes durante el primer semestre del año 2019, y 105 en el primer semestre de 2022, no se observaron diferencias ESTADISTICAMENTE significativas en: número de pacientes, aunque se incremento un 9,4% en el 2° periodo, diferencia de mediana de días de internación 3 (IC95%): 0 (0-1) , utilización de catéteres de vía central (47,9% vs 49,5% p= 0,82), ventilación mecánica (44,8% vs 38,1% p= 0,20), medición de tensión arterial invasiva (8,3% vs 14,3% p= 0,18), inotrópicos 38,5% vs 36,2% p= 0,73), sedoanalgesia (36,5% vs 25,7% p= 0,09), derivación de pacientes (18,9% vs 22,9% p= 0,49) respectivamente.

Conclusiones: Durante el primer semestre del 2022 se evidenció un aumento del 9,4% en los pacientes ingresados en la UTI del Hospital Comunitario de Pinamar, en coincidencia con un aumento poblacional de aproximadamente el 20%. Aunque dicho aumento no es significativo estadisticamente marca una tendencia que merece ser evaluada en próximos períodos. Este incremento aún no impacta en la utilización de recursos, necesidad de derivación ni días de internación. Merece una consideración especial, la utilización de cánula nasal de alto flujo, la cual no pudo ser correctamente evaluada dado que fue un recurso no disponible en 2019, pero seguramente dicha práctica será cada vez más frecuente, impactando en los días de internación y utilización de sedoanalgesia. Siendo la disminución de este ultimo parámetro de significancia clínica aunque no todavía de significancia estadística.

La detección precoz de los cambios poblacionales y su impacto en el sistema de salud es de fundamental importancia para la correcta gestión de recursos, fortalecimiento de sectores críticos y generacion de redes sanitarias eficientes en la derivacion de pacientes que por su gravedad así lo requieran.

 

 

 

 

0210   Características de los pacientes con accidente cerebrovascular ingresados en una unidad de cuidados intensivos  pediátricos

S Magee Bahl(1), P Neira(1), E Monteverde(1), D Turina(1)

(1) Ricardo Gutierrez.

 

Introducción: El accidente cerebrovascular (ACV) en pediatría es una de las 10 principales causas de muerte. Se clasifica en isquémico y hemorrágico. Más del 60% de los pacientes que presentan un ACV requiere internación en la unidad de cuidados intensivos pediátricos (UCIP).

Objetivo: Describir las características de los pacientes con diagnóstico de ACV ingresados en la UCIP del Hospital de Niños Ricardo Gutiérrez.

Métodos: Análisis observacional, retrospectivo, unicéntrico, con recolección de datos de la base SATI-Q. Pacientes entre 0 y 18 años, ingresados en el período 7/2017 – 8/2022. Las variables analizadas se expresan como mediana y rango intercuartil (RIC) o cantidad y porcentaje.

Resultados: Durante el período de estudio ingresaron 27 pacientes, siendo 18 (66,7%) ACV hemorrágicos y 9 (33,3%) isquémicos. La mediana de edad de presentación fue 9 años (RIC 5-12), 63% de sexo femenino. El 56,5% presentó al menos una condición crónica compleja (CCC), predominando la causa congénita (30,4%), neurológica (17,4%) y hematológica (17,4%).

La TC de cerebro fue el primer estudio en todos los pacientes y el 77,8% recibió anticonvulsivantes como primera medida terapéutica. La estadía en la UCIP tuvo una mediana de 4 días (RIC 2,5-13) y el 77,8% requirió asistencia ventilatoria mecánica (AVM) con una mediana de 4 días (RIC 1-8).

Fallecieron 5 pacientes (18,5%) con una tasa de mortalidad estandarizada de 3,03 (IC no calculable).

El 40,7% de la muestra tuvo un puntaje de 5 (buena recuperación) en el Glasgow Outcome Scale (GOS) al egreso de la UCIP seguido del 22,2% con 4 (discapacidad moderada).

Conclusión: En esta muestra analizada se observó una mayor proporción de ACV hemorrágico y más de la mitad de los pacientes presentaron CCC.

Si bien la mortalidad fue mayor a la esperada, un gran porcentaje egresó de la UCIP con buena recuperación neurológica.

El ACV en pediatría es una entidad de baja incidencia pero su reconocimiento precoz puede ayudar a limitar las secuelas.

 

 

0211   EXPERIENCIA DE TRAQUEOSTOMÍA PERCUTÁNEA REALIZADA POR TERAPISTAS:  TERAPIA INTENSIVA HOSPITAL HIGA PEDRO FIORITO

AL Ramirez Ayala(1), M Gilli(1)

(1) Fiorito.

 

Introducción: La traqueostomía percutánea con dilatadores (TPD) es un procedimiento electivo mínimamente invasivo para pacientes que requieren ventilación mecánica prolongada.

Objetivo: Determinar la experiencia de la TPD realizada por terapistas como practica bedside.

Métodos: Se realizó un estudio prospectivo observacional del primero de julio del 2021 al primero de julio del 2022, en pacientes con ARM prolongada. Las variables registradas fueron, APACHE II, días de ARM previos a traqueostomia, tiempo del procedimiento, complicaciones, y mortalidad.

Resultados: Ingresaron a UTI 387 pacientes, 251 (64.8 %) requirieron ARM. De los pacientes ventilados 113 (45%) eran post-quirúrgicos y 138 (55%) clínicos. El APACHE II promedio de pacientes que necesito traqueostomia fue de 22.6 con un riesgo de mortalidad del 40%. De los 251 pacientes ventilados 35 (13.9 %) requirieron traqueostomía (TQT) de las cuales 22 (62.9 %) fueron percutáneas y 13 (37.1%) quirúrgicas. Días previos de ARM a TQT fue un promedio de 13 días (3-22). El tiempo de realización fue un promedio de 10 minutos (8-12) (punción traqueal – introducción de la cánula), 21 (97.1%) sin complicaciones transoperatorias, pacientes que presentaron enfisema subcutáneo 0, neumotórax 0, rotura traqueal 0 dificultad de inserción de la cánula 0. hemorragia atribuible al procedimiento 1. (hemorragia leve periostoma no se evidencio sangrado copioso y se descartó lesión de grandes vasos.)

Conclusiones: La TPD es un procedimiento seguro, que tiene ventajas sobre la traqueostomía quirúrgica en cuanto a rapidez, seguridad costo-efectividad y posibilidad de efectuar a pie de cama, evitando riesgos de traslado. Si bien no existe un determinado tiempo ideal de realización de TPD se observó que el tiempo varía según la anatomía del paciente; sin embargo, manejar un tiempo necesario depende del operador con la finalidad de evitar complicaciones tempranas y tardías. Esta técnica de TPD se instauro en nuestro servicio por la gran incidencia de pacientes internados neurocriticos que demandan rehabilitación respiratoria lenta. Aunque se necesita un mayor tamaño muestral, este trabajo proporciona una plataforma para subsiguientes estudios.

 

 

0212   SINDROME CARDIOPULMONAR POR HANTAVIRUS. A PROPOSITO DE UN CASO

M Paz(1), S Araoz(1), NB Pinello(1), NG Passo(1)

(1) Sanatorio 9 De Julio.

 

Introducción: El Hantavirus es una zoonosis producida por un ARN virus y transmitida al hombre por roedores infectados que lo eliminan a través de orina, saliva y excretas. La infección humana se transmite por la inhalación de aerosoles, también hay casos de persona a persona. Predomina en jóvenes de ambos sexos, siendo más frecuente en varones, trabajadores rurales y practicantes de senderismo o camping.

Caso clínico: Paciente femenina de 33 años, antecedentes de práctica de senderismo. Consulta por síndrome febril, mialgias, poli artralgias y malestar general de una semana de evolución, acompañado de disnea moderada y tos seca. Examen Físico: GCS 15/15, febril, taquipnea e hipotensión arterial. Exámenes Complementarios: Laboratorio: Hb 17,5 Hto 52% GB 16330, PLT 44000 Ur 0,27 Crea 0,70 Iono 135/5,0/109 GOT 50 GPT 45 FAL 327 Bili Tot 0,28. TAC de torax: engrosamiento del intersticio lobulillar con areas en vidrio esmerilado en distribucion parcheada y derrame pleural basal posterior bilateral. Evolución: En primeras 24 hs, progresa con Distress respiratorio severo, inestabilidad hemodinámica y deterioro del sensorio. Se intuba y se conecta a ARM. Gasometría: 6,92/82/16/-20/16/7%. Presentó paro cardiorrespiratorio 2 hs post intubación, sin respuesta a reanimación. Se recibe diagnóstico de Hantavirus por serología positiva con ATC IgM en sangre periférica a los 5 días.

Discusión: El hantavirus tiene una baja incidencia, el Síndrome Cardiopulmonar por Hantavirus es una patología de alta mortalidad y en la que no existe tratamiento específico, puede presentarse en brotes.

En Argentina se observó dos grandes brotes: en 1996 (20 casos) en El Bolsón-San Carlos de Bariloche, Provincia de Río Negro y recientemente en 2018-2019 (34 casos) en Epuyén, Provincia de Chubut.

En la provincia de Tucumán desde el año 2017 no se registraba ningún caso.

Conclusión: Es imprescindible la sospecha temprana de esta enfermedad en los casos de síndromes febriles e insuficiencia respiratoria sin otra causa, sobre todo en pacientes probablemente expuestos al virus. La enfermedad se considera objeto de vigilancia intensificada y notificación obligatoria.

 

 

 

 

0213   INSUFICIENCIA RESPIRATORIA EN PACIENTES CON TUBERCULOSIS PULMONAR DURANTE LA PANDEMIA POR COVID 19. SERIE DE CASOS

N Montaño(1), P Carrasco(2), P Schoon(3), L Benito(3), N Carbajal(3), P Anave(3), M Baron(3)

(1) Higa Dr Luis Guemes Haedo. (2) Higa Dr Luis Guemes De Haedo. (3) Higa Guemes Haedo.

 

La tuberculosis es una enfermedad infectocontagiosa, cuya asociación con inmunosupresión conlleva a un aumento de la morbi-mortalidad. La presentación pulmonar que progresa a insuficiencia respiratoria y requiere internación en UCI es poco frecuente, con una mortalidad global del 33%; llegando al 81% en los pacientes que requieren ventilación mecánica.

A continuación presentamos una descripción de casos admitidos en una Unidad de Terapia Intensiva polivalente, durante el periodo de pandemia de COVID-19 de Octubre /2021 hasta Agosto /2022 (Adjunto Tabla 1).

Discusión: La bibliografía establece como una complicación tardía, la insuficiencia ventilatoria en pacientes con Tuberculosis pulmonar. Si los pacientes son diagnosticados precozmente y reciben un tratamiento oportuno el riesgo disminuye.

En la serie de casos presentados los pacientes no fueron diagnosticados oportunamente. Relacionamos este hecho a una época pandémica de otra enfermedad emergente como el COVID 19, donde los pacientes no acudieron en tiempo y forma a centros hospitalarios y muchos de ellos abandonaron tratamiento.

Conclusión: El retraso en el diagnóstico y tratamiento hizo que el riesgo de desarrollar insuficiencia ventilatoria aumentara con respecto a años atrás encontrando un aumento de la mortalidad en pacientes con Tuberculosis que no acudieron oportunamente a un centro hospitalario en una época donde la reducción de la movilidad poblacional, además de medidas de aislamiento y el temor de contraer una nueva enfermedad.

 

 

 

0214   A PROPÓSITO DE UN CASO ENFERMEDAD DE WEIL CON COMPROMISO RESPIRATORIO: UTI  H.I.G.A PEDRO FIORITO

AL Ramirez Ayala(1), J Ripoll(1)

(1) Fiorito.

 

Introducción: La Leptospirosis es una zoonosis de distribución mundial causada por Leptospira interrogans. Siendo la enfermedad de weil la complicación mas grave con alta tasa de morbi/mortalidad, su compromiso respiratoria es del (40%). En Argentina las provincias con mayor notificación son Entre Ríos, Santa Fe y Buenos Aires.

Objetivo: Describir la evolución y gravedad del caso clínico.

Presentación de caso: Masculino de 28 años antecedente consumo de cocaína y tabaquismo, Ingresa a clínica medica por síndrome febril, con serologías para VHC,CHB VDRL,HIV,CMV,VEB(negativas); Asociado presenta disfunciones orgánica mde tipo (hematológica/renal/hepática/coagulopatica), Sedimento urinario patológico (hematuria microscópica) inician ATB (ampicilina sulbactan), Se complementa con HNF COVID-19, Hemocultivox2 y Urocultivo (negativos); Intercurre con IVA/hipotensión, ingresando a UTI por necesidad de ARM y vasoactivos interpretándose como shock distributivo (séptico), Realizándose TAC de tórax: evidencia infiltrado difuso bilateral con patrón micronodulillar, persistiendo las disfunciones orgánicas y agregandose (respiratoria/hemodinámica). Por nexo epidemiológico laboral (limpieza de arroyo) se solicita prueba indirecta y directa para leptospirosis informándose (positiva). En UTI requirió 1 ciclo de prono de 24 hrs., con mejoría del SDRA; Intercurrencia infectologica: aspirado traqueal con Klebsiella Pneumoniae tipo KPC y Acinetobacter Baumannii interpretándose como NAVM iniciando antibiótico dirigido. Presenta buena evolución mejoría de las disfunciones, extubandose electivamente, pasando a sala general. Previa realización de estudios de control TAC y Ecografía abdominal.

Discusión: En pacientes sintomáticos las manifestaciones son leves, graves e incluso letales. La leptospirosis grave (Enfermedad de Weil) es la forma más severa de presentación, caracterizada por ictericia, disfunción renal/vascular, el compromiso respiratorio puede clasificarse en tipo 1. Leve a moderado (20-70%) con infiltrados pulmonares, ictericia y falla renal, Tipo 2. Severa con ictericia, nefropatía, hemorragias (Enfermedad de Weil) y muerte debida a falla renal, miocarditis o hemorragia masiva con colapso vascular, Tipo 3 hemorragia pulmonar generalmente mortal sin ictericia, nefropatía y otras hemorragias.

Conclusión: Las manifestaciones clínicas de Leptospirosis a menudo dificulta su diagnóstico por lo cual es menester la anamnesis dirigida a la posible exposición, el diagnóstico temprano permite un tratamiento oportuno evitando mortalidad.

 

 

 

 

0215   Toxicidad por metformina: presentación de un caso clínico

MA Balauz(1), M Ducasa Torres(1), P Balmaceda(1), M Salazar(1), F Amieva(1), GE Ramos(1), V Picolla(1), CB Cozzani(1)

(1) Hga Cosme Argerich.

 

Introducción: La metformina es pilar en el tratamiento de la diabetes tipo 2, siendo utilizada en situaciones de insulino-resistencia. La toxicidad, y en particular la acidosis láctica, es una complicación poco frecuente, pero de elevada morbi-mortalidad sobre todo si se tienen en cuenta factores de riesgo preexistentes.

Caso clínico: Presentamos un paciente de 59 años, con antecedentes de DM 2, IAM e IRA, medicado con glimepirida, metformina, furosemida, espironolactona, aspirina, carvedilol y atorvastatina, que ingresa a UTI en contexto de gastroenteritis de 3 días de evolución complicando con insuficiencia renal aguda sobre crónica, shock y acidosis metabólica a GAP aumentado (40) e hiperlactacidemia de 91 mg/dl a su ingreso. Requirió ARM en contexto de insuficiencia ventilatoria, deterioro del sensorio y shock, con criterios de terapia de reemplazo renal de urgencia. Luego de la tercera sesión de hemodiálisis presentó mejoría hemodinámica y del medio interno, logrando su extubación y posterior egreso de la unidad de cuidados críticos.

Discusión: La metformina presenta 90% de excreción renal sin metabolizar. Su uso en contexto de deterioro de la función renal se encuentra desaconsejado ya que la disminución de su depuración aumenta el riesgo de efectos adversos.

Bloquea la gluconeogénesis hepática inhibiendo la cadena respiratoria mitocondrial, tanto induciendo la producción de lactato como dificultando el clearence del mismo. En situaciones patológicas, esto da lugar a dos cuadros: la acidosis láctica inducida por metformina, o bien, acidosis láctica asociada a metformina.

Conclusión: Frente a un paciente con acidosis metabólica severa a gap aumentado desproporcionada para la clínica inicial, se continuó con el algoritmo diagnóstico. Sospechando una etiología tóxica se solicitó dosaje de salicilemia resultando negativo, descartando también la presencia de cristales en orina como indicadores de intoxicación con alcoholes pesados.

En contexto de un paciente medicado con hipoglucemiantes orales, que complica con acidosis láctica severa, en el cual se observó franca mejoría con la temprana TRR, este evento podría interpretarse como asociado al consumo de metformina. Esta asociación requiere un alto índice de sospecha. Su diagnóstico generalmente es de exclusión, ya que el dosaje de la misma no se encuentra disponible en nuestro medio.

 

 

0216   Asociación del uso de ecografía en la colocación de accesos centrales y el desarrollo de infecciones asociadas

G Yossa(1)

(1) Aleman.

 

Introducción: Un catéter venoso central (CVC) es de amplio uso en terapia intensiva pero puede presentar complicaciones como las de causa infecciosa.

Existen trabajos que demuestran la relación entre el sitio de inserción y la incidencia de infecciones(1). Sin embargo, hay controversia respecto del rol preventivo de la colocación bajo guía ecográfica respecto al desarrollo de infecciones (2). Existe evidencia de que disminuye las complicaciones mecánicas respecto a la cateterización no ecoguiada(3-4-5).

En el presente estudio se evaluó la asociación entre la colocación de CVC bajo guia ecografica y el desarrollo de BAC

Materiales y métodos: Se analizó en una cohorte retrospectiva de pacientes adultos admitidos a la UCI en quienes se colocó al menos un CVC en el periodo entre el 1 de enero de 2019 y el 31 de junio de 2022. Se registraron variables clínicas, las relativas al CVC y los eventos de infecciones relacionados. La asociación entre la colocación de CVC ecoguiado y BAC se evaluó mediante regresión logística, para la cual se identificaron variables detectadas durante el análisis univariado.

Resultados: Se incluyó un total de 1926 pacientes que tuvieron al menos 1 CVC durante su internación. Las principales características de los pacientes incluidos y del uso de catéteres se resumen en la tabla 1 y 2. Si bien en el análisis crudo, el uso de ecografía para la colocación de los catéteres se asoció a un mayor riesgo de desarrollo de BAC (OR 1,87, IC 95% 1,30 - 2,69, p= <0,001), luego de realizar un ajuste multivariado por la localización anatómica, la colocación dentro o fuera de la UTI y los días de permanencia del CVC, no se evidenció una asociación significativa con riesgo de BAC. (OR 1,34, IC95% 0,87 - 2,09, p= 0,191).

Conclusión: En este estudio no se halló asociación estadísticamente significativa entre la colocación mediante ecografía y el desarrollo de BAC.

 

 

0217   ENFERMEDAD DE POMPE, ENFERMEDAD RARA DEL ALMACENAMIENTO DE GLUCOGENO

P Zuleta  Chambi(1), A Bonilla(1), E Polo(1), J Rivadeneira(1)

(1) Hospital Del Trauma Dr Federico Abete.

 

Introducción: La forma de inicio en el adulto es muy rara por lo que se puede confundir con otras miopatías inflamatorias, actualmente no contamos con datos epidemiológico en argentina, reportándose casos confirmatorios con resultados de tratamiento y buena evolución en países vecinos, En el 2012, un estudio reportó que solo se tenían 88 pacientes 10 con esta enfermedad en toda América Latina. Con una incidencia entre 1:14.000 y 1:300.000, dependiendo del área geográfica estudiada, siendo la forma infantil la más representativa

Presentación del caso: Paciente femenina de 71 años con antecedentes de polimiositis diagnosticada el 2006, hipotiroidismo, en tratamiento con metilprednisolona, metotrexate, levotiroxina ingresa a unidad de terapia intensiva en post paro respiratorio requiriendo de ventilación mecánica invasiva, cumplió tratamiento por neumonía de la comunidad, extubacion fallida, por insuficiencia ventilatoria, se consideró progresión de patología de base polimiositis, con estudios complementarios dando negativos para agudización, no llegando a la extubacion se realiza traqueostomia percutánea, intentos fallidos de destete del ventilador mecánico, se buscan patologías diferenciales sobre miopatías inflamatorias, se realiza tamización para enfermedad de pompe con gota de sangre en papel filtro la cual resultado fue positivo de alfa glucosidasa acida 93% en espera de confirmación genética e inicio del tratamiento enzimático para poder lograr desvincular del ventilador, considerando a la paciente como ventilada crónica.

Discusión: Los temas a discusión: definición de la enfermedad de pompe, como llegar al diagnóstico confirmatorio, fallas en la extubacion y desvinculación, tratamiento dirigido.

Conclusión: Enfermedad de pompe puede pasar desapercibida si no se tiene en cuenta dentro de los diagnósticos diferenciales de las miopatías inflamatorias, ya que puede presentar manifestaciones clínicas similares con debilidad muscular proximal. Causando la acumulación de glucógeno en tejido muscular estriado, cardiaco y liso. Su detección temprana es de importancia para iniciar tratamiento detener el deterioro clínico y evitar las complicaciones derivadas mejorando la calidad de vida de los pacientes, siendo el primer caso de enfermedad de pompe tardio del adulto en argentina

 

 

 

 

0218   Sindrome Inflamatorio Multisistémico en el adulto asociado a COVID19

P Boschero(1), M Acquafredda(2), G Tombolini(2), S Gonzalez(2)

(1) Hospital De La Asociación Medica” Dr. Felipe Glasman”. (2) Hospital De La Asociación Medica “dr. Felipe Glasman”.

 

Introducción: El síndrome de inflamación multisistémico secundario a COVID19 (SIM) es una entidad poco común de presentación pediátrica con una incidencia menor a 2 casos cada 100.000 habitantes en mayores de 20 años.

Presentación del caso: Paciente masculino de 26 años de edad con antecedentes de infección por COVID19 leve 30 días previos a la consulta; vacunado con primera dosis de vacuna “AztraZeneca” 20 días antes; consulta por fiebre persistente de 4 días de evolución asociado a cefalea, vómitos, dolor abdominal y diarrea. PCR para sarscov2 negativa. . Ecografía abdominal: hallazgos compatibles con patología apendicular. Con diagnóstico presuntivo de apendicitis aguda se realizó apendicectomía sin características macroscópicas sugerentes de inflamación.

Evolucionó días posteriores con shock cardiogénico, que requirió asistencia ventilatoria mecánica y soporte con noradrenalina y dobutamina . Se realizó ecocardiograma que mostró una función sistólica severamente deteriorada (Fey 20%), asociado a marcadores inflamatorios elevados (DD, PCR, LDH, VSG) con cultivos negativos.

Con diagnóstico presuntivo de SIM, se realizó infusión con inmunoglobulinas IV a razón de 2mg/Kg y tres pulsos de Metilprednisolona 1g/día.

Presentó mejoría clínica y ecocardiografica a las 48hs con Fey 62%. Lo que permitió la suspensión de drogas vasoactivas y weaning.

4 días después pasa a sala de Clínica con Fey 70%.

Discusión: Es una complicación poco frecuente de COVID 19, descripto originalmente en población pediátrica, cuyo reconocimiento precoz resulta fundamental para lograr un adecuado tratamiento.

La misma cursa con síntomas que van desde afecciones cutáneas y gastrointestinales leves, un cuadro similar a la enfermedad de Kawasaki y en sus formas más severas disfunción cardiaca y shock, existiendo una superposición de estos fenotipos

Criterios diagnósticos para CDC y OMS (Ver Tabla en imagen)

Su tratamiento consiste en soporte hemodinámico, administración de inmunoglobulinas intravenosas y, según gravedad, el uso de corticoides sistémicos a altas dosis; con terapias de segunda línea consistentes en fármacos inmunomoduladores.

Conclusión: Se debe tener un alto índice de sospecha ante un estado hiperinflamatorio con disfunción de órganos extrapulmonar que se da 4 semanas posteriores a la infección por sars cov 2.

 

 

 

0220   CRIPTOCOCOSIS MENÍNGEA EN PACIENTE CON USO CRONICO DE CORTICOIDES: REPORTE DE CASO

OF Ferreira Aban(1), CF Chavez(2), R Dominguez(2), J Cardozo(2), L Soliz(2), JC Galarza(2), MB Vazquez(2), C Pozo(2), N Grubissich(2), D Pina(2)

(1) Cesar Milstein. (2) Hospital Cesar Milstein.

 

Resumen: La criptococosis una micosis causada por el complejo Criptococcus Neoformans, que es parte de la microbiota humana y responsable del 8% de las micosis invasoras, con una incidencia de un caso por 100.000 individuos/año en no HIV. Una tasa de mortalidad de aproximadamente el 20%, presentándose en mayor frecuencia en pacientes HIV y trasplante de órganos sólidos, y menor medida de corticoterapia, LES, entre otros.

Presentación del caso: Femenina de 64 años con antecedentes de TVP y consumo crónico de corticoides por dolor articular. Ingresa a otro nosocomio por 48 hs con deterioro neurológico asociado fiebre, se realizó punción lumbar compatible con meningitis, iniciando antibiótico empírico. Al culminarlo progresa con nuevos registros febriles y plejia Facio-braquiocrural derecha, con TC de encéfalo sin evidencia de lesiones agudas, se aumenta esquema a vancomicina + aciclovir. A los 17 días del inicio, ingresa a nuestra unidad, GW 9/15 requiriendo ARM, se realiza nueva PL. Se dialoga con servicio de microbiología para realizar tinta china donde evidencia imagen levaduriforme compatibles con Criptococcus Neoformans (foto 1), se rota a anfotericina B liposomal + fluconazol, test HIV y perfil reumatológico con resultado negativo. Fallece por fallo orgánico multiple.

Discusión: La infección por criptococcus se produce por inhalación de levaduras presentes en el ambiente que han perdido la capsula, con posibilidad de diseminación en los inmunocomprometidos, presentándose como meningoencefalitis, infección pulmonar aguda o forma sistémica grave, su diagnóstico se realiza mediante el cultivo de la muestra LCR, sensibilidad del 75- 90% en no HIV. El tratamiento depende a la forma clínica y gravedad, controlando la respuesta terapéutica con cultivo del LCR y monitorizando la presión de apertura, no solo como parámetro de mala respuesta terapéutica, si no por la hipertensión endocraneana.

Conclusión: La criptococosis meníngea va en aumento, sobre todo en pacientes no HIV, debiendo considerarlo como patógeno, en meningitis sin adecuada respuesta clínica a los antibióticos, sobre todo en paciente con uso de corticoides. Esta posibilidad diagnostica, debe abrir las puertas la sospecha ante el aumento de casos, para evitar demoras en el inicio de antifúngicos, y disminuir la mortalidad del paciente.

 

 

 

0221   ADECUACIÓN AL REQUERIMIENTO CALÓRICO EN PACIENTES CRÍTICOS DURANTE LA TRANSICIÓN DE LA VÍA ENTERAL A LA VÍA ORAL POST EXTUBACIÓN OROTRAQUEAL

D Carelli(1), M Antonini(1), R Lema(1)

(1) Juan A. Fernández.

 

Introducción: Durante la transición de la vía enteral a la vía oral, es frecuente la presencia de inadecuación al requerimiento calórico en los pacientes críticos post extubación, lo que conlleva a un elevado riesgo de malnutrición.

Objetivos: Determinar la adecuación al requerimiento calórico en pacientes críticos en la Unidad de Cuidados Intensivos que se encuentran en transición alimentaria hacia vía oral y determinar el motivo de finalización de la nutrición enteral.

Materiales y métodos: Se calculó la media del porcentaje de adecuación al requerimiento calórico a través de registro visual previo y posterior a la ingesta diaria, y mediante el control diario del volumen infundido por bomba de infusión continua para la vía enteral. Se determinó la frecuencia del motivo de finalización de la nutrición enteral según el registro de la historia clínica.

Resultados: La muestra inicial quedó conformada por 28 pacientes críticos mayores de 18 años post extubación en transición a la vía oral. Los pacientes se evaluaron los días 1, 3, 5, 7 y al alta. La media del porcentaje de adecuación calórica al alta fue del 59% y 48,5% para la vía oral y nutrición enteral, respectivamente. El principal motivo de finalización del soporte nutricional fue por indicación médica.

Conclusiones: A medida que transcurren los días de internación, los pacientes post extubación aumentan la adecuación del requerimiento calórico pero de forma lenta y progresiva, con tendencia a ser desprovistos de la nutrición enteral de manera precoz por indicación médica.

Palabras clave: Transición alimentaria, paciente crítico, adecuación al requerimiento calórico, post extubación.

 

 

 

 

0223   NECROSIS ESOFÁGICA AGUDA EN PACIENTE CRÍTICAMENTE ENFERMO: REPORTE DE CASO

CF Chavez(1), F Ferreira(2), L Soliz(2), J Cardozo(2), R Dominguez(2), MB Vazquez(2), JC Galarza(2), C Pozo(2), N Grubissich(2), D Pina(2)

(1) Cesar Milstein. (2) Hospital Cesar Milstein.

 

Resumen: La necrosis esofágica aguda (ENA), conocida como “esófago negro”, es un trastorno clínico poco común, prevalencia de 0.2% con una tasa de mortalidad del 30 al 50%. Caracterizado por hallazgos endoscópicos que muestran una coloración negruzca de la mucosa esofágica con transición abrupta a nivel de la unión esofagogástrica. Su etiopatogenia es poco clara, siendo las teorías más aceptadas: isquemia local, compromiso de las defensas de las mucosas, lesión corrosiva no caustica de contenido gástrico.

Presentación del caso: Masculino de 70 años con antecedentes de BCRI, FAARV ACO, ACV cardioembólico (reemplazo valvular aórtico mecánico). Consulta a guardia externa por cuadro de hipotensión y registros febriles. Se realiza hemocultivo, urocultivo e inicia antibióticoterapia. Evoluciona con shock séptico a probable foco urinario e ingresa a Unidad crítica con requerimientos de ARM asociado a falla renal AKIN 3 e inicia TSR, SOFA 6 (CV4 R2). Se indica corticoides dosis shock (noradrenalina 0,6 mcg/kg/min) protección gástrica con IBP, se ajusta terapia antibiótica según sensibilidad (hemocultivo 2/2 KPMBL+; urocultivo KPMBL+). Intercurre con hemorragia digestiva alta, se realiza veda, evidenciando lesiones en esófago (figura A y B). Evoluciona de manera desfavorable, culminando en óbito.

Discusión: La ENA es una patología sumamente rara, cuya patogénesis no se ha identificado hasta ahora, pero se la asocia con estados de hipoperfusión tisular y con antecedentes de patologías cardiovasculares, shock, sepsis, diabetes mellitus, entre otros. El tratamiento se enfoca en tratar la patología de base con adecuado sostén, inhibición de ácidos gástricos con IBP. Se debe iniciar tratamiento antimicrobiano cuando los cultivos de líquidos esofágicos son positivos.

Conclusión: El ENA es más frecuente en hombres que en mujeres en pacientes con múltiples factores de riesgo antes mencionados, con una mortalidad estimada mayor al 50% a pesar del tratamiento específico. La importancia de estos casos es considerar métodos de estudios complementarios del tubo digestivo en pacientes con shock septico.

 

 

 

0224   NEUMONÍA EOSINOFÍLICA SECUNDARIA A DAPTOMICINA

SG Pello(1), ML Ortiz(1), A Couso(1), AB Canedo Bermudez(1), SS Benavides Mariño(1), P Balmaceda(1), MA Ducasa Torres(1), MF Amieva(1), V Picolla(1), GE Ramos(1), CB Cozzani(1)

(1) Cosme Argerich.

 

Introducción: La Daptomicina es un lipopéptido antimicrobiano con actividad contra organismos grampositivos, incluidos patógenos resistentes. Dicho fármaco es uno de los más implicados en la neumonía eosinofílica inducida por fármacos.

Presentamos un caso de neumonía eosinofílica, la cual se distingue por la presencia de infiltrados eosinofílicos pulmonares y eosinofilia periférica, como efecto adverso del uso de Daptomicina.

Presentación del caso: Paciente masculino de 33 años, con antecedentes de consumo problemático de fentanilo. Cursó internación por Neumonía bilateral cavitada con rescate en hemocultivos 2/2 Staphylococcus aureus OXA- R y Endocarditis infecciona derecha, en tratamiento con Vancomicina endovenosa. Evolucionó con empiema bilateral con rescate en líquido pleural de Enterococcus faecium Vancomicina resistente. Se realizó cirugía toracoscópica asistida por video con decorticación pleural e inició tratamiento antibiótico con Daptomicina. Evolucionó tórpidamente, febril persistente, con requerimiento de oxígeno suplementario. En tomografía de tórax se evidenció infiltrado bilateral en 4 cuadrantes, de tipo consolidativo, asociado a eosinofilia. Se interpretó cuadro como Neumonía eosinofílica asociada a tratamiento con Daptomicina, por lo cual suspendió dicho fármaco e inició tratamiento con metilprednisolona con posterior mejoría clínica y radiológica.

Discusión: Los reportes de casos de Neumonía eosinofílica asociado a uso de Daptomicina han crecido en los últimos años y se correlaciona al aumento del uso de dicha droga. Para el diagnóstico de esta entidad se describen criterios de inclusión: exposición a Daptomicina, fiebre, disnea o aumento de los requerimientos de oxigenoterapia o necesidad de ARM, nuevos infiltrados a nivel imagenológico, mejoría clínica al discontinuar el tratamiento.

Conclusión: En el presente caso, tanto los criterios clínicos, la eosinofilia, la asocición con el antibiótico empleado y la consiguiente mejoría clínica evidenciada tras la suspensión del mismo, fueron compatibles con Neumonía eosinofílica secundaria a Daptomicina. El reconocimiento temprano y el tratamiento apropiado son determinantes en la evolución de esta complicación.

 

 

0225   Parámetros Respiratorios e Impacto de la Finalización del Embarazo sobre la Mecánica Pulmonar y Evolución Materno-Fetal-Neonatal en Pacientes Obstétricas con COVID-19: Estudio de Cohorte Prospectivo Multicéntrico

D Vasquez(24), R Giannoni(1), A Salvatierra(2), K Cisneros(3), D Lafosse(4), F Escobar(5), M Montenegro(6), P Juárez(7), L Visani(8), V Mandich(9), E Barrozo(10), M Kirschbaum(11), A Das Neves(12), MF Valenti(13), MC Canseco(14), I Romero(15), P Macharé(16), A Marquez(17), E Rodriguez(18), C Palacio(19), L Rapela(20),  Amillateg

(1) Hospital Regional Ramón Carrillo. (2) Hospital Del Este “Eva Perón”. (3) Sanatorio Antártida. (4) Hospital Materno Infantil Dr. F Escardó. (5) Fundación Valle Del Lili. (6) Hospital Materno Infantil Ramón Sardá. (7) Hospital De La Madre Y El Niño. (8) Hospital Cuenca Alta Néstor Kirchner. (9) Hospital Santojanni. (10) Maternidad Provincial Teresita Baigorria. (11) Sanatorio Finochietto. (12) Hospital Interzonal General De Agudos Gral. San Martín. (13) Sociedad Argentina De Terapia Intensiva. (14) 15. Instituto De Maternidad Y Ginecología Nuestra Señora De Las Mercedes. (15) Sanatorio Güemes. (16) Hospital Mi Pueblo. (17) Hospital Municipal De Morón. (18) Hospital Simplemente Evita. (19) Sanatorio Itoiz. (20) Hospital Municipal Del Carmen. (21) Hospital Provincial Del Centenario. (22) Hospital Mariano Y Luciano De La Vega. (23) Sanatorio Anchorena San Martín. (24) Sanatorio Anchorena.

 

Introducción: La evidencia disponible sobre pacientes obstétricas con requerimiento de soporte ventilatorio avanzado y el impacto de la finalización del embarazo (FE) sobre los parámetros respiratorios es retrospectiva, escasa y controvertida.

Objetivo: Analizar parámetros respiratorios, factores de riesgo para ventilación mecánica invasiva (VMI) e impacto de la FE sobre la mecánica pulmonar/oxigenación y evolución materno-fetal-neonatal.

Materiales y métodos: Estudio de cohorte prospectivo multicéntrico. Población: pacientes embarazadas/puérperas con neumonía por COVID-19 que ingresaron a UTIs de Argentina y Colombia requiriendo soporte ventilatorio avanzado (20/3/21-31/12/21).

Resultados: 91 pacientes de 31±6 años ingresaron a 21 UTIs. Edad gestacional 29.2±4.9 semanas- 63(69%) antepartum. Máximo soporte ventilatorio recibido: VMI (69;76%), cánula nasal de alto flujo (CNAF=20; 46.5%) y ventilación no invasiva (VNI=2, 2.2%). Parámetros respiratorios basales en las pacientes embarazadas: presión plateau (PP) 24.3±4.5, driving pressure (DP) 12.5±3.3, compliance estática (CE) 31[26-40] y PaO2/FiO2 142[110-176]. La PEEP programada fue 11.1 ± 2.7. Parámetros respiratorios antes y luego del parto (≤2h y 24h), respectivamente: PEEP (11±3, 12±4 y 11±2;p0.8); PP (25.6±6.6, 24±6.7 y 24.6±5.2; p0.59); DP (13.6±4.2, 12.9±3.9 y 13±4.4;p0.69); CE (28[22.5-39], 30[24.5-44] y 30[24.5-44];p0.058) y PaO2/FiO2 (134[100-230], 168[136-185] y 192[132-232.5];p0.022)(Fig.1).El único factor de riesgo para VMI fue SOFA24(OR 1.97[1.29-2.99]p0.001). Las indicaciones de FE fueron: maternas (43/71; 60.5%), materno-fetales (21/71; 29.5%) y fetales (7/71; 9.9%). Los factores de riesgo para mortalidad materna fueron la presencia de comorbilidades (OR 4.15[1.212- 14.20];p0.023) y el índice de masa corporal(IMC)(OR 1.10[1.006-1.204];p0.037). Los factores de riesgo para mortalidad fetal/neonatal fueron edad gestacional al momento de FE (OR 0.67[0.52-0.86]p0.002) y SOFA24 (OR 1.53[1.13-2.08]p0.006).

Conclusiones: Contrariamente a lo que supondrían los cambios fisiológicos del embarazo, la mecánica pulmonar de las pacientes embarazadas fue similar a la de la población general con COVID-19. La razón principal para finalizar el embarazo fue materna, sin embargo, la IE no se asoció a ningún cambio significativo en la mecánica pulmonar, solo evidenciando una mejoría en la PaO2/FiO2. El único factor de riesgo para VMI fue el SOFA24. La mortalidad materna se asoció independientemente con el IMC y la presencia de comorbilidades. La mortalidad fetal/neonatal se asoció independientemente con el SOFA24 y la edad gestacional al parto.

 

 

 

0226   SINDROME DE WUNDERLICH, UNA CAUSA POCO COMÚN DE SHOCK. REPORTE DE UN CASO

L Soliz(1), J Cardozo(1), R Dominguez(1), MB Vazquez(1), C Chavez(1), F Ferreira(1), JC Galarza(1), C Pozo(1), N Grubissich(1), D Pina(1)

(1) Hospital Cesar Milstein.

 

Introducción: El síndrome de Wunderlich (SW) es una entidad clínica poco frecuente del cual se describieron 550 casos en los últimos 90 años, con alta mortalidad (30%) y predominio en sexo femenino (61%), caracterizada por aparición repentina de hemorragia espontánea no traumática en la región subcapsular renal y retroperitoneal.

Presentación del caso: Femenino de 82 años, que cursaba internación prolongada en sala general, con reciente diagnóstico de Linfoma no Hodgkin, quien en su día 10 de tratamiento quimioterápico (R-CHOP) intercurre con dolor lumbar de aparición súbita, distensión abdominal, disnea, palpitaciones e inestabilidad hemodinámica, por lo que ingresa a UTI. Una vez lograda la estabilización hemodinámica, se solicita TAC abdomino pélvica, cuyo informe inicial reporta hematoma perirrenal izquierdo. (Figura 1.)

Se solicita reevaluación por equipo quirúrgico y eventual intervención inmediata, conducta que no es aceptada por familiares. Ante esta situación, se opta por tratamiento conservador, optimizando estado hemodinámico. Se continúa seguimiento en el tiempo mediante control por imágenes.

Discusión: El síndrome de Wunderlich o hemorragia renal espontánea es una entidad clínica infrecuente, caracterizada por la aparición súbita de hemorragia espontanea no traumática en la región subcapsular renal y retroperitoneal. Este síndrome típicamente se caracteriza por la tríada de Lenk -dolor agudo en flanco, masa palpable abdominal y shock hipovolémico. Se presenta de manera atípica en 70 a 80% de los casos y hasta en un 60% la entidad patológica subyacente es la neoplasia.

Una vez determinada la etiología renal de la hemorragia, el manejo definitivo de elección es el abordaje quirúrgico (nefrectomía) o embolización angiográfica selectiva. En pacientes clínicamente estables, el tratamiento conservador con imágenes de seguimiento puede ser una opción razonable, pudiendo evitar una intervención quirúrgica innecesaria.

Conclusión: El síndrome de Wunderlich es una causa de presentación inusual de shock. El diagnóstico temprano puede lograrse mediante una evaluación clínica precisa y estudios complementarios por imágenes apropiados. (Figura 2.)

 

 

 

0227   Síndrome Hepto Pulmonar

F Morales(1), M Córdova(2), A Cucci, M Gardeazabal(2), I Parodi, C Logiodice, J Villca, F Fernández Garcia, L Milanesio, F Iglesias, A Carrera, G Saenz, A Toro, L Tumino(2), CI Loudet

(1) San Martín De La Plata. (2) San Martin.

 

Introducción: El síndrome hepato-pulmonar es una complicación vascular pulmonar de la enfermedad hepática terminal; se caracteriza por dilataciones vasculares intrapulmonares y cortocircuitos, con deterioro del intercambio gaseoso. Su diagnóstico y terapéutica es un desafío si no existe una alta sospecha.

Presentación del caso: Paciente femenina de 16 años sin antecedentes, ingresa a sala de clínica por sepsis con foco desconocido; al 4° día presenta fiebre, deterioro de la oxigenación e infiltrados bilaterales, patrón de vidrio esmerilado en tomografía torácica; pasa a UTI. Al ingreso presenta insuficiencia respiratoria, requerimiento de ARM con inestabilidad hemodinámica: se interpreta como sepsis a foco pulmonar; COVID negativo. También presenta plaquetopenia, hiperbilirrubinemia e hipoprotrombinemia.

A las 72 horas persisten alteraciones del hepatograma; en ecografía se observa hígado de contornos irregulares, disminución de tamaño y eco-respuesta heterogénea difusa. Circulación colateral en epiplón menor y retroperitoneal con esplenomegalia homogénea. En Doppler espleno-portal: dilataciones varicosas espleno-renales, gastroepiploicas y retroperitoneales; vena porta de 12 mm de calibre a nivel de hilio hepático con afinamiento distal, flujo de dirección hepatógena, índice de resistencia 0.7; asociado a Factor VII 94%. Se diagnostica cirrosis de origen no filiado. Servicio de Hepatología solicita serologías y otros estudios para búsqueda etiológica.

Al día 16 de internación, CONTINÚA EN VM SIN DIAGNÓSTICO ETIOLOGICO, progresa con insuficiencia renal y SDRA: sin respuesta a PEEP ni prono (PO2:50; Gradiente A-a 598.4). Monitoreo invasivo en arteria pulmonar: hipertensión pulmonar, porcentaje de 100% shunt (fórmula QS/QT). Se realiza ecocardiograma: normal. Se realiza test de burbuja: positivo a partir de 4-5 latidos, descartándose shunt intracardiaco. Se interpreta como Síndrome hepato-pulmonar, solicitándose derivación para trasplante hepático. La paciente fallece a los 19 días de internación con fallo multiorgánico.

Discusión: El cuadro de hipoxemia refractaria condujo a la pesquisa en profundidad del mecanismo respectivo, llevando a realizar ecocardiograma con test de burbujas y cálculo de shunt. La presencia de shunt intrapulmonar asociado a la cirrosis permitió el diagnóstico.

Conclusión: El síndrome hepato-pulmonar es una complicación rara y se asocia con alta mortalidad. El trasplante de hígado es la única opción terapéutica; el diagnóstico precoz permite acelerar la solicitud y brindar una opción terapéutica.

 

 

 

0228   Evolución en pacientes con Hemorragia Subaracnoidea no traumática en Unidad de Terapia Intensiva del Hospital J.M. Cullen, Santa Fe

NA Issoglio(1), NI Carrizo(2), MM Filippi(2), MN Kinderknech(2), V Fugas(2)

(1) J. M. Cullen Santa Fe. (2) Hospital Jm Cullen.

 

Introducción: El Accidente cerebrovascular hemorrágico tiene como entidad a la hemorragia subaracnoidea (HSA) no traumática, esta presenta complicaciones graves como distintos grados secuelas neurológicas hasta la muerte del paciente.

Objetivo: Evaluar la evolución de los pacientes con diagnóstico de HSA no traumática.

Materiales y métodos: Estudio de prevalencia, en pacientes ingresados de enero de 2018 a marzo de 2022 en la unidad de terapia intensiva del Hospital J. M. Cullen, de edad mayor a 18 años. Se describieron las características de la población y se compararon las razones de prevalencia mediante el test del chi-cuadrado con un nivel de significancia del 95% (p<0,05).

Resultados: Del total de 40 pacientes, el 62% fue de sexo femenino y la mediana de edad de 47 años (24-75). Los síntomas más frecuentes fueron cefalea (60%), alteración del estado de conciencia (28%) y foco neurológico (10%). Las complicaciones más frecuentes fueron hidrocefalia (35%) y vasoespamo (32%). La mortalidad fue del 50%. En tabla n1 se detallan las características de los pacientes con HSA. La causa predominante fue aneurismática (80%) siendo 17% de origen múltiple. La probabilidad de presentar aneurisma múltiple fue mayor en sexo femenino (RP 1,87; p 0,35). La probabilidad de presentar peor evolución fue en las de origen de arteria cerebral anterior (ACA) en comparación con arteria cerebral media (ACM) (RP1,60; p0,62), y similar en arteria cerebral posterior (ACP) en comparación con ACM (RP0,93; p0,62). Se observa una peor evolución en pacientes con Hunt y Hess (HH) 5 en comparación con los de HH 1 a 4 (RP2,08; p0,08) tabla n2. Se observa menor morbilidad también al presentar menor Fisher 2(F2) en comparación con F4 (RP0, 34; p0,2) y F3 en comparación con F4 (RP0,64; p0,2) tabla n2.

Conclusión: Se observó una evolución desfavorable en pacientes con aneurisma de ACA y que presentaron HH de 5. La probabilidad de tener mejor evolución es con Fisher 2. Contrario a la literatura general, en nuestro servicio predominaban los aneurismas de ACM.

 

 

 

 

0229   Incidencia de delirium en una Unidad de Cuidados Intensivos

C Garcia Laplaza(1), C Berrondo(1), E Monteverde(1)

(1) Gutierrez.

 

Introducción: El delirium es una disfunción cerebral de inicio agudo y de carácter fluctuante secundaria a una patología o a su tratamiento. Se ha demostrado, tanto en adultos como en pediatría, que esta entidad aumenta la morbimortalidad de los pacientes en unidades de cuidados intensivos. En pediatría la incidencia informada es variable, asociada a la reciente validación de escalas para screening, diagnóstico y seguimiento. Las últimas guías de práctica clínica sugieren la pesquisa sistemática en todos los pacientes, ya que es una patología subdiagnosticada en las Unidades de Cuidados Intensivos Pediátricas (UCIP).

Objetivo: Determinar la incidencia de delirium en una UCIP.

Materiales y métodos: El estudio se lleva a cabo en una UCIP polivalente con aproximadamente 300 egresos anuales durante un período de 6 meses. Las herramientas utilizadas para el screening diario de delirium fueron Preschool Confusion Assessment Method for the Intensive Care Unit (psCAM-ICU) para pacientes menores de 5 años, Pediatric Confusion Assessment Method for the Intensive Care Unit (pCAM-ICU) para mayores de 5 años y Cornell Assessment of Pediatric Delirium (CAPD) para pacientes con retraso neurocognitivo.

Resultados: Se incluyeron 158 pacientes. Se identificaron 14 participantes con screening positivo: 8.86% (IC95% 4.9-14.4), correspondiendo a una incidencia de 9.16 casos/1000 días-paciente en UCIP (IC95% 5.0-15.3). De estos 14 pacientes, 6 tuvieron delirium hipoactivo (42%), 6 mixto (42%) y 2 hiperactivo (14%). El tiempo de duración promedio del delirium en esta serie fue de 2 días (rango de 1 a 4 días). La presencia de delirium se asoció con patología respiratoria como motivo de ingreso (RR 2.1), mayor severidad estimada por PIM3, estadía más prolongada en UCIP y mayor requerimiento de ventilación mecánica invasiva (RR 1.65) y no invasiva (RR 2.47). Si bien no se hallaron asociaciones estadísticamente significativas con drogas utilizadas para analgosedación, en los pacientes con screening positivo se observaron dosis acumuladas más altas de fentanilo, midazolam, clonidina y dexmedetomidina.

Conclusiones: El delirium es una patología prevalente en las UCIP. Es necesario realizar una pesquisa sistemática para evitar el subdiagnóstico y mejorar el pronóstico de estos pacientes.

 

 

0230   COMPARACIÓN DE TRES ESCORES PARA DETERMINAR EL RIESGO NUTRICIONAL EN PACIENTES CRÍTICOS VENTILADOS CON COVID-19

D Moretti(1), CA Luchitta(1), DH Bagilet(1), NS Rocchetti(1), SP Gattino(1), MD Ré(1), S Diodati(1), CJ Settecase(1)

(1) Hospital Escuela Eva Perón.

 

Introducción: En la unidad de cuidados intensivos (UCI), la identificación de los pacientes con riesgo nutricional (RN) alto permitiría potencialmente obtener el máximo beneficio de la terapia nutricional artificial optimizada en dicha población. La pandemia de COVID-19 provocó un aumento dramático de ingresos en la UCI debido al síndrome respiratorio agudo severo. La puntuación NUTRIC (con IL-6) y sus variantes NUTRICm (sin IL-6) y NUTRICpcr (PCR en lugar de IL-6) se propusieron para valorar el RN específicamente en críticos. Este estudio tuvo como objetivo comparar estos escores para la valoración del RN en pacientes críticos ventilados por COVID-19.

Material y métodos: Estudio prospectivo, observacional. Se incluyeron pacientes >18 años, ventilados con COVID-19 y >72horas de internación. Los datos de los pacientes se compararon entre el RN alto y bajo del NUTRIC, NUTRICpcr y NUTRICm mediante los test Chi-cuadrado, Fisher, t-Student o Wilcoxon. La discriminación de la mortalidad se realizó por regresión logística en función del AUC ROC de cada escore. El acuerdo en la clasificación y la comparación del alto riesgo nutricional entre NUTRIC, NUTRICpcr y NUTRICm se analizó mediante la prueba de Kappa y la prueba Chi-cuadrado.

Resultados: Se analizaron 418 pacientes. La mediana (RIQ) de edad y del APACHE II fue: 54 años (6-61) y 13 puntos (10-19). Fallecieron en UCI el 79%. La mediana (RIQ) en puntos del NUTRIC fue: 3 (2-4), del NUTRICpcr: 3 (2-4) y del NUTRICm 3 (3-5). El AUCROC (IC95%) del NUTRIC, NUTRICm y NUTRICpcr para discriminar mortalidad fue: 0.661 (0.598-0.724), 0.659 (0.596-0.722) y 0.635 (0.572-0.697). El índice kappa fue: 0,8461 (coincidencia 95,7%) entre NUTRIC y NUTRICpcr, 0,7349 (coincidencia 91,9 %) entre NUTRIC y NUTRICm y 0,8841 (coincidencia 96,2%) entre NUTRICm y NUTRICpcr. El porcentaje de pacientes clasificados como alto RN mostro diferencias significativas entre NUTRIC y NUTRICm (14,6% vs 22,7%, p 0,0033) (Figura 1).

Conclusión: En pacientes críticos ventilados con COVID-19, los tres escores de riesgo nutricional estudiados describen la población y discriminan la mortalidad en forma similar. Si bien concuerdan entre sí, la clasificación del RN alto varía según cuál de ellos se utilice, con una mayor prevalencia con el NUTRICm.

 

 

 

0231   PUNCIÓN TRANS-ORBITAL COMO MANIOBRA DE RESCATE

L Flores Trusso(1), ML Campassi(2), F Repetto(2), D Banegas(2), G Gomez(2), B Tiseyra(2), I Ramírez(2), N Picard(2), C Fauez

(1) Clínica Lpf. (2) Lpf.

 

Introducción: El acceso de emergencia al sistema ventricular a veces es necesario para el tratamiento de la presión intracraneal. Un procedimiento descrito en la literatura, es un abordaje transorbitario realizado con una aguja espinal.

Caso clínico: Paciente femenino de 47 años con antecedentes de: hipotiroidismo, NAC a repetición.

Cursa internación en sala general por NAC cavitada, con requerimiento de decorticación pleuropulmonar que a las 72 hs evoluciona con shock distributivo con FMO con requerimiento IOT y ARM.

Por mejoría evolutiva y ARM prolongado se decide realizar traqueostomía y ventana pleuro pulmonar por fístula broncopulmonar.

Se recibe laboratorio reumatológico, que presenta ANCA-C positivo.

Inicia meprednisona y ciclofosfamida, evolucionando con neutropenia que revierte con estimuladores de colonias.

Intercurre con deterioro del sensorio, progresando a coma. Se solicita Tomografía encéfalo: lesiones hipodensas en lóbulos parietales, cerebelosas periféricas cortico-subcorticales sugestivas de PRESS e hidrocefalia no comunicante. Ante la urgencia se procede al drenaje de LCR por vía transorbitaria. Se realiza también angioresonancia de encéfalo que evidencia extensa área hiperintensa en T2 y FLAIR cortico-subcorticales a nivel temporo parieto occipital bilateral en ambos hemisferios cerebelosos y vermis, provocando obliteración del 4to ventrículo, causando hidrocefalia leve.

Se coloca drenaje ventricular externo y se realizan medidas de neurointensivismo. Tomográfica control sin nuevas lesiones e hidrocefalia, se realiza vacación de sedación con respuesta positiva sin foco motor, ni sensitivo, respondiendo a órdenes simples. Se retira Derivación ventricular externa

La paciente se desvincula de ARM y deriva a centro de rehabilitación por miopatía del paciente crítico.

Discusión: La hidrocefalia no comunicante es poco frecuente, su persistencia produce aumento de la presión intracraneal causando hernias encefálicas.

La punción trans-orbital es un procedimiento que se realiza en techo de la órbita con una aguja de punción lumbar, cuya complicación a tener en cuenta es traspasar parte del lóbulo frontal, pero se justifica el riesgo porque resuelve una situación que puede ser fatal.

Conclusión: Reportamos este procedimiento ya que es poco frecuente realizarlo ante la presencia de hidrocefalia no comunicante como mecanismo de rescate previo a la colocación de derivación ventricular externa, pudiendo usarse en casos de emergencia

 

 

0232   Prevalencia de Ventilación Mecánica prolongada en pacientes con TEC GRAVE

MD Bovetti Galván(1), De San Martin, DM Miqueri(1),   De San Martin, LN Rodriguez(1), De San Martin, LM Ramirez(1), De San Martin, VA Medina(1), De San Martin, AM Caliva(1), De San Martin, FS Flores

(1) Hospital Escuela Jose F. (2)  De San Martin.

 

Fundamento: El Traumatismo Encefalo Craneano es una de las principales causas de discapacidad y muerte en nuestro país. Si se analizan los costos en términos de la gravedad de la lesión, los fallecidos y los heridos graves representan el mayor gasto, explicado básicamente por la relevancia de los costos humanos, la pérdida de productividad y los gastos en salud consecuentes por la prolongada internacion de los mismos que conllevan a devastadoras consecuencias,principalmente en las primeras cuatro décadas de la vida.

Objetivo: Analizar la incidencia de ventilación mecánica prolongada en pacientes internados en el Hospiral Escuela Jose F. de San Martin que hayan sufrido traumatismo craneoencefálico grave del adulto durante el periodo 2020-2021.

Metodología: Se realizó un estudio descriptivo longitudinal no participativo en pacientes ingresados con traumatismo craneoencefálico grave en el servicio de Terapia Intensiva del Hospital Escuela Jose F. de San Martin, Corrientes, Argentina, desde el 1ro de enero de 2020 hasta 31 de diciembre de 2021. Se aplicaron métodos de estadística descriptiva.

Resultados: Se recolecto información de 90 pacientes ingresados al servicio, de los cuales el 60% fueron menores de 45 años, 77,8% (70) fueron de sexo masculino, con una taza de supervivencia del 58,9% (53), de los cuales el 44,2% (23) requirió ventilación mecánica prolongada durante su internación.

Conclusiones: El traumatismo craneoencefálico grave predomina en pacientes menores de 45 años, del sexo masculino y procedencia urbana; casi la mitad de los pacientes que ingresan al servicio de terapia intensiva por haber sufrido esta condición, requieren de una internación prolongada con requerimientos de ventilación mecánica invasiva para poder seguir viviendo, lo que representa un costo elevado para la atención de los mismos. Todos los fallecidos tuvieron alguna complicación durante su evolución.

 

 

 

 

0234   ACIDOSIS LACTICA SECUNDARIO A INTOXICACION POR METFORMINA

P Zuleta Chambi(1), A Bonilla(1), E Polo(1), J Rivadeneira(1)

(1) Hospital Del Trauma Dr Federico Abete.

 

Introducción: La acidosis láctica por metformina es rara pero alcanza una mortalidad del 50% la incidencia es de 3 casos por cada 100.000 pacientes tratados por año, la intoxicación voluntaria es poco habitual, los niveles de metformina en sangre no son determinados en los resultados del paciente intoxicado mientras que el lactato en sangre y la disfunción multiorganica se considera factores de riesgos de mortalidad, presentamos el caso clínico de una paciente con intoxicación por metfomina con fin autolitico que evoluciona con disfunción multiorganica y cuya resolución del cuadro clínico fue la hemofiltracion continua.

Presentación del caso: Paciente femenina de 39 años de edad con antecedentes de asma, obesidad, hipertensión arterial, diabetes mellitus tipo II, hipotiroidismo, refiere ingesta de metformina 500mg total de 7 comprimidos (3500 mg) con fin autolítico ingresa con Glasgow 15/15 lucida, posteriormente evoluciona con caída de Glasgow 10/15 con episodios de excitación psicomotriz, más acidosis metabólica, acidosis láctica, mala mecánica ventilatoria, requiriendo de ventilación mecánica invasiva ingresa a unidad terapia intensiva evoluciona con shock refractario y disfunción multiorganica ( renal, hemodinámica, neurológica, metabólica, hepática) requerimiento de bicarbonato y terapia de remplazo renal continua, intercurre con rabdomiolisis con buena respuesta a cristaloides, con resolución de las disfunciones se llega a extubacion programada con cambio de interface a ventilación no invasiva buena evolución pasa a sala de menor complejidad

Discusión: Una estrategia controversial que no está toda validada en acidosis láctica e inestabilidad hemodinámica independiente de la etiología es el uso de bicarbonato de sodio, en esta medida es considerado como tratamiento puente mientras se instaura el tratamiento etiológico

Conclusión: La acidosis láctica por metformina es poco frecuente, diagnosticar el mecanismo y la causa de la acidosis láctica de manera rápida favorecerá al tratamiento dirigido de forma temprana, la acidosis láctica condicionada por metformina tiene mejor pronostico, respecto a la inducida por choque séptico, la terapia de remplazo renal continua, deberá ser utilizada como primer eslabón al tratamieto con la acidosis láctica por metformina.

 

 

 

 

 

0235   REPORTE DE CASO DE PARACOCCIDIOIDOMICOSIS DISEMINADA

E Cautures(1), V Torres(1), JI Ibarzabal(1), JC Pendino(1), FO Fiorilli(1), LR Bettini(1)

(1) Hospital Provincial Del Centenario.

 

Introducción: La paracoccidioidomicosis es una enfermedad sistémica progresiva, producida por el hongo Paracoccidioides. Suele afectar hombres latinoamericanos, por ser endémico de esta región. Su principal localización es pulmonar, con lesiones secundarias en mucosas y piel, raramente afecta el sistema nervioso central. La principal herramienta diagnóstica es la visualización directa al microscopio. El tratamiento de elección se propone con itraconazol y anfotericina B.

Caso clínico: Varón de 46 años, procedente de Paraguay. Traído por cuadro progresivo de debilidad, pérdida de peso, alteraciones de la conducta, afasia, y depresión del sensorio. Se realiza tomografía (TAC) de cráneo que evidencia lesiones hipodensas con refuerzo en anillo (Figura 1), VIH negativo, y punción lumbar con leve hiperproteinorraquia, 16 elementos/mm3. Ingresa a unidad de cuidados críticos para monitoreo inicial estricto.

Se solicita TAC de tórax, que muestra múltiples lesiones cavitadas bilaterales (Figura 2), ante estos hallazgos los servicios interconsultores intervinientes sugieren iniciar tratamiento antituberculoso empírico. Se realiza lavado broncoalveolar (BAL) previo a modificar conducta terapéutica donde se obtiene exámen directo negativo para BAAR, por lo que se solicita la búsqueda específica de Paracoccidioides spp. con resultado positivo.

Se inicia tratamiento con anfotericina B liposomal, evoluciona estable, continuando tratamiento en sala general, en plan de rehabilitación y recuperación nutricional.

Discusión: La secuencia de hallazgos clínicos e imagenológicos obligó a descartar la tuberculosis como etiología, por ser una de las enfermedades endémicas más frecuentes en nuestro medio.

El diagnóstico se obtuvo mediante observación directa de Paracoccidioides en la muestra de BAL. No se disponía al momento de pruebas serológicas que muestran gran sensibilidad y especificidad (>90%).

Para las formas invasivas de esta enfermedad se recomienda anfotericina para luego rotar a itraconazol. Ante ciertas contraindicaciones, trimetoprima/sulfametoxazol puede utilizarse. Además, existe evidencia de que pacientes con gran compromiso inflamatorio, o que se presenten con insuficiencia respiratoria, se benefician del uso de corticoesteroides.

Conclusión: Consideramos pertinente la comunicación de este caso ya que la fuerte sospecha de una micosis relacionada al foco epidemiológico llevó a tomar conductas diagnóstico terapéuticas que permitieron establecer el diagnóstico etiológico con relativa facilidad y rapidez, e iniciar el tratamiento específico de manera oportuna.

 

 

 

 

0237   SINDROME CATATONICO: UN DESAFIO PARA LAS UNIDADES CRITICAS. A PROPOSITO DE UN CASO

I Petel(1), M Steinberg(1), M Cozzi(1), MA Barrientos(1), D Vera(1)

(1) Naval.

 

Introducción: La catatonia es un síndrome neuropsiquiátrico, de baja prevalencia, caracterizado por anormalidades motoras, asociadas a alteraciones de la conciencia que se manifiestan como eventos de delirio hiperactivo.

El delirio hiperactivo constituye una patología frecuente entre los pacientes críticos. Se asocia a destete prolongado, incremento en los días internación y mayor riesgo de complicaciones asociadas a los cuidados de la salud, lo que conlleva aumento de la morbimortalidad. Las causas delirio son multifactoriales, y el manejo constituye un desafío para los intensivistas.

Presentación del caso: Varón de 59 años hipertenso sin antecedentes neuropsiquiátricos, que ingresa a Terapia Intensiva por destete dificultoso debido a excitación psicomotriz, en el contexto de post PCR intraoperatorio.

En Terapia Intensiva presenta episodios de excitación psicomotriz asociados a cuadros hiperadrenérgicos con múltiples manifestaciones neurológicas asociadas, lo que dificulta el destete de la asistencia ventilatoria mecánica, requiriendo traqueostomía. Se aplican diferentes esquemas de tratamiento con psicofármacos, sin respuesta favorable. Se llega al diagnóstico de síndrome catatónico. Se decide iniciar Terapia Electroconvulsiva. Se obtienen buenos resultados, el paciente es dado de alta al domicilio.

Discusión: Exponemos un caso de síndrome catatónico post PCR intraoperatorio, manifestado por excitación psicomotriz de difícil manejo, donde el manejo habitual, no tuvo respuesta satisfactoria. Ante la sospecha de síndrome catatónico, se utilizó la Escala de Bush Francis, obteniéndose un alto puntaje, llegando al diagnostico de Síndrome Catatónico. Se propuso la realización de Terapia Electroconvulsiva, se obtuvieron buenos resultados a corto plazo. Valoraremos el síndrome catatónico como posible causa de delirio en los pacientes críticos, y comentaremos el uso de la Terapia Electroconvulsiva como tratamiento especifico.

Conclusión: La catatonia es una entidad de baja prevalencia, de la que hay pocos reportes de casos en la bibliografía. Como parte del tratamiento se describe la Terapia Electroconvulsiva, siendo la misma controversial y marcada desde hace muchos años por los enfoques coercitivos que la relacionan con la visión ética y humana de la atención medica.

Creemos que la descripción de este caso clínico nos puede ayudar a ampliar el abanico de causas de delirio y trastornos neuropsiquiátricos que se pueden manifestar en los pacientes críticos.

 

 

0239   INSUFICIENCIA TRICUSPÍDEA TRAUMÁTICA

A Ramirez Juncos(1), PB Pahnke(1)

(1) Hospital Municipal De Urgencias.

 

Introducción: La insuficiencia tricuspídea traumática (ITT) es una lesión singular asociada al trauma de tórax contuso (TTC), con o sin contusión miocárdica. Su manifestación clínica oscila desde silente hasta shock cardiogénico, dependiendo de la magnitud del daño estructural. Frecuentemente pasan desapercibidas inicialmente y, desafortunadamente, se diagnostican post deterioro de la función VD.

Presentación del caso: Masculino, 33 años ingresa al SHock Room con trauma facial y TTC, ISS:20, por colisión moto vs auto. SCG 15/15, TA: 133/92 mmHg, FC: 78 lpm, FR: 20 rpm, Sat: 89%; ECG FA mod RV; Estigmas torácicos; ondas prominentes en vena yugular izquierda, soplo holosistólico 1/6 paraesternal izquierdo. TAC: fractura maxilar inferior (cuerpo y ramas, con desprendimiento y luxación de cóndilos); fractura condral segunda costilla paraesternal; contusión y laceración pulmonar bilateral. Troponinas I 2174/2260/1227/829/593 ProBNP 796/1043/1595. ETT insuficiencia tricuspídea con mínimo aumento del diámetro del anillo tricuspídeo. Cardiorresonancia insuficiencia valvular mitral leve y tricuspídea moderada, función sistólica, tamaño, contractilidad y perfusión tisular biventricular conservados. ETE rotura cuerda tendinosa de primer orden valva posterolateral, insuficiencia tricuspídea moderada, con cavidades y función sistólicas derechas normales. Cardioversión farmacológica, osteosíntesis maxilar. Interconsulta a centro con CCV. Alta 6°día.

Discusión: En politraumatizados, la ITT puede ser no detectada inicalmente. El mecanismo de ruptura del aparato valvular o ”blowout” se basa en que la abrupta aceleración-desaceleración o compresión-descompresión anteroposterior del tórax al final de la diástole, genera un aumento de las presiones cardíacas derechas, con la consiguiente avulsión del aparato valvular. El alto índice de sospecha diagnóstica se basa en el mecanismo lesional, signos clínicos, cambios electrocardiográficos, biomarcadores elevados; y se confirma con imágenes multimodales cardiacas. La corrección quirúrgica no está establecida. Los signos de insuficiencia cardíaca derecha indican la reparación temprana, preservando la función ventricular derecha. Las imágenes dinámicas determinan el momento quirúrgico en casos asintomáticos.

Conclusión: La ITT es infrecuente y se manifiesta con una amplia gama de presentaciones clínicas en el contexto de TTC. Ante signos de sobrecarga derecha, arritmias o bloqueos nuevos, con curva enzimática ascendente, se debe descartar contusión miocárdica y lesión tricuspídea subyacente.

 

 

 

0240   TRAQUEOBRONCOMALACIA SEVERA, SU MANEJO PRE Y POST QUIRÚRGICO EN UNIDAD DE CUIDADOS CRÍTICOS PEDIÁTRICA: REPORTE DE CASOS

C Parellada(1), GV Claro(1), KE Jakobsen(1), MJ Arias(1), J Fain(1), S Pellegrini(1), M Truszkowski(1)

(1) Hospital De Pediatría “prof. J. P. Garrahan”.

 

Introducción: Se define como traqueobroncomalacia (TBM) a la patología determinada por un anormal soporte de la tráquea y los bronquios. Esta característica puede conducir al colapso de la vía aérea. La incidencia reportada varía entre 1:1500 a 1:2500 y puede ser congénita o adquirida, aunque está última es poco frecuente. La presentación clínica es variable y depende de la severidad de la malacia, pudiendo encontrar casos leves hasta severos con riesgo de vida. El diagnóstico requiere una alta sospecha clínica y confirmación endoscópica. Presentaremos tres casos severos de dicha patología, uno de los cuales requirió colocación de exoesqueleto.

Presentación de los casos: - Caso 1: Lactante de 3 meses de edad, de sexo masculino, con diagnóstico de acondrodisplasia, hospitalizado desde su nacimiento requiriendo soporte ventilatorio mecánico (SMV) por cianosis y dificultad respiratoria. Se diagnosticó TBM por traqueografía realizándose reparación quirúrgica a los 4 meses de edad. Permaneció en el post operatorio con SMV por 90 días con altos requerimientos de sedación y titulación de PEEP los primeros días. Presentó dificultades para destetarse de la presión positiva por lo que requirió la realización de traqueostomía, permaneciendo con presión positiva de dos niveles en las vías respiratorias (BiPAP).

- Caso 2: Lactante de 2 meses de edad, de sexo femenino, con síndrome genético no caracterizado, requiere SMV desde su nacimiento, es diagnosticada con TBM severa y se realiza traqueostomía. Requirió varias cirugías correctivas sin éxito, por lo que se decidió la reconstrucción 3D de la vía aérea logrando, luego de 3 meses, destetarse de la presión positiva.

- Caso 3: Lactante de 2 meses de edad, de sexo masculino, con diagnóstico de síndrome de Down y requerimiento de SMV desde su nacimiento, es derivado para realización de traqueografía. Se diagnostica TBM, y se realiza traqueoplastía a los 3 meses de edad logrando destetarse de la presión positiva luego de 2 meses.

Discusión: El manejo de la TBM severa es complejo y los pacientes son heterogéneos. Por lo tanto, el tratamiento debe adaptarse cuidadosamente a cada paciente. A menudo se necesita un equipo multidisciplinario de cirujanos otorrinolaringólogos, intensivistas, cardiólogos y cirujanos cardiovasculares.

 

 

 

 

0241   ESTRIDOR TARDIO POST EXTUBACION ASOCIADO A PSEUDOMENBRANA TRAQUEAL FIBRINOSA: REPORTE DE UN CASO

G Rolandelli(1), I Petel(1), F Larocca(1), E Barone(1), D Vera(1)

(1) Naval.

 

Introducción: El estridor post extubación es una condición potencialmente fatal de no ser tratada a tiempo; se asocia a edema o disfunción de cuerdas vocales, secreciones, traqueomalacia u obstrucción. Describiremos el caso de un episodio de estridor tardío postextubación secundario a obstrucción por pseudomembrana traqueal fibrinosa.

Presentación del caso: Mujer cursando gesta de 37 semanas que ingresa por preeclampsia y neumonía por SARS COV2, requiere cesárea de urgencia. A las 24 horas requiere de intubación orotraqueal y ventilación mecánica invasiva por distress respiratorio.

Al noveno día se extuba, sin estridor ni broncoespamo, con disfonía, tos efectiva y sensación intermitente de cuerpo extraño a nivel torácico.

Al tercer día presenta marcada disfonía, estridor, con incremento del trabajo respiratorio y sensación de cuerpo extraño. Se decide realizar fibrobroncoscopía flexible.

Se observa a nivel de tercio superior de tráquea una membrana blanco grisácea fibrinosa adherida a pared traqueal que generaba efecto de doble luz, permitiendo el pasaje de aire y generando colapso dinámico, con oclusión parcial en espiración.

Se procede a extracción de la misma con fibrobroncospía. Revierte los síntomas posterior a la extracción, presenta franca mejoría de la mecánica ventilatoria y ausencia de estridor.

Fue dada de alta. Se realizo al mes fibrobroncoscopía de control, sin evidencia de lesiones.

Discusión: El proceso de extubación es un paso critico en el manejo de los pacientes de Terapia Intensiva, el estridor y la obstrucción de la vía aérea son complicaciones, afortunadamente poco frecuentes, pero que de no ser tratadas a tiempo ponen en riesgo la vida del paciente. Asociado la presencia de pseudomembranas puede pasar inadvertida, obstruyendo la luz traqueal.

Por esto creemos que es pertinente revisar el uso de la fibroscopía como piedra angular del diagnostico de las complicaciones en el proceso de extubación de los pacientes críticos.

Conclusión: La estridor asociado a la pseudomembrana traqueal ha sido descripto con frecuencia en la pandemia SARS COV2 debida al elevado número de pacientes que requirieron ventilación mecánica, con periodos prolongados de asistencia ventilatoria mecánica. Los síntomas descriptos por nuestra paciente, coinciden con lo descripto en la bibliografía. En nuestro caso la realización de la fibroscopía fue clave para la resolución satisfactoria del cuadro.

 

 

0242   Características y Evolución de Pacientes Obstétricas Críticas con COVID-19 requiriendo Soporte Ventilatorio Avanzado: Estudio de Cohorte Prospectivo Multicéntrico

D Vasquez(10), R Giannoni(1), A Salvatierra(2), K Cisneros(3), D Lafosse, F Escobar(4), M Montenegro(5), P Juárez, L Visani(6), V Mandich(7), E Barrozo(8), M Kirschbaum(9), G Plotnikow(10), MF Valenti(11), MC Canseco(12), I Romero(13), P Macharé(14), A Marquez(15), E Rodriguez(16), C Palacio(17), L Rapela(18), J Amillategui Scenna(19), R Nuñez(20),  Torres

(1) Hospital Regional Ramón Carrillo. (2) Hospital Del Este “Eva Perón”. (3) Sanatorio Antártida. (4) Fundación Valle Del Lili. (5) Hospital Materno Infantil Ramón Sardá. (6) Hospital Cuenca Alta Néstor Kirchner. (7) Hospital Santojanni. (8) Maternidad Provincial Teresita Baigorria. (9) Sanatorio Finochietto. (10) Sanatorio Anchorena. (11) Sociedad Argentina De Terapia Intensiva. (12) Instituto De Maternidad Y Ginecología Nuestra Señora De Las Mercedes. (13) Sanatorio Güemes. (14) Hospital Mi Pueblo. (15) Hospital Municipal De Morón. (16) Hospital Simplemente Evita. (17) Sanatorio Itoiz. (18) Hospital Municipal Del Carmen. (19) Hospital Provincial Del Centenario. (20) Hospital Mariano Y Luciano De La Vega. (21) Sanatorio Anchorena San Martín. (22) Hospital Interzonal General De Agudos Gral. San Martín.

 

Introducción: La información disponible sobre pacientes obstétricas con insuficiencia respiratoria aguda que requieren ingreso a UTI proviene de series de casos de hasta 71 pacientes.

Objetivo: Analizar características generales y evolución de pacientes embarazadas/puérperas con COVID-19 que requirieron ingreso a 21 UTIs de Argentina y Colombia requiriendo soporte ventilatorio avanzado (20/3/21-31/12/21).

Materiales y métodos: Estudio de cohorte prospectivo multicéntrico.

Resultados: Ingresaron 91 pacientes. En la tabla 1 se muestran sus características generales, evolución y diferencias entre sobrevivientes (SV) y No sobrevivientes (NoSV). Al ingreso a UTI 36(39.5%) requerían cánula nasal de alto flujo (CNAF), 28(31%) máscara reservorio (MR), 20(22%) ventilación mecánica invasiva (VMI), 5(5.5%) cánula de bajo flujo (CNBF) y 2(2%) ventilación-No-invasiva(VNI). Soporte ventilatorio al ingreso para SV vs. NoSV: [CNAF:28(37.3%)vs.8(50%); MR:23(30.6%)vs.5(31.5%); VMI:17(22.6%)vs.3(18.75%); CNBF:5(6.7%)vs.0; VNI:2(2.7%)vs.0; p0.71]. 24/36(66.6%) de las que ingresaron con CNAF y 21/28(75 %) de las que ingresaron con MR requirieron VMI(p0.48).

Parámetros respiratorios durante la 1°semana y diferencias entre SV y NoSV: Figura-1. Variables significativamente diferentes entre SV/NoSV: presión plateau (PP) al 2° y 7°día y driving pressure (DP) al 7°día (p<0.05). PaO2/FiO2 durante la primera semana fue significativamente diferente al día 0 vs. 2° y 7°día (p0.000). 20 pacientes requirieron CNAF como máximo soporte ventilatorio vs. 69 que requirieron VMI; siendo las diferencias significativas entre estos dos grupos: IMC 27.2±3.5 vs. 30.2±6 (p0.010), APACHEII 7[5.5-12.5] vs. 14[9-19] (p0.001), SOFA24 2.5[2-4] vs. 5[4-7] (p0.000) y alta con embarazo en curso 8/14(57.1) vs 4/54(7.4) (p0.0002). La mortalidad de las pacientes que requirieron VMI fue de 23.2%(16).

Conclusiones: La mayoría de las pacientes pertenecían al sector público de salud y no estaban vacunadas. Si bien la mayoría no presentaba comorbilidades, la presencia de alguna comorbilidad fue más frecuente en el grupo de NoSV. Cuarenta por ciento presentaba obesidad, siendo la obesidad clase II fue más frecuente que la clase I entre NoSV. El uso de CNAF vs. MR no evitó la necesidad de VMI. La mortalidad de las pacientes bajo VMI fue significativamente inferior a la descripta para la población general COVID-19. Los parámetros respiratorios que evidenciaron diferencias entre SV y NoSV fueron PP Y DP.

 

 

 

 

0245   CRANIECTOMÍA DESCOMPRESIVA PRIMARIA EN TRAUMATISMO CRANEOENCEFÁLICO GRAVE

F Garavelli(1), M Re(1), N Rocchetti(1), F Di Paolo(1), M Latimori(1), M Ramirez Colombres(1), C Maenza(1), S Gattino(1), C Settecase(1), D Bagilet(1), J Meoli(1)

(1) Hospital Eva Peron.

 

Introducción: La craniectomía descompresiva (CD) puede ser primaria (CDP) o secundaria (CDS). Factores clínicos pronósticos pueden cobrar relevancia para evaluar la utilidad de realizar CDP en pacientes con trauma craneoencefálico grave (TCEG).

Objetivos: Primario: Analizar factores pronósticos que influyan en la morbimortalidad de pacientes con TCEG y CDP. Secundario: Describir características socio-demográficas, clínico-analíticas, imagenológicas, evolución y morbimortalidad.

Materiales y métodos: Estudio analítico, descriptivo, observacional, de cohortes, retrospectivas. Incluyó mayores de 16 años, internados consecutivamente por TCEG con requerimiento de CDP, en la UCI del Hospital Escuela Eva Perón, entre el 01/01/2019 y el 01/06/2022. Análisis estadístico: variables cualitativas se expresaron como porcentajes, cuantitativas como medianas y rango intercuartilo (Q3-Q1). Análisis de regresión logística binaria univariado y multivariado para expresar la fuerza de la asociación entre mortalidad y factores pronósticos. Se asumió significativa p≤0,05, se calculó Odds Ratio (OD) e intervalo de confianza 95% (IC). El trabajo fue aprobado por el Comité de Docencia e Investigación del hospital.

Resultados: 41 sujetos requirieron CDP, 85,4% hombres, mediana de edad 34 años (48-21), estancia hospitalaria de 11 días (23-5). Las CDP fronto-parieto-temporal y fronto-temporal (24,4%) fueron más frecuentes. Se realizó la división en dos grupos: GRUPO 1= fallecidos 11 (26,8%) vs. GRUPO 2= sobrevivientes 30 (73,2%). El análisis de regresión logística bivariante univariado encontró diferencias significativas en: Escore de Glasgow (Grupo 1=5 (3-9) vs. Grupo 2=8 (7-9) p= ,004); APACHE II (Grupo 1=21 (6-42) vs. Grupo 2=11 (3-24) p= ,007); SAPS II (Grupo 1=56 (14-70) vs. Grupo 2=37 (7-62) p= ,030); SOFA (Grupo 1=9 (4-27) vs. Grupo 2=4 (2-12) p= ,016); Retrascore (Grupo 1=5,72 (0-11) vs. Grupo 2=3,11 (0-7) p= ,020); Escala Marshall (Grupo 1=4 (2-5) vs. Grupo 2=2 (1-5) p= ,021); anisocoria (Grupo 1=8 vs. Grupo 2=8 p= ,044). En el análisis de regresión logística binaria multivariado todas las variables perdieron significancia estadística. Sin embargo, al quitar las variables SOFA, Glasgow, SAPS II y retrascore, por colindancia de variables, manteniendo anisocoria y APACHE II, estas continuaron presentando significancia estadística.

Conclusión: La mortalidad fue del 26%. En una población con TCEG con requerimiento de CDP en UCI, anisocoria y APACHE II se comportaron como predictores de mortalidad en UCI.

 

 

0246   covid multisistemico del adulto

M Gardeazabal Rospilloso(1), MR Gardeazabal Rospilloso(1), J Vilca(1), I Parodi(1), M Cordoba(1), A Cucci(1), F Morales(1), AL Piñas(1), L Tumino(1), C Loudet(1), A Toro(1)

(1) Higa San Martin.

 

Introducción: El síndrome inflamatorio sistémico del adulto (SIM-A) es una complicación de baja incidencia en adultos infectados por SARS-CoV-2. Los pacientes afectados suelen ser jóvenes o de mediana edad y se caracterizan por una respuesta inflamatoria desregulada.

Presentación de caso: Paciente de23 años femenina sin antecedentes personales de relevancia, cursando puerperio inmediato.Es derivada de otro nosocomio por sospecha de purpura trombocitopénica trombótica (PTT) para realizar plasmaféresis por plaquetopenia y anemia asociada a esquitositos en frotis periférico.

Ingresa a UTI estable, afebril, buena mecánica ventilatoria, sin signos de fallo de bomba. Evoluciona en 36 hrs con insuficiencia respiratoria aguda con requerimiento de ARM. Evoluciona con SDRA con requerimiento de prono ;en tomografía computada se evidencia opacidades en vidrio esmerilado, consolidaciones bilaterales a predominio derecho; protocolo para TEP negativo. Se obtiene resultado antígeno para SARS-CoV-2 positivo. Se realiza ecocardiograma con FEY conservada, dilatación de cavidades derechas, hipertensión pulmonar severa, insuficiencia tricúspidea moderada y derrame pericárdico leve. Evoluciona con requerimiento de inotrópicos y falla renal. Presenta además ferritina elevada (2130) eritrosedimentación 24, proteína C reactiva de 159. Considerándose el cuadro cardiológico sumado a plaquetopenia en contexto de SARS-CoV-2 positivo cumpliendo criterios para SIM-A se inicia tratamiento con gammaglobulina a razón de 2gr/ kilo peso.

La paciente presenta evolución favorable, con mejoría de oxigenación, de función renal y estabilidad hemodinámica. Al cuarto día se repite ecocardiograma con patrón normal, se decide extubación. Se va de alta de terapia intensiva a los 10 días de su ingreso.

Discusión: El SIM-A es una entidad de difícil diagnóstico por la inespecificidad del cuadro, con escasos reportes de casos en la literatura actual. Resulta un desafío para enfocar diagnósticos diferenciales y decidir estrategias terapéuticas que aún se encuentran en discusión, con mucha información extrapolada de población pediátrica.

Conclusión: El Síndrome Inflamatorio multisistémico es una entidad sin un cuadro clínico especifico, que se plantea ante la sospecha diagnóstica frente a múltiples síndromes en el contexto de infección actual o precedente por SARS-CoV-2.Al ser una entidad poco incidente en adultos se cuenta con muy poca información no solo para el diagnóstico sino además para los posibles tratamientos.

 

 

0247   SHOCK SÉPTICO POR SÍNDROME DE LOEFFLER. REPORTE DE UN CASO

G Gomez(1), ML Campassi(1), F Repetto(1), D Banegas(1), M Cuitiño(1), B Tiseyra(1), I Ramirez(1), L Flores Trusso(1), C Fauez(1)

(1) Clinica La Pequeña Familia.

 

Introducción: El Strongyloides stercoralis es un nematodo intestinal, endémico en áreas rurales, tropicales y subtropicales, y se asocia con un amplio espectro de manifestaciones y síndromes clínicos. En Argentina, estudios descriptivos han informado prevalencias de parasitosis mayores al 80% en algunas localidades del norte y sur del país, mientras que en la zona central se registran porcentajes cercanos a 45%.

Caso Clínico: Paciente de 56 años oriundo de Chaco con antecedentes de tabaquismo, hiperuricemia, histoplasmosis de reciente diagnóstico. MH: omeprazol 20 mg, itraconazol 400 mg y meprednisona 40 mg.

Es derivado por cuadro de 7 días de evolución caracterizado por dolor abdominal asociado a náuseas, astenia y adinamia. Ingresa vigil, con signos de hipoperfusión en insuficiencia ventilatoria, por lo que requiere IOT/ARM, reanimación con fluidos y vasopresores en dosis alta. Se toman hemocultivos x 2, urocultivo y AT e inicia tratamiento empírico con vancomicina + meropenem. Se recibe resultado de AT positivo para Strongyloides stercolaris, por lo que se agrega ivermectina. Se re-interpreta el cuadro como shock séptico con FMO 2rio a síndrome de Loeffler. Evoluciona con PCR y se realizan maniobras de RCP avanzada, sin éxito.

Comentarios: La presentación sistémica de esta enfermedad se observa más frecuentemente en individuos inmunocomprometidos, siendo el pulmón, piel, mucosas, médula ósea y SNC los principales sistemas de choque. Es rara su presentación sistémica en individuos inmunocompetentes.

Conclusión: Reportamos este caso dado que es una patología poco frecuente pero que debe ser sospechada en todas aquellas personas con epidemiología compatible, independientemente de su estado inmunológico basal. El desafío real es realizar el screening antes y durante los tratamientos con inmunosupresores. Además el reconocimiento temprano y el tratamiento específico evitan una evolución fatal de estas infecciones, pero el diagnóstico es dificultoso porque las manifestaciones clínicas son inespecíficas.

 

 

 

0248   HEMORRAGIA SUBARACNOIDEA COMPLICADA CON SINDORME DEL CORAZON ROTO

P Spina(1), P Amancay(1), G Gimenez(1), L Iglesias(1), A Peñaloza(1), S Enzo(1), G Scuaglia(1)

(1) Sanatorio Del Salvador.

 

El síndrome de Takosubo representa una disfunción ventricular izquierda, es causado por estrés emocional, físico intenso 0 injurias cerebrales severas. Su incidencia en las hemorragias subaracnoideas es de 26% .

Se presenta paciente femenina de 55 años con antecedentes de hipotiroidismo que consulta por depresión del sensorio de una hora de evolución aproximadamente previo a dificultad respiratoria y mal estar general. A su ingreso somnolienta, Glasgow 14/15 sin foco motor con cefalea retro ocular frontal occipital intensa asociado a nauseas con episodios de vómitos biliosos durante la mañana.

Se realizó una TAC de cerebro que informa leve hemorragia frontal bilateral y edema cerebral difuso, se avisa a servicio de neuro cirugía quien indico Angio RMN que muestra aneurisma de la arteria comunicante posterior izquierda de 4.5mm.

Se procedió a angiografía y clipado aneurismático sin complicaciones.

A las 24 horas evoluciona con hemiparesia braquioclural derecha 3/5 compatible con vaso espasmo sintomatico, se realiza nueva imagen cerebral sin cambios respecto a la previa. Se inicia NAD para mantener TAM.

El día siguiente intercurre con depresión del sensorio, convulsiones y taquicardia ventricular sostenida con posterior PC, sale del mismo en shock cardiogenico con requerimiento de inotrópicos y vasopresores a altas dosis.

Ecocardiograma doppler informo deterioro severo de la función sistólica, FEY menor al 15% con hipocinesia global, cinecoronariografia descarta enfermedad coronaria; y un venticulograma mostro trastornos de la motilidad compatible con miocardiopatia por estres.

Evoluciona con shock cardiogenico refractario y síndrome febril posteriormente falla multiorganica y óbito

La miocardiopatía de takosubo es un síndrome agudo reversible que aumenta la mortalidad en HSA. Para el diagnóstico se utilizan examen de laboratorio, electrofisiológicos, de imágenes, circulatorios y los criterios diagnósticos inter TAK para diferenciar el SST del SCA.

El shock cardiogénico no es infrecuente en asociación a STK y se asocia a un peor pronóstico a corto y largo plazo, en contexto de HSA. El tratamiento es individualizado, y el empleo de levosimendán fue más efectivo que el de los inotrópicos adrenérgicos. Se justifica el seguimiento sistemático y regular de electrocardiograma y ecocardiograma para la detección temprana.

 

 

0249   PACIENTE JOVEN CON MICROAGIOPATIA TROMBÓTICA INDUCIDA POR SEPSIS

F Garavelli(1), M Re(1), N Rocchetti(1), F Di Paolo(1), M Latimori(1), M Ramirez Colombres(1), C Maenza(1), S Gattino(1), C Settecase(1), D Bagilet(1)

(1) Hospital Eva Peron.

 

Introduccion: La microangiopatía trombótica (MAT) es un trastorno que causa trombosis microvascular con trombocitopenia y anemia hemolítica, y puede ser inducida por sepsis (sMAT).

Caso clínico: Mujer de 41 años, antecedentes: VIH en tratamiento, neurotoxoplasmosis, G5P3A2, tabaquista, cocainómana. Ingresa por dolor en hemiabdomen inferior de 5 días de evolución, ginecorragia, fiebre, convulsión e hipotensión. Examen físico: TAM 50mmHg; FC 100LM; FR 24CM, Tº 38ºc; GCS 13/15; PIRS, abdomen blando, distendido, doloroso, sin defensa ni descompresión; resto sin particularidades. Requirió inotrópicos y AVM. Laboratorio: Hb 7,3 mg/dl; leucocitos 11400 mg/dl; PCR 23 mg/dl; PCT 31,07; plaquetas 8000mm3; glucemia 104; uremia 279 mg/dl; creatininemia 6,3 mg/dl; albuminemia 2,4; natremia 132 mEq/L; kalemia 5,4 mEq/L; calcemia 7,2 mEq/L; fosfatemia 4,6 mEq/L; magnesemia 2,2 mEq/L; TGO 24; TGP 15; FAL 134; GGT 13, BT 2,2; BD 2,10; LDH 1325; KPTT 25; TP11; Fibrinógeno 287 mg/dl; Dimero D 10,7; COOMBS,VDRL, VHB, VHC negativos; Ph 7,43, PCO2 28, PO2 109, HCO3 18 mEq/L , EB -5,5, SatO2 98%. Factor reumatoideo negativo; FAN, ENA, C3, C4, ANCA C y P negativos; proteinograma por electroforesis normal. Sub Beta HCG positivo (472UI); haptoglobina < 10. Frotis: anisocitosis, poiquilocitosis, esquistocitos: 2/campo; plaquetas 6500/ml. LCR: glucosa 1,15 mg/dl; proteínas 2,7 gr/l, leucocitos 2898 mm3 (PMN 77%), Lactato 5,4mmol/L. Ecografía transvaginal: contenido en cavidad uterina con burbujas aéreas. TAC cráneo: sin lesiones agudas. Escores predictivos para ADAM-13 (Fruch y PLASMIC) de alto riego. Inicia ampicilina/ceftriaxona/aciclovir; se transfundieron hemoderivados; realizó plasmaféresis (5 sesiones), soporte dialítico e histerectomía. Urocultivo: E. Coli; LCR, hemocultivos, útero y liquido ascítico negativos. Ajusta tratamiento a ceftriaxona/clindamicina. Presentó buena evolución.

Discusión: La PTT primaria es causada por anticuerpos contra ADAMTS13. En sepsis, citoquinas y elastasas de granulocitos clivan ADAMTS13 y depletan sus niveles, provocando anemia hemolítica microangiopática con trombocitopenia. Es frecuente el compromiso renal, pulmonar y del sistema nervioso central. Ante la presencia de sMAT, la plasmaféresis puede ayudar a remover los factores responsables del déficit de ADAMTS13, si bien su uso es discutido.

Conclusión: Frente a un rápido descenso de hemoglobina y plaquetas en contexto de sepsis debe sospecharse Smat. La plasmaféresis mejora el pronóstico, aunque su eficacia no está establecida.

 

 

0250   Injuria pulmonar inducida por Paraquat

VS Iglesias(1), S Iturri(1), F Villarejo(1), P Damian(2),   Posadas, R Romina(4), P Jose(5), R Vitello(6)

(1) Nac. Prof.a. Posadas. (2) Nac.prof A. (3)  Posadas. (4) Nac. Prof.a.posadas. (5) Nac. Prof. A. Posadas. (6) Nac. Prof. Posadas.

 

Introducción: El paraquat (PQ), herbicida difundido en agricultura, según la OMS moderadamente peligroso.

Argentina no tiene datos epidemiológicos exactos sobre la incidencia de intoxicación por PQ, se estima es menor al 2%.

Presentación: Productor rural, 56 años. Ingresa 48 hs tras ingesta intencional de PQ (20 ml). Presenta odinofagia, sialorrea, vómitos, úlceras mucosas. Laboratorio con leucocitosis y falla renal. Sin compromiso clínico ni radiológico respiratorio. Prueba en orina confirma intoxicación por PQ. Inicia tratamiento inmunosupresor con pulsos de ciclofosfamida y metilprednisolona. A los 9 días: leve disnea e hipoxemia requiriendo oxigenoterapia de bajo flujo. Tomografía (TC) de tórax: vidrio esmerilado en ambos campos pulmonares. Pasados 10 días inicia oxigenoterapia con cánula nasal de alto flujo (OCAF) por descenso de oxigenación (tabla 1) con periodos en prono vigil con parcial mejoría. Dia N°25 agrava insuficiencia respiratoria (IR) requiriendo ventilación mecánica invasiva (VMI). Cumple dos ciclos de decúbito prono de 60 y 24 hs falleciendo a 30 días de ingesta por hipoxemia refractaria.

TC post-mortem ( anuencia familiar) muestra neumotórax izquierdo, consolidación, broncograma, vidrio esmerilado, enfisema subcutáneo y neumomediastino.

Tabla 1

 

Discusión: El PQ tiene afinidad por los neumocitos generando especies reactivas de oxígeno y consecuentemente peroxidación de lípidos, los radicales libres producen un comportamiento similar al SDRA conduciendo a fibrosis pulmonar irreversible siendo la principal causa de muerte según estudios epidemiológicos.

La IR generada y necesidad de oxígeno suplementario lleva a formación de radicales libres que empeoran la respuesta inflamatoria y situación clínica, coincidimos en buscar objetivos de saturación periférica de oxígeno entre 88 y 90% limitando altas fracciones inspiradas.

Conclusión: Mencionado el similar comportamiento al SDRA e inevitable progresión a fibrosis, la IR generada por PQ nos presenta un desafío. Se implementó aquí OCAF, utilizada con éxito en la pandemia Covid-19 como alternativa ante VMI por los riesgos que conlleva, habida cuenta estos pacientes deben ser considerados inmunodeprimidos tras recibir el esquema terapéutico inicial. Por ello se plantea extender un método de sostén no invasivo según la tolerancia del paciente lo permita.

 

 

 

0251   Características Obstétricas y Evolución Fetal-Neonatal en Pacientes con COVID-19 que Requirieron Ingreso a UTI: Estudio Multicéntrico de Cohorte Prospectiva

D Vasquez(24), R Giannoni(1), A Salvatierra(2), K Cisneros(3), D Lafosse(4), F Escobar(5), M Montenegro(6), P Juárez(7), L Visani(8), V Mandich(9), E Barrozo(10), M Kirschbaum(11), A Das Neves(12), MF Valenti(13), MC Canseco(14), I Romero(15), P Macharé(16), A Marquez(17), E Rodriguez(18), C Palacio(19), L Rapela(20),  Amillategui S

(1) Hospital Regional Ramón Carrillo. (2) Hospital Del Este “eva Perón”. (3) Sanatorio Antártida. (4) Hospital Materno Infantil Dr. F Escardó. (5) Fundación Valle Del Lili. (6) Hospital Materno Infantil Ramón Sardá. (7) Hospital De La Madre Y El Niño. (8) Hospital Cuenca Alta Néstor Kirchner. (9) Hospital Santojanni. (10) Maternidad Provincial Teresita Baigorria. (11) Sanatorio Finochietto. (12) Hospital Interzonal General De Agudos Gral. San Martín. (13) Sociedad Argentina De Terapia Intensiva. (14) Instituto De Maternidad Y Ginecología Nuestra Señora De Las Mercedes. (15) Sanatorio Güemes. (16) Hospital Mi Pueblo. (17) Hospital Municipal De Morón. (18) Hospital Simplemente Evita. (19) Sanatorio Itoiz. (20) Hospital Municipal Del Carmen. (21) Hospital Provincial Del Centenario. (22) Hospital Mariano Y Luciano De La Vega. (23) Sanatorio Anchorena San Martín. (24) Sanatorio Anchorena.

 

Objetivo: Analizar las características obstétricas y evolución fetal-neonatal en pacientes embarazadas/puérperas que ingresaron a 21 UTIs de Argentina y Colombia por COVID-19 requiriendo soporte ventilatorio avanzado (20/3/21-31/12/21).

Materiales y métodos: Estudio de cohorte prospectivo multicéntrico.

Resultados: Ingresaron 91 pacientes: 28(31%) postparto (finalización del embarazo (FE) a las 34±2.7 semanas) y 63(69%) anteparto con una EG de 29.2±4.9 semanas y FE en UTI a las 31±4.4 semanas (EG al momento del parto en el grupo admisión postparto vs. anteparto= p0.002). En el 60.5%(43/71) la causa de FE fue materna, en 29.5%(21/71) materno-fetal y en 9.9%(7/71) fetal. De las 63 pacientes admitidas anteparto, 43(68.3%) requirieron FE durante la internación en UTI, 14(22.2%) fueron dadas de alta con embarazo en curso, 2(3.2%) sufrieron un aborto espontáneo y 4(6.3%) muerte fetal. La FE se produjo a los 3[1-6.75]días de la admisión.

El soporte ventilatorio máximo para las 14 pacientes que continuaron su embarazo al alta de UTI fue: cánula nasal de alto flujo(8;57%), VMI(4;29%) y VNI (2;14%). La PaO2/FiO2 al ingreso a UTI para las pacientes que continuaron su embarazo fue 157.5[120-240] vs. 180[100-240] para las que requirieron FE en UTI(p0.9). Se produjeron 14 muertes fetales-neonatales: 2 abortos espontáneos, 4 muertes fetales y 8 neonatales. De las muertes fetales, 3 ocurrieron en fetos no viables (2 de 23 y 1 de 26.1 semanas) y 1 a una EG de 35 semanas en una paciente severamente enferma (APACHEII=22, PaO2/FiO2=87, SOFA24=5). Los factores de riesgo de mortalidad fetal-neonatal fueron EG a la FE (OR 0.67[0.52-0.86]p0.002) y SOFA24 (OR 1.53[1.13-2.08]p0.006). Curva ROC SOFA24 para predecir muerte fetal-neonatal: Fig.1

Conclusiones: La mayoría de las pacientes ingresó anteparto y recibió un cuidado prenatal mínimo; siendo éste apropiado solo en la mitad. La principal indicación de FE fue materna y la mayoría de los recién nacidos fue pretérmino, lo que se asoció a un número elevado de muertes neonatales. Las muertes fetales se produjeron mayormente en fetos no viables. Los factores de riesgo para mortalidad fetal-neonatal fueron el SOFA24 y la EG: el primero podemos considerarlo al decidir FE y la segunda es modificable replantando las decisiones de finalización.

 

 

 

 

0252   REPORTE DE CASO DE PACIENTE OBESO MORBIDO DE 250Kg, TECNICA DE TRAQUEOSTOMIA HIBRIDA LA UNICA ALTERNATIVA

M Carreño Mejia(1), V Reyes(1), A Flores(1), G Ponnefz(1), I Corgoglioni(1), M Manosperta.(1), M Ortega(1)

(1) San Cayetano.

 

La obesidad es una enfermedad de alta prevalencia en la provincia de Buenos Aires. Se presenta este caso de un paciente obeso mórbido al cual se le realizo una traqueostomia hibrida que combina la técnica quirúrgica y percutánea.

Paciente masculino de 62 años con cuadro de dificultad respiratoria, con mala evolución se evidencio desaturación, alteración del estado de conciencia, requirió ventilación mecánica con síndrome de distrés, se realiza evaluación antropométrica mediante mediciones indirectas para estimar peso actual, índice de masa corporal 86,5kg/m2 peso aproximado de 250kg, posterior a las 2 primeras semanas se plantea multidisciplinariamente con equipo de cirugía procedimiento de traqueostomía híbrida.

Se coloco analgosedacion, se deslizó el tubo hasta colocar el neumotaponador hasta las cuerdas bucales, se realizó una incisión vertical por debajo del cartílago cricoides, diéresis por planos hasta exposición de anillos traqueales, se procedió con kit percutáneo seguida por la cuerda de piano y los dilatadores sucesivos de acuerdo a la técnica seldinger, se colocó la cánula, se procedió a realizar fijación.

La realización de la traqueostomía mediante una técnica híbrida no se encuentra documentada ni estudiada para el tratamiento de obeso ventilado, la traqueostomía híbrida en esta situación se convirtió en la única opción del paciente y la imposibilidad del traslado a un área quirúrgica, siendo un método que garantiza un buen acceso a la vía aérea mediante un abordaje inicial quirúrgico y la técnica percutánea facilita la realización en la misma cama del paciente; la determinación se tomo por las dimensiones de cuello y la imposibilidad de llegar a los anillos traqueales solo con la técnica percutánea que facilita la realización en la misma cama. Por lo tanto se constituye en una opción segura en pacientes obesos mórbidos con características antropométricas de difícil abordaje y con varios factores de riesgo asociados.

 

 

0256   REPORTE DE CASO: SÍNDROME DE ARTERIA MESENTÉRICA SUPERIOR O SINDROME DE WILKIE

V Iglesia(2), L Peralta(1), N Tedone(2), F Villarejo(2), D Piezny(1), R Rotte(1), S Helguera(1), D Pezzola(1), C Arias(1), L Medina(1), L Magnifico(2)

(1) Hospital  Posadas. (2) Hospital Posadas.

 

Introducción: El síndrome de la arteria mesentérica superior, o de Wilkie, es una condición poco frecuente de obstrucción del tracto digestivo superior. Sucede por una compresión extrínseca en la cara anterior de la tercera porción del duodeno a su paso entre el ángulo formado por la arteria mesentérica superior y la aorta y la columna vertebral. La severidad de los síntomas se correlaciona con la distancia aortomesentérica. La incidencia varía entre 0,013 al 3%, pero la tasa de mortalidad aumenta a 33% si se retrasa el diagnóstico. La etiopatogenia puede ser congénita o adquirida, siendo ésta última la de mayor presentación.

Presentación del caso: paciente sexo biológico masculino, 27 años. Como antecedentes presenta: meduloblastoma de fosa posterior con tratamiento quirúrgico, radioterapia y quimioterapia, insuficiencia hipofisaria múltiple, derivación ventrículo-peritoneal y ventrículo-atrial por hidrocefalia e hipoacusia. Ingresa por dolor abdominal asociado a vómitos porráceos y al examen físico con reacción peritoneal. Se realiza TAC que evidencia líquido libre, distensión gástrica y duodenal. Se decide conducta quirúrgica por peritonitis generalizada y úlcera duodenal perforada. Por imposibilidad de progresión de sonda para alimentación, se realiza yeyunostomía. Cursa posoperatorio inmediato en Unidad de Cuidados Críticos (UCC) con requerimiento de vasopresores y ARM. Evoluciona de manera tórpida, con abundante débito por SNG y alcalosis metabólica persistente. Requiere plan de hidratación parenteral amplio y optimización de medio interno a diario secundario al alto débito (> 1500 ml). Con el informe final de TAC se evidenció ángulo aortomesentérico de 19,7° y una distancia aortomesentérica de 7,57mm. Se realiza recuperación nutricional prequirúrgica y se decide realizar duodenoyeyuno anastomosis con plastia de pared con malla.

Discusión: La elección de la cirugía para derivar la obstrucción es exitosa en un 90 % de los casos reportados. En nuestro caso la presentación clínica se correlacionó en la mayoría de lo descripto en la literatura. Hasta la fecha la paciente continua en UCC por otras complicaciones no asociadas a este síndrome.

Conclusión: Un diagnóstico rápido permitió instaurar un adecuado soporte nutricional para mejorar valores bioquímicos nutricionales alterados previo a la intervención quirúrgica y reducir el riesgo de mortalidad.

 

 

0259   RENDIMIENTO DEL MODO INVASIVO EN DIFERENTES SISTEMAS DE HUMIDIFICACIÓN ACTIVA CON OXIGENOTERAPIA DE ALTO FLUJO

GA Plotnikow(1), DS Villalba(2), E Perez Calvo(2), C Quiroga(3), E Navarro(4), E Gogniat(5)

(1) Hospital Británico De Bs As. (2) Clínica Basilea. (3) Sanatorio Anchorena Recoleta. (4) Centro Del Parque. (5) Capítulo De Kineisología Intensivista.

 

Introducción: La oxigenoterapia a alto flujo a través de cánulas nasales genera cambios fisiológicos que impactan en las variables ventilatorias de los pacientes. Sin embargo, sabemos que existen efectos perjudiciales en la mucosa de las vías respiratorias relacionados con la inhalación de gases desacondicionados. El objetivo de este estudio fue evaluar el rendimiento en términos de humedad absoluta (Hab), humedad relativa (HR) y temperatura (T°) de diferentes marcas de humidificadores activos (HH) y circuitos calefaccionados en modo invasivo durante el uso de oxigenoterapia de alto flujo entre 30 y 100 L/min.

Métodos: Estudio observacional prospectivo realizado en el laboratorio de análisis de equipos de un sanatorio de Buenos Aires; del 5 de septiembre al 20 de octubre de 2019.

Resultados: Se encontró una interacción estadísticamente significativa entre los flujos flujos programados y las diferentes combinaciones de HH y circuitos para la entrega de Hab (P<0,001) (Tabla 1). Entre las diferentes combinaciones, el HH Fisher&Paykel MR850 con el circuito Medtronic-DAR (HA1CIR3) fue el de mejor rendimiento (Hab: 43.6±4.4 mg/L), sin diferencias significativas con el mismo HH y el circuito Intersurgical (HA2CIR5, p=0.915), el circuito AquaVENT (HA1CIR6, p=0.144) y el circuito GGM (HA1CIR7, p=0.342) (Figura 1).

También se encontró un efecto del flujo sobre la Hab entregada, independientemente de la combinación de HH y circuitos (P<0,001). Sin embargo, en el modo invasivo, la combinación del HH Fisher&Paykel MR850 con el circuito Medtronic-Dar, el circuito Intersurgical y el circuito AquaVENT siempre alcanzó valores de Hab >33 mg/L, incluso con flujos de hasta 100L/min. La combinación del HH Flexicare FL9000 con el circuito Fisher&Paykel RT202, el circuito Fisher&Paykel Evaqua 2, el circuito Flexicare, el circuito AquaVENT y el circuito GGM consiguieron resultados similares.

Conclusiones: Cuando se utilizaron HH en el modo invasivo para la implementación de oxigenoterapia a alto flujo, la Hab dependió no sólo de los humidificadores y la combinación de circuitos, sino también del flujo programado, especialmente en flujos >50L/min. Además, los HH mostraron diferentes comportamientos, en algunos casos ineficientes, a la hora de proporcionar una humidificación adecuada. Sin embargo, algunos equipos mejoraron su rendimiento cuando se ajustaron al modo invasivo.

 

 

 

 

0260   Actividad en Procuración de Pulmones para trasplante en la Provincia de Corrientes: Análisis de los últimos 3 años

C Pisarello(5), JE Alfonso(1), H Alvarez(1), EA Fernandez Da Veiga(1), MR Sanabria(1), R Garcia(2), V Lezcano(3), L Fernandez(4), M Dickau(4), LB Costa(5), S Doval(6), A Ramirez(6), A Ruiz Diaz(7)

(1) Cucaicor. (2) Hospital Angela I. De Llano. (3) Hospital San Juan Bautista. (4) Hospital Juan Pablo Ii. (5) Hospital Escuela Gral. San Martin. (6) Hospital San José. (7) Hospital Muniagurria.

 

Introducción: El número de pacientes que esperan un trasplante de pulmón es mayor que el número de pulmones de donantes adecuados, siendo la tasa de recuperación pulmonar menor en comparación con otros órganos sólidos.

Material y Métodos: Estudio observacional, retrospectivo, descriptivo, llevado a cabo entre enero 2019 y agosto del 2022. Se incluyeron donantes pulmonares. El análisis estadístico se llevo a cabo con el programa SPSS.

Resultados: Se han procurado 294 órganos sólidos con fines de trasplantes en la Provincia de Corrientes. El riñón fue el órgano más ablacionado (67.7%), seguido del hígado (17.3%) y el corazón (8.2%). La procuración de pulmón representó el 3% de los órganos ablacionados (7 pulmón Bilateral / 2 Pulmones Unilateral). En Argentina, se han ablacionados en total 75 pulmones, de los cuales, la provincia, aportó el 12%, siendo la tercera a nivel país. En cuanto a los establecimientos de origen, el Hospital Escuela J.F. San Martin, ha sido la segunda institución generadora de donantes pulmonares durante los últimos 3 años, obteniéndose además dos donantes en el Hospital Muniagurria de Goya. En el análisis de los donantes pulmonares, la media de edad fue de 28 ± 11 años. El sexo masculino representó el 57%. Media de días de ventilación mecánica 2 ± 1 días. Los donantes han sido ventilados con estrategia ventilatoria protectiva (6-7 ml/kg peso teórico) PEEP 5-8 cmH20, la media de pO2/FIO2 fue de 479 ± 77. Media de tiempo de isquémia fría 6,7 ± 1 horas y de isquémia caliente 43 ± 15 minutos.

Discusión: Actualmente 276 argentinos están en lista para trasplante pulmonar, y la procuración representa solamente el 7.2% de la demanda.

Conclusión: Nuestro estudio tiene como objetivo motivar a las provincias a llevar a cabo con mayor frecuencia la procuración pulmonar.

 

 

0261   IMPLEMENTACION DE CANULA NASAL DE ALTO FLUJO EN PANDEMIA COVID-19

A Gira(1), E Bellone(1), V Pousa(1), P Pratesi(1)

(1) Universitario Austral.

 

Introducción: La cánula nasal de alto flujo (CNAF), posee una recomendación fuerte para ser usado en pacientes diagnosticados con COVID-19 que presentan falla respiratoria hipoxemica, la misma es elegida sobre otras formas de Ventilación No invasiva, entre sus beneficios permite el monitoreo activo para identificar signos de empeoramiento.

Al comienzo de la pandemia existían dudas si era de alto riesgo para el personal de salud, y beneficiosa para el paciente, con estudios posteriores pudo determinarse que su uso es seguro para el personal de salud con uso adecuado de EPP y existe evidencia que aumenta los días libre de Ventilación mecánica invasiva y disminución en los días libres de UCI.

Objetivo: Describir el número de pacientes en los cuales se implementó CNAF y que no requirieron ingreso a UCI

Describir en pacientes con Neumonia COVID-19 la mortalidad global y la de pacientes ventilados.

IMPLEMENTACION DE UNA SISTEMATICA DE CNAF DURANTE LA PANDEMIA COVID-19

Se implementó un algoritmo para definir el uso de CNAF en pacientes con Neumonía COVID-19 que ingresaron en el Hospital Austral. En la sistemática se involucraron los servicios de: Emergencias, Clínica medica, UTIM, terapia intensiva.

Población: Pacientes adultos con Neumonía COVID-19 internados en Hospital Austral entre mayo del 2020 y Julio 2021.

Análisis y resultados: En el Hospital Austral 130 pacientes usaron CNAF, 60 (46%) no requirieron UCI.

En la UCI adultos, de 262 pacientes un 25% (65 pacientes) requirió ARM y un 75% (197 pacientes) CNAF.

De los 197 pacientes con CNAF, 56 (29%) no requirió Intubación orotraqueal (IOT). El promedio de días de CNAF fue de 5 días, el promedio de días de CNAF que no requirió IOT fue de 7,8 y el promedio de días de quienes usaron CNAF hasta IOT fue de 3,5.

La mortalidad global fue del 19% y la mortalidad en pacientes ventilados del 24%.

Conclusión: El uso de CNAF en pacientes con Neumonía COVID es seguro, genera beneficio para el paciente, disminuye el ingreso a UCI y a Ventilación mecánica invasiva, la mejor forma de implementarlo es mediante un protocolo institucional, interdisciplinario y transversal.

 

 

 

0263   PARO CARDIORRESPIRATORIO RECUPERADO SECUNDARIO A SÍNDROME DE TAKOTSUBO. PRESENTACIÓN DE CASO

GM Garelli(1), SB Soli(1), JJ Storani(1), DS Diaz(1)

(1) Hospital Italiano Rosario.

 

Introducción: El Síndrome de Takotsubo, es una entidad poco usual, más frecuente en mujeres. Un factor estresante actuaría como desencadenante. Su pronóstico es benigno, en general con regresión completa.

Caso clínico: Paciente femenino, 42 años, sin antecedentes. Ingresó a UTI por paro cardiorrespiratorio recuperado en contexto de riña callejera. Ambulancia constató ritmo de FV, realizó cardioversión eléctrica. Ingresó sedada, con intubación orotraqueal, taquicárdica, hipotensa, signos de hipoperfusión periférica. Al ingreso: ECG: ritmo sinusal, FC 135lpm, infradesnivel del ST de V3-V6. LABORATORIO: TGO 219U/L, TGP 268U/L, CPK 916U/I, CPK MB 44,9U/I, LDH 846U/L, acidosis metabólica moderada, láctato 2,8mm/L, Troponina I 1615pg/ml, resto normal. RX TORAX normal. ECOCARDIOGRAMA discinesia apical, septum y cara anterior, FEVI 30%. CCG y RMI cardíaca normales. Realizó tratamiento con noradrenalina, dobutamina. Al día 3 se suspenden los vasoactivos. Mejora laboratorio. Suspende sedación al día 4 y se extuba al día 6 y pasa a sala el día 8. Seguimiento a las 8 semanas con estudios normales.

Discusión: El Síndrome de Takotsubo es una miocardiopatía de causa desconocida, con disfunción sistólica temporal y reversible del VI, sin evidencia de enfermedad coronaria. Suele manifestarse con dolor precordial y disnea, menos del 3%, arritmias, paro cardíaco y shock cardiogénico como en nuestro caso. El 50% presenta estrés físico o emocional. Son característicos: elevaciones modestas de las enzimas cardíacas; ECG ritmo sinusal (90%), elevación del segmento ST (44%), descenso del ST (8%) o alteraciones en la repolarización; en ecocardiograma alteración de la contractilidad reversible y más común en zona apical, FEVI reducida (86%). Es imprescindible la cinecoronariografía sin lesiones obstructivas significativas para confirmar el diagnóstico. El tratamiento es soporte hemodinámico, prevención de complicaciones y anticoagulación si se evidencia trombo intracardíaco. La recuperación suele ser completa en días o semanas. Es posible la recurrencia.

Conclusión: Motiva la presentación del caso, dar a conocer una entidad poco frecuente en la terapia intensiva, muchas veces subdiagnosticada. Con gran similitud con el síndrome coronario agudo, sin embargo, con mejor evolución y pronóstico.

 

 

0264   ESTADO EPILEPTICO SUPER REFRACTARIO EN LUPUS ERITEMATOSO SISTEMICO, EN UNIDAD DE CUIDADOS INTENSIVOS PEDIATRICOS. REPORTE DE UN CASO

M Pazmino(1), R Alvarez(1), J Velez(1), C Fridman(1)

(1) Español.

 

Introducción: Lupus Eritematoso Sistémico (LES), trastorno infrecuente, cuyo pronóstico depende del compromiso renal y neurológico, afectando hasta 40% de los casos, generalmente es tardío y se correlaciona con gravedad.

El estado epiléptico es una urgencia neurológica de etiología variable, frecuente en niños, con alta morbimortalidad y elevado riesgo de secuelas, que requiere tratamiento agresivo una vez identificado ya que el tiempo de convulsión es determinante para la falta de respuesta. El estado super refractario no responde al tratamiento habitual inicial, con insuficiente evidencia para guiar el tratamiento de tercera línea.

Objetivos: Describir las características clínicas, exámenes complementarios y tratamiento empleado en una paciente con diagnóstico de LES con compromiso neurológico severo.

Descripción: Niña de 12 años, con diagnóstico de LES recientemente, recibió metilprednisolona e hidroxicloroquina. Hace 48 horas presenta crisis de ausencia y temblor, luego estatus convulsivo resistente al tratamiento de primera y segunda línea, induciendo coma farmacológico escalando a midazolam y tiopental a dosis máxima, además recibió gammaglobulina, con regular respuesta. Presentó focos epileptógenos con tendencia a la generalización al intentar descender benzodiacepinas, agregándose topiramato, actualmente en plan de dieta cetogénica.

Inicialmente presentó leucopenia y neutropenia con compromiso de enzimas hepáticas, y en LCR ligera pleocitosis e hiperproteinorraquia, y se medicó con Ceftriaxona y Aciclovir. La TC de encéfalo sin hallazgos relevantes. Durante su internación presentó injuria renal aguda transitoria.

El diagnóstico diferencial fue amplio y se incluyeron causas infecciosas, metabólicas e hipertensión, la punción lumbar con características similares a la literatura determinando permeabilidad de barrera hematoencefálica por aumento de factores inflamatorios en LCR. El monitoreo electroencefalográfico es indispensable. Las neuroimágenes indicadas en este proceso son RMN y angioresonancia.

Conclusión: El status epiléptico super refractario, es de difícil manejo, sin embargo su manifestación infiere gravedad y no debe posponerse su tratamiento intensivo con corticoides endovenosos a altas dosis, debido al riesgo vital que conlleva. En casos de respuesta pobre y en contexto de LES se puede combinar con inmunosupresores, gammaglobulina, dieta cetogénica y otros tratamientos nuevos como el rituximab e inclusive medicación intratecal, sin evidencia concluyente y siempre con pronóstico ominoso en la mayoría de los casos.

 

 

0265   Disfunción ventricular derecha aguda asociado a sangrado hepático en el  postoperatorio inmediato

A Couso(1), S Benavides(1), A Canedo Bermudez(1), M Ortiz(1), S Pello(1), F Amieva(1), M Ducasa(1), V Picolla(1), G Ramos(1), CB Cozzani(1)

(1) Dr Cosme Argerich.

 

Introducción: La falla ventricular derecha aguda se asocia con una alta prevalencia a infarto de miocardio o tromboembolismo de pulmón. Se presenta un caso en el contexto de shock hipovolémico y secundario a una reanimación con fluidos excesiva, siendo una complicación poco habitual, implicando un desafío diagnóstico y terapéutico.

Caso clínico: Paciente femenina de 25 años, sin antecedentes de relevancia, cursando internación por pancreatitis biliar con colestasis por lo que requirió colecistectomía laparoscópica. Evoluciona en el postoperatorio inmediato con shock hipovolémico sin respuesta a reanimación con fluidos, evidenciándose líquido libre en cavidad por lo que requiere laparotomía exploradora evidenciándose hemoperitoneo y hematoma perihepático, realizándose packing del lecho. En el postoperatorio persiste con inestabilidad hemodinámica, aumento de noradrenalina, y oligoanuria, requiriendo re exploración, recambio de packing, siendo transfundida nuevamente, agregando en el postoperatorio, soporte con vasopresina, deterioro de la PAFI y signos de sobrecarga. Posteriormente se realiza ecocardiografía con evidencia de disfunción y dilatación severa del ventrículo derecho (con angiotomografía de tórax negativa para TEP), iniciando soporte inotrópico con milrinona y hemofiltración. En menos de 24 hs, se suspende drogas vasoactivas y diuréticos, con restauración de la función ventricular derecha ad integrum.

Discusión: El ventrículo derecho depende de una poscarga disminuida con mayor volumen telediastólico. La falla ventricular derecha se genera por incremento de la resistencia del circuito pulmonar, o disfunción contráctil miocárdica intrínseca. El aumento de tensión parietal por sobrecarga genera alteración de la perfusión iniciando un círculo vicioso hacia la claudicación. La reanimación agresiva, el aumento de las resistencias pulmonares en el contexto de hipoxemia y la descompresión de la vena cava en contexto del recambio del packing , podrían explicar la falla ventricular de esta paciente. Este escenario no es infrecuente en el entorno de los cuidados intensivos posquirúrgicos.

Conclusión: Es de vital importancia el manejo cauteloso en la fluidoterapia, buscando limitar los aportes una vez superado el período de reanimación inicial, además de la sospecha temprana de otros mecanismos de shock. Frente a la presencia de shock cardiogénico con falla del ventrículo derecho, el presente caso resalta la importancia de considerar la sobrecarga como una etiología posible.

 

 

0266   Estudio multicéntrico sobre Injuria Renal Aguda en la UTI en Argentina: epidemiología, resultados y pronóstico. Grupo EPIRA (Grupo Epidemiológico de Insuficiencia Renal Aguda)

PN Rubatto Birri(1), R Giannoni(2), M Furche(3), M Nahra(4), MG Arce Gallardo(2), G Segui(5), G Tuhay(6), P Birri(7), M Romano(8), M Humacata(9), V Petrochelli(10), L Huespe(11), D Banegas(12), A Gomez(3), G Zakalik(13), F Lipovesky(14), P Montefiore(15), C Galleti(16), J Pendino(17), M Vera(18), S Mare(19), L Bergallo(20), G Fernandez(21), ML Campassi(22), F Rios(23)

(1) Sanatorio Otamendi. (2) Ramon Carrillo. (3) De Los Arcos. (4) Español. (5) Haedo. (6) Fundación Favaloro. (7) Sanatorio Sucre. (8) San Agustin. (9) San Bernardo. (10) Integral De Salud. (11) General San Martin. (12) Otamendi. (13) Luis C. Laggomagiore. (14) Univesidad Interamericana. (15) San Martin. (16) Allende. (17) Centenario. (18) Central. (19) Zonal Esquel. (20) Mapaci. (21) Pueyrredon. (22) Pequeña Familia. (23) Las Lomas.

 

Introducción: La insuficiencia renal aguda (IRA) es un síndrome frecuente en la UTI, asociado a importante morbi-mortalidad. En Argentina la información al respecto es escasa; el objetivo de este estudio fue caracterizar la epidemiología, pronóstico y tratamiento en pacientes con IRA en la UTI.

Métodos: Estudio multicéntrico de cohorte prospectivo, que incluyó pacientes internados en 35 UTIs entre 1/6/2018-31/12/2018. Se recolectaron datos en la admisión y durante la internación. IRA se definió según KDIGO 2012. Se exploraron incidencia, factores de riesgo y mortalidad de IRA a los 60 dias en comparación con los pacientes sin IRA (no-IRA). Se analizó la IRA al ingreso (IRA1), y la desarrollada durante la internación (IRA2).

Resultados: Se incluyeron 1466 pacientes; la IRA ocurrió en 61.3% (900/1466). En la Tabla 1 se presentan factores de riesgo para el desarrollo de IRA, que fueron: edad, BMI, Hipertensión, otras enfermedades cardiovasculares, diabetes, SOFA, APACHE II, deshidratación, sepsis, uso de vasopresores e inotrópicos, administración de radiocontraste, diuresis horaria en las 12 horas previas y uso de ventilación mecánica. La distribución de estadios de gravedad fue: KDIGO1 (47.6%), KDIGO2 (28.5%) y KDIGO3 (24.1%). La IRA1 representó 72.6% de los casos e IRA2, 27.3%. Se utilizaron terapias de reemplazo renal (TRR) en 14.8% (134/900) de los pacientes, siendo más frecuente en IRA2 (76.9%) vs. IRA1 (23.1%). La mortalidad fue 37.8% vs. 23.3% (IRA vs. No-IRA, p=0.000); y de 37.8% vs. 41.2 % en IRA1 vs. IRA2 (p=0.53), respectivamente. La IRA2 ocurrió a los 6 +/- 2.5 días de internación en UTI y se identificaron como factores de riesgo: el BMI y el uso de contraste.

Conclusiones: La IRA representa un problema de salud en las UTIs argentinas, con gran incidencia y mortalidad. La IRA al ingreso fue más frecuente que la desarrollada en la UTI, con igual pronóstico. Los factores de riesgo para IRA, y la utilización de TRR fueron semejantes a los descriptos en otros estudios epidemiológicos. Asimismo, la distribución de los estadios KDIGO 2012 es similar a lo descripto en la literatura.

 

 

 

 

0268   HALLAZGOS TOMOGRAFICOS ATÍPICOS EN PACIENTES COVID 19  Y SU ASOCIACIÓN CON TOCILIZUMAB

DN Gauna(1), A Dubin(1), N Benassich(1), C Zapata(1), A Leporace(1), C Alquichire(1), R Bastidas(1), M Palmas(1), P De Leon(1), I Swoboda(1), A Guevara(1), S Gallego(1), L Sambrana(1), G Lopez(1), D Colosima(1), V Kanoore Edul(1), N Rubatto(1), M Mugno(1)

(1) Sanatorio Otamendi.

 

Introducción: El síndrome de distress respiratorio agudo (SDRA) es una de las complicaciones más severas de los pacientes con enfermedad por virus SARS-Cov-2 (COVID-19) y está asociado a alta mortalidad. En estos pacientes, se ha demostrado un estado de inflamación sistémica, con niveles elevados de citoquinas pro-inflamatorias, como las interleukinas 1 (IL-1), 6 (IL-6), el Dímero-D y otros reactantes de fase aguda.

El Tocilizumab, un anticuerpo humanizado contra el receptor de IL-6, ha demostrado mejorar la evolución y disminuir la mortalidad, posiblemente por modular la respuesta inflamatoria. Sin embargo, a partir de la utilización sistemática de este inhibidor, en ciertos pacientes hemos notado el desarrollo de grandes cavitaciones pulmonares.

Objetivo: El objetivo de este estudio es describir la incidencia de cavitaciones pulmonares en pacientes con neumonía por COVID-19 y estudiar su posible asociación con el uso de Tocilizumab.

Métodos: Diseño: Cohorte retrospectiva de datos recolectados prospectivamente.

Población: Pacientes con SDRA por COVID-19 internados en UTI durante la Pandemia COVID-19 en Argentina

Exposición: Pacientes que recibieron Tocilizumab versus tratamiento estándar (corticoides).

Datos: se recolectaron datos epidemiológicos, parámetros respiratorios, hemodinámicos, fallas orgánicas, escores de gravedad, requerimientos de ventiliación mecánica (VM) y parámetros de evolución como enfermedad tromboembólica, infecciones nosocomiales, cavitaciones pulmonares y mortalidad en UTI y hospitalaria.

Plan estadístico: Se resumieron variables en media, mediana y promedios de acuerdo al tipo y distribución. Se compararon las muestras con test de χ2 y riesgo relativo. Se consideró un valor de significancia del 5%.

Resultados: Desde el 20/04/2020 al 26/07/2022 ingresaron a UTI 813 pacientes, 320 (39%) con diagnóstico de COVID-19 grave. En un subgrupo de 222 pacientes (69%), se realizó al menos una tomografía de tórax. Cincuenta y ocho pacientes (26%) recibieron Tocilizumab. Se hallaron cavitaciones en 15 pacientes (7%), de los cuales 8 (53%) habían recibido Tocilizumab (tabla 1). Esta asociación resultó mayor que en los pacientes sin exposición a la droga (χ2 =6.17, p=0.013).

Discusión: Las cavitaciones pulmonares son complicaciones infrecuentes relacionadas a enfermedades infecciosas y tromboembolia. En esta cohorte, sin embargo, encontramos un aumento de casos en pacientes que recibieron Tocilizumab.

Conclusión: El uso de Tociluzumab en pacientes con SDRA por COVID-19 se asoció al desarrollo de cavitaciones pulmonares

 

 

 

0269   ORIGEN ANÓMALO DE LA ARTERIA CORONARIA IZQUIERDA COMO CAUSA DE INSUFICIENCIA CARDIACA Y SHOCK CARDIOGENICO

G Gonzalez(1), F Pavone(1), A Lepore(1), PZ Vladimir(1), M Ludueña(1), A Guillermo(1), A Maria Fernanda(1), M Pablo(1), L Marta(1)

(1) Churruca.

 

Introducción: El síndrome de ALCAPA proveniente de las siglas en inglés (Anomalous origin of the left coronary artery from the pulmonary artery), es un raro defecto congénito, la arteria coronaria izquierda nace del tronco de la arteria pulmonar, también conocido como Síndrome de Bland-White-Garland. Representa el 0.25 al 0.5% de las cardiopatías congénitas con una prevalencia de 1 en 300000, siendo la alteración coronaria más frecuente.

Presentación del caso: Paciente de 3 meses de vida, RNTPAEG, que consulta por tos y dificultad respiratoria. SV FC: 160 x min, FR 70 x min, TA 80/42 TAM 54, SAT 97% con CAFO, Tax 37ºC. Presenta palidez cutánea mucosa, tiraje subcostal, espiración prolongada, rales subcrepitantes bilaterales, ruidos cardiacos hipofonéticos, relleno capilar de 3”, no soplos, no r3 ni r4. PELOD 2 (7- MP 3.5%). PIM 3 (-1.52- PM 17.93%). La rx tx presenta cardiomegalia severa y congestión pulmonar. Por inestabilidad hemodinámica se decide ARM. El ecocardiograma muestra DDVI: 47 mm DSVI 37 mm FA: 21% FE 35% CD 3 mm (z 5) CI 2,3mm (z 4) saliendo de la pulmonar. IM moderada a severa IT leve. Lab: NT-PROBNP > 25000 (vn < 125 pg/ml) Troponina US 156.5 (vn: < 19 ng/L). ECG QR en DI- AVL-V5-V6. Se decide realizar Angiografía selectiva en coronaria derecha: observándose CD con calibre aumentado y circulación colateral escasa, el tronco de la CI nace del tronco de la arteria pulmonar que roba el flujo. Decidiéndose la corrección quirúrgica

Discusión: El ALCAPA es una patología poco frecuente, que debe sospecharse en todo paciente con dilatación de cavidades izquierda, y ECG compatible, su diagnóstico precoz y corrección quirúrgica aumenta la sobrevida de los pacientes, que sin tratamiento solo un 10-15% desarrollan colaterales permitiendo la sobrevida hasta los 30-40 años. La ecocardiografía a la cabecera del paciente es el primer método diagnóstico, sin embargo la angiografía selectiva nos permite evaluar no solo la salida de la CI sino también las colaterales.

Conclusiones: El ALCAPA es infrecuente. Su diagnóstico precoz mejora la sobrevida. La reimplantación quirúrgica de la CI es el tratamiento. Si el miocardio esta hibernado, la función ventricular es normal con el tiempo.

 

 

 

 

0270   Glomerulonefritis: Presentacion atipica

A Gonzalez(1), G Tocalli(1), A Baez(1), M Lotorto(1), C Canteli(2), S Lujan(1)

(1) Hospital Privado De Rosario. (2) Hopital Privado De Rosario.

 

Introduccion: La glomerulonefritis es un grupo de trastornos que se presentan con hematuria, proteinuria, hipertensión y reducción de la función renal. Histologicamente se clasifican en proliferativas y no proliferativas, dentro de las proliferativas se encuentra la membranoproliferativa (GNMP). La GNMP tipo I es mediada por inmunocomplejos aunque la identidad del antígeno se desconoce habitualmente. La GNMP tipo II se caracteriza por depósitos densos que no contienen inmunoglobulinas pero se cree que activan el complemento.

Caso clínico: Mujer de 52 años con antecedente de ACV isquémico, gota, etilismo, depresión, enfermedad por covid-19 leve. Consulta por cuadro de 4 dias de evolución de fiebre, desorientación, deterioro del sensorio progresivo, diarrea y oliguria. Al examen físico paciente febril, hipotensa, somnolienta, apertura ocular al estimulo verbal, no comprende ni ejecuta ordenes, sin foco motor, PIRS, RASH cutáneo generalizado que desaparece a la vitropresion. Laboratorio: Gb: 23.540 (71/17/0.3/5.7/5.4), Hb: 12.7, Hto: 36.1, Plaquetas: 323.000, Uremia: 346, Creatinina: 8.6, Fal: 608, Ggt: 383, Iono: 134/6.5, EAB: 7.26/15/114/-18/6.6/97%. Toxina para clostridium difficile positiva. TAC de craneo, RMI de encéfalo, LCR, serologías virales, cultivos microbiologicos, panel inmunologico, ecografía renovesical y laboratorio metabolico sin particularidades. Se inicia tratamiento antibiotico empirico con vancomicina, ceftriaxona, ampicilina y vancomicina via oral y hemodiálisis de urgencia. Presenta buena evolución con persistencia de IRA AKI III por lo que se realiza biopsia renal con diagnóstico de glomerulonefritis membranoproliferativa por depósito de IgG y C3. Realizó pulsos de esteroides con mejoría de parámetros de laboratorio, y cese de terapia de reemplazo renal. Intercurre con nueva alteración del sensorio y desorientacion, se realiza TAC de craneo que evidencia lesión hemorrágica periventricular izquierda con vuelco a ventrículo lateral homolateral. Asociado a anemia, plaquetopenia y aumento de LDH con sospecha de MAT vs SHU.

Discusion: En este caso fue un gran desafio el diagnostico de certeza, excleyendo los diagnosticos diferenciales mas frecuentes como sindrome de DRESS, meningoencefalitis, MAT, SHU. Siendo fundamental la biopsia renal en el diagnostico etiologico.

Conclusión: Motiva la presentación de este caso la baja incidencia y la importancia del diagnóstico temprano a fin de disminuir la morbimortalidad.

 

 

0272   Evaluación de la validez predictiva de la definición de Berlín en pacientes con insuficiencia respiratoria por COVID-19 y requerimiento de cánula nasal de alto flujo. Estudio multicéntrico de cohorte prospectivo

M Busico(1), M Busico(2), NA Fuentes(3), A Gallardo(4), A Vitali(5), J Quintana(2), M Olmos(3), M Esperatti(3)

(1) Clinica Olivos. (2) Clinica Olivos Smg. (3) Hospital Privado De Comunidad. (4) Sanatorio Clínica Modelo De Morón. (5) Sanatorio De La Trinidad Palermo.

 

Introducción: En la construcción de la definición de Berlín de SDRA se consideró factibilidad, confiabilidad, validez de contenido y validez predictiva, considerando la muerte como desenlace final. La inclusión en la definición de los pacientes con requerimiento de cánula nasal de alto flujo (CNAF) y criterios de SDRA ha sido debatida, sin embargo, su validez predictiva no ha sido determinada. Nosotros evaluamos la validez predictiva de la definición de Berlín en pacientes con insuficiencia respiratoria secundaria a COVID-19, requerimiento de CNAF y criterios de SDRA. Adicionalmente evaluamos éste parámetro en subgrupos específicos y los días libres de soporte ventilatorio al día 28 (DLSV) en cada grupo de severidad.

Métodos: En éste estudio de cohorte multicéntrico y prospectivo en 6 UCIs de Argentina se incluyeron consecutivamente pacientes >18 años con COVID-19 y requerimiento de CNAF desde junio-2020 a diciembre-2021. Criterios de Inclusión: a) EAB dentro de las 24hs de iniciada la CNAF; b) PaO2/FiO2.

Resultados: Se incluyeron 696 pacientes. En la tabla 1 se muestran las características de la población y los desenlaces clínicos relevantes. El AUROC para mortalidad al día 28 fue 0.606(IC95%0.561-0.651); con la inclusión del sexo y la edad en el modelo de regresión, el AUROC se incrementó a 0.748(IC95%0.705-0.791)p.

Conclusiones: La validez predictiva de la definición de SDRA aplicada a pacientes con COVID-19 y requerimiento de CNAF fue similar a la de la definición original de Berlín -AUROC:0.57(IC95% 0.561-0.593)-. Asumiendo que los criterios de factibilidad, confiabilidad y validez de contenido son aplicables a la población evaluada, estos resultados respaldan el uso de la definición en este subgrupo de pacientes.

 

 

 

 

0274   CONSTIPACION EN LA UNIDAD DE TERAPIA INTENSIVA ADULTOS DEL HOSPITAL REGIONAL DE COMODORO RIVADAVIA DURANTE EL PERIODO DE ENERO A JUNIO 2022

ML Morales(1), L Ruarte(1), M Garcia(1), P Taborda(1), J Ortega(1), A Quinteros(1), S Rojas(1), C Ferreyra(1), D Carranza(1), N Bonetto(1), S Carrizo(1), J Celia(1), M Ruiz(1), M Buemo(1)

(1) Regional Victor Sanguinetti.

 

Introducción: Los trastornos gastrointestinales son frecuentes en los pacientes críticos. La constipación es una complicación no estudiada asociada a resultados clínicos desfavorables. Es marcador de severidad y pronostico.

El objetivo general del trabajo fue estimar la prevalencia de constipación en la Unidad de Terapia Intensiva Adultos (UTIA) del Hospital Regional de Comodoro Rivadavia durante el periodo enero 2022 a junio 2022.

Los objetivos específicos fueron determinar el tiempo transcurrido hasta el inicio de la alimentación enteral (AE), deposiciones y tratamiento con catárticos.

Metodología: El diseño es descriptivo, prospectivo y transversal. Basado en la recolección datos de historias clínicas durante enero a junio 2022. Definiéndose constipación la ausencia de movimientos intestinales durante 72hs o necesidad de recurrir a medidas evacuantes.

Variables estudiadas: edad, sexo, antecedentes de constipación y tratamiento, motivo de ingreso, evolución, días totales de internación, APACHE y SOFA, deposiciones y tratamiento con catárticos, inicio de AE, requerimiento de vasoactivos, opioides, bloqueantes neuromusculares.

Criterios de inclusión: mayores de 18 años, 5 o más días de internación, requerimiento de AVM durante 3 días, portadores de sonda nasogástrica y AE.

Resultados: El total de ingresos fue 177 pacientes, 44 cumplían con criterios de inclusión. El promedio de internación fue de 13 días, 21 fallecieron y 23 fueron dados de alta. La edad media fue 59 años, 28 masculinos y 16 femeninos. El principal motivo de ingreso fue medico (28), luego neurológico (14) y quirúrgico (2).

Respecto a los antecedentes de constipación 26 lo desconocían, lo negaban 14 y solo 4 lo confirmaron, ninguno realizaba tratamiento.

La prevalencia de constipación fue 91%.

Discusión: La constipación es una patología frecuente. La mayoría de los fallecidos cursaron con constipación, algunos nunca tuvieron deposiciones. El SOFA fue mayor al promedio.

Nuestro servicio elaboró un protocolo basado en una revisión bibliográfica. A pesar de su existencia, se evidencio una alta prevalencia de esta patología.

Se recomienda iniciar AE en las primeras 48hs de ingreso como factor de prevención, al día 3 el 95% de la muestra la había iniciado. Creemos que es fundamental revisar el protocolo junto al personal del servicio y luego verificar su cumplimiento.

 

 

 

 

0275   Uso de HELMET como herramienta terapéutica en pacientes con neumonía por COVID-19

JP Arduino(1), S Pulcinelli(1), D Souto(1), D Sanchez(1), D Cattalini(1)

(1) Heca.

 

Objetivos: Evaluar el uso de HELMET como herramienta terapéutica en cuadros de insuficiencia respiratoria, que no requieran ventilación mecánica invasiva.

Material y métodos: Durante la pandemia se admitieron 349 pacientes a UTI, de los cuales 209 tuvieron diagnóstico de COVID 19. De estos 190 requirieron asistencia ventilatoria, a 149 se los colocó en ventilación invasiva al momento del ingreso a la unidad, mientras que a 41 pacientes se los vinculó a VNI con Helmet.

Resultados: De los 41 pacientes tratados con Helmet, 63% fueron hombres y 37% mujeres, con una edad promedio de 49 años. La mortalidad observada en este grupo fue del 39% La estadía promedio fue de 14,7 días, con un promedio de uso de Helmet de 4,7 días.

“De los 209 pacientes con diagnóstico de COVID, el 65% fueron hombres y el 35% mujeres, con una edad promedio de 50,2 años. El 88,2% presentaron algún tipo de comorbilidad. La mortalidad total observada en nuestro Servicio fue del 51% en pacientes admitidos por COVID-19; siendo la mortalidad en los pacientes con ventilación invasiva del 61,9%. De los 41 pacientes tratados con Helmet, 63% fueron hombres y 37% mujeres, con una edad promedio de 49 años. En 18 de los 41 pacientes en los que se implemento esta terapéutica se observó una evolución favorable, no requirieron VI. La mortalidad observada en este grupo fue del 39% (23 pacientes requirieron VI, de los cuáles 16 fallecieron). La estadía promedio fue de 14,7 días, con un promedio de uso de Helmet de 4,7 días.”

Palabras Claves: COVID, insuficiencia respiratoria, ventilación invasiva, helmet.

 

 

0276   ¿Puede el decúbito prono disminuir el mechanical power aplicado al sistema respiratorio? Un estudio de cohorte prospectivo

M Accoce(1), J Pérez(1), J Dorado(1), D Gilgado(1), G Cardoso(1), M Bertozzi(1), A Vitale(1), C Papazian(1), M Calvo Delfino(1), C Snaider(1), R Bragagnolo(1)

(1) Sanatorio Anchorena De San Martín.

 

Introducción: La reducción de la mortalidad en síndrome de distrés respiratorio moderado-grave por coronavirus-19 (C-ARDS) mediada por el uso de decúbito prono (DP) podría deberse a la atenuación de la lesión pulmonar inducida por el ventilador (VILI) [1]. El mechanical power(MP) ha sido propuesto como una variable que refleja el riesgo de VILI [2]. Sin embargo, los cambios en la elastancia de la caja torácica (ECT) inducido por el DP podrían influir sobre el MP afectando su capacidad para identificar la respuesta a la intervención. Nuestro objetivo fue analizar el efecto del primer ciclo de DP en el MP en pacientes con C-ARDS moderado/grave.

Materiales y método: Se realizó un estudio de cohorte prospectivo incluyendo adultos con C-ARDS que requirieran DP. El protocolo fue aprobado por un comité local (código 11/2020). Se recolectaron variables para el cálculo del MP (convencional, ajustado a compliance MP-Csr y ajustado a peso predicho MP-PCP): 1- En supino (SUP), 2- Quince minutos luego del DP (DP-1) manteniendo programación ventilatoria; 3- De 2-4 horas luego del DP (DP-2). Además, se obtuvieron gases en sangre arterial en SUP y DP-2. Se realizó un análisis post hoc de diez sujetos contaron con monitoreo avanzado al momento de la inclusión al estudio. Las variables numéricas se expresan como media (desvió estándar) o mediana (cuartilo 1-3) según corresponda. Las categóricas como número (%). Para la comparación entre condiciones se utilizó el test de Friedman. Se asignó significancia a un valor de p<0.05.

Resultados: Incluimos 70 C-ARDS. El DP no indujo cambios significativos en ninguna de las variantes de MP inmediatamente ni después de 2-4hs de haber asumido DP (Figura 1). La PaO2/FiO2 aumentó significativamente con el DP (media de cambio (IC 95%): +36%(26-46); Wilcoxon - P<0,0001). En diez sujetos que contaron con manometría esofágica se identificó que el comportamiento de la ECT afecta el monitoreo del MP(Figura 2).

Conclusión: El DP no reduce el MP a corto plazo en C-ARDS. El comportamiento de la ECT influye sobre el MP pudiendo afectar su capacidad para evidenciar la respuesta al DP.

Figura 1. Mechanical power (MP), MP normalizado a compliance del sistema respiratorio (MP-Csr) y MP normalizado a peso corporal predicho (MP-PCP) durante posición supina (SUP), decúbito prono inmediato (DP-1) y decúbito prono mediato (DP-2). Los datos son expresados como mediana (Q1-Q3).

Figura 2. Panel superior: delta de presión en la vía aérea, transpulmonar y esofágica en decúbito supino y prono al estratificar los pacientes en los que mejoran la elastancia de la caja torácica (ECT) (panel superior- izquierdo) y los que la empeoran (panel- superior derecho). Panel inferior: media de mechanical power de la vía aérea en decúbito supine y prono en los pacientes en los que mejoran la elastancia de la caja torácica (ECT) (panel superior- izquierdo) y los que la empeoran (panel- superior derecho).

 

 

 

 

0277   REPORTE DE UN CASO DE POLISEROSITIS CON TAPONAMIENTO CARDIACO POR INFLUENZA A EN PACIENTE PEDIÁTRICO

LC Martinez Rigo(1), M Enriquez Gentile(1), C Mena(1), A Bottaro(1), P Medici(1), M Nogueira(1), JE Gonzalez Rapana(1), D Jauregui(1), D Natta(1), R Diaz(1), J Aranda(1), G Navarro(1),  Carr

(1) Hospital Interzonal Especializado Victorio Tetamanti Mar Del Plata.

 

Durante la época invernal, existe gran incidencia de enfermedad respiratoria provocada por virus Influenza, que generalmente afecta el tracto respiratorio, con un amplio espectro de gravedad. Si bien mayormente el virus de Influenza A causa cuadros autolimitados de vías respiratorias, algunas de las presentaciones atípicas o complicaciones extra respiratorias son : afectación muscular, renal, neurológica, cardiológica y de las serosas, entre otras.

Se presenta a continuación un paciente con poliserositis y taponamiento cardiaco, en el cual el rescate virológico fue positivo para Influenza A.

Paciente masculino de 4 años, sin factores de riesgo, con cuadro clínico de 5 días de evolución de dolor abdominal y fiebre, que se interna por persistencia de sintomatología.

Durante su internación presenta desmejoría clínica agregando palidez generalizada e hipotensión, asociados a sudoración, taquicardia y disnea. Se constata ecográficamente derrame pericárdico severo con signos de taponamiento cardíaco, derrame pleural bilateral y ascitis moderada.

Se realiza pericardiocentesis, ingresando a Unidad de Terapia Intensiva Pediátrica, con requerimiento de Asistencia Respiratoria Mecánica y drogas vasoactivas.

Recibió antibioticoterapia empírica, sin rescate etiológico bacteriano. La PCR fue positiva para el virus Influenza A en secreciones nasofaríngeas y líquido pericárdico. Se descartaron otras etiologías no infecciosas.

La evolución resultó favorable.

Por lo general, la poliserositis con pericarditis aguda viral es autolimitada y responde bien a la administración de AINEs y tratamiento de sostén, sobre todo para prevención de recurrencias. La terapia con corticoides, de acuerdo a las diferentes citas bibliográficas, está discutida, ya que podría reactivar las infecciones virales y hacer que la inflamación persista. Nuestro paciente recibió tratamientos con AINEs y corticoides, con buena evolución posterior.

El virus influenza genera con mayor frecuencia una enfermedad respiratoria autolimitada, pero pueden ocurrir complicaciones o formas de presentación con compromiso de serosas como pericarditis que pueden conducir a taponamiento cardiaco y shock. Debe considerar la afectación de serosas con pericarditis grave por virus influenza A en pacientes de cualquier edad que presenten dolor torácico, taquicardia que evolucionan con inestabilidad hemodinámica.

 

 

0278   Lesión renal aguda en niños cursando postoperatorio de cirugía cardiovascular

M Sanz(1), P Reyes(1)

(1) Universitario Austral.

 

La lesión renal aguda (LRA) es una complicación frecuente que se presenta en el postoperatorio de cirugía cardiovascular (CCV), con una incidencia del 30% al 40%; llegando hasta un 54% - 64% en pacientes neonatales. El objetivo del presente trabajo es determinar la incidencia de lesión renal aguda, de acuerdo los criterios de KDIGO, en pacientes menores de 16 años, cursando postoperatorio de cirugía cardiovascular e identificar factores de riesgo asociados a ella.

Se realizó un trabajo retrospectivo de la incidencia de LRA en los pacientes cursando postoperatorio de cirugía cardiovascular admitidos a la Unidad de Cuidados Intensivos Pediátricos del Hospital Universitario Austral (HUA).

La incidencia de Lesión Renal Aguda (criterios KDIGO) fue del 34,7% (n 17). El 29.4% de los pacientes con LRA (n 5) requirió terapia de reemplazo renal (2 diálisis peritoneal y 3 hemodiálisis). 4 (23.6%) de estos pacientes ingresaron a UCIP en ECMO. Del total de pacientes de la muestra fallecieron 5 (10,2%). Dentro del grupo que presentó LRA fallecieron 4 correspondiendo al 23,6% de estos pacientes; en cambio dentro del grupo que no presento LRA falleció 1 solo paciente (3,1%).

Los factores de riesgo evaluados para desarrollar LRA se describen en la Tabla 2. Se pudieron asociar las siguientes variables: Tiempo de clampeo aórtico > 100 minutos, OR: 3.28 (IC95% 1,66-9.65); Drogas vasoactivas mayor a 0.3 mcg/kg/min, OR: 2.1 (IC 95% 1.23-14.32) y Edad < 24 meses, OR: 3,69 (IC 95% 1.071-6.32).

Conclusión: En el presente trabajo la edad menor de 24 meses; el tiempo de clampeo aórtico > 100 minutos y la utilización de catecolaminas a dosis mayor de 0.3 mcg/kg/min se asociaron con riesgo de desarrollar LRA.

Tabla 1. Características de la población

 

Tabla 2. Factores de riesgo

 

 

0279   CARACTERISTICAS CLINICAS Y MORTALIDAD DE PACIENTES CON COVID-19 GRAVES Y CRITICOS

E Cunto(1), V Chediack(1), P Saul(1), A Rodríguez(1), R Gregori-sabelli(1), C Dominguez(1), ME Artigas(1), Y Lamberto(1), M Flores Montes(1), I Prieto(1), JM Fernández(1), MI Calderón(1), N Chacón(1), E Lista(1), L De Vedia(1)

(1) Muñiz.

 

Introducción: La mayoría de los pacientes afectados por SARS-CoV-2, desarrollan síntomas leves a moderados, pero el 5% evolucionara a insuficiencia respiratoria grave y requerirán ingresar en la unidad de cuidados intensivos, con alto riesgo de morbilidad y altas tasas de mortalidad.

Objetivo: Determinar las características clínicas y mortalidad de pacientes con COVID-19 graves y críticos.

Materiales y método: Estudio observacional, descriptivo, retrospectivo. Periodo: marzo 2020-julio 2022. Pacientes ≥ de 18 años ingresados en cuidados intensivos (CI). El diagnóstico de COVID-19 fue realizado por clínica, imágenes y reacción en cadena de la polimerasa. Se usó scores APACHE II (Acute Physiology And Chronic Health Evaluation II) y SOFA (Sepsis related Organ Failure Assessment). Se utilizó Excel, se realizó estadística descriptiva y test de Fisher para la comparación y p con significancia estadistica ≤0.05.

Resultados: Pacientes ingresados en CI 2229: COVID positivos (COV+) 1039 y COVID negativos (COV-) 1190.

Media de estadía en CI: COV+ 8,8 ±4,62 días.

Mujeres con COV+ 32%. Edad media COV+ 55 ±7,79 años.

Coinfecciones asociadas a COV+ fueron HIV 90 pacientes (Incidencia 0,086) y tuberculosis (TB) 17 pacientes (incidencia 0,016. Mortalidad 75%). 6 pacientes COV+ con TBC y sida tuvieron 100% de mortalidad.

Las comorbilidades más frecuentes asociadas: hipertensión arterial 36% y diabetes 14%.

Media de APACHE II 16,7 puntos y SOFA 5 puntos.

En 2º y 3º ola de pandemia, 78 pacientes COV+ tuvieron insuficiencia renal aguda (incidencia 0,075), se usó terapia de reemplazo renal lenta en el 90%. Letalidad 75%

Requerimiento de VM COV+ 51,49%.

En tabla 1 se observa COV+ con aumento de VM y letalidad durante 2020-2021, con p significativa.

Tratamiento en COV+ 100% antibióticos,96% dexametasona y 83% vasopresores, pocos pacientes seleccionados recibieron anticoagulantes.

Conclusión: La asociacion de TB, COV+ y sida tuvieron peores resultados, ninguno sobrevivió.

Recomendamos en pacientes HIV con o sin COV, descartar TB latente, pueden coexistir y ser difícil de diferenciar.

Sugerimos un control cercano de pacientes con 1 o más comorbilidades y/o coinfecciones en el contexto de una sindemia.

Nuestra casuística evidenció elevado requerimiento de VM y más letalidad en COV+ en el 2021 vs 2020. Esto lleva a mayor uso de insumos, produciendo agotamiento de los recursos, especialmente en el personal de salud.

 

 

 

0280   ENCEFALITIS HERPETICA CON TRANSFORMACION HEMORRAGICA: UNA COMPLICACION MUY POCO FRECUENTE

L Tumino(1), E Valgolio(1), MC Marchena(1), B Franco, I Zoilo, LE Baldaseroni, L Gatti, O Rolon, S Eiguren, P Lucero, G Rolandelli, A Veitia, M Quiroga, M Girves

(1) Clinica San Camilo.

 

Introducción: La encefalitis herpética es la causa más frecuente de encefalitis viral. El diagnóstico se realiza por la clínica, imágenes y PCR en LCR. La Hemorragia intraparenquimatosa (HIP)es una complicación muy poco frecuente, habiéndose reportado poco más de 27 casos al 2017.

Caso clínico: paciente de 77 años con antecedentes de remplazo valvular aórtico y cardiopatía isquémica. Consulta por fiebre, caída de propia altura y, posteriormente, convulsiones tónico-clónicas generalizadas requiriendo intubación orotraqueal. RM: hiperintensidad temporal derecha con edema vasogénico(fig.1). PL: pleocitosis mononuclear y proteinorraquia. PCR en LCR positiva para VHS1. Sin recuperación neurológica, se realiza TC al 10mo día: HIP fronto-temporal izquierdo con volcado ventricular y signos de hipertensión endocraneana (HTE). Evacuación quirúrgica y polectomía temporal (fig.2 y 3). Cumplió 21 días de Aciclovir. Externado tras 35 días con GOSE 3. A los 6 meses del alta GOSE 4/5.

Discusión: Es muy infrecuente la complicación con un HIP en el área afectada por la encefalitis, pese a verse microsangrados durante la evolución, con una mortalidad del 5,2%. Si presenta HTE, se trata con osmoterapia, sedantes e incluso barbitúricos y craniectomía descompresiva. No se ha evidenciado diferencias entre el tratamiento médico y quirúrgico.

Conclusión: Cualquier empeoramiento de los síntomas iniciales o manifestación de nuevos déficits neurológicos a pesar del tratamiento antiviral adecuado, especialmente durante la segunda semana de ingreso, justifica un estudio de neuroimagen, debiendo descartarse el agravamiento del edema cerebral y la formación de un HIP.

 

 

 

 

 

0281   CRIPTOCOCOSIS MENINGEA POR CRYPTOCOCCUS NEOFORMANS EN PACIENTE INMUNOCOMPETENTE

Y Lamberto(1), N Grecco(1), C Dominguez(1), R Gregori-sabelli(1), P Saul(1), N Chacon(1), C Susana(1), F Messina(1), L Gonzalez(1), MDLM Nano(1), P Velezquez Lopez(1), E Cortez(1), V Chediack(1), E Cunto(1)

(1) Muñiz.

 

Introducción: La criptococosis meníngea es una infección fúngica invasiva debida a Cryptococcus neoformans o en menor frecuencia a Cryptococcus gattii, Presentan mayor prevalencia inmunosuprimidos, especialmente VIH, trasplantados, entre otros. Presentamos una paciente inmunocompetente con meningitis por Cryptococcus neoformans. Se discutirá la clínica, antecedentes, posibles factores predisponentes, tratamiento y evolución.

Resumen clínico: Mujer de 17 años. Antecedentes de tuberculosis pulmonar con tratamiento completo, desnutrición (39,500 kg, 152 cm, IMC 17), progenitores con antecedentes de tuberculosis. Ingresa a terapia intensiva por cefalea intensa de un mes de evolución, convulsiones, Glasgow 10/15. Tomografía axial computada de cerebro normal, punción lumbar con presión de apertura de 50 cmH20,liquido cefalorraquídeo(LCR), límpido,incoloro, glucorraquia 27 mg/dl, proteinorraquia 1.51 g/dl, 122 cel/mm, monomorfos (84%)Gram negativo, BAAR y tinta china negativos. Se interpreta como posible meningitis tuberculosa inicia ceftriaxona 4gr, isoniacida 300 mg, rifampicina 600 mg, etambutol 1200 mg, pirazinamida 1250 mg diario. Al quinto día se obtiene cultivo de Cryptococcus neoformans en LCR, antigenorraquia 1/1000, se rota a Anfotericina B liposomal + Fluconazol. VIH negativa, hipocomplementemia C3 68 mg/dl (VN: 88-201mg/dl). Cultivos de esputo, sangre y LCR bacteriológicos, micobacterias negativos. Evoluciona con mejoría neurológica. Cumplió tratamiento de inducción. Externada tres meses posteriores continuando con fluconazol.

Discusión: La meningitis por Cryptococcus neoformanses es rara en inmunocompetentes. En las presentaciones en paciente VIH negativo, hasta un 30% no presentan factores de riesgo. La infección por tuberculosis causa una alteración en la inmunidad celular y se reconoce como factor predisponente para Cryptococcus. Asimismo, Cryptococcus inhibe la producción de factor de necrosis tumoral alfa y predispone a la reactivación/infección por tuberculosis. El bajo peso también podría actuar como factor de inmunosupresión agregado.

Conclusión: Es importante incluir dentro de los diagnósticos diferenciales en meningitis a LCR claro patógenos no tan frecuentes, como el Cryptococcus neoformans y evaluar factores predisponentes, en la paciente, la desnutrición, la tuberculosis previa y la hipocomplementemia. Consideramos que la importancia de este reporte es recordar esta patología y sospechar su diagnóstico tempranamente ante una clínica compatible aun sin factores de riesgo claros.

 

 

0282   Descripción de lesiones de vía aerea identificadas por fibrobroncoscopia en pacientes que requirieron ventilación mecánica invasiva prolongada en un Hospital Universitario de la provincia de Buenos Aires

J Vilca(1), T Juhasz(1), C Loudet(1), F Iglesias(1), L Tumino(1), G Saenz(1), T Sahar(1), A Ortiz(1), F Cornejo(1), F Alfonsin(1), ME Zmolnig(1)

(1) San Martin.

 

Introducción: Los pacientes con requerimiento de ventilación mecánica invasiva (VMI) prolongada presentan riesgos de intercurrir con lesiones traqueales. A partir de la incorporación de un neumonólogo especializado en fibrobroncoscopía (FBC) intervencionista fue posible la detección y tratamiento de diversas lesiones. El objetivo de este trabajo fue describir el tipo de lesión de la vía aérea hallado y la opción terapéutica en pacientes que presentaron algún fallo en el proceso de decanulación con lesiones confirmadas por FBC.

Métodos: Estudio de Serie de casos realizada en una UCI medica-quirúrgica de 20 camas durante 2021-2022. Se registraron las características epidemiológicas, escores de severidad y evolución de los pacientes. Asimismo, se registraron todas las fallas en el proceso de decanulación, y los hallazgos en la fibrobroncoscopia. Se calcularon la frecuencia de estas lesiones.

Resultados: Se registraron 12 pacientes con lesión de vía aerea. En el 50% la traqueostomía fue percutánea.

En la Tabla 1 se presentan las características de los pacientes y en la Tabla 2 la indicación de FBC y sus hallazgos.

Se pudo registrar que 4 (33.31%) presentaron al menos 1 extubación programada no exitosa, 6 (50%) extubaciones no programadas y al menos 8 (66,67%) cambio de cánula traqueal.

De todas las lesiones halladas 5 requirieron algún tipo de prótesis traqueal para su resolución respectiva, 2 pacientes quedaron con cánula Bielsasky, 2 con cánula subglótica y 3 pacientes pudieron decanularse sin complicaciones posterior a dilatación por FBC.

Conclusiones: Las lesiones más frecuentes fueron de tipo estenosantes. La falta de tolerancia a tapón fonatorio fue la principal manifestación que permitió sospechar la presencia de lesión de vía aérea. La posibilidad de contar con un especialista en FBC intervencionista permitió una evaluación directa y posibilidad de tratamiento previos a la decanulación. El próximo paso será reforzar las medidas preventivas de estas lesiones y la protocolización de evaluación con FBC precoz en pacientes de riesgo que podrían beneficiarse de ello.

 

 

 

 

0283   EXPERIENCIA EN MALARIA GRAVE CON TERAPIAS CONTINUAS EXTRACORPOREAS. REPORTE DE UN CASO

R Gregori Sabelli(1), JM Fernandez(1), CV Dominguez(1), P Saul(1), N Chacon(1), Y Lamberto(1), G Astudillo(1), A Bocassi(1), E Cortez(1), Y Huarachi(1), S Caceres(1), V Fernandez Arbelllo(1), V Chediack(1), ER Cunto(1)

(1) Muñiz.

 

Introducción: La malaria grave complicada es producida mayormente por Plasmodium Falciparum (FP). Se caracteriza por afección orgánica y/o hiperparasitemia. El número creciente de viajes internacionales a áreas endémicas de paludismo hacen posible que el intensivista pueda enfrentarse a pacientes con malaria grave. El diagnóstico tardío y tratamiento inapropiado tiene alta mortalidad.

Presentación del caso: Varón de 36 años que ingresa a la unidad de terapia intensiva de un hospital de la Ciudad de Buenos Aires derivado de otra institución con diagnóstico de paludismo. Procedencia: Nigeria. Presentó fiebre continua de 1 semana de duración, agrega deterioro del ritmo diurético y dolor abdominal. Al ingreso lúcido, taquicárdico, taquipneico, ictérico, oligúrico, con hipertensión arterial y requerimiento de drogas titulables (nitroglicerina). El frotis de sangre periférica evidenció FP con nivel de parasitemia mayor a 20%. Se realizó exanguinotransfusión (volumen 3.4 litros). Comienza tratamiento con artesunato endovenoso. El examen de laboratorio evidencia parámetros de insuficiencia renal y aumento de bilirrubina sérica. Evoluciona oligoanúrico y obnubilado. Se decide inicio de terapia continua extracorpórea: plasmafiltración acoplada con adsorción (CPFA) y posteriormente plasmaféresis de alto intercambio. Se objetiva notable mejoría del estatus neurológico y en el laboratorio descenso significativo de cifras de bilirrubina sérica (Tabla 1). Lúcido, con mejoría de la función renal y de fallos de órganos, alta día 20.

Discusión: Nuestro paciente presentó malaria grave según definición de Organización Mundial de la Salud (OMS). Si bien no hay estudios representativos que avalen la utilidad de las terapias continuas, en este paciente se observó mejoría clínica, identificándose en características bioquímicas de la sangre y oxigenación tisular, sin eventos adversos.

Conclusiones: En esta experiencia las terapias extracorpóreas continuas y el recambio plasmático han sido beneficiosos proporcionando rápido descenso de niveles tóxicos de bilirrubinemia permitiendo tiempo necesario para la acción de los antimaláricos de acción rápida hasta negativización de parasitemia. Es de destacar que se necesitan estudios aleatorizados para afianzar más conclusiones al respecto.

 

 

 

0284   LINFOPENIA  EN EL PACIENTE CRÍTICO CON Y SIN OBESIDAD

V Fernández Abello(2), R Gregori Sabelli(1), V Fernandez Abello(1), P Saul(2), C Dominguez(1), MB Della Paolera(1), Y Lamberto(1), M Abot(1), S Caceres(3), M Galindo(3), N Chacon(1), M Noceto(1), MDLM Nano(1), V Chediack(1), E Cunto(1)

(1) F. J Muñiz. (2) F. J. Muñiz. (3) F J Muñiz.

 

Introducción: El 85% de los pacientes críticos covid 19+ con neumonía grave presenta linfopenia. La disfunción endotelial, menor cantidad de linfocitos y aumento de citoquinas proinflamatorias son factores que se asocian a mayor gravedad y disfunción inmunológica.

Se ha observado en varios estudios que la obesidad y la linfopenia podrían ser factores asociados a mala evolución en el paciente crítico COVID-19.

Otros factores como diabetes mellitus (DBT) e hipertensión arterial (HTA) se han vinculado a aumento de morbimortalidad.

Objetivos:

Primarios

Analizar linfopenia en obesos y no obesos como predictor de progresión de COVID-19 en terapia intensiva requerimiento de asistencia ventilatoria mecánica (AVM) y mortalidad.

Secundarios

Describir y comparar comorbilidades asociadas en obesos y no obesos.

Materiales y método: Estudio observacional, descriptivo, retrospectivo, caso-control. Se evaluaron 100 pacientes críticos COVID-19 (Marzo 2020/Agosto 2021) 50 presentaron BMI >o= 30 (obesidad) y 50 presentaron BMI Se clasificó: Linfopenia leve-moderada:1000-500 cel x mm3.

Linfopenia severa La estadística descriptiva usó porcentaje (%), media (M), rango (mínimo-máximo).

Se evaluó la relación entre la presencia de obesidad y linfopenia con progresión a AVM o mortalidad mediante prueba de chi cuadrado. Se consideró significativo una p < 0,05, se evaluó odds ratio (OR) e IC95%.

Resultados: Pacientes con obesidad N=50 mujeres 25 varones 25 Edad (M) 60 (24-86 años).

Pacientes sin obesidad N=50 mujeres 13 varones 37 Edad (M) 57.6 (23-93 años.

La progresión a AVM fue significativamente mayor en pacientes con obesidad y linfopenia (93%) que en aquellos sin obesidad con linfopenia (66,6%) OR: 5,6, IC95% (2,2-14,5), p< 0,01. La mortalidad fue significativamente mayor en pacientes con obesidad y linfopenia (84%) que en aquellos sin obesidad con linfopenia 48,7%: OR: 5,92 IC955( 1,8-19,2) p< 0,01

Conclusiones: Según nuestra experiencia el recuento linfocitario podría contribuir junto a otros factores de riesgo a identificar y clasificar de forma rápida a pacientes que requerirán cuidados críticos sobre todo en aquellos con presencia de obesidad. La asociación de obesidad y linfopenia podría ser un factor predictor importante de la progresión a AVM y mortalidad en pacientes COVID 19 en terapia intensiva.

 

 

 

 

0285   TRAUMA LARÍNGEO EXTERNO SCHAEFER-FUHRMAN GRADO V: A PROPÓSITO DE UN CASO

F Puzzo(1), S Cagide(1), J Gómez(1), L Diaz Ballve(1)

(1) Hospital Cuenca Alta.

 

Introducción: El trauma laríngeo externo, es una lesión aguda infrecuente (1/30.000). Su severidad se clasifica según la escala de Schaefer-Fuhrman, siendo el grado V disrupción laringotraqueal completa. La mortalidad asociada a este tipo de lesiones es de 80% en la escena del trauma. No hemos encontrado reportes de casos favorables publicados a la fecha. Se describe el tratamiento y evolución de una paciente con trauma laríngeo externo Shaefer-Furman grado V.

Presentación del caso: Masculino 22 años, con antecedentes de psicosis, consumo de drogas ilícitas y fumador. Encontrado con herida de arma blanca en el cuello. Trasladado a un hospital de segundo nivel. Presentó lesión completa de cartílago tiroides con apertura íntegra de laringe y faringe. Se colocó cánula de traqueostomía en porción distal de laringe y se derivó al Hospital Cuenca Alta Néstor Kirchner. Ingresó a quirófano, se realizó traqueostomía, reconstrucción de senos piriformes y faringostoma. Ingresó a unidad de cuidados intensivos con asistencia ventilatoria mecánica y se desvinculó a los 4 días. Funcionalmente requiere asistencia en actividades de la vida diaria. En el octavo día se realiza gastrostomía para nutrición. Día 11, se traslada a cuidados intermedios y se solicita prótesis para reconstrucción laríngea. Adquiere independencia funcional a los 15 días de rehabilitación. Al día 59, se realiza sutura y reconstrucción de cartílago tiroideo y cierre completo de laringe y faringe (sin necesidad de prótesis). En el día 71 tolera oclusión de cánula de traqueostomía con protección de vía aérea, a las 48 horas cumple criterios clínicos decanulación. Día 79 luego de fibrobroncoscopia y videodeglución se decide decanulación sin complicaciones.

Discusión: Los tiempos e intervenciones iniciales están asociados a la supervivencia. La falta de evidencia demoró el proceso de decanulación, se recurrió a estudios complementarios para disminuir la incertidumbre que un caso como este puede generar en el equipo tratante. Sin embargo, no arrojaron resultados diferentes a la evaluación clínica.

Conclusión: Se describe un paciente con trauma laríngeo externo Schaefer-Fuhrman Grado V, una lesión con una alta morbi-mortalidad con resultados favorables.

 

 

 

 

0286   ENDOCARDITIS CON HEMOCULTIVOS NEGATVOS, REPORTE DE UN CASO DE ENDOCARDITIS POR BARTONELLA SPP

E Artigas(1), MA Flores Montes(1), C Molina(2), S Santillan(1), A Rodriguez(1), L De Vedia(1), E Cunto(1)

(1) Htal Dr Prof Francisco J. Muñiz. (2) Htal Argerich.

 

Introducción: La endocarditis infecciosa (EI) es una enfermedad de baja incidencia que se asocia con elevada morbimortalidad. El diagnostico se basa fundamental en la tipificación el germen que la provoca, lo cual también orienta hacia las conductas a seguir y el pronóstico. En aquellos casos en que los hemocultivos son negativos, es necesario intentar del diagnóstico mediante pruebas especiales las cuales no se encuentran en todos los hospitales.

Presentación de caso: Paciente de 52 años, HIV+ en TARV, carga viral indetectable, hipertensa, habita un domicilio con servicios, convive con un gato. Consulta por síndrome constitucional de 2 meses de evolución, asociado a dolor lumbar, hematuria macroscópica, registros febriles diarios y sudoración profusa.

Al examen físico, se evidencia soplo sistólico en foco aórtico, sin signos de fallo de bomba, y puño percusión lumbar positiva.

La TAC de tórax evidenció lesiones nodulares bilaterales subpleurales. En el ecocardiograma transtorácico se vio válvula aórtica bicúspide con estenosis severa, e imagen hiperecogénica de 11 x 9 mm, móvil, adherida a comisura y válvula mitral calcificada con imagen que protruye a TSVI. Se interpreta como EI mitro-aórtica y se inicia tratamiento empírico con ceftriaxona/vancomicina. Los hemocultivos fueron negativos.

Se solicita PCR para gérmenes no convencionales, obteniéndose una PCR en sangre positiva para Bartonella spp, por lo que se adecúa la antibioticoterapia a gentamicina/doxiciclina.

La búsqueda de impactos sépticos (fondo de ojo, ecografía de abdomen y renal) no mostró hallazgos patológicos. Por buena evolución clínica se decide egreso hospitalario y seguimiento por consultorios externos.

Conclusión: La EI con hemocultivos negativos es una enfermedad de difícil diagnóstico, que requiere un enfoque multidisciplinario, y un tratamiento complejo que varía en cada episodio. En todos los casos de endocarditis con cultivo negativo es primordial una evaluación de factores epidemiológicos, antecedente de infecciones previas, procedimientos invasivos, exposición a antimicrobianos, presentación clínica, buscar focos de infección activos e intentar descartar causas no infectológicas. Bartonella spp., es una zoonosis emergente que en pacientes inmunocompetentes se asocia a la enfermedad de arañazo de gato y en los inmunodeprimidos a enfermedades oportunistas mas invasivas por presentar bacteriemias persistentes.

 

 

0288   ABSCESO CEREBRAL CON RUPTURA HACIA SISTEMA VENTRICULAR POR Streptococcus intermedius

VD Toledo(1), M Montenegro(1), A Violo(1), AC Di Nuzzo(1), A Ojeda(1), R Lobo(1), J Sereno(1), M Centurion(1), F Alsina(1), E Mikulic(1)

(1) Hospital Militar Central.

 

Introducción: El absceso cerebral con ruptura hacia el sistema ventricular es una complicación grave, poco frecuente y representa una mortalidad superior al 80%. Se presenta caso de absceso cerebral con ruptura hacia sistema ventricular en una paciente inmunocompetente.

Presentación: Paciente femenina de 63 años con antecedentes médicos de obesidad, HTA y stent en vena cava superior por sarcoidosis mediastinal. Ingresa a guardia médica por cefalea intensa y repentina con vómitos asociados. En RNM de cerebro presenta lesión frontal derecha definida, leve efecto de masa y realce en anillo al contraste ev (Foto 1 y 2). Se realiza punción lumbar con muestra turbia y físico-químico de características infecciosas. Interpretándose patología como absceso cerebral complicado con ruptura hacia sistema ventricular. Se interna en UTI evolucionando con deterioro del sensorio, requiriendo IOT y derivación ventricular externa con abundante débito purulento. Inicia tratamiento antibiótico empírico con Ceftriaxona y Ampicilina. A las 48 horas, se realiza drenaje de absceso y lavado ventricular, continuando con DVE. Se obtiene rescate microbiológico de Streptococcus intermedius multi sensible en LCR y muestra quirúrgica, continuando con mismo esquema de tratamiento antibiótico, con mejoría clínica e imagenológica. Curso internación prolongada con AVM y realización traqueostomía, complicada con NAVM y recambio de stent por síndrome de vena cava superior.

Discusión: Se trata del caso de un absceso cerebral con ruptura hacia el sistema ventricular por Streptococcus intermedius. Sin foco aparente. Se realizó tratamiento agresivo con colocación DVE, antibiótico de amplio espectro, drenaje y lavado quirúrgico. Continuando su seguimiento con TC cerebro y buena evolución a los 20 días con retiro de DVE.

Conclusión: El absceso cerebral complicado con ruptura hacia sistema ventricular constituye una patología poco frecuente en inmunocompetentes y de alta mortalidad. Se presenta escasa bibliografía sobre su tratamiento. Mediante estudios por imagen, muestras de cultivos, antibioticoterapia y tratamiento quirúrgico precoz son decisivos en la mortalidad de esta patología.

 

 

 

 

0289   PREDICCIÓN DE MORTALIDAD EN NEUMONÍA GRAVE POR COVID 19 MEDIANTE ALGORITMO DE MACHINE LEARNING

A Antik(1), G Genovese(1), MS Tomez(1), M Deguardia(1), R Ochoa(1), V Terrazas Cruz(1), AK Marquez(1), I González Marquez(1), H Mamani Sánchez(1), MDLM Picos(1), F Dana(1), M Izus(1)

(1) Durand.

 

Introducción: La neumonía por COVID 19 puede provocar cuadros respiratorios graves con alta mortalidad. El uso de Machine Learning (ML) podría constituir una herramienta adecuada para predecir la mortalidad en estos pacientes.

Objetivo: Modelar algoritmos de ML para predecir la mortalidad del paciente crítico con neumonía por COVID -19 con ARM invasiva.

Materiales y métodos: Se entrenaron y validaron los siguientes algoritmos supervisados de clasificación de ML: Regresión Logística (RL), k nearest-neighbors (KNN), support vector machines (SVM), Random Forrest (RF), y Artificial neural network (ANN). Como variable de resultado se evaluó la mortalidad, y como variables predictoras se incluyeron: edad, SOFA, ferritina, PAFI de ingreso, y dímero D. Métricas de rendimiento: Accurancy y ROC. Lenguaje de programación: Python. Bibliotecas: Pandas, Scikit-learn y Matplotlib. En Ingeniería de datos se hicieron 4 cluster agrupando variables de laboratorio y scores para mejorar la predicción. Estrategias de optimización de los algoritmos: Random Search.

Resultados: Se incluyeron 212 pacientes con edad mediana 62 [Inercuartilar (IQ) 51-71], APACHE 15 [11-22], SOFA 7 [4-10], fallecidos 75%. Métricas de rendimiento en instancias de testeo fueron: RL y KNN, presentaron igual resultado (Accurancy 0.78 ROC 0,71), SVM (Accurancy 0,78 ROC 0.61), RF (Accurancy 0,73 ROC 0,67] y ANN (Accurancy 0,77 ROC 0,78). Los predictores de mayor impacto según el RL fueron: edad (coef 0,45) y SOFA (coef 0,33).

Conclusión: Los algoritmos entrenados presentaron similar Accurancy, pero la ANN presentó mejor ROC. Si bien estos resultados son mejorables con mayor número de instancias, y optimizando la ingeniería de datos, el ML constituye una herramienta promisoria en la ayuda de toma de decisiones en medicina. Este estudio proporciona una visión general con un rendimiento aceptable de diferentes variantes de algoritmos de ML supervisado para la predicción de mortalidad por neumonía por COVID grave.

 

 

0290   ENDOCARDITIS INFECCIOSA CON PRESENTACION MENINGEA. ROMPIENDO EL SESGO DIAGNOSTICO. VALOR DE LA RMN. REPORTE DE CASOS

CA Cimino(1), CF Pereyra(1), E Martinez(1), J Kenny(1), V Aranda(1), M Willig(1)

(1) Trinidad De Ramos Mejía.

 

Introducción: La presentación neurológica no es infrecuente en la endocarditis aguda. Incluso como puede presentarse como meningitis aguda, introduciendo, de este modo, un importante sesgo diagnóstico.

Presentación de casos:

Caso 1

Mujer 83 años concurre por confusión, disartria y registros febriles de 24 hs de evolución.

Antecedentes: Cirugía Carcinoma Basocelular. Sobrepeso. Cataratas.

Estudios realizados: TC encéfalo y RMN ingreso normales. PL inflamatoria. Cultivos: Hemocultivos 2/2 y Liquido Cefalorraquideo con rescate Streptococcus Beta Hemolítico Grupo C (SBHC).

Cuarto día: hipoacusia, discromatopsia y visión borrosa. Nueva RMN Focos isquémicos agudos bilaterales. Ecocardiograma transtorácico (ETT) con Insuficiencia mitral leve. Ecocardiograma transesofágico (ETE): Válvula mitral con masa móvil+regurgitación excéntrica moderada: Endocarditis mitral nativa.

Caso 2

Varon 59 años concurre por confusión, trombocitopenia y fallo renal.

Antecedentes: HTA, dislipemia, TVP, cáncer basocelular, trombocitopenia en estudio, Implantes dentales.

Estudios realizados: TC encéfalo: Focos puntiformes subcorticales frontal derecho. Punción lumbar LCR inflamatorio. Hemocultivos 2/2 y LCR Staphylococcus aureus metic-S. RMN encéfalo: focos isquémicos bilaterales agudos. ETT: no evidencia de imágenes patológicas. ETE: Insuficiencia mitral moderada con dos vegetaciones de 21 mm. Endocarditis mitral nativa.

Recambio valvular se difirió 45 días por hemorragia cerebral aguda.

Caso 3

Varon 48 años concurre por fiebre, cefalea, vomitos y confusión de 48 hs. Previamente Otitis media aguda.

Antecedentes: TVP bilateral. Hernioplastia.

Estudios. TC encéfalo: mastoiditis. Punción lumbar LCR inflamatorio. Hemocultivos 2/2 y LCR Streptococcus pneumoniae. RMN encéfalo: múltiples infartos isquémicos agudos bilaterales. ETT. Normal. ETE: Válvula aórtica bicúspide Insuficiencia aórtica leve. Vegetación de 2x3 mm. Endocarditis aórtica nativa.

Discusión: Las revisiones de meningitis aguda sugieren tomografía computada para prevenir complicaciones de la punción lumbar. La RMN estaría indicada cuando hay deterioro neurológico ulterior.

Sin embargo, una vez diagnosticada meningitis aguda, el tratamiento antibiotico podría enmascarar o solapar los signos o sintomas de endocarditis siendo, de este modo, subdiagnosticada. Los infartos cerebrales que a posteriori pudieran aparecer podrían atribuirse a meningitis de forma errónea.

La endocarditis podría ser entonces subdiagnosticada con consecuencias indeseables como duración del tratamiento inadecuada.

La RMN precoz con patente de infartos agudos embólicos agudos ayudó a romper este sesgo diagnóstico.

Conclusión: La RMN al inicio del síndrome meníngeo podria ayudar a detectar mas cuadros de endocarditis por incluirla dentro de los diagnósticos diferenciales.

 

 

 

 

0293   PATOLOGÍA POR CONSUMO DE CONSERVAS: BOTULISMO EN EL NOA, REPORTE DE CASOS

AM Sanchez(1), AN Vides(1), N Saragusti(1), N Llanes(1), R Retambay(1), MC Sotelo(1), M Corona(1), J Maidana(1), R Reinoso(1)

(1) San Bernardo.

 

Introducción: El botulismo alimentario es una intoxicación grave, potencialmente fatal, tratable y prevenible; producida por la ingestión de una neurotoxina (clostridum botulinum). Enfermedad poco frecuente, en nuestro país se registran anualmente 25-30 casos, por lo cual requiere un alto índice de sospecha para el diagnóstico precoz y el tratamiento oportuno.

Presentación del caso: Se presenta el caso de dos hermanos varones de 23 años (caso 1) y 24 años (caso 2), de profesión pescadores, sin antecedentes patológicos de relevancia, que ingresan por guardia derivados de hospital del interior de la provincia, 24hs posteriores a la ingesta de escabeche de pescado de elaboración artesanal.

Caso 1: 24hs de dolor abdominal, vómitos, sensación febril, y cefalea occipital con somnolencia.

Examen físico: hipotonía muscular generalizada fuerza muscular 2 ⁄ 5 en 4 miembros, Glasgow 9/15 (RO2,RM5,RV2), pupilas isocóricas. Signos clínicos de fallo ventilatorio inminente, normotension y taquicardia.

Insuficiencia respiratoria hipercápnica, se decide intubación y vinculación a ARM.

Laboratorio: GB:10600, Hto 54%, Gasometría: pH 7.19 PO2 73, HCO3 25, PCO2 69.

Punción lumbar: normal. TC sin alteraciones relevantes.

Caso 2: dolor abdominal difuso y vómitos de 12hs de evolución, diplopía, disminución de agudeza visual. Al examen físico: Glasgow 15/15, parálisis de 6to par izquierdo y retracción palpebral, sequedad ocular, lúcido, sin déficit motor ni sensitivo.

Exámenes complementarios sin alteraciones. Intubación precoz.

Se interpreta como intoxicación por toxina de clostridium botulinum, se solicita serología, se administra antitoxina botulínica bivalente A y B.

Evolución en UTI: ARM prolongada, recuperación completa a la fecha.

Discusión: La pentada clásica de síntomas y signos de botulismo incluyen sequedad de boca, náuseas/vómitos, disfagia, diplopía y midriasis paralítica, el 13% de los pacientes presenta pentada completa, el 90% una triada. La sospecha clínica es esencial, aunque hay diagnósticos diferenciales, no existe una entidad similar donde se combine la afectación de musculatura estriada y lisa.

Conclusión: La difusión de este tipo de casos es relevante porque se presentan con sintomatología clásica de botulismo, siendo este subdiagnoticado por su baja incidencia, y en el cual tratamiento oportuno mejora el pronóstico.

 

 

0294   COMUNICACIÓN INTERVENTRICULAR MULTIPLE, COMPLICACION GRAVE Y POCO FRECUENTE POST INFARTO

S Gasparotti, LM Rodriguez(1), FP Bertoletti

(1) Clínica San Jorge.

 

Introducción: La Comunicación Interventricular (CIV) es una complicación infrecuente del Infarto Agudo de Miocardio (IAM), con una incidencia en la era pre-trombotica del 1-2% al 0.2% en la era trombolítica. Con índice de mortalidad elevado (superior al 80%).

La cirugía cuando debe practicarse de manera temprana, conlleva una elevada mortalidad e incidencia de defectos residuales superior al 40%.

Presentación del caso: Paciente de 54 años, curso internación por Infarto Agudo de Miocardio Anteroseptal Extenso, con CCG con ateromatosis severa de arteria coronaria izquierda, Descendente Anterior, Circunfleja y Rama Lateral Alta; Angioplastia Coronaria Fallida. Evoluciona con shock cardiogenico, comunicación interventricular y Neumonía Intrahospitalaria.

Falla multiorganica. Se realiza CRM y cierre de CIV. Recidiva de CIV en sitio de anclaje del parche, con reintervención y cierre y persistencia en punta del Septum con imposibilidad técnica/anatómica de cierre. Por vía endoscópica se realiza cierre definitivo con dispositivo tipo Amplatzel. Por ETE se constata Jet comunicante residual apical. Evoluciona favorable.

Discusión: Las complicaciones de un IAM, pueden ser no mecánicas y mecánicas. Las CIV es un evento con una alta tasa de mortalidad intra-hospitalaria. Aparece entre los 3-5 días de inicio de los síntomas. La clínica incluye ángor, disnea, insuficiencia cardíaca izquierda o shock cardiogénico. Soplo holosistólico y frémito palpable. R3 y R2 pulmonar acentuado debido a hipertensión pulmonar.

El diagnóstico se hace por ecocardiografía, que valora tamaño del defecto, la función y las presiones ventriculares y el shunt.

El manejo inicial con terapia médica, permite estabilizar al enfermo y realizar la corrección quirúrgica/endoscópica percutánea.

El tiempo de espera promedio era de tres a seis semanas para permitir la cicatrización de los bordes del tejido necrótico y facilitar así el procedimiento quirúrgico.

Conclusión: La CIV es una complicación infrecuente de los IAM, con alta mortalidad. Ante síntomas clínicos y hallazgos semiológicos debe sospecharse para iniciar el tratamiento médico correspondiente que permita realizar la reparación correspondiente.

 

 

0295   MORTALIDAD EN PACIENTES CON ENFERMEDAD RENAL CRÓNICA EN TERAPIA DIALÍTICA EN LA UNIDAD DE CUIDADOS INTENSIVOS DEL HOSPITAL DE CLINICAS - PARAGUAY

C Gomez(1), A Peralta(1), A Urquhart(1), F Fretes(1), T Scholtz(1), N Galeano(1), P Rolon(1), H Bianco(1), F Ferreira(1), B Figueredo(1)

(1) Hospital De Clínicas.

 

Introducción: Los pacientes con enfermedad renal crónica, particularmente aquellos en etapa dialítica, requieren hospitalizaciones y cuidados críticos en mayor proporción que la población general, y presentan características particulares tanto fisiopatológicas como pronósticas, que son además diferentes a la de los pacientes dializados por insuficiencia renal aguda.

Objetivo: Determinar la mortalidad en pacientes con enfermedad renal crónica en terapia dialítica (ERCD) en el Departamento de Cuidados Intensivos de Adultos del Hospital de Clínicas desde enero de 2016 a agosto de 2020, y describir sus características demográficas y clínicas.

Materiales y Método: Estudio observacional, descriptivo, de corte transversal, retrospectivo. Los sujetos fueron pacientes con ERCD internados en nuestro departamento, cuyos datos fueron obtenidos de las historias clínicas. Las variables estudiadas fueron edad, sexo, comorbilidades, diagnósticos de ingreso, tipo de acceso vascular, scores de gravedad: APACHE II y SOFA al ingreso, requerimiento de ventilación mecánica, días de internación, y la mortalidad.

Resultados: Se incluyeron 149 pacientes. Mediana de edad 51±15 años, 51% eran mujeres. Las comorbilidades más comunes fueron hipertensión arterial 39,6%(59), diabetes mellitus 12,8%(19) y colagenopatías 8,1%(12). Los diagnostico de ingreso más frecuentes fueron sepsis/shock séptico 36,9% (55), postoperatorio inmediato 19,5% (29), insuficiencia respiratoria 17,4% (26). Recibieron hemodiálisis intermitente por catéter simple 67% (100), fistula arteriovenosa 26% (40) y catéter tunelizado 6% (9). La mediana APACHE II 23,7±8,42, SOFA al ingresofue9,76±3,48. Necesitaron ventilación mecánica el 74% (110), con promedio de días en ventilador de 5,43 ±7,11. Mediana de días de internación en cuidados intensivos fue 8,7±7,7 y la mortalidad fue 34,23% (51)

Conclusión: La mortalidad en nuestros pacientes fue elevada con respecto a lo reportada en la literatura internacional con puntajes altos en los scores de severidad.

 

 

0296   MIOCARDIOPATÍA SÉPTICA EN PACIENTE CON SHOCK SÉPTICO REFRACTARIO SECUNDARIO A NEUMONÍA ASOCIADA A LA VENTILACIÓN MECÁNICA POR SAMR

J Quiroz Cedeño(1), G Monti(1), G Gaudenzi(1), P Verta(1), M Rolando(1), K Banzer(1), O Ferrufino(1), M Mansur(1), F Perez(1), D Parraga(1), K Gamarra(1), A Canchila(1), A Fernandez(1), A Gonzalez(1), D Mingoni(1)

(1) Central San Isidro.

 

Introducción: La miocardiopatía séptica fue descrita como una disminución de la fracción de eyección ventricular izquierda desde 1984 por Parker; desde entonces se han señalado un conjunto de mecanismos fisiopatológicos causantes, asociados a un estado inflamatorio sistémico donde intervienen interleucinas, TNF y fallo contráctil de miocitos. Se caracteriza, además, por ser una enfermedad transitoria, con resolución entre los 7 a 10 días. La importancia de conocer esta patología radica en su complejo diagnóstico, pronóstico y adecuado tratamiento.

Presentación de caso: Paciente masculino de 50 años de edad, con antecedentes de TVP femoral izquierda. Ingresa el 25/12/2021 a otro sanatorio por Insuficiencia respiratoria secundaria a probable TEP, quien requirió intubación endotraqueal por 6 días, con intercurrencias infectológicas, se logra extubar. El 04/01/2022 es derivado a nuestro Hospital con falla ventilatoria y oxigenoterapia suplementaria. El 07/01/2022 se realiza Ecocardiograma sin signos de TEP, sin HTP, FEVI de 65%, (Fig.1). Con mala evolución requerimiento de ARM, se realizan policultivos y PCR para Covid 19 siendo positivo, además se documenta SAMR en muestra respiratoria. Se realiza TAC de tórax que evidencia consolidaciones bibasales (Fig. 2), evoluciona con shock séptico refractario, el 14/01/2022 se realiza nuevo ecocardiograma con FEVI estimada de 30% (Fig.3) por lo que se inicia manejo hemodinámico bajo guía ecográfica, con mejoría progresiva, finalizando tratamiento antibiótico durante 10 días. El 16/02/22 se realiza Ecocardiograma con FEVI 62%. Alta hospitalaria a los 51 días de hospitalización.

Discusión: La miocardiopatía séptica cada vez cobra más importancia debido al aumento de su incidencia, probablemente por ser subdiagnosticado al pensar que los pacientes tenían un gasto cardíaco alto. En la actualidad gracias al incremento del uso y formación en ecografía crítica, se ha logrado diagnosticar y tratar precozmente.

Conclusión: No es una entidad infrecuente, su forma más común es la disfunción miocárdica sistólica del ventrículo izquierdo, se relaciona con peor pronóstico y en los supervivientes, la FEVI se normalizó tras la recuperación del evento agudo.

 

 

 

 

0297   EVALUACIÓN DE LA NUTRICIÓN ENTERAL DE PACIENTES VENTILADOS EN DECÚBITO PRONO POR INFECCIÓN DE SARS COV- 2 EN CUIDADOS CRÍTICOS DE UN  HOSPITAL DEL PARAGUAY

I Gavilan(1), J Figueredo(1), C Figueredo(1), L Fontclara(1), AM Ferreira(1), N Crosta(1), LM Pederzani(1), H Bianco(1), F Ferreira(1), B Figueredo(1)

(1) Hospital De Clínicas.

 

Introducción. El SARS-CoV-2 desde el 2020 generó innumerables desafíos. El decúbito prono se utilizó para mejorar la oxigenación, y la terapia nutricional se adaptó para cubrir los requerimientos y reducir complicaciones.

Objetivos: Evaluar la tolerancia de la nutrición enteral en pacientes ventilados en decúbito prono con infección de SARS-CoV-2, en sala respiratoria del Departamento de Cuidados Intensivos Adultos del Hospital de Clínicas-Facultad de Ciencias Médicas -Universidad Nacional de Asunción, de marzo a julio 2021.

Materiales y Métodos: Estudio transversal, descriptivo-retrospectivo, datos recabados de fichas de pacientes de la sala respiratoria, que recibieron soporte nutricional en posición supina y prona. Se evaluó la tolerancia de la nutrición durante la posición prona, definiéndola como presencia de residuo menor de 500 ml c/6hs. Se tuvo en cuenta datos demográficos, clínicos y nutricionales (aporte calórico, adecuación energética, tipos de fórmulas). La adecuación calórica fue estimada según el requerimiento y la prescripción en comparación con el aporte administrado

Resultados: Se reclutaron 41 pacientes. El 60,9% de los pacientes eran hombres; el promedio de edad fue 55 años. Las principales comorbilidades fueron obesidad (57,3%) e hipertensión arterial (43,9%). El 100% de los pacientes requirió al menos en una oportunidad adoptar la posición prona durante la internación. El óbito se dio en el 48,8% de los pacientes internados. El 68,3% presentó bajo riesgo nutricional según el Nutric Score. Un 75,6% inicio la nutrición enteral dentro 24 a 48 h posterior al ingreso a la unidad. El 82,9% no presentó intolerancia gástrica en posición prona ni supina, un 2,6% presentó residuo gástrico > 500 ml durante todo el tiempo que permaneció en posición prona, que fueron mínimo 2 hs y máximo 72 hs. La mediana del aporte calórico fue de 2240±194,2 kcal/día. El porcentaje de adecuación energética fue de 84%. En un 36,6% fueron indicadas fórmulas específicas.

Conclusión: La terapia nutricional enteral en decúbito prono fue bien tolerada y segura en la mayoría de nuestros pacientes, posibilitando alcanzar los requerimientos nutricionales indicados.

 

 

0298   INFECCIONES FÚNGICAS PULMONARES EN PACIENTES CON COVID-19 EN UN HOSPITAL UNIVERSITARIO DEL PARAGUAY

I Colman(1), J Figueredo(1), F Fretes(1), L Fontclara(1), J Cabral(1), R Paez(1), R Caballero(1), J Pereira(2), H Bianco(1), B Figueredo(1)

(1) Hospital De Clínicas. (2) Centro De Especialidades Dermatológicas. Ministerio De Salud Y Bienestar Social.

 

Introducción: Las infecciones fúngicas pulmonares con COVID-19 se reportan como complicación asociada a una alta mortalidad en terapia intensiva. Además de los factores comunes para la infección por hongos, tales como diabetes mellitus, infección por influenza, uso de antibióticos de amplio espectro, entre otros, se ha sumado la utilización de corticoides y tocilizumab en el tratamiento de los pacientes críticos con COVID-19. Existen estudios publicados que mencionan un riesgo de adquirir aspergilosis pulmonar tres veces mayor en pacientes COVID-19, con corticoterapia, antibióticos de amplio espectro y estadía prolongada.

Se presenta una serie de casos, 7 pacientes hospitalizados en el Departamento de Cuidados Intensivos Adultos del Hospital de Clínicas en un período de marzo a julio del 2021

Casos Clínicos: Edad entre 43 – 67 años (4 de sexo masculino), en la que se destaca como comorbilidad principal la diabetes y obesidad. Todos ingresaron por dificultad respiratoria y fiebre, con un APACHE II de 19±6 y SOFA INICIAL de 4±3.

En las tomografías axiales computarizadas de tórax se evidenciaron áreas en vidrio esmerilado de distribución periférica bilateral y en un caso, imagen cavitada de contenido sólido. Los hongos aislados en el lavado bronquioalveolar fueron: Aspergillus (5 pacientes), Geotrichium (1 paciente) y Mucormicosis (1 paciente). Los 7 recibieron corticoides, 3 recibieron Tocilizumab y todos requirieron asistencia respiratoria mecánica dentro de las primeras 48 horas. Se administró Anfotericina B desoxicolato en 5 pacientes con aspergilosis, el paciente con Mucormicosis recibió Anfotericina B liposomal y Voriconazol y uno falleció precozmente, antes de conocerse el diagnóstico. La mediana de días de internación fue 17±9. Presentaron desenlace fatal en cuidados intensivos 4 de los pacientes.

Conclusión: Es el primer reporte de nuestro país sobre pacientes críticos con COVID-19 complicados con infecciones fúngicas, las subespecies encontradas son similares a las mencionadas por la literatura internacional.

 

 

 

 

0299   REPORTE DE UN CASO. SÍNDROME DE ABSCESO HEPÁTICO INVASOR POR KLEBSIELLA PNEUMONIAE

K Banzer(1), G Monti(2), G Gaudenzi(2), C Llerena(2), J Quiroz(2), O Ferrufino(2), M Rolando(2), M Mansur(2), F Perez(2), D Parraga(2), K Gamarra(2), A Canchila(2), A Fernandez(2), A Gonzalez(2), D Mingoni(2)

(1) Hospital Central De San Isidro. (2) Central San Isidro.

 

Introducción: Los abscesos hepáticos producidos por klebsiella pneumoniae constituyen el síndrome de absceso hepático invasor. Esta patología puede producirse aún en ausencia de enfermedad hepatobiliar o colorrectal concomitante que pudiera facilitar el ascenso del microorganismo.

Presentación del caso: Paciente masculino de 66 años, FRCV ex tabaquista. Consulta por fiebre y escalofríos de 24 horas de evolución, se realiza TC de tórax sin infiltrados, TC de abdomen y pelvis sin contraste la cual se informa esteatosis hepática difusa. En el laboratorio presentaba falla de múltiples órganos. Luego de la toma de cultivos se inició empírico Piperacilina Tazobactam más Vancomicina. La ecografía abdominal, informó vesícula con barro biliar y litiasis múltiples, en hígado una imagen de densidad heterogénea de 50 x 30 mm en segmento III. En hemocultivos se obtuvo 2/2 Klebsiella pneumoniae. Por sensibilidad se decide desescalar a ampicilina-sulbactam. Se realizó drenaje percutáneo guiado por ecografía, con rescate de K. pneumoniae. El paciente cumplió tratamiento antibiótico por 4 semanas posteriores al último drenaje, evolucionando favorablemente. Tras su internación requirió traqueostomía percutánea, fue decanulado y externado.

Discusión: El síndrome de absceso hepático invasor por K. pneumoniae se caracteriza por la aparición de un absceso primario hepático con aislamiento monobacteriano, asociado en el 12% de los casos, a siembra metastásica del patógeno. Las manifestaciones asociadas descriptas son endoftalmitis, meningitis y absceso cerebral. Existen cepas virulentas que tienen la capacidad de invadir un hígado sano sin producir alteraciones estructurales. Sin embargo, no se puede excluir la posibilidad de enfermedad colorrectal como medio de diseminaciòn, ya que la colonoscopia de rutina no se realiza en el contexto de absceso primario por K. pneumoniae. Con respecto a los factores de riesgo, se encuentran descriptos la diabetes mellitus y la esteatosis hepática. La ecografía y la tomografía son los métodos para el diagnóstico, y la punción guiada se considera útiles.

Conclusión: La letalidad reportada por el síndrome de absceso hepático invasor es baja, las complicaciones a largo plazo, conllevan una alta morbi-mortalidad. Es de fundamental importancia la sospecha clínica, con el fin de lograr el diagnóstico temprano y un tratamiento oportuno.

 

 

 

0300   El músculo medido en la tomografía de tórax no predice mortalidad en terapia intensiva

SP Chapela(1), SP Chapela(2), M Aquino(2), MJ Reberendo(2), L Carmona Diaz(2), ND Llobera(2), C Peñaranda(2), A Garcia(2)

(1) Hospital Britanico. (2) Hospital Británico De Buenos Aires.

 

Introducción: La sarcopenia es una patología de alta prevalencia en terapia intensiva. El gold estándar para el diagnóstico es la tomografía de abdomen a nivel de la tercera vértebra lumbar. Sin embargo, el traslado de los pacientes es complejo y no todos los pacientes requieren tomografías de abdomen.

Objetivos: Determinar si la medición de músculo a nivel de la doceava vértebra torácica sirve para predecir mortalidad en pacientes internados en terapia intensiva con COVID-19.

Métodos: Se incluyeron pacientes en ventilación mecánica con diagnóstico de COVID-19 a los que se les realizó tomografía de tórax dentro de las primeras 48 horas de ingreso. Se midió con el programa coreslicer el músculo y la grasa a nivel de la doceava vértebra dorsal. El outcome fue mortalidad en UTI. Se calculó sensibilidad, especificidad y área bajo la curva (AUC).

Resultados: Se reclutaron 51 pacientes. Las características de la población se describen en la tabla 1. El músculo medido por tomografía de tórax no predice mortalidad (AUC = 0.621; sensibilidad 38.89; especificidad: 92.59; P=0.19) (Imagen 1A). La grasa medida por tomografía de tórax no predice mortalidad (AUC = 0.595; sensibilidad 55.56; especificidad: 70.37; P = 0.3) (Imagen 1B).

Conclusión: La medición del músculo en la tomografía de tórax no es una herramienta útil para predecir mortalidad.

 

 

 

 

0301   Calorimetría indirecta según el tiempo de estadía en terapia intensiva

SP Chapela(1), MJ Reberendo(2), F Gutierrez(2), AH Reque Panozo(2), ND Llobera(2), CA Navarro Pabon(2), SP Chapela(2)

(1) Hospital Britanico. (2) Hospital Británico De Buenos Aires.

 

Introducción: La calorimetría indirecta es el gold estándar para la determinación del gasto calórico en reposo. El paciente crítico durante su estadía en terapia intensiva sufre diversos cambios metabólicos. Estas etapas se pueden dividir en fases Ebb y flow, y crítico crónicamente enfermo.

Objetivos:Determinar el gasto calórico en reposo de pacientes en ventilaciòn mecànica en fase ebb (días 0-3), fase flow (4-14 dìas) y crítico crónicamente enfermo (más de 14 dìas)

Métodos: Se incluyeron pacientes críticos en ventilación mecánica a los que se les realizó calorimetría indirecta, de acuerdo a indicación de los equipos tratantes. Se excluyeron a pacientes con FIO2 inestable o mayor a 60%, fuga en el circuito, en diálisis hasta 2 horas previas al estudio, o ventilación en decúbito prono. Se midieron a los pacientes, registrándose la altura en cm, y se registró el peso de acuerdo a datos aportados por los pacientes previo a la ventilación, por la familia o se calculò al lado de la cama. Se calculó el peso ideal con la fórmula de Miller [(varon = 50kg + 0.555 * (altura (cm) - 152.4) y (mujeres = 45.5kg + 0.535 * (altura (cm -152.4)]. Se realizó test de ANOVA para detectar diferencias entre las distintas etapas.

Resultados: Se reclutaron 55 pacientes. La descripción de la población se realiza en la tabla 1. No hubo diferencias en el gasto calórico en reposo entre las 3 etapas (P=0.12), tampoco hubo diferencias en el gasto calórico ajustado al peso (P=0.7), ni en el gasto calórico ajustado al peso ideal (P=0.14). Los datos se describen en la tabla 2.

Conclusión: En la población de pacientes en terapia intensiva no hay diferencias en el gasto calórico en distintas etapas metabólicas, pero esto no significa que no haya diferencias individuales. Se necesitan más estudios al respecto.

 

 

 

 

0302   Calorimetría indirecta en pacientes obesos en ventilación mecánica

SP Chapela(1), ND Llobera(2), F Gutierrez(2), AH Reque Panozo(2), MJ Reberendo(2), CA Navarro Pabon(2), SP Chapela(2)

(1) Hospital Britanico. (2) Hospital Británico De Buenos Aires.

 

Introducción: Para la determinación del gasto calórico en reposo, la calorimetría indirecta es el gold estándar. Cuando no se cuenta con el equipo necesario, hay ecuaciones predictivas, pero ninguna muestra una buena correlación con la calorimetría indirecta.

Objetivos: Determinar el gasto calórico en reposo de pacientes obesos y comparar con pacientes con sobrepeso y peso normal.

Métodos: Se incluyeron pacientes críticos en ventilación mecánica a los que se les realizó calorimetría indirecta, de acuerdo a indicación de los equipos tratantes. Se excluyeron a pacientes con FIO2 inestable o mayor a 60%, fuga en el circuito, en diálisis hasta 2 horas previas al estudio, o ventilación en decúbito prono. Se midieron a los pacientes, registrándose la altura en cm, y se registró el peso de acuerdo a datos aportados por los pacientes previo a la ventilación, por la familia o se calculò al lado de la cama. Se calculó el peso ideal con la fórmula de Miller [(varon = 50kg + 0.555 * (altura (cm) - 152.4) y (mujeres = 45.5kg + 0.535 * (altura (cm -152.4)]. Se realizó test de ANOVA para detectar diferencias entre grupos.

Resultados: Se incluyeron 55 pacientes. La descripción de la población se detalla en la tabla 1. Se observó que no hubo diferencias en el gasto calórico total (P=0.24), ni en el gasto calórico ajustado al peso ideal (P=0.19). En cambio hubo diferencias significativas al ajustar al peso actual (P=0.0047). Los datos se expresan en la tabla 2.

Conclusiones: El cálculo del gasto calórico en reposo, al ajustar por el peso actual difiere entre pacientes obesos y normopeso, pero no hay diferencias al ajustar por peso ideal.

 

 

 

 

0304   SINDROME DE ONDINA  ADQUIRIDO  REPORTE DE UN CASO

E Porjolovsky(1), EM Porjolovsky(2), P Cordero(2), L Pero(2), D Lafosse(2), A Tristaino(2), N Perez Murua(2), K Cisneros(2), B Castro(2), L Franconieri(2)

(1) Snatorio Antartida. (2) Sanatorio Antartida.

 

Introducción: El síndrome de ondina, es una enfermedad neurológica infrecuente, donde existe fracaso en el control de la ventilación en el sistema nervioso central llevando a hipoxemia e hipercapnia. Generalmente más frecuente en niños y de carácter congénito.

Presentación: Paciente femenina de 44 años de edad con antecedentes de HTA. Ingresa derivada por presentar 96 hs previas paresia facial derecha con diagnóstico de LOE en fosa posterior compatible con meningioma que luego se confirmara por anatomía patológica.

Ingresa al servicio de terapia intensiva en el post operatorio de craniectomía y exeresis de masa tumoral. Extubada, lucida, sin déficit motor. Se realiza TC control: ventriculomegalia, hipodensidad en fosa posterior compatible con huella quirúrgica y neumoencefalo.

Durante la estadia en UTI 12 hs del post operatorio intercurre con midriasis bilateral asociado a deterioro neurológico y desaturación extrema con paro respiratorio requiriendo de asistencia ventilatoria mecánica.

Se realiza nueva TC control inmediata sin cambios. Posteriormente presenta buen intercambio gaseoso por lo que se suspende sedación con weaning exitoso sin secuelas neurológicas. Se descarta intoxicación por fármacos.

A las pocas horas post extubación la paciente vuelve a intercurrir con apnea profunda y desaturación que requiere ventilación. Se decide mantener en asistencia ventilatoria y se constata apnea sin respuesta a hipoxemia ni hipercapnia. Se interpreta el cuadro como síndrome de ondina adquirido.

Conclusión: Son pocos los casos documentados en la bibliografía con diagnóstico de sme de ondina. La evolución es variada, mostrando algunos pacientes mejoría de la ventilación espontanea con el tiempo y otros requiriendo ventilación invasiva de por vida.

 

 

 

 

0305   VExUS: NUEVO SISTEMA DE VALORACION VENOSA CON POCUS

AS Avila Vera(1), J Bleis(2)

(1) Durand. (2) Elizalde.

 

Introducción: VExUS (venous excess ultrasound score) - POCUS (point-of-care ultrasound)

El manejo hemodinámico del paciente crítico se ha enfocado al mantenimiento de un adecuado gasto cardiaco con la administración de fluidos, vasopresores.

Sin embargo, la perfusión de los diferentes órganos se ve afectada por otros factores, la congestión venosa. Esto es especialmente notable en pacientes con sobrecarga hídrica, insuficiencia cardiaca o hipertensión pulmonar, si se produce una falla renal agrava la congestión venosa.

Presentación del caso: paciente de 7 meses de edad, 1° día post quirúrgico de tetralogía de Fallot con ampliación tronco y ramas pulmonares, en ARM, soporte de inotrópico, e inodilatadores, requirio 2 expansiones y Transfusión de Glóbulos Rojos manteniendo signos vitales Fc 145 x´ Ta 86/49 SO2 99% PVC 15 mmHg. Se realiza protocolo VExUS encontramos, Vena Cava Inferior sin colapso, Suprahepatica con flujo Bifásico, Flujo de vena Porta pulsátil y venas Renales pulsátiles, se concluye que el paciente se encuentra en VExUS severa congestión, se procede a la desresucitación con goteo de diuréticos, logrando balance negativo, Control a las 24. VExUS congestión moderada, mismo tratamiento hasta lograr VExUS normal, extuba sin complicaciones.

Discusión: La ecografía POCUS permite realizar una valoración funcional a pie de cama de la situación hemodinámica y en tiempo real. Con la modalidad Doppler podemos evaluar el volumen y los factores ligados a la congestión.

Conclusión: Remarcar la necesidad de más estudios para validar el protocolo VExUS en diferentes contextos clínicos que confirmen los criterios óptimos y determinen si se puede usar para individualizar el manejo hemodinámico de la congestión venosa.

 

 

 

 

 

0306   FACTORES ASOCIADOS A RETRASO EN LA FUNCION DEL INJERTO EN TRASPLANTE RENAL CON DONANTE CADAVERICO

FE Kulik(1), VR Giudicce(1), TC Navarro Toffaletti(1), VV Espindola(1), FN Falcon(1), ML Braccini(1), AE Piacenza(1)

(1) Instituto De Cardiología De Corrientes Juana Francisca Cabral.

 

Introducción: El retraso en la función del injerto (RFI) definido como la necesidad de diálisis dentro de los siete días posteriores al trasplante es una complicación frecuente, cuya aparición dificulta el manejo del paciente trasplantado prolongando la estancia hospitalaria y aumento de los costos.

Objetivo: Analizar los factores asociados a RFI relacionados al donante y al receptor, con el objetivo de identificarlos y evaluar su incidencia.

Materiales y métodos: Se realizó un estudio retrospectivo y descriptivo, analizando historias clínicas de pacientes trasplantados renales con donante cadavérico en el Servicio de Terapia Intensiva de nuestra Institución en el período comprendido entre Marzo 2019 y Junio de 2022 con un total de 76 pacientes. Se dividieron a los pacientes en dos grupos: aquellos que desarrollaron RFI y sin RFI. Se analizaron las siguientes variables: edad y sexo del receptor, antecedentes de hipertensión del donante, creatinina pre-ablación, tiempo de isquemia fría y anastomosis, volumen urinario en las primeras 24 horas, SOFA y Apache II, creatinina pre trasplante, entre otras.

Resultados: Se evaluaron 76 pacientes en el periodo preestablecido. La media de edad fue de 47,5 años y el 53,9 % fueron hombres. Se observó una incidencia de RFI del 50,64%. En el análisis univariado los factores de riesgo que mostraron diferencias significativas para el desarrollo de RFI fueron Sexo, Apache II, Hipertensión Arterial del donante (HTAd), Tiempo de Anastomosis (TA), Creatinina pre trasplante, volumen urinario en las primeras 24 horas (Tabla 1). Al realizar el análisis multivariado los factores que mantuvieron diferencias significativas fueron: Sexo, Apache II, HTAd, Creatinina pre trasplante, volumen urinario en las primeras 24h (Tabla 2).

Conclusiones: Se observó que las variables que resultaron significativas para el desarrollo de retraso en la función del injerto en relación al receptor fueron el Sexo masculino, Apache II, Creatinina pre trasplante, volumen urinario en 24 horas. En relación al donante la presencia de hipertensión Se necesita un trabajo con mayor número de pacientes con análisis multivariado para establecer si el tiempo de anastomosis resulta significativo para el desarrollo de RFI.

 

 

 

 

0307   CARACTERÍSTICAS Y EVOLUCIÓN DE LA INFECCIÓN GRAVE POR SARS-CoV-2 EN PERSONAS VIVIENDO CON VIH

L De Vedia(1), V Chediack(1), S Cáceres(1), D Dominguez(1), L Gonzalez(1), N De Grazia(1), O Ortuño(1), V Auteri(1), P Velazquez(1), G Piovano(1), E Cortes(1), E Di Virgilio(1), E Artigas(1), E Cunto(1)

(1) Muñiz.

 

Introducción: La infección por SARS-CoV-2 se asocia con mayor mortalidad en pacientes que sufren diferentes comorbilidades. Sin embargo, no está claramente establecido si, en los casos de COVID-19 grave o crítico, las personas viviendo con VIH (PVV) constituyen un grupo con mayor riesgo de mortalidad en comparación con los sujetos VIH negativos.

Objetivo: Comparar las características y evolución de los pacientes con infección grave por SARS-CoV-2 en los grupos de PVV y sujetos VIH negativos.

Materiales y método: Estudio observacional, descriptivo, retrospectivo. Se incluyeron pacientes mayores de 18 años ingresados a la unidad de cuidados intensivos (UCI) en un hospital terciario, entre marzo 2020 y julio 2022 por infección por SARS-CoV-2 y que sean portadores de VIH. Se comparó con una cohorte de control de sujetos con COVID-19 grave/crítico ingresado en una de las unidades de terapia intensiva del mismo hospital, pero que eran VIH negativos. Se compararon las características demográficas y clínicas, comorbilidades, y evolución (requerimiento de ventilación mecánica (VM) y óbito). Se utilizó estadística descriptiva, y test- de Fisher para la comparación, con un valor de significancia estadística de 0,05.

Resultados: Se incluyeron 52 pacientes con COVID-19 grave/crítico VIH positivos y 341 sujetos con COVID-19 VIH negativos. No se observaron diferencias significativas en cuanto a sexo y edad, ni en comorbilidades asociadas. Entre los pacientes VIH positivos solo se realizó recuento de CD4+ en el 44% (23/52), con un valor promedio de 35,3 +/- 34,5 cel/mm3, y una mediana de 22 cel/mm3. El grupo de PPV exhibió una tasa de requerimiento de VM del 71,1% frente a un 63% del grupo control (p=0.25). La tasa mortalidad fue superior en el grupo de pacientes VIH positivo (50% VS 37,5%), aunque no se alcanzaron valores de significancia estadística (p= 0.08).

Conclusión: Si bien el número de pacientes incluidos es pequeño, las PPV parecieran tener una tendencia hacia mayores posibilidades de requerir VM o de fallecer cuando ingresan a UTI con un cuadro grave/crítico de COVID-19 en comparación con los sujetos VIH negativos.

 

 

0311   Efecto de la posición prona vigil en pacientes con insuficiencia respiratoria aguda relacionada con COVID-19 tratados con cánula nasal de alto flujo: evaluación de desenlaces clínicos en diferentes olas

M Esperatti(1), NA Fuentes(1), M Busico(2), M Olmos(3), A Gallardo(4), A Vitali(5), H Kakisu(3), J Quintana(6), A Lagazio(5), S Saavedra(7), A Miranda(3), ME Gonzalez(1), M Mogadouro(5), ACG High Flow And Prone Positioning

(1) Hospital Privado De Comunidad / Universidad Nacional De Mar Del Plata. (2) Clínica Olivos Smg.. (3) Hospital Privado De Comunidad. (4) Universidad De Morón. (5) Sanatorio De La Trinidad Palermo. (6) Clínica Olivos Smg. (7) Hospital Aleman.

 

Introducción: La posición prona vigil (PPV) puede reducir el riesgo de intubación endotraqueal (IET) en pacientes con insuficiencia respiratoria asociada a Covid-19 que requieren alto flujo de oxígeno mediante cánula nasal (CNAF). En el curso de la pandemia se modificaron múltiples aspectos epidemiológicos y relacionados con la atención individual de los pacientes pudiendo modificar el efecto de los tratamientos. Los efectos de la PPV a nivel individual no han sido evaluados en las diferentes olas. Nosotros evaluamos el efecto de la posición prona vigil sobre el riesgo de intubación endotraqueal y de mortalidad en pacientes con Covid-19 tratados con CNAF, y comparamos la magnitud del efecto entre la primera y la segunda ola en Argentina.

Métodos: En este estudio multicéntrico de cohorte prospectivo en 5 centros de Argentina, incluimos de forma consecutiva a pacientes >18 años con COVID-19, insuficiencia respiratoria y requerimiento de CNAF desde junio-2020 a septiembre 2021. La variable de exposición fue PPV ≥6 horas/día (mediante una intervención protocolizada), comparado con pacientes que no realizaron PPV (NO-PPV-grupo control-). Se utilizó una ponderación de probabilidad inversa (IPW-propensity score) para ajustar la probabilidad condicional de tratamiento. Luego se realizó un ajuste por centro asistencial, momento de la pandemia, y variables epidemiológicas (enfoque “doble robusto”). El desenlace primario fue intubación endotraqueal y el secundario mortalidad hospitalaria.

Resultados: Durante la primera y la segunda ola fueron incluidos 360 y 368 pacientes-respectivamente-(Tabla 1); de ellos 195(54%) y 227(62%) fueron expuestos a PPV durante una mediana (p25 75) de 12 (10-16) y 14 (9-18) horas/día -respectivamente-. El análisis de propensión por IPW para cada ola mostró diferencias estandarizadas <0,1 en todas las variables evaluadas, cumpliendo con el supuesto de intercambiabilidad de las poblaciones. Los odds ratio -OR- (IC95%) -ponderados y ajustados- para intubación endotraqueal en el grupo expuesto a PPV durante la primera y la segunda ola fueron 0,25 (0.13-0.46) y 0.16 (0.09-0.31)-respectivamente- (figura 1). Los odds ratio –ponderados y ajustados- para la mortalidad hospitalaria durante la primera y la segunda ola fueron 0,35 (0.17-0.75) y 0.22 (0.12-0.46)-respectivamente- (figura 1). No se observaron diferencias en la magnitud del efecto entre la primera y la segunda ola para los desenlaces intubación endotraqueal (p=0.40) ni para mortalidad hospitalaria (p=0.44) (Figura 1).

Conclusiones: En la población evaluada la posición prona vigil redujo el riesgo de intubación endotraqueal y de mortalidad hospitalaria sin observarse diferencias en esos desenlaces entre la primera y la segunda ola.

 

 

 

 

0312   EVOLUCIÓN DE LAS PERSONAS VIVIENDO CON VIH EN TERAPIA INTENSIVA: ANÁLISIS DE LOS ULTIMOS 20 AÑOS

L De Vedia(1), N Lista(1), A Rodríguez(1), E Di Virgilio(1), M Peralta(1), M Flores Montes(1), G Piovano(1), I Prieto(1), D Dominguez(1), V Auteri(1), E Artigas(1), L Camargo(1), G Cabrera(1), M Cieslikowski(1), E Cunto(1)

(1) Muñiz.

 

Introducción: A pesar del uso generalizado del tratamiento antiretroviral, las personas VIH positivos (VIH+) siguen teniendo un alto riesgo de enfermedad crítica debido a la aparición de infecciones oportunistas graves.

Objetivo: Describir las características de pacientes VIH+ ingresados en Terapia Intensiva (TI) en los últimos 20 años, comparando su evolución con la de los sujetos VIH negativos (VIH-).

Materiales y método:  Estudio observacional, retrospectivo. Se incluyeron pacientes VIH+ ≥18 años ingresados a TI en un hospital terciario, entre 2002 y 2022, en comparación con pacientes VIH- ingresados en el mismo período. Se evaluaron características demográficas y clínicas, y evolución (requerimiento de ventilación mecánica [VM] y óbito). Se utilizó estadística descriptiva, y test de Fisher o Student para las comparaciones, según correspondiera, con un valor de p ≤ 0.05 para definir significancia estadística.

Resultados: Se incluyeron 4963 pacientes (2088 VIH-, 2875 VIH+). En ambos grupos predominó el sexo masculino (VIH- 63,7%, VIH+ 63,3%). Los pacientes VIH+ tuvieron un promedio de edad significativamente inferior (39,7 ± 9,9 vs 48,8 ±17,2, p<0,001). Se contaba con recuento de CD4+ en el 45,5% de los casos VIH+, con una mediana de 45 cel/mm3. El 84,1% tenía CD4+ <200 cel/mm3, y el 15,8% CD4+ ≥200 cel/mm3. Los pacientes VIH+ tuvieron mayores tasas de requerimiento de VM (32% vs 24%, p<0,001) y mortalidad (29,8% vs 17m2%, p<0,001). Los pacientes VIH+ con CD4+ <200 cel/mm3 tuvieron una tasa de VM del 34,5% y una mortalidad del 32,2% (en ambos casos p= <0.0001 vs VIH-), mientras que aquellos con CD4+ ≥200 cel/mm3, la tasa de VM fue del 22,7% (p=0,68) y la de mortalidad fue del 14,6% (p=0,35 vs VIH-). El análisis de regresión logística mostró que tener CD4+ <200 cel/mm3 se asoció con un mayor riesgo de mortalidad (OR 2,92, IC 95% 1,91-4,48), mientras que tener un recuento de CD4+ ≥200 se asoció con un riesgo reducido (OR 0,34, IC 95% 0,22-0,53).

Conclusión: Los pacientes VIH+ que ingresan a UTI y que tienen un recuento de CD4+ + <200 cel/mm3 constituyen una población con mayor riesgo de requerimiento de VM y mortalidad.

 

 

0314   EXACERBACION DE SINDROME DE YAO EN UNA PACIENTE NEUROCRITICA. REPORTE DE UN CASO

RA Ojeda(1), YM Lamberto(1), AC Dinuzzo(1), A Violo(1), DV Toledo(1), R Lobo Herrera(1), JA Sereno(1), ME Centurion(1), MA Montenegro(1), LJ Degregorio(1), MC Carruega(1), PJ Marconi(1), MF Alsina(1), EP Mikulic(1)

(1) Hospital Militar Central.

 

Introducción: El síndrome de Yao, también conocido como enfermedad autoinflamatoria asociada a NOD2 (nucleotide binding oligomerization doman containing 2), es un proceso genético caracterizado por episodios de fiebre e inflamación anormal que afecta diversas partes del organismo, particularmente la piel, las articulaciones y el sistema gastrointestinal. El gen NOD 2 codifica la proteína NOD2 cuya función es activar algunos tipos de células del sistema inmunitario entre otras.

Presentación del caso: Mujer de 20 años que ingresa a Terapia Intensiva en postoperatorio de exéresis de tumor occipital basal derecho. A su ingreso, presenta falla renal y plaquetaria, posteriormente evoluciona con deterioro del sensorio y convulsiones, tomografía de cerebro hematoma pequeño en sitio quirúrgico. Evoluciona con mala mecánica ventilatoria requiriendo ventilación mecánica y progresión de falla hematológica, renal, hepática y hemodinámica. Se evaluaron como diagnósticos diferenciales exacerbación de patológica de base y shock séptico, por lo cual se decidió tratamiento antibiótico de amplio espectro y Servicio de Inmunología indico Inmunoglobulinas y posteriormente corticoides a altas dosis. Requirió soporte transfusional por plaquetopenia y coagulopatía. Evoluciona posteriormente con mejoría de las fallas, lográndose su extubación al doceavo dia de internación. Fue externada al día veinticinco, sin secuelas clínicas.

Discusión: El síndrome de YAO es una patología poco conocida, mucho menos para el ámbito de la medicina intensiva, en el caso de la paciente presentada, la sospecha de exacerbación frente al stress de una neurocirugía resulto en un cuadro de riesgo de vida con falla multiple de órganos y que requirió el manejo interdisciplinario para lograr la mejoría.

Conclusiones: El síndrome de YAO constituye un cuadro grave infrecuentemente descripto. En la escasa literatura se destaca la falta de consenso en cuanto al abordaje del mismo. Es fundamental mantener un nivel de sospecha para detectar esta patología y tener en cuenta las posibles complicaciones frente al paciente con este diagnostico.

 

 

 

0315   Alogenosis iatrogénica: muerte encefálica secundaria a embolia de biopolímero inyectable clandestino

M Montenegro(1), MC Vignetta(1), P Pahnke(1), E Dantur(1), G Solla(1), AO Ohanian(1), M Crespo(1), A Fabre(2), A Storniolo Squintone(2), D Dib(2), A Lopez(1), I Herrero(1), I Ocampo(1), V Vignolo(1)

(1) Hospital Municipal Urgencias. (2) Instituto De Medicina Forense.

 

Introducción: La inyección de componentes sintéticos con fines estéticos, datan desde hace más de un siglo. Grupos poblacionales buscan alternativas caseras y económicas, realizadas por legos, con consecuencias que van desde reacciones locales, SIRS,ASIA, embolias sistémicas y muerte.

Presentación: Femenino, 28 años. Ingreso: dolor generalizado, astenia, hiporexia, induración en abdomen y miembros inferiores secundarios a inyección de sustancia desconocida en mamas. Examen Físico: bradipsiquia, mamas eritematosas con nódulos dolorosos. Miembro inferior eritema en parches. Sin signos tomográficos de TEPA. Diagnóstico: Reacción inflamatoria sistémica secundaria a biopolímero inyectable - Shock séptico. Tratamiento: vasopresores, antibióticos, analgesia, antihistamínicos y corticoides. Mala evolución. IRM reprogramada. 14 días post-inyección (DPI), TAC tórax con infiltrados alveolointersticiales en parches compatibles con embolia pulmonar. 21 DPI: toilette quirúrgico de mamas, previo procedimiento ceguera derecha. Sin respuesta ante retirada de sedoanalgesia. TAC cerebral: sin lesiones. Drenaje de colección oleosa en tobillo. Cultivos: Achromobacter xylosoxidans, tratamiento dirigido. 25 DPI midriasis bilateral. TAC: hidrocefalia con hipodensidad de la sustancia blanca circundante y ECD. Muerte encefálica. Donación rechazada. Anatomía patológica: congestión y edema en cerebro y pulmón compatibles con micro trombosis. Tejidos blandos cervicales y mediastinales, pericardio parietal, glándula mamaria y tejido celular subcutáneo abdominal con reacción de tipo cuerpo extraño y abscedación relacionados a espacios pseudoquisticos vacíos. (Compatibles con material oleoso). Congestión visceral. No pudo identificarse el material inyectado.

Discusión: La alogenosis iatrogénica afecta a más de un millón de personas/año mundialmente. Las embolias sistémicas ocurren 1 a 2% con alta mortalidad, producidas por inyección intravascular accidental y directa o lesión vascular-capilar pudiendo afectar a cualquier órgano de la economía. La afectación neurológica generalmente resulta fatal con lesión e hipoxia tisular. Entre más temprano se presenten los síntomas, mayor severidad y mal pronóstico con una alta tasa de mortalidad. El tratamiento es sintomático y de sostén, siendo un reto para la medicina moderna.

Conclusión: La inyección ilícita de materiales ilegales en el cuerpo con fines estéticos sigue siendo una práctica habitual cuyo único tratamiento disponible es la prevención. Hasta donde sabemos, no hay casos en la bibliografía que mencionen muerte encefálica secundaria a hidrocefalia por embolia de material sintético inyectado.

 

 

 

 

0317   SINDROME POSTPERICARDIOTOMIA TRAS CIRUGIA CARDIACA

J Quiroz Cedeño(1), G Monti(1), F Perez(1), G Gaudenzi(1), P Verta(1), M Rolando(1), O Ferrufino(1), K Banzer(1), M Mansur(1), K Gamarra(1), A Canchila(1), D Parraga(1), A Fernandez(1), A Gonzalez(1), D Mingoni(1)

(1) Central San Isidro.

 

Introducción: Se reporta una incidencia de un 21 a 29% de este síndrome, por lo cual a propósito de un caso se plantea una revisión sobre esta patología, asociada a un abordaje terapéutico precoz e invasivo a fin de mejorar la morbimortalidad asociada a la enfermedad severa.

Caso clínico: Masculino de 60 años con múltiples antecedentes, el más relevante un reemplazo de válvula aortica y plástica de válvula mitral (septiembre 2021). Consulta en noviembre 2021 con disnea clase funcional II-III. Se interpreta como insuficiencia cardiaca descompensada por infección urinaria con urocultivo patológico. Horas después presenta desorientación temporoespacial, mala mecánica ventilatoria, e hipoperfusión tisular, se realiza intubación orotraqueal y tomografía donde visualiza cardiomegalia con derrame pericárdico severo. Ecocardiograma informa derrame pericárdico severo, se realiza pericardiocentesis (3 oportunidades). Ecocardiograma transesofagico informa Fey del 40%, prótesis valvular aortica normofuncionante, plástica mitral conservada y derrame pericárdico leve. Cirugía de tórax realiza ventana pericárdica con colocación de tubo de avenamiento pleural. Traqueotomía por weaning dificultoso, se decánula, posterior evolución favorable y egreso hospitalario.

Discusión: Patología caracterizada por dolor precordial típico, frote pericardico a la auscultación, laboratorio perfil inflamatorio elevado, ecocardiograma derrame pericárdico masivo que por colapso de cavidades derechas causa taponamiento cardiaco. Electrocardiograma bajo voltaje, onda T invertida, segmento ST oscilante. Diagnósticos diferenciales: dolor incisional, neumonía, mediastinitis, endocarditis, insuficiencia cardiaca congestiva, infarto agudo de miorcardio, tromboembolismo pulmonar, disección aortica. Se sugiere considerarlo junto con estas causas.

Conclusión: Un abordaje precoz de esta patología como posible diagnóstico de ingreso, puedo disminuir la estancia hospitalaria y así disminuir el porcentaje de mortalidad. Se concluye que aunque no es frecuente que este síndrome, luego de la cirugía de corazón o de lesión, influya en el pericardio, es importante tenerlo en cuenta, ya que puede implicar una confusión diagnóstica en la práctica cotidiana y es necesario conocer sobre su existencia, características y tratamiento adecuado.

 

 

 

 

0318   CUANDO LA INTERPRETACION DEL ESTADO ACIDO-BASE ES LA CLAVE DEL DIAGNOSTICO. REPORTE DE UN CASO

CM Dimarco(1), G Velazco(2), V Saucedo(2), C Lopez(2), S Saltarelli(2), G Fernandez(2), S Alvarez(2), S Saracco(2)

(1) Hospital Central De Mendoza. (2) Hospital Central.

 

Introducción: El etilenglicol, incoloro e inodoro y de pH neutro es usado como disolvente, fluidos para frenos y refrigerante; cuando es ingerido accidental o intencionalmente, causa intoxicaciones con elevada morbimortalidad y daños irreversibles si no se trata con celeridad. Se absorbe por tracto gastrointestinal (pico plasmático 1-4hs). Bajo volumen de distribución, vida media 3hs (18hs con etilterapia). Se metaboliza en hígado (80%), por la enzima alcohol deshidrogenasa (NADP+) a glicoaldehído y ácidos glioxílico, fórmico y oxálico, responsables de su toxicidad. Esta se caracteriza por acidosis metabólica severa con GAP aumentado, hipocalcemia y oxalatos de calcio en orina. Debe ser diagnosticada y tratada rápidamente, ante sospecha clínica, fundada en la exposición e interpretación de laboratorio. Es prioritario el uso de antídotos, como etanol o fomepizol, inhibidores de la NADP+, que prolongan la eliminación del etilenglicol y reduce la formación de metabolitos tóxicos.

Caso clínico: Mujer de 65 años. Antecedentes de: obesidad, hipertensión, depresión, tabaquismo. Ingresó por trastorno de conciencia cuali-cuantitativo. Glasgow: 6/15. Inestabilidad hemodinámica. Paro cardio respiratorio 5 minutos. Tomografía de cerebro sin lesiones, leucocitosis formula conservada; punción lumbar con hiperglucorraquia, hiperproteinorraquia, lactato de 6,8 mol/l. Inició tratamiento cubriendo foco meníngeo. Además, presentaba acidosis metabólica con GAP aumentado (27.4), hiperlactacidemia (29mmol/l), hipocalcemia (69.7mg/l), cristales de oxalato de calcio en orina; Se analizan causas de hiperlactacidemia por ganancia de ácidos externos y exhaustivo reinterrogatorio a familiar que posteriormente encuentra el envase del refrigerante. Se reinterpreta el cuadro clínico y se inicia etilterapia al 20% por SNG (aproximadamente 20hs pos ingesta) y hemodiálisis por anuria. Evolución favorable, extubada al 13° día con cambio de interfaz.

Conclusión: La intoxicación por glicoles es poco frecuente y potencialmente letal, debe sospecharse, ante la presencia de compromiso neurológico de etiología no determinada y acidosis metabólica severa con GAP aumentado, acompañada de hipocalcemia, cristaluria de oxalatos de calcio e insuficiencia renal aguda o fallo multiorgánico de origen desconocido. El tratamiento es la etilterapia, hemodiálisis y medidas de soporte vital. El etanol se administra por vía oral o EV, con dosis de carga y mantenimiento hasta que los trastornos hidroelectrolíticos se resuelvan.

 

 

 

0319   DIABETES ÍNSIPIDA CENTRAL EN HISTIOCITOSIS DE LANGERHANS

J Quiroz Cedeño(1), G Monti(1), M Mansur(1), G Gaudenzi(1), M Rolando(1), K Banzer(1), O Ferrufino(1), F Perez(1), D Parraga(1), K Gamarra(1), A Canchila(1), A Fernandez(1), A Gonzalez(1), D Mingoni(1)

(1) Central San Isidro.

 

Introducción: Existe asociación directa entre el diagnostico de Histiocitosis de Langerhans y el desarrollo de Diabetes Insípida Central en un 50% de los casos, ya sea, por infiltración directa del eje hipotálamo-hipofisario o como síndrome paraneoplásico.

El diagnostico de Diabetes Insípida Central obliga a descartar el diagnostico de Histiocitosis de Langerhans.

Presentación del caso: Paciente masculino de 39 años ingresa para excéresis de lesión osteolítica fronto-parietal izquierda descripta en RMN de encéfalo como formación solido-quística ubicada en convexidad frontoparietal izquierda, en situación extraaxial, con extensión extracraneal.

Paciente refiere cuadro clínico de 1 año de evolución caracterizado por cefalea hemicraneana izquierda asociado a lesión fluctuante en región frontoparietal ipsilateral, poliuria y polidipsia.

En postoperatorio, se constatan registros de diuresis compatibles con poliuria. Se solicita análisis de orina al azar que evidencia densidad y osmolaridad urinaria disminuidas, sin alteraciones a nivel hidroelectrolítico. Se decide realizar prueba de deprivación de líquidos, confirmando el diagnóstico de diabetes insípida central.

Se inicia tratamiento con desmopresina con resolución sintomática.

Posterior al alta hospitalaria, se recibe informe de anatomía patológica de lesión ósea con diagnóstico de Histiocitosis de Langerhans. Paciente en seguimiento para tratamiento de enfermedad primaria.

Discusión: La Histiocitosis de Células de Langerhans consiste en la expansión monoclonal de células dendríticas mieloides. Su órgano blanco es el tejido óseo.

El diagnostico, más frecuente, en la infancia, puede darse en edad adulta.

La Histiocitosis de Langerhans se asocia en un 50% de los casos con el desarrollo de Diabetes Insípida Central, precediendo en ocasiones, a la aparición de lesiones óseas.

Conclusión: El diagnostico de Diabetes Insípida Central obliga a descartar la Histiocitosis de Langerhans como probable etiología, ya que, en ocasiones, precede a la aparición de lesiones óseas.

La evolución de ambas entidades es paralela e instalado el diagnostico de Diabetes Insípida Central, el control de su etiología no genera su resolución.

La sospecha clínica es fundamental para arribar al diagnóstico precoz y evitar complicaciones.

 

 

 

0320   Reporte de Caso: Meningoencefalitis asociada a Covid-19

G Fernández(1), S Barrionuevo(1), V Cuéllar(1), H García(1), ME Giménez(1), R López(1), MM Tártara(1), S Urbano(1), S Viera(1), R Vargas Martínez(1), L Migliacci(1)

(1) Cl Pueyrredón.

 

En contexto de pandemia por Covid-19, diferentes manifestaciones clínicas significaron un reto para los profesionales sanitarios. Los pacientes con signo-sintomatología neurológica, produjeron retraso diagnóstico y terapéutico.

Caso clínico: Masculino, 61 años, Antecedente Reemplazo Válvula aórtica-protésica, anticoagulado con dicumarínicos. Hipertenso, dislipémico, Compresión medular secundario a epéndimoma cervicodorsal.

Ingresa 12/2020 con paresias 2/5(escala MRC) miembro inferior izquierdo. Hiporreflexia, mioclonías, que progresa a paraplejía, arreflexia de miembros inferiores, Babinski, sensibilidad disminuida desde territorio T10. Se decide rotar a Enoxaparina previo a resolución quirúgica cirugía radicular.Evoluciona con stroke isquémico frontoparietal derecho con posterior transformación hemorrágica. Evidencia de infiltrados pulmonares bilaterales en vidrio esmerilado. Necesidad de Intubación orotraqueal, Ventilación Mecánica y evacuación de hematoma intracerebral. Posterior Hipertensión Endocraneana normalizada con tratamiento osmótico. Por encefalopatía, fiebre y status epiléptico no convulsivo, Segunda muestra Aspirado traqueal positica para Covid, se realiza Punción Lumbar PCR COVID (+). Tratamiento de sostén. Presenta recuperación consciencia con hemiplejía facio-braqui crural izquierda. Es dado de alta de Terapia Intensiva a los 52 días de internación. Evoluciona con nueva infección asociada a los cuidados de la salud con Disfusión Orgánica Múltiple. Fallece día + 95 internación.

Discusión:La Meningoencefalitis por COVID-19, entidad descrita recientemente, cuya fisiopatología se desconoce, sin disponer de tratamiento. El compromiso neurológico es una presentación atípica (5-8%) por su capacidad neuroinvasora, neurotrópica ocasionando polineuropatías, convulsiones, psicosis y/o accidentes cerebrovasculares.

Conclusión: El diagnóstico se debe considerar durante la pandemia, antecedentes de exposición, alteraciones neurológicas, LCR normal o patológico, citoquímico con leucocitos ligeramente aumentada o normal, normoglucorraquia, proteínas normales o hiperproteinorraquia leve, como en otros cuadros virales, inflamatorios.

 

 

 

 

0321   El uso de sedoanalgesia en Pandemia por SARS-COV-2 y su impacto en un hospital Monovalente

MJ Ochoa(1), D Raggio(2), MJ Ochoa(2), E Cunto(2), M Quinteros(2), S Krugliansky(2)

(1) F. J. Muñiz. (2) F. J. Muñiz.

 

Introducción: El Hospital de Infecciosas Francisco Javier Muñiz fue designado por el Ministerio de salud de la Ciudad de Buenos Aires como Centro De Referencia para pacientes con SARS-COV-2

Desde el 3 de marzo del 2020, con la aparición del primer caso en Argentina,el hospital inició un proceso de reestructuración y capacitación del personal para dar respuesta a las necesidades sanitarias de ese momento.

La Farmacia tuvo que adaptarse al aumento de la demanda de medicación para sedoanalgesia para llevar a cabo los tratamientos contra esta enfermedad. El conocer el comportamiento durante la pandemia en el hemisferio Norte nos permitió prever el stock para la provisión de la medicación en tiempo y forma.

Incluyen en esta etapa el uso de analgosedación para pacientes de unidades críticas.

Objetivos: Determinar el aumento de consumo de fármacos de sedoanalgesia para evaluar el impacto que tuvo en el servicio de farmacia y en las terapias intensivas del Hospital Muñiz.

Métodos: Estudio observacional retrospectivo sobre el consumo de determinados fármacos para uso de analgosedación en la terapia intensiva del Hospital Muñiz durante el período Abril 2019- 2020 Octubre 2019 -2020. Estos datos se obtuvieron en base al registro de consumo de las salas de internación del sistema informático SIGEHOS2.

Conclusiones: Tras el análisis podemos afirmar que el hospital durante la pandemia de SARS-COV-2 en los períodos analizados incrementó tres veces la capacidad de la terapia intensiva, el uso y la dispensa de medicación para sedoanalgesia se triplicó, a pesar de ello, gracias al trabajo en equipo e interdisciplinario, pudo adaptarse a los cambios producidos por esta nueva infección sin dejar de atender las patologías propias de un hospital monovalente especializado en enfermedades infecciosas y supo responder positivamente al requerimiento, asegurando la disponibilidad de medicamentos y manteniendo la atención farmacéutica.

Bibliografía: Guía para farmacéuticos ante faltantes de sedantes, analgésicos y relajantes musculares durante la pandemia de SARS-COV-2.

Versión 00- vigencia 30/05/2021.

Asociación Argentina de Farmacéuticos de Hospital.

 

 

 

 

0323   POLITRAUMATISMO POR APLASTAMIENTO CON LESION HEPATOESPLÉNICA Y MANEJO CONSERVADOR. REPORTE DE UN CASO DONDE LA DISCUSIÓN CONTINUA

PL Bureu(1), PL Bureu(2), SM Romero Baldoni(2), MI Subira(2)

(1) Hospital Regional “victor Sanguinetti”. (2) Regional.

 

Introducción: El manejo no quirúrgico del trauma abdominal cerrado se emplea desde hace más de 40 años con éxito en lesiones hepáticas y esplénicas independientemente del grado de lesión en aquellos pacientes que estén hemodinámicamente estables.

Caso: Paciente de 4 años, ingresa a guardia luego de sufrir politraumatismo al ser aplastada por un chulengo, con compromiso de cráneo, tórax y abdomen. Ingresa a UTIP hemodinamicamente compensada, con ventilación espontánea, abdomen blando, depresible. A las dos horas presenta desmejoría, se sospecha lesión hepatoesplénica y se interconsulta al cirujano de pasiva, esperando disponibilidad de quirófano se logra estabilidad hemodinámica, por lo que se decide conducta conservadora.

A las 72 hs se realiza nueva tomografía donde se observa derrame pleural bilateral, contusión pulmonar bilateral, ascitis, Hígado con laceración entre los segmentos IV y II-III, hematoma parenquimatoso profundo en segmento II-III, Bazo con hematoma subcapsular con compromiso mayor al 50 % de su superficie. Se realiza paracentesis evacuatoria 1830 ml y se colocan tubos de avenamiento pleural obteniendo liquido sanguinolento.

Evoluciona presentando diversas complicaciones, a los 24 días de internación por distensión abdominal se realiza paracentesis obteniéndose liquido biliar por lo que se realiza cirugía exploradora donde no se observan lesiones de conductos biliares.

El día 27 de internación pasa a sala.

Discusión: Durante los últimos años, el manejo del traumatismo abdominal cerrado ha evolucionado desde un tratamiento quirúrgico con alta tasa de morbimortalidad a un tratamiento no quirúrgico exitoso incluso en lesiones hepática y esplénica de alto grado. El pilar del manejo no quirúrgico es la estabilidad hemodinámica, independientemente del grado de lesión tomográfica. La definición de estabilidad hemodinámica en los pacientes con trauma abdominal, no está bien establecida.5, 6 y muchas veces es difícil de determinar.

En nuestro caso clínico, la decisión de continuar con tratamiento no quirúrgico fue muy discutida.

Conclusión: El tratamiento conservador es de elección para el trauma abdominal cerrado con lesión hepática y esplénica, teniendo una alta tasa de éxito y baja mortalidad. Se necesitan nuevos estudios para la detección temprana de indicadores de fracaso en el tratamiento no quirúrgico.

 

 

0324   COAGULOPATÍA INDUCIDA POR COVID. REPORTE DE CASO

JJ Cáceres(1), FD Vasile(1), MA Vega(1), DA Sittoni(1), JR Bagnasco(1), NV Luna(1)

(1) Domingo Funes.

 

Introducción: La incidencia de ACV-isquémico agudo en COVID-19 oscila entre 2,5% y 5%.

Se ha establecido una relación entre incidencia de ACV y severidad de la infección SARS-CoV2, casos leves es menor al 1% y severos aumenta hasta 6%.

De acuerdo con datos del RACCOVID, de 2728 pacientes, 15,3% (420) presentó alguna complicación cardiovascular y de éstos, 131 presentaron daño miocárdico (31,3%), la mayoría (77-58,7%) manifestada por injuria miocárdica. 24 presentaron IAMCEST y 29 IAMSEST.

Presentación: Masculino de 48 años, antecedentes DBT, tabaquista y sin vacunas para SARS-CoV2. Consulta por disnea, tos, decaimiento, febrículas y dolor epigástrico de 48hs evolución.

EF: crepitantes bibasales, glasgow 14/15, parafasia y ecolalia.

CSV: FR= 24-FC= 98-SatO2= 93%-Temp= 37,8°C-TA= 145/90mmHg.

ECG: signos de isquemia evolucionada en cara inferior e isquemia subepicárdica en cara anterior. TAC cerebro hipodensidad en región parieto-temporal izquierda, tórax infiltrados intersticiales bilaterales tipo vidrio esmerilado. PCR-covid negativa.

Laboratorio: Troponina-I 13644; PCR 94.2; Dímero-D 868; Nt-proBNP 1318; Plaquetas 270000; APP 110%; KPTT 27. Control Troponinas-I 12077.

Inicia oxigenoterapia con CNAF, doble antiagregación , anticoagulación con HBPM.

Ecocardiograma doppler objetiva hipocinesia parietal inferomedial, inferior basal y lateral posteromedial.

Diagnóstico: IAM-NOSTEMI cara inferior evolucionado, NAC-bilateral y ACV-isquémico.

48hs del ingreso evoluciona tórpidamente, requiriendo VMI. Repite PCR-covid, resultado positivo. Comienza tratamiento con remdesivir y metilprednisona. 13 días de AVM, se realiza destete, continua internación en clínica médica esperando cinecoronariografía.

Discusión: La coagulopatía inducida por COVID-19, puede presentarse con enfermedad tromboembólica venosa o arterial, habitualmente correlacionada con evoluciones tórpidas y elevada morbi-mortalidad.

Los mecanismos fisiopatológicos involucrados son:

Incremento de actividad simpática asociada a infecciones en pacientes con enfermedad coronaria previa.

Sepsis como precipitante de IAM tipo-II

El COVID-19 estimula un proceso trombo-inflamatorio, tormenta de citoquinas que puede acelerar la formación de nuevas placas ateroscleróticas coronarias, su desestabilización y ruptura.

Las diferencias con coagulopatías habituales de pacientes críticos, CID (Coagulación Intravascular Diseminada) y MAT (Microangiopatía Trombótica) es que la CIC-19 presenta Dímero-D elevado, plaquetas normales y coagulograma normal.

Conclusión: Es importante tener en cuenta en todos los pacientes con Covid-19 el riesgo de ETV-ETA, ya que la instauración rápida del tratamiento anticoagulante mejora supervivencia y reduce secuelas. Este caso, el diagnóstico oportuno de ambas complicaciones cardiovasculares simultáneas que presentó el paciente, permitió iniciar el tratamiento anticoagulante y mejorar pronóstico.

 

 

 

 

0325   REPORTE DE CASO: FALLO RESPIRATORIO POR QUISTE DE VALÉCULA Y MANEJO EN LA URGENCIA

M Enriquez Gentile(1), L Martinez(1), C Mena(1), A Bottaro(1), D Natta(1), P Medici(1), M Nogueira(1), J Gonzalez(1), D Jauregui(1)

(1) Hospital Materno Infantil Mar Del Plata.

 

Introducción: El quiste de valécula es una entidad infrecuente en pediatría, incluido en las malformaciones congénitas de laringe. Su incidencia exacta es desconocida. Se estima que representa 10,5% del total de quistes laríngeos congénitos, cuya incidencia anual es 1 por 300.000 nacimientos.

Las manifestaciones clínicas son variadas, dependiendo del tamaño y localización del quiste.

La importancia de su conocimiento, radica en la potencial morbimortalidad, por lo que se reporta este caso.

Presentación de caso: Varón, 2 meses, antecedente de pretérmino (34 semanas) y distrés respiratorio al nacer que requirió asistencia respiratoria mecánica.

Presenta episodios de apnea e intolerancia oral. Se sospecha sepsis, y se obtiene en aspirado nasofaríngeo parainfluenza. Se realizan repetidos intentos fallidos de ventilación evidenciándose en laringoscopía imagen quística redondeada en valécula, que desplaza epiglotis, obstruyendo la luz. (fig1) Otorrinolaringología, realiza laringoscopía directa. Drena quiste por punción con fibroendoscopio, y coloca tubo orotraqueal. Se programa resección quirúrgica por marsupialización, diferida. Postcirugía se extuba con buena evolución clínica.

Discusión: Los quistes de valécula son infrecuentes, causan signosintomatología que puede confundirse con patología frecuente del lactante, como estridor, distrés, disnea, disfonía, cianosis, tos, retraso pondoestatural, disfagia hasta muerte súbita. Pueden exacerbarse con infecciones respiratorias del tracto superior.

La laringoscopía directa es el método diagnóstico de elección porque permite realizar diagnósticos diferenciales.

Otros estudios complementarios son resonancia magnética nuclear y tomografía computada, pero requieren sedación e instrumentalización de via aérea. La ecografía y radiografía cervical presentan escaso valor diagnóstico.

El tratamiento es quirúrgico. Debe realizarse bajo visualización directa con fibrobroncoscopía o laringoscopía. La punción aspirativa es útil en la urgencia cuando se debe instrumentalizar vía aérea. El tratamiento definitivo es la marsupialización o exéresis completa del quiste, con baja tasa de recurrencia, sin diferencia significativa entre los métodos.

Conclusión: El quiste de valécula es infrecuente. Debe considerarse como posible diagnóstico ante signosintomatología compatible con obstrucción de la vía aérea. Su intervención temprana previene un descenlace fatal.

 

 

 

0326   MIOCARDITIS POR SAR COV-2 EN PACIENTE INMUNOCOMPROMETIDA. Reporte de caso

G Fernandez(1), V Cuéllar(1), C Miglioranza(1), S Viera(1), P Dominguez(1), N Rizzo(1), P Zenón(1), P Artaza(1), A Bucci(1), H García(1), R López(1), MM Tártara(1), S Urbano(1), L Migliacci(1), P Verón(1)

(1) Cl Pueyrredón.

 

Presentación: Mujer, 20 años, antecedente de: Lupus; Fibromialgia; HIV(+); vacunación incompleta para SARS COV-2.

Ingresa a UTI por intenso dolor centrotorácico y disnea CF :III-IV . Presenta: bicitopenia.Troponina:186 . Se descarta TEP por angiotc. Sospecha de infección respiratoria SARS-COV 2 vs neumonía asociada a los cuidados de la salud. (internación 15 días previos tratamiento del dolor)

Se realizan : policultivos, HNF para Covid-19, inicia antibióticos empírico. Requiere: CAFO2.

HNF COVID-19: (+). Inicia: corticoides y Cánula Alto Flujo: Evoluciona con fiebre, excitación psicomotriz, taquiarritmia: fibrilación auricular alta pasaje con posterior parada cardio-respiratoria: maniobras de RCP avanzada. Recupera ritmo cardíaco .Evoluciona con disfunción orgánica múltiple y SDRA. Laboratorio:Descarta reactivación lúpica.

Datos+: TGO:2536. TGP:1807 ProBNP:12.221 Troponinas:2500 PCR:192

Ferritina 1650 DD 4500 LDH = 4000 Ac.láctico :135. ante sospecha de miocarditis se realiza ecocardiograma: hipoquinesia severa difusa, FEY : 25%. Tratamiento de sostén.

Lenta estabilización de los parámetros hemodinámicos y respiratorios. Con Ecocardiograma a los 15 días con notable mejoría: FEY: 48%, sin embargo desarrolla encefalopatía post anóxica, en tratamiento rehabilitación.

Discusión: La enfermedad por COVID-19 se asocia con múltiples complicaciones cardiovasculares. Estudios documentaron entre 7-17% de los pacientes hospitalizados presentaron injuria miocárdica aguda.

Conclusión: Existen varias hipótesis del mecanismos de injuria mio­cárdica asociadas a COVID-19, el diagnóstico se basa en la alta presunción diagnóstica y signos de miocarditis en los estudios complementarios. El compromiso cardiovascular se lo debe tener presente ,por la alta morbimortalidad asociada y la rápida evolución del cuadro.

 

 

 

 

0327   Comparación de calorimetría indirecta con el método de Fick para la estimación del gasto calórico en pacientes críticamente enfermos

SP Chapela(1), F Gutierrez(2), EJ Descotte(2), MJ Reberendo(2), ND Llobera(2), M Pozo(2), SP Chapela(2)

(1) Hospital Britanico. (2) Hospital Británico De Buenos Aires.

 

Introducción: La determinación del gasto calórico en los pacientes críticamente enfermos es fundamental para realizar el aporte nutricional adecuado. El método gold standard para la medición del gasto calórico es la calorimetría indirecta. En la práctica diaria es infrecuente su utilización y suelen usarse métodos alternativos para la estimación como el método de Fick.

Objetivos: Comparar el gasto calórico de pacientes crìticamente enfermos medido con calorimetría indirecta o con el método de Fick calculado con dos formas de medición del gasto cardiáco (no invasiva y mínimamente invasiva).

Métodos: Se incluyeron pacientes críticos en ventilación mecánica a los que se les realizó calorimetría indirecta, de acuerdo a indicación de los equipos tratantes. Simultáneamente se realizó un extracción sanguínea arterial y venosa y una medición del gasto cardiaco con ecografía transtorácica o con un método de monitoreo del gasto cardíaco mínimamente invasivo (EV1000 clinical platform, Edwards Lifescience, Irvine, Ca. USA) con lo que se realizó el cálculo del gasto calórico con el método de Fick.

Se realizó un análisis de correlación con el método de Pearson o Spearman y el método gráfico de Bland Altman para evaluar la concordancia.

Resultados: Se evaluaron 28 pacientes cuyas características basales se muestran en la tabla 1. No hubo correlación entre el gasto calórico medido por calorimetría indirecta y medido por monitoreo hemodinámico mínimamente invasivo en 15 pacientes críticamente enfermos y con ventilación mecánica (rho=-0.11, p=0.70). Tampoco hubo correlación entre el gasto calórico medido por calorimetría indirecta y medido por ecocardiografía en 16 pacientes(rho=-0.20, p=0.46).

Se realizó una evaluación gráfica con el método de Bland y Altman para ambas comparaciones observándose en ambos casos una baja concordancia con un error sistemático amplio y una dispersión de datos que supera los valores absolutos de gasto calórico medidos en los pacientes (gráfico 1).

Conclusión: En nuestra población de pacientes críticamente enfermos no existe adecuada concordancia entre el método Gold Standard de medición del gasto calórico con su cálculo utilizando el método de Fick con medición del gasto cardiaco con dispositivos no invasivos o mínimamente invasivos.

 

 

 

 

0328   Utilidad de la vena yugular interna para hemodiálisis de urgencia en pacientes ortopneicos

R Karatanasopuloz(1), MM Barraza(2),  Vidal, SA Gimenez Pedemonte(4), JC Florez(4), A Serruya(4), G Levy(4), L Gossen(4), MF Mendieta(4), C Joachin(4)

(1) Vidal. (2) J.r. (3) Vidal. (4) J R Vidal.

 

Introducción: En pacientes que requieren terapia de reemplazo renal la sobrecarga de volumen representa un cuadro grave; y en pacientes que no responden al tratamiento médico, se requiere hemodiálisis de urgencia con colocación de catéter doble lumen. Para ello la posición del paciente es crucial, optándose habitualmente por el decúbito dorsal. En muchos casos la misma no se puede adoptar por ortopnea por lo cual utilizamos la vena yugular interna por vía media con el paciente semisentado guiados por ecografía

Objetivos: Describir la utilidad del acceso a la vena yugular interna en posición semisentada obligada con guía ecográfica en aquellos pacientes que presentan ortopnea y requieren catéter doble lumen para la realización de hemodiálisis de urgencia

Materiales y Métodos: Se describe la técnica y complicaciones de los pacientes a los cuales se les colocó catéter doble lumen en la vena yugular interna por vía media en posición semisentada con guía ecográfica, con aguja perpendicular a la cama y el paciente a 45 grados, durante el periodo 1/1/2007 y el 1/1/22, Se incluyeron pacientes con insuficiencia renal aguda y edema pulmonar.

Discusión: Se analizó en total la realización de 100 accesos con esta técnica, la yugular derecha fue utilizada en 61 pacientes. Las complicaciones observadas fueron sangrado autolimitado del sitio de punción en 10 casos

Conclusión: El acceso a la vena yugular en posición semisentada con guía ecográfica es una alternativa útil para la colocación de catéteres para hemodiálisis en pacientes con urgencia dialítica y ortopnea

 

 

0329   PERICARDITIS PURULENTA POR STREPTOCOCCUS PNEUMONIAE EN PACIENTE CON COINFECCION POR VIRUS DE INMUNODEFICIENCIA ADQUIRIDA Y SARS COV-2: REPORTE DE UN CASO

M Galindo(1), P Saul(1), MDLM Nano(1), G Sandez(1), F Gil Zbiden(1), JM Fernandez(1), C Vargas(1), N Campagnucci(1), A Pacovich(1), ME Ibarra(1), E Cortez(1), P Velazquez(1), V Chediack(1), ER Cunto(1)

(1) Muñiz.

 

Introducción: La pericarditis purulenta es una entidad clínica poco frecuente en la era antibiótica (<1% de las pericarditis), generalmente secundaria a foco contiguo o por diseminación hematógena. El cuadro clínico es grave con tendencia al taponamiento cardiaco (40-70% de los casos) y alta morbimortalidad. En la actualidad el agente etiológico predominante es Staphylococcus aureus, menos frecuentemente el Streptococcus pneumoniae.

Caso clínico: Hombre de 29 años, hombre, infección por VIH de transmisión vertical sin tratamiento. Ingresa a terapia intensiva por shock séptico e infección COVID-19 crítico, requiriendo ventilación mecánica y vasopresores. Tomografía de tórax: imagen compatible con neumonía con derrame pleural derecho, lesión cavitada izquierda y derrame pericárdico. Ecocardiograma: derrame pericárdico grave con colapso derecho. Con diagnóstico de taponamiento cardiaco, se realiza pericardiocentesis percutánea obteniéndose liquido macroscópicamente purulento. Se inicia tratamiento antibiótico con imipenem, vancomicina y amikacina. Ecocardiograma, 24 horas posteriores: leve cantidad de líquido pericárdico, función sistólica conservada. Laboratorio: Tabla 1. Bacteriología: liquido pericárdico y hemocultivos: Streptococcus pneumoniae sensible penicilina, CIM: 0.25 µg/ ml. Se rota antibiótico a ceftriaxona. Se retira drenaje pericárdico al dia 7 sin reproducción del derrame. Intercurre con neumonía por Klebsiella pneumoniae, permanece aún internado.

Discusión: El paciente presenta una pericarditis purulenta por Streptococcus pneumoniae probablemente secundaria a la neumonía. El ecocardiograma pocus realizado por el intensivista permitió el diagnostico en tiempo real del taponamiento y rápido tratamiento.

La modalidad de drenaje pericardio optima no está bien definida, se prefiere la opción quirúrgica (mejor drenaje y disminución de evolución a pericarditis constrictiva).

Se debe descartar otras causas etiológicas como Staphylococcus aureus, otros Streptococcus y bacterias de lento crecimiento.

Conclusiones: La pericarditis purulenta es un cuadro inusual en la actualidad, pero es importante su diagnóstico precoz debido a la rápida evolución y tendencia al taponamiento pericárdico.

La mortalidad aun con tratamiento adecuado es elevada (2-20%)

Ante un paciente con clínica de sepsis y con imágenes sugestivas de derrame pericárdico se debe realizar pericardiocentesis para descartar este diagnóstico.

No hemos encontrado en la literatura la asociación de infección por VIH, SARS CoV-2 y pericarditis purulenta por Streptococcus pneumoniae.

 

 

 

 

0330   INGESTA SUBREPTICIA DE FUROSEMIDA: MANIFESTACIONES HIDROELECTROLITICAS Y DERMATOLOGICAS

DN Gauna(1), M Daniel(1), F Benavente(1), MP Etchemendi(1), A Dubin(1)

(1) Sanatorio Otamendi.

 

Introducción: El consumo de altas dosis de furosemida ha sido asociado a dano renal inflamatorio tanto agudo como crónico, siendo la “Nefritis Tubulointersticial”, el hallazgo anatomopatologico típico (1). Mucho menos conocida es la asociación del consumo de furosemida con lesiones cutáneas inflamatorias y recurrentes que remedan a la Porfiria Cutánea Tarda (Pseudoporfiria) (2).

Presentación de caso: Presentamos el caso de una paciente de 42 años con antecedentes de lesiones en piel (porfiria en estudio medicada con corticoides), hipotiroidismo, depresión y caídas frecuentes, que ingresó al Sanatorio por presentar debilidad muscular generalizada (progresiva en las últimas 72 hs) e hipokalemia severa (K En un reinterrogatorio dirigido se obtuvo información acerca de un consumo crónico de diuréticos sin prescripción médica de hasta 500 mg/d de furosemida.

Discusión: En este reporte se exponen las distintas manifestaciones clínicas e hidroelectrolíticas de la disfunción renal “tubular y glomerular” del paciente probablemente debidas al consumo crónico de furosemida: a) acidosis metabólica, hipo/hiperkalemia por compromiso de las porciones tubulares distales del nefrón, b) incapacidad para concentrar la orina secundaria a la afección de la médula renal y c) caída de la TFG por daño glomerular.

Conclusión: La búsqueda de drogas (diuréticos en este caso, tóxicos o laxantes entre otros) exhaustivo permitió avanzar con un diagnóstico adecuado en un paciente con trastornos hidroelectroliticos diversos y lesiones cutáneas que simulan una porfiria.

Referencias: 1) Park CW; Chronic tubulointerstitial nephritis and distal renal tubular acidosis in a patient with frusemide abuse. Nephrol Dial Transplant (2001) 16: 867-9.

2) Harber TL; Porphyria and Pseudoporphyria. The Journal of Investigative Dehmatology, 82:207-209, 1984

 

 

0331   Asociación entre hipocalcemia y progresión de lesiones hemorrágicas en pacientes con traumatismo de cráneo

L Corbalan(1), C Vignetta(1)

(1) Hospital Municipal De Urgencias - Córdoba.

 

Introducción: Las últimas evidencias científicas, podrían revelar una asociación entre la progresión de las lesiones hemorrágicas traumáticas y los bajos niveles de calcio de los pacientes que poseen estas lesiones. El presente estudio busca analizar esta asociación; y si los niveles bajos de calcio son un factor de riesgo en los cuadros coagulopaticos.

Material y métodos: Estudio retrospectivo, analítico. Incluyó pacientes ingresados con diagnóstico de traumatismo de cráneo, con edades entre 16-70 años. Se recolectaron datos demográficos y de los asociados al trauma; se registraron variables analíticas de laboratorio que hacen al estado de coagulación, niveles de calcio iónico al ingreso y 6 horas del trauma, se definieron tipo y volúmenes de lesiones hemorrágicas identificadas en tomografía de cerebro de ingreso y control, se determinó si existió un aumento de las mismas superior al 20%. La asociación entre las variables de estudio se efectuó mediante la prueba Chi Cuadrado y se definió el Riesgo Relativo.

Resultados: Se analizaron 167 pacientes, de los cuales 94 cumplían con los criterios de selección. La hipocalcemia se presentó en un 67% de los pacientes al ingreso y en un 51% en el control a las 6 horas. La progresión de la lesión hemorrágica traumática (PLHT) estuvo en un 43%. No existió una asociación estadísticamente significativa entre los niveles de Ca++ y la PLHT (significativa (X2 (1) = 0.45, p 0.5; V de Cramer de 0.022) (Imagen A). Los estados de hipocalcemia se asociaron a un riesgo más elevado de coagulopatía en estos pacientes (Odds Ratio 2.109 IC 95% 0.42 – 10.58) (Imagen B).

Conclusión: Niveles de Ca++ menores a 1.1 mmol/l al ingreso no se relacionaron con una progresión de las lesiones traumáticas hemorrágicas cerebrales. Existe un riesgo aumentado en el desarrollo de coagulopatía y niveles de Ca++ menores a 1.1 mmol/l, en las lesiones traumáticas hemorrágicas cerebrales.

 

 

 

 

0332   ATURDIMIENTO MIOCARDIACO NEUROGENICO EN UN PACIENTE CON SLPR. PRESENTACION DE UN CASO

M Martinez, LC Avila(1), EC Rodriguez(1)

(1) Instituto Medico Rio Cuarto.

 

Introducción: El aturdimiento miocárdico neurogénico se define como el daño y disfunción miocárdica en ausencia de enfermedad coronaria y que ocurre posterior a una injuria cerebral aguda como resultado del disbalance del sistema nervioso autónomo. Se puede presentar con cambios segmentarios en la pared del ventrículo izquierdo y elevación de los biomarcadores cardiacos, con recuperación ad integrum una vez resuelto el cuadro neurológico.

Presentamos un caso de aturdimiento miocárdico neurogénico por síndrome de leucoencefalopatia posterior reversible (SLPR).

Reporte de caso: Mujer de 33 años, hipotiroidea, ingresa por status epiléptico refractario a drogas de primera y segunda línea, en uti tratamiento con propofol, IOT y ARM, hemodinamicamente estable. A las 48hs, shock cardiogenico.

Lab: troponina: 4.12, cpk:304, cpk-mb:28, mioglobina: 31.3, acidosis metabólica hiperlactacidemica, ac lact: 2.5, gb: 23.700. PL: s/p

RMN cerebro: Imágenes hiperintensas en T2 y flair en sustancia blanca profunda, periventricular y en centro semiovales, sugestivas de leucoencefalopatia posterior reversible.

Ecocardiograma:-diámetros y espesores conservados.-hipomotilidad global, a predominio septal y anterior con función sistólica disminuida (fey:37%).-insuficiencia mitral leve.-disfunción diastólica del vi grado I.

ECG:taquicardia sinusal con trastornos de la reporalizacion inespecífico.

Dia 9: estabilidad hemodinámica, extubacion, sin signos de foco neurológico.

Ecocardiograma:-función sistólica global conservada.-disfunción diastólica del vi grado I.-fey:69%.

Día 11 alta sanatorial.

Discusión: La etiopatogenia del aturdimiento miocárdico neurogénico no está clara y podría obedecer a un fenómeno de isquemia miocárdica, con un fenómeno posterior de reperfusión, que produce liberación de radicales libres y activación de la cascada inflamatoria, que ocasiona una cardiomiodepresión o un fenómeno de citotoxicidad cardíaca directa.

La sospecha de una disfunción miocárdica en el contexto de paciente neurocritico, supone la necesidad de realizar un diagnóstico diferencial con: miocarditis, síndrome coronario agudo, takotsubo.

Conclusión: La disfunción miocárdica neurogénica es una patología infradiagnosticada en la práctica y que debe ser pensada como posible complicación en todos los pacientes neurocriticos. Su rápida instauración y desmejoria del paciente suman una alta morbimortalidad en ellos y puede ser minimizado con su diagnóstico oportuno que podemos realizar al incorporar la ecocardiografía realizada por los intensivistas a la cabecera de la cama de los pacientes.

 

 

 

 

0333   MANEJO DE ESTENOSIS TRAQUEAL EN PACIENTES COVID-19

M Singh(1), F Am(1), J Moreno(1)

(1) Sanatorio San Roque.

 

Introducción: La estenosis traqueal es consecuencia de un proceso producido por isquemia de la mucosa con cicatrización anormal que general distintos grados de obstrucción de via aérea. Es razonable pensar que los pacientes con Sindrome de Distres Respiratorio asociado a COVID19 pueden presentar mayor predisposición a estenosis traqueal porque requieren largos periodos de intubación y porque presentan múltiples comorbilidades con marcada tendencia a la inflamación tisular. El tratamiento suele ser controvertido e implica un trabajo multidisciplinario

Caso clínico: Paciente femenino de 36 antecedentes de diabetes tipo I, Hipertensión, Enfermedad Renal Crónica en Hemodiálisis, ingresa cursando neumonía bilateral por covid-19 con requerimiento de ARM con adecuada evolución se realiza extubación programada al 7mo día. Al 4 día postextubación, presenta disfonía, disnea súbita, tiraje, taquipnea, se constata por otorrinolaringologia parálisis de cuerdas vocales, se solicita Rx de cuello que constata estenosis traqueal severa circunferencial. Paciente evoluciona con requerimiento de ARM con tubo N5. Se realiza Laringoscopia directa, broncosopia, traqueoscopia directa terapéutica con extracción de granulomas y dilatación traqueal e intubación con tubo N7. Se realiza tratamiento con corticoides por 72 hs y extubación programada. Paciente con adecuada evolución actualmente bajo tratamiento con fonoaudiología.

Discusión: La estenosis laringotraqueal posterior a procedimientos como intubación prolongada en genera es más frecuente en pacientes con múltiples patologías. Se calcula que se produce en aproximadamente el 5-20% de los pacientes intubados o traqueostomizados. Un 1% de los casos conllevan disfunción respiratoria severa. El COVID-19 está estrechamente relacionado con síndrome de respuesta inflamatoria sistémica, falla orgánica y sepsis; aumentando la mortalidad y la probabilidad de producir estenosis traqueal independiente del periodo que dure el procedimiento.

Conclusión: El síndrome insuficiencia respiratoria por estenosis traqueal es una entidad poco frecuente, condicionada por enfermedades de base y patologías proinflamatorias. El tratamiento depende de la presentación clínica, si es una emergencia o no y el aspecto de la lesión. La broncoscopia terapéutica ha modificado de forma sustancial el manejo de este tipo de enfermedades, y llega a desplazar a la cirugía en determinados casos. En combinación con un tratamiento médico farmacológico. Es necesario realizar prevención para evitar un desenlace fatal.

 

 

 

 

0334   TERAPIA DE REEMPLAZO RENAL CONTINUA DE PACIENTES CRITICOS EN PANDEMIA

R Gregori Sabelli(1), C Dominguez(1), Y Lamberto(1), P Saul(1), V Fernandez Abello(1), J Fernandez(1), A Bocassi(1), E Cortez(1), L Doldan(1), O Ortuño Cerezo(1), S Caceres(1), C Vargas(1), N Chacon(1), V Chediack(1), E Cunto(1)

(1) Muñiz.

 

Introducción: La lesión renal aguda (LRA) es una complicación grave y frecuente en la terapia intensiva (TI). Las terapias de reemplazo renal continuas (TRRC) son utilizadas hasta en un 10% en el paciente crítico.

Objetivos: Analizar el impacto en la mortalidad en el inicio de TRRC en base a la duración de la oliguria en pacientes críticos COVID -19 positivo (COV+) y negativo (COV -)

Material y Método: Estudio observacional, descriptivo, retrospectivo, caso-control. Se evaluaron 43 pacientes críticos (enero 2021/ julio 2022) con lesión renal aguda según clasificación KDIGO con indicación de TRRC.

N=43, 18 pacientes COV + / 25 pacientes COV -

La estadística descriptiva usó porcentaje (%), media (M), rango (mínimo-máximo).

Se evaluó la relación entre el inicio de TRRC en base a la duración de la oliguria (≤ o > a 24 horas), evolución desfavorable y mortalidad mediante prueba de Chi2. Se consideró significativo una p ≤ 0,05, se evaluó Odds ratio (OR) e IC95%.

Resultados:

Pacientes COV +

Con TRRC n= 18 (hombres 16). Edad (M) 60 (35-77) años. Ventilación mecánica (VM) 17 pacientes (94%). Óbito 14 pacientes (77%). El inicio de TRRC con oliguria ≤ 24 horas 10 pacientes (55%) y con > de 24 horas 8 pacientes (44%).

Pacientes COV –

Con TRRC n= 25 (varones 19). Edad (M) 47 años (23-93 años), VM 19 pacientes (76%). Óbito 13 pacientes (48%).

El inicio de TRRC con oliguria ≤ 24 horas 14 pacientes (56%) y > 24 horas 11 pacientes (44%).

La mortalidad global de los pacientes con TRRC dentro de las 24 horas de desarrollada la oliguria fue de 40% (11 pacientes) cuando se inició luego de las 24 horas fue de 64% (16 pacientes) OR=0,16 IC 0,03-0,69 p 0,02. Comparando pacientes COV + y COV - no se evidenció p significativa en relación al inicio temprano de TRRC y mortalidad.

Conclusiones: Nuestra experiencia en el inicio de TRRC ≤ a 24 horas de oliguria podría resultar beneficioso ya que evidenció menor mortalidad.

En la literatura publicada la asociación COVID-19 y LRA es un factor predictor importante de progresión a VM y mortalidad, en nuestra serie este hecho no fue estadísticamente significativo.

 

 

 

 

0335   Donación en asistolia controlada en un hospital público de Argentina. Serie de casos

MR Domanico(1), DA Rodriguez(1), E Duarte(1), P Centeno(1), M Anchorena(1), M Petre(1), X Benavente(1), J ángulo(1), R Canelon(1), D Ortega Rodriguez(1), E Montiel(1), G Duca

(1) Hospital De Alta Complejidad Del Bicentenario De Esteban Echeverría.

 

Introducción: La disponibilidad de órganos para trasplante es una problemática en Argentina. En Estados Unidos la donación en asistolia (DA) representa el 10% de todos los donantes, mientras que en Argentina esta modalidad es escasa y muchas veces desconocida. El objetivo del presente estudio es describir una serie de cinco donantes renales bajo un programa de donación en asistolia controlada (DAC) Maastricht III. Secundariamente describir el seguimiento a corto plazo de los receptores.

Materiales y métodos: Estudio observacional, descriptivo de tipo serie de casos llevado a cabo en el Hospital de Alta complejidad del Bicentenario Esteban Echeverría. Los datos se recolectaron del Sistema Nacional de Información de Procuración y Trasplante de la República Argentina (SINTRA) y de la historia clínica electrónica de la institución. Se incluyeron donantes renales bajo un programa DAC Maastricht III (ver Figura 1) entre Julio de 2021 y Agosto de 2022. Se describen variables clínico-demográficas y de resultado tanto de los donantes como de los receptores. Se realizó un análisis estadístico de tipo descriptivo.

Resultados: Cumplieron los criterios de elegibilidad 5 donantes de los cuales 4 fueron efectivos. Siete pacientes recibieron trasplante renal. En la tabla 1 se encuentran las características clínico-demográficas y de resultados de los donantes y receptores.

Conclusión: Se describió una serie de cinco casos de donantes renales bajo asistolia controlada lo que evidencia que la misma es una estrategia posible para el trasplante en la Argentina. A su vez se describió el seguimiento a corto plazo de los pacientes trasplantados.

 

 

 

 

0336   COMPLICACION POCO FRECUENTE Y POTENCIALMENTE GRAVE EN PROCESOS INFLAMATORIOS INTRAABDOMINALES: PILEFLEBITIS. REPORTE DE CASO

LC Avila(1), M Martinez(1), G Abrile(1), E Rodriguez(1)

(1) Instituto Medico Rio Cuarto.

 

Introducción: La pileflebitis es la trombosis séptica de la vena porta o sus ramas, por procesos infecciosos intraabdominales en su área de drenaje.

Al diagnóstico se llega por sospecha clínica y pruebas de imagen, principalmente TAC. La complicación deriva de la trombosis y la diseminación de émbolos sépticos que llevan a isquemias y abscesos de sus afluentes, entorpeciendo la evolución clínica. Es una complicación infrecuente con elevada tasa de morbimortalidad.

Presentación del caso: Paciente masculino de 66 años, HTA, obeso, presenta 9 días de dolor abdominal y fiebre. TAC de abdomen apendicitis gangrenosa con alteración de los planos grasos adyacentes y engrosamiento de la fascia parietocolica. Se realiza Apendicectomia

Día 3 pop continua con dolor en flanco y FID, equimosis en pared abdominal, en TAC se observa: hemoperitoneo perihepatico, esplenomegalia con infarto esplénico.

Día 5: febril persistente, nueva TAC: trombosis parcial de la vena porta y completa de la mesentérica superior, liquido libre en espacio de Morrison. Se realiza laparoscopia terapéutica + oomentectomia con aspiración de sangre y coágulos. Se inicia con enoxaparina anticoagulante.

Día 7: evoluciona torpidamente con falla respiratoria y SIRSS, por lo que se decide ingreso a UTI. EAB: 7.45, 30.2, 57.1, 20.6, -2.6, 90.6. APACHE II: 13, SOFA: 3. Hemocultivos y urocultivo.

Se rotan atb.

Resultados de cultivos negativos

Luego de 13 días de internación se decide alta sanatorial, continuando con anticoagulación y antibióticos.

Discusión: La pileflebitis es un proceso infeccioso intraabdominal, sus causas principales son diverticulitis aguda y apendicitis. El proceso infeccioso se extiende a través de ramas mesentéricas periféricas alterando el endotelio vascular y provocando la aparición de trombosis. Si el proceso supurativo se extiende se forman abscesos.

Conclusión: Es una complicación a contemplar que puede empeorar la evolución del paciente, es necesario implementar imágenes para alcanzar un diagnóstico. El tratamiento consiste en antibioticoterapia de amplio espectro durante un mínimo de 4 semanas. La anticoagulacion es controvertida, siendo recomendable ante pileflebitis extensa, como en este caso, con oclusión venosa mesentérica.

 

 

 

 

0338   TROMBOSIS VENOSA CEREBRAL UN RETO DIAGNÓSTICO Y TERAPÉUTICO. REPORTE DE CASO

CSA Cieri(1), C Lopez(1), M Vera(1), D Aldunate(1), G Chiarolla(1), S Santarelli(1), G Fernandez(1), H Vitale(1), A Ontiveros(1), A Sabrina(1)

(1) Hospital Central.

 

Introducción: La trombosis venosa cerebral representa el 0,5% al 1% de los ACV según bibliografía consultada. Afecta con mayor frecuencia a jóvenes con factores de riesgo congénitos o adquiridos. Se presenta con crisis convulsivas, cefalea, signos de foco neurológico y papiledema. El diagnóstico se confirma con Angio Tomografía axial computarizada (TAC) y Resonancia magnética nuclear (RMN) cerebral. El pronóstico suele ser bueno en cuanto a morbimortalidad

Caso clínico: Femenino. 45 años. Antecedentes: Trombosis venosa profunda miembro superior derecho 2011. Padre: síndrome antifosfolipídico. Hermano: trombofilia. Consulta en guardia por Cefalea holocraneana de 96hs y afasia de expresión. TAC de cerebro sin lesiones, punción lumbar sin particularidades. Agrega hemiplejia Facio-baquio crural derecha y convulsión. Glasgow 10/15. AngioTAC: Hematoma cortico-subcortical frontal izquierdo con hipo densidad de sustancia blanca peri-lesional. Serie venosa: defecto de llenado en topografía del sector medio del seno sagital superior, compatible con trombosis venosa confirmada por Angio- RMN. Laboratorio: Déficit de proteína S. Diagnóstico: Trombosis de seno sagital superior, infarto venoso con transformación hemorrágica, en contexto de déficit de Proteína S. Inicia anticoagulación, medidas anti-edema cerebral. Evoluciona favorablemente.

Discusión: De acuerdo con el Estudio Internacional sobre Trombosis Venosa Cerebral y de senos durales (ISCVT) el 34% de los casos tenían enfermedad protrombotica adquirida o hereditaria. Se recomiendan angiografía por sustracción digital y venografía por Tomografía como alternativas a la Venografía por Resonancia Magnética (Gold Standard) con nivel de evidencia bajo. El tratamiento se basa en Anticoagulación (IIAB).

Las trombofilias hereditarias, presentan eventos recurrentes en ausencia de anticoagulación; 19 % a los 2 años, 40 % a los 5 años y 55 % a los 10 años. Para pacientes con Trombosis venosa cerebral recurrente o primer evento con trombofilia grave, se puede considerar la anticoagulación indefinida con un RIN objetivo de 2 a 3 (C IIB).

Conclusión: Debido a la baja incidencia, diversidad de factores de riesgo y formas de presentación, sumado a la escasez bibliográfica; se debe sospechar esta patología en mujeres jóvenes con sintomatología neurológica aguda, para lograr diagnóstico y tratamiento temprano.

 

 

 

 

0339   TRASPLANTE HEPATICO (TxH) EN HÍGADO GRASO AGUDO DEL EMBARAZO (AFLP). REPORTE DE CASO

F Molina(1), L Perez(1), L Ojeda(1), L Haddad(1), M Acebo(1), D Otalora(1), G Tuhay(1), C Ballesteros(1), G Pantoja(1), F Klein(1)

(1) Fundacion Favaloro.

 

Introducción: El hígado graso agudo del embarazo (AFLP) es una enfermedad rara que se presenta durante el tercer trimestre de gestación. Su prevalencia es 1/10.000-15.000 nacimientos. La mortalidad reportada es de 20%. En raras ocasiones se presenta Insuficiencia Hepática Aguda (IHA).

Reporte de caso: Paciente de 25 años G1P1A0C0. El día1 ingresó a otra institución, en trabajo de parto con embarazo 34 semanas, evolucionando con IHA (Ver Tabla 1) agregando deterioro del sensorio en 24 horas. El día 2 fue derivada a nuestra institución, bajo requerimiento de vasopresores, intubada, evolucionando con disfunción multiorgánica (Hepática, renal, hematológica, hemodinámica, neurológica, Score APACHEII 26/35%). Con diagnóstico de IHA, cumpliendo criterios Kings College no paracetamol se evalúa y coloca en lista de espera en emergencia para TxH. Durante el monitoreo neuro intensivo se realizó eco doppler transcraneal con un índice 1,6 y un diámetro de la vaina del nervio óptico: 6.5mm, TAC encéfalo sin sangrado, con medición inicial de cateter de PIC: 9mmHg (Intraparenquimatoso). El día 3 se realizó trasplante hepático técnica Piggy-Back, evolucionando con PIC: mayores a 30mmHg por más de 5 minutos, con imágenes compatibles con leuco encefalopatía posterior reversible (PRES) (Ver figura 1), indicándose craniectomía descompresiva bifrontal (Durotomia de descarga superficial), controlando hipertensión endocraneana (HTE). El día 5 ante buena evolución clínica se extuba y retira cateter de PIC, pasando el día 9 a sala general, con posterior egreso el día 20.

Discusión: El AFLP es una patología poco frecuente que generalmente resuelve tras el parto. En nuestro caso, evoluciono con IHA y sus complicaciones, siendo la más grave el edema cerebral e HTE. Se confirmó el diagnostico con estudio anatomopatológico de órgano trasplantado de AFLP (Ver figura 1).

Conclusión: En el AFPL con IHA resulta imprescindible disponer de la opción terapéutica del TxH. La descripción de evolución del caso enfatiza la necesidad de apelar al monitoreo neurointensivo multimodal para el manejo pretrasplante y el seguimiento de sus complicaciones.

 

 

 

 

0340   SINDROME DE HIPERVISCOSIDAD EN PACIENTE CON  MACROGLOBULINEMIA DE WALDESTROM

A Gira(1), F Monsalve(1), R Almanza(1), A Perez De Andes(1), C Steer(1), P Pratesi(1), G Mast(1)

(1) Universitario Austral.

 

Introducción: El Sindrome de hiperviscodad caracterizado por tríada clásica: sangrado y alteraciones visuales y neurológicas asociado a valores de Inmunoglobulinas >6000 mg/dl. Su incidencia en pacientes con Macroglobulinemia de Walsdestrom es del 14%.

La viscosidad sanguínea normal es <1,5 mPa con > 4 MPa aparecen sintomas. No se debería solicitar medición de viscosidad con Inmunoglobulinas < 4000 mg/dl.

La viscosidad es mayor en vénulas provocando sangrados: epistaxis, gingivorragia, hemorragias retinianas y el estancamiento de sangre en vénulas cocleares provoca pérdida auditiva y síntomas vestibulares y somnolencia, convulsiones, ataxia y coma.

Uso de plasmaferesis, Una sesión puede reducir Inmunoglobulinas hasta un 60%. Su indicación se basa más en los signos y síntomas. Es útil medir niveles de proteínas antes y después de cada sesión

Reporte de caso: Masculino de 64 años, ante decentes de Síndrome Mielo proliferativo, Macroglobulinemia de Waldestrom : 2 meses previos presenta hipercalcemia e IgM 8460 mg/dl con fondo de ojo normal, realiza corticoterapia mas hidratación.

Ingresa por guardia por fiebre y dolor en sitio de punción (PBMO 48 hs previas), se realiza RM de pelvis con edema en TCS , IgM 7910 mg/dl inicia antimicrobianos, ingresa a UCI por Insuficiencia ventilatoria, coagulopatia y falla renal e Hipoacusia bilateral súbita más somnolencia, fondo de ojo con hemorragias en llama, realiza 4 sesiones de plasmaferesis, curva diaria de IgM: 9460, 7910, 5340, 4617,3880 mg/dl revierte síntomas y pasa a clínica médica.

Discusión: En nuestro caso el paciente presento clínica y laboratorio compatible con síndrome de hiperviscosidad y posterior a la 4 sesion de plasmaferesis revierte en forma completa los síntomas, se realizo curva de dosaje de IgM y no se solicitó medición de Viscosidad sanguínea

Conclusión: Si bien el diagnóstico es determinado por la medición de la viscosidad sanguínea, la decisión de iniciar un tratamiento se basa en la clínica del paciente. Se trata de una emergencia médica y el tratamiento con plasmaféresis deber ser iniciado lo antes posible.

 

 

0342   Aplicación de POCUS en la reanimación del paciente con inestabilidad hemodinámica en la Terapia Intensiva. Reporte de Caso

J Bernachea(1), V Giménez(1), L Gamarra(1), J Martinez(1), L Ojeda(1), C Mizdraji(1), S Lazzeri(1), E Alfonso(1), H álvarez(1), L Costa(1), C Pisarello(1), L Huespe(1), K Velazco(1), L Solis(1), M Gonzalez

(1) Hospital Escuela General Jose Francisco De San Martin.

 

Introducción: La Ultrasonografía y el concepto POCUS, se ha convertido en una de las herramientas diagnósticas, siendo importante para la valoración hemodinámica en los pacientes críticos.

Presentación del caso: Paciente femenina de 67 años, hipertensa. El día 20/08/22 ingresa en emergencias por trastorno del sensorio (GSC 12/15). Signos vitales: TA 100/80, FC 53, FR 17, SatO2 97%. Se realiza TC de cerebro que evidencia lesión hipodensa en territorio de arteria cerebral media, y TC de tórax que evidencia derrame pericárdico. Evoluciona posteriormente con deterioro neurológico (GSC 3/15), secundario a inestabilidad hemodinámica (TA 70/40 mmHg), por lo que se decide su intubación y reanimación con fluidos. Ingresa a UCI bajo analgosedación, presentando signos clínicos de hipoperfusión (palidez cutánea, relleno capilar > 4 segundos, pulsos periféricos irregulares). Se aplica Protocolo RUSH por sospecha de taponamiento cardíaco, observándose derrame pericárdico moderado, sin colapso de cavidades derecha y desvío del tabique interventricular, con evidencia latidos asincrónicos. Se realiza ECG que informa ritmo irregular sin evidencia de ondas P. Se asume como fibrilación auricular de alta respuesta ventricular. Se inicia cardioversión farmacológica con dosis de carga y mantenimiento de amiodarona, revirtiendo a ritmo sinusal, con posterior estabilidad hemodinámica. El día 21/08/22 se extuba, siendo dada de alta el 22/08/22.

Discusión: La utilidad del ultrasonido rápido para shock en las UCI ha sido ampliamente demostrada.

Conclusión: Nuestro caso permite destacar Importancia de la ultrasonografía para el manejo de la inestabilidad hemodinámica en el paciente critico.

 

 

 

 

0344   IMPACTO EN LA   IMPLEMENTACIÓN DE ESTRATEGIAS DE ENFERMERIA PARA OBTENER UN VOLUMEN CALÓRICO ADECUADO EN EL PACIENTE CRÍTICO

G Rodriguez(1), N Palacios(1), M Lamas(1), P Balceda(1), V Gallardo(1), G Cruz(1), M Balceda(1), P Baez(1), O Lopez(1), V Limon(1), C Tintilay(1), D Sajama(1), D Crespo(1)

(1) Pablo Soria.

 

Introducción: Como Personal de Salud, nos encontramos con personas en diferentes situaciones vulnerables, y esto aumenta si el paciente es ingresado en la Unidad de Terapia Intensiva. Brindamos cuidados específicos de acuerdo a la patología del paciente, en ocasiones dejamos en segundo plano su cuidado integral, esto incluye el adecuado aporte nutricional. El paciente crítico suele presentar una respuesta inflamatoria exacerbada posterior a un daño, que lo conduce a una situación de estrés metabólico acompañada de un catabolismo proteico, como sabemos el hipercatabolismo producen modificaciones importantes en el requerimiento energético del paciente, dejando como resultado potenciales riesgos de adquirir complicaciones.

El deterioro nutricional que sufren los pacientes críticos va más allá de su estado nutricional previa a su admisión y el deterioro es más pronunciado en pacientes con falla multiorgánica. Además, existen factores intrínsecos como extrínsecos que inciden en su desnutrición, como el aporte nutricional limitado por su inestabilidad hemodinámica, patologías que alteren su estado nutricional actual, o por presentar interrupciones frecuentes en la administración disminuyendo el aporte calórico.

Al ser profesionales de la salud con capacidad ética, científica y técnica debemos brindar un aporte nutricional adecuado, oportuno y eficaz. Valorando, vigilando y previniendo posibles complicaciones metabólicas; infecciosas; mecánicas y gastrointestinales.

Objetivos: Implementar estrategias útiles y eficaces para que el paciente logre recibir soporte nutricional suficiente, en cuanto a valor calórico y proteico, durante su internación.

Método: Se realizó un estudio de diseño descriptivo cuantitativo durante seis meses, la muestra fue consecutiva.

Material: Registro de observación al personal de enfermería en la implementación de la herramienta de monitoreo en la administración de alimentación enteral

Conclusión: Este trabajo nos permitió elaborar e implementar herramientas de monitoreo de las cuales se obtuvieron datos específicos/relevantes. Y la capacitación del personal de enfermería sobre la importancia del aporte total calórico-proteico en el paciente, los cuales tuvieron una adherencia progresiva como también se vio reflejado la administración adecuada y requerida en cada caso, logrando alcanzar el aporte calórico previamente establecido por los Nutricionistas.

 

 

 

0345   SÍNDROME NEUROLÉPTICO MALIGNO. REPORTE DE CASO CLÍNICO

L Ruarte(1), L Morales(1), M Garcia(1), P Taborda(1), J Ortega(1), A Quinteros(1), S Rojas(1), C Ferreyra(1), D Carranza(1), N Bonetto(1), S Carrizo(1), J Celia(1), M Ruiz(1), M Buemo(1)

(1) Regional Victor Sanguinetti.

 

Introducción: El Síndrome Neuroléptico Maligno (SNM) es una urgencia médica de baja incidencia, asociado al uso de fármacos antipsicóticos principalmente. Se manifiesta con hipertermia, trastornos autonómicos, alteración muscular y del estado de conciencia. Sin tratamiento la mortalidad es del 4-10%.

Presentación del caso: Masculino de 20 años, con diagnóstico de TEC grave con hematoma extradural, ingresa UTI postdrenaje quirúrgico. Evoluciona favorablemente pero intercurre con delirio activo durante el proceso de weaning, se inicia haloperidol 40 mg/día, con escasa respuesta incrementándose hasta dosis 60 mg/día. Se extuba sin complicaciones; paciente se mantiene con Glasgow 14/15,alternando episodios de excitación psicomotriz y síndrome confusional, por lo que se asocia clorpromazina50 mg día por 24hs. Al quinto día de internación presenta fiebre, se cultiva e inicia ATB empírico cubriendo foco meníngeo y respiratorio. Sin rescate de gérmen en cultivos. Evoluciona con rigidez muscular, mioclonías, fiebre persistente hasta 41°C e incremento de transaminasas y CPK. Requiere reintubación por deterioro del sensorio. Con diagnóstico presuntivo de nueva infección, disautonomía y status convulsivo, se suspende neuroléptico, se modifica esquema ATB y se instaura tratamiento anticomicial sin respuesta. Se plantea como diagnóstico presuntivo Síndrome Neuroléptico Maligno, iniciando tratamiento con dantroleno y amantadina. Mejora paulatinamente los síntomas a las 48hs, se mantiene afebril, recupera status neurológico, logrando su extubación luego de 4 días.

Discusión: La baja incidencia pero alta mortalidad de este síndrome, hacen pertinente la sospecha del mismo sobre la base de los hallazgos clínicos. Las manifestaciones tempranas, tales como los cambios del estado mental, pueden pasar desapercibidas. Deberán considerarse factores predisponentes como sexo masculino, condición fisiológica previa y fármacos empleados. También evaluar estudios complementarios que orienten el diagnóstico y descartar otras patologías.

Conclusión: Se estableció diagnóstico de SNM secundario a la administración de neurolépticos por clínica y la respuesta al tratamiento insaturado. El abordaje temprano del síndrome y la intervención oportuna con medidas de sostén y farmacológicas fue determinante para la resolución, evitando complicaciones que pudieran comprometer la vida. Así mismo, nos permitió desarrollar un protocolo de la patología para nuestra unidad, y revisar el uso de estos fármacos.

 

 

0346   EVOLUCIÓN DE PACIENTES TRAQUEOSTOMIZADOS COVID  Y NO COVID

F Amieva(1), G Ramos(1), V Picolla(2), R Fiorentino(1), N Arias(1), A Carusso(1), A Enrique(1), R Mattei(1), E Soler(1), M Ducassa(1), M Salazar(1), B Paula(1), B Melanie(1), C Carlos(1)

(1) Cosme Argerich. (2) Cosme Argericg.

 

Introducción: La traqueostomía es una importante intervención terapéutica en terapia intensiva, especialmente para pacientes con requerimiento de asistencia respiratoria prolongada. La pandemia por COVID-19 supuso un desafío por el incremento de pacientes con requerimiento de este procedimiento y los riesgos asociados a los mismos. Realizamos el estudio en la segunda ola de la pandemia en la que se estandarizó el protocolo, de manera de poder comparar los resultados entre pacientes COVID y no-COVID.

Materiales y métodos: Estudio retrospectivo de pacientes traqueostomizados en terapia intensiva (12 meses) en el período 2021-2022 (Junio-Mayo). Se subdividieron en 2 grupos: COVID y no-COVID.

Se consideró significativa una P < 0.05.

Presentación del caso: Durante el periodo analizado ingresaron 602 pacientes. El 53.1% (302) requirieron ARM y el 14.8% (89) traqueostomía. El 30.3%(27) correspondiente a pacientes COVID y 69.6% (62) a pacientes con otras patologías. El 41% (27) de los COVID en ARM requirió TQT vs 24.9% (62) de los no-COVID (p <0.01). No hubo diferencias de edad y género entre ambos grupos. La edad avanzada se asoció con mayor mortalidad (48.6 ±15.4 vs 61.3 ±15.1 años, p<0.01). La traqueostomía más temprana en los no-COVID se asoció a menor mortalidad (14.7 ±5.7 vs 17.4 ±4.5, p=0.02).Fueron externados y decanulados 22% (6) vs 27.4 (17), desvinculados no decanulados 7.4% (2) vs 27.4% (17), en COVID y no-COVID respectivamente. La desvinculación de ARM fue 29.6% (8) en COVID y 54% (34) en no-COVID (p 0.02).

Discusión: El porcentaje de pacientes en ARM que requirieron traqueostomía (15%) fue similar a la reportada en la bibliografía, pero significativamente mayor en el grupo de pacientes Covid (41%). La traqueostomía más temprana en pacientes no-COVID significó un porcentaje mayor de desvinculación del respirador y de decanulación (22%). Pudiendo estar relacionado con la mas lenta resolución de la afección respiratoria y por lo tanto a la debilidad adquirida durante la asistencia ventilatoria. La mortalidad global fue del 47%, siendo mayor en el grupo COVID sin diferencia significativa. La edad avanzada se asoció significativamente a mayor mortalidad.

Conclusión: Los pacientes con insuficiencia respiratoria por COVID tuvieron mayor requerimiento de traqueostomías, mayor mortalidad y dependencia a la asistencia respiratoria mecánica.

 

 

0347   DISECCIÓN DE ARTERIA PULMONAR ASOCIADO A FIBROSIS PULMONAR IDIOPATICA

M Singh(1), F Am(1), J Moreno(1), R Santillan(1), S Gerez(1), DA Mariana(1), N Orosco(1), F Enriquez(1), L Panozo(1), A Jove(1), J Salvadores(1)

(1) Sanatorio San Roque.

 

Introducción: La disección de arteria pulmonar es una complicación extremadamente rara y generalmente letal asociada a la hipertensión pulmonar crónica. Según Senbaklavaci el primer caso clínico fue presentado post-mortem en 1862 por Walshe. Generalmente se diagnostica en un examen post mortem, sin embargo, informes aislados recientes han descrito disección de la arteria pulmonar en pacientes sobrevivientes que presentaban solo dolor torácico disnea.

Caso clínico: Paciente masculino de 81 años, antecedentes: Fibrosis pulmonar idiopática diagnosticada en 2021 agosto, en tratamiento con Pirfenidona 850 mg dia ingresa cursando disnea progresiva GIV, astenia sudoración profusa, malestar general cursando neumonía bilateral con requerimiento de ARM/VNI con adecuada evolución se realiza tratamiento antibiótico empírico para Neumonía de Comunidad, al 3 dia de internación con mejoría clínica en plan de pase a sala. El 4to día de internación en Terapia Intensiva evoluciona con descompensación súbita requerimiento de ARM/VNI se realiza AngioTAC donde se observa disección de la rama ascendente y descendente correspondientes a la arteria pulmonar izquierda (arteria lobar superior y arteria lobar inferior izquierda). Paciente en plan de ingreso a hemodinamia fallece posterior al diagnóstico.

Discusión: La disección de la arteria pulmonar se considera una entidad rara con una mortalidad muy elevada. Las principales causas subyacentes son hipertensión pulmonar y las cardiopatías, tanto congénitas como adquiridas. Las presentaciones clínicas más frecuentes son disnea y dolor torácico. En este caso la fibrosis pulmonar idiopática desencadena hipertensión pulmonar severa que asociada a insuficiencia respiratoria que se manifiesta como shock cardiogenico produciendo el deceso del paciente.

Conclusión: La disección de la arteria pulmonar es un suceso raro que se presenta por igual en ambos sexos con un rango etario amplio con un pico de incidencia entre la cuarta y séptima década de la vida. Las causas pueden ser múltiples como cardiopatías congénitas en los jóvenes, mientras que en la edad avanzada las enfermedades respiratorias, inflamatorias como autoinmunes pueden producir la disección. Dentro de las manifestaciones clínicas más frecuentes se encuentra el dolor precordial y la disnea. El tratamiento debe individualizarse según el paciente pudiendo requerir tratamiento medico, reconstrucción quirúrgica o trasplante cardiopulmonar, con una alta mortalidad.

 

 

 

 

0349   Análisis epidemiológico de los pacientes ingresados a la Terapia Intensiva del Complejo Medico Policial Churruca-Visca por neumonía por COVID-19

A Feldman(1), J Aguirre(1), C Lopez(1), D Varela(1), M Aliaga(1), S Tomez(1), B Daglio(1), M Lompinzano(1), S Fredes(1), N Tiribelli(1), D Quaranta(1)

(1) Churruca.

 

Introducción: La enfermedad por (COVID-19), ha causado una pandemia mundial con más de 6,7 millones infecciones y 390 000 muertes al 5 de junio de 2020.

Objetivo: Describir la epidemiología de los pacientes ingresados a la Unidad de Terapia Intensiva con diagnóstico de neumonía por COVID-19.

Material y métodos: Estudio descriptivo, retrospectivo y observacional de pacientes >15 años de edad ingresados a UTI con diagnóstico de COVID-19 confirmado por RT-PCR desde enero del 2021 hasta agosto del 2021.Las variables registradas: edad, sexo, escores de gravedad, síntomas, fallas orgánicas, ventilación mecánica (VM), días de estadía y mortalidad. Los datos se presentan como media ± DE, mediana + RI y porcentajes %.

Resultados: Ingresaron a UTI 190 pacientes con neumonía con COVID-19. Requirieron ARM 155 (81 %) por más de 24 hs, de los cuales 56 (36%) requirieron tocilizumab. La edad fue de 64±12 y el 68 % hombres. El APACHE II 14±8 con riesgo de mortalidad del 53 %, el SOFA 4 ± 2. Los síntomas fueron: fiebre 129 (68%), tos 123 (65%), disnea 40 (21%). Los factores de riesgo HTA 80 (42%), obesidad 74 (39%), diabetes 38 (20 %), EPOC 8 (4%). Al ingreso se observó shock en el 133 (70 %) y 165 (87 %) desarrollo SDRA. De los 45 pacientes que no requirieron ARM, 12 (22%) recibieron cánula de alto flujo (CAF) y mascara reservorio 23 (43%). Se realizaron traqueostomías percutáneas (TQTP) 91 (48%) pacientes, días a TQTP 15 [RI 8-20]. La PAFI de ingreso 112 [110-180], decúbito prono 114 [60%]. Complicaciones: shock séptico 114 (60%), fallo renal 38 (20%), neumotórax 19 (10%), fistula traqueo-esofágica 3 (6%). Los días de VM 12 [RI 8-15] y días de estadía en UTI 16 [9-20], la mortalidad global fue del 58 % y la mortalidad en pacientes con tocilizumab fue de 48 % (p=menor a 0.05).

Conclusión: Nuestra población muestra predominio en pacientes en edad media y sexo masculino, con scores de gravedad elevados. La mortalidad observada en pacientes que recibieron tocilizumab fue más baja.

 

 

0350   Tocilizumab en el tratamiento de pacientes con Neumonía por COVID-19 ingresados a la Terapia Intensiva del Complejo Medico Policial Churruca-Visca

A Feldman(1), J Aguirre(1), C Lopez(1), D Varela(1), M Aliaga(1), S Tomez(1), B Daglio(1), M Lompinzano(1), S Fredes(1), N Tiribelli(1), C Benay(1), D Quaranta(1)

(1) Churruca.

 

Introducción: El tocilizumab es un anticuerpo monoclonal capaz de bloquear el efecto de la interleucina (IL) 6

Objetivo: Describir la epidemiología de los pacientes ingresados a la Unidad de Terapia Intensiva con diagnóstico de neumonía por COVID-19 que requirieron Tocilizumab

Material y métodos: Estudio descriptivo, retrospectivo y observacional de pacientes >15 años de edad ingresados a UTI con diagnóstico de COVID-19 confirmado por RT-PCR desde enero del 2021 hasta agosto del 2021.Las variables registradas: edad, sexo, escores de gravedad, síntomas, fallas orgánicas, ventilación mecánica (VM), días de estadía y mortalidad. Los datos se presentan como media ± DE, mediana + RI y porcentajes %.

Resultados: Ingresaron a UTI 190 pacientes con neumonía con COVID-19. Requirieron ARM 155 (81 %) por más de 24 hs, de los cuales 56 (36%) fueron tratados con tocilizumab. La edad fue de 60±12 y el 68 % hombres. El APACHE II 14±8 con riesgo de mortalidad del 53 %, el SOFA 4 ± 2 Los pacientes que requirieron tocilizumab fueron más jóvenes (media, 60 frente a 64años; P = 0,05) y con menos probabilidad de tener enfermedad pulmonar crónica (10 % frente a 28 %; p = 0,006) o enfermedad renal (35 % frente a 49 %; p = 0,08). Los pacientes tratados con tocilizumab tenían un dímero D más alto (mediana, 4,4 frente a 2,5 mg/dL; P = 0,005). La PAFI de ingreso 112 [110-180], decúbito prono 36 [64%]. Complicaciones: shock séptico 42 (70%), fallo renal 38 (60%), neumotórax 6 (10%). Los días de VM 12 [RI 8-15] y días de estadía en UTI 16 [9-20], la mortalidad global fue del 62 % y la mortalidad en pacientes con tocilizumab fue de 48 % (p=menor a 0.05).

Conclusión: Nuestra población muestra predominio en pacientes en edad media y sexo masculino, con scores de gravedad elevados. Se asoció con una reducción de la mortalidad en pacientes tratados con tocilizumab.

 

 

0351   Indicación de Biopsia Estereotáxica en Diagnóstico de Hemorragia Intracerebral Espontánea.

M Villalobos, E Quispe(1), Á Vélez(1), R Méndez(1), A Guarachi(1), M Altamirano(1), S Pérez(1), M Mendoza(1), J Campos(1), J Condori(1), A Pedrazas(1), J Quispe(1), P Villalobos(1)

(1) Sanatorio Del Oeste.

 

Introducción: Caso clínico de hematoma cerebral, ingresa con tomografía normal y posterior hemorragia intracerebral y lesiones secundarias. Con RMN se observan lesiones compatibles con secundarismo y posible trombosis cerebral.

Caso clínico: Paciente de sexo femenino de 41 años, Ingresa con cefalea holocraneana, disnea CF II, hiporreflexia tronco superior, hipertonía de miembros inferiores, convulsiones, GCS 12/15, bradilalia, desviación conjugada de la mirada. Antecedentes clínicos: Asma, 2 vacunas Covid-19 / Covid Negativo, hipertensión arterial. Consumo de mate de ruda. Tomografía de cerebro y tórax normal al ingreso, nueva convulsión en UCI, en tomografía se observan 2 áreas espontáneamente hiperdensas (hematoma), edema perilesional tipo digitiforme a nivel paraventricular derecho, occipital y lóbulo occipital izquierdo localizadas a nivel subcortical. Fiebre 38 grados, se realizan cultivos y punción lumbar. Diagnósticos: (Hematoma ICH Score I / II), Intoxicación por Ruta graceolens, Trombosis venosa cerebral, Mielitis transversa. LES, síndrome antifosfolipídico.

Se realizan estudios complementarios, Centellograma captación de polos de ambos riñones. Serologías: Negativas Virus hepátitis A, B,C, CMV, HIV. EBV. Alfafetoproteína, Ca 19-9, CEA, Ca- 125. Her: 1- 2. Negativas. RMN T1 , T2, GREE, Flair. Áreas de sangrado reciente que predominan en la región parietal, parasagital subcortical derecha y en ambas regiones parietales. Con contraste e.v, se observan múltiples imágenes de tinción nodulares de diferentes tamaños la mayor de ellas en la región occipital y subcortical supratentorial derecha que no mostraba sangrado, con edema perilesional impresionan Lesiones Secundarias, con hemorragias intralesionales. La secuencia de difusión es negativa, sin evidencia de isquemia reciente. Angioresonancia Normal.

Discusión: La obtención de muestras de tejido cerebral y su posterior análisis es fundamental para la indicación terapéutica adecuada e intervenciones quirúrgicas innecesarias. Es mínimamente invasivo, seguro y eficaz.

Conclusión: La indicación Biopsia estereotáxica, en el caso clínico que presentamos resulta fundamental por las variadas manifestaciones clínicas que presentaba la paciente.

 

 

0352   IMPACTO DE LA PANDEMIA SOBRE LAS INFECCIONES ASOCIADAS AL CUIDADO DE LA SALUD EN UNA UNIDAD DE CUIDADOS INTENSIVOS PEDIÁTRICOS

A Bordogna(1), G Aparicio(1), P Castellani(1), C Lutkevicius(1), M Mendoza(1), M Rabino(1)

(1) Hiaep Sor María Ludovica.

 

Introducción: Los pacientes ingresados en la unidad de cuidados intensivos (UCI) requieren intervenciones y dispositivos invasivos que aumentan el riesgo de infecciones asociadas a los cuidados de la salud (IACS), generando aumento de la morbimortalidad y de los costos en salud.

Durante la pandemia por SARS-CoV-2 se reportó un aumento de IACS en las UCI de adultos, pero hay pocos datos sobre la incidencia de las mismas en las UCI pediátricas.

Objetivo: Comparar la incidencia de IACS en una UCI pediátrica antes y después del inicio de la pandemia por SARS-CoV-2.

Materiales y método: Estudio retrospectivo, descriptivo de las IACS desde el 1/1/2018 al 31/12/2021 en una UCI pediátrica. Los datos se obtuvieron de revisión de historias clínicas y base de datos SatiQ. Se compararon los datos previos a la pandemia (2018-2019) y durante la pandemia (2020-2021) utilizando chi cuadrado, considerando estadísticamente significativo un valor de p<0.05.

Resultados: Total de ingresos: 1382, 758 en el primer periodo y 624 en el segundo período.

Tabla 1- Características de la población

 

Tabla 2- IACS

 

Se observa una disminución estadísticamente significativa del número de las IACS durante la pandemia, al igual que las ITU asociadas a sonda. Si bien también hubo un descenso de los episodiso de BAC y NAR, éstos no fueron estadísticamente significativos.

Conclusión: En nuestra unidad, a diferencia de lo observado en las UCI de adultos, se observó un descenso de la incidencia global de IACS durante la pandemia

Es difícil establecer la causa de estos resultados ya que, al ser un estudio retrospectivo, algunas variables no pudieron ser analizadas y también hubo menor porcentaje de ocupación durante la pandemia.

Es probable que una adecuación en la relación personal/paciente y las medidas de aislamiento necesarias para la atención del paciente durante la pandemia, con el fin de reducir la exposición al SARS-CoV-2, pudieron haber disminuido indirectamente la transmisión e infección por otros gérmenes generando un efecto favorable en la prevención de IACS.

Estos resultados nos llevan a reforzar las estrategias, como el uso de paquetes de medidas, la formación continua y la información acerca del cumplimiento de las medidas propuestas, para obtener la mejora de las medidas de prevención y mejorar la seguridad de los pacientes.

 

 

0353   DISFUNCIÓN PRIMARIA DE INJERTO HEPÁTICO: REPORTE DE UN CASO

DG Sanchez(1)

(1) Hospital El Cruce.

 

Introducción: La disfunción primaria de injerto es uno de los fenómenos de pérdida del injerto hepático que requieren inmediatamente inclusión en lista de emergencia de trasplante. Presenta una incidencia del 0,9 al 7.2% de los trasplantes hepáticos.

Presenta rápido deterioro clínico del paciente y requerimiento de retrasplante de emergencia.

Este deterioro severo agrava rápidamente el estado de salud del paciente y produce severa morbimortalidad posterior al retrasplante.

Presentación del caso: Paciente de 61 años con antecedentes de cirrosis por alcohol, diabetes, que ingresa al servicio en el posoperatorio de trasplante hepático, donante paciente masculino de 56 años, tiempo de isquemia fría 9 horas 54 minutos. Presentó síndrome de reperfusión intraoperatorio caracterizado por vasoplejía.

En las primeras 24 horas evoluciona Shock hipovolémico con falla múltiple de órganos con requerimiento transfusional masivo.

Se realiza doppler del injerto sin alteraciones del flujo en vasos hepaticos. Con presencia de hematomas subhepáticos.

Reingreso a quirófano en dos ocasiones para lavado y colocación de packing por sangrado masivo, sin visualizar sitio de sangrado activo.

Requirió dialisis por acidosis metabolica refractaria y anuria.

Ingresa a lista de emergencia trasplante hepático por disfunción primaria de injerto

Evolución: Se realiza trasplante hepático y posteriormente evoluciona con mejoría lenta de las disfunciones, logrando ser extubado a las 48 horas posoperatorio de retrasplante hepático.

Actualmente con buena función del injerto y mejoría de disfunciones.

Discusión: En este caso el paciente evolucionó posteriormente al trasplante con falla múltiple de órganos y coagulopatía severa con sagrado evidente. Entre los dos diagnósticos diferenciales de la no función del injerto, se realizó doppler del eje espleno-portal evidenciando flujo en la arteria hepática, por lo que se interpreta como disfunción primaria de injerto. Se coloca nuevamente en lista de trasplante de emergencia.

A la espera de un nuevo órgano, requirió ingresar a quirófano en dos ocasiones, múltiples transfusiones y diálisis, con progresión de sus fallas orgánicas.

Conclusiones: El trasplante hepático presenta múltiples complicaciones, de las cuales la disfunción primaria del injerto es una de las que presenta muy alta mortalidad. Requiere alta sospecha clínica e inclusión rápida para retrasplante de emergencia. Es necesario un soporte vital avanzado, multidisciplinario y coordinado, a la espera de un nuevo trasplante.

 

 

 

0354   MENINGITIS POSQUIRURGICA POR ENTEROCOCO VANCOMICINA RESISTENTE EN POSTOPERATORIO DE HEMORRAGIA SUBARACNOIDEA POR MALFORMACION ARTERIOVENOSA

J Salvadores(1), F Am(1), S Ramos(1), N Marquez(1), V Barrozo(1), M Singh(1), B Olocco(1)

(1) Sanatorio San Roque.

 

Introducción: Los enterococos son bacterias Gram positivas que producen una gran variedad de infecciones comunitarias y nosocomiales. Se ha documentado una progresiva resistencia de estas bacterias. La incidencia de infecciones por Eneterococcus faecium resistente a vancomicina (ERV) ha alcanzado proporciones alarmantes. Las opciones terapéuticas son muy limitadas. La meningitis enterocócica es una infección muy infrecuente de la que se han descrito 2 formas clínicas: postoperatoria, y espontánea, secundaria a infecciones enterocócicas de otro origen.

Caso Clínico: Paciente femenino de 52 años con antecedentes de Diabetes mellitus tipo II, Hipertensión Arterial, Tabaquismo, Sobrepeso, Dislipemia con Diagnóstico de Hemorragia Subaracnoidea por malformación arteriovenosa. Evoluciona con requerimiento de ARM, se realiza Craniectomía suboccipital, clipeado aneurismático y excéresis de malformación arteriovenosa de fosa posterior. Por Hidrocefalia se coloca Drenaje Ventricular Externo. Por Neumonía asociada a la ventilación realiza tratamiento antibiótico con Vancomicina. Intercurre con Síndrome Febril Prolongado, con deterioro neurológico diagnóstico de Absceso Cerebeloso y fistula cutánea. Se realiza Punción Lumbar con cultivo positivo para Eneterococo faecium resistente a Vancomicina. Se realiza Drenaje quirúrgico del absceso. Se inicia Tratamiento con meropenem, rifampicina y Linezolid por 28 días. Por adecuada evolución se coloca Drenaje Ventrículo-Peritoneal. Actualmente con rehabilitación neurológica y Alta Sanatorial.

Discusión: La meningitis por Enterococcus spp. Suele ser de adquisición nosocomial en el 90% de los casos. Este caso ilustra la capacidad de cepas de enterococo para generar resistencia a glucopéptidos. La mayoría de los pacientes tienen una infección de origen nosocomial, secundaria a procedimientos neuroquirúrgicos, como cirugía o derivación de liquido cefalorraquideo (LCR), y han recibido previamente tratamiento antibiótico de amplio espectro. La mayoría de los pacientes no responden a combinaciones de múltiples fármacos intravenosos, ni al tratamiento intratecal.

Conclusiones: La meningitis por ERV suele presentarse como una complicación nosocomial. El tratamiento de esta infección no ha sido establecido, el linezolid puede ser considerado uno de los fármacos de elección debido a su actividad frente a estos microorganismos y a su excelente penetración en el LCR. Son esenciales el uso adecuado de antibióticos, la educación del personal sanitario, la detección sistemática de EVR y el cumplimiento riguroso de las medidas de control de infecciones.

 

 

 

0355   Incidencia, Predictores e Impacto Clínico del Fallo en la Transición a Ventilación Espontánea en  Presión Soporte en Sujetos con COVID-19. Estudio de Cohorte Retrospectivo

J Pérez(1), JH Dorado(1), E Navarro(2), DI Gilgado(1), GP Cardoso(1), I Telias(3), Department Of Critical Care, St Michael’s Hospital, PO Rodriguez(6), M Accoce(1), L Brochard(7), University Of Toronto, Toronto, Canada.

(1) Sanatorio Anchorena San Martin. (2) Centro Del Parque. (3) Keenan Research Centre And Li Ka Shing Institute. (4)  Department Of Critical Care. (5)  St Michael’s Hospital. (6) Cemic. (7) Interdepartmental Division Of Critical Care Medicine. (8)  University Of Toronto. (9)  Toronto. (10)  Canada.

 

Introducción: La transición a presión soporte (PSV) tras pruebas de despertar espontáneo (PDE) ha demostrado ser compleja en sujetos con ventilación mecánica invasiva (VMi) por COVID-19. La intolerancia a PSV no ha sido descripta como evento, tampoco sus predictores y resultados clínicos asociados.

Objetivo: Describir la incidencia del fallo en tolerar PSV en COVID-19 bajo VMi, predictores e impacto clinico. Secundariamente, comparar la incidencia de fallo con una cohorte de pacientes con insuficiencia respiratoria (IR) hipoxémica de otras etiologias.

Método: Se incluyeron sujetos con COVID-19, VMi >12hs y PaO2/FiO2Las comparaciones grupales se realizaron mediante test Wilcoxon-Mann-Whitney o test exacto de Fisher, según corresponda. Para determinar predictores y asociación de COVID-19 con el fallo se utilizó un modelo de regresión múltiple lineal generalizado construido mediante stepwise backward regression. La bondad de ajuste se evaluó con test Hosmer-Lemeshow. Una p

Resultados: Entre abril-2019 y agosto-2022 se incluyeron 189 sujetos con COVID-19. Un 95.0% cumplió criterios de síndrome de distrés respiratorio agudo (SDRA). La incidencia de fallo fue 49.7%. El APACHE II al ingreso, el índice de masa corporal (IMC), el bloqueo neuromuscular previo y la PaO2/FiO2 y el pH inmediatamente previos a la PDE fueron predictores independientes del fallo (Tabla 1). Quienes fallaron tuvieron menos extubaciones, más reintubaciones, traqueostomía, días de VMi, estadía y mortalidad (Tabla 2). Al comparar con 85 sujetos con IR de otras etiologías (77% SDRA), el fallo de PSV fue mayor en COVID-19 (29.4% versus 49.7%; p=0.002). Tras ajustar por confundidores, el diagnostico COVID-19 incrementó independientemente las chances de fallo (OR 2.10 [1.10–4.09, 95%IC]; p=0.028).

Conclusión: La incidencia de fallo de PSV fue 49.7%. El APACHE II, IMC, bloqueo neuromuscular, PaO2/FiO2 y pH se asociaron con el fallo. Quienes fallaron tuvieron peores resultados clínicos. El fallo de PSV en COVID-19 fue mayor comparado con IR de otras etiologías.

 

 

 

 

0356   Evaluación del flujo uterino en gestante con shock cardiogénico bajo soporte ECMO

ML Ojeda(1), L Perez(1), L Haddad(1), M Acebo(1), F Molina(1), D Otalora(1), C Ballesteros(1), L Aguirre(1), F Klein(1)

(1) Fundacion Favaloro.

 

Introducción: El soporte de ECMO en gestantes ha sido indicado en distrés respiratorio, shock cardiogénico y paro cardíaco observándose tasas de supervivencia superiores al 70% para la madres y el feto. Se desconoce a la actualidad si el ECMO V-A altera la pulsatilidad del flujo uterino.

Presentación del caso: Femenino de 19 años, trasplantada cardiaca en 03/2020 por miocardiopatía dilatada idiopática, inmunosuprimida con deltisona y tacrolimus, cursando embarazo de 14 semanas, ingresó a nuestra institución en contexto de shock cardiogénico de 24 hs de evolución con requerimiento de Milrinone, Dobutamina, Noradrenalina y Levosimendán, por sospecha de rechazo del injerto evolucionando con shock refractario con requerimiento de ECMO V-A femoro-femoral, como puente a la recuperación o retrasplante. La evolución clínica se describe en la Tabla 1. Se evaluó viabilidad fetal con ecografías obstétricas y valoración doppler del flujo sanguíneo en las arterias uterinas utilizándose el índice de pulsatilidad (IP). (Ver Figura 1). Evolucionó con pérdida de gestación (hemorragia por rotura femoral) y resolución de shock otorgándose egreso el día 70.

Discusión: Las arterias uterinas son estructuras cambiantes durante la gestación. Al inicio del embarazo presentan patrón de bajo flujo y alta resistencia, con posteriores cambios que generan una pérdida de la capa muscular vascular, convirtiéndolas en vasos capaces de manejar grandes volúmenes sanguíneos y con bajas resistencias. La valoracion del flujo Doppler y las características de la placenta han logrado encontrar una relación directa entre la histopatología de las arterias uterinas y la perfusión placentaria, utilizándose en la evaluación de la placentación normal y la detección de complicaciones obstétricas, como la Preeclampsia/Eclampsia y el RCIT, cuyo origen está en una placentación inadecuada o anómala. En este reporte de caso utilizamos esta evaluación para determinar si el flujo continua y los altos volúmenes circulatorios en ECMO podrían alterar la viabilidad fetal, sin evidenciar alteraciones.

Conclusión: El ECMO es un soporte disponible para pacientes gestantes con Insuficiencia respiratoria y Shock, sin alterar la viabilidad fetal, permitiendo ser utilizado en pacientes seleccionados.

 

 

 

 

0358   TRASPLANTE HEPÁTICO COMO TRATAMIENTO DE ENFERMEDAD VENO OCLUSIVA HEPATICA GRAVE. REPORTE DE CASO Y REVISION DE LA LITERATURA

M Acebo Acha(1)

(1) Fundación Favaloro.

 

Introducción: La enfermedad Veno-oclusiva es una complicación potencialmente mortal que se desarrolla en hasta el 15% de los adultos que se someten a un trasplante de células hematopoyéticas. La insuficiencia hepática aguda (IHA) asociada es poco frecuente y de difícil manejo.

Presentación del Caso: Femenina de 25 años con antecedente de Leucemia Linfoblástica Aguda (LLA) que recibió esquema de GATLA-AYA. El 06/06/2022 se realizó Trasplante Medula Ósea (TxMO) Alogénico Haploidéntico sin complicaciones con egreso institucional al día 20 post-trasplante. Reingresó el 01/07/2022 por dolor abdominal y fiebre evolucionando con IHA. Se realizó Angiotac de abdomen evidenciando trombosis portal no oclusiva con hígado heterogéneo en tiempo venoso. Evolucionó con encefalopatía el día 08/7/22, realizándose monitoreo neurointensivo con eco doppler transcraneano evidenciando hiperemia, y valoracion de la vaina del nervio óptico: 4.8mm. Por IHA se ingresó a lista de emergencia para Transplante Hepático (TxH), trasplantándose el 09/07/2022. El estudio anatomopatológico del órgano explantado confirmo el diagnostico de enfermedad venocolusiva hepática (EVOH). Como complicaciones post TxH presento: Microangiopatía trombótica (ADAMTS13+), retardo en el despertar por actividad epileptiforme no convulsiva, reactivación de CMV, infección por rinovirus, COVID 19 leve, cistitis hemorrágica por virus BK, y neumonía por stenotrophomonas maltophilia. Evoluciono sin nuevas intercurrencias a la fecha.

Discusión: La EVOH se caracteriza por daño endotelial en los sinusoides hepáticos que se amplifica por una respuesta inflamatoria local y la activación de las vías de coagulación y fibrinolíticas, relacionada con los agentes alquilantes en regímenes de acondicionamiento, radiación ionizante o hepatotoxinas, y en casos graves postTxMO muestran una sobrevida del 2 al 10%. Reportamos una serie de 19 casos (incluido el nuestro) de la literatura tratados con trasplante hepático con una sobrevida del 35% (Ver Tabla1).

Conclusión: A pesar de la alta mortalidad relacionada con la inmunosupresión (infecciones). La serie de caso reportada en este trabajo, muestra una mejoría en la sobrevida en los pacientes con EVOH grave luego del TxH comparado a los reportes previos, haciendo al TxH una opción terapéutica razonable en estos pacientes.

 

 

 

 

0359   ¿SE PODRIA TOLERAR PRESIONES MESETA MAYORES A 30 CMHO2 EN PACIENTES CON OBESIDAD MORBIDA CON SDRA COVID-19?

PG Insaurralde(1), J Leiria(1), I Garcia(1), M Abbate(1), V Thomas(1), N Etchechoury(1), F Gonzales(1)

(1) Hospital Zonal Trelew.

 

Objetivo: Evaluar la titulación de PeeP y su impacto en la Presión Meseta en pacientes Obesos Mórbidos con SDRA COVID 19.

Material y Método: Estudio prospectivo observacional en el periodo comprendido entre 01/07/2020 al 01/06/2022 en el que ingresaron 26 pacientes Obesos Mórbidos IMC( 52 +- 5 )con SDRA COVID 19. Recibieron ventilación mecánica protectora Vt 4-6 ml/kg. Y titulación de peep a través de la mejor compliance (cest)respetando presiones meseta por debajo de 30 cmho2 y presión de distensión por debajo de 15.

De los 26 pacientes, 8 pacientes no obtuvieron mejoría inicial en la oxigenación Pafi ni en la cest. Se decide realizar maniobra de reclutamiento alveolar 45 – 40. y retitulacion de peep a través de la mejor cest. tolerando presiones meseta mayores de 30 cmho2.

Resultados: Del análisis comparativo antes y después de realizar maniobra de reclutamiento alveolar y retitulacion de peep a través de la mejor cest. Se observa un incremento promedio de la pafi de 103 +- 16 , incremento de la cest de 18 +- 3) aumento de la presión meseta de 4 +- 2 cmho2 mas incremento promedio de la peep de 5 cmho2 +-3, manteniendo una presión de distensión de 13 +-4.

Conclusión: En la muestra estudiada ,optamos por tolerar presiones mesetas por encima de 30 cmho2 asumiendo el impacto de la baja elastancia del tórax en este grupo de pacientes.

 

 

0360   TRASPLANTE HEPÁTICO PARA EL TRATAMIENTO DE LA INSUFICIENCIA HEPATICA AGUDA (IHA) EN PACIENTE CON HEPATITIS SIFILÍTICA: REPORTE DE UN CASO

LY Haddad(1), L Perez(1), F Molina(1), M Acebo(1), L Ojeda(1), D Otálora(1), C Ballesteros(1), G Pantoja(1), L Aguirre(1), F Klein(1)

(1) Fundación Favaloro.

 

Introducción: La sífilis es una enfermedad infecciosa producida por el Treponema pallidum, generalmente de transmisión sexual y puede manifestarse clínicamente como sífilis primaria, secundaria, terciaria o latente. La incidencia ha tenido un marcado aumento en los últimos años tanto en argentina como en el resto del mundo.

Presentación del caso: Femenina de 20 años de edad, sin antecedentes patológicos, oriunda de la ciudad de Jujuy, ingresó derivada por IHA para evaluación de trasplante hepático (TXH) en calidad de emergencia. Relató cuadro clínico de 8 días de evolución caracterizado por ictericia progresiva, coluria, intolerancia digestiva con posterior aparición al día 6 de lesiones maculares rojo-violáceas en cara, cuello, y MMSS, sin adenomegalias (ver Figura 1). De los exámenes realizados al ingreso se destacó pruebas de función hepática anormales (Tabla 1) y pruebas no treponémicas y treponémicas reactivas por lo que se inició tratamiento antibiótico con Penicilina endovenosa. Evoluciono a las 12 hs del ingreso con encefalopatía (somnolencia, bradipsiquia, flapping) realizándose monitoreo de vaina del nervio óptico: 4.7mm, y eco doppler transcraneano con índice de pulsatilidad de 1.1, ingresando en lista de emergencia TxH, trasplantándose en las siguientes 24 horas. Como complicaciones post trasplante presentó sangrado de vena suprahepática y arteria hepática requiriendo reintervención quirúrgica, y tratamiento antibiótico por colonización del líquido trasplante con EVR, con posterior evolución favorable, egresando el día 10.

Discusión: La hepatitis sifilítica es una entidad poco frecuente, descripta en aproximadamente 0,2% de los casos siendo más frecuente su presentación en pacientes con coinfección por HIV. El compromiso hepático puede darse en cualquier etapa de la sífilis con la diseminación hematógena como principal hipótesis de migración del Treponema luego de demostrarse la presencia de esta espiroqueta en biopsias hepáticas. Existen solo algunos reportes de casos de TxH para el manejo de esta entidad.

Conclusión: La prevención y tratamiento oportuno de la sífilis son el Gold Estándar para su manejo, pero en los casos de IHA el trasplante Hepático en una opción en casos selectos.

 

 

 

 

0362   MOTIVOS DE INGRESO OBSTETRICOS EN TERAPIA INTENSIVA

MM Barraza(1), GA Levy(1), RA Karatanasopuloz(1), AR Serruya(1), LV Gossen(1), MF Mendieta(1), JC Flores(1), SA Gimenez Pedemonte(1), M Barrios D´ambra(1)

(1) Hospital J. R. Vidal.

 

Introducción: Los motivos de ingreso obstétricos a la Unidad de Terapia Intensiva (UTI) son de gran relevancia para la comprensión objetiva de la morbi-mortalidad materna además de las implicancias que se generan por tratarse de pacientes jóvenes cursando embarazo o puerperio.

Objetivos: Determinar los motivos de ingresos a UTI de pacientes obstétricas tanto causas relacionadas a la gestación como otras causas.

Materiales y métodos: Estudio retrospectivo de tipo trasversal que incluye ingreso de pacientes embarazadas o puérperas a la UTI del Hospital J R Vidal de la ciudad de Corrientes durante el periodo julio 2021 a julio 2022.

Resultados: Durante el periodo de un año del estudio ingresaron 21 pacientes obstétricas a UTI es decir 1 ingreso cada 133 partos o cesáreas. La edad promedio fue de 27 años, siete ingresaron durante embarazo (33%) y catorce lo hicieron en el puerperio (66%). En relación a las causas de internación, 6 correspondían a patologías no relacionadas al embarazo (25%) y el resto a patologías relacionadas a la gestación (75%). Motivos de ingreso: eventos hemorrágicos 4 (22%), trastornos hipertensivos 7 (33%), sepsis 6 (22%) miocardiopatía periparto 2 (9%) y otros 2 (9%). Registramos 2 muertes maternas, una por hipernatremia extrema por diabetes insípida y la otra por diabetes miellitus pregestacional con insuficiencia renal aguda y sepsis grave por catéter.

Conclusión: Los trastornos hipertensivos los eventos hemorrágicos y la sepsis fueron las principales causas de ingreso a UTI en pacientes obstétricas, y 25 % ingresaron por patologías no relacionada al embarazo.

 

 

 

0363   HISTIOCITOSIS DE CÉLULAS DE LANGERHANS – VARIANTE MULTISISTÉMICA - CON COMPROMISO PULMONAR: DIAGNÓSTICO EN TERAPIA INTENSIVA Y DECISIÓN PUENTE A TRASPLANTE BIPULMONAR. REPORTE DE UN CASO

DA Otálora Lozano(1), LC Pérez(1), MA Acebo Acha(1), LY Haddad(1), FA Molina Jiménez(1), L Ojeda(1), RA Noreña(1), S Finoli(1), L Aguirre(1), F Klein(1)

(1) Fundación Favaloro Hospital Universitario.

 

Introducción: La Histiocitosis de células de Langerhans (HCL) es una rara enfermedad que afecta aproximadamente de 1.4 a 4 por cada millón de nacimientos por año, considerada como una forma de cáncer que abarca un amplio espectro de manifestaciones inflamatorias. La variante multisistémica (HCL-MS) con compromiso pulmonar es prevalente en niños entre 6 meses y 12 años de edad con mayor pico diagnóstico entre 3 y 4 años, muy pocos de los cuales han requerido de trasplante bipulmonar.

Presentación del caso: Masculino de 19 años con antecedente de enfisema bulloso diagnosticado en 2020 no tabaquista, dermatosis en cuero cabelludo, derivado de la Ciudad de Rosario por neumonía bacteriana grave que progresó a falla ventilatoria y luego hipoxemia refractaria requiriendo asistencia con oxigenación por membrana extracorpórea (ECMO) (Ver figura 1). Posteriormente fue trasladado a nuestra terapia intensiva para trasplante bipulmonar de emergencia. Como complicaciones presentó sepsis a foco pulmonar, diabetes insípida central, y sangrados relacionados con la anticoagulación y la asistencia. Se tomaron muestras respiratorias por lavado bronquioalveolar con hallazgos inespecíficos en anatomía patológica y biopsias de cuero cabelludo que informaron hallazgos microscópicos e inmunohistoquímicos sugestivos para HCL (Ver figura 2). Estuvo 66 días asistido, sin embargo evolucionó con progresión de fallas multiorgánicas y finalmente falleció.

Discusión: La HCL-MS en el grupo etarío del paciente es casi insospechada, más aún presentándose como enfisema bulloso. Este reporte de caso describe la importancia del diagnóstico bajo soporte de ECMO como puente a la decision, ya que en el momento de la asistencia no se contaba con diagnóstico etiológico.

Conclusión: El diagnostico etiológico permite pronóstico en la evolución de la patologia de base y post trasplante en los pacientes con insuficiencia respiratoria. Los reportes de casos de trasplante bipulmonar en pacientes con HCL-MS han informado altas tasas de fracasos en quienes no recibieron tratamiento específico para esa enfermedad. El ECMO como puente a la decisión permitió en este caso la estabilizacion del paciente, para llegar a un diagnóstico etiológico definitivo.

 

 

 

 

0364   TAKOTSUBO ASOCIADO A SINDROME DE DISTRES RESPIRATORIO AGUDO POR COVID-19

M Singh(1), F Am(1), J Moreno(1), R Sanitllan(1), S Gerez(1), L Panozo(1), A Jove(1), N Orosco(1), F Enriquez(1), M Dell Aqcua(1), S Ramos(1), J Salvadores(1)

(1) Sanatorio San Roque.

 

Introducción: La miocardiopatía de takotsubo es una enfermedad autolimitada que puede estar asociado a infección por SARScov-2. Cuando la afectación es biventricular, se asocia con malos resultados tanto en el hospital como a largo plazo. Durante el Sindrome por Takotsubo, se produce una alteración de la modulación del receptor beta-adrenérgico con posible depresión transitoria de la contracción miocárdica. El creciente número de casos se ha atribuido a la infección asi como a los múltiples factores estresantes relacionados con la pandemia. En un estudio de Chang et al, la infección por COVID-19 estuvo presente en el 66,7 % de los pacientes, con takotsubo.

Caso Clínico: Paciente femenino de 53 años con antecedentes de Hipertensión Arterial, Tabaquismo, no vacunada para COVID-19 ingresa cursando Neumonía bilateral por covid- 19. Al 7mo día evoluciona con requerimiento de Cánula Nasal de Alto Flujo, sin respuesta con diagnóstico de Sindrome de Distres Respiratorio se decide intubación orotraqueal. Se realiza Ecocardiograma con Facción de eyección (Fey) de 65%. Intercurre con requerimiento de vasopresores por Shock séptico inicia tratamiento antibiótico. Por vasoplejia persistente se decide realizar Ecocardiograma de control con Diagnostico de Takotsubo Fey de 25%. Inicia tratamiento con inotrópicos, diuréticos, betabloqueantes. Evoluciona con adecuada respuesta. Ecococardiograma con Fey conservada 55% iniciando proceso de destete con mejoría clínica posterior alta hospitalaria.

Discusión: El Síndrome de Distres respiratorio agudo severo por SARS-CoV-2 es afección que afecta en mayor medida a población adulta, con una mayor mortalidad en pacientes con comorbilidades y en pacientes no vacunados. La identificación de lesión cardíaca aguda y arritmia se encuentra asociado a la afección sistémica del virus. En el caso presentado el deterioro de la función cardiaca se encuentra claramente comprometida por el Síndrome de Takotsubo en contexto de Neumonía Grave bilateral

Conclusiones: En la era del COVID-19, debemos prestar atención a una variedad de condiciones cardiovasculares. El síndrome de Takotsubo es una de estas condiciones que pueden desencadenarse por la inflamación sistémica asociada a infección viral. Aunque los tratamientos específicos para mejorar el pronóstico aún son inciertos, los datos sugieren un impacto favorable de los inhibidores de la enzima convertidora de angiotensina o los bloqueadores de los receptores de angiotensina.

 

 

 

 

0365   INFECCIÓN NECROTIZANTE DE TEJIDOS BLANDOS POR ESTAFILOCOCO AUREUS MR DE LA COMUNIDAD DE EVOLUCIÓN FULMINANTE

C Sotelo(1), A Vides(1), M Corona(1), J Maidana(1)

(1) San Bernardo.

 

Introducción: Las infecciones necrotizantes de piel y partes blandas son un grupo heterogéneo de entidades que provocan en el 30% de los pacientes shock, fallo multiorgánico y muerte. Se desconoce la prevalencia de SAMR de la Comunidad (CA-MRSA) en Argentina, de acuerdo a las últimas publicaciones se vio en aumento su presentación nuestro medio

Caso clínico: Paciente Femenina de 37 años sin antecedentes patológicos. Ingresa por dolor e impotencia funcional de miembro inferior (MMII) izquierdo con signos de flogosis. Al examen físico: lúcida, hipotensa, taquicardia, afebril, edema unilateral godet (+) hasta pliegue inguinal, pulsos periféricos conservados. Al ingreso, SOFA: 5, Score LRINEC: 10. Eco Doppler: TVP negativo. Se toman cultivos, se inicia ATB. A las 24 hs, complica con shock, al laboratorio: GB: 10400, TP: 43%, RIN: 1.86, KPTT: 47 seg, Plaquetas: 137000, Sodio: 123, GOT: 322, Bilirrubina Total: 4.4, pH: 7.04, pCO2: 30, pO2: 47, HCO3: 7.8, EB: -20.7, Lactato: 8.2, CPK: 12541, Procalcitonina: 4.73, APACHE II: 22, SOFA: 10. Tomografía sin colecciones ni burbujas. A las 48 hs, presenta alteración del sensorio en menos, dosis crecientes de vasoactivos y ARM. Se realiza toilette quirúrgica por Celulitis Necrotizante (TCS de aspecto gangrenoso, fascia conservada). Se inicia Hemodiálisis en agudo. 6 hs después de dicha intervención quirúrgica presenta PCR y obito.

Informe póstumos de cultivo Bacteriológico de TCS y hemocultivo x2, ambos positivos para Staphylococcus Aureus M. Resitente

Discusión: Las infecciones necrotizantes por CA-MRSA son de diagnóstico dificultoso y consulta tardía. Se suelen presentar con dolor, afebriles y sin compromiso del estado general, el plazo hasta identificar el curso fulminante es variable, si el índice de sospecha de lesión necrotizante es elevado la evaluación quirúrgica es urgente.

Conclusión: Aún con inicio de tratamiento antibiótico de amplio espectro y conducta quirúrgica temprana, la mortalidad de las infecciones necrosantes por CA-MRSA es elevada, constituyendo una urgencia infectológica, la complejidad del cuadro amerita atención multidisciplinaria en UCI, como es el caso de esta paciente cuyo óbito ocurre a los 4 días.

 

 

 

 

0367   DIABETES INSIPIDA EN EL EMBARAZO

AK Marquez(1), E Hualpa Yucra(2), Moron, J Claros Ibañez(4), Moron, D Mariano Da Silva(2), Moron, N Navarro(2), Moron, A Salguero(2), Moron, G Miglioretti(2), Moron, PG Gil(2), Moron, S Kulling(2), Moron, V Peregrina(2), Moron, N Varrenti(2), Moron, AK Marquez(2), Moron, F Campero(2), Moron, A Alarcon(2), Moron, G Moreno(2), Moron

(1) Ostaciana B. Lavignole. Moron. (2) Ostaciana B. Lavignole. (3)  Moron. (4) Ostaciana. B Lavignole. (5)  Moron.

 

Introducción: La diabetes insípida gestacional es un trastorno poco común, su incidencia es 1/ 30.000 gestaciones.

persona gestante de 25 años embarazada de 34 semanas presento eclampsia evoluciona con, poliuria es importante el diagnóstico y tratamiento oportunos.

Presentacion del caso: Persona gestante, consulta por convulsiones e hipertension arterial, interpretandose eclampsia requirió cesárea de urgencia, AVM. se indico antihipertensivos y sulfato de magnesio. Evoluciona con poliuria de 166 ml/h a 600 ml/h, proteinuria, hipostenuria (densidad urinaria < 1.005). Interpretando diabetes insípida se inicia desmopresina 2 mcg cada 24 hs disminuyendo la diuresis 300-400 ml/h, posteriormente desmopresina intranasal 40 mcg/día con respuesta diuresis de 100 ml/hora. Se restablecio la osmolaridad urinaria, evoluciona normotensa, y con mejoría de su estado neurológico logrando el weaning y extubación. La Resonancia Magnética Nuclear evidenció tumor en silla turca.

Discusión: La diabetes insípida (DI) se caracteriza por una secreción, degradación o actividad anormal de la vasopresina. Se distinguen dos tipos central y nefrogénica, incorporándose el tercer tipo, gestacional o transitoria del embarazo.

La Diabetes insipida gestacional es rara complicación del embarazo, incidencia entre 4 a 6 casos por cada 100000 embarazos, la mayoría de las veces transitoria. Se ha relacionado a otras entidades como preeclampsia, eclampsia, hígado graso , síndrome HELLP y de Sheehan. El presente caso se asoció a un cuadro de eclampsia. El diagnóstico puede comprender tres grandes grupos: 1)Formas subclínicas. 2) Por patología hipotálamo-hipofisaria desconocida hasta ese momento.3) Formas asociadas a patologías hepáticas gestacionales.

Se debe sospechar al instalarse el síndrome poliúrico-polidipsico, cabe recordar que durante el embarazo la osmolaridad sérica disminuye aproximadamente 10 mOsm/ kg en forma fisiológica, así como que una densidad urinaria menor de 1.005, asociada al síndrome poliúrico-polidipsico, es sumamente orientativo para el diagnóstico diferencial.

Conclusiones: En este caso el diagnóstico es una diabetes insípida central por un tumor de la silla turca, no debemos dejar de pensar como diagnósticos diferenciales, ya que la diabetes insípida en el embarazo es una entidad poco frecuente que puede desencadenar un estado de deshidratación severa con hipernatremia y su consecuente afectación neurológica. La importancia del diagnóstico precoz para evitar las complicaciones tanto a nivel materno como fetal.

 

 

 

0368   REPORTE DE UN CASO DE HEPATITIS AGUDA SECUNDARIA A INTOXICACIÓN POR SUSTANCIAS ILÍCITAS INGRESADOS EN LA UNIDAD DE TERAPIA INTENSIVA DEL HOSPITAL DR. R MADARIAGA EN EL 2022

AJ Alarcon Marinoni(1), C Farqhuarson(1), S Ribak(1), AE Carrera, M Pohlemann(1), M Argüello(1), D Acosta(1), M Kaechele(1), N Barreto(1), R Otrowski(1), V Romina(1)

(1) Hospital Escuela De Agudos Ramon Madariaga.

 

Introducción: La hepatotoxicidad por drogas y sustancias, denominada mundialmente como drug induced liver injury (DILI), es una entidad cuya incidencia es desconocida debido a la escasez de estudios prospectivos poblacionales, pero se debe considerar siempre la posibilidad de DILI en pacientes con enfermedad hepática aguda idiopática. La cocaína tiene efectos nocivos en su consumo y sobredosis, por su potente efecto vasoconstrictor secundario a liberación de hormonas catecolaminérgicas como por su inhibición de la recaptación de noradrenalina. Describimos un caso con falla hepática aguda fulminante y disfunción multiorgánica.

Presentación del caso: Paciente de 28 años, consumidor habitual de sustancias psicotrópicas (consumo de cocaína más alcohol) con falla renal, insuficiencia hepática, coagulopatía severa e hipoglucemia; serologías para enfermedades virales (HCV/HBV/HCV/HIV) negativas. Falla hepática severa secundaria a DILI (por cocaína + alcohol)

Discusión: Los fármacos asociados con DILI (mecanismo de hepatotoxicidad) pueden causar lesiones de una manera predecible y dependiente de la dosis, o de manera impredecible (idiosincrásica). Se han realizado múltiples estudios, en roedores, demostrando la capacidad hepatotóxica dosis y tiempo dependiente de la cocaína a través de mecanismos relacionados con el sistema P450. La peroxidación lipídica y la formación de radicales libres serían la causa de la hepatotoxicidad por cocaína, la escasez relativa de casos de hepatotoxicidad grave por cocaína sugiere algún modo de susceptibilidad o la asociación de cofactores en los casos graves. Es frecuente, que al daño hepático por cocaína se asocia rabdomiolisis. El potente efecto vasoconstrictor que genera provocaría una disminución del flujo sanguíneo hepático y una isquemia mantenida sobre el músculo esquelético responsable de la rabdomiolisis. El descenso del índice de Quick y los datos de encefalopatía hepática permitan clasificarlo como fallo hepático fulminante de acuerdo con los criterios de O’Grady

Conclusión: Se presenta, un caso de insuficiencia hepática aguda fulminante asociada al consumo de cocaína, asociado a fallo multiorgánico. Dada la prevalencia de su consumo, pensamos que debe tenerse en cuenta la cocaína como posible agente etiológico en casos similares de hepatitis aguda grave.

 

 

0369   Características de la insuficiencia renal aguda en los trastornos hipertensivos del embarazo graves

AM Antón(1), R Giannoni(1), MG Arce(1), IS Gonzalez Pompilio(1), V Jozami, FF Giannoni, RO Marañon(2)

(1) Regional Ramón Carrillo. (2) Conicet.

 

Los trastornos hipertensivos del embarazo (THE) son considerados la principal causa de morbimortalidad materna y de ingreso a cuidados críticos de causa obstétrica. La insuficiencia renal aguda (IRA) se asocia con mala evolución materno fetal, sin embargo, no existe suficiente evidencia sobre la incidencia de la IRA en los THE.

Objetivos: Determinar la incidencia de la injuria renal aguda en los trastornos hipertensivos del embarazo y su incidencia durante la internación y admisión.

Métodos: Estudio de cohorte retrospectivo. Se enrolaron pacientes que ingresaron desde 01/11/2017 al 01/07/2022 a Terapia Intensiva con diagnóstico de THE. Criterios de inclusión: THE: preeclampsia severa, síndrome HELLP, eclampsia, preeclampsia sobreimpuesta (según ACGO), internadas en terapia intensiva por 48hs. Se excluyeron mujeres con disfunción renal subyacente e insuficiencia renal crónica. Durante la admisión se midieron datos antropométricos y epidemiológicos, comorbilidades, necesidad de vasopresores, ventilación mecánica y uso de diuréticos, escores de SAPS II y APACHE II, datos hemodinámicos y laboratorio de admisión. Durante la internación se registraron balances de fluidos acumulados hasta 48hs del ingreso. Se registró el tiempo de internación en terapia intensiva y hospitalaria y la mortalidad hospitalaria. Resultados: Ingresaron a UTI, 179 pacientes con THE graves. El 70% presentó IRA a la admisión, 58% pacientes admitidos y 42% dentro de las 48hs. Estas presentaron más muerte fetal, uso de vasopresores y ventilación mecánica a su admisión. Adicionalmente, fueron más graves al ingreso (SAPS II y APACHE II). Las pacientes con IRA presentaron mayor diálisis durante su internación y mortalidad. El ácido úrico fue mayor en las pacientes con IRA a la admisión. Los niveles de presión arterial media a las 48hs fueron más bajos en pacientes con IRA durante la internación.

Conclusión: La insuficiencia renal aguda es frecuente en los trastornos hipertensivos del embarazo. El desarrollo de IRA durante la internación se asoció con malos resultados materno fetales.

 

 

 

0370   SOPORTE EXTRACORPOREO EN TANDEM: REPORTE DE CASO

E Manrique(1), J Bernasconi(1), Y Lombi(1), R Avila(2)

(1) Hospital Privado Universitario De Cordoba. (2) Hospital Universitario De Cordoba.

 

Introducción: El soporte extracorpóreo en ocasiones requiere dos modalidades, por ejemplo, plasmaféresis y terapia de reemplazo renal continua (TRRC). Presentamos el caso de una paciente con fallo hepático agudo fulminante por hígado graso agudo del embarazo.

Presentación del caso: Femenina de 31 años, primigesta, de 29 semanas de gestación es derivada por insuficiencia hepática aguda. Se interrumpió el embarazo. Evolucionó con encefalopatía grado IV, fallo renal agudo AKI III, inestabilidad hemodinámica e hipertensión endocraneana. Se indicó soporte extracorpóreo con HDFVVC y PAV en tándem.

Se colocó un catéter de doble luz de 13,5 Fr/ 23 cm de largo, en la vena femoral derecha. Se utilizaron máquinas Amplya (Bellco / MedTronic). Se conectaron dos dispositivos de doble luz en “Y”a las extremidades arteriales y venosas del catéter (Figura 1).

En ambos soportes se programó un flujo sanguíneo de 150 ml/h. En el caso de la PAV, se realizó un recambio plasmático del 15% del peso corporal ideal (8-12 L) con plasma fresco congelado. En el caso de TRRC se utilizó una dosis de 35 ml/kg/h, sin anticoagulación. No hubo cambios en las lecturas del monitor de las presiones venosas, arteriales ni transmembrana. El estado hemodinámico y neurológico de la paciente mejoró, con reducción de noradrenalina a más del 50% de la dosis inicial y mejor control de la presión intracraneana. Se objetivo una disminución en la analitica de ácidos biliares, bilirrubina total y directa, interleucina IL-6 (Tabla 1). A las 48 h se realizó el TH sin complicaciones.

Discusión: La utilización de dos soportes extracorpóreos simultáneamente permite acortar el tiempo de tratamiento y el uso de un único acceso, con menor riesgo de complicaciones, sin alteraciones en la hemodinamia de los circuitos, permitiendo realizar ambas modalidades cumpliendo sus objetivos. En este caso se pudo realizar un adecuado manejo sin demoras ni complicaciones hasta el trasplante hepático.

Conclusión: La terapia de soporte extracorpóreo en tándem PAV/TRRC puede permitir un adecuado manejo de pacientes que requieran doble soporte sin alterar la calidad del procedimiento y minimizando las complicaciones.

 

 

 

 

0372   INTOXICACIÓN CRÓNICA DE PLOMO POR HERIDA DE ARMA DE FUEGO

BF Acosta Torres(1), JP Klein(2), F Condori(2)

(1) H. Nac: Alejandro Posadas. (2) H. Nac Alejandro Posadas.

 

Introducción: La intoxicación por metales pesados pueden causar daño a órganos, cambios de comportamiento y trastorno de la conducta. Los síntomas de intoxicación por metales pesados, en este caso plomo, dependen de cuanto hay en su cuerpo, edad del paciente y el tiempo en contacto con dicho metal.

Presentación: Se presenta el caso clínico de un paciente masculino de 31 años, albañil, procedente de San Carlos de Bariloche - Argentina. Quien consultó al Hospital zonal de Bariloche, por cuadro clínico de 72 hrs de evolución caracterizado por dolor abdominal en región periumbilical y epigastrio que no calma con AINES. Se descarta mediante correlacion clinico-radiologica toda causa medico/quirurgica del cuadro abdominal y teniendo el antecedente de herida de arma de fuego hace 8 años en articulación glenohumeral izquierdo, se llega al diagnóstico presuntivo de probable intoxicación crónica por plomo.

Discusión: La intoxicación por plomo secundaria a proyectiles alojados en el cuerpo humano es una entidad poco diagnosticada, pero puede ser mortal si no se reconoce. Estos proyectiles alojados en las articulaciones son más propensos a desarrollar esta complicación debido al contacto con líquido sinovial. Hallazgos sutiles como la aparición de anemia de causa inexplicable, cólicos abdominales o deterioro neurológico en pacientes con historia de herida por proyectil puede sugerir el diagnóstico de saturnismo.

Conclusión: Conocido el potencial de la intoxicación plúmbica y repercusión sistémica relacionada al tiempo de dicha exposición como a las concentraciones sanguíneas de dicho metal, es necesario el manejo multidisciplinario que incluye de inicio el uso de quelantes con el fin de evitar redistribución del metal y posteriormente el retiro del mismo mediante cirugía.

 

 

 

 

0374   Retiro de Soporte vital. Extubaciòn terminal en paciente crìtico

M Bezzati(1), A Martinez(1)

(1) Italiano De Buenos Aires.

 

Introducción: El gran desarrollo de la Medicina Intensiva de los últimos años ha modificado de manera significativa el pronóstico de muchas enfermedades que previamente conducían de manera inexorable y rápida a la muerte.

Se debe comprender que la prolongación del soporte vital puede retrasar el momento de la muerte, pudiéndose enmarcar en la figura de ensañamiento terapéutico .

Presentación del caso: Paciente de 78 años cursò 49 días de internaciòn en unidad de terapia intensiva con diagnóstico de lesiòn medular incompleta secundaria a politraumatismo por caída de altura.

Examen neurológico que evidencia paraplejia ,reflejo babinsky positivo y nivel sensitivo en T1-T2.

PANTomografia: colección subdural frontal. Hemorragia Subaracnoidea frontal izquierda

Hematoma epidural cervical alto.

Fractura costal 8° 9° 10°.

Se interpreta como síndrome medular con déficit motor progresivo

Se realiza artrodesis cervical por vía anterior.

- Aspecto neurológico : Escala ASIA B (Lesión incompleta)

- Aspecto respiratorio: Traqueostomía. Weaning dificultoso 2° a le­sión cervical.

- Lesiones por decúbito: Úlcera por presión en región sacra grado 4. Escarectomía

- Aspecto nutricional: Íleo adinàmico. Se realiza gastroyeyunostomía .

Derivaciòn a tercer nivel .

Discusión: Paciente manifiesta expresa voluntad de poner fin al soporte vital. Evaluado por el servicio de psiquiatría . Lucidez y juicio conservados .

Incapacidad del círculo familiar para decidir el retiro de soporte .

Barreras para la implementación de la extubación terminal.

Conclusiones: De lo expuesto anteriormente , se desprende que ; AUN contando con : Diagnóstico certero de terminalidad , voluntad manifiesta y expresa de paciente en pleno estado de lucidez , círculo familiar continente , servicio de salud completo especializado y capacitado en una institución de alta complejidad , no fue posible el retiro de soporte.

La propuesta es hacia la reflexión. ¿En qué eslabón fallamos? En qué parte del proceso nos vemos, sencillamente, impedidos de actuar?

“Los principios éticos son criterios normativos de conducta, que introducen la garantía de una racionalidad argumentativa en la toma de decisiones, pero por sí solos son insuficientes.

Los conflictos que surgen en el final de la vida, suponen un razonamiento práctico acerca de pacientes determinados, casos específicos y situaciones únicas“.

 

 

0375   TROMBOCITOPENIA TROMBÓTICA INMUNE INDUCIDA POR LA VACUNA (VITT) ASTRAZENECA - Reporte de caso

E Viscarra(1), G Tajes(1), L Del Tiempo(1), M Magrini(1), E Choque(1), N Segura(1), A Santa Maria(1), M Berté(1), D Noval(1), S Ilutovich(1)

(1) Sanatorio De La Trinidad Mitre.

 

La vacunación contra COVID-19 ha controlado la pandemia, sin em­bargo, se han reportado casos aislados de síndrome protrombótico en personas que recibieron vacunas AstraZeneca y Johnson&Johnson.

Paciente femenina de 30 años, obesa, tabaquista y con trastorno límite de personalidad; vacunada contra COVID-19. Internada después de 14 días de administración de vacuna AztraZeneca, por dolor abdominal, fiebre y vómitos de 72hs de evolución, cursando además 6º día de infección por COVID 19 en seguimiento ambulatorio.

Ingresó hemodinámicamente estable, afebril, con regular mecánica ventilatoria y abdomen distendido y doloroso en forma generalizada. Se le realizaron laboratorios que informaron Gb 19900, Plaq 30300, TP 54%, Fibrinogeno 148, DD 217 mcg/ml, Bicarbonato 16, Lactato 5.6 y tomografía abdominopélvica que evidenció líquido libre, esplenomegalia, edema periportal, alteración de planos grasos adyacentes a asas intestinales y cambios inflamatorios en mesenterio. Ingresó a UCI por shock con requerimiento de intubación orotraqueal, conexión a asistencia respiratoria mecánica, administración de protocolo de transfusión masiva y vasopresores. Se realizó ecodoppler abdominal evidenciando trombosis portal y paracentesis diagnóstica con obtención de líquido hemático. Se procedió a cirugía de urgencia en dos tiempos constatándose líquido hemorrágico en cuatro cuadrantes y necrosis amplia del yeyuno. Se reseca el mismo y se realiza enteroenteroanastomosis. El factor V de Leiden fue heterocigota para nucleótido 1691 (con mutación de un alelo) y el gen de la protrombina 20-210 fue no detectable. Se interpreto cuadro como isquemia mesentérica secundaria a probable trombocitopenia trombótica inmune inducida por vacuna AstraZeneca, se trató con gammaglobulina, pulsos de metilprednisolona y anticoagulación con Rivaroxabán. Posteriormente se extubó y fue dada de alta a los 24 días de su ingreso.

VITT es un síndrome extremadamente raro, causado por anticuerpos que reconocen el factor plaquetario 4, que son moléculas de inmunoglobulina G que activan las plaquetas a través de los receptores plaquetarios FcγIIa, estimulando el sistema de coagulación y generando complicaciones tromboembólicas.

Imita fuertemente la trombocitopenia inmune inducida por heparina. Es importante sospecharlo en individuos que presentan trombosis o trombocitopenia 5 a 30 días después de la administración de las vacunas AstraZneca o Johnson&Johnson a fin de realizar el tratamiento temprano y oportuno.

 

 

0376   TROMBOSIS CEREBRAL RETARDADA COMO COMPLICACION DE MENINGITIS POR S. PNEUMONIAE

DF Párraga(1), G Monti(1), C Llerena(1), G Gaudenzi(1), M Rolando(1), J Quiroz(1), K Banzer(1), O Ferrufino(1), M Mansur(1), F Perez(1), K Gamarra(1), A Canchila(1), A Fernandez(1), A Gonzales(1), D Mingoni(1)

(1) Central San Isidro.

 

Introducción: Complicación vascular en aproximadamente 8% a 22% de los pacientes con meningitis bacteriana, planteando un abordaje terapéutico precoz a fin de mejorar la morbimortalidad asociada. Vale recalcar que fue escrito por primera vez por Ribes en 1825, en neonatos.

Caso clínico: Masculino de 32 años con antecedente TCE severo, craniectomía descompresiva, con recolocación de plaqueta ósea frontal, epilepsia post-traumatica. Consulta en mayo del 2022, con cuadro de cefalea, a las 24 horas posteriores evoluciona con agitación psicomotriz, deterioro del sensorio, convulsiones tónico clónicas, con requerimiento de IOT/AVM, tomografía encefálica sin hallazgos patológico agudos, punción lumbar de aspecto turbio, hipoglucorraquia, recuento celular 6400 mm3, predominio PMN 87%. Inicia tratamiento con cefalosporina de 3ra generación, reporte bacteriológico de S. Pneumoniae en cultivo de LCR. Destete de la ventilación mecánica dificultoso por delirium hiperactivo, manejo conjunto por infectología, se plantea RMN ante posibilidad de complicaciones por infección por S. Pneumoniae; al 8vo día de asistencia ventilatoria se logra extubación exitosa. Pase a sala de clínica médica, se realiza Angio-RNM: ausencia de señal de flujo en tercio medio y distal del seno transverso derecho, podría vincularse con la sospecha clínica referida a la orden medica trombosis. Paciente se fuga sin completar tratamiento según diagnóstico.

Discusión: Patología con desarrollo de eventos cerebrovasculares asociada con mala evolución, secuelas neurológicas y alta mortalidad. La etiopatogenia sigue siendo poco conocida, sin embargo, se describe que lesiones vasculares inflamatorias, conducen a un estado de hipercoagulabilidad que puede llevar a la formación de trombos. El término “trombosis cerebral retardada” fue introducido por Schut et al.

Conclusión: Considerar complicaciones asociadas a infección por S. Pneumoniae, para diagnostico oportuno y precoz. Aunque el pronóstico neurológico en los casos de meningitis asociada a Trombosis de Seno Venoso Cerebral es malo, a continuación se presenta el caso de un paciente que durante su internación llevaba evolución favorable.

 

 

 

 

0377   Transposición de grandes vasos y Switch arterial: nuevos desafíos en centros privado y público de Tucumán

G Fagalde(1), C Chavez(1), L Ramasco(2), S Gabriela, R Alejandra(1), J Paula(1), C Paula(1), P Hugo(1), T Rubén(1), PC Pablo(1), R Magdalena(1), C Ezequiel(1)

(1) Niño Jesús. (2) Sanatorio 9 De Julio-niñojesús.

 

La transposición de grandes arterias (TGA) es un defecto cardíaco grave, donde se produce una disposición anormal de los principales vasos sanguíneos que salen del corazón. Constituyen entre el 5 y 7 % de todos los defectos cardíacos congénitos y afecta principalmente a varones. Se desconoce la causa del defecto.

Caso clínico 1: Paciente que ingresa con diagnóstico de TGA. Con 5 días de vida se realiza cirugía de Jatene para corrección. Tiempo de CEC 158 minutos, Tiempo Clampeo Aortico:120 min. Al ingreso UCIP presenta: tórax abierto y contenido con sangrado masivo que requiere reintervención de urgencia a las 4 hs. Continua en ARM con drogas Inodilatadoras, Vasopresores, Sedantes, Analgesia y Diureticos. A las 72 horas cierre de tórax. Al 4to día posquirúrgico presenta NEC, resuelve con tratamiento médico. Alimentación parenteral por 10 días. En ARM durante 7 días y Cánula de alto flujo por 12 días luego de extubación programada.

Caso Clínico 2: RNT, 38 SEG, peso 3.100 gr, con controles prenatales inadecuados. En Maternidad se diagnostica DTGA con SIV íntegro, FOP restrictivo con infusión de prostaglandinas, noradrenalina. Se realiza septostomía a las 48hs en Hospital de Niños, donde se realiza septostomia auricular con balón de Rashkind siendo exitosa y sin complicaciones. Posteriormente se realiza cirugía correctora de transposición de grandes vasos. Pasa a UCCCV con tórax abierto y contenido. Tiempo de CEC 238min, Tiempo de clampeo Aortico 186. A las 72 hs se cierra torax y se extuba 7 dias posteriores. Recibe 15 días de APT. 6 días de drogas Inodilatadores y vasopresores.

Conclusión: La cirugía correctora de la TGA se presenta como una de las más complejas de resolver según clasificación de Rachs. Tiene buena evolución con sobrevida de hasta 96%. Presentamos los 2 primeros pacientes operados en la Provincia de Tucumán uno en una Institución Privada y el segundo en Hospital Público. El equipo quirúrgico y el equipo de recuperación cardiovascular fueron los mismos. Somos un equipo multidisciplinario con 6 años de trabajo permanente en recuperación cardiovascular y con aumento constante de la complejidad con el objetivo de resolver la mayor cantidad de cardiopatías congénitas en la provincia.

 

 

0378   Tiempo de relleno capilar: evaluación de concordancia en las mediciones entre residentes de Enfermería en Cuidados Críticos del adulto en un hospital escuela

R Ronchi(1), O Ortiz(1), MS Ríos(1), D Murillo(1), L Vargas Ruiz(1), K Tapia Alvarez(1), S Fernández(1), L Tumino(1), MG Sáenz(1), C Loudet(1)

(1) San Martín De La Plata.

 

Introducción: A partir de la publicación del estudio ANDROMEDA-SHOCK, realizado en 5 países de Latinoamérica, la reanimación del shock séptico guiada por relleno capilar comenzó a implementarse y a extenderse, estando entre las recomendaciones de las últimas guías de la “Campaña sobreviviendo a la Sepsis”. Siendo una técnica sumamente sencilla a realizarse en la cabecera del paciente, cobra relevancia estandarizarla y que sea bien aplicada por todo el personal que asiste al paciente crítico, en particular de enfermería.

Objetivos: Comparar la concordancia en la manera de realizar la medición de relleno capilar entre residentes de enfermería en cuidados críticos del adulto.

Métodos: Corte transversal. Tres operadores realizaron la medición consecutivamente en los mismos pacientes, y un cuarto operador registró las mediciones. Una semana antes de realizar las mediciones fueron entrenados para estandarizar la técnica (Fig 1). Se realizó con portaobjetos de vidrio y el tiempo fue cronometrado. Además, se registró de los pacientes sexo, edad, presencia de vasopresores y dosis al momento de la medición. Para analizar registros se realizaron comparaciones entre los tres y de a duplas; considerando relleno capilar alterado cuando era mayor de 2.5” para ser más estricto con el margen de error. Se consideró Test Kappa “bueno” >0.4. Análisis realizados con STATA 15.0.

Resultados: Se realizaron 72 mediciones en 24 pacientes: 66% masculino, edad 50±18, vasopresores 30%. El Test Kappa considerando los tres operadores fue 0.50, entre el operador 1 y 2 0.43 (concordancia 83%); entre el operador 1 y 3 0.63 (concordancia 91.7%) y entre el operador 2 y 3 0.50 (concordancia 83.3%).

Conclusiones: El desempeño en la realización del test resultó en valores Kappa considerados como “buenos” en todas las comparaciones, considerándose que el entrenamiento resultó adecuado, lo cual permitirá mejorar más aún la técnica y extenderla a todo el personal de enfermería.

 

 

 

0379   Complicaciones asociadas al trasplante haploidéntico de médula ósea. Estudio de morbilidad y mortalidad durante la internación en unidad de trasplante

A Bárbara(1), P Reyes(2), MH Fernández Darritchon(2), P Longo(2), AJ Siaba Serrate(2), S Torres(2), T Iolster(2)

(1) Universitario Austral. (2) Hospital Universitario Austral.

 

El trasplante haploidéntico de células hematopoyéticas es una terapia potencialmente curativa para una amplia variedad de patologías, entre las que nombramos en primer lugar por frecuencia la leucemia linfoblástica y mieloblástica, linfomas, tumores sólidos, inmunodeficiencias y otros trastornos.

Si bien muchas veces es la única alternativa terapéutica, está asociado con alta tasa de complicaciones y mortalidad, las cuales son mayores en el primer año posterior al trasplante debido a la toxicidad de las drogas y la carga de inmunosupresión, y por sobre todo durante la internación del paciente en unidad de TAMO.

Varias son las condiciones a valorar al momento de su indicación. El estatus de enfermedad del paciente, el tipo de donante, el esquema de acondicionamiento, las comorbilidades previas condicionan la evolución y resultados. Existen escasos estudios que describen la incidencia de las complicaciones inmediatas al trasplante en la unidad de TAMO.

El objetivo es describir las complicaciones y la morbi mortalidad posterior al trasplante de médula ósea haploidéntico en pacientes de 0 a 18 años en entre 2017-2022 en la unidad de trasplante de médula ósea del Hospital Universitario Austral.

Método: Estudio observacional retrospectivo

Resultados: Se evaluó un número mayor a 30 trasplantes haploidénticos distribuidos de forma equitativa entre pacientes masculinos y femeninos. Como hallazgo encontramos la mucositis y la sepsis como las dos complicaciones más frecuentes. La ventilación mecánica prolongada se asocia a mayor mortalidad de forma significativa junto con la terapia de reemplazo renal.

 

 

0380   Reporte de caso: Insuficiencia hepática secundaria a amiodarona

CM Mena(1), PL Medici(1), A Bottaro(1), M Enriquez Gentile(1), LC Martinez Rigo(1), MA Nogueira(1), JE Gonzalez Rapana(1), C Assali(1)

(1) Hiemi.

 

Introducción: La amiodarona es un antiarrítmico utilizado frecuentemente en la Unidad de Cuidados Intensivos Pediátricos. Aunque sus efectos secundarios están bien documentados, existen complicaciones agudas raras que pueden pasar desapercibidas, como la hepatotoxicidad aguda y falla renal.

Presentación del caso: Paciente femenina de 4 años de edad con antecedente de cardiopatía congénita corregida y sin hepatopatía previa, ingresa a Terapia Intensiva con diagnóstico de taquicardia supraventricular con aberrancia que no responde a adenosina ni amiodarona (tres cargas de 5 mg/kg y mantenimiento), con posterior descompensación hemodinámica y necesidad de cardioversión eléctrica (sin respuesta).

A las 24 horas deteriora progresivamente su función renal y hepática (Gráfico), por lo que se deriva a centro de mayor complejidad (Hospital Garrahan) para eventual diálisis y/o trasplante hepático. Allí se realiza ablación del haz anómalo, y se recupera función hepática y renal con hemodiálisis. No requirió trasplante por mejoría clínica y de laboratorio luego de la suspensión de la amiodarona. Se descartaron otras causas de hepatopatía.

Regresa a nuestra institución por contrarreferencia con buena evolución y posterior alta.

Discusión: Se desconoce el mecanismo de la hepatotoxicidad por amiodarona, y resulta difícil realizar el diagnóstico diferencial del daño secundario a isquemia, que es mucho más común (algunos autores afirman que son la misma entidad). Podría atribuirse a la droga en aquellos casos con rápida mejoría después de suspender la amiodarona, como en el caso presentado.

Conclusión: La mayoría de las publicaciones sobre el tema son en población adulta, y muestran un patrón similar de síntomas y laboratorio, con enzimas hepáticas y bilirrubina elevados. La insuficiencia renal grave concomitante es rara, siendo la causa más frecuente de mortalidad en estos pacientes. Es por esto que puede resultar útil la monitorización de estos parámetros luego de la administración de la amiodarona.

Sin embargo, la lesión hepática es rápidamente reversible después de suspender la amiodarona y la tasa de mortalidad es baja, por lo que no debería limitarse su uso en aquellos pacientes que tengan clara indicación de la droga.

 

 

 

0381   HEMORRAGIA SUBARACNOIDEA EN PACIENTES ONCOHEMATOLÓGICOS: REPORTE DE CASOS

R Arevillca(1), P Gomez(1)

(1) El Cruce.

 

Introducción: La Hemorragia subaracnoides es una entidad clínica-radiológica aguda caracterizada por manifestaciones neurológicas y cambios en las neuroimágenes.

HSA no aneurismática: Abarca una amplia lista de causas menos frecuentes como malformaciones vasculares, alteraciones hemodinámicas cerebrales, vasculopatías, neoplasias, infecciones o abuso de sustancias, entre otras.

La HSA no aneurismatica comprende un 10%, dentro de esta la HSA en paciente oncohematologicos es infrecuente, su incidencia desconocida. Y esta asociado a plaquetopenia.

En la literatura científica sólo han sido reportado informes y series de casos de hemorragias cerebrales. Existe poca información disponible de HSA en pacientes oncohematológicos.

Objetivo: Describir la presentación clínica, características demográficas y evolución de 2 pacientes oncohematológicos con HSA secundaria a plaquetopenia internados en Hospital El Cruce en el año 2022.

Desarrollo: Ambos pacientes con diagnostico de leucemia mieloide aguda que se encontraban realizando quimioterapia presentaron manifestaciones clinicas distintas, pero con una tomografia de hemorragia subaragnoidea, pasaron a terapia intensiva, uno resolvio síntomas antes de las 48 horas, evolucionaron favorablemente.

Discusión: Las hemorragias en oncohematológicos son especialmente graves. Entre los factores encontramos la asociación de plaquetopenia durante la fase de pancitopenia e hipertensión arterial

A diferencia de lo que sucede en inmunocomprometidos, el manejo de estos pacientes es casi exclusivamente sintomático, ya que suelen presenter una o más contraindicaciones para la cirugía (plaquetopenia, coagulopatia, inmunodeficiencia).

Conclusiones: A diferencia de lo reportado en la literatura, esta serie de casos solo se centra en pacientes con patología oncohematológica; sin embargo han demostrado un comportamiento clínico e imagenológico similar.que inician tratamineto con quimioterapia para posterior trasplante de médula ósea.

En la evolución, los 2 pacientes requirieron pase a unidades de cuidados intensivos, los 2 evolucionaron con recuperación ad integrum con tratamiento conservador, requirieron transfusión de plaquetas con objetivo mayor a 50.000/mm3.

 

 

 

0383   Indicadores de utilización de antimicrobianos en una unidad de cuidados intensivos de adultos de un hospital de alta complejidad post pandemia

M Garcia Sarubbio(1), MA Mazzoleni(1), MJ Meschini(1), C Colavita(1), V Aramendi(1), A Barbieri(1), C Paez(1), V Pazos(1), MC Marchena(2), MG Sáenz(1), S Tal Benzecry(1), CI Loudet(1)

(1) Higa Gral San Martin. (2) Higa  Gral San Martin.

 

Introducción: El alto consumo de antimicrobianos (ATM) en las UCIs es un factor contribuyente a la emergencia de resistencia. Conocer la situación local después de un período extraordinario de pandemia por Covid 19, puede colaborar en la definición de intervenciones de mejora en el marco de la renovación del programa de optimización (PROA).

Objetivo: Medir indicadores de utilización de antimicrobianos en una UCI de adultos.

Materiales y métodos: Estudio descriptivo observacional prospectivo entre enero y junio de 2022 en una UCI médico quirúrgica de 20 camas de un hospital de alta complejidad. Se incluyeron pacientes consecutivos ingresados a UCI (≥ 48 hs). De las prescripciones electrónicas se extrajeron los datos de dosis a 28 días. Se registraron características de pacientes y se determinaron los consumos del período en dosis diarias definidas (DDD)/1000 días-paciente (DP), los días totales de tratamiento (DOT)/1000 días-paciente, los días libres de ATM totales y divididos en cuartiles de 7 días, el porcentaje de pacientes que usaron cada ATM y los más consumidos. Los datos se expresaron de acuerdo a su naturaleza.

Resultados: En el periodo ingresaron 218 pacientes ≥ 48 hs. Sus características se observan en Tabla 1; 141 usaron ATM. Indicadores: DDD/1000 DP: 1866,90 y DOT/1000 DP: 1425,70. Los ATM más consumidos de acuerdo a DDD y % fueron: Colistin 696,55 (16 %),Cefepime 695 (16%), Meropenem 462 (10%), Cefazolina 396 (9%), Vancomicina 390,4 (9%), Tazonam 322,5 (7%). Los días libres de ATM (a 28d): 2 [0-5], Cuartil 1: 2 [0-3], Cuartil 2:1 [0-7], Cuartil 3:3 [1-5], Cuartil 4:8 [4-12]. ATM más prescriptos: colistin 65%, tazonam 58%, vancomicina 51%, cefepime y meropenem 40 % y cefazolina 15%.

Conclusión: Se observa una población con alta severidad de ingreso, requerimiento de ventilación mecánica y estadía prolongada en UCI. El 65% requirió ATM; los más consumidos fueron colistin, cefepime y meropenem, los más prescriptos fueron colistin, tazonam, vancomicina, meropenem y cefepime. La mediana de días libres de ATM fue de 2. El seguimiento con indicadores estandarizados permite analizar futuras decisiones, más aún en contextos de pandemia/post pandemia.

 

 

 

0384   Trasplante Hepático con donante vivo: Una oportunidad creciente

J Castro Méndez(1), P Reyes(1), I Malla(1), M Fauda(1), T Iolster(1), AJ Siaba Serrate(1), S Torres(1)

(1) Hospital Universitario Austral.

 

Introducción: El trasplante de hígado de donante vivo (LDLT) es una opción cada vez más utilizada para resolver la escasez de órganos fallecidos en pacientes pediátricos con enfermedad hepática en etapa terminal (ESLD), errores congénitos del metabolismo o tumores hepáticos.

Objetivo: Reportar sobrevida y evolución de pacientes con donante vivo en un programa de trasplante Hepático de un Hospital de alta complejidad.

Población y Métodos: Se revisaron retrospectivamente las historias clínicas digitales de los receptores pediátricos de TH entre 2001 y 2021 y se analizaron los resultados en supervivencia, complicaciones y duración de la estancia hospitalaria con el programa STATA 10.0, comparando Donante vivo contra donante cadavérico.

Resultados: Sobre 217 pacientes trasplantados, con 52% de mujeres, mediana de edad 15 meses (R:28 dias-17 años) y mediana de peso 9kg (R: 2-66kg), tuvimos una mediana de seguimiento post trasplante de 23 meses (R: 12meses-18 años), el diagnóstico más frecuente fue Atresia de vías biliares 57%, Falla hepática aguda 18%, Cirrosis 10% entre las principales causas.

Conclusión: En nuestra serie, aunque el grupo LDLT mostró más complicaciones vasculares y biliares (estadísticamente no significativas) relacionadas con los receptores más jóvenes y de menor tamaño en este grupo, tuvieron una mejor supervivencia (estadísticamente no significativa) y un tiempo de UCI y hospitalización global similar.

LDLT es una excelente opción y proporciona buenos resultados para pacientes pediátricos con ESLD en el escenario de escasez de órganos.

 

 

0385   NIVELES ELEVADOS PERSISTENTES DE TROPONINA T EN PACIENTE CON MELANOMA TRATADO CON NIVOLUMAB. A PROPÓSITO DE UN CASO

P Melchiori(1), D Abila(1), E Guerrero(1), P Bucciarelli(1), C Santilli(1), H Rothe(1), P Brenzoni(1)

(1) Hospital Universitario Austral.

 

Introducción: Nivolumab es un inmunomodulador utilizado para el tratamiento de Melanoma, el cual se asocia a eventos adversos relacionados con el sistema inmunitario (irAE).

Caso clínico: Paciente masculino de 71 años que recibe primer ciclo de Nivolumab (480mg) por diagnóstico de Melanoma. 4 días después se presenta con astenia y dolor generalizado. Al ingreso los datos de laboratorio revelan GOT 482 U/L, GPT 339 U/L, LDH 1144 U/L, ProBNP 178 pg/mL, CK 1776 U/L, Aldolasa sérica 49 U/L y Troponina T hs 1955 pg/mL (TnT-hs) . Se decide su internación en UCO por sospecha de miocarditis tóxica. El paciente no presentaba antecedentes de angina ni ICC. Los estudios de Ecodoppler Cardiaco Color, Resonancia Magnética, y Radiografía de Tórax no mostraron hallazgos patológicos. Los valores elevados de TnT-hs generaron sospecha bioquímica de falsos positivos por interferencias analíticas con anticuerpos heterófilos o complejos de macro-troponina. Ante esto, se realizaron diferentes diluciones en el suero del paciente (TABLA 1). Los resultados obtenidos no mostraron cambios en el orden de los valores. Para comprender el estado cardíaco del paciente, se midió Troponina I hs (TnI-hs) en diferentes muestras evidenciando valores aumentados. La evolución cronológica de resultados de laboratorio del paciente se muestran en la TABLA 2.

Discusión: No se pudo poner en evidencia la presencia de interferencias analíticas en la determinación de TnT-hs. El aumento de TnI-hs acompaña la sospecha de miocarditis tóxica, aunque los estudios de imágenes no evidencian alteraciones significativas. Los valores elevados de transaminasas, CK y Aldolasa sugieren el diagnóstico de hepatitis y miositis tóxica, respectivamente. Luego de 2 meses y con la posterior administración de corticoides, los niveles de CK, transaminasas y TnI-hs disminuyeron, por el contrario, los niveles de TnT-hs permanecieron elevados.

Conclusión: Es de suma importancia abordar el diagnóstico de forma multidisciplinaria, conocer los efectos adversos de estas drogas y tener presente posibles interferencias analíticas de tal forma de descartarlas o reforzar la idea de un daño real, para poder brindar una atención rápida a pacientes con cardiotoxicidad debido a su alta tasa de mortalidad.

 

 

 

 

0386   CONSUMO DE ANTIMICROBIANOS EN UNA UNIDAD DE CUIDADOS INTENSIVOS DE ADULTOS

M Garcia Sarubbio(1), MA Mazzoleni(1), MJ Meschini(1), C Colavita(1), V Aramendi(1), A Barbieri(1), CE Páez(1), V Pazos(1), MC Marchena(2), MG Sáenz(1), S Tal Benzecry(1), A Garroni(1), CI Loudet(1)

(1) Higa Gral San Martin. (2) Higa  Gral San Martin.

 

Introducción: El uso inapropiado de antimicrobianos (ATM) en unidades de cuidados intensivos (UCI), donde existe alta prevalencia de infección por gérmenes multirresistentes (MOR), puede derivar en aumento de morbilidad, mortalidad y costos hospitalarios. Revisar la evolución de nuestro patrón de uso a lo largo de los últimos años es un importante nivel de análisis dentro de un programa de optimización de antimicrobianos (PROA).

Objetivos: Analizar el perfil de consumo de ATM entre 2015 y 2021 y comparar el costo anual de ATM a lo largo de 7 años.

Métodos: Estudio observacional de cohorte retrospectivo en la UCI de adultos (14 camas) de un hospital de alta complejidad. Los consumos de ATM de uso endovenoso entre 2015 y 2021 se recolectaron del sistema de dispensación automatizada de medicamentos y se expresaron en Dosis Diaria definida (DDD)/100 día cama ocupada (DCO). El costo en pesos se determinó actualizado al último precio de compra, junio 2022. Se realizaron comparaciones múltiples del consumo y costos anuales totales cada 100 DCO en siete años para cada ATM, con Tests ANOVA o Kruskal-Wallis con ajuste Bonferroni. Se consideró significativa p<0.05

Resultados: Se utilizaron 39 ATM diferentes; 20396 DDD/100 DCO en total. Más de la mitad del consumo global correspondió a meropenem (18.24%), colistin (16.43%), vancomicina (11.3%) y cefepime (9.56%). En 2021 se observó un consumo significativamente menor de piperacilina-tazobactam y fluconazol, mayor de cefepime, cazavi, aztreonam y anidulafungina; amikacina menor en 2015 vs 2016-2017-2020, fosfomicina fue más consumida en 2016.El resto no presentó diferencias. El costo anual en pesos mostró tendencia ascendente en 2020 y 2021 y al ajustar por DCO resultó significativamente mayor en 2021 vs 2015, 2017 y 2018.

Conclusión: Los mayores consumos correspondieron a ATM que no presentaron importantes diferencias en los 7 años evaluados. El aumento en el costo asociado a mayor consumo de Cazavi/Aztreonam y anidulafungina con la disminución de otras alternativas expone la emergencia de MOR pero a su vez la necesidad de complementar el PROA con este tipo de análisis para planear e implementar estrategias de mejora pertinentes.

 

 

0388   BILIOMA COMO COMPLICACION DE TRAUMATISMO HEPATICO EN LA TERAPIA INTENSIVA INFANTIL. REPORTE DE 2 CASOS

M Pazmino(1), M Giampieri(1), M Gonzalez(1), C Lutkevicius(1), P Castellani(1), M Rabino(1)

(1) Sor Maria Ludovica De La Plata.

 

Introducción: Las lesiones de las vías biliares por causa traumática son infrecuentes en la edad pediátrica, su incidencia llega al 3% en trauma abdominal cerrado. La secuela frecuente es el bilioma, colección encapsulada fuera del árbol biliar. La evolución es variable incluso hasta 4 semanas del evento traumático, determinando diagnóstico tardío, aumentando la morbilidad y estancia hospitalaria. El tratamiento puede incluir medidas conservadoras y mínimamente invasivas.

Objetivo: Describir las características clínicas, exámenes complementarios y evolución clínica de 2 pacientes con Trauma hepático severo y bilioma, que requirieron Unidad de Cuidados Intensivos Pediátricos.

Descripción: Se reportan dos casos de pacientes pediátricos masculinos de 14 años que ingresaron por traumatismo abdominal cerrado, uno por caída y coz de caballo y otro por colisión vehicular. La causa de ingreso prevalente fue shock hipovolémico. En ambos casos se detectó laceración hepática grado 4, y requirieron laparotomía exploratoria, packing hepático alrededor de 2,4 días, e inotrópicos en promedio 8 días. Permanecieron internados con una media de 65 días, prolongando su estancia intercurrencias infecciosas, injuria renal y bilioma. Presentaron drenajes pleurales aproximadamente 12,4 días y peritoneales 15 días, recibieron nutrición parenteral durante 22.4 días, lográndose rehabilitación enteral progresiva completa a los 20 días. Necesitaron ARM 18 y 51 días, este último requirió traqueostomía por fallos mixtos, que al alta se logró decanular.

Durante su evolución presentaron bilirragia y derrame pleural derecho sin compromiso colestásico por laboratorio. El paciente con menor estancia hospitalaria en control ambulatorio evidencio colección magna (bilioma) supra-hepática segmentos VI y VII 13x7x9cm; mientras que el otro paciente colección pequeña en segmento VII de 4x2cm, y ambos se realizaron drenaje percutáneo, uno guiado por TAC y otro por ecografía.

Conclusiones: Laceraciones graves del parénquima hepático asociado a lesión de vía biliar, puede incrementar el riesgo de formación de bilioma. Solo aquellos con dimensiones mayores pueden manifestarse clínicamente, luego de un periodo de latencia. Es una complicación rara, y precisa alta sospecha diagnóstica en pacientes con politraumatismos que incluya trauma abdominal. El tratamiento de elección es drenaje percutáneo guiado por ecografía o TAC, dejando la cirugía para los casos con fuga activa y fracaso del drenaje.

 

 

 

 

0389   REPORTE DE CASO: SÍNDROME DE GUILLAIN-BARRÉ VARIANTE NEUROPATÍA MOTORA AXONAL AGUDA, PRESENTACIÓN ATÍPICA

AS Piga(1), TE Lujan(1), CS Senger(1)

(1) Clínica Modelo Sa.

 

Introducción: El Síndrome de Guillain Barré (SGB) es una polirradiculoneuropatía inmunomediada usualmente precedida por una infección, como Campylobacter jejuni, u otra estimulación inmune, como la vacunación. Se clasifica en desmielinizante (AIDP) y axonal (AMAN).

Presentación del caso: Masculino de 42 años, trabajador rural, con antecedente de obesidad y de vacunación para COVID 19 con 3 dosis. Consultó por cuadro de debilidad muscular de los 4 miembros de inicio súbito, sin compromiso sensitivo y sin síntomas previos, ingresando a UTI con debilidad facial bilateral simétrica leve, hipofonía y disglusia; cuadriparesia; arreflexia generalizada. Sensibilidad y función esfinteriana conservada. LCR con leucocitos 2/mm3 y proteinorraquia 0.70 g/L; RM de cerebro sin alteraciones y médula espinal cérvico-dorso-lumbar de morfología e intensidad de señal normal. Por compromiso bulbar requirió ARM. Se solicitaron Ac Anti-GM1 con resultado positivo. Se solicitó pantomografía para diagnóstico diferencial, se observó disección aórtica con extensión hacia ambas arterias ilíacas y trombosis de la arteria ilíaca externa y femoral izquierda, se anticoaguló. Se realizó electromiografía que informa polineuropatía axonal a predominio de miembros inferiores. Inició plasmaféresis, realizó 7 sesiones, y posteriormente inmunoglobulina G EV 2 g/kg sin mejoría clínica, se derivó al paciente a centro de rehabilitación.

Discusión: El SGB puede ser un trastorno complejo de diagnosticar y manejar. Nuestro paciente cumplía con los criterios clínicos, bioquímicos, electromiográficos y dosaje de anticuerpos anti-GM1. Se realizaron numerosos diagnósticos diferenciales al ingreso del paciente: encefalitis y eventos vasculares, descartado por RM; mielitis transversa, infiltración medular o síndrome paraneoplásico, no se evidenciaron alteraciones medulares en RM, ni tumores en cerebro, tórax, abdomen o pelvis; enfermedad de Lyme, presentaba patrón axonal, pero anticuerpos Anti-Borrelia burgdorferi negativos; miastenia gravis, botulismo y síndrome de Eaton-Lambert, no compatible con electromiograma.

Conclusión: Destacamos que luego de la búsqueda de posibles desencadenantes no se pudo encontrar etiología concreta; y el segundo punto a resaltar es la instauración súbita de los cuadriparesia. A pesar del tratamiento actual, nuestro paciente persiste con secuelas discapacitantes.

 

 

0391   ACV ISQUÉMICO EN PACIENTE JOVEN, LA IMPORTANCIA DEL TRATAMIENTO COMBINADO PRECOZ. REPORTE DE CASO

R Retambay(1), RR Reinoso(1), NS Llanes(1)

(1) San Bernardo.

 

Introducción: Un accidente cerebrovascular (ACV) ocurre cuando el suministro de sangre a una zona del cerebro se ve gravemente comprometido.

Documentada como la tercera causa de muerte y la primera causa de discapacidad en la Argentina. Los eventos isquémicos constituyen el 80% de los casos del total de eventos cerebro vasculares.

Presentación del caso: Paciente de sexo femenino de 20 años, antecedentes de consumo de ACO y poliquistosis ovarica, consulta por hemiparesia braquiocrural izquierda, se realiza TC de cerebro que evidencia borramientos de surcos a nivel temporal derecho, ASPECT 10, Ingresa a Unidad de Stroke con NIHSS 6, con tiempo puerta-aguja de 30 minutos, se inicia infusión de rtPA, según protocolo (2 hs 30 de inicio de síntomas). Durante el mismo presenta aumento de NIHSS a 13, se realiza AngioTC constatándose oclusión de M2 derecha, se decide Trombectomía con tiempo imagen-punción de 60 minutos (5 hs de inicio de síntomas) obteniéndose resultados favorables con TICI 2b.

Cursa internación en UTI durante 48 hs, pasa a sala con sospecha de SAF, previo al alta se realiza RNM que evidencia imagen parieto temporo insular izquierda y en cabeza del caudado izquierdo, hiperintensa en FLAIR y DWI, hipointensa en ADC, compatible con isquemia. Egreso hospitalario con Rankin 1.

Discusión: La evidencia sugiere que la trombectomía ante fallo en trombolisis sistémica es una práctica segura, aunque el presente caso requería tratamiento combinado inicial, se obtuvo buena respuesta ante tratamiento diferido. La incidencia de ACV isquémicos es mas frecuente en pacientes mayores de 55 años, la baja prevalencia en jóvenes obliga a estudiar causas alternativas, siendo en este caso TOAST 4.

Conclusión: La importancia del monitoreo continuo y la rapidez en la toma de decisiones demostró mejorar la morbilidad en esta patología, como se ve en el caso en donde la paciente no presentó déficit funcional a pesar de la evidencia de compromiso en la IRM de control.

 

 

 

 

0392   Trombosis venosa cerebral con transformacion hemorragica en Enfermedad de Wilson

L CASTIBLANCO(1), YR AREVILLCA(1), I PEÑA CECCONI(1), J NAVIA(1), C RODRIGUEZ(1), D SANCHEZ(1), Y SAAD(1)

(1) Hec.

 

Introducción: La trombosis venosa cerebral representa el 1% de las enfermedades cerebrovasculares. Puede afectar a cualquier grupo etario, aunque es más frecuente en jóvenes. Clínicamente puede presentarse como cefalea, alteraciones visuales, trastornos del lenguaje, déficit motor y/o sensitivo, pudiendo observarse infartos venosos y/o hemorragias cerebrales. Su relación con la Enfermedad de Wilson no está un descripto.

Caso Clínico: Paciente de 23 años con antecedente reciente de neumonía por SARS CoV2 quien consultó a un servicio de guardia por síndrome ascítico edematoso con alteración del hepatograma en dos oportunidades, evolucionó con falla renal requiriendo terapia de reemplazo renal y luego presentó foco motor neurológico. Se realizó TC de encéfalo que evidenció hemorragia parietal derecha, se completó el estudio con RMN con contraste que identificó trombosis del seno venoso transverso.

Persistió con alteraciones del hepatograma y signos de hipertensión portal por lo que, entre otras determinaciones, se realizó dosaje de ceruloplasmina, que se encuentraba disminuida; y cobre, que se encuentraba elevado; por lo que se llega al diagnóstico de Enfermedad de Wilson.

Discusión: Este caso presentó un desafío diagnostico ya que no existe una relación clara entre la enfermedad de Wilson y la trombosis del seno venoso.

Ante un cuadro clínico que afecta diferentes órganos y sistemas que no son congruentes, tenemos la obligación de continuar con el estudio etiológico persiguiendo la unicidad al momento de plantear los diagnósticos diferenciales.

 

 

0393   PREVALENCIA DE DISFAGIA EN PACIENTES INTERNADOS EN UNIDAD DE CUIDADOS INTENSIVOS

J Soria(1), M Singh(1), F Am(1), J Moreno(1), S Ramos(1)

(1) Sanatorio San Roque.

 

Introducción: La disfagia ha sido reconocida por la OMS como una discapacidad y esta asociado con un aumento de la morbilidad, mortalidad y los costos de atención. Estos pacientes tiene alto riesgo de desnutrición o la misma puede estar presente desde el inicio de internación. La principal prioridad es realizar oportunas modificaciones dietéticas para evitar la aparición de complicaciones y ayudar a la rehabilitación.

Objetivos: Determinar la incidencia de disfagia en pacientes de terapia intensiva del Sanatorio San Roque durante mayo-julio del 2021.

Materiales y métodos: estudio cuantitativo descriptivo de corte transversal. Se evaluaron 95 pacientes mediante examen físico al ingreso, se realizo evaluación de los musculos que intevienen en la masticación según funcionalidad para determinar la presencia de disfagia.

Resultados: Del total (n=95), el 55% (53) corresponde a sexo masculino. La edad más frecuente fue 60 a 80 años (61%). Con edad media de 66,1 años. El 78% presentó deglución normal sin disfagia. El 14% se encontraba con disfagia esofágica mientras que el 11% presento disfagia con compromiso de la fase oral. La mortalidad de los pacientes fue 16 % en los pacientes estudiados. El 39% de pacientes con disfagia fallecieron (test de Fisher 0,0024-p o,o1).

Conclusión: La disfagia es una patología frecuente en pacientes que ingresan a uti, afecta tanto a varones como mujeres. La predisposición de padecer disfagia esta relacionada con la cantidad de comorbilidades. Se observo que aquellos pacientes que padecen disfagia presentan mayor mortalidad.

 

 

 

 

0394   DISFUNCIÓN ORGÁNICA SECUNDARIA A CONSUMO DE MDMA

I Peña Cecconi(1), Y Saad(1), R Arevillca Yugar(1), J Navia(1), LM Castiblanco(1), K Botana(1)

(1) Hospital El Cruce.

 

Introducción: El alcohol y drogas de abuso, presentan un consumo cada vez más extendido.

El daño hepático agudo en la población joven, una vez descartadas las hepatitis virales, el consumo de cocaína y metanfetaminas, ocupa un lugar muy importante como factor etiológico. La cocaína es una causa importante de daño hepático grave asociado a rabdomiólisis. El daño hepático sin rabdomiólisis, es más frecuente como consecuencia del consumo de metanfetaminas.

A propósito de una paciente con cuadro de disfunción múltiple de órganos por consumo de éxtasis, marihuana y metanfetaminas, investigamos en los diferentes medios de búsqueda bibliográfica médica y encontramos reporte de casos.

Caso clínico: Paciente femenina de 20 años, ingresó a la guardia por excitación psicomotriz e hipertermia. Consumo reciente de MDMA.

Se realizó laboratorio inicial que evidenció: AKI III en contexto de rabdomiólisis, acidosis metabólica, hepatitis aguda con aumento enzimático por 10, y coagulopatía.

Se detectó en orina: MDMA, Marihuana y Anfetamina

Evolucionó con síndrome serotoninérgico grave, requiere intubación orotraqueal y ventilación mecánica. Se realizó, dosis de carga y mantenimiento de Ciprohepatidina.

Fue derivada a nuestro centro para valoración por servicio de Hepatología con diagnóstico presuntivo de falla hepática fulminante.

Se realizó ecocardiograma por el aumento de la troponina ultrasensible y la presencia de trastornos de la repolarización en cara lateral en el ECG; que descartó disfunción biventricular, FEVI 65%, aurículas de tamaño conservado, sin signos de valvulopatía.

TAC de encéfalo sin daños estructurales; y tórax presentó consolidación basal derecha secundaria a broncoaspiración

Discusión: El consumo de drogas de abuso es un problema de salud creciente en el mundo, hemos encontrado solo reporte de casos de la falla hepática secundario al consumo de MDMA.

Es nuestro compromiso compartir las experiencias de casos similares a fin de llegar a diagnósticos tempranos y tratamientos oportunos.

En la revisión bibliográfica realizada, encontramos que el daño hepático secundario al consumo de éxtasis puede presentarse asociado o no a rabdomiólisis (de aparición inmediata o más tardía). El cuadro tardío es similar a una hepatitis aguda, las otras dos formas de presentación se asociaron a necrosis, similar a lo que sucede con la cocaína.

El trasplante hepático como tratamiento es discutido en el marco del pronóstico asociado a las toxicomanías.

 

 

 

 

0395   ENCEFALOPATIA DE WERNICKE EN PACIENTE CON PANCREATITIS AGUDA CON NUTRICION PARENTERAL PROLONGADA

R Arevillca(1)

(1) El Cruce.

 

Introducción: Es una alteración neurológica más frecuente relacionada al déficit de tiamina, los requerimientos diarios de vitamina B1 es 1-2 mg

La EW se ha descrito, además de en sujetos con alcoholismo, en enfermedades tan dispares como la anorexia nerviosa, la diálisis peritoneal, neoplasias diseminadas, la hiperémesis gravídica o en pacientes intervenidos de cirugía gastrointestinal, nutrición parenteral prolongada sin aporte de vitaminas.

Presentación del caso: Paciente femenino de 24 años de edad. Curso internación en otro nosocomio por presentar pseudoquiste pancreático de 5 semanas de evolución secundaria a pancreatitis aguda litiásica, con intolerancia digestiva asociado a náuseas y vómitos sin respuesta al tratamiento médico. Por lo que fue derivada para resolución quirúrgica.

A su ingreso reinicia nutrición parenteral.

En el día 1 de POP de quiste-yeunoanastomosis intercurrió con diplopía de ojo derecho, nistagmo horizontal, parálisis del VI bilateral, posterior deterioro del sensorio Glasgow 10/15 por lo que se realiza nueroimágenes.

Se reinterpreta diagnostico como síndrome de Wernicke en contexto de alimentación parenteral sin suplementación de complejo B e imágenes compatibles en la RMN de encéfalo. Inicia infusión de vitamina B.

Discusión: El tratamiento debe ser la reposición de tiamina lo antes posible, esta evidencia no procede de ensayos clínicos controlados debido a la dificultad para realizarlos. Por otra parte, existe también acuerdo acerca de la conveniencia de instaurar una dieta normal lo antes posible. la administración inicial debe ser intravenosa, y debería mantenerse hasta la estabilización clínica

En cuanto a la profilaxis, se recomienda la utilización de tiamina en situaciones de riesgo como son los pacientes alcohólicos, anorexia, pacientes oncológicos o sometidos a cirugía bariátrica, Conclusión

Debemos sospechar Síndrome de Wernicke en todo paciente con factores de riesgo o no que presenten deterioro del estado mental alterado no diagnosticado, trastornos oculomotores o ataxia.

En pacientes con alta sospecha, iniciar Tiamina en forma empírica por el alto riesgo de progresión a coma y muerte.

 

 

 

0396   ASPERGILLOSIS ABDOMINAL

A Jora(1), C Colque Espada(1), ME Boazzo(1), Y Juarachy(2), R Quisbert(2), Y Ramos Alcaraz(2), JC Garcia(1), C Farias(2)

(1) Hzga Balestrini. (2) Hzga.

 

Las micosis sistémicas son enfermedades graves y letales. Frecuentes en huéspedes inmunocomprometidos.

Objetivo: Descripcion de caso clinico.

Material y métodos:

Analisis retrospectivo de historia clínica: Femenina de 25 años sin antecedentes. Cesarea 15/3/22.

Reingresa a nuestra institución 72 hs por cesarea por presentar dolor abdominal, fiebre, secreción herida quirúrgica y loquios fétidos.

Se realiza ecografía que evidencia endometrio engrosado con colección en sitio quirúrgico.

Se realiza histerectomía subtotal + lavado de cavidad. Inicia tratamiento antiobiótico empírico con gentamicina/clindamicina, se toman cultivos con rescate bacteriológico s.Hominnis, s. Viridans, s. Lugdunensis. Se rota antibiótico a piperacilina/tazobactam por evolución tórpida.

Ingresa a uci con diagnóstico de sepsis puerperal.

Tac tórax/adbomen y pelvis infiltrados pulmonar bilaterales, uronefrosis, colección supravesical, conducta espectante.

Dia 9: Ecografía colección 50 mm x 18 mm flanco derecho se realiza punción y evacuación, debito purulento.

Febril persistente se reitera tac de abdomen: uronefrosis + líquido libre a nivel pelviano, laparotomia exploradora + histerectomia total + salpinguectomia sub total drenaje de abceso + apendicectomía + lavado de cavidad abdominal.

Inicia empíricamente meropenem, vancomicina, colistin + fluconazol por candida score elevado.

Resultado de cultivo en liquido abdominal/piel y partes blandas:  aspergillus.

Se rota a anfotericina liposomal.

Conclusion: Se presenta dicho caso clínico para describir la evolución y clínica de un patógeno con baja prevalencia en cavidad abdominal.

 

 

0397   Neumonía asociada a ventilación mecánica bacterémica por Chryseobacterium indologenes en paciente con cáncer pulmonar: reporte de caso

AN Pérez Murúa(1), M Jaume(1), MF Piñeiro(1), MP Cordero(1), D Lafosse(1), A Tristaíno(1), L Pero(1), B Castro(1), D Dobricich(1), K Cisneros(1), E Porjolovsky(1), L Franconieri(1)

(1) Sanatorio Antártida.

 

Introducción: Chryseobacterium indologenes es un bacilo gram negativo no fermentador (BGNNF) pigmentado intrínsecamente resistente a carbapenemes. En los últimos años fue descrito como causante de infecciones en huéspedes inmunocomprometidos, incluída neumonías asociadas a ventilación mecánica (NAVM). Su comportamiento como germen emergente, obliga a considerarlo en población susceptible.

Presentación del caso: Paciente masculino de 64 años, ex-tabaquista, EPOC, síndrome de impregnación, y diagnóstico reciente de adenocarcinoma pulmonar, en plan de tratamiento oncoespecífico. Ingresa con cuadro de neumonía grave por H. Influenzae, requiriendo asistencia ventilatoria mecánica (AVM). Al día 5, intercurrió con shock séptico y criterios de NAVM. Inició tratamiento antibiótico con Vancomicina, Imipenem, Colistin. En 48 hs, se documenta en aspirado traqueal S. aureus meticilino-sensible y una colonia de (BGNNF) con pigmentación amarilla, también presente en hemocultivos. Se ajustó esquema a cefazolinacolistin. A las 72 hs, sin obtener respuesta clínica, se toman nuevos cultivos, desarrollando en hemocultivo de BGNNF pigmentado identificado como Chryseobacterium indologenes. Se agregó TMS monoterapia, evolucionando clínicamente favorable sin recaída microbiológica. Finalmente, cursó nuevo evento de NAVM con hipoxemia refractaria y óbito.

Discusión: C. indologenes, es un germen emergente. Es intrínsecamente multirresistente y puede generar biofilm. En nuestro paciente, al no tener respuesta clínica inicial y persistiendo la bacteriemia, se decidió su tratamiento con resultado exitoso.

Conclusió: C. indologenes constituye un posible agente etiológico de NAVM, especialmente en paciente inmunocomprometidos. La presencia de colonias de BGNNF con pigmentación amarilla debe alertar tempranamente de su presencia. Su perfil de amplia resistencia antimicrobiana obliga a considerar al TMS como una opción terapéutica.

 

 

 

0398   MEDIASTINITIS POST CINECORONARIOGRAFIA

EM Choque Ortiz(1), G Tajes(1), E Viscarra(1), A Santa Maria(1), M Berté(1), N Segura(1), D Noval(1), S Ilutovich(1)

(1) Sanatorio De La Trinidad Mitre.

 

El cateterismo cardíaco es un procedimiento invasivo que se utiliza con fines diagnósticos y terapéuticos. Entre las complicaciones más frecuentes se encuentran las vasculares, que ocurren en el 0.43% de los procedimientos. El hematoma mediastinal es una complicacion muy rara.

Se presenta el caso de paciente masculino de 75 años, con antecedente de estenosis aórtica severa sintomática, en plan de implante percutáneo de válvula aórtica. Internación reciente en otro centro donde se realizó cinecoronariografía por vía radial, sin evidencia de patología coronaria, evoluciona post procedimiento inmediato con dolor de pecho, por lo que se estudió con Tomografía y Resonancia Magnética de tórax donde se constató masa mediastinal, por sospecha de tumor se realizó biopsia transbronquial obteniendo material hemático. Se otorgó alta sanatorial.

Consulta a este centro una semana después, por cuadro clínico de disnea CF IV, fiebre y dolor torácico de 48 horas de evolución, normotenso. Evaluado por Servicio de Cardiología, descartan patología coronaria y aortica. Los exámenes de laboratorio mostraron Gb 15.600 mm3; Urea 96 mg%; Creatinina 1.3 mg%; Bilirrubina total 4.1 mg%; Procalcitonina 24 ng/ml. TC de torax con contraste endovenoso se constató imagen hipodensa mediastinal con burbujas aéreas. Por insuficiencia respiratoria progresiva se solicita pase a Unidad de Cuidados Criticos.

Evoluciona con shock septico y falla orgánica múltiple con requerimiento de soporte ventilatorio, vasopresor y hemodiálisis. Desarrolla neumotorax por lo que se coloca tubo pleural evacuándose líquido purulento en contexto de empiema pleural. Se procede a realizar toracoscopía con decorticación pleural y toilette mediastinal. Recibe antibioticoterapia dirigida a Streptococcus Anginosus. Intercurrió con fístula broncopleural resuelta espontaneamente. Evolucionó favorablemente, corrigiendo disfunciones orgánicas, con extubación exitosa y posterior egreso Sanatorial a 29 días de su ingreso.

La efracción vascular es la ruptura de la pared de la arteria; esta puede ocurrir por el catéter guía, utilización de catéter de extensión o la expansión excesiva del balón o del stent.

La Mediastinitis Aguda no secundaria a cirugía previa constituyen un conjunto de entidades clínicas muy infrecuentes pero potencialmente mortales. En la mayoría de los casos se observan como complicación de procedimientos quirúrgicos cardiovasculares o torácicos.

 

 

0400   PANCREATITIS AGUDA SECUNDARIA A HIPERTRIGLICERIDEMIA SEVERA. PRESENTACIÓN DE CASO

G Garelli(1), GM Garelli(1), JJ Storani(1), SB Soli(1), DS Diaz(1)

(1) Hospital Italiano Rosario.

 

Introducción: La hipertrigliceridemia es la tercera causa después de la etiología biliar y alcohólica, y a ella se atribuye el 10% de todos los casos. En general se presenta de forma leve, pero un 15% puede corresponder a una forma grave, asociada muchas veces a necrosis pancreática.

Caso clínico: Mujer de 46 años, diabética tipo II con requerimiento de insulina, dislipémica, hipotiroidea y obesa, colecistectomizada. Ingresa por cuadro de dolor abdominal de intensidad moderada, epigástrico, y vómitos de 48 hs de evolución. Al examen físico paciente lúcida, normotensa, taquipneica, abdomen distendido, doloroso a la palpación, sin defensa, descompresión negativa, RHA disminuidos. Laboratorio: GB 19500 cel/mm3, Glicemia 435 mg/dl, Cetonemia ++, Amilasemia 300 mg/dl, Trigliceridemia 20260 mg/dl, acidosis metabólica. TAC de abdomen sin contraste: ascitis, liquido libre periesplenico e interasas, páncreas edematoso, aumentado de tamaño, rodeado de líquido libre en bandas que produce reticulación. Se expande con cristaloides e inicia infusión con insulina. Agrega HTA que se controla con NTG, tras 48 hs y con mejoría clínico-analítico inicia fibrato y estatina VO. Al día 11 pasa a sala general con valores de TAG 590, resto de laboratorio dentro de valores normales.

Discusión: La pancreatitis aguda es una complicación severa de la hipertrigliceridemia, siendo las manifestaciones clínicas similares a otras pancreatitis. El diagnóstico se realiza a través de análisis de laboratorio e imágenes (TAC). El tratamiento incluye ayuno, hidratación con cristaloides, analgesia, profilaxis antitrombótica y protección gástrica. La insulinoterapia (en este caso necesario para tratar la cetoacidosis diabética) también es útil ya que aumenta la actividad de la lipoproteinlipasa y aumenta la degradación de quilomicrones. En casos graves que no respondan al tratamiento médico se puede considerar el uso de Plasmaféresis.

Conclusión: La hipertrigliceridemia es una causa de pancreatitis aguda que requiere un rápido diagnóstico, a tener en cuenta especialmente en pacientes con mal control metabólico. Su tratamiento es, en la mayoría de los casos conservador, siendo útil la insulinoterapia y los fibratos, permaneciendo la plasmaféresis como tratamiento en casos aislados.

 

 

0401   PRESENTACIÓN ATÍPICA DE UN CASO DE GUILLAIN BARRE POSVACUNACIÓN

M Teherán(2), G Rodrigues(1), D Santos(2), S Toledo(2), J García(2)

(1) Municipal Eva Perón De Merlo. (2) Interzonal De Agudos Dr. Diego Paroissien.

 

Introducción: Las polineuropatías agudas del síndrome de Guillain Barre son usualmente gatilladas por una respuesta inmune o un antecedente de infección o una reacción a epítopos que se comparten con los nervios periféricos. Los principales desencadenantes suelen ser las infecciones, antecedente de vacunación. SGB ocurre en todo el mundo con una incidencia de 1 a 2 casos por 100000 al año. Afecta todos los grupos etareos.

Caso clínico: Masculino de 35 anos de edad sin antecedentes, consulta por perdida de fuerza muscular en cuatro extremidades asociado a parestesia de forma ascendente, en las ultimas 3 semanas previo a su ingreso refiere colocación de vacunas (hepatitis B, influenza y moderna COVID 19) el cual evoluciona rápidamente con insuficiencia respiratoria mixta, se decide intubación orotraqueal y asistencia respiratoria mecánica invasiva. Se realizan tomografía de encéfalo sin alteración morfológicas y punción lumbar que evidencia disociación albumino/citológica se inicia inmunoglobulina a 0.5g/kg/día por 5 días. Intercurre con neumonía asociada a la ventilación mecánica, con aislamiento de proteus mirabillis y en el urocultivo una Klepsiella pneumoniae. por lo que recibió antibioticoterapia dirigida. Por ARM prolongada se realiza traqueostomía percutánea, se inicia weaning de la ventilación mecánica, a las 3 semanas presenta mejoría en la fuerza muscular, sensibilidad superficial y profunda. con la consiguiente desvinculación de la ventilación mecánica, tolerancia a la vía oral

Conclusión: El SGB puede ser una enfermedad difícil de diagnosticar y tratar debido a la heterogeneidad de su presentación clínica y el pronóstico varia ampliamente entre los pacientes. Describimos el caso de un paciente con cuadro de Síndrome de Guillain Barre post vacunación. La terapia con inmunoglobulina IV (IVIG) o plasmaféresis (PLEX) ha demostrado efectividad, sin evidencia de mayor efectividad de una sobre la otra.

 

 

0402   TROMBOEMBOLISMO PULMONAR SECUNDARIO A DISECCION DE LA ARTERIA PULMONAR: A PROPOSITO DE UN CASO

MA Misa(1), A Brañez Toro Yasmani(1), DC Rodriguez(1), CL Landoni(1), A Brizuela(1), JP Soliz(1), J Vazquez(1), S Roldan Montaño(1), A Luzzi(1), J Lescano(1)

(1) Sanatorio Julio Mendez.

 

Introducción: El SM es una enfermedad hereditaria autosómica dominante con una prevalencia de 1: 10.000 nacidos vivos. que compromete el tejido conectivo de varios sistemas. El diagnóstico se basa en criterios clínicos, pero la forma de presentación es muy diversa. En este reporte describimos un caso de presentación clínica atípica con lesión vascular aortica y pulmonar extensa, asociada a insuficiencia respiratoria aguda por tromboembolismo pulmonar bilateral.

Paciente masculino de 27 años sin antecedentes patológicos conocidos, presenta sincope durante la realización de ejercicio por lo que acude a guardia externa presentando taquipnea, saturación de oxigeno 87%, crepitantes pulmonares bilaterales, taquicardia y disociación de tensión arterial 130/45 mmHg. En estudios complementarios se evidencia hipoxemia e radiográfia de tórax con radiopacidad bilateral.

Ingresa a Clínica médica con diagnóstico de NAC. Evoluciona con insuficiencia ventilatoria e hipoxemia severa y signos de shock. A las 24 horas se realiza TAC de tórax y se observa dilatación de la raíz aortica, angio TC que informa disección aortica de aorta ascendente, cayado aórtico, aorta descendente, disección de arteria carótida derecha y arteria coronaria derecha, disección de arteria pulmonar y ambas arterias bronquiales mas TEP bilateral. Se decide cirugía de urgencia de Bentall Bono. Evoluciona con mejoría hemodinámica y respiratoria, se inicia anticoagulación y es dado de alta a domicilio.

Discusión: La complicación más temida del SM es la disección aórtica aguda. Sólo en el 1% de los casos dicha disección aortica se acompaña de disección de la arteria pulmonar y TEP. La formación de un hematoma mural aórtico que se extiende hacia la arteria pulmonar explica la disección de la adventicia que recubre ambos grandes vasos. A medida que la sangre diseca hacia las arterias pulmonares obstruye las ramas segmentarias de la arteria pulmonar por compresión extrínseca y explica el TEP asociado. La pronta detección del TEP asociado es fundamental para desviar el pronóstico desfavorable de la enfermedad.

Conclusión: El diagnóstico del SM es un desafío clínico. La disección concomitante de la arteria aortica y pulmonar es una complicación grave muy poco frecuente y de difícil manejo clínico. La falta de experiencia dificulta además la toma de decisiones.

 

 

0403   Valoracion del estado nutricional de los pacientes que ingresan a UTI  y su relación con los valores de albumina serica

M Ramon(1), M Singh(1), N Aguer(1), F Am(1), J Moreno(1), S Ramos(1)

(1) Sanatorio San Roque.

 

Introducción: La desnutrición hospitalaria incrementa las complicaciones infecciosas y no infecciosas, así como la morbilidad y mortalidad. La evaluación del estado nutricional debe ser la primera intervención para planificar una asistencia nutricional temprana y eficiente.

Objetivo: Determinar el estado nutricional de los pacientes al momento del ingreso a UTI y su relación con los valores de albumina sérica.

Materiales y métodos: Estado nutricional. Materiales y métodos Se realizó un estudio prospectivo, descriptivo, observacional de corte transversal, encuestándose 77 pacientes al ingreso a la unidad de terapia intensiva, desde el 1 de mayo al 31 de julio de 2022.

Resultados: Se observó según el IMC, el 13.37 % (n = 10) de los pacientes presentó bajo peso, el 48.83 % (n = 38) peso normal, el 36.36 % (n = 28), sobrepeso, y el 1.29 % (n=1) obesidad. El 51.94 % (n = 40) del total de pacientes tuvo niveles de albúmina disminuidos. El 62.5 % (n = 25) de los pacientes con desnutrición presentó niveles de albúmina entre 3.4 y 3 g/dl y el 27.5% (n = 11), albúmina entre 2.9 y 2.1 g/dl. El 20 % (n = 8) con desnutrición tuvo valores de albúmina por debajo del límite de normalidad. Las variables IMC y niveles de albúmina registraron asociaciones significativas en relación con la desnutrición.

Conclusión: Al analizar la variable IMC, la cual se agrupó en desnutridos y no desnutridos (que incluyó peso normal, sobrepeso y obesidad), el grupo de desnutridos (según el IMC) tuvo 5.5 veces más riesgo de presentar desnutrición que el grupo de no desnutridos. Al analizar la variable niveles de albúmina, la cual se agrupó en valor normal y valor disminuido, el grupo de valor disminuido de albúmina tuvo 3.6 veces más riesgo de presentar desnutrición que el grupo de valor normal de albúmina. Resulta necesaria una valoración adecuada del estado nutricional al ingreso del paciente al servicio de terapia Intensiva para definir e identificar aquella población de riesgo e iniciar un programa nutricional precoz y oportuno.

 

 

 

 

0404   NEUMONÍA SEVERA POR SARS-COV-2 EN TRASPLANTADOS DE ÓRGANO SÓLIDO INTERNADOS EN TERAPIA INTENSIVA

LC Perez Illidge(1), L Aguirre(2), G Tuhay(2), N Peña(2), ML Ojeda(2), S Finoli(2), M Acebo(2), E Giordanino(2), R Pantoja(2), F Klein(2)

(1) Favaloro. (2) Fundacion Favaloro.

 

Introducción: Los receptores de trasplantes de órganos sólidos pueden tener un mayor riesgo de COVID-19 por la inmunosupresión.

Métodos: Analizamos una cohorte retrospectiva desde julio del 2020 a julio 2022 en pacientes internados en terapia intensiva con Neumonía severa (NS) por SARS-COV-2 portadores de Trasplante de Órgano Solido (TOS), usando SPSS v26.0 para el analisis estadistico.

Resultados: Veintiséis pacientes con TOS fueron internados en terapia intensiva con NS entre julio del 2020 a julio del 2022. La variables demográficas y clínicas son presentadas en la tabla 1. Todos los pacientes fueron tratados con dexametasona según protocolo RECOVERY y medidas de soporte. Se encontró una mortalidad del 47%, asociada principalmente por hipoxemia refractaria en 8/12(66.7%), encontrándose insuficiencia renal aguda (IRA) en 15/26(57.7%), de los cuales 8/15(53.3%) requirieron Terapia de Reemplazo Renal. En el análisis univariable la IRA (P:0.034), el requerimiento de Asistencia ventilatoria mecánica (P:0.0001), el Distress respiratorio (P:0.005), la fibrosis pulmonar (P:0.0001) y la sobreinfección pulmonar (P:0.005); esta última relacionada con infección por aspergilosis pulmonar 5/26(19%), fueron asociadas a mortalidad. Ni la vacunación o el tipo de trasplante tuvieron una asociación estadística significativa (P:0.249 y P:0.554). En el análisis multivariable por regresión logística la sobreinfección se presentó como predictor independiente de mortalidad.(Tabla2)

Discusión: El COVID19 está relacionado con alta morbimortalidad en los TOS, siendo incierto el rol de la vacunación, al igual que los diferentes esquemas de inmunosupresión de mantenimiento en estos pacientes. En nuestra cohorte la hipoxemia refractaria secundaria a fibrosis pulmonar, fue la causa principal de muerte, con una proporción alta de sobreinfección fúngica.

Conclusión: La mortalidad asociada a COVID 19 en nuestra cohorte está directamente relacionada con la evolución de la injuria pulmonar. Terapéuticas dirigidas al control de la inflamación e injuria pulmonar podrían mejorar el outcome de estos pacientes. Además dedemos tener en cuenta la terapia antifúngica empírica en los episodios con sospecha de sobreinfección pulmonar, dado la frecuencia de arpergilosis encontrada.

 

 

 

 

0405   Programa de optimización de uso de antimicrobianos: Apropiabilidad en terapia intensiva de un hospital de alta complejidad

F Scarselletta(1), L González(1), C Rios(1), S Lucini(1), C Sfara(1), N Díaz(1), L Zubeldía Brenner(1), G Vinicoff(1), J Farina(1), S Esposto(1), F Gil(1)

(1) Hospital De Alta Complejidad Cuenca Alta Néstor Kirchner.

 

Introducción: Los programas de optimización de antimicrobianos (PROA) mejoran resultados clínicos y minimizan efectos adversos, emergencia de resistencia y gasto por uso inadecuado.

Objetivos: Evaluar apropiabilidad de antimicrobianos en pacientes de terapia intensiva, las intervenciones farmacéuticas (IF) y su aceptación por parte del equipo médico dentro del PROA.

Métodos: Estudio observacional, prospectivo, mediante cortes semanales sobre prescripciones de antimicrobianos de pacientes en UTI. Se registró: antimicrobiano, tipo de tratamiento, IF por motivo y aceptación. Se evaluó apropiabilidad según indicación, posología, duración y antimicrobiano en pase semanal entre bacteriología, infectología y farmacia, basada en protocolos locales y criterio clínico-bacteriológico.

Resultados: Se obtuvieron 24 cortes con 365 indicaciones. Apropiabilidad global 88%. Los motivos de inadecuación fueron: no indicación 22, antimicrobiano inadecuado 12, duración 5, posología 4. Por tipo de tratamiento, resultaron inadecuados: 34 de 193 empíricos, 6 de 145 dirigidos y 3 de 16 dirigidos por gram. Las 11 profilaxis médicas fueron apropiadas.

Antimicrobianos más indicados: colistin, vancomicina, meropenem, ampicilina-sulbactam y piperacilina-tazobactam. Antimicrobianos más inadecuados: vancomicina, colistin, meropenem y piperacilina-tazobactam.

De 365 prescripciones 181 tuvieron IF con 96% aceptadas. De 320 adecuados 160 sufrieron optimizaciones farmacoterapéuticas incrementando la apropiabilidad. De los inadecuados fueron intervenidos y no aceptados 4. Las IF por motivo fueron: posología 119, administración 57, antimicrobiano 17, evento adverso 12, monitoreo 6, vía de administración 4, indicación 3 y 8 sin datos.

Conclusiones: La apropiabilidad superó el 85% promedio. De las prescripciones inadecuadas, la elevada proporción por no indicación evidencia su uso no racional. La elección incorrecta de antimicrobianos empíricos demuestra falta de claridad del foco infeccioso en pacientes críticos y la urgencia en su prescripción.

Los antimicrobianos más indicados y más inadecuados coinciden con los protocolizados como empíricos según flora local.

Las IF aumentaron la apropiabilidad con amplia optimización de posología, reflejado en el alto porcentaje de IF y bajo de no apropiabilidad por tal motivo. La gran aceptación de IF se relaciona con la consolidación del farmacéutico clínico dentro del equipo de UTI.

Como limitante se destaca el subregistro de IF. Del análisis se visualizan oportunidades de mejora y prioridades de abordaje: mejorar la prescripción de tratamientos empíricos y elección del esquema.

 

 

 

 

0407   Síndrome de hiperestimulación ovárica, a propósito de un caso

D Carpio(1), DI Carpio Celis(1), M Chavez(1), J Ortiz(1)

(1) Hospital De Clinicas Jose De San Martin.

 

Introducción: El síndrome de hiperestimulación ovárico (OHSS) es una complicación iatrogénica durante los ciclos de reproducción asistida (ART), la incidencia en casos moderados se estima entre el 3 y el 6% y su forma grave del 0,1-3%. El diagnóstico precoz y el conocimiento de los mecanismos fisiopatológicos de sus manifestaciones clínicas permite el manejo adecuado sus complicaciones.

Se presenta el caso de una mujer de 25 años multípara, tratada con agonistas GnRH, donante de óvulos desde 1 año previo. La paciente ingresa a terapia intensiva con diagnóstico OHSS grave, post aspiración manual endouterina por embarazo de 5 semanas. Al examen inicial estaba consciente, vía área expedita y sin vasoactivos. Abdomen distendido, blando, doloroso a la palpación profunda en hipogastrio, sin defensa ni reacción peritoneal. Presión intraabdominal (PIA) 11 mmHg, diuresis 0.6 ml/kg/h. Leucocitosis, hiponatremia hipoosmolar con LEC aumentado. Ecografía: Liquido libre en fondo de saco de Douglas y espacio de Morrison. Ovario derecho 12 cm, no se observa derrame pleural. VCI índice de colapsabilidad < 50%. 48 horas después deteriora ritmo diurético (diuresis 0.3 ml/kg/h), PIA: 14 mmHg; presión de perfusión renal (PPR): 65 mmHg. Paracentesis evacuatoria: 5 Litros de líquido citrino, GASA.

Discusión: La valoración del OHSS por la escala de Colegio real de Obstetras y Ginecólogos (RCOG) puso en evidencia la verdadera gravedad de esta paciente. Si bien la oliguria mejoro después de evacuar la ascitis, la medición de la PIA fue de rango moderado. La detección del colapso de la VCI permitió reconocer a la hipovolemia como parte importante del mecanismo de oliguria

Conclusión: La utilización de scores objetivos de gravedad, la medición de la presión intraabdominal y la ecografía para la valoración de la volemia son herramientas fundamentales para el tratamiento adecuado de la forma grave de este síndrome.

 

 

0408   FALLA MULTIORGANICA DE ETIOLOGIA POCO FRECUENTE

MA Misa(1), DC Rodriguez(1), CL Landoni(1), A Brañez Toro Yasmani(1), A Luzzi(1), C Plaza(1), S Markevich(1), S Roldan Montaño(1), J Vazquez(1), A Brizuela(1), JP Soliz(1)

(1) Sanatorio Julio Mendez.

 

Introducción: Se presenta el caso de una paciente que evoluciono con falla multiorganica posteriormente a una cirugia de cadera, se descarto shock hemorragico evidenciandose hemolisis en contexto de paciente con antecedentes de drepanocitosis.

Presentación del caso: Paciente femenina de 54 años de edad, con antecedentes de necrosis aséptica de

cabeza de fémur izquierda y anemia drepanocítica + betatalasemia. Ingresa de forma programada para artroplastia de cadera derecha por necrosis avascular de fémur derecho. A las 6 hs posoperaotia presenta anemia aguda, oliguria, insuficiencia renal aguda AKI II, acidosis metabólica, alteración del sensorio y falla hepatica aguda. Se inicia resucitación con cristaloides, 2 UGR, 1 plasma fresco sin mejoría, con nueva caida del hto, sin evidencia de sangrado. Al no encontrarse signos evidentes de sangrado se solicita imagen tomográfica: TÓRAX: múltiples infiltrados en vidrio esmerilado bilateral con tendencia a la consolidación. ABDOMEN: Escaso líquido libre laminar subhepático. Se observa en laboratorio parametros de hemolisis y se diagnostican crisis drepanocítica con fallo multiorgánico. Se decide realizar eritroaféresis, con posterior mejoria de falla renal y hepatica. Evoluciona 48 horas después con insuficiencia ventilatoria y progresion de infiltrados pulmonares, que la lleva a asistencia respiratoria mecánica, asocia a descompensación hemodinámica con requerimiento vasopresor y transfusión de glóbulos rojos. Valorada por servicio de hematología, sin requerimiento de nueva eritroaferesis, inicia tratamiento con EPO e hidroxiurea.

Discusión: La HbS, resultante de la mutación en el gen que codifica la subunidad beta de la hemoglobina, tiende a polimerizarse con la desoxigenación, quedando como resultado un hematíe con forma de hoz, rígido. Dichos hematíes deformados no pueden atravesar la microcirculación de forma normal, produciendo un aumento de la viscosidad sanguínea, que conduce a la formación de microtrombos y a la oclusión de los pequeños vasos, dando lugar a las crisis vaso-oclusivas, que son el paradigma de esta enfermedad. Las manifestaciones clínicas son muy variadas y pueden afectar a multitud de órganos. La más característica es la crisis de dolor vaso-oclusiva, sin embargo, dado que el mecanismo fisiopatológico es la vaso-oclusión y posterior isquemia tisular, se puede producir daño en la mayoría de los órganos, pudiendo llevar a la falla multiorganica.

 

 

0409   Monitoreo de la interacción corazón-pulmón  mediante  ultrasonografía transesofágica, durante maniobra de reclutamiento alveolar en Unidad de Cuidados Intensivos

M Isa(1)

(1) Clinica Regional Del Sud.

 

Introducción: Mostrar la utilidad de la información aportada por la ultrasonografía transesofágica de lo que está sucediendo en forma dinámica en la interaccion corazon-pulmon durante la maniobra de reclutamineto alveolar

Reporte Caso Clínico: Mujer 32 años. APP: epilepsia. MI: status epileptico - neumonía grave de la comunidad. Ingresa a UTI con GSC 7, se realiza intubación orotraqueal, se conecta al respirador. Inestable hemodinámicamente, con utilización de drogas vasoactivas. Ex Físico: marcada hipoventilación en campo pulmonar izq. roncus generalizados. Sat 02 86% c/Fio2 100%.

Procedimiento: Colocamos la ste a nivel medioesofagico, 30 cm de la arcada dentaria, con el multiplanar 0-20° vista apical 4 cámaras, valoración visual inicial, determinando E/A, doppler tisular, E/e´.

Luego nos para valorar pulmon en esofago medio, tomando como referencia a la vena pulmonar superior izquierda; para eso nos posicionamos con el multiplanar 60-70° en 2 cámaras, apareciendo por encima de la orejuela izquierda. Giramos en sentido horario-antihorario, para examinar pulmón derecho e izquierdo respectivamente.

Evaluación visual: Conserva la relación - .

Las paredes del Ventrículo izquierdo se acercan bien entre sí.

Valva anterior de Válvula mitral prácticamente toca el septum interventricular. Sin derrame pericárdico.

Determinamos en pulmón izquierdo, a nivel de esofago medio la presencia de imagen de consolidación pulmonar, compatible con neumonía.

Cambio Fraccional de Área de Ventrículo Derecho:

El cambio fraccional de área del ventrículo derecho, es similar al área de cambio fraccional del VI , y también sirve como una medida sustituta de la fracción de eyección del ventrículo derecho.

La evaluación del Cambio Fraccional de Área de ventrículo derecho se realiza a nivel medio esofágico, en la vista de cuatro cámaras

Es el cambio porcentual en el área ventricular entre sístole y diástole con un valor normal >35 %. Mientras que CFA<35 % indica disfunción, los valores inferiores al 17 % son sugestivos de disfunción grave del VD.

Neumonía grave adquirida de la comunidad. pulmón izquierdo

Paciente en asistencia respiratoria mecánica, ante la falta de respuesta al tratamiento, se decide realizar maniobras de reclutamiento alveolar. Se realizan bloqueantes neuromusculares, medimos vena cava inferior, estimación de presión de aurícula derecha.

Monitorizando con la sonda transesofágica el comportamiento del estado CV, y el estado de ambos pulmones a medida que se realizaba dicha maniobra.

Procedimiento: Asistencia respiratoria mecánica: incrementamos peep de 5 en 5 hasta llegar a 30 cm, o al alcanzar el límite de presión máxima, o caída de Sat O2, o inestabilidad hemodinámica.Se evaluó función CV: E/A, doppler tisular. CFA y evaluación volumétrica de VD.Colapsabilidad de VCS.

Resultado: Pudimos valorar con la sonda transesofágica en forma dinámica, con ligeros movimientos de rotación en sentido horario/antihorario los cambios en pulmón, de patrón de consolidación con broncograma aéreo dinámico, a un patrón de líneas A-B. Con SatO2 que fue de 88% a 98%. Logrando establecer el nivel de PEEP óptimo en 12 cm. sin caída de SatO2

Asimismo pudimos evaluar constantemente la función cardiovascular, sin deterioro de la misma tanto en cavidades derechas; determinando en cada maniobra realizada el CFA de ventrículo derecho como izquierdas. Sin compromiso hemodinámico.

Se trató de un procedimiento seguro, y sin complicaciones.

Al cabo de 72 hs se comenzó con maniobras de weaning, guiado por ultrasonografía, pudiendo ser extubada con éxito.

 

 

 

 

0410   Acidosis piroglutámica con GAP elevado asociado a consumo de paracetamol

MB Pollian(1), M Cuestas Rios(1), F Loiacono(1), J Sagardia(1), N Balderrama(1)

(1) Nacional Prof. A. Posadas.

 

Introducción: La acidosis metabólica con brecha aniónica alta es una alteración acidobásica común que se encuentra en pacientes hospitalizados por acumulación de lactato, cetonas, urea y la ingestión de toxinas. Sin embargo, en los casos en que no se encuentre otra explicación, se deben sospechar etiologías menos frecuentes como acumulación ácido piroglutámico (PGA) la cual se ha asociado con el uso crónico de paracetamol.

Presentación: Se presenta caso clinica de una paciente femenina de 66 años de edad antecedentes de hipertension arterial, insuficiencia renal cronica, diabetes insulino requiriente. Quien consulta a guardia de nuestro hospital por cuadro de una semana de evolucion caracterizado por disuria, hematuria, dolor abdominal, constipacion. Al interrogatorio dirigido refiere consumo de 1gr de paracetamol diario por mas de 10 dias debido a dolor lumbar.

Se realiza laboratorio evidenciando PH 6.9, bicarbonato 3.4 y anion gap de 19. Se descartan causas obstructivas, acidosis por glicoles, l-lactato, methanol, aspirina, cetonas, sin embargo en contexto de insuficiencia renal cronica, acidosis metabolica severa con gap aumentado y consumo de paracetamol, se llega al diagnostico de acidosis piroglutámica.

Discusión: La acidosis piroglutámica es una causa raramente reconocida aunque es probable que esté infradiagnosticada dada la alta prevalencia de factores de riesgo. Estos incluyen edad avanzada, sepsis, desnutrición, diabetes no controlada, género femenino, enfermedad hepática crónica, enfermedad renal crónica y uso de paracetamol.

Conclusión: El manejo inadecuado de los trastornos metabólicos puede ser un factor que contribuya a la morbilidad y mortalidad de los pacientes, lo cual es importante reconocer y fácil de manejar. Por lo tanto, el reconocimiento y manejo adecuado de la acidemia piroglutámica podría beneficiar a los pacientes con factores de riesgo para su desarrollo asi como el manejo multidisciplinario del mismo.

 

 

ÍNDICE DE AUTORES

 

Autor

Resumen

 

 

A

 

Accoce, M

276

Acebo Acha, M

358

Acosta Torres, BF

372

Acosta, DP

176

Acosta, DP

177

Agosta, M

149

Alarcon Marinoni, AJ

368

Alzugaray, MA

170

Amieva, F

346

Antik, A

289

Antón, AM

369

Arana Osorio, E

57

Arduino, JP

275

Aren, L

141

Arevillca, R

381

Arevillca, R

395

Armandola, HA

51

Artigas, E

286

Asinari, E

53

ávila Poletti, D

26

Avila Vera, AS

305

Avila, C

76

Avila, LC

336

 

 

B

 

Balauz, MA

215

Balceda, MM

182

Banzer, K

299

Bárbara, A

379

Baron, M

179

Barraza, MM

362

Bas, V

123

Benavides Mariño, SS

79

Bernachea, J

342

Bernthal, S

189

Berrondo, C

162

Berrondo, C

183

Bertorello Andrade, L

52

Bezzati, M

374

Blessio, ME

18

Bollati, I

152

Bordogna, A

352

Boschero, P

218

Bovetti Galván, MD

232

Bujan Molins, L

25

Bujan Molins, L

32

Bujedo, AD

19

Bureu, PL

323

Busico, M

272

 

 

C

 

Cáceres, JJ

324

Caminos Eguillor, JF

58

Capdevila Vicente, GL

205

Carbajal, N

186

Carboni Bisso, I

20

Carelli, D

221

Caridi, J

197

Carlos Matías Ezequiel, Z

67

Carpio, D

407

Carreño Mejia, M

252

Castiblanco, L

392

Castillo Ortega, M

47

Castro Méndez, J

384

Catini, ME

41

Cautures, E

235

Cazzola, ML

101

Celano, MD

178

Chapela, SP

300

Chapela, SP

301

Chapela, SP

302

Chapela, SP

327

Chavez, CF

223

Chediack, V

329

Chiappero, G

115

Choque Ortiz, EM

398

Ciarrocchi, N

104

Ciarrocchi, N

111

Cieri, CSA

338

Cimino, CA

290

Colman, I

298

Cometto, F

116

Cometto, F

124

Cometto, F

125

Cometto, F

129

Corbalan, L

331

Cordoba, M

103

Couso, A

265

Cruz Muñoz, I

148

Cruz, G

184

Cunto, E

279

 

 

D

 

Daldoss, F

202

Dávalos, W

27

De Vedia, L

307

De Vedia, L

312

Delgado, F

93

Delgado, P

50

Dimarco, CM

318

Dipaolo, FR

80

Dipaolo, FR

81

Doldan, L

135

Domanico, MR

335

Duarte, D

108

Duarte, D

131

Dulcey Sarmiento, LA

38

Dulcey Sarmiento, LA

39

Duran, LG

82

 

 

E

 

Echavarria, G

98

Enriquez Gentile, M

325

Esperatti, M

311

 

 

F

 

Fachinat, MS

110

Fagalde, G

377

Feldman, A

349

Feldman, A

350

Fermin, N

195

Fernández Abello, V

284

Fernández Ceballos, I

99

Fernández, G

320

Fernandez, G

326

Fernandez, R

1

Fernandez, R

55

Ferreira Aban, OF

220

Figueredo, J

297

Flores Trusso, L

231

 

 

G

 

Gallardo, VA

180

Garavelli, F

245

Garavelli, F

249

Garcia Laplaza, C

229

Garcia Sarubbio, M

383

Garcia Sarubbio, M

386

Gardeazabal Rospilloso, M

246

Garelli, G

400

Garelli, GM

263

Garrido, AE

159

Gasparotti, S

89

Gasparotti, S

112

Gasparotti, S

294

Gauna, DN

268

Gauna, DN

330

Genovese, G

139

Gigena, S

190

Gira, A

36

Gira, A

45

Gira, A

65

Gira, A

87

Gira, A

166

Gira, A

261

Gira, A

340

Gironacci, EJ

119

Göldy, MN

200

Gomez, AE

107

Gomez, C

295

Gomez, G

247

Gomez, R

128

González Anaya, J

23

Gonzalez, A

270

Gonzalez, C

198

Gonzalez, E

154

Gonzalez, G

269

González, I

171

Gonzalez, MV

157

Gonzalez, M

158

Grassi, N

206

Gregori Sabelli, R

283

Gregori Sabelli, R

334

Gutierrez, A

132

Guzmán Tapia, F

69

Guzzetti, A

11

 

 

H

 

Haddad, LY

360

Hajdinjak, C

21

Helmfelt, M

185

 

 

I

 

Iglesia, V

256

Iglesias, VS

250

Insaurralde, PG

359

Isa, M

409

Issoglio, NA

228

 

 

J

 

Jonas, J

134

Jora, A

396

Juarez Gastiazoro, L

49

 

 

K

 

Kaechele, MM

105

Karatanasopuloz, R

328

Kulik, FE

306

 

 

L

 

Lamberto, Y

54

Lamberto, Y

281

Latimori, M

60

Lobo, VP

46

Lockhart, I

31

 

 

M

 

Madera, JJ

48

Maenza, CE

28

Maenza, CE

29

Magee Bahl, S

210

Mandich, V

199

Mandich, V

207

Manrique, E

370

Manzur, KM

12

Manzur, KM

14

Marquez, AK

367

Martinez Rigo, LC

277

Martinez, E

44

Martinez, M

153

Martinez, M

332

Martinez, O

127

Masso, A

9

Mattei, R

192

Melchiori, P

385

Mena, CM

380

Menta, L

165

Millán, AV

62

Misa, MA

402

Misa, MA

408

Molina, F

339

Montaño, N

213

Montenegro Fernandez, MG

121

Montenegro, M

30

Montenegro, M

315

Montesinos, J

35

Morales, F

227

Morales, L

144

Morales, ML

274

Moretti, D

230

Murtula Ferreyra, JA

161

Musso, G

10

 

 

N

 

Nuñez Silveira, JM

164

 

 

O

 

Ochoa, MJ

321

Ojeda Flores, LJ

130

Ojeda, ML

356

Ojeda, RA

314

Olobardi, ME

109

Otálora Lozano, DA

363

 

 

P

 

Palacio, MM

168

Palmeiro, J

8

Parellada, C

240

Párraga, DF

376

Paz, M

212

Pazmino, M

174

Pazmino, M

264

Pazmino, M

388

Pello, SG

224

Peña Cecconi, I

394

Perez Illidge, LC

404

Pérez Murúa, AN

397

Pérez, J

355

Petel, I

237

Picos, E

96

Piga, AS

389

Pisarello, C

260

Pistillo, N

34

Plotnikow, G

163

Plotnikow, GA

259

Pohlemann Tarnovski, MC

145

Pollian, MB

410

Porjolovsky, E

304

Potenzoni, A

72

Puzzo, F

285

 

 

Q

 

Quintana, S

94

Quiroz Cedeño, J

296

Quiroz Cedeño, J

317

Quiroz Cedeño, J

319

 

 

R

 

Ramirez Ayala, AL

211

Ramirez Ayala, AL

214

Ramirez Colombres, M

118

Ramirez Colombres, M

120

Ramirez Juncos, A

239

Ramos Elizagaray, SI

42

Ramos Elizagaray, SI

77

Regules Armiñana, A

70

Reichert, VI

156

Retambay, R

391

Rodas Montero, EM

61

Rodriguez, DA

83

Rodriguez, DA

84

Rodriguez, DA

85

Rodriguez, G

344

Rojas, AB

140

Rolandelli, G

241

Ronchi, R

378

Rosciani, FC

24

Ruarte, L

345

Rubatto Birri, PN

266

Ruiz Laos, S

188

Ruiz, V

6

 

 

S

 

Sabbatini, MA

102

Sanchez, AM

293

Sanchez, DG

353

Sanchez, NE

133

Sanz, M

278

Saucedo, MV

88

Scarselletta, F

405

Schverdfinger, S

169

Sciuto, S

181

Senger, A

113

Simes, E

2

Simes, E

3

Simonassi, JI

151

Singh, M

333

Singh, M

347

Singh, M

354

Singh, M

364

Singh, M

393

Singh, M

403

Solis, L

78

Soliz, L

226

Sotelo, C

365

Spina, P

248

 

 

T

 

Talma, R

187

Talmas Hurtado, YS

155

Teherán, M

401

Toledo, VD

288

Tumino, L

280

 

 

U

 

Uribe Caballero, JC

74

 

 

V

 

Valenzuela, NM

97

Valenzuela, NM

117

Vargas, MA

59

Vasquez, D

225

Vasquez, D

242

Vasquez, D

251

Vecchio, G

75

Velazquez, K

100

Vera, E

40

Vicente, A

73

Videla, C

15

Vilca, J

282

Villalba, D

71

Villalobos, M

351

Viscarra, E

375

Voss, J

63

Voss, J

64

 

 

W

 

Walter, E

136

Walter, E

138

 

 

Y

 

Yossa, G

216

 

 

Z

 

Zaya, U

17

Zelaya De Leon, NI

90

Zuleta Chambi, P

217

Zuleta Chambi, P

234