Resumen
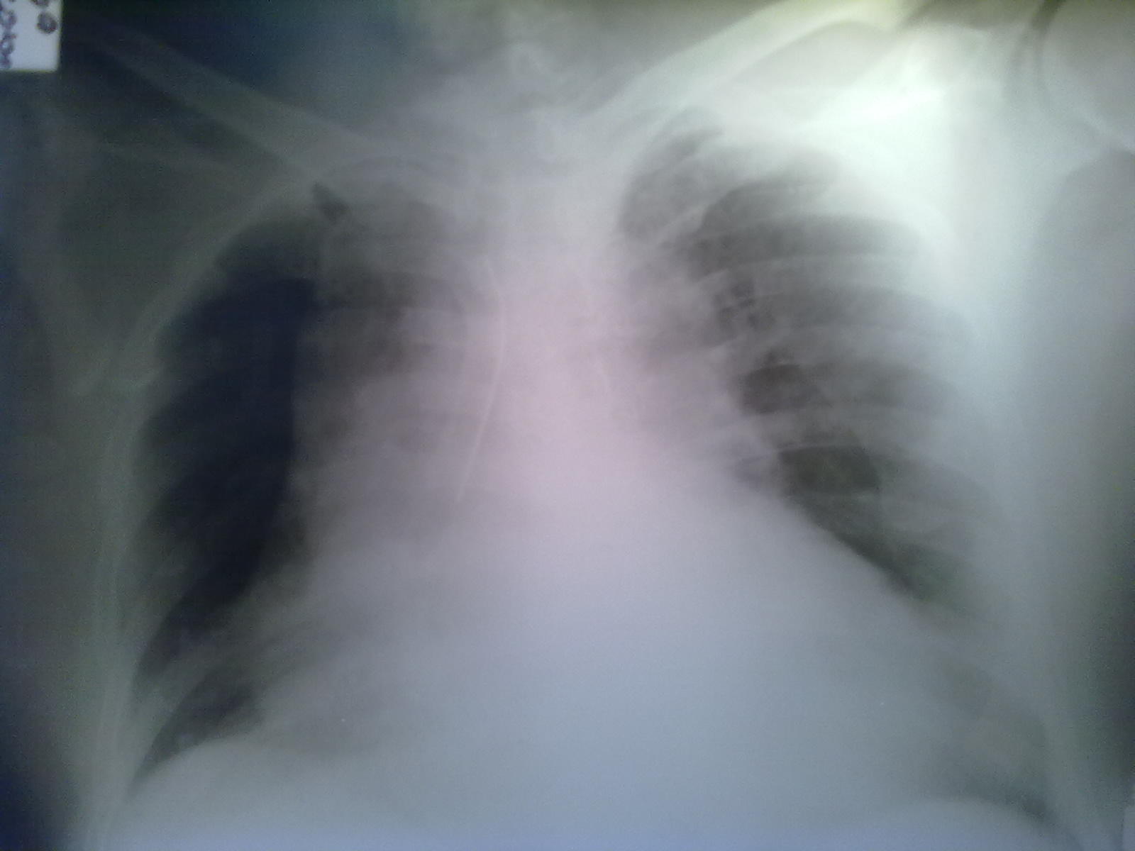
<!-- /* Font Definitions */ @font-face {font-family:"Cambria Math"; panose-1:2 4 5 3 5 4 6 3 2 4; mso-font-charset:1; mso-generic-font-family:roman; mso-font-format:other; mso-font-pitch:variable; mso-font-signature:0 0 0 0 0 0;} @font-face {font-family:Calibri; panose-1:2 15 5 2 2 2 4 3 2 4; mso-font-charset:0; mso-generic-font-family:swiss; mso-font-pitch:variable; mso-font-signature:-1610611985 1073750139 0 0 159 0;} /* Style Definitions */ p.MsoNormal, li.MsoNormal, div.MsoNormal {mso-style-unhide:no; mso-style-qformat:yes; mso-style-parent:""; margin-top:0cm; margin-right:0cm; margin-bottom:10.0pt; margin-left:0cm; line-height:115%; mso-pagination:widow-orphan; font-size:11.0pt; font-family:"Calibri","sans-serif"; mso-ascii-font-family:Calibri; mso-ascii-theme-font:minor-latin; mso-fareast-font-family:Calibri; mso-fareast-theme-font:minor-latin; mso-hansi-font-family:Calibri; mso-hansi-theme-font:minor-latin; mso-bidi-font-family:"Times New Roman"; mso-bidi-theme-font:minor-bidi; mso-fareast-language:EN-US;} .MsoChpDefault {mso-style-type:export-only; mso-default-props:yes; mso-ascii-font-family:Calibri; mso-ascii-theme-font:minor-latin; mso-fareast-font-family:Calibri; mso-fareast-theme-font:minor-latin; mso-hansi-font-family:Calibri; mso-hansi-theme-font:minor-latin; mso-bidi-font-family:"Times New Roman"; mso-bidi-theme-font:minor-bidi; mso-fareast-language:EN-US;} .MsoPapDefault {mso-style-type:export-only; margin-bottom:10.0pt; line-height:115%;} @page WordSection1 {size:612.0pt 792.0pt; margin:70.85pt 3.0cm 70.85pt 3.0cm; mso-header-margin:36.0pt; mso-footer-margin:36.0pt; mso-paper-source:0;} div.WordSection1 {page:WordSection1;} -->Paciente mascuIino de 71 años con antecedentes de Cáncer de Iaringe que requirió
reaIización de traqueotomía quirúrgica con colocación de cánuIa fIexibIe hace 3 meses.
Ingresa a Ia Unidad de Terapia Intensiva con diagnostico de FIutter auricuIar con compromiso hemodinámico. Requiere cardioversión eIéctrica y durante Ia ventiIación con boIsa máscara, Ia cánuIa de traqueostomia migra a través deI ostoma por deficiente fijación hasta bronquio fuente derecho. Se reaIizan intentos para recuperarIa a través deI ostoma sin éxito. Se compIica con ateIectasia masiva de IóbuIo inferior derecho e insuficiencia respiratoria. Requiere asistencia ventiIatoria mecánica. Se programa extracción por fibrobroncoscopía o en su defecto quirúrgica. Presenta paro cardiaco y Obito.
ConcIusión: Ia migración de cánuIa de traqueostomia es una compIicación poco frecuente pero puede ser mortaI y requiere un manejo muItidiscipIinario.
La revista no retiene los derechos de reproducción (copyright) por lo que los autores pueden volver a publicar sus trabajos con la sola mención a la fuente original de publicación.
