Resumen
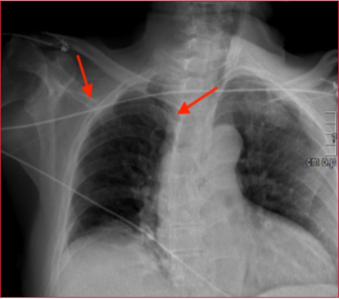
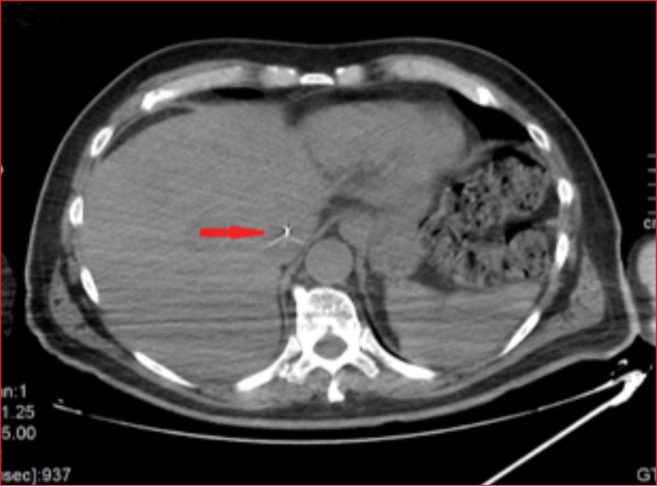
Paciente de 75 años, en el que se procedió a canalización de catéter venoso central de acceso periférico, con dificultad, con perdida de la guía metálica en el interior de la vena basílica. Se realizó radiografía de tórax, donde se objetivó la guía metálica llegando hasta la cava superior (Figura 1, flechas rojas) Se completó el estudio con tomografía computarizada, observándose progresión de la guía hasta la cava inferior, tanto en corte coronal (Figura 2, flecha roja) como en la vista axial (Figura 3, flecha roja). Se comentó el caso con Cirugía Vascular, que procedió a disección y venotomía basílica y extracción de guía sin complicaciones.
Referencias
Seldinger SI. Catheter replacement of the needle in percutaneous arteriography – a new technique. Acta Radiol 1953; 39:368-376.
Higgs ZC, Macafee DA, Braithwaite BD, Maxwell-Armstrong CA. The Seldinger technique: 50 years on. Lancet 2005; 366 (9494): 1407-1409.
Hernández MA, Álvarez C, Pérez MA. Complicaciones de la canalización de una vía venosa central. Rev Clin Esp 2006; 206(1):50-53.
La revista no retiene los derechos de reproducción (copyright) por lo que los autores pueden volver a publicar sus trabajos con la sola mención a la fuente original de publicación.
