Edema Pulmonar Post-reexpansión, a propósito de un caso

Main Article Content

Horacio Gerardo Moreno-Zilli
Fernando Pablo Bertoletti
Eduardo Alejandro Serra
Rodolfo Martín Fumis

Abstract

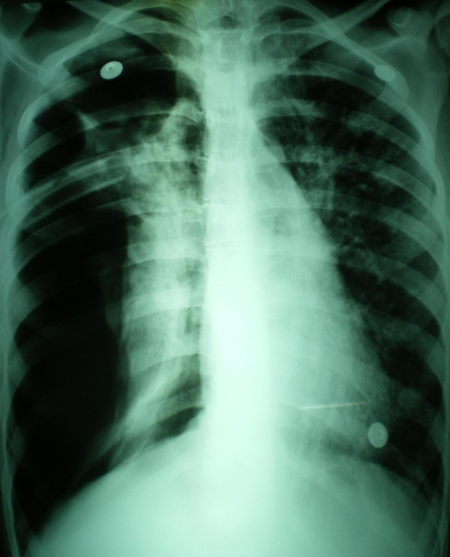
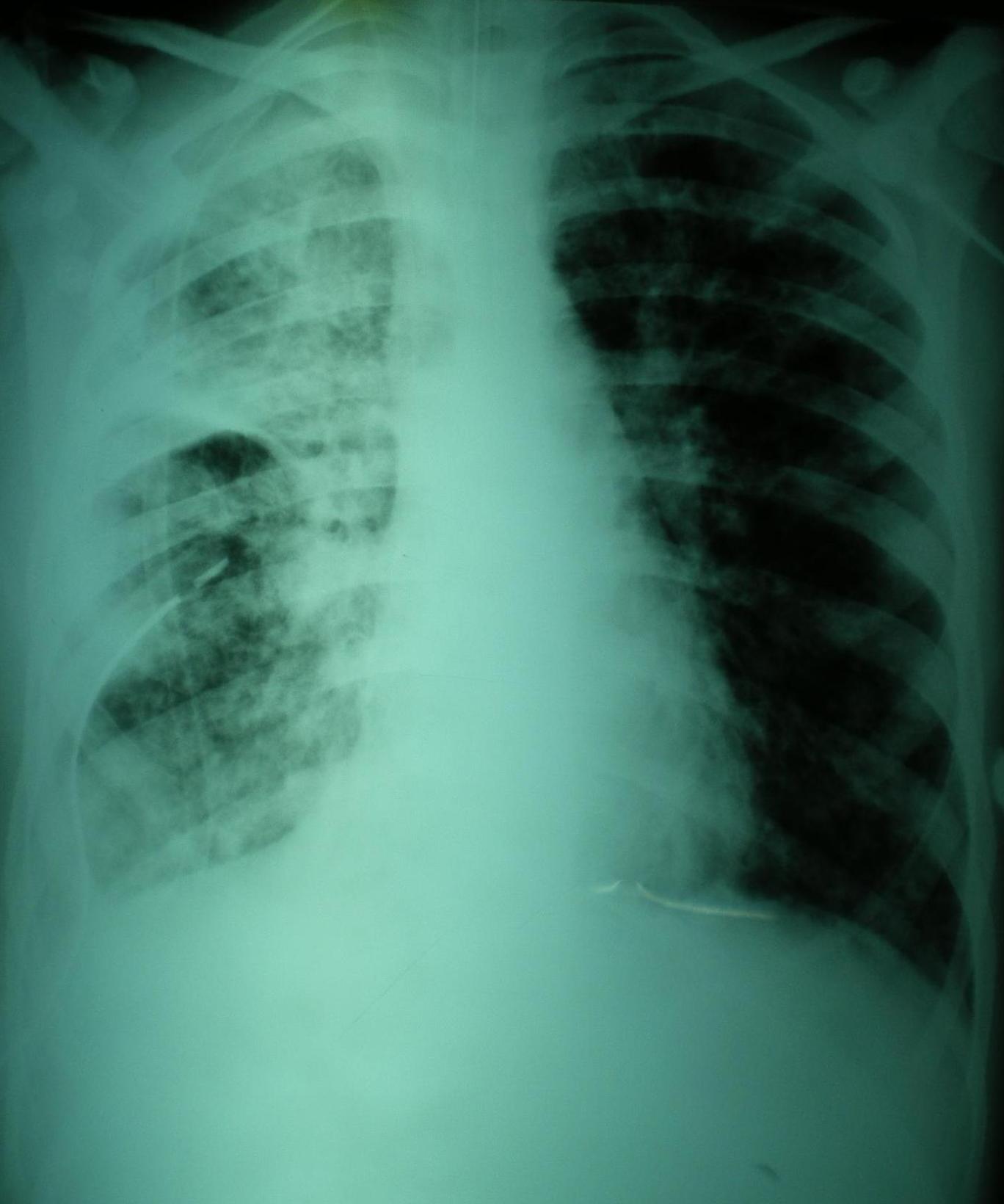
El edema pulmonar post-reexpansión puede producirse luego del tratamiento de grandes derrames pleurales, neumotórax o de atelectasias obstructivas. Se relaciona a la acción de mediadores inflamatorios que aumentan la permeabilidad vascular con exudación a los alvéolos. Comienza inmeditamente despues de la reexpansión y cede a los 5 a 7 dias; puede unilateral, bilateral o limitado a un único lóbulo. Los factores de riesgo son edad < 40 años, larga duración del colapso pulmonar (> 4 días), derrames pleurales > 1500 cc, neumotórax grado 3, rápida reexpansión, y aplicación de presión negativa intrapleural. El tratamiento es de soporte, pero lo mas importante es la prevención reconociendo los factores de riesgo para su desarrollo ya que tiene una mortalidad superior al 20%.

Article Details

Section

Clinical Notes / Case Report

Author Biographies

Horacio Gerardo Moreno-Zilli

 

Jefe de UTI  - Sanatorio Sarmiento - Tucumán

Coordinador De UTI - Hospital Centro de Salud "Zenón Santillán" - Tucumán

Ex residente de Clínica Médica -  Sanatorio San Jorge - Ushuaia

 

Fernando Pablo Bertoletti

 

Subdirector - Sanatorio San Jorge - Ushuaia

Jefe de UTI - Sanatorio San Jorge - Ushuaia

 

Eduardo Alejandro Serra

Ex residente de Clínica Médica - Sanatorio San Jorge - Ushuaia

Rodolfo Martín Fumis

Ex residente de Clínica Médica - Sanatorio San Jorge - Ushuaia

How to Cite

1.
Edema Pulmonar Post-reexpansión, a propósito de un caso. Rev Arg Ter Int. [Internet]. 2012 Dec. 19 [cited 2026 Mar. 11];29(4). Available from: https://revista.sati.org.ar/index.php/MI/article/view/311