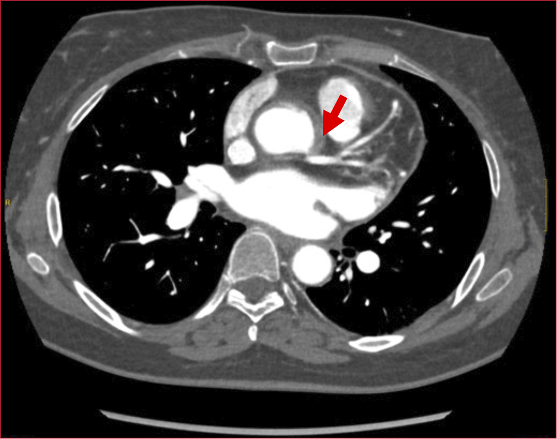
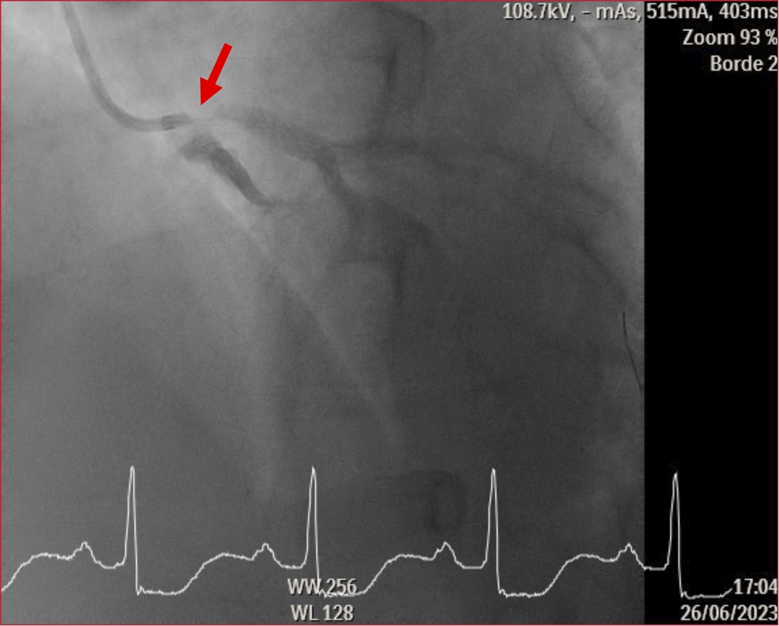
Return to Article Details High-risk non-ST-elevation acute coronary syndrome as a severe clinical manifestation of Cogan's Syndrome