Seudoquiste pulmonar secundario a un
traumatismo torácico cerrado
[Pulmonary pseudocyst after blunt chest trauma]
Enrique Chicote
Álvarez
Servicio de
Medicina Intensiva, Hospital San Pedro, Logroño, La Rioja, España
Correspondencia:
chicotelogro@hotmail.com
El
autor no declara conflictos de intereses.
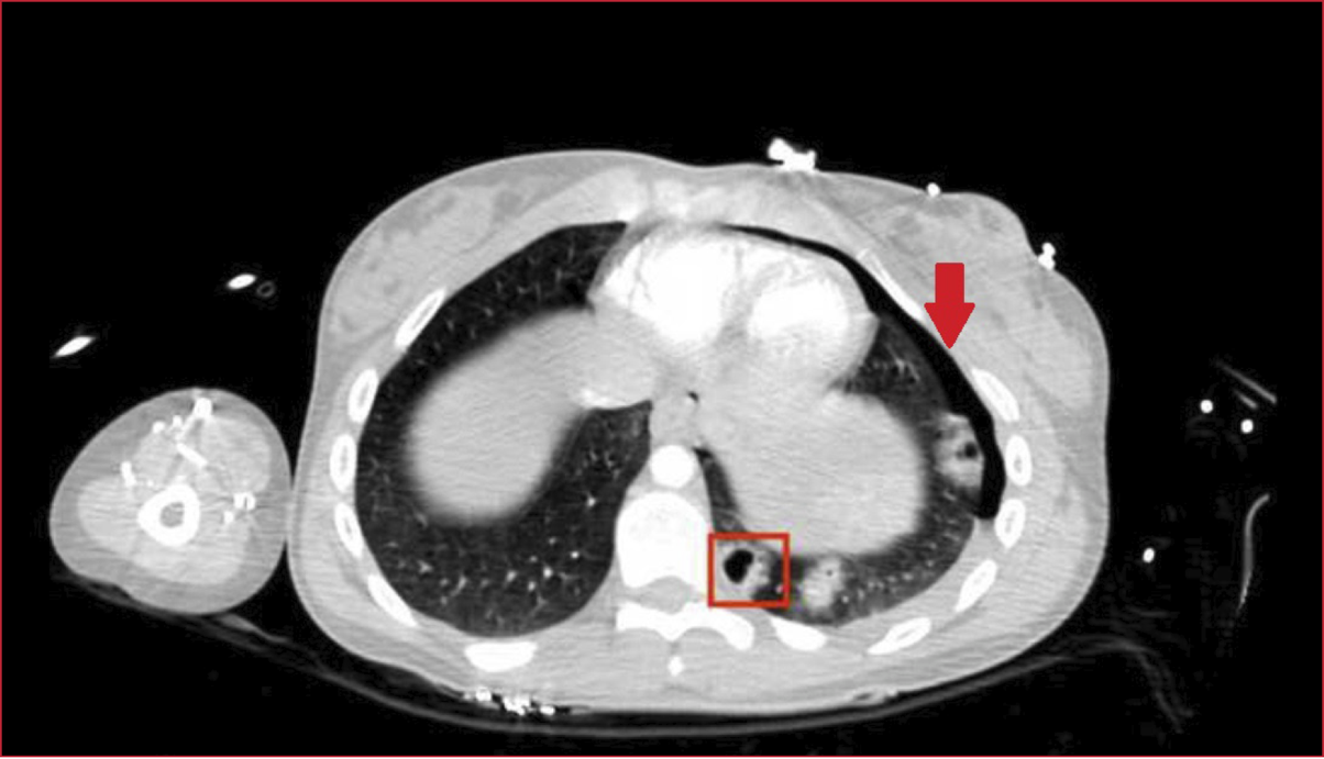
Presentamos el caso de una mujer de 17 años que ingresa en la Unidad de Cuidados
Intensivos por traumatismo de alta energía tras ser atropellada. Al llegar, la paciente se encontraba estable y no tenía compromiso respiratorio. Se realizó una tomografía computarizada y se observó, en el parénquima pulmonar, un seudoquiste traumático en el lóbulo inferior izquierdo (Figura 1, cuadrado rojo), junto con una pequeña lámina de neumotórax izquierdo (flecha roja).

Figura. Tomografía computarizada. Se observa un seudoquiste traumático en el lóbulo inferior izquierdo (cuadrado rojo), junto con una pequeña lámina de neumotórax ipsilateral (flecha roja).
Los seudoquistes, también denominados neumatoceles, son lesiones cavitadas de cizallamiento que originan una fuga de aire. Es una complicación infrecuente del trauma torácico y es más común en niños y adultos jóvenes, ya que, para su formación, es necesario cierto grado de elasticidad de la pared torácica.1
El cuadro clínico puede variar desde la ausencia de síntomas hasta una insuficiencia respiratoria grave.
La principal complicación que puede causar es una infección. Su manejo, en general, es conservador.
Bibliografía
1. Vélez Tejada MP, Morales Múnera OL, Montoya Ochoa F, Roya Pabón CL. Trauma: una etiología infrecuente del pseudoquiste pulmonar.
Iatreia 2014;
27(2): 221-225. Disponible en: http://www.scielo.org.co/scielo.php?script=sci_arttext&pid=S0121-07932014000200010&lng=en