Fractura inestable de pelvis por traumatismo
pélvico repetitivo en la doma de caballo
[Unstable pelvic fracture after horse dressage
with repetitive pelvic trauma]
Luis J. Pérez
Bazaga,* María A. Santiago Triviño,
Nazaret Flecha Morales
Unidad de Medicina Intensiva, Complejo
Hospitalario Universitario de Badajoz, España
* Correspondencia: ljpbazaga@gmail.com
Los
autores no declaran conflictos de intereses.
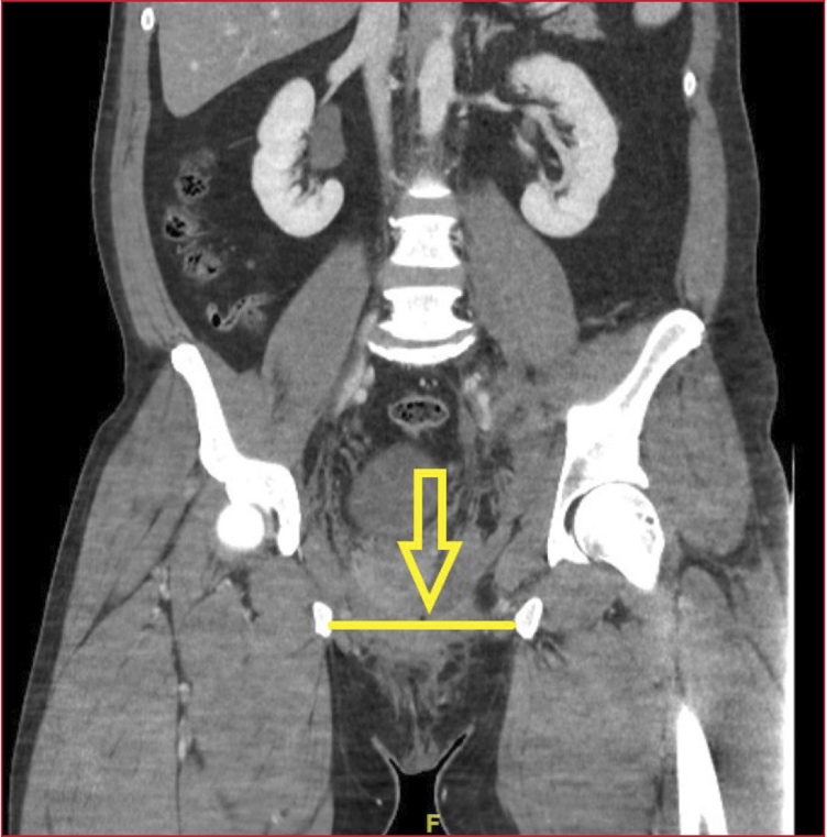
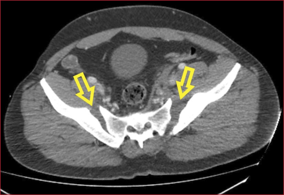
Hombre de 43 años, sin antecedentes personales de interés, que ingresa en nuestra Unidad, tras sufrir un traumatismo pélvico repetitivo con el cuerno o la perilla de la montura en la doma de caballo. El paciente es trasladado al Servicio de Urgencias hospitalario con incapacidad para deambular y dolor intenso. Se realiza una tomografía computarizada abdomino-pélvica de urgencia, que muestra una fractura inestable de pelvis tipo C2 de la clasificación de Tile, en libro abierto, con diástasis de la sínfisis púbica de 9,5 cm (Figura 1, flecha), articulación sacroilíaca izquierda y derecha (Figura 2, flechas), asociada con hematoma de partes blandas en el pubis y la región ilíaca izquierda, y sangrado activo en dicha zona. Se procede a la fijación externa urgente a cargo del equipo de guardia de Traumatología y se lo traslada a la Unidad de Cuidados Intensivos, donde posteriormente es sometido a fijación y osteosíntesis del anillo pélvico (Figura 3, flecha).

Figura 1. Tomografía computarizada de pelvis, corte coronal. Diástasis de la sínfisis púbica de 9,5 cm.

Figura 2. Tomografía computarizada de pelvis, corte axial. Diástasis de ambas articulaciones sacroilíacas.

Figura 3. Radiografía tras la fijación y osteosíntesis del anillo pélvico.