Síndrome de dificultad respiratoria aguda por inhalación accidental de cloro

[Acute respiratory distress syndrome secondary to accidental chlorine inhalation]

María José Domínguez-Rivas,a Antonio Gordillo-Brenes,b Ángel Custodio Sánchez-Rodríguezb*

a Servicio de Medicina Intensiva, Hospital Universitario Puerto Real, Cádiz, España

b Servicio de Medicina Intensiva, Hospital Universitario Puerta del Mar, Cádiz, España

* Correspondencia: rodshchez@gmail.com

 

Los autores no declaran conflictos de intereses.

 

Resumen

El cloro es una sustancia química de uso generalizado tanto en hogares como en la industria. La exposición humana a niveles tóxicos es prácticamente siempre involuntaria. En la mayoría de los casos, provoca solo síntomas menores, como irritación ocular y de mucosas. La exposición a concentraciones elevadas puede causar complicaciones graves, como neumonitis, edema pulmonar, insuficiencia respiratoria grave e incluso la muerte. El síndrome de dificultad respiratoria aguda secundario a la inhalación de cloro es poco común en la práctica clínica. Presentamos el caso de un hombre de 30 años que inhaló accidentalmente cloro y desarrolló un síndrome de dificultad respiratoria aguda con requerimiento de oxigenación por membrana extracorpórea venovenosa.

Palabras clave: Intoxicación con cloro; hipoxemia; síndrome de dificultad respiratoria aguda; oxigenación por membrana extracorpórea.

 

Abstract

Chlorine is a chemical element widely used in both homes and industry. Human exposure to toxic levels is almost always involuntary. In most cases, only minor symptoms, such as eye and mucosal irritation, appear. Severe complications, such as pneumonitis, pulmonary edema, severe respiratory failure, and even death may occur with exposure to high concentrations. Acute respiratory distress syndrome secondary to chlorine inhalation is rare in clinical practice. We present a case of a 30-year-old man who suffers accidental inhalation by chlorine and develops a severe hypoxemic respiratory failure that required treatment with venovenous extracorporeal membrane oxygenation.

Keywords: Chlorine poisoning; hypoxemia; acute respiratory distress syndrome; extracorporeal membrane oxygenation.

Introducción

El cloro es un gas amarillo verdoso a temperatura ambiente con olor detectable; sin embargo, ante una exposición prolongada, la capacidad de detectarlo tiende a desaparecer.1 El cloro es una sustancia química de uso generalizado tanto en hogares como en la industria. La exposición humana a niveles tóxicos es prácticamente siempre involuntaria.2 En la mayoría de los casos, provoca solo síntomas menores, como irritación ocular y de mucosas. La exposición a concentraciones elevadas puede causar complicaciones graves, como neumonitis, edema pulmonar, insuficiencia respiratoria grave e incluso la muerte.3 El síndrome de dificultad respiratoria aguda (SDRA) secundario a la inhalación de cloro es poco común en la práctica clínica. Se trata de un tipo de lesión pulmonar inflamatoria aguda y difusa que provoca un aumento de la permeabilidad vascular pulmonar y la pérdida de tejido pulmonar aireado.4 Clínicamente, se observa hipoxemia y opacidades bilaterales en las imágenes pulmonares, aumento del espacio muerto fisiológico y disminución de la distensibilidad pulmonar.1,2

Caso clínico

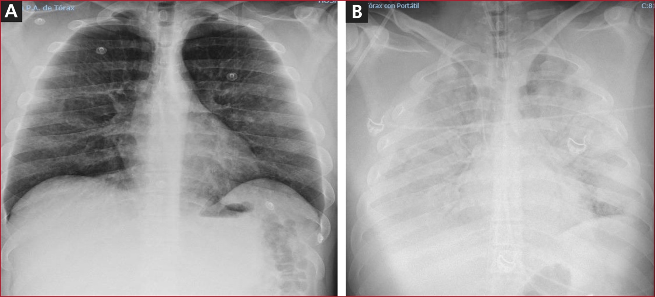
Hombre de 30 años de edad, sin antecedentes patológicos. Limpiando la depuradora de su piscina, inhaló accidentalmente cloro y floculante (sulfato de aluminio-sulfato de amonio). Permaneció aproximadamente 5 minutos en una estancia sin ventilación en contacto con el gas. Comenzó con tos irritativa y disnea que lo obligó a salir al exterior. Acudió al Servicio de Urgencias del hospital con signos de insuficiencia respiratoria hipoxémica, sin respuesta a la oxigenoterapia, ni a los corticoides inhalados e intravenosos. La radiografía posteroanterior de tórax era normal (Figura).

 

Figura. Radiografía posteroanterior de tórax al ingresar (A) y a las 3 horas (B).

 

Ingresó en la Unidad de Cuidados Intensivos, con una frecuencia respiratoria de 35 resp./min, uso de la musculatura accesoria, crepitantes y sibilancias bilaterales en la auscultación pulmonar; saturación de oxígeno (SpO2) por oxímetro de pulso del 85%, con mascarilla reservorio; frecuencia cardíaca de 120 lat./min, presión arterial de 100/60 mmHg. Se cambió a cánulas nasales de alto flujo a 60 l y FiO2 del 90%, La gasometría arterial arrojó los siguientes resultados: pH 7,29; pCO2 41 mmHg; pO2 60 mmHg; lactato arterial 4,4 mmol/l y bicarbonato 19,7 mmol/l.

El cuadro clínico progresivo empeoró, con PAFI <70 mmHg, acidosis láctica e hipotensión arterial; por lo tanto, se procedió a la intubación orotraqueal y a la conexión a ventilación mecánica (VM). Se administró bicarbonato 1 M y noradrenalina hasta 0,6 µg/kg/min. Una nueva radiografía posteroanterior de tórax (Figura) reveló un infiltrado alveolo-intersticial bilateral. El hemograma y los estudios de coagulación y perfiles bioquímicos fueron normales. En una ecocardiografía transtorácica, se observó un ventrículo izquierdo no dilatado con fracción de eyección normal y cavidades derechas normales. La ecografía pulmonar mostró abundantes líneas B distribuidas de forma difusa y bilateral.

En las siguientes horas, el paciente requirió sedoanalgesia profunda y relajación, continuó con corticoides intravenosos, decúbito prono en VM en presión control de +35 cmH2O, PEEP +12 cmH2O, inversión de la relación inspiración/espiración, frecuencia respiratoria de 30 resp./min, con FiO2 al 100%, volumen corriente de 4 ml/kg, SpO2 <70%. Necesitó hemofiltración continua por acidosis grave. Los resultados de la gasometría arterial fueron: pH 7,18; pCO2 51 mmHg; pO2 76 mmHg; bicarbonato 12,3 mmol/l y lactato arterial 8 mmol/l.

Ante la situación clínica, junto con el hospital de referencia, se evaluó el uso de oxigenación por membrana extracorpórea (extracorporeal membrane oxygenation, ECMO) venovenosa. Por la inestabilidad del paciente, el equipo de Cirugía Cardíaca se trasladó a nuestro hospital para la canulación de ambas venas femorales, la de drenaje con extremo distal en la vena cava inferior suprahepática y la de retorno en la confluencia de las venas cavas.

La ECMO venovenosa con flujo sanguíneo de 5 l/min, flujo de aire de 5 l/min y FiO2 del 100%, estabilizó al paciente, mejoró la oxigenación y la acidosis respiratoria, y permitió una VM protectora (volumen corriente 340 ml, FiO2 100%, frecuencia respiratoria 18 resp./min), consiguiendo los siguientes valores: pH 7,41; pCO2 47 mmHg; pO2 82 mmHg. El paciente fue trasladado al hospital de referencia en una Unidad de Cuidados Intensivos móvil.

En los primeros días con ECMO venovenosa, se mantuvo el flujo sanguíneo en 5-7 l/min, flujo de gas ajustado para permitir la normocapnia y una FiO2 del 100%, anticoagulación con heparina sódica, VM protectora con volumen corriente de 4 ml/kg, frecuencia respiratoria 15 resp./min, PEEP 10 cmH2O y FiO2 40%.

La mejoría de la oxigenación (Tabla) y de las radiografías permitió disminuir progresivamente la FiO2 y los parámetros de la ECMO hasta su retirada a los 13 días, tres días más tarde se retiró la VM.

 

Tabla

Evolución de los parámetros

ECMO-VV

Día

Parámetros en ECMO-VV

Gasometría arterial

Parámetros de ventilación

Primero

FS 5 l

3000 rpm

Flujo de aire 6 l

FiO2 100%

pH 7,49

pCO2 41 mmHg

pO2 154 mmHg

Lactato 2,71 mmol/l

VC

Vc 300 ml

FR 18/min

PEEP +10 cmH2O

FiO2 40%

SpO2 100%

Cuarto

FS 5 l

3000 rpm

Flujo de aire 7 l

FiO2 100%

pH 7,41

pCO2 38 mmHg

pO2 155 mmHg

Lactato 1,55 mmol/l

VC

Vc 300 ml

FR 18/min

FiO2 30%

SpO2 100%

Sexto

FS 5 l

3000 rpm

Flujo de aire 6,5 l

FiO2 100%

pH 7,35

pCO2 42 mmHg

pO2 141 mmHg

Lactato 1 mmol/l

VC

Vc 300 ml

FR 18/min

PEEP +8 cmH2O

FiO2 40%

SpO2 100%

Octavo

FS 5 l

3000 rpm

Flujo de aire 2 l

FiO2 80%

pH 7,29

pCO2 50 mmHg

pO2 95 mmHg

Lactato 0,9 mmol/l

PS +10 cmH20

PEEP +10 cmH2O

FiO2 50%

SatO2p 100%

Décimo

FS 5 l

Flujo de aire 5 l

3000 rpm

FiO2 100%

pH 7,46

2Hg

pO2 121 mmHg

Lactato 0,9 mmol/l

VC

Vc 360 ml

FR 18/min

PEEP +10 cmH2O

FiO2 40%

SpO2 100%

Duodécimo

FS 4 l

Flujo de aire 3 l

2500 rpm

FiO2 60%

pH 7,53

pCO2 38 mmHg

pO2 88 mmHg

Lactato 0,8 mmol/l

PS +9 cmH20

Vc 450 ml

PEEP +15 cmH2O

FiO2 55%

SatO2p 99%

Decimotercero

FS 2 l

Flujo de aire 0

FiO2

pH 7,51

pCO2 38 mmHg

pO2 107 mmHg

Lactato 0,8 mmol/l

PS +9 cmH2O

Vc 550 ml

PEEP +10 cmH2O

FR 18 pm

FiO2 50%

ECMO (extracorporeal membrane oxygenation) = oxigenación por membrana extracorpórea venovenosa; VV = venovenosa; FS = flujo de sangre; VC = volumen control; Vc = volumen corriente. FR = frecuencia respiratoria. PS = presión de soporte.

 

El paciente pasó a Planta y, a los 25 días del ingreso, fue dado de alta. Se le indicó continuar con anticoagulación con acenocumarol como prevención de la trombosis venosa profunda. Los corticoides orales se redujeron gradualmente durante cuatro semanas. Seis semanas después, la prueba de función pulmonar mostró la recuperación completa. A los tres meses, el paciente estaba asintomático, se incorporó al trabajo y a su vida normal.

Discusión

Las propiedades destructivas de la inhalación de cloro se deben a efectos directos, en relación con el ambiente ácido resultante de la interacción del cloro gaseoso con la mucosa respiratoria húmeda, y a efectos indirectos, por la liberación de radicales libres y especies altamente reactivas de los neutrófilos reclutados en las vías respiratorias después de una inhalación aguda de cloro.5,6 

El alcance y la gravedad de las lesiones por exposición al cloro dependen de la duración de la exposición, la concentración del gas, la susceptibilidad individual, el contenido de agua de los tejidos expuestos (formación de HCl y HOCl) y la ventilación de la persona expuesta.3,7 La irritación de mucosas ocurre a concentraciones >15 ppm; las manifestaciones respiratorias leves se producen a concentraciones >30 ppm, y la neumonitis y el edema pulmonar, a concentraciones >50 ppm. La exposición a concentraciones >400 ppm puede provocar la muerte.3,8

La lesión por inhalación de cloro acompañada de SDRA y la necesidad de asistencia respiratoria es una situación clínica infrecuente.1,9 Se han publicado pocos casos de pacientes con requerimiento de VM invasiva, una tasa de mortalidad del 38,5%, en la mayoría de los casos, en los primeros tres días.1 La ECMO puede ofrecer una mejor oportunidad de superar la etapa aguda de la lesión por inhalación de cloro, siempre que no exista contraindicación, dando tiempo al pulmón para su reparación.1-11 Pero esta afirmación se basa únicamente en la observación clínica, se necesitan ensayos clínicos aleatorizados para dilucidar los beneficios en la supervivencia, los efectos sobre la inflamación pulmonar aguda, las secuelas a largo plazo y la aparición de complicaciones,10,11 así como para ayudar a desarrollar directrices clínicas sobre el inicio del tratamiento con ECMO.10 

Conclusiones

El SDRA secundario a la inhalación de cloro con necesidad de asistencia respiratoria mediante ECMO-VV es una situación clínica poco frecuente. Presentamos a un paciente de 30 años que desarrolló un SDRA tras la inhalación accidental de cloro y necesitó de soporte respiratorio con ECMO-VV durante 13 días. El paciente tuvo una buena recuperación y, tras 25 días de hospitalización, fue dado de alta, sin secuelas.

Cuando los tratamientos convencionales fallan, la ECMO es una modalidad terapéutica potencial para el SDRA inducido por la inhalación tóxica aguda, inclusive de cloro. Sin embargo, se necesitan más estudios observacionales y ensayos clínicos aleatorizados para respaldar el efecto de la ECMO en estas situaciones.

Destacamos la importancia de contar con un programa de ECMO móvil para situaciones similares que surjan en hospitales que no cuentan con cirugía cardíaca.

Bibliografía

1.    Chen TF, Wang CH, Hermes GL, Ko WJ. Chlorine inhalation injury with acute respiratory distress syndrome treated by extra-corporeal membrane oxygenation system. Glob J Medical Clin Case Rep 2020; 7(1): 005-009. https://doi.org/10.17352/2455-5282.000079

2.    Babu RV, Cardenas V, Sharma G. Acute respiratory distress syndrome from chlorine inhalation during a swimming pool accident: a case report and review of the literature. J Intensive Care Med 2008; 23(4): 275-280. https://doi.org/10.1177/0885066608318471

3.    White CW, Martin JG. Chlorine gas inhalation: human clinical evidence of toxicity and experience in animal models. Proc Am Thorac Soc 2010; 7(4): 257-263. https://doi.org/10.1513/pats.201001-008SM

4.    ARDS Definition Task Force, Ranieri VM, Rubenfeld GD, Thompson BT, et al. Acute respiratory distress syndrome: the Berlin Definition. JAMA 2012; 307(23): 2526-2533. https://doi.org/10.1001/Jama.2012.5669

5.    Evans RB. Chlorine: state of the art. Lung 2005; 183(3): 151-67. https://doi.org/10.1007/s00408-004-2530-3

6.    Zhou T, Song WF, Shang Y, Yao SL, Matalon S. Halogen inhalation-induced lung injury and acute respiratory distress syndrome. Chin Med J (Engl) 2018; 131(10): 1214-1219. https://doi.org/10.4103/0366-6999.231515

7.    Zellner T, Eyer F. Choking agents and chlorine gas - History, pathophysiology, clinical effects and treatment. Toxicol Lett 2020; 320: 73-79. https://doi.org/10.1016/j.toxlet.2019.12.005

8.    Govier P, Coulson JM. Civilian exposure to chlorine gas: A systematic review. Toxicol Lett 2018; 293: 249-252. https://doi.org/10.1016/j.toxlet.2018.01.014

9.    Harischandra T, Withanaarachchi K, Piyasiri B, et al. Successful use of extracorporeal membrane oxygenation in acute respiratory distress syndrome following accidental chlorine gas inhalation at a swimming pool. Perfusion 2020; 35(6): 543-545. https://doi.org/10.1177/0267659120922013

10.  Yu D, Xiaolin Z, Lei P, et al. Extracorporeal membrane oxygenation for acute toxic inhalations: Case reports and literature review. Front Med (Lausanne) 2021; 8: 745555. https://doi.org/10.3389/fmed.2021.745555

11.  Munshi L, Walkey A, Goligher E, et al. Venovenous extracorporeal membrane oxygenation for acute respiratory distress syndrome: a systematic review and meta-analysis. Lancet Respir Med 2019; 7(2): 163-172. https://doi.org/10.1016/S2213-2600(18)30452-1