Síndrome de encefalopatía posterior reversible
en una paciente puérpera con neumonía grave
[Posterior reversible encephalopathy syndrome in
a puerperal patient with severe pneumonia]
Paula Diaz,1* Julio Bartoli,1 Facundo Saravia2
1 Servicio de Unidad de Terapia Intensiva,
Clínica Universitaria “Reina Fabiola”, Universidad Católica de Córdoba,
Córdoba, Argentina.
2 Servicio de Diagnóstico por Imágenes, Clínica
Universitaria “Reina Fabiola”, Universidad Católica de Córdoba, Córdoba, Argentina
* Correspondencia: paulidiaz1994@gmail.com
Los
autores no declaran conflictos de intereses.
Mujer de 31 años,
puérpera de 23 días cuando ingresó en la Unidad de Terapia Intensiva por
insuficiencia respiratoria secundaria a una neumonía bilateral de etiología
desconocida. Recibió tratamiento antibiótico y ventilación no invasiva.
Evolucionó con hipertensión arterial complicada con un episodio de convulsión
tónico-clónica de corta duración, que revirtió con lorazepam, acompañada de
cefalea, sopor, desorientación temporoespacial y déficit campimétrico en el
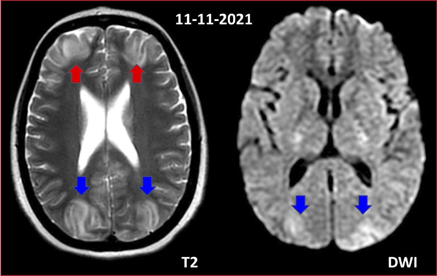
hemicampo izquierdo. Se solicitó una resonancia magnética (Figura 1) y, en las
imágenes, se constataron cambios sugestivos de síndrome de encefalopatía
posterior reversible. Se le indicó nimodipina con lo que mejoraron los valores
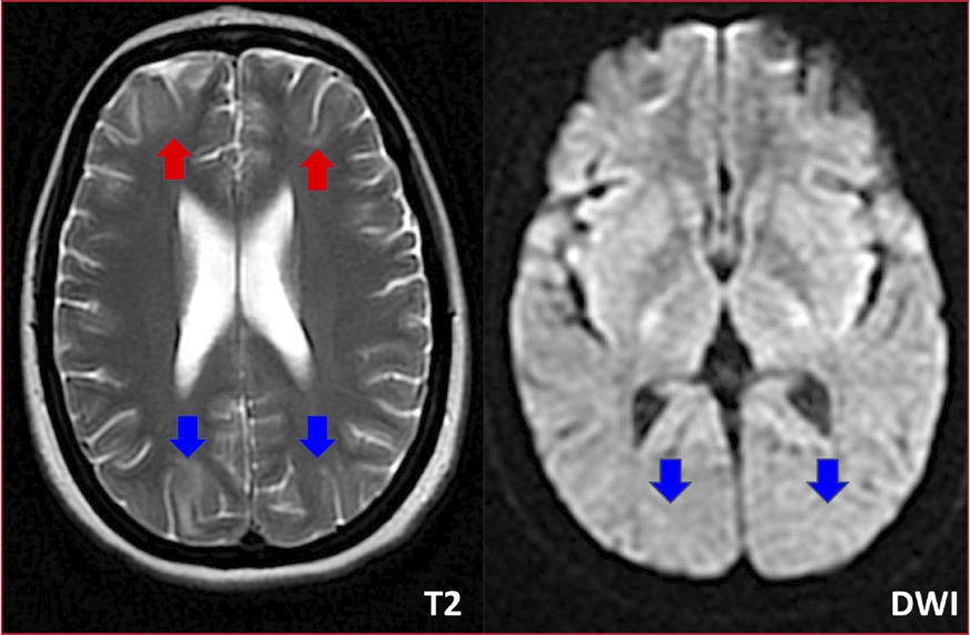
de la presión arterial, paciente con eclampsia tardía. Tras cinco días de
tratamiento, se observó una mejoría clínica y en las imágenes de resonancia
magnética (Figura 2).

Figura 1. Resonancia magnética de cerebro.
Cambios de señal hiperintensos en secuencia T2,corticales, en la región fronto-parieto-occipital,
bilaterales, simétricos (flechas rojas y azules),sin restricción significativa
a la difusión, como así también, en el sector postero-inferior de ambos
hemisferios cerebelosos.

Figura 2. Resonancia magnética de cerebro.
Cambios de señal hiperintensos en secuencia T2, en la sustancia blanca
subcortical,de la región fronto-parieto-occipital, bilaterales (flechas rojas y
azules) ,con una importante reducción del edema vasogénico en comparación con
estudio previo.