Pérdida accidental de la guía metálica
tras la colocación de un catéter venoso central de acceso periférico mediante
la técnica de Seldinger
Enrique Chicote Álvarez,* Lucía
Á. Vilella-Llop, Garazi Ocariz-Montoya, Adolfo Calvo-Martínez
Servicio de Medicina Intensiva, Hospital San Pedro, Logroño, La Rioja, España
* Correspondencia:
chicotelogro@hotmail.com
Los
autores no declaran conflictos de intereses.
Paciente de 75 años
que acudió al Servicio de Urgencias por un cuadro de fiebre y malestar general.
Se le diagnosticó shock séptico, por lo que se procedió a la colocación de un
catéter venoso central (CVC) de acceso periférico en la vena basílica mediante
la técnica de Seldinger. Durante la canalización, la guía metálica fue
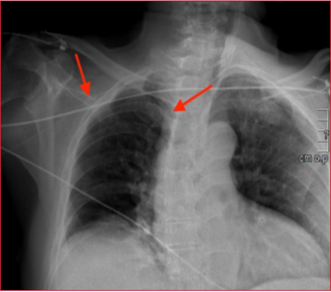
extraviada en el interior de la vena. Se tomó una radiografía de tórax en la
que se observó la guía metálica llegando hasta la vena cava superior (Figura
1).

Figura 1. Radiografía de tórax. Se observa la guía metálica a través de la vena subclavia derecha llegando a vena cava (flecha roja).
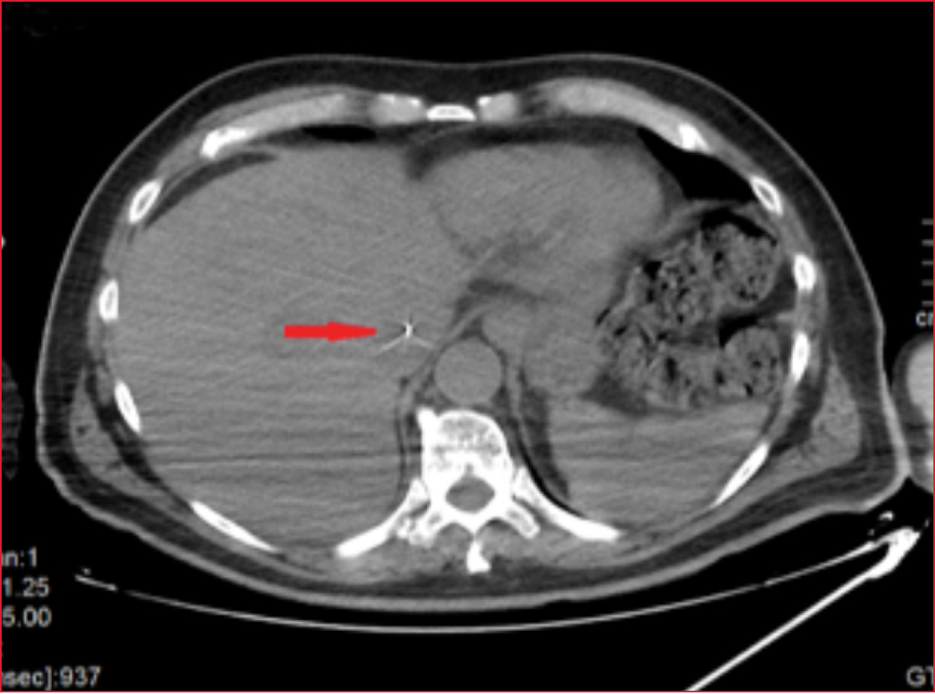
Se completó el
estudio con una tomografía computarizada, que mostró la progresión de la guía
hasta la vena cava inferior tanto en el corte coronal (Figura 2) como en el
corte axial (Figura 3).

Figura 2. Tomografía computarizada (corte coronal). Se observa la guía metálica progresando a través de la vena cava inferior (flecha roja).

Figura 3. Tomografía computarizada (corte axial). Se visualiza la guía metálica en la vena cava inferior (flecha roja).
Se comentó el caso con los médicos de Cirugía Vascular
quienes procedieron a la disección y la venotomía basílica, y la extracción de
la guía sin complicaciones.