Neumatosis portal masiva por isquemia intestinal secundaria a
trombosis de la arteria mesentérica superior
[Portal vein gas due to intestinal ischemia secondary to superior
mesenteric artery thrombosis]
Enrique Chicote-Álvarez,* Maite
Arlabán-Carpintero, Isabel Mainar-Gil
Servicio de Medicina Intensiva, Hospital San Pedro, Logroño, La Rioja,
España
* Correspondencia: chicotelogro@hotmail.com
Los
autores no declaran conflictos de intereses.
Paciente de
75 años de edad, sin antecedentes personales de interés, que acudió al Servicio
de Urgencias con dolor abdominal de 12 horas de evolución, acompañado de
malestar general. Se detectó un cuadro de hipotensión severa, mala perfusión
distal y hematemesis con deterioro del nivel de conciencia. Los resultados de
los análisis de laboratorio indicaban acidosis láctica grave (pH 7,04; pCO2 55 mmHg;
HCO3 15 mmol/l; exceso de base -15,5
mmol/l, lactato 161 mg/dl) sin otros hallazgos de interés.
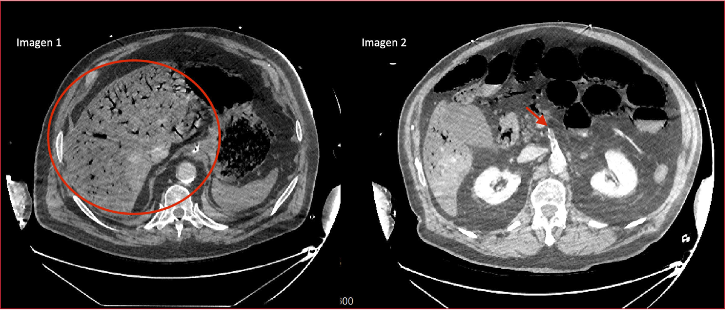
Se procedió a
la intubación orotraqueal y la estabilización. Se realizó una tomografía
computarizada abdominal. En las imágenes, se detectó neumatosis intestinal y
portal masiva (Figura, círculo rojo) secundaria a isquemia intestinal por trombosis de
la arteria mesentérica superior (Figura, flecha roja).
Las causas de
la neumatosis intestinal son múltiples: mecánicas (obstrucción intestinal),
inflamatorias (colitis ulcerosa) o isquemia intestinal, entre otras.
La neumatosis
portal se puede producir tanto por un incremento de la presión intraluminal
intestinal como por la alteración de la barrera mucosa, lo que puede ocasionar
que el gas diseque la pared intestinal y entre en el sistema portal a través de
las venas mesentéricas. También se ha descrito por el escape de gas de algunos
microorganismos productores de gas localizados en la luz del intestino o en
abscesos, o la presencia de estos microorganismos en el sistema venoso portal.
Si bien históricamente se ha asociado a fases avanzadas e irreversibles de
isquemia intestinal (como el paciente descrito) cada vez se describen más casos
asociados a procesos inflamatorios agudos y con una alta supervivencia.

Figura. Neumatosis portal masiva secundaria a isquemia intestinal masiva.