Resumen
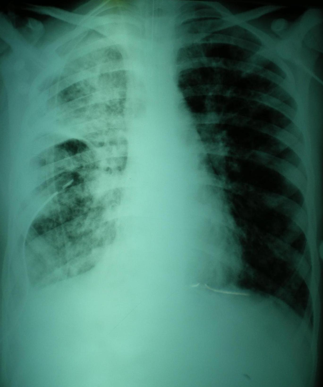
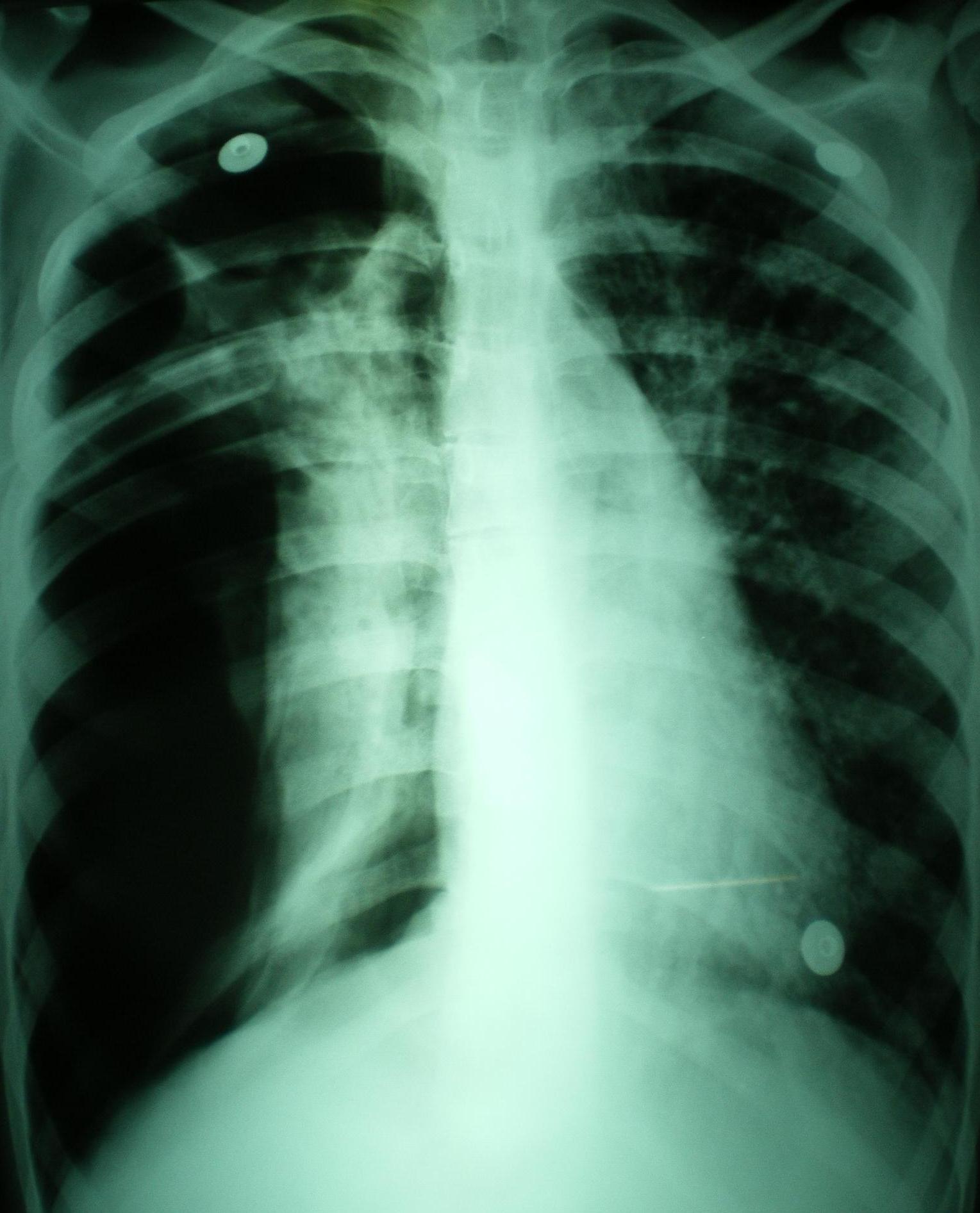
El edema pulmonar post-reexpansión puede producirse luego del tratamiento de grandes derrames pleurales, neumotórax o de atelectasias obstructivas. Se relaciona a la acción de mediadores inflamatorios que aumentan la permeabilidad vascular con exudación a los alvéolos. Comienza inmeditamente despues de la reexpansión y cede a los 5 a 7 dias; puede unilateral, bilateral o limitado a un único lóbulo. Los factores de riesgo son edad < 40 años, larga duración del colapso pulmonar (> 4 días), derrames pleurales > 1500 cc, neumotórax grado 3, rápida reexpansión, y aplicación de presión negativa intrapleural. El tratamiento es de soporte, pero lo mas importante es la prevención reconociendo los factores de riesgo para su desarrollo ya que tiene una mortalidad superior al 20%.
La revista no retiene los derechos de reproducción (copyright) por lo que los autores pueden volver a publicar sus trabajos con la sola mención a la fuente original de publicación.
