Meningitis posquirúrgica por Enterococcus
faecalis. Reporte de un caso
[Post-surgical meningitis caused by Enterococcus faecalis. A case report]
Andrés Taborro,1* Damián Lerman-Tenenbaum,1 Lucía Vera,1 Laura Colombo,2 Juan Daniel
Rebagliati2
1 Servicio de Infectología, Hospital Escuela
“Eva Perón”, Granadero Baigorria, Santa Fe, Argentina
2 Servicio de Microbiología, Hospital Escuela
“Eva Perón”, Granadero Baigorria, Santa Fe, Argentina
* Correspondencia: andrestaborro@outlook.com
Los
autores no declaran conflictos de intereses.
Resumen
Las meningitis posquirúrgicas por Enterococcus
faecalis son raras, si bien figuran entre las principales causas de
infecciones intrahospitalarias, su evolución no difiere de la de las meningitis
posquirúrgicas por otras etiologías, así como tampoco la tasa de mortalidad. La
bacteriemia concomitante no es frecuente, casi no hay registros en la
bibliografía. Se presenta un caso de meningitis posquirúrgica con rescate
microbiológico de Enterococcus faecalis en líquido cefalorraquídeo y
hemocultivos.
Palabras clave: Meningitis; enterococos.
Abstract
Post-surgical meningitis due to Enterococcus
faecalis are rare, although they are among the main causes of hospital-acquired
infections, their outcome does not differ from post-surgical meningitis due to
other etiologies, as well as the mortality rate. Concomitant bacteremia is not
frequent, with almost no reports in the literature. We report a case of
post-surgical meningitis with microbiological rescue of Enterococcus faecalis
in cerebrospinal fluid and blood cultures.
Keywords: Meningitis; Enterococcus.
Introducción
El hallazgo de Enterococcus faecalis en infecciones del sistema nervioso central se debe a causas subyacentes, como hemorragia intraparenquimatosa, neoplasias cerebrales, traumatismo de cráneo e hidrocefalia, aunque incluso con la presencia de estas causas, no se ha descrito en demasía.
Caso clínico
Mujer de 54 años que consultó al Servicio de Emergencias por un cuadro de cuatro días de evolución, caracterizado por cefalea de aparición súbita localizada en la región temporal, bilateral, de intensidad 10/10 sin irradiación, que cedía parcialmente con antinflamatorios no esteroides, asociado a náuseas, vómitos y fotofobia. No ha tenido fiebre. En el examen físico, la paciente estaba vigil, orientada globalmente, con rigidez de nuca, pupilas isocóricas reactivas y un puntaje de Glasgow de 15/15. Ante este cuadro, se solicitó una tomografía computarizada de cráneo sin contraste, cuyo informe indicó: hiperdensidad de surcos corticales temporales bilaterales sugestiva de hemorragia subaracnoidea leve. Para un mejor control y seguimiento del cuadro, se decidió su ingreso en la Unidad de Cuidados Intensivos, donde se le realizó una arteriografía que mostró un aneurisma de arteria comunicante anterior, por lo que se procedió a su embolización.
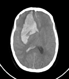
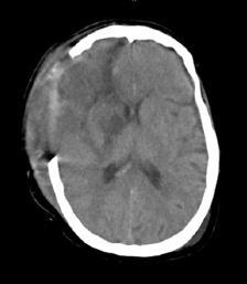
Ante la buena evolución, se decidió el traslado a una sala general. A las 24 h, el cuadro se complicó con un episodio súbito de depresión del sensorio, con un puntaje de la escala de Glasgow 8/15, pupilas mióticas e hiporreactivas. Por tal motivo, se decidió realizar una nueva tomografía computarizada de cráneo que reveló un hematoma intraparenquimatoso cerebral derecho (Figura 1). Volvió a ingresar en la Unidad de Cuidados Intensivos, recibió asistencia respiratoria mecánica y fue sometida a cirugía mediante una evacuación del hematoma intracerebral derecho, craniectomía descompresiva frontotemporal derecha y plástica dural (Figura 2). A los siete días del procedimiento quirúrgico, tuvo registros febriles, por lo cual se decidió realizar dos hemocultivos, retrohemocultivos, un aspirado traqueal y una punción lumbar, cuyo resultado fue: líquido cefalorraquídeo turbio con 10.000 elementos (80% polimorfonucleares, 20% monomorfonucleares), proteínas 0,6 g, glucosa 0,20 g y lactato 20 mmol/l. Se administró un tratamiento empírico con meropenem/vancomicina. A las 48 h, los resultados del estudio bacteriológico informaron Enterococcus faecalis en el cultivo de líquido cefalorraquídeo y hemocultivos X2 con la misma sensibilidad y resistencia. Se procedió a ajustar el tratamiento antibiótico según el antibiograma, por lo que se suspendió la combinación de meropenem/vancomicina y se administró ampicilina sulbactam/ceftriaxona. A las 72 h, la paciente sufre un paro cardiorrespiratorio y fallece.

Figura 1. Hematoma intraparenquimatoso
cerebral derecho.

Figura 2. Tomografía computarizada de cráneo
luego del drenaje del hematoma intraparenquimatoso.
Discusión
Las infecciones posquirúrgicas del sistema nervioso central constituyen un problema de salud creciente que se suma a la dificultad para su diagnóstico y tratamiento; representan el 8,21% de todas las infecciones posquirúrgicas y el 0,3% de las infecciones hospitalarias.1,2 La incidencia de meningitis después de intervenciones neuroquirúrgicas por traumatismos o tumores invasivos, implantes y del líquido cefalorraquídeo oscila entre el 0,34% y el 3,1%.3
La meningitis posneuroquirúrgica es una
enfermedad grave, asociada con altas tasas de mortalidad, secuelas
neurológicas, prolongación de la estancia hospitalaria y costos elevados. La
etiología de la meningitis posneuroquirúrgica incluye un amplio espectro de
microorganismos, desde cocos grampositivos hasta bacilos gramnegativos, como Staphylococcus
aureus coagulasa negativos y Pseudomonas aeruginosa. Un tercio de
los casos de meningitis se desarrollan aproximadamente en la primera semana
después de la cirugía; un tercio, en la segunda semana; y el otro tercio,
después de la segunda semana y, en algunos casos, después de varios años.3 La
incidencia varía según el tipo de cirugía: 0,5-2% después de una craneotomía,
5-20% después de un drenaje ventricular externo o interno de líquido
cefalorraquídeo y <0,1-0,5% después de una cirugía raquídea.4 Los cuatro principales factores de
riesgo son: fístula de líquido cefalorraquídeo, infección concomitante de la
herida, sexo masculino y duración de cirugía >4 h.5
El espectro de infecciones causadas por enterococos que producen bacteriemia y la consecuente llegada a las meninges incluye infecciones urinarias, infecciones intrabdominales y endocarditis.6 Otra de las causas de afectación es la inoculación directa de las meninges en el acto quirúrgico que, en este caso, quedó descartada por la presentación tardía.
Las meningitis posneuroquirúrgicas por
enterococos no son frecuentes, pese a que este microorganismo figura
entre las principales causas de infecciones intrahospitalarias,6 su hallazgo en pacientes con infecciones del
sistema nervioso central se debe a causas subyacentes, como hemorragia
intraparenquimatosa, neoplasias cerebrales, traumatismo de cráneo e
hidrocefalia.7 El procedimiento quirúrgico más
relacionado con infecciones por enterococos es la colocación de dispositivos en
el sistema nervioso central (drenajes, shunt, derivación ventriculoperitoneal).7 En una
revisión que abarcó desde 1966 hasta 1994, se hallaron 94 casos y 32 de ellos
estaban asociados a un trauma encefálico, una neurocirugía o un catéter
epidural.8 La bacteriemia asociada alcanza
aproximadamente el 30% de todas las meningitis posneuroquirúrgicas y, en el
caso de Enterococcus, casi no hay registros.9 En cuanto al tratamiento, se conoce la
sinergia de la combinación de betalactámicos con otro antimicrobiano en las
infecciones complicadas por enterococos, donde es posible asociar ceftriaxona
por su biopenetración en el sistema nervioso central;6 de todos modos, los casos descritos fueron
tratados con otra combinación que también demostró sinergia, como
betalactámicos más aminoglucósidos.8
Conclusiones
Se presenta un caso de meningitis posneuroquirúrgica por enterococos en una paciente con factores predisponentes (hemorragia intraparenquimatosa) que no deja de ser una rareza, no solo por su incidencia real, sino también por otras características de la paciente. Otro punto saliente es la presencia de bacteriemia secundaria a la meningitis posneuroquirúrgica, porque no hemos encontrado casos publicados.
Bibliografía
1.
Actas
Medicas Santafesinas, Año IV, N° 4, Año 2014,
Colegio de Médicos de Santa Fe,
Primera Circunscripción.
2.
Infecciones
post-neuroquirúrgicas. Curso Virtual SADI “Infecciones del SNC” 2019.
3. Kuraban B,
Kusku F, Ulu A, et al. The causes
of postoperative meningitis: the comparison of gram-negative and gram-positive
pathogens. Turk Neurosurg 2018; 28(4): 589-596. https://doi.org/10.5137/1019-5149.JTN.20575-17.1
4. Korinek AM, Baugnon T, Golmard JL, et al. Risk factors
for adult nosocomial meningitis after craniotomy: role of antibiotic
prophylaxis. Neurosurgery 2006; 59(1): 126-133; discussion 126-33. https://doi.org/10.1227/01.NEU.0000220477.47323.92
5. Federico G,
Tumbarello M, Spanu T, et al. Risk
factors and prognostic indicators of bacterial meningitis in a cohort of 3580
postneurosurgical patients. Scand J Infect Dis 2001; 33(7): 533-537. https://doi.org/10.1080/00365540110026557
6. Ceci M, Delpech G, Sparo M, et al. Clinical
microbiological features of bacteriemia caused by Enterococcus faecalis. J
Infect Dev Ctries 2015; 9(11): 1195-1203. https://doi.org/10.3855/jidc.6587
7. Guardado R,
Asensi V, Torres JM, et al. Post-surgical
enterococcal meningitis: clinical and epidemiological study of 20 cases. Scand
J Infect Dis 2006; 38(8): 584-585. https://doi.org/10.1080/00365540600606416
8. Patel T, Lewis ME, Niesley MLX, et al. Postneurosurgical central nervous system infection due to
Enterococcus faecalis successfully treated with intraventricular vancomycin.
Infect Dis Clin Pract (Baltim Md) 2016; 24: 174-176. https://doi.org/10.1097/IPC.0000000000000329
9.
Videla J. Primer Curso a Distancia de Infectología Crítica. Estrategias
para el diagnóstico
y tratamiento de las infecciones del paciente crítico. Modulo IV. Meningitis post quirúrgica; septiembre
2006.