Embolia aérea intraventricular y sistémica
como complicación de una biopsia pulmonar guiada por tomografía computarizada
[Intraventricular and systemic air embolism as a
complication of a computed tomography-guided pulmonary biopsy]
Andrés Salazar
Molina,* Isabel Torres
Resta
Servicio de Medicina Intensiva, Hospital
Universitario Doctor Peset, Valencia, España
* Correspondencia: asalazarm_90@hotmail.com
Los autores no
declaran conflictos de intereses.
https://doi.org/10.64955/jratiy2026x880
Hombre de 72 años al que se le realiza una punción
con aguja gruesa guiada por tomografía computarizada para tomar una biopsia de
un nódulo pulmonar solitario (lóbulo inferior izquierdo). Tras el
procedimiento, tiene un episodio de deterioro del nivel de conciencia seguido
de un paro cardiorrespiratorio y requiere maniobras de reanimación
cardiopulmonar avanzadas, con recuperación espontánea de la circulación a los 5
minutos. Se solicitó una tomografía computarizada de cráneo que no mostró
alteraciones, y una de tórax con contraste (Figuras 1 y 2).
El paciente
requirió tratamiento con terapia hiperbárica y la evolución fue favorable, se
recuperó sin secuelas ni signos de complicaciones en los estudios por imágenes
posteriores.

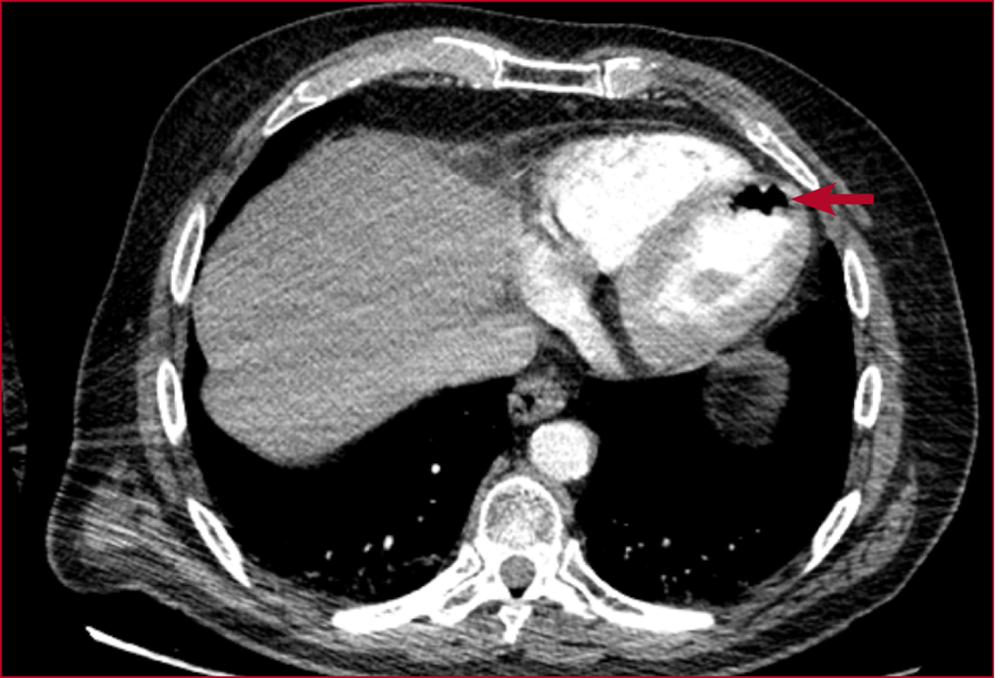
Figura 1. Tomografía computarizada de tórax
con contraste intravenoso, corte axial a nivel del corazón y grandes vasos. Se
observa aire intraluminal dentro de las cavidades cardíacas (flecha),
compatible con embolia aérea cardíaca secundaria a la punción-aspiración
pulmonar.

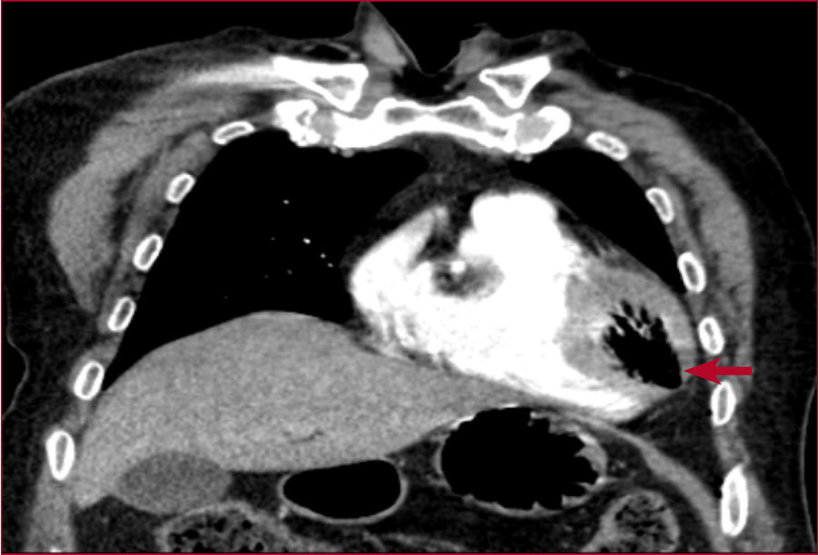
Figura 2. Tomografía computarizada de tórax
con contraste intravenoso, corte coronal a nivel toracoabdominal superior. Se
visualiza una embolia aérea en el ventrículo izquierdo (flecha) después de la
punción-aspiración pulmonar.